JavaScript is disabled in your browser. Please enable JavaScript to view this website.
AB314328

Anti-CD73 antibody [EPR28214-169] - BSA and Azide free

  • BOND RX™ Validated
  • Advanced Validation
  • RabMAb
  • Recombinant
  • What is this?

Be the first to review this product! Submit a review

|

(0 Publication)

Rabbit Recombinant Monoclonal CD73 antibody. Carrier free. Suitable for WB, IHC-P, mIHC and reacts with Mouse, Rat samples.

View Alternative Names

CD73, Nt5, Nte, Nt5e, 5'-nucleotidase, 5'-NT, 5'-deoxynucleotidase, Ecto-5'-nucleotidase, IMP-specific 5'-nucleotidase, Thymidylate 5'-phosphatase

12 Images
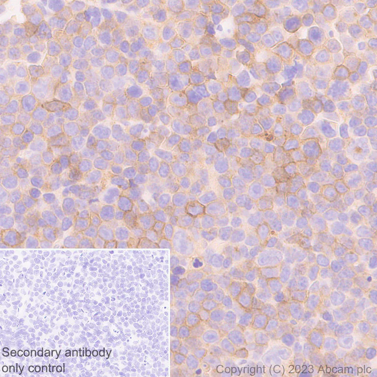
Immunohistochemistry (Formalin/PFA-fixed paraffin-embedded sections) - Anti-CD73 antibody [EPR28214-169] - BSA and Azide free (AB314328)
  • IHC-P

Supplier Data

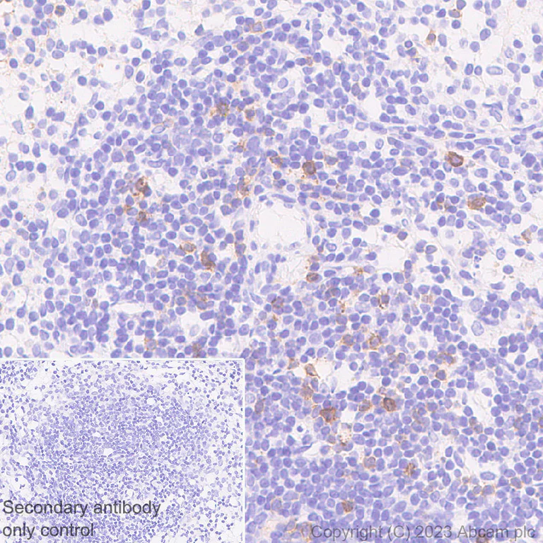
Immunohistochemistry (Formalin/PFA-fixed paraffin-embedded sections) - Anti-CD73 antibody [EPR28214-169] - BSA and Azide free (AB314328)

This data was developed using ab314327, the same antibody clone in a different buffer formulation. Immunohistochemical analysis of paraffin-embedded Mouse large B cell lymphoma tissue labeling CD73 with ab314327 at 1/500 (0.98 ug/ml) followed by a ready to use LeicaDS9800 (Bond™ Polymer Refine Detection). Membranous staining on mouse large B cell lymphoma.The section was incubated with ab314327 for 10 mins at room temperature.The immunostaining was performed on a Leica Biosystems BOND® RX instrument Counterstained with Hematoxylin. Secondary antibody only control : Secondary antibody is a ready to use LeicaDS9800 (Bond™ Polymer Refine Detection). Heat mediated antigen retrieval was performed with Citrate buffer (pH 6.0, Epitope Retrieval Solution 1) for 20 mins

Immunohistochemistry (Formalin/PFA-fixed paraffin-embedded sections) - Anti-CD73 antibody [EPR28214-169] - BSA and Azide free (AB314328)
  • IHC-P

Supplier Data

Immunohistochemistry (Formalin/PFA-fixed paraffin-embedded sections) - Anti-CD73 antibody [EPR28214-169] - BSA and Azide free (AB314328)

This data was developed using ab314327, the same antibody clone in a different buffer formulation. Immunohistochemical analysis of paraffin-embedded Rat liver tissue labeling CD73 with ab314327 at 1/500 (0.98 ug/ml) followed by a ready to use LeicaDS9800 (Bond™ Polymer Refine Detection). Membranous staining on rat liver. The section was incubated with ab314327 for 10 mins at room temperature.The immunostaining was performed on a Leica Biosystems BOND® RX instrument Counterstained with Hematoxylin. Secondary antibody only control : Secondary antibody is a ready to use LeicaDS9800 (Bond™ Polymer Refine Detection). Heat mediated antigen retrieval was performed with Citrate buffer (pH 6.0, Epitope Retrieval Solution 1) for 20 mins

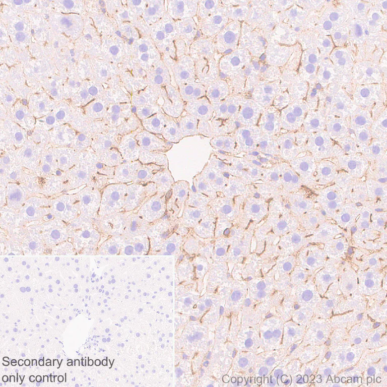
Immunohistochemistry (Formalin/PFA-fixed paraffin-embedded sections) - Anti-CD73 antibody [EPR28214-169] - BSA and Azide free (AB314328)
  • IHC-P

Supplier Data

Immunohistochemistry (Formalin/PFA-fixed paraffin-embedded sections) - Anti-CD73 antibody [EPR28214-169] - BSA and Azide free (AB314328)

This data was developed using ab314327, the same antibody clone in a different buffer formulation. Immunohistochemical analysis of paraffin-embedded Rat spleen tissue labeling CD73 with ab314327 at 1/500 (0.98 ug/ml) followed by a ready to use LeicaDS9800 (Bond™ Polymer Refine Detection). Membranous staining on rat spleen. The section was incubated with ab314327 for 10 mins at room temperature.The immunostaining was performed on a Leica Biosystems BOND® RX instrument Counterstained with Hematoxylin. Secondary antibody only control : Secondary antibody is a ready to use LeicaDS9800 (Bond™ Polymer Refine Detection). Heat mediated antigen retrieval was performed with Citrate buffer (pH 6.0, Epitope Retrieval Solution 1) for 20 mins

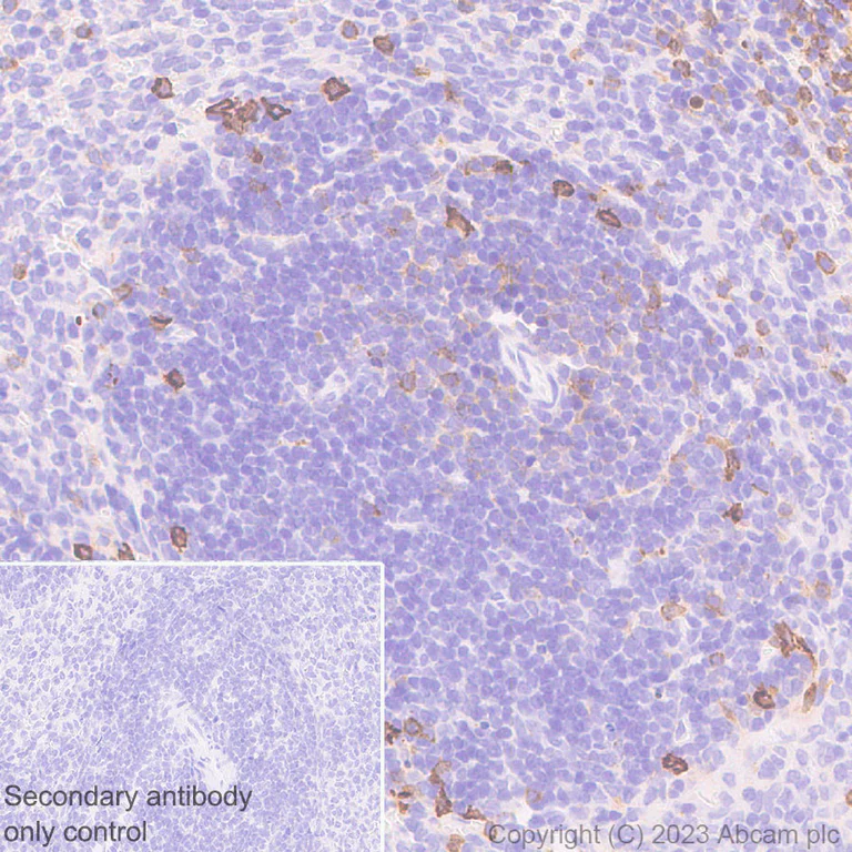
Immunohistochemistry (Formalin/PFA-fixed paraffin-embedded sections) - Anti-CD73 antibody [EPR28214-169] - BSA and Azide free (AB314328)
  • IHC-P

Supplier Data

Immunohistochemistry (Formalin/PFA-fixed paraffin-embedded sections) - Anti-CD73 antibody [EPR28214-169] - BSA and Azide free (AB314328)

This data was developed using ab314327, the same antibody clone in a different buffer formulation. Immunohistochemical analysis of paraffin-embedded Mouse liver tissue labeling CD73 with ab314327 at 1/500 (0.98 ug/ml) followed by a ready to use LeicaDS9800 (Bond™ Polymer Refine Detection). Membranous staining on mouse liver. The section was incubated with ab314327 for 10 mins at room temperature.The immunostaining was performed on a Leica Biosystems BOND® RX instrument Counterstained with Hematoxylin. Secondary antibody only control : Secondary antibody is a ready to use LeicaDS9800 (Bond™ Polymer Refine Detection). Heat mediated antigen retrieval was performed with Citrate buffer (pH 6.0, Epitope Retrieval Solution 1) for 20 mins

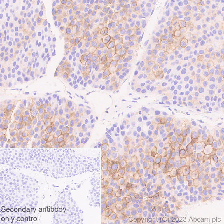
Immunohistochemistry (Formalin/PFA-fixed paraffin-embedded sections) - Anti-CD73 antibody [EPR28214-169] - BSA and Azide free (AB314328)
  • IHC-P

Supplier Data

Immunohistochemistry (Formalin/PFA-fixed paraffin-embedded sections) - Anti-CD73 antibody [EPR28214-169] - BSA and Azide free (AB314328)

This data was developed using ab314327, the same antibody clone in a different buffer formulation. Immunohistochemical analysis of paraffin-embedded Mouse breast cancer tissue labeling CD73 with ab314327 at 1/500 (0.98 ug/ml) followed by a ready to use LeicaDS9800 (Bond™ Polymer Refine Detection). Membranous staining on mouse breast cancer. The section was incubated with ab314327 for 10 mins at room temperature.The immunostaining was performed on a Leica Biosystems BOND® RX instrument Counterstained with Hematoxylin. Secondary antibody only control : Secondary antibody is a ready to use LeicaDS9800 (Bond™ Polymer Refine Detection). Heat mediated antigen retrieval was performed with Citrate buffer (pH 6.0, Epitope Retrieval Solution 1) for 20 mins

Immunohistochemistry (Formalin/PFA-fixed paraffin-embedded sections) - Anti-CD73 antibody [EPR28214-169] - BSA and Azide free (AB314328)
  • IHC-P

Supplier Data

Immunohistochemistry (Formalin/PFA-fixed paraffin-embedded sections) - Anti-CD73 antibody [EPR28214-169] - BSA and Azide free (AB314328)

This data was developed using ab314327, the same antibody clone in a different buffer formulation. Immunohistochemical analysis of paraffin-embedded Mouse spleen tissue labeling CD73 with ab314327 at 1/500 (0.98 ug/ml) followed by a ready to use LeicaDS9800 (Bond™ Polymer Refine Detection). Membranous staining on mouse spleen. The section was incubated with ab314327 for 10 mins at room temperature.The immunostaining was performed on a Leica Biosystems BOND® RX instrument Counterstained with Hematoxylin. Secondary antibody only control : Secondary antibody is a ready to use LeicaDS9800 (Bond™ Polymer Refine Detection). Heat mediated antigen retrieval was performed with Citrate buffer (pH 6.0, Epitope Retrieval Solution 1) for 20 mins

Multiplex immunohistochemistry - Anti-CD73 antibody [EPR28214-169] - BSA and Azide free (AB314328)
  • mIHC

Lab

Multiplex immunohistochemistry - Anti-CD73 antibody [EPR28214-169] - BSA and Azide free (AB314328)

This data was developed using ab314327, the same antibody clone in a different buffer formulation.

Multiplex immunohistochemistry analysis of formalin/PFA-fixed paraffin-embedded mouse lung staining of Surfactant Protein A/PSAP with ab322404 at a 1/5000 (0.092 μg/ml) dilution, F4/80 with ab300421 at 1/5000 (0.070 μg/ml) dilution, and CD73 with ab314327 at 1/500 (0.98 μg/ml), followed by a ready to use secondary antibody Opal Polymer HRP Ms + Rb.

Panel A : merged staining of anti-Surfactant Protein A/PSAP (green; Opal™ 520), anti-F4/80 (grey; Opal™ 570) and anti-CD73 (magenta; Opal™ 690) on mouse lung.
Panel B : anti-Surfactant Protein A/PSAP staining Clara cells and alveolar type II cells in mouse lung.
Panel C : anti-F4/80 staining macrophages in mouse lung.
Panel D : anti-CD73 staining epithelium in mouse lung.
Nuclear DNA was labeled with DAPI (shown in blue).

The section was incubated in three rounds of staining : in the order of ab322404, ab300421 and ab314327 for 30 mins at room temperature. Each round was followed by a separate fluorescent tyramide signal amplification system..

Heat mediated antigen retrieval with Tris-EDTA buffer (pH 9.0, epitope retrieval solution2) for 20 mins.

The immunostaining was performed on a Leica Biosystems BOND® RX instrument with an Opal™ 4-color kit. Image acquisition was performed with Leica SP8 confocal microscope.

Multiplex immunohistochemistry - Anti-CD73 antibody [EPR28214-169] - BSA and Azide free (AB314328)
  • mIHC

Lab

Multiplex immunohistochemistry - Anti-CD73 antibody [EPR28214-169] - BSA and Azide free (AB314328)

This data was developed using ab314327, the same antibody clone in a different buffer formulation.

Multiplex immunohistochemistry analysis of formalin/PFA-fixed paraffin-embedded rat liver tissue staining ALDH1L1 with ab307696 at a 1/5000 dilution, ab302928 anti-HIRA/HIR used at 1/100 dilution and ab314327 anti-CD73 used at a 1/250 dilution.

Panel A : merged staining of anti-ALDH1L1 (green; Opal520), anti-HIRA/HIR (magenta; Opal690) and anti-CD73 (grey; Opal570) on rat liver.
Panel B : anti-ALDH1L1 staining cytoplasm of hepatocytes in rat liver.
Panel C : anti-HIRA/HIR staining nucleus of hepatocytes in rat liver.
Panel D : anti-CD73 staining endothelium in rat liver.
Nuclear DNA was labeled with DAPI (shown in blue).

The section was incubated in three rounds of staining : in the order of ab307696, ab302928 and ab314327 for 30 mins at room temperature. Each round was followed by a separate fluorescent tyramide signal amplification system.

Heat mediated antigen retrieval with Tris-EDTA buffer (pH 9.0, epitope retrieval solution2) for 20 mins.

Multiplex immunohistochemistry - Anti-CD73 antibody [EPR28214-169] - BSA and Azide free (AB314328)
  • mIHC

Lab

Multiplex immunohistochemistry - Anti-CD73 antibody [EPR28214-169] - BSA and Azide free (AB314328)

This data was developed using ab314327, the same antibody clone in a different buffer formulation.

Multiplex immunohistochemistry analysis of formalin/PFA-fixed paraffin-embedded rat lung staining of Surfactant Protein A/PSAP with ab322404 at a 1/5000 (0.092 μg/ml) dilution, F4/80 with ab300421 at 1/5000 (0.070 μg/ml) dilution, and CD73 with ab314327 at 1/500 (0.98 μg/ml), followed by a ready to use secondary antibody Opal Polymer HRP Ms + Rb.

Panel A : merged staining of anti-Surfactant Protein A/PSAP (green; Opal™ 520), anti-F4/80 (grey; Opal™ 570) and anti-CD73 (magenta; Opal™ 690) on rat lung.
Panel B : anti-Surfactant Protein A/PSAP staining Clara cells and alveolar type II cells in rat lung.
Panel C : anti-F4/80 staining macrophages in rat lung.
Panel D : anti-CD73 staining epithelium in rat lung.
Nuclear DNA was labeled with DAPI (shown in blue).

The section was incubated in three rounds of staining : in the order of ab322404, ab300421 and ab314327 for 30 mins at room temperature. Each round was followed by a separate fluorescent tyramide signal amplification system..

Heat mediated antigen retrieval with Tris-EDTA buffer (pH 9.0, epitope retrieval solution2) for 20 mins.

The immunostaining was performed on a Leica Biosystems BOND® RX instrument with an Opal™ 4-color kit. Image acquisition was performed with Leica SP8 confocal microscope.

Multiplex immunohistochemistry - Anti-CD73 antibody [EPR28214-169] - BSA and Azide free (AB314328)
  • mIHC

Lab

Multiplex immunohistochemistry - Anti-CD73 antibody [EPR28214-169] - BSA and Azide free (AB314328)

This data was developed using ab314327, the same antibody clone in a different buffer formulation.

Multiplex immunohistochemistry analysis of formalin/PFA-fixed paraffin-embedded mouse liver tissue staining ALDH1L1 with ab307696 at a 1/5000 dilution, ab302928 anti-HIRA/HIR used at 1/100 dilution and ab314327 anti-CD73 used at a 1/250 dilution.

Panel A : merged staining of anti-ALDH1L1 (green; Opal520), anti-HIRA/HIR (magenta; Opal690) and anti-CD73 (grey; Opal570) on mouse liver.
Panel B : anti-ALDH1L1 staining cytoplasm of hepatocytes in mouse liver.
Panel C : anti-HIRA/HIR staining nucleus of hepatocytes in mouse liver.
Panel D : anti-CD73 staining endothelium in mouse liver.
Nuclear DNA was labeled with DAPI (shown in blue).

The section was incubated in three rounds of staining : in the order of ab307696, ab302928 and ab314327 for 30 mins at room temperature. Each round was followed by a separate fluorescent tyramide signal amplification system.

Heat mediated antigen retrieval with Tris-EDTA buffer (pH 9.0, epitope retrieval solution2) for 20 mins.

Western blot - Anti-CD73 antibody [EPR28214-169] - BSA and Azide free (AB314328)
  • WB

Supplier Data

Western blot - Anti-CD73 antibody [EPR28214-169] - BSA and Azide free (AB314328)

This data was developed using ab314327, the same antibody clone in a different buffer formulation. Blocking and diluting buffer and concentration : 5% NFDM/TBST Negative control : RAW264.7 (PMID : 28060378), J774A.1 (PMID : 28060378). In Western blot, Anti-GAPDH antibody [EPR16891] - Loading Control (ab181602) staining at 1/200000 dilution.

All lanes:

Western blot - Anti-CD73 antibody [EPR28214-169] (<a href='/en-us/products/primary-antibodies/cd73-antibody-epr28214-169-ab314327'>ab314327</a>) at 1/1000 dilution

Lane 1:

HC11 (mouse mammary gland epithelial cell) whole cell lysate at 20 µg

Lane 2:

4T1 (mouse mammary gland carcinoma epithelial cell) whole cell lysate at 20 µg

Lane 3:

RAW264.7 (mouse Abelson murine leukemia virus-induced tumor macrophage) whole cell lysate at 20 µg

Lane 4:

J774A.1 (mouse reticum cell sarcoma monocyte macrophage) whole cell lysate at 20 µg

Secondary

All lanes:

Western blot - Goat Anti-Rabbit IgG H&L (HRP) (<a href='/en-us/products/secondary-antibodies/goat-rabbit-igg-h-l-hrp-ab97051'>ab97051</a>) at 1/100000 dilution

Observed band size: 75 kDa

false

Exposure time: 26s

Western blot - Anti-CD73 antibody [EPR28214-169] - BSA and Azide free (AB314328)
  • WB

Supplier Data

Western blot - Anti-CD73 antibody [EPR28214-169] - BSA and Azide free (AB314328)

This data was developed using ab314327, the same antibody clone in a different buffer formulation. Blocking and diluting buffer and concentration : 5% NFDM/TBST The lane 3 was developed using a high sensitivity ECL substrate. In Western blot, Anti-GAPDH antibody [EPR16891] - Loading Control (ab181602) staining at 1/200000 dilution.

All lanes:

Western blot - Anti-CD73 antibody [EPR28214-169] (<a href='/en-us/products/primary-antibodies/cd73-antibody-epr28214-169-ab314327'>ab314327</a>) at 1/1000 dilution

Lane 1:

Mouse lung tissue lysate at 20 µg

Lane 2:

Mouse bladder tissue lysate at 20 µg

Lane 3:

Rat lung tissue lysate at 20 µg

Secondary

All lanes:

Western blot - Goat Anti-Rabbit IgG H&L (HRP) (<a href='/en-us/products/secondary-antibodies/goat-rabbit-igg-h-l-hrp-ab97051'>ab97051</a>) at 1/100000 dilution

Observed band size: 75 kDa

false

Exposure time: 70s

Key facts

Host species

Rabbit

Clonality

Monoclonal

Clone number

EPR28214-169

Isotype

IgG

Carrier free

Yes

Reacts with

Mouse, Rat

Applications

WB, IHC-P, mIHC

applications

Immunogen

The exact immunogen used to generate this antibody is proprietary information.

Reactivity data

{ "title": "Reactivity Data", "filters": { "stats": ["", "Species", "Dilution Info", "Notes"], "tabs": { "all-applications": {"fullname" : "All Applications", "shortname": "All Applications"}, "WB" : {"fullname" : "Western blot", "shortname":"WB"}, "IHCP" : {"fullname" : "Immunohistochemistry (Formalin/PFA-fixed paraffin-embedded sections)", "shortname":"IHC-P"}, "ICCIF" : {"fullname" : "Immunocytochemistry/ Immunofluorescence", "shortname":"ICC/IF"}, "FlowCyt" : {"fullname" : "Flow Cytometry", "shortname":"Flow Cyt"}, "IP" : {"fullname" : "Immunoprecipitation", "shortname":"IP"}, "mIHC" : {"fullname" : "Multiplex immunohistochemistry", "shortname":"mIHC"} }, "product-promise": { "all": "all", "testedAndGuaranteed": "tested", "guaranteed": "expected", "predicted": "predicted", "notRecommended": "not-recommended" } }, "values": { "Human": { "WB-species-checked": "notRecommended", "WB-species-dilution-info": "", "WB-species-notes": "<p></p>", "IHCP-species-checked": "notRecommended", "IHCP-species-dilution-info": "", "IHCP-species-notes": "<p></p>", "ICCIF-species-checked": "notRecommended", "ICCIF-species-dilution-info": "", "ICCIF-species-notes": "", "FlowCyt-species-checked": "notRecommended", "FlowCyt-species-dilution-info": "", "FlowCyt-species-notes": "", "IP-species-checked": "notRecommended", "IP-species-dilution-info": "", "IP-species-notes": "", "mIHC-species-checked": "notRecommended", "mIHC-species-dilution-info": "", "mIHC-species-notes": "" }, "Mouse": { "WB-species-checked": "testedAndGuaranteed", "WB-species-dilution-info": "", "WB-species-notes": "<p></p>", "IHCP-species-checked": "testedAndGuaranteed", "IHCP-species-dilution-info": "", "IHCP-species-notes": "<p></p>", "ICCIF-species-checked": "notRecommended", "ICCIF-species-dilution-info": "", "ICCIF-species-notes": "<p></p>", "FlowCyt-species-checked": "notRecommended", "FlowCyt-species-dilution-info": "", "FlowCyt-species-notes": "<p></p>", "IP-species-checked": "notRecommended", "IP-species-dilution-info": "", "IP-species-notes": "<p></p>", "mIHC-species-checked": "testedAndGuaranteed", "mIHC-species-dilution-info": "", "mIHC-species-notes": "<p></p>" }, "Rat": { "WB-species-checked": "testedAndGuaranteed", "WB-species-dilution-info": "", "WB-species-notes": "<p></p>", "IHCP-species-checked": "testedAndGuaranteed", "IHCP-species-dilution-info": "", "IHCP-species-notes": "<p></p>", "ICCIF-species-checked": "notRecommended", "ICCIF-species-dilution-info": "", "ICCIF-species-notes": "", "FlowCyt-species-checked": "notRecommended", "FlowCyt-species-dilution-info": "", "FlowCyt-species-notes": "", "IP-species-checked": "notRecommended", "IP-species-dilution-info": "", "IP-species-notes": "", "mIHC-species-checked": "testedAndGuaranteed", "mIHC-species-dilution-info": "", "mIHC-species-notes": "<p></p>" } } }

You may be interested in:

AB213761

Human CD73 ELISA Kit (NT5E)

0

0 Reviews

View product

We recommend this product because it’s often used in the same experiment or related research.

We advise that you always check the datasheet to ensure it fits your experiments, or contact ourtechnical teamfor help.

Product details

Properties and storage information

Form
Liquid
Purification technique
Affinity purification Protein A
Storage buffer
pH: 7.2 - 7.4 Constituents: 100% PBS
Shipped at conditions
Blue Ice
Appropriate short-term storage conditions
+4°C
Appropriate long-term storage conditions
+4°C

Supplementary information

This supplementary information is collated from multiple sources and compiled automatically.

CD73 also known as ecto-5'-nucleotidase is an enzyme that functions at the cellular level. The CD73 protein hydrolyzes extracellular nucleotides into nucleosides by removing phosphate groups. It is a 70 kDa glycosylphosphatidylinositol-anchored molecule found on the surface of various cell types including endothelial cells lymphocytes and epithelial cells. Its presence is noted in a wide range of tissues across the human body highlighting its versatile role in cellular communication and metabolism.
Biological function summary

CD73 participates in the regulation of purinergic signaling through adenosine production. It acts in cooperation with other cell surface enzymes such as CD39 forming a functional complex that handles ATP breakdown to adenosine. This enzymatic activity modulates immune responses tissue protection and inflammation control. In addition to immune-related functions CD73 supports the maintenance of vascular integrity and proper cellular adhesion which is important in different physiological and pathological contexts.

Pathways

CD73 plays an important part in the adenosinergic pathway governing the conversion of AMP into adenosine. This activity impacts the signaling and function of the adenosine receptors on immune and non-immune cells. Another important pathway is the angiogenesis process where CD73 contributes by affecting endothelial cell migration and blood vessel development. Relationships with key proteins such as adenosine A2 receptors help facilitate these critical pathway activities.

CD73's involvement with immunosuppression and tumor progression becomes significant. Elevated levels of CD73 are frequently observed in some cancers where it aids in creating a favorable tumor microenvironment through increased adenosine production. This situation assists tumor cells in evading immune detection. Additionally CD73 is linked to autoimmune diseases like multiple sclerosis where it contributes to modulated lymphocyte activity. Connections with proteins such as TGF-beta further illustrate its role in disease-related pathways creating potential targets for therapeutic interventions through the use of anti-CD73 antibodies.

Product protocols

For this product, it's our understanding that no specific protocols are required. You can visit:

Target data

Catalyzes the hydrolysis of nucleotide monophosphates, releasing inorganic phosphate and the corresponding nucleoside (PubMed : 8224905). Hydrolyzes IMP (PubMed : 8224905). Shows a preference for ribonucleotide monophosphates over their equivalent deoxyribose forms (By similarity). Although AMP is the preferred substrate can also hydrolyze UMP, GMP, CMP, dAMP, dCMP, dTMP, NAD and NMN (By similarity).
See full target information Nt5e

Product promise

We are committed to supporting your work with high-quality reagents, and we're here for you every step of the way. In the unlikely event that one of our products does not perform as expected, you're protected by our Product Promise.
For full details, please see our Terms & Conditions

Associated Products

Select an associated product type
Alternative Version
Primary Antibodies

AB314327

Anti-CD73 antibody [EPR28214-169]

primary-antibodies

cd73-antibody-epr28214-169-ab314327

0

(0 reviews)

Please note: All products are 'FOR RESEARCH USE ONLY. NOT FOR USE IN DIAGNOSTIC OR THERAPEUTIC PROCEDURES'.

For licensing inquiries, please contact partnerships@abcam.com