JavaScript is disabled in your browser. Please enable JavaScript to view this website.
AB64772

Anti-CD74 antibody

5

(1 Review)

|

(6 Publications)

Rabbit Polyclonal CD74 antibody. Suitable for IHC-P, IP, WB, ICC/IF and reacts with Human samples. Cited in 6 publications.

View Alternative Names

CD74, DHLAG, HLA class II histocompatibility antigen gamma chain, HLA-DR antigens-associated invariant chain, Ia antigen-associated invariant chain, Ii

8 Images
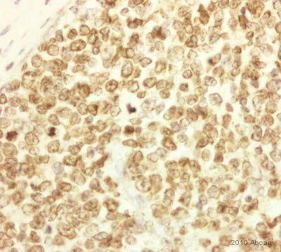
Immunohistochemistry (Formalin/PFA-fixed paraffin-embedded sections) - Anti-CD74 antibody (AB64772)
  • IHC-P

AbReview18450****

Immunohistochemistry (Formalin/PFA-fixed paraffin-embedded sections) - Anti-CD74 antibody (AB64772)

ab64772 (1/250) staining CD74 in paraffin-embedded Human tonsil tissue. Tissue underwent fixation in formaldehyde, peroxidase blocking, protein blocking and heat mediated antigen retrieval. The secondary antibody was goat anti rabbit conjugated to HRP. For further experimental details please refer to abreview.

This image is courtesy of an abreview submitted by Antibody Solutions Ltd.

Western blot - Anti-CD74 antibody (AB64772)
  • WB

Project5360****

Western blot - Anti-CD74 antibody (AB64772)

All lanes:

Western blot - Anti-CD74 antibody (ab64772) at 1 µg/mL

All lanes:

Raji (Human Burkitt's lymphoma cell line) Whole Cell Lysate at 10 µg

Secondary

All lanes:

Goat polyclonal to Rabbit IgG - H&L - Pre-Adsorbed (HRP) at 1/3000 dilution

Predicted band size: 34 kDa

Observed band size: 34 kDa

false

Exposure time: 2min

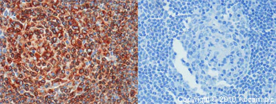
Immunohistochemistry (Formalin/PFA-fixed paraffin-embedded sections) - Anti-CD74 antibody (AB64772)
  • IHC-P

Unknown

Immunohistochemistry (Formalin/PFA-fixed paraffin-embedded sections) - Anti-CD74 antibody (AB64772)

ab64772 (1 : 160) staining CD74 in paraffin-embedded human tonsil (left panel) using an automated system (Ventana Discovery). Right-hand panel shows negative control (no primary antibody).
Using this protocol there is strong membrane staining of activated B cells in the germinal centres and B cells of the mantle zone of the follicles plus scattered cells of the interfollicular areas (paracortical B cells).

Sections were rehydrated and antigen retrieved in CC1 Cell Conditioning Buffer using Ventana Mild Retrieval programme. Slides were blocked in 3% H2O2 / 4 min / 37°C and incubated with ab64772 (1 : 160 dilution / 2 hours / 37°C). Sections then blocked (4mins / 37°C) and incubated with Dako swine anti-rabbit antibody (1 : 50, 28 min / 37°C). Staining was amplified and detected by incubation with Ventana Streptavidin ABC system (16 min / 37°C) and Ventana DAB map reagent (8 min / 37°C). Slides were counterstained with Haematox

Immunocytochemistry/ Immunofluorescence - Anti-CD74 antibody (AB64772)
  • ICC/IF

Unknown

Immunocytochemistry/ Immunofluorescence - Anti-CD74 antibody (AB64772)

ICC/IF image of ab64772 stained RAW246.7 cells. The cells were 4% paraformaldehyde fixed (10 min) and then incubated in 1%BSA / 10% normal goat serum / 0.3M glycine in 0.1% PBS-Tween for 1h to permeabilise the cells and block non-specific protein-protein interactions. The cells were then incubated with the antibody (ab64772, 1µg/ml) overnight at +4°C. The secondary antibody (green) was ab96899, DyLight® 488 goat anti-rabbit IgG (H+L) used at a 1/250 dilution for 1h. Alexa Fluor® 594 WGA was used to label plasma membranes (red) at a 1/200 dilution for 1h. DAPI was used to stain the cell nuclei (blue) at a concentration of 1.43µM.

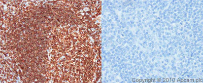
Immunohistochemistry (Formalin/PFA-fixed paraffin-embedded sections) - Anti-CD74 antibody (AB64772)
  • IHC-P

Unknown

Immunohistochemistry (Formalin/PFA-fixed paraffin-embedded sections) - Anti-CD74 antibody (AB64772)

ab64772 (1 : 80) staining CD74 in paraffin-embedded human lymph node (left panel) using an automated system (Ventana Discovery). Right-hand panel shows negative control (no primary antibody).
Using this protocol there is strong membrane staining of activated B cells in the germinal centres and B cells of the mantle zone of the follicles plus scattered cells of the interfollicular areas (paracortical B cells).

Sections were rehydrated and antigen retrieved in CC1 Cell Conditioning Buffer using Ventana Mild Retrieval programme. Slides were blocked in 3% H2O2 / 4 min / 37°C and incubated with ab64772 (1 : 80 dilution / 1 hour / 37°C). Sections then blocked (3mins / 37°C) and incubated with Dako swine anti-rabbit antibody (1 : 50, 28 min / 37°C). Staining was amplified and detected by incubation with Ventana Streptavidin ABC system (16 min / 37°C) and Ventana DAB map reagent (8 min / 37°C). Slides were counterstained with Haematoxyli

Immunoprecipitation - Anti-CD74 antibody (AB64772)
  • IP

Unknown

Immunoprecipitation - Anti-CD74 antibody (AB64772)

CD74 was immunoprecipitated using 0.5mg Raji whole cell extract, 5μg of Rabbit polyclonal to CD74 and 50μl of protein G magnetic beads (+). No antibody was added to the control (-).

The antibody was incubated under agitation with Protein G beads for 10min, Raji whole cell extract lysate diluted in RIPA buffer was added to each sample and incubated for a further 10min under agitation.

Proteins were eluted by addition of 40μl SDS loading buffer and incubated for 10min at 70°C; 10μl of each sample was separated on a SDS PAGE gel, transferred to a nitrocellulose membrane, blocked with 5% BSA and probed with ab64772.

Secondary : Mouse monoclonal [SB62a] Secondary Antibody to Rabbit IgG light chain (HRP) (ab99697).

Band : 34kDa; CD74

All lanes:

Immunoprecipitation - Anti-CD74 antibody (ab64772)

Predicted band size: 34 kDa

true

Exposure time: 12min

Western blot - Anti-CD74 antibody (AB64772)
  • WB

Lab

Western blot - Anti-CD74 antibody (AB64772)

Lanes 1 - 4 : Merged signal (red and green). Green - ab64772 observed at 35 kDa. Red - loading control, ab7291 (Mouse anti-Alpha Tubulin [DM1A]) observed at 55 kDa.

ab64772 was shown to react with CD74 in western blot. The band observed in CD74 knockout cell line ab273378 (knockout lysate ab275529) below 35 kDa is likely to represent a truncated form. This has not been investigated further. Membranes were blocked in fluorescent western blot (TBS-based) blocking solution before incubation with ab64772 and ab7291 (Mouse anti-Alpha Tubulin [DM1A]) overnight at 4 °C at 1 μg/ml and a 1 in 20000 dilution respectively. Blots were incubated with Goat anti-Rabbit IgG H&L (IRDye® 800CW) preabsorbed (ab216773) and Goat anti-Mouse IgG H&L (IRDye® 680RD) preabsorbed (ab216776) secondary antibodies at 1 in 20000 dilution for 1 h at room temperature before imaging.

All lanes:

Western blot - Anti-CD74 antibody (ab64772) at 1 µg/mL

Lane 1:

Wild-type Raji cell lysate at 30 µg

Lane 2:

CD74 knockout Raji cell lysate at 30 µg

Lane 2:

Western blot - Human CD74 knockout Raji cell lysate (<a href='/en-us/products/cell-lysates/human-cd74-knockout-raji-cell-lysate-ab275529'>ab275529</a>)

Lane 2:

Western blot - Human CD74 knockout Raji cell line (<a href='/en-us/products/cell-lines/human-cd74-knockout-raji-cell-line-ab273378'>ab273378</a>)

Lane 3:

Jurkat cell lysate at 30 µg

Lane 4:

HepG2 cell lysate at 30 µg

Predicted band size: 34 kDa

Observed band size: 35 kDa

false

Western blot - Anti-CD74 antibody (AB64772)
  • WB

Lab

Western blot - Anti-CD74 antibody (AB64772)

Lanes 1 - 4 : Merged signal (red and green). Green - ab64772 observed at 35 kDa. Red - loading control ab7291 (Mouse anti-Alpha Tubulin [DM1A]) observed at 55 kDa.

ab64772 was shown to react with CD74 in wild-type Raji cells in Western blot with loss of signal observed in CD74 knockout cell line ab273876 (knockout cell lysate ab273830). Wild-type Raji and CD74 knockout cell lysates were subjected to SDS-PAGE. Membranes were blocked in 3 % milk in TBS-T (0.1 % Tween®) before incubation with ab64772 and ab7291 (Mouse anti-Alpha Tubulin [DM1A]) overnight at 4 °C at 1 μg/ml and a 1 in 20000 dilution respectively. Blots were incubated with Goat anti-Rabbit IgG H&L (IRDye® 800CW) preabsorbed (ab216773) and Goat anti-Mouse IgG H&L (IRDye® 680RD) preabsorbed (ab216776) secondary antibodies at 1 in 20000 dilution for 1 h at room temperature before imaging.

All lanes:

Western blot - Anti-CD74 antibody (ab64772) at 1 µg/mL

Lane 1:

Wild-type Raji (Human Burkitt's lymphoma cell line) whole cell lysate at 20 µg

Lane 2:

CD74 knockout Raji (Human Burkitt's lymphoma cell line) whole cell lysate at 20 µg

Lane 2:

Western blot - Human CD74 knockout Raji cell line (<a href='/en-us/products/cell-lines/human-cd74-knockout-raji-cell-line-ab273876'>ab273876</a>)

Lane 3:

Daudi (Human Burkitt's lymphoma cell line) whole cell lysate at 20 µg

Lane 4:

Jurkat (Human T cell leukemia cell line from peripheral blood) whole cell lysate at 20 µg

Predicted band size: 34 kDa

Observed band size: 35 kDa

false

Key facts

Host species

Rabbit

Clonality

Polyclonal

Isotype

IgG

Carrier free

No

Reacts with

Human

Applications

ICC/IF, WB, IHC-P, IP

applications

Immunogen

The exact immunogen used to generate this antibody is proprietary information.

Reactivity data

{ "title": "Reactivity Data", "filters": { "stats": ["", "Species", "Dilution Info", "Notes"], "tabs": { "all-applications": {"fullname" : "All Applications", "shortname": "All Applications"}, "IHCP" : {"fullname" : "Immunohistochemistry (Formalin/PFA-fixed paraffin-embedded sections)", "shortname":"IHC-P"}, "IP" : {"fullname" : "Immunoprecipitation", "shortname":"IP"}, "WB" : {"fullname" : "Western blot", "shortname":"WB"}, "ICCIF" : {"fullname" : "Immunocytochemistry/ Immunofluorescence", "shortname":"ICC/IF"} }, "product-promise": { "all": "all", "testedAndGuaranteed": "tested", "guaranteed": "expected", "predicted": "predicted", "notRecommended": "not-recommended" } }, "values": { "Human": { "IHCP-species-checked": "testedAndGuaranteed", "IHCP-species-dilution-info": "1/80 - 1/250", "IHCP-species-notes": "<p></p>", "IP-species-checked": "testedAndGuaranteed", "IP-species-dilution-info": "5 µg/mL", "IP-species-notes": "<p>IP image from Phase V. Lot JLD 04.06.2013</p>", "WB-species-checked": "testedAndGuaranteed", "WB-species-dilution-info": "1 µg/mL", "WB-species-notes": "<p></p>", "ICCIF-species-checked": "testedAndGuaranteed", "ICCIF-species-dilution-info": "1 µg/mL", "ICCIF-species-notes": "<p></p>" }, "Primates": { "IHCP-species-checked": "predicted", "IHCP-species-dilution-info": "", "IHCP-species-notes": "", "IP-species-checked": "predicted", "IP-species-dilution-info": "", "IP-species-notes": "", "WB-species-checked": "predicted", "WB-species-dilution-info": "", "WB-species-notes": "", "ICCIF-species-checked": "predicted", "ICCIF-species-dilution-info": "", "ICCIF-species-notes": "" } } }

Have you thought about this alternative?

AB108393

Anti-CD74 antibody [EPR4064]

0
0 Reviews
View product

We’re constantly upgrading our range to offer the highest quality products. We have selected this alternative product for your review because it gives improved performance, is easier and more convenient to use, or is available faster.

Properties and storage information

Form
Liquid
Purification technique
Affinity purification Immunogen
Storage buffer
pH: 7.4 Preservative: 0.02% Sodium azide Constituents: 98.98% PBS, 1% BSA
Shipped at conditions
Blue Ice
Appropriate short-term storage duration
1-2 weeks
Appropriate short-term storage conditions
+4°C
Appropriate long-term storage conditions
-20°C
Aliquoting information
Upon delivery aliquot
Storage information
Avoid freeze / thaw cycle

Supplementary information

This supplementary information is collated from multiple sources and compiled automatically.

CD74 also known as the invariant chain or li is a protein with a mass of about 33 kDa. It is widely expressed on the surface of immune cells such as B cells dendritic cells and macrophages. CD74 plays an important role in the immune system by acting as a chaperone for major histocompatibility complex class II (MHC II) molecules guiding their migration to endosomes where they encounter antigenic peptides. The CD74 protein also functions as a cell surface receptor for macrophage migration inhibitory factor (MIF) enhancing the immune response process.
Biological function summary

CD74 facilitates multiple immune regulatory processes. It forms a complex with the MHC II molecules aiding in their proper folding and peptide loading in the endoplasmic reticulum. This complex then travels through the Golgi apparatus towards the lysosomal compartments where antigens are presented to initiate adaptive immune responses. In addition CD74 is involved in signal transduction pathways that regulate cell proliferation and survival influenced by interactions with MIF and other molecules.

Pathways

The role of CD74 extends into both the antigen presentation and MIF signaling pathways. Within the antigen presentation pathway CD74's activity is tightly connected with MHC II and subsequently to CD4+ T cells facilitating the activation of these immune cells. The MIF signaling pathway involves CD74 interacting with CD44 a receptor that further propagates the signaling cascades essential for immune modulation and cell survival.

CD74 is linked to inflammatory and autoimmune conditions such as rheumatoid arthritis and systemic lupus erythematosus. Aberrant expression of CD74 influences the presentation of autoantigens and may contribute to the chronic inflammation seen in these disorders. Its connection to MIF which is a pro-inflammatory cytokine further implicates CD74 in these autoimmune scenarios by promoting persistent immune activation. Researchers are also exploring CD74 as a therapeutic target in certain cancers due to its influence on immune surveillance and tumor progression.

Product protocols

For this product, it's our understanding that no specific protocols are required. You can visit:

Target data

Plays a critical role in MHC class II antigen processing by stabilizing peptide-free class II alpha/beta heterodimers in a complex soon after their synthesis and directing transport of the complex from the endoplasmic reticulum to the endosomal/lysosomal system where the antigen processing and binding of antigenic peptides to MHC class II takes place. Serves as cell surface receptor for the cytokine MIF.. Class-II-associated invariant chain peptide. Binds to the peptide-binding site of MHC class II alpha/beta heterodimers forming an alpha-beta-CLIP complex, thereby preventing the loading of antigenic peptides to the MHC class II complex until its release by HLA-DM in the endosome.. Isoform p41. Stabilizes the conformation of mature CTSL by binding to its active site and serving as a chaperone to help maintain a pool of mature enzyme in endocytic compartments and extracellular space of antigen-presenting cells (APCs). Has antiviral activity by stymieing the endosomal entry of Ebola virus and coronaviruses, including SARS-CoV-2 (PubMed : 32855215). Disrupts cathepsin-mediated Ebola virus glycoprotein processing, which prevents viral fusion and entry. This antiviral activity is specific to p41 isoform (PubMed : 32855215).
See full target information CD74

Publications (6)

Recent publications for all applications. Explore the full list and refine your search

Cell regeneration (London, England) 12:27 PubMed37525021

2023

Cross-species single-cell transcriptomic analysis of animal gastric antrum reveals intense porcine mucosal immunity.

Applications

Unspecified application

Species

Unspecified reactive species

Xiaodan Wang,Fan Hong,Haonan Li,Yalong Wang,Mengxian Zhang,Shibo Lin,Hui Liang,Hongwen Zhou,Yuan Liu,Ye-Guang Chen

Acta neuropathologica communications 11:69 PubMed37118836

2023

Microglial CD68 and L-ferritin upregulation in response to phosphorylated-TDP-43 pathology in the amyotrophic lateral sclerosis brain.

Applications

Unspecified application

Species

Unspecified reactive species

Molly E V Swanson,Miran Mrkela,Helen C Murray,Maize C Cao,Clinton Turner,Maurice A Curtis,Richard L M Faull,Adam K Walker,Emma L Scotter

Communications biology 4:563 PubMed33980982

2021

A follicular regulatory Innate Lymphoid Cell population impairs interactions between germinal center Tfh and B cells.

Applications

Unspecified application

Species

Unspecified reactive species

Margaret H O'Connor,Roshell Muir,Marita Chakhtoura,Michael Fang,Eirini Moysi,Susan Moir,Alison J Carey,Alyssa Terk,Carmen N Nichols,Talibah Metcalf,Constantinos Petrovas,Mark J Cameron,Virginie Tardif,Elias K Haddad

Scientific reports 10:11693 PubMed32678124

2020

Quantitative immunohistochemical analysis of myeloid cell marker expression in human cortex captures microglia heterogeneity with anatomical context.

Applications

Unspecified application

Species

Unspecified reactive species

Molly E V Swanson,Helen C Murray,Brigid Ryan,Richard L M Faull,Mike Dragunow,Maurice A Curtis

Methods in molecular biology (Clifton, N.J.) 2080:123-134 PubMed31745876

2019

Concurrent Immunohistochemical Localization and Western Blot Analysis of the MIF Receptor, CD74, in Formalin-Fixed, Paraffin-Embedded Tissue.

Applications

Unspecified application

Species

Unspecified reactive species

Amanda Graham,Warren B Nothnick

Reproductive sciences (Thousand Oaks, Calif.) 25:1557-1566 PubMed29592775

2018

Macrophage Migration Inhibitory Factor Receptor, CD74, is Overexpressed in Human and Baboon ( Papio Anubis) Endometriotic Lesions and Modulates Endometriotic Epithelial Cell Survival and Interleukin 8 Expression.

Applications

Unspecified application

Species

Unspecified reactive species

Warren B Nothnick,Tommaso Falcone,Mark R Olson,Asgerally T Fazleabas,Ossama W Tawfik,Amanda Graham
View all publications

Product promise

We are committed to supporting your work with high-quality reagents, and we're here for you every step of the way. In the unlikely event that one of our products does not perform as expected, you're protected by our Product Promise.
For full details, please see our Terms & Conditions

Associated Products

Select an associated product type
Alternative Product
Primary Antibodies

AB215898

Anti-CD74 antibody [CLIP/813]

primary-antibodies

cd74-antibody-clip-813-ab215898

0

(0 reviews)

Alternative Product
Primary Antibodies

AB213104

Anti-CD74 antibody [LN-2] - BSA and Azide free

primary-antibodies

cd74-antibody-ln-2-bsa-and-azide-free-ab213104

0

(0 reviews)

Alternative Product
Primary Antibodies

AB234017

Anti-CD74 antibody [LN-2]

primary-antibodies

cd74-antibody-ln-2-ab234017

0

(0 reviews)

Alternative Product
Primary Antibodies

AB97479

Anti-CD74 antibody

primary-antibodies

cd74-antibody-ab97479

0

(0 reviews)

Alternative Product
Primary Antibodies

AB22603

Anti-CD74 antibody [PIN.1]

primary-antibodies

cd74-antibody-pin1-ab22603

2

(1 reviews)

Alternative Product
Primary Antibodies

AB245692

Anti-CD74 antibody [In-1]

primary-antibodies

cd74-antibody-in-1-ab245692

5

(1 reviews)

Alternative Product
Primary Antibodies

AB54428

Anti-CD74 antibody [Bu45]

primary-antibodies

cd74-antibody-bu45-ab54428

0

(0 reviews)

Alternative Product
Primary Antibodies

AB223350

Anti-CD74 antibody [1B8]

primary-antibodies

cd74-antibody-1b8-ab223350

0

(0 reviews)

Alternative Product
Primary Antibodies

AB202844

Anti-CD74 antibody

primary-antibodies

cd74-antibody-ab202844

0

(0 reviews)

Alternative Product
Primary Antibodies

AB9514

Anti-CD74 antibody [LN2]

primary-antibodies

cd74-antibody-ln2-ab9514

5

(2 reviews)

Alternative Product
Primary Antibodies

AB181465

Anti-CD74 antibody [2D1B3] - N-terminal

primary-antibodies

cd74-antibody-2d1b3-n-terminal-ab181465

0

(0 reviews)

Alternative Product
Primary Antibodies

AB223357

Anti-CD74 antibody [6D9]

primary-antibodies

cd74-antibody-6d9-ab223357

0

(0 reviews)

Alternative Product
Primary Antibodies

AB247655

Anti-CD74 antibody [EPR4064] - BSA and Azide free

primary-antibodies

cd74-antibody-epr4064-bsa-and-azide-free-ab247655

0

(0 reviews)

Please note: All products are 'FOR RESEARCH USE ONLY. NOT FOR USE IN DIAGNOSTIC OR THERAPEUTIC PROCEDURES'.

For licensing inquiries, please contact partnerships@abcam.com