JavaScript is disabled in your browser. Please enable JavaScript to view this website.
AB313340

Anti-CD73 antibody [EPR28213-52] - BSA and Azide free

Be the first to review this product! Submit a review

|

(0 Publication)

Knockout Tested Rabbit Recombinant Monoclonal CD73 antibody. Carrier free. Suitable for Flow Cyt (Intra), WB, IP, ICC/IF and reacts with Human samples.

View Alternative Names

CD73, NT5, NTE, NT5E, 5'-nucleotidase, 5'-NT, 5'-deoxynucleotidase, Ecto-5'-nucleotidase, IMP-specific 5'-nucleotidase, Thymidylate 5'-phosphatase

7 Images
Flow Cytometry (Intracellular) - Anti-CD73 antibody [EPR28213-52] - BSA and Azide free (AB313340)
  • Flow Cyt (Intra)

Supplier Data

Flow Cytometry (Intracellular) - Anti-CD73 antibody [EPR28213-52] - BSA and Azide free (AB313340)

This data was developed using ab313339, the same antibody clone in a different buffer formulation. Flow cytometric analysis of 4% paraformaldehyde fixed 90% methanol permeabilized NT5E KO A431 (human NT5E knockout epidermoid carcinoma epithelial cell, Left) / Parental A431(Right) cells labelling CD73 with ab313339 at 1/50 dilution (1 ug)/Red (Red) compared with a Rabbit monoclonal IgG (ab172730) (Black) isotype control and an unlabelled control (cells without incubation with primary antibody and secondary antibody) (Blue). A Goat Anti-Rabbit IgG (Alexa Fluor® 488, ab150081) at 1/5000 dilution was used as the secondary antibody.

Immunocytochemistry/ Immunofluorescence - Anti-CD73 antibody [EPR28213-52] - BSA and Azide free (AB313340)
  • ICC/IF

Supplier Data

Immunocytochemistry/ Immunofluorescence - Anti-CD73 antibody [EPR28213-52] - BSA and Azide free (AB313340)

This data was developed using ab313339, the same antibody clone in a different buffer formulation. Immunofluorescent analysis of 4% Paraformaldehyde-fixed, 0.1% TritonX-100 permeabilized NT5E KO A431 (NT5E knockout human epidermoid carcinoma epithelial cell) cells labelling CD73 with ab313339 at 1/50 (10.46 ug/ml) dilution, followed by ab150081 Goat Anti-Rabbit IgG H&L (Alexa Fluor® 488) preadsorbed antibody at 1/1000 2ug/ml dilution (Green). Confocal image showing membranous staining in A431 cells and no staining in NT5E knockout A431 cells.Image was taken with a confocal microscope (Leica-Microsystems, TCS SP8). ab195889 Anti-alpha Tubulin mouse monoclonal antibody - Microtubule Marker (Alexa Fluor® 594) was used to counterstain tubulin at 1/200 2.5ug/ml dilution (Red). The Nuclear counterstain was DAPI (Blue). Secondary antibody only control : Secondary antibody is ab150081 Goat Anti-Rabbit IgG H&L (Alexa Fluor® 488) preadsorbed at 1/1000 2ug/ml dilution.

Immunocytochemistry/ Immunofluorescence - Anti-CD73 antibody [EPR28213-52] - BSA and Azide free (AB313340)
  • ICC/IF

Supplier Data

Immunocytochemistry/ Immunofluorescence - Anti-CD73 antibody [EPR28213-52] - BSA and Azide free (AB313340)

This data was developed using ab313339, the same antibody clone in a different buffer formulation. Immunofluorescent analysis of 4% Paraformaldehyde-fixed, 0.1% TritonX-100 permeabilized U-87 MG (human glioblastoma-astrocytoma epithelial cell) cells labelling CD73 with ab313339 at 1/50 (10.46 ug/ml) dilution, followed by ab150081 Goat Anti-Rabbit IgG H&L (Alexa Fluor® 488) preadsorbed antibody at 1/1000 2ug/ml dilution (Green). Confocal image showing membranous staining in U-87 MG cells.Negative control : HeLa (PMID : 8566797)Image was taken with a confocal microscope (Leica-Microsystems, TCS SP8). ab195889 Anti-alpha Tubulin mouse monoclonal antibody - Microtubule Marker (Alexa Fluor® 594) was used to counterstain tubulin at 1/200 2.5ug/ml dilution (Red). The Nuclear counterstain was DAPI (Blue). Secondary antibody only control : Secondary antibody is ab150081 Goat Anti-Rabbit IgG H&L (Alexa Fluor® 488) preadsorbed at 1/1000 2ug/ml dilution.

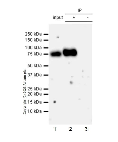
Immunoprecipitation - Anti-CD73 antibody [EPR28213-52] - BSA and Azide free (AB313340)
  • IP

Supplier Data

Immunoprecipitation - Anti-CD73 antibody [EPR28213-52] - BSA and Azide free (AB313340)

This data was developed using ab313339, the same antibody clone in a different buffer formulation. CD73 was immunoprecipitated from 0.35 mg U-87 MG (human glioblastoma-astrocytoma epithelial cell) whole cell lysate with ab313339 at 1/30 dilution (2ug in 0.35mg lysates). Western blot was performed on the immunoprecipitate using ab313339 at 1/1000 dilution. VeriBlot for IP secondary antibody(HRP)(ab131366) was used at 1/5000 dilution. Lane 1 : U-87 MG (human glioblastoma-astrocytoma epithelial cell) whole cell lysate Lane 2 : ab313339 IP in U-87 MG (human glioblastoma-astrocytoma epithelial cell) whole cell lysate Lane 3 : Rabbit monoclonal IgG (ab172730) instead of ab313339 in U-87 MG whole cell lysate Blocking and dilution buffer and concentration : 5% NFDM/TBST. Exposure time : 180 seconds

All lanes:

Immunoprecipitation - Anti-CD73 antibody [EPR28213-52] (<a href='/en-us/products/primary-antibodies/cd73-antibody-epr28213-52-ab313339'>ab313339</a>) at 1/30 dilution

All lanes:

U-87 MG (human glioblastoma-astrocytoma epithelial cell) whole cell lysate

Secondary

All lanes:

Immunoprecipitation - VeriBlot for IP Detection Reagent (HRP) (<a href='/en-us/products/reagents/veriblot-for-ip-detection-reagent-hrp-ab131366'>ab131366</a>) at 1/5000 dilution

false

Exposure time: 180s

Western blot - Anti-CD73 antibody [EPR28213-52] - BSA and Azide free (AB313340)
  • WB

Supplier Data

Western blot - Anti-CD73 antibody [EPR28213-52] - BSA and Azide free (AB313340)

This data was developed using ab313339, the same antibody clone in a different buffer formulation. Blocking and diluting buffer and concentration : 5% NFDM/TBST Low expression : HeLa and Raji(PMID : 8566797) In Western blot, anti-GAPDH antibody (ab181602) loading control staining at 1/200000 dilution. Exposure time : 180 seconds

All lanes:

Western blot - Anti-CD73 antibody [EPR28213-52] (<a href='/en-us/products/primary-antibodies/cd73-antibody-epr28213-52-ab313339'>ab313339</a>) at 1/1000 dilution

Lane 1:

U-87 MG (human glioblastoma-astrocytoma epithelial cell) whole cell lysate at 40 µg

Lane 2:

Hela (human cervix adenocarcinoma epithelial cell) whole cell lysate at 40 µg

Lane 3:

Raji (human Burkitts lymphoma B lymphocyte) whole cell lysate at 40 µg

Secondary

All lanes:

Western blot - Goat Anti-Rabbit IgG H&L (HRP) (<a href='/en-us/products/secondary-antibodies/goat-rabbit-igg-h-l-hrp-ab97051'>ab97051</a>) at 1/100000 dilution

Observed band size: 68 kDa

false

Exposure time: 180s

Western blot - Anti-CD73 antibody [EPR28213-52] - BSA and Azide free (AB313340)
  • WB

Supplier Data

Western blot - Anti-CD73 antibody [EPR28213-52] - BSA and Azide free (AB313340)

This data was developed using ab313339, the same antibody clone in a different buffer formulation.

Blocking and diluting buffer and concentration : 5% NFDM/TBST

Performed under reducing conditions.

In Western blot, ab313339 was shown to bind specifically to CD73. A band was observed at 68 kDa in wild-type A431 cell lysates whereas loss of signal was observed in the CD73 knockout cell line.

In Western blot, anti-GAPDH antibody [EPR16891] (ab181602) loading control staining at 1/10000 dilution.

This blot was developed using a high sensitivity ECL substrate. The high-sensitivity ECL substrate used allows for the detection of proteins in the mid-femtogram range.

All lanes:

Western blot - Anti-CD73 antibody [EPR28213-52] (<a href='/en-us/products/primary-antibodies/cd73-antibody-epr28213-52-ab313339'>ab313339</a>) at 1/1000 dilution

Lane 1:

Wild-type A431 (human epidermoid carcinoma epithelial cell) whole cell lysate at 40 µg

Lane 2:

CD73 knockout A431 whole cell lysate at 40 µg

Secondary

All lanes:

Western blot - Goat Anti-Rabbit IgG H&L (HRP) (<a href='/en-us/products/secondary-antibodies/goat-rabbit-igg-h-l-hrp-ab97051'>ab97051</a>) at 1/100000 dilution

Predicted band size: 63 kDa

Observed band size: 68 kDa

true

Exposure time: 92s

Western blot - Anti-CD73 antibody [EPR28213-52] - BSA and Azide free (AB313340)
  • WB

Lab

Western blot - Anti-CD73 antibody [EPR28213-52] - BSA and Azide free (AB313340)

This data was developed using ab313339, the same antibody clone in a different buffer formulation.

Blocking and diluting buffer and concentration : 5% NFDM/TBST.

All lanes:

Western blot - Anti-CD73 antibody [EPR28213-52] (<a href='/en-us/products/primary-antibodies/cd73-antibody-epr28213-52-ab313339'>ab313339</a>) at 1/1000 dilution

Lane 1:

A431 (Human epidermoid carcinoma epithelial cell) whole cell lysate at 20 µg

Lane 2:

A375 (Human malignant melanoma epithelial cell) whole cell lysate at 20 µg

Lane 3:

Human spleen tissue lysate at 20 µg

Secondary

All lanes:

Goat Anti-Rabbit IgG (HRP) with minimal cross-reactivity with human IgG at 1/2000 dilution

Predicted band size: 63 kDa

Observed band size: 68 kDa

false

Exposure time: 60s

Key facts

Host species

Rabbit

Clonality

Monoclonal

Clone number

EPR28213-52

Isotype

IgG

Carrier free

Yes

Reacts with

Human

Applications

WB, ICC/IF, Flow Cyt (Intra), IP

applications

Immunogen

The exact immunogen used to generate this antibody is proprietary information.

Reactivity data

{ "title": "Reactivity Data", "filters": { "stats": ["", "Species", "Dilution Info", "Notes"], "tabs": { "all-applications": {"fullname" : "All Applications", "shortname": "All Applications"}, "FlowCytIntra" : {"fullname" : "Flow Cytometry (Intracellular)", "shortname":"Flow Cyt (Intra)"}, "WB" : {"fullname" : "Western blot", "shortname":"WB"}, "IP" : {"fullname" : "Immunoprecipitation", "shortname":"IP"}, "ICCIF" : {"fullname" : "Immunocytochemistry/ Immunofluorescence", "shortname":"ICC/IF"}, "IHCP" : {"fullname" : "Immunohistochemistry (Formalin/PFA-fixed paraffin-embedded sections)", "shortname":"IHC-P"} }, "product-promise": { "all": "all", "testedAndGuaranteed": "tested", "guaranteed": "expected", "predicted": "predicted", "notRecommended": "not-recommended" } }, "values": { "Human": { "FlowCytIntra-species-checked": "testedAndGuaranteed", "FlowCytIntra-species-dilution-info": "", "FlowCytIntra-species-notes": "<p></p>", "WB-species-checked": "testedAndGuaranteed", "WB-species-dilution-info": "", "WB-species-notes": "<p></p>", "IP-species-checked": "testedAndGuaranteed", "IP-species-dilution-info": "", "IP-species-notes": "<p></p>", "ICCIF-species-checked": "testedAndGuaranteed", "ICCIF-species-dilution-info": "", "ICCIF-species-notes": "<p></p>", "IHCP-species-checked": "notRecommended", "IHCP-species-dilution-info": "", "IHCP-species-notes": "<p></p>" }, "Mouse": { "FlowCytIntra-species-checked": "notRecommended", "FlowCytIntra-species-dilution-info": "", "FlowCytIntra-species-notes": "", "WB-species-checked": "notRecommended", "WB-species-dilution-info": "", "WB-species-notes": "<p></p>", "IP-species-checked": "notRecommended", "IP-species-dilution-info": "", "IP-species-notes": "", "ICCIF-species-checked": "notRecommended", "ICCIF-species-dilution-info": "", "ICCIF-species-notes": "", "IHCP-species-checked": "notRecommended", "IHCP-species-dilution-info": "", "IHCP-species-notes": "<p></p>" }, "Rat": { "FlowCytIntra-species-checked": "notRecommended", "FlowCytIntra-species-dilution-info": "", "FlowCytIntra-species-notes": "", "WB-species-checked": "notRecommended", "WB-species-dilution-info": "", "WB-species-notes": "<p></p>", "IP-species-checked": "notRecommended", "IP-species-dilution-info": "", "IP-species-notes": "", "ICCIF-species-checked": "notRecommended", "ICCIF-species-dilution-info": "", "ICCIF-species-notes": "", "IHCP-species-checked": "notRecommended", "IHCP-species-dilution-info": "", "IHCP-species-notes": "<p></p>" } } }

Product details

Patented technology
Our RabMAb® technology is a patented hybridoma-based technology for making rabbit monoclonal antibodies. For details on our patents, please refer to RabMAb® patents.

What are the advantages of a recombinant monoclonal antibody?
This product is a recombinant monoclonal antibody, which offers several advantages including:

  • - High batch-to-batch consistency and reproducibility
  • - Improved sensitivity and specificity
  • - Long-term security of supply
  • - Animal-free batch production

For more information, read more on recombinant antibodies.

Conjugation ready
Our carrier-free antibodies are typically supplied in a PBS-only formulation, purified and free of BSA, sodium azide and glycerol. This conjugation-ready format is designed for use with fluorochromes, metal isotopes, oligonucleotides, and enzymes, which makes them ideal for antibody labelling, functional and cell-based assays, flow-based assays (e.g. mass cytometry) and Multiplex Imaging applications.

Use our conjugation kits for antibody conjugates that are ready-to-use in as little as 20 minutes with 1 minute hands-on-time and 100% antibody recovery: available for fluorescent dyes, HRP, biotin and gold.

Compatibility
This product is compatible with the Maxpar® Antibody Labeling Kit from Fluidigm, without the need for antibody preparation. Maxpar® is a trademark of Fluidigm Canada Inc.

Properties and storage information

Form
Liquid
Purification technique
Affinity purification Protein A
Storage buffer
pH: 7.2 - 7.4 Constituents: PBS
Shipped at conditions
Blue Ice
Appropriate short-term storage conditions
+4°C
Appropriate long-term storage conditions
+4°C

Supplementary information

This supplementary information is collated from multiple sources and compiled automatically.

CD73 also known as ecto-5'-nucleotidase is an enzyme that functions at the cellular level. The CD73 protein hydrolyzes extracellular nucleotides into nucleosides by removing phosphate groups. It is a 70 kDa glycosylphosphatidylinositol-anchored molecule found on the surface of various cell types including endothelial cells lymphocytes and epithelial cells. Its presence is noted in a wide range of tissues across the human body highlighting its versatile role in cellular communication and metabolism.
Biological function summary

CD73 participates in the regulation of purinergic signaling through adenosine production. It acts in cooperation with other cell surface enzymes such as CD39 forming a functional complex that handles ATP breakdown to adenosine. This enzymatic activity modulates immune responses tissue protection and inflammation control. In addition to immune-related functions CD73 supports the maintenance of vascular integrity and proper cellular adhesion which is important in different physiological and pathological contexts.

Pathways

CD73 plays an important part in the adenosinergic pathway governing the conversion of AMP into adenosine. This activity impacts the signaling and function of the adenosine receptors on immune and non-immune cells. Another important pathway is the angiogenesis process where CD73 contributes by affecting endothelial cell migration and blood vessel development. Relationships with key proteins such as adenosine A2 receptors help facilitate these critical pathway activities.

CD73's involvement with immunosuppression and tumor progression becomes significant. Elevated levels of CD73 are frequently observed in some cancers where it aids in creating a favorable tumor microenvironment through increased adenosine production. This situation assists tumor cells in evading immune detection. Additionally CD73 is linked to autoimmune diseases like multiple sclerosis where it contributes to modulated lymphocyte activity. Connections with proteins such as TGF-beta further illustrate its role in disease-related pathways creating potential targets for therapeutic interventions through the use of anti-CD73 antibodies.

Product protocols

For this product, it's our understanding that no specific protocols are required. You can visit:

Target data

Catalyzes the hydrolysis of nucleotide monophosphates, releasing inorganic phosphate and the corresponding nucleoside, with AMP being the preferred substrate (PubMed : 21933152, PubMed : 22997138, PubMed : 23142347, PubMed : 24887587, PubMed : 34403084). Shows a preference for ribonucleotide monophosphates over their equivalent deoxyribose forms (PubMed : 34403084). Other substrates include IMP, UMP, GMP, CMP, dAMP, dCMP, dTMP, NAD and NMN (PubMed : 21933152, PubMed : 22997138, PubMed : 23142347, PubMed : 24887587, PubMed : 34403084).
See full target information NT5E

Product promise

We are committed to supporting your work with high-quality reagents, and we're here for you every step of the way. In the unlikely event that one of our products does not perform as expected, you're protected by our Product Promise.
For full details, please see our Terms & Conditions

Please note: All products are 'FOR RESEARCH USE ONLY. NOT FOR USE IN DIAGNOSTIC OR THERAPEUTIC PROCEDURES'.

For licensing inquiries, please contact partnerships@abcam.com