JavaScript is disabled in your browser. Please enable JavaScript to view this website.
AB259262

Anti-CD73 antibody [NT5E/2505] - BSA and Azide free

Be the first to review this product! Submit a review

|

(1 Publication)

Mouse Monoclonal CD73 antibody. Carrier free. Suitable for ICC/IF, WB, Protein Array, IHC-P and reacts with Human, Recombinant full length protein - Human samples. Cited in 1 publication. Immunogen corresponding to Recombinant Full Length Protein corresponding to Human NT5E.

View Alternative Names

CD73, NT5, NTE, NT5E, 5'-nucleotidase, 5'-NT, 5'-deoxynucleotidase, Ecto-5'-nucleotidase, IMP-specific 5'-nucleotidase, Thymidylate 5'-phosphatase

7 Images
Immunohistochemistry (Formalin/PFA-fixed paraffin-embedded sections) - Anti-CD73 antibody [NT5E/2505] - BSA and Azide free (AB259262)
  • IHC-P

Supplier Data

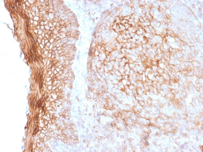
Immunohistochemistry (Formalin/PFA-fixed paraffin-embedded sections) - Anti-CD73 antibody [NT5E/2505] - BSA and Azide free (AB259262)

Formalin-fixed, paraffin-embedded human tonsil tissue stained for CD73 using ab257310 at 2 μg/ml in immunohistochemical analysis.

This data was developed using the same antibody clone in a different buffer formulation containing PBS, BSA and sodium azide (ab257310).

Immunohistochemistry (Formalin/PFA-fixed paraffin-embedded sections) - Anti-CD73 antibody [NT5E/2505] - BSA and Azide free (AB259262)
  • IHC-P

Supplier Data

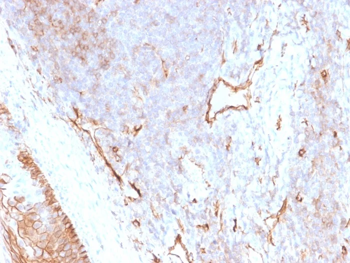
Immunohistochemistry (Formalin/PFA-fixed paraffin-embedded sections) - Anti-CD73 antibody [NT5E/2505] - BSA and Azide free (AB259262)

Formalin-fixed, paraffin-embedded human colon carcinoma tissue stained for CD73 using ab257310 at 2 μg/ml in immunohistochemical analysis.

This data was developed using the same antibody clone in a different buffer formulation containing PBS, BSA and sodium azide (ab257310).

Immunohistochemistry (Formalin/PFA-fixed paraffin-embedded sections) - Anti-CD73 antibody [NT5E/2505] - BSA and Azide free (AB259262)
  • IHC-P

Supplier Data

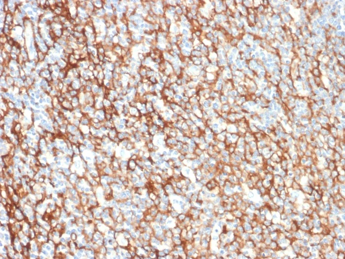
Immunohistochemistry (Formalin/PFA-fixed paraffin-embedded sections) - Anti-CD73 antibody [NT5E/2505] - BSA and Azide free (AB259262)

Formalin-fixed, paraffin-embedded human tonsil tissue stained for CD73 using ab257310 at 2 μg/ml in immunohistochemical analysis.

This data was developed using the same antibody clone in a different buffer formulation containing PBS, BSA and sodium azide (ab257310).

Immunohistochemistry (Formalin/PFA-fixed paraffin-embedded sections) - Anti-CD73 antibody [NT5E/2505] - BSA and Azide free (AB259262)
  • IHC-P

Supplier Data

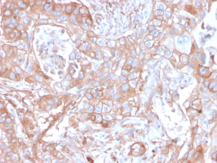
Immunohistochemistry (Formalin/PFA-fixed paraffin-embedded sections) - Anti-CD73 antibody [NT5E/2505] - BSA and Azide free (AB259262)

Formalin-fixed, paraffin-embedded human tonsil tissue stained for CD73 using ab257310 at 2 μg/ml in immunohistochemical analysis.

This data was developed using the same antibody clone in a different buffer formulation containing PBS, BSA and sodium azide (ab257310).

Immunocytochemistry/ Immunofluorescence - Anti-CD73 antibody [NT5E/2505] - BSA and Azide free (AB259262)
  • ICC/IF

Supplier Data

Immunocytochemistry/ Immunofluorescence - Anti-CD73 antibody [NT5E/2505] - BSA and Azide free (AB259262)

Immunofluorescence staining of U-87 MG (human glioblastoma-astrocytoma epithelial cell line) cells labeling CD73 using ab257310 at 2 μg/ml, followed by a goat anti-Mouse IgG conjugated to CF488 (green). Membrane stained with Phalloidin (Red).

This data was developed using the same antibody clone in a different buffer formulation containing PBS, BSA and sodium azide (ab257310).

Western blot - Anti-CD73 antibody [NT5E/2505] - BSA and Azide free (AB259262)
  • WB

Supplier Data

Western blot - Anti-CD73 antibody [NT5E/2505] - BSA and Azide free (AB259262)

Western blot analysis labeling CD73 with ab259262 at 1 ug/ml.

All lanes:

Western blot - Anti-CD73 antibody [NT5E/2505] - BSA and Azide free (ab259262) at 1 µg/mL

Lane 1:

A431 (Human epidermoid carcinoma cell line) whole cell lysate

Lane 2:

PC3 (Human prostate adenocarcinoma cell line) whole cell lysate

Predicted band size: 63 kDa

false

Protein Array - Anti-CD73 antibody [NT5E/2505] - BSA and Azide free (AB259262)
  • Protein Array

Supplier Data

Protein Array - Anti-CD73 antibody [NT5E/2505] - BSA and Azide free (AB259262)

Analysis of Protein Array containing more than 19,000 full-length human proteins using ab257310.

Z- and S- Score : The Z-score represents the strength of a signal that a monoclonal antibody (MAb) (in combination with a fluorescently-tagged anti-IgG secondary antibody) produces when binding to a particular protein on the HuProtTM array. Z-scores are described in units of standard deviations (SD's) above the mean value of all signals generated on that array. If targets on HuProtTM are arranged in descending order of the Z-score, the S-score is the difference (also in units of SD's) between the Z-score. S-score therefore represents the relative target specificity of a MAb to its intended target. A MAb is considered to specific to its intended target, if the MAb has an S-score of at least 2.5. For example, if a MAb binds to protein X with a Z-score of 43 and to protein Y with a Z-score of 14, then the S-score for the binding of that MAb to protein X is equal to 29.

This data was developed using the same antibody clone in a different buffer formulation containing PBS, BSA and sodium azide (ab257310).

Key facts

Host species

Mouse

Clonality

Monoclonal

Clone number

NT5E/2505

Isotype

IgG1

Light chain type

kappa

Carrier free

Yes

Reacts with

Human

Applications

WB, Protein Array, IHC-P, ICC/IF

applications

Immunogen

Recombinant Full Length Protein corresponding to Human NT5E.

P21589

Reactivity data

{ "title": "Reactivity Data", "filters": { "stats": ["", "Species", "Dilution Info", "Notes"], "tabs": { "all-applications": {"fullname" : "All Applications", "shortname": "All Applications"}, "ICCIF" : {"fullname" : "Immunocytochemistry/ Immunofluorescence", "shortname":"ICC/IF"}, "WB" : {"fullname" : "Western blot", "shortname":"WB"}, "ProteinArray" : {"fullname" : "Protein Array", "shortname":"Protein Array"}, "IHCP" : {"fullname" : "Immunohistochemistry (Formalin/PFA-fixed paraffin-embedded sections)", "shortname":"IHC-P"} }, "product-promise": { "all": "all", "testedAndGuaranteed": "tested", "guaranteed": "expected", "predicted": "predicted", "notRecommended": "not-recommended" } }, "values": { "Human": { "ICCIF-species-checked": "testedAndGuaranteed", "ICCIF-species-dilution-info": "1-2 µg/mL", "ICCIF-species-notes": "<p></p>", "WB-species-checked": "testedAndGuaranteed", "WB-species-dilution-info": "1-2 µg/mL", "WB-species-notes": "<p></p>", "ProteinArray-species-checked": "guaranteed", "ProteinArray-species-dilution-info": "", "ProteinArray-species-notes": "", "IHCP-species-checked": "testedAndGuaranteed", "IHCP-species-dilution-info": "1-2 µg/mL", "IHCP-species-notes": "<p></p>" }, "Recombinant full length protein - Human": { "ICCIF-species-checked": "notRecommended", "ICCIF-species-dilution-info": "", "ICCIF-species-notes": "", "WB-species-checked": "notRecommended", "WB-species-dilution-info": "", "WB-species-notes": "", "ProteinArray-species-checked": "testedAndGuaranteed", "ProteinArray-species-dilution-info": "", "ProteinArray-species-notes": "<p></p>", "IHCP-species-checked": "notRecommended", "IHCP-species-dilution-info": "", "IHCP-species-notes": "" } } }

Product details

ab259262 is the carrier-free version of ab257210.

Conjugation ready
Our carrier-free antibodies are typically supplied in a PBS-only formulation, purified and free of BSA, sodium azide and glycerol. This conjugation-ready format is designed for use with fluorochromes, metal isotopes, oligonucleotides, and enzymes, which makes them ideal for antibody labelling, functional and cell-based assays, flow-based assays (e.g. mass cytometry) and Multiplex Imaging applications.

Use our conjugation kits for antibody conjugates that are ready-to-use in as little as 20 minutes with 1 minute hands-on-time and 100% antibody recovery: available for fluorescent dyes, HRP, biotin and gold.

Properties and storage information

Form
Liquid
Purification technique
Affinity purification Protein A/G
Storage buffer
pH: 7.2 - 7.4 Constituents: PBS
Shipped at conditions
Blue Ice
Appropriate short-term storage duration
1-2 weeks
Appropriate short-term storage conditions
+4°C
Appropriate long-term storage conditions
-20°C
Aliquoting information
Upon delivery aliquot
Storage information
Avoid freeze / thaw cycle

Supplementary information

This supplementary information is collated from multiple sources and compiled automatically.

CD73 also known as ecto-5'-nucleotidase is an enzyme that functions at the cellular level. The CD73 protein hydrolyzes extracellular nucleotides into nucleosides by removing phosphate groups. It is a 70 kDa glycosylphosphatidylinositol-anchored molecule found on the surface of various cell types including endothelial cells lymphocytes and epithelial cells. Its presence is noted in a wide range of tissues across the human body highlighting its versatile role in cellular communication and metabolism.
Biological function summary

CD73 participates in the regulation of purinergic signaling through adenosine production. It acts in cooperation with other cell surface enzymes such as CD39 forming a functional complex that handles ATP breakdown to adenosine. This enzymatic activity modulates immune responses tissue protection and inflammation control. In addition to immune-related functions CD73 supports the maintenance of vascular integrity and proper cellular adhesion which is important in different physiological and pathological contexts.

Pathways

CD73 plays an important part in the adenosinergic pathway governing the conversion of AMP into adenosine. This activity impacts the signaling and function of the adenosine receptors on immune and non-immune cells. Another important pathway is the angiogenesis process where CD73 contributes by affecting endothelial cell migration and blood vessel development. Relationships with key proteins such as adenosine A2 receptors help facilitate these critical pathway activities.

CD73's involvement with immunosuppression and tumor progression becomes significant. Elevated levels of CD73 are frequently observed in some cancers where it aids in creating a favorable tumor microenvironment through increased adenosine production. This situation assists tumor cells in evading immune detection. Additionally CD73 is linked to autoimmune diseases like multiple sclerosis where it contributes to modulated lymphocyte activity. Connections with proteins such as TGF-beta further illustrate its role in disease-related pathways creating potential targets for therapeutic interventions through the use of anti-CD73 antibodies.

Product protocols

For this product, it's our understanding that no specific protocols are required. You can visit:

Target data

Catalyzes the hydrolysis of nucleotide monophosphates, releasing inorganic phosphate and the corresponding nucleoside, with AMP being the preferred substrate (PubMed : 21933152, PubMed : 22997138, PubMed : 23142347, PubMed : 24887587, PubMed : 34403084). Shows a preference for ribonucleotide monophosphates over their equivalent deoxyribose forms (PubMed : 34403084). Other substrates include IMP, UMP, GMP, CMP, dAMP, dCMP, dTMP, NAD and NMN (PubMed : 21933152, PubMed : 22997138, PubMed : 23142347, PubMed : 24887587, PubMed : 34403084).
See full target information NT5E

Publications (1)

Recent publications for all applications. Explore the full list and refine your search

Cancer immunology, immunotherapy : CII 73:78 PubMed38554152

2024

Lipid droplets-related Perilipin-3: potential immune checkpoint and oncogene in oral squamous cell carcinoma.

Applications

Unspecified application

Species

Unspecified reactive species

Yijia He,Lingyun Liu,Yuexin Dong,Xiaoxin Zhang,Yuxian Song,Yue Jing,Yanhong Ni,Yi Wang,Zhiyong Wang,Liang Ding
View all publications

Product promise

We are committed to supporting your work with high-quality reagents, and we're here for you every step of the way. In the unlikely event that one of our products does not perform as expected, you're protected by our Product Promise.
For full details, please see our Terms & Conditions

Please note: All products are 'FOR RESEARCH USE ONLY. NOT FOR USE IN DIAGNOSTIC OR THERAPEUTIC PROCEDURES'.

For licensing inquiries, please contact partnerships@abcam.com