JavaScript is disabled in your browser. Please enable JavaScript to view this website.
AB227113

Anti-CD73 antibody [EPR6114] - Low endotoxin, Azide free

Be the first to review this product! Submit a review

|

(4 Publications)

Knockout Tested Rabbit Recombinant Monoclonal CD73 antibody. Carrier free. Suitable for IHC-P, WB and reacts with Human samples. Cited in 4 publications.

View Alternative Names

CD73, NT5, NTE, NT5E, 5'-nucleotidase, 5'-NT, 5'-deoxynucleotidase, Ecto-5'-nucleotidase, IMP-specific 5'-nucleotidase, Thymidylate 5'-phosphatase

3 Images
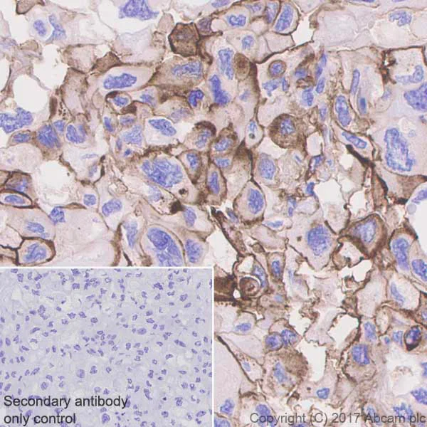
Immunohistochemistry (Formalin/PFA-fixed paraffin-embedded sections) - Anti-CD73 antibody [EPR6114] - Low endotoxin, Azide free (AB227113)
  • IHC-P

Unknown

Immunohistochemistry (Formalin/PFA-fixed paraffin-embedded sections) - Anti-CD73 antibody [EPR6114] - Low endotoxin, Azide free (AB227113)

Immunohistochemistry (Formalin/PFA-fixed paraffin-embedded sections) analysis of Human lung carcinoma tissue sections labeling CD73 with Purified ab133582 at 1 : 2000 dilution (1.12 µg/ml). Heat mediated antigen retrieval was performed using ab93684 (Tris/EDTA buffer, pH 9.0). ImmunoHistoProbe one step HRP Polymer (ready to use)was used. Negative control : PBS instead of the primary antibody. Hematoxylin was used as a counterstain.This data was developed using the same antibody clone in a different buffer formulation containing PBS, BSA, glycerol, and sodium azide (ab133582).

Immunohistochemistry (Formalin/PFA-fixed paraffin-embedded sections) - Anti-CD73 antibody [EPR6114] - Low endotoxin, Azide free (AB227113)
  • IHC-P

Unknown

Immunohistochemistry (Formalin/PFA-fixed paraffin-embedded sections) - Anti-CD73 antibody [EPR6114] - Low endotoxin, Azide free (AB227113)

This IHC data was generated using the same anti-CD73 antibody clone EPR6114 in a different buffer formulation (cat# ab133582).

Immunohistochemical analysis of paraffin-embedded Human tonsil tissue labelling CD73 with ab133582 at 1/100 dilution.

Perform heat mediated antigen retrieval with citrate buffer pH 6 before commencing with IHC staining protocol.

Western blot - Anti-CD73 antibody [EPR6114] - Low endotoxin, Azide free (AB227113)
  • WB

Lab

Western blot - Anti-CD73 antibody [EPR6114] - Low endotoxin, Azide free (AB227113)

False colour image of Western blot : Anti-CD73 antibody [EPR6114] staining at 1/1000 dilution, shown in green; Mouse anti-GAPDH antibody [6C5] (ab8245) loading control staining at 1/20000 dilution, shown in red. In Western blot, ab133582 was shown to bind specifically to CD73. A band was observed at 70 kDa in wild-type A-375 cell lysates with no signal observed at this size in NT5E knockout cell line ab281591 (knockout cell lysate ab282943). To generate this image, wild-type and NT5E knockout A-375 cell lysates were analysed. First, samples were run on an SDS-PAGE gel then transferred onto a nitrocellulose membrane. Membranes were blocked in fluorescent western blot (TBS-based) blocking solution before incubation with primary antibodies overnight at 4 °C. Blots were washed four times in TBS-T, incubated with secondary antibodies for 1 h at room temperature, washed again four times then imaged. Secondary antibodies used were Goat anti-Rabbit IgG H&L (IRDye® 800CW) preabsorbed (ab216773) and Goat anti-Mouse IgG H&L (IRDye® 680RD) preabsorbed (ab216776) at 1/20000 dilution.

All lanes:

Western blot - Anti-CD73 antibody [EPR6114] (<a href='/en-us/products/primary-antibodies/cd73-antibody-epr6114-ab133582'>ab133582</a>) at 1/1000 dilution

Lane 1:

Wild-type A-375 cell lysate at 20 µg

Lane 2:

NT5E knockout A-375 cell lysate at 20 µg

Lane 3:

A431 cell lysate at 20 µg

Lane 4:

HepG2 cell lysate at 20 µg

Secondary

Lanes 1 - 4:

Western blot - Goat anti-Rabbit IgG H&L (IRDye® 800CW) preadsorbed (<a href='/en-us/products/secondary-antibodies/goat-rabbit-igg-h-l-irdye-800cw-preadsorbed-ab216773'>ab216773</a>) at 1/20000 dilution

Lanes 1 - 4:

Western blot - Goat anti-Mouse IgG H&L (IRDye® 680RD) preadsorbed (<a href='/en-us/products/secondary-antibodies/goat-mouse-igg-h-l-irdye-680rd-preadsorbed-ab216776'>ab216776</a>) at 1/20000 dilution

Observed band size: 70 kDa

false

Key facts

Host species

Rabbit

Clonality

Monoclonal

Clone number

EPR6114

Isotype

IgG

Carrier free

Yes

Reacts with

Human

Applications

IHC-P, WB

applications

Immunogen

The exact immunogen used to generate this antibody is proprietary information.

Reactivity data

{ "title": "Reactivity Data", "filters": { "stats": ["", "Species", "Dilution Info", "Notes"], "tabs": { "all-applications": {"fullname" : "All Applications", "shortname": "All Applications"}, "IHCP" : {"fullname" : "Immunohistochemistry (Formalin/PFA-fixed paraffin-embedded sections)", "shortname":"IHC-P"}, "IP" : {"fullname" : "Immunoprecipitation", "shortname":"IP"}, "FlowCyt" : {"fullname" : "Flow Cytometry", "shortname":"Flow Cyt"}, "WB" : {"fullname" : "Western blot", "shortname":"WB"}, "ICCIF" : {"fullname" : "Immunocytochemistry/ Immunofluorescence", "shortname":"ICC/IF"} }, "product-promise": { "all": "all", "testedAndGuaranteed": "tested", "guaranteed": "expected", "predicted": "predicted", "notRecommended": "not-recommended" } }, "values": { "Human": { "IHCP-species-checked": "testedAndGuaranteed", "IHCP-species-dilution-info": "", "IHCP-species-notes": "<p></p>", "IP-species-checked": "notRecommended", "IP-species-dilution-info": "", "IP-species-notes": "<p></p>", "FlowCyt-species-checked": "notRecommended", "FlowCyt-species-dilution-info": "", "FlowCyt-species-notes": "<p></p>", "WB-species-checked": "testedAndGuaranteed", "WB-species-dilution-info": "", "WB-species-notes": "<p></p>", "ICCIF-species-checked": "notRecommended", "ICCIF-species-dilution-info": "", "ICCIF-species-notes": "<p></p>" } } }

Product details

ab227113 is the carrier-free version of ab133582.

Species reactivity
Mouse, Rat: We have preliminary internal testing data to indicate this antibody may not react with these species.
Please contact us for more information.

Conjugation ready
Our carrier-free antibodies are typically supplied in a PBS-only formulation, purified and free of BSA, sodium azide and glycerol. This conjugation-ready format is designed for use with fluorochromes, metal isotopes, oligonucleotides, and enzymes, which makes them ideal for antibody labelling, functional and cell-based assays, flow-based assays (e.g. mass cytometry) and Multiplex Imaging applications.

Use our conjugation kits for antibody conjugates that are ready-to-use in as little as 20 minutes with 1 minute hands-on-time and 100% antibody recovery: available for fluorescent dyes, HRP, biotin and gold.

What does low endotoxin mean?
Our low endotoxin, azide-free formats have low endotoxin level (1 EU/mg, determined by the TAL assay) and are free from azide, to achieve consistent experimental results in functional assays.

Properties and storage information

Form
Liquid
Purification technique
Affinity purification Protein A
Storage buffer
pH: 7.2 - 7.4 Constituents: PBS
Shipped at conditions
Blue Ice
Appropriate short-term storage conditions
+4°C
Appropriate long-term storage conditions
+4°C
Storage information
Do Not Freeze

Supplementary information

This supplementary information is collated from multiple sources and compiled automatically.

CD73 also known as ecto-5'-nucleotidase is an enzyme that functions at the cellular level. The CD73 protein hydrolyzes extracellular nucleotides into nucleosides by removing phosphate groups. It is a 70 kDa glycosylphosphatidylinositol-anchored molecule found on the surface of various cell types including endothelial cells lymphocytes and epithelial cells. Its presence is noted in a wide range of tissues across the human body highlighting its versatile role in cellular communication and metabolism.
Biological function summary

CD73 participates in the regulation of purinergic signaling through adenosine production. It acts in cooperation with other cell surface enzymes such as CD39 forming a functional complex that handles ATP breakdown to adenosine. This enzymatic activity modulates immune responses tissue protection and inflammation control. In addition to immune-related functions CD73 supports the maintenance of vascular integrity and proper cellular adhesion which is important in different physiological and pathological contexts.

Pathways

CD73 plays an important part in the adenosinergic pathway governing the conversion of AMP into adenosine. This activity impacts the signaling and function of the adenosine receptors on immune and non-immune cells. Another important pathway is the angiogenesis process where CD73 contributes by affecting endothelial cell migration and blood vessel development. Relationships with key proteins such as adenosine A2 receptors help facilitate these critical pathway activities.

CD73's involvement with immunosuppression and tumor progression becomes significant. Elevated levels of CD73 are frequently observed in some cancers where it aids in creating a favorable tumor microenvironment through increased adenosine production. This situation assists tumor cells in evading immune detection. Additionally CD73 is linked to autoimmune diseases like multiple sclerosis where it contributes to modulated lymphocyte activity. Connections with proteins such as TGF-beta further illustrate its role in disease-related pathways creating potential targets for therapeutic interventions through the use of anti-CD73 antibodies.

Product protocols

For this product, it's our understanding that no specific protocols are required. You can visit:

Target data

Catalyzes the hydrolysis of nucleotide monophosphates, releasing inorganic phosphate and the corresponding nucleoside, with AMP being the preferred substrate (PubMed : 21933152, PubMed : 22997138, PubMed : 23142347, PubMed : 24887587, PubMed : 34403084). Shows a preference for ribonucleotide monophosphates over their equivalent deoxyribose forms (PubMed : 34403084). Other substrates include IMP, UMP, GMP, CMP, dAMP, dCMP, dTMP, NAD and NMN (PubMed : 21933152, PubMed : 22997138, PubMed : 23142347, PubMed : 24887587, PubMed : 34403084).
See full target information NT5E

Publications (4)

Recent publications for all applications. Explore the full list and refine your search

Development, growth & differentiation 58:530-45 PubMed27241908

2016

Six1 is required for mouse dental follicle cell and human periodontal ligament-derived cell proliferation.

Applications

IF

Species

Unspecified reactive species

Tatsuki Kawasaki,Masanori Takahashi,Hiroshi Yajima,Yoshiyuki Mori,Kiyoshi Kawakami

Tumour biology : the journal of the International 36:5459-66 PubMed25677906

2015

The expression and clinical significance of CD73 molecule in human rectal adenocarcinoma.

Applications

IHC

Species

Human

Bin Zhang,Bin Song,Xin Wang,Xu-Sheng Chang,Tao Pang,Xin Zhang,Kai Yin,Guo-En Fang

Clinical and experimental dermatology 40:182-91 PubMed25284153

2014

Target tissue ectoenzyme CD39/CD73-expressing Foxp3+ regulatory T cells in patients with psoriasis.

Applications

IHC

Species

Human

H Y Zhang,K X Yan,Q Huang,Y Ma,X Fang,L Han

Investigative ophthalmology & visual science 55:4842-52 PubMed24994870

2014

Isolation and characterization of mesenchymal progenitor cells from human orbital adipose tissue.

Applications

IF

Species

Human

Szu-Yu Chen,Megha Mahabole,Elan Horesh,Sara Wester,Jeffrey L Goldberg,Scheffer C G Tseng
View all publications

Product promise

We are committed to supporting your work with high-quality reagents, and we're here for you every step of the way. In the unlikely event that one of our products does not perform as expected, you're protected by our Product Promise.
For full details, please see our Terms & Conditions

Please note: All products are 'FOR RESEARCH USE ONLY. NOT FOR USE IN DIAGNOSTIC OR THERAPEUTIC PROCEDURES'.

For licensing inquiries, please contact partnerships@abcam.com