JavaScript is disabled in your browser. Please enable JavaScript to view this website.
AB317463

Anti-CD73 antibody [RM2050] - BSA and Azide free

  • BOND RX™ Validated
  • Recombinant
  • RabMAb
  • KO Validated
  • What is this?

Be the first to review this product! Submit a review

|

(0 Publication)

Knockout Tested Rabbit Recombinant Multiclonal CD73 antibody. Carrier free. Suitable for WB, Flow Cyt, IP, ICC/IF, IHC-P and reacts with Human, Mouse samples.

View Alternative Names

CD73, NT5, NTE, NT5E, 5'-nucleotidase, 5'-NT, 5'-deoxynucleotidase, Ecto-5'-nucleotidase, IMP-specific 5'-nucleotidase, Thymidylate 5'-phosphatase

13 Images
Flow Cytometry - Anti-CD73 antibody [RM2050] - BSA and Azide free (AB317463)
  • Flow Cyt

Supplier Data

Flow Cytometry - Anti-CD73 antibody [RM2050] - BSA and Azide free (AB317463)

This data was developed using ab317462, the same antibody clone in a different buffer formulation.

Flow cytometric analysis of HeLa(human cervical adenocarcinoma epithelial cell, Left) / U-87 MG(human glioblastoma-astrocytoma epithelial cell, Right) cells labelling CD73 with ab317462 at 1/5000 dilution (0.01 ug)/Red compared with a Rabbit monoclonal IgG (ab172730) (Black) isotype control and an unlabelled control (cells without incubation with primary antibody and secondary antibody) (Blue).

Goat Anti-Rabbit IgG (Alexa Fluor® 488, ab150081) at 1/5000 dilution was used as the secondary antibody.

Low expression : HeLa (PMID : 8566797)
Gated on viable cell.

Flow Cytometry - Anti-CD73 antibody [RM2050] - BSA and Azide free (AB317463)
  • Flow Cyt

Supplier Data

Flow Cytometry - Anti-CD73 antibody [RM2050] - BSA and Azide free (AB317463)

This data was developed using ab317462, the same antibody clone in a different buffer formulation.

Flow cytometric analysis of CD73 knockout A431(huam CD73 knock out human epidermoid carcinoma epithelial cell, Left) / Parental A431(Right) cells labelling CD73 with ab317462 at 1/500 dilution (0.1 ug)/Red compared with a Rabbit monoclonal IgG (ab172730) (Black) isotype control and an unlabelled control (cells without incubation with primary antibody and secondary antibody) (Blue).

Goat Anti-Rabbit IgG (Alexa Fluor® 488, ab150081) at 1/5000 dilution was used as the secondary antibody.

Gated on viable cell.

Immunohistochemistry (Formalin/PFA-fixed paraffin-embedded sections) - Anti-CD73 antibody [RM2050] - BSA and Azide free (AB317463)
  • IHC-P

Supplier Data

Immunohistochemistry (Formalin/PFA-fixed paraffin-embedded sections) - Anti-CD73 antibody [RM2050] - BSA and Azide free (AB317463)

This data was developed using ab317462, the same antibody clone in a different buffer formulation.

Immunohistochemical analysis of paraffin-embedded Human stomach tissue labeling CD73 with ab317462 at 1/100 (4.97 ug/ml) dilution, followed by a ready to use LeicaDS9800 (Bond™ Polymer Refine Detection).

Low expression : Weakly positive staining on blood vessels of human stomach. The section was incubated with ab317462 for 30 mins at room temperature.
The immunostaining was performed on a Leica Biosystems BOND® RX instrument

Counterstained with Hematoxylin.

Secondary antibody only control : Secondary antibody is a ready to use LeicaDS9800 (Bond™ Polymer Refine Detection).

Heat mediated antigen retrieval was performed with Tris-EDTA buffer (pH 9.0, Epitope Retrieval Solution2) for 20 mins

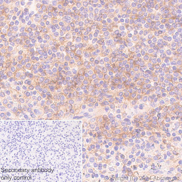
Immunohistochemistry (Formalin/PFA-fixed paraffin-embedded sections) - Anti-CD73 antibody [RM2050] - BSA and Azide free (AB317463)
  • IHC-P

Supplier Data

Immunohistochemistry (Formalin/PFA-fixed paraffin-embedded sections) - Anti-CD73 antibody [RM2050] - BSA and Azide free (AB317463)

This data was developed using ab317462, the same antibody clone in a different buffer formulation.

Immunohistochemical analysis of paraffin-embedded Human spleen tissue labeling CD73 with ab317462 at 1/100 (4.97 ug/ml) dilution, followed by a ready to use LeicaDS9800 (Bond™ Polymer Refine Detection).

Positive staining on human spleen. The section was incubated with ab317462 for 30 mins at room temperature.
The immunostaining was performed on a Leica Biosystems BOND® RX instrument

Counterstained with Hematoxylin.

Secondary antibody only control : Secondary antibody is a ready to use LeicaDS9800 (Bond™ Polymer Refine Detection).

Heat mediated antigen retrieval was performed with Tris-EDTA buffer (pH 9.0, Epitope Retrieval Solution2) for 20 mins

Immunocytochemistry/ Immunofluorescence - Anti-CD73 antibody [RM2050] - BSA and Azide free (AB317463)
  • ICC/IF

Supplier Data

Immunocytochemistry/ Immunofluorescence - Anti-CD73 antibody [RM2050] - BSA and Azide free (AB317463)

This data was developed using ab317462, the same antibody clone in a different buffer formulation.

Immunofluorescent analysis of 4% Paraformaldehyde-fixed, 0.1% TritonX-100 permeabilized NT5E KO A431(human epidermoid carcinoma epithelial cell) cells labelling CD73 with ab317462 at 1/500 (0.994 ug/ml) dilution, followed by ab150081 Goat Anti-Rabbit IgG H&L (Alexa Fluor® 488) preadsorbed antibody at 1/1000 2 ug/mL dilution (Green).

Confocal image showing membrane and cytoplasmic staining in parental A431 cell line (shown in green). The counterstain was observed in magenta. Nuclear DNA was labeled with DAPI (shown in blue). Image was taken with a confocal microscope (Leica-Microsystems, TCS SP8).

ab195889 Anti-alpha Tubulin mouse monoclonal antibody - Microtubule Marker (Alexa Fluor® 594) was used to counterstain tubulin at 1/200 2.5ug/ml dilution (Magenta). The Nuclear counterstain was DAPI (Blue).

Secondary antibody only control : Secondary antibody is ab150081 Goat Anti-Rabbit IgG H&L (Alexa Fluor® 488) preadsorbed at 1/1000 2 ug/mL dilution.

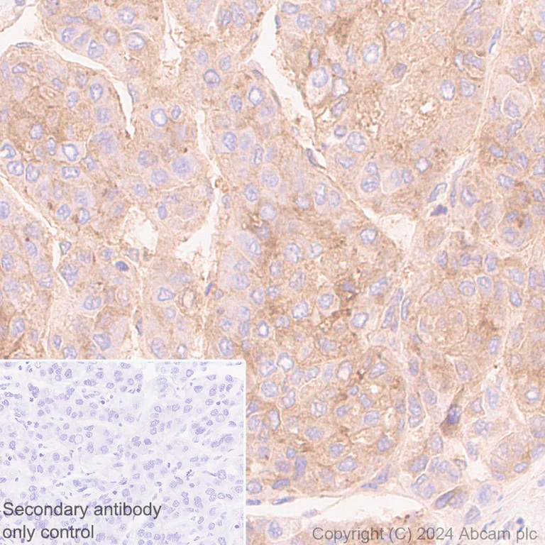
Immunohistochemistry (Formalin/PFA-fixed paraffin-embedded sections) - Anti-CD73 antibody [RM2050] - BSA and Azide free (AB317463)
  • IHC-P

Supplier Data

Immunohistochemistry (Formalin/PFA-fixed paraffin-embedded sections) - Anti-CD73 antibody [RM2050] - BSA and Azide free (AB317463)

This data was developed using ab317462, the same antibody clone in a different buffer formulation.

Immunohistochemical analysis of paraffin-embedded Human liver cancer tissue labeling CD73 with ab317462 at 1/100 (4.97 ug/ml) dilution, followed by a ready to use LeicaDS9800 (Bond™ Polymer Refine Detection).

Positive staining on human liver cancer (PMID : 30971294). The section was incubated with ab317462 for 30 mins at room temperature.
The immunostaining was performed on a Leica Biosystems BOND® RX instrument

Counterstained with Hematoxylin.

Secondary antibody only control : Secondary antibody is a ready to use LeicaDS9800 (Bond™ Polymer Refine Detection).

Heat mediated antigen retrieval was performed with Tris-EDTA buffer (pH 9.0, Epitope Retrieval Solution2) for 20 mins

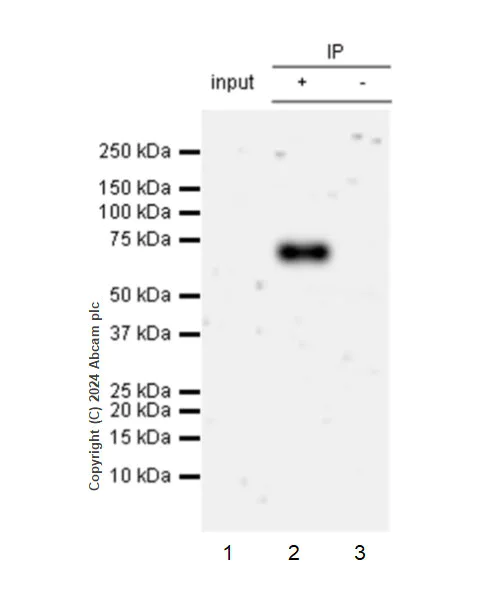
Immunoprecipitation - Anti-CD73 antibody [RM2050] - BSA and Azide free (AB317463)
  • IP

Supplier Data

Immunoprecipitation - Anti-CD73 antibody [RM2050] - BSA and Azide free (AB317463)

This data was developed using ab317462, the same antibody clone in a different buffer formulation.

CD73 was immunoprecipitated from 0.35 mg U-87 MG (human glioblastoma-astrocytoma epithelial cell) whole cell lysate with ab317462 at 1/30 dilution (2ug in 0.35mg lysates). Western blot was performed on the immunoprecipitate using ab317462 at 1/1000 dilution. VeriBlot for IP secondary antibody(HRP)(ab131366) was used at 1/5000 dilution.

Lane 1 : U-87 MG (human glioblastoma-astrocytoma epithelial cell) whole cell lysate
Lane 2 : ab317462 IP in U-87 MG (human glioblastoma-astrocytoma epithelial cell) whole cell lysate
Lane 3 : Rabbit monoclonal IgG (ab172730) instead of ab317462 in U-87 MG whole cell lysate

Blocking and dilution buffer and concentration : 5% NFDM/TBST.

All lanes:

Immunoprecipitation - Anti-CD73 antibody [RM2050] (<a href='/en-us/products/primary-antibodies/cd73-antibody-rm2050-ab317462'>ab317462</a>) at 1/30 dilution

Lane 1:

U-87 MG (human glioblastoma-astrocytoma epithelial cell) whole cell lysate

Lane 2:

<a href='/en-us/products/primary-antibodies/cd73-antibody-rm2050-ab317462'>ab317462</a> IP in U-87 MG (human glioblastoma-astrocytoma epithelial cell) whole cell lysate

Secondary

All lanes:

Immunoprecipitation - VeriBlot for IP Detection Reagent (HRP) (<a href='/en-us/products/reagents/veriblot-for-ip-detection-reagent-hrp-ab131366'>ab131366</a>) at 1/5000 dilution

false

Exposure time: 32s

Flow Cytometry - Anti-CD73 antibody [RM2050] - BSA and Azide free (AB317463)
  • Flow Cyt

Supplier Data

Flow Cytometry - Anti-CD73 antibody [RM2050] - BSA and Azide free (AB317463)

This data was developed using ab317462, the same antibody clone in a different buffer formulation.

Flow cytometric analysis of Mouse spleen cells labelling CD73 with ab317462 at 1/50 dilution (1 ug)/Right compared with a Rabbit monoclonal IgG (ab172730) / Left isotype control and an unlabelled control (cells without incubation with primary antibody and secondary antibody) (Blue).

Goat Anti-Rabbit IgG (Alexa Fluor® 488, ab150081) at 1/5000 dilution was used as the secondary antibody.

Mouse spleen cell are co-stained with CD3 conjugated Alexa Fluor®647.
Gated on viable cell.

Immunocytochemistry/ Immunofluorescence - Anti-CD73 antibody [RM2050] - BSA and Azide free (AB317463)
  • ICC/IF

Supplier Data

Immunocytochemistry/ Immunofluorescence - Anti-CD73 antibody [RM2050] - BSA and Azide free (AB317463)

This data was developed using ab317462, the same antibody clone in a different buffer formulation.

Immunofluorescent analysis of 4% Paraformaldehyde-fixed, 0.1% TritonX-100 permeabilized 4T1 (mouse mammary gland carcinoma epithelial cell) cells labelling CD73 with ab317462 at 1/500 (0.994 ug/ml) dilution, followed by ab150081 Goat Anti-Rabbit IgG H&L (Alexa Fluor® 488) preadsorbed antibody at 1/1000 2 ug/mL dilution (Green).

Confocal image showing membrane and cytoplasmic staining in 4T1 cell line (shown in green). The counterstain was observed in magenta. Nuclear DNA was labeled with DAPI (shown in blue).
Negative control : RAW 264.7 (PMID : 28060378)
Image was taken with a confocal microscope (Leica-Microsystems, TCS SP8).

ab195889 Anti-alpha Tubulin mouse monoclonal antibody - Microtubule Marker (Alexa Fluor® 594) was used to counterstain tubulin at 1/200 2.5ug/ml dilution (Magenta). The Nuclear counterstain was DAPI (Blue).

Secondary antibody only control : Secondary antibody is ab150081 Goat Anti-Rabbit IgG H&L (Alexa Fluor® 488) preadsorbed at 1/1000 2 ug/mL dilution.

Flow Cytometry - Anti-CD73 antibody [RM2050] - BSA and Azide free (AB317463)
  • Flow Cyt

Supplier Data

Flow Cytometry - Anti-CD73 antibody [RM2050] - BSA and Azide free (AB317463)

This data was developed using ab317462, the same antibody clone in a different buffer formulation.

Flow cytometric analysis of RAW 264.7(mouse Abelson murine leukemia virus-induced tumor macrophage, Left) / 4T1 (mouse mammary gland carcinoma epithelial cell, Right) cells labelling CD73 with ab317462 at 1/50 dilution (1 ug)/Red compared with a Rabbit monoclonal IgG (ab172730) (Black) isotype control and an unlabelled control (cells without incubation with primary antibody and secondary antibody) (Blue).

Goat Anti-Rabbit IgG (Alexa Fluor® 488, ab150081) at 1/5000 dilution was used as the secondary antibody.

Negative control : RAW 264.7(PMID : 28060378)
Gated on viable cell.

Immunoprecipitation - Anti-CD73 antibody [RM2050] - BSA and Azide free (AB317463)
  • IP

Supplier Data

Immunoprecipitation - Anti-CD73 antibody [RM2050] - BSA and Azide free (AB317463)

This data was developed using ab317462, the same antibody clone in a different buffer formulation.

CD73 was immunoprecipitated from 0.35 mg 4T1 (mouse mammary gland carcinoma epithelial cell) whole cell lysate with ab317462 at 1/30 dilution (2ug in 0.35mg lysates). Western blot was performed on the immunoprecipitate using ab317462 at 1/1000 dilution. VeriBlot for IP secondary antibody(HRP)(ab131366) was used at 1/5000 dilution.

Lane 1 : 4T1 (mouse mammary gland carcinoma epithelial cell) whole cell lysate
Lane 2 : ab317462 IP in 4T1 (mouse mammary gland carcinoma epithelial cell) whole cell lysate
Lane 3 : Rabbit monoclonal IgG (ab172730) instead of ab317462 in 4T1 whole cell lysate

Blocking and dilution buffer and concentration : 5% NFDM/TBST.

All lanes:

Immunoprecipitation - Anti-CD73 antibody [RM2050] (<a href='/en-us/products/primary-antibodies/cd73-antibody-rm2050-ab317462'>ab317462</a>) at 1/30 dilution

Lane 1:

4T1 (mouse mammary gland carcinoma epithelial cell) whole cell lysate

Lane 2:

<a href='/en-us/products/primary-antibodies/cd73-antibody-rm2050-ab317462'>ab317462</a> IP in 4T1 (mouse mammary gland carcinoma epithelial cell) whole cell lysate

Secondary

All lanes:

Immunoprecipitation - VeriBlot for IP Detection Reagent (HRP) (<a href='/en-us/products/reagents/veriblot-for-ip-detection-reagent-hrp-ab131366'>ab131366</a>) at 1/5000 dilution

false

Exposure time: 180s

Western blot - Anti-CD73 antibody [RM2050] - BSA and Azide free (AB317463)
  • WB

Supplier Data

Western blot - Anti-CD73 antibody [RM2050] - BSA and Azide free (AB317463)

This data was developed using ab317462, the same antibody clone in a different buffer formulation.

Negative control : HeLa and Raji (PMID : 8566797)

In Western blot, ab317462 was shown to bind specifically to CD73. A band was observed at 75 kDa in wild-type A431 cell lysates (lane 5) whereas loss of signal was observed in the CD73 knockout cell line (lane 6, ab261895/knockout cell lysate ab261704).

Blocking and diluting buffer and concentration : 5% NFDM/TBST.

All lanes:

Western blot - Anti-CD73 antibody [RM2050] (<a href='/en-us/products/primary-antibodies/cd73-antibody-rm2050-ab317462'>ab317462</a>) at 1/1000 dilution

Lane 1:

U-87 MG (human glioblastoma-astrocytoma epithelial cell) whole cell lysate at 40 µg

Lane 2:

A375 (human malignant melanoma epithelial cell) whole cell lysate at 40 µg

Lane 3:

HeLa (human cervix adenocarcinoma epithelial cell) whole cell lysate at 40 µg

Lane 4:

Raji (human Burkitts lymphoma B lymphocyte) whole cell lysate at 40 µg

Lane 5:

Wild-type A431 (human epidermoid carcinoma epithelial cell) whole cell lysate at 40 µg

Lane 6:

CD73 knockout A431 whole cell lysate at 40 µg

Lane 7:

Human spleen tissue lysate at 40 µg

Secondary

All lanes:

Western blot - Goat Anti-Rabbit IgG H&L (HRP) (<a href='/en-us/products/secondary-antibodies/goat-rabbit-igg-h-l-hrp-ab97051'>ab97051</a>) at 1/100000 dilution

Observed band size: 75 kDa,36 kDa

false

Exposure time: 180s

Western blot - Anti-CD73 antibody [RM2050] - BSA and Azide free (AB317463)
  • WB

Supplier Data

Western blot - Anti-CD73 antibody [RM2050] - BSA and Azide free (AB317463)

This data was developed using ab317462, the same antibody clone in a different buffer formulation.

Negative control : RAW264.7 (PMID : 28060378)

Blocking and diluting buffer and concentration : 5% NFDM/TBST.

All lanes:

Western blot - Anti-CD73 antibody [RM2050] (<a href='/en-us/products/primary-antibodies/cd73-antibody-rm2050-ab317462'>ab317462</a>) at 1/1000 dilution

Lane 1:

4T1 (mouse mammary gland carcinoma epithelial cell) whole cell lysate at 40 µg

Lane 2:

RAW264.7 (mouse Abelson murine leukemia virus-induced tumor macrophage) whole cell lysate at 40 µg

Secondary

All lanes:

Western blot - Goat Anti-Rabbit IgG H&L (HRP) (<a href='/en-us/products/secondary-antibodies/goat-rabbit-igg-h-l-hrp-ab97051'>ab97051</a>) at 1/20000 dilution

Observed band size: 75 kDa,36 kDa

false

Exposure time: 180s

Key facts

Host species

Rabbit

Clonality

Multiclonal

Clone number

RM2050

Isotype

IgG

Carrier free

Yes

Reacts with

Human, Mouse

Applications

Flow Cyt, IHC-P, IP, WB, ICC/IF

applications

Immunogen

This product was produced with the following immunogens:

The exact immunogen used to generate this antibody is proprietary information.

The exact immunogen used to generate this antibody is proprietary information.

Specificity

Unsuitable for mouse IHC.

Reactivity data

{ "title": "Reactivity Data", "filters": { "stats": ["", "Species", "Dilution Info", "Notes"], "tabs": { "all-applications": {"fullname" : "All Applications", "shortname": "All Applications"}, "WB" : {"fullname" : "Western blot", "shortname":"WB"}, "FlowCyt" : {"fullname" : "Flow Cytometry", "shortname":"Flow Cyt"}, "IP" : {"fullname" : "Immunoprecipitation", "shortname":"IP"}, "ICCIF" : {"fullname" : "Immunocytochemistry/ Immunofluorescence", "shortname":"ICC/IF"}, "IHCP" : {"fullname" : "Immunohistochemistry (Formalin/PFA-fixed paraffin-embedded sections)", "shortname":"IHC-P"} }, "product-promise": { "all": "all", "testedAndGuaranteed": "tested", "guaranteed": "expected", "predicted": "predicted", "notRecommended": "not-recommended" } }, "values": { "Human": { "WB-species-checked": "testedAndGuaranteed", "WB-species-dilution-info": "", "WB-species-notes": "<p></p>", "FlowCyt-species-checked": "testedAndGuaranteed", "FlowCyt-species-dilution-info": "", "FlowCyt-species-notes": "<p></p>", "IP-species-checked": "testedAndGuaranteed", "IP-species-dilution-info": "", "IP-species-notes": "<p></p>", "ICCIF-species-checked": "testedAndGuaranteed", "ICCIF-species-dilution-info": "", "ICCIF-species-notes": "<p></p>", "IHCP-species-checked": "testedAndGuaranteed", "IHCP-species-dilution-info": "", "IHCP-species-notes": "<p></p>" }, "Mouse": { "WB-species-checked": "testedAndGuaranteed", "WB-species-dilution-info": "", "WB-species-notes": "<p></p>", "FlowCyt-species-checked": "testedAndGuaranteed", "FlowCyt-species-dilution-info": "", "FlowCyt-species-notes": "<p></p>", "IP-species-checked": "testedAndGuaranteed", "IP-species-dilution-info": "", "IP-species-notes": "<p></p>", "ICCIF-species-checked": "testedAndGuaranteed", "ICCIF-species-dilution-info": "", "ICCIF-species-notes": "<p></p>", "IHCP-species-checked": "notRecommended", "IHCP-species-dilution-info": "", "IHCP-species-notes": "<p></p>" }, "Rat": { "WB-species-checked": "notRecommended", "WB-species-dilution-info": "", "WB-species-notes": "", "FlowCyt-species-checked": "notRecommended", "FlowCyt-species-dilution-info": "", "FlowCyt-species-notes": "", "IP-species-checked": "notRecommended", "IP-species-dilution-info": "", "IP-species-notes": "", "ICCIF-species-checked": "notRecommended", "ICCIF-species-dilution-info": "", "ICCIF-species-notes": "", "IHCP-species-checked": "notRecommended", "IHCP-species-dilution-info": "", "IHCP-species-notes": "<p></p>" } } }

Product details

ab317463 is the carrier-free version of ab317462.

What are recombinant multiclonals?
Recombinant multiclonals are a mixture of recombinant antibodies co-expressed from a library of heavy and light chains. They offer several advantages including:

  • - The sensitivity of polyclonal antibodies by recognising multiple epitopes
  • - High batch-to-batch consistency and reproducibility
  • - Improved sensitivity and specificity
  • - Long-term security of supply
  • - Animal-free batch production

View our range of recombinant multiclonal antibodies.

Patented technology
Our RabMAb® technology is a patented hybridoma-based technology for making rabbit monoclonal antibodies. For details on our patents, please refer to RabMAb® patents.

Conjugation ready
Our carrier-free antibodies are typically supplied in a PBS-only formulation, purified and free of BSA, sodium azide and glycerol. This conjugation-ready format is designed for use with fluorochromes, metal isotopes, oligonucleotides, and enzymes, which makes them ideal for antibody labelling, functional and cell-based assays, flow-based assays (e.g. mass cytometry) and Multiplex Imaging applications.

Use our conjugation kits for antibody conjugates that are ready-to-use in as little as 20 minutes with 1 minute hands-on-time and 100% antibody recovery: available for fluorescent dyes, HRP, biotin and gold.

Compatibility
This product is compatible with the Maxpar® Antibody Labeling Kit from Fluidigm, without the need for antibody preparation. Maxpar® is a trademark of Fluidigm Canada Inc.

Properties and storage information

Form
Liquid
Purification technique
Affinity purification Protein A
Storage buffer
pH: 7.2 - 7.4 Constituents: PBS
Shipped at conditions
Blue Ice
Appropriate short-term storage conditions
+4°C
Appropriate long-term storage conditions
+4°C

Supplementary information

This supplementary information is collated from multiple sources and compiled automatically.

CD73 also known as ecto-5'-nucleotidase is an enzyme that functions at the cellular level. The CD73 protein hydrolyzes extracellular nucleotides into nucleosides by removing phosphate groups. It is a 70 kDa glycosylphosphatidylinositol-anchored molecule found on the surface of various cell types including endothelial cells lymphocytes and epithelial cells. Its presence is noted in a wide range of tissues across the human body highlighting its versatile role in cellular communication and metabolism.
Biological function summary

CD73 participates in the regulation of purinergic signaling through adenosine production. It acts in cooperation with other cell surface enzymes such as CD39 forming a functional complex that handles ATP breakdown to adenosine. This enzymatic activity modulates immune responses tissue protection and inflammation control. In addition to immune-related functions CD73 supports the maintenance of vascular integrity and proper cellular adhesion which is important in different physiological and pathological contexts.

Pathways

CD73 plays an important part in the adenosinergic pathway governing the conversion of AMP into adenosine. This activity impacts the signaling and function of the adenosine receptors on immune and non-immune cells. Another important pathway is the angiogenesis process where CD73 contributes by affecting endothelial cell migration and blood vessel development. Relationships with key proteins such as adenosine A2 receptors help facilitate these critical pathway activities.

CD73's involvement with immunosuppression and tumor progression becomes significant. Elevated levels of CD73 are frequently observed in some cancers where it aids in creating a favorable tumor microenvironment through increased adenosine production. This situation assists tumor cells in evading immune detection. Additionally CD73 is linked to autoimmune diseases like multiple sclerosis where it contributes to modulated lymphocyte activity. Connections with proteins such as TGF-beta further illustrate its role in disease-related pathways creating potential targets for therapeutic interventions through the use of anti-CD73 antibodies.

Product protocols

For this product, it's our understanding that no specific protocols are required. You can visit:

Target data

Catalyzes the hydrolysis of nucleotide monophosphates, releasing inorganic phosphate and the corresponding nucleoside, with AMP being the preferred substrate (PubMed : 21933152, PubMed : 22997138, PubMed : 23142347, PubMed : 24887587, PubMed : 34403084). Shows a preference for ribonucleotide monophosphates over their equivalent deoxyribose forms (PubMed : 34403084). Other substrates include IMP, UMP, GMP, CMP, dAMP, dCMP, dTMP, NAD and NMN (PubMed : 21933152, PubMed : 22997138, PubMed : 23142347, PubMed : 24887587, PubMed : 34403084).
See full target information NT5E

Product promise

We are committed to supporting your work with high-quality reagents, and we're here for you every step of the way. In the unlikely event that one of our products does not perform as expected, you're protected by our Product Promise.
For full details, please see our Terms & Conditions

Please note: All products are 'FOR RESEARCH USE ONLY. NOT FOR USE IN DIAGNOSTIC OR THERAPEUTIC PROCEDURES'.

For licensing inquiries, please contact partnerships@abcam.com