JavaScript is disabled in your browser. Please enable JavaScript to view this website.
AB270296

Anti-CD74 antibody [CLIP/3127R] - BSA and Azide free

Be the first to review this product! Submit a review

|

(0 Publication)

Rabbit Recombinant Monoclonal CD74 antibody. Carrier free. Suitable for Flow Cyt, WB, IHC-P and reacts with Human samples. Immunogen corresponding to Cell preparation containing CD74 protein.

View Alternative Names

CD74, DHLAG, HLA class II histocompatibility antigen gamma chain, HLA-DR antigens-associated invariant chain, Ia antigen-associated invariant chain, Ii

5 Images
Flow Cytometry - Anti-CD74 antibody [CLIP/3127R] - BSA and Azide free (AB270296)
  • Flow Cyt

Lab

Flow Cytometry - Anti-CD74 antibody [CLIP/3127R] - BSA and Azide free (AB270296)

This data was developed using the same antibody clone in a different buffer formulation (ab270265).

Flow cytometry overlay histogram showing wild-type Raji (green line) and CD74 knockout Raji cells (ab273378) stained with ab270265 (red line). The cells were incubated in 1x PBS containing 10μg/ml human IgG and 10% normal goat serum to block FC receptors and non-specific protein-protein interaction followed by the antibody (ab270265) (1x106 in 100μl at 1 μg/ml) for 30 min at 4°C.

The secondary antibody Goat anti-rabbit IgG H&L (Alexa Fluor® 488, pre-adsorbed) (ab150081) was used at 1/2000 for 30 min at 4°C.

Isotype control antibody was Rabbit IgG (monoclonal) (ab172730) used at the same concentration and conditions as the primary antibody (wild-type Raji cells - black line; CD74 knockout Raji cells ab273378 - grey line). Unlabelled sample was also used as a control (this line is not shown for the purpose of simplicity).

Acquisition of >5000 events were collected using a 50 mW Blue laser (488nm) and 525/40 bandpass filter.

Western blot - Anti-CD74 antibody [CLIP/3127R] - BSA and Azide free (AB270296)
  • WB

Lab

Western blot - Anti-CD74 antibody [CLIP/3127R] - BSA and Azide free (AB270296)

This data was developed using the same antibody clone in a different buffer formulation (ab270265).

Lanes 1 - 4 : Merged signal (red and green). Green - ab270265 observed at 35 kDa. Red - loading control, ab7291 (Mouse anti-Alpha Tubulin [DM1A]) observed at 55 kDa.

ab270265 was shown to react with CD74 in western blot. The band observed in CD74 CRISPR/Cas9 edited cell line ab273378 (CRISPR/Cas9 edited lysate ab275529) below 35 kDa is likely to represent a truncated form. This has not been investigated further. Membranes were blocked in 3 % milk in TBS-T (0.1 % Tween®) before incubation with ab270265 and ab7291 (Mouse anti-Alpha Tubulin [DM1A]) overnight at 4 °C at 1 μg/ml and a 1 in 20000 dilution respectively. Blots were incubated with Goat anti-Rabbit IgG H&L (IRDye® 800CW) preabsorbed (ab216773) and Goat anti-Mouse IgG H&L (IRDye® 680RD) preabsorbed (ab216776) secondary antibodies at 1 in 20000 dilution for 1 h at room temperature before imaging.

All lanes:

Western blot - Anti-CD74 antibody [CLIP/3127R] (<a href='/en-us/products/primary-antibodies/cd74-antibody-clip-3127r-ab270265'>ab270265</a>) at 1 µg/mL

Lane 1:

Wild-type Raji cell lysate at 30 µg

Lane 2:

CD74 knockout Raji cell lysate at 30 µg

Lane 2:

Western blot - Human CD74 knockout Raji cell line (<a href='/en-us/products/cell-lines/human-cd74-knockout-raji-cell-line-ab273378'>ab273378</a>)

Lane 3:

Jurkat cell lysate at 30 µg

Lane 4:

HepG2 cell lysate at 30 µg

Predicted band size: 34 kDa

Observed band size: 35 kDa

false

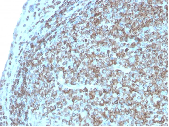
Immunohistochemistry (Formalin/PFA-fixed paraffin-embedded sections) - Anti-CD74 antibody [CLIP/3127R] - BSA and Azide free (AB270296)
  • IHC-P

Supplier Data

Immunohistochemistry (Formalin/PFA-fixed paraffin-embedded sections) - Anti-CD74 antibody [CLIP/3127R] - BSA and Azide free (AB270296)

Formalin-fixed, paraffin-embedded human tonsil tissue stained for CD74 using ab270265 at 2 μg/ml in immunohistochemical analysis.

This data was developed using the same antibody clone in a different buffer formulation containing PBS, BSA and sodium azide (ab270265).

Flow Cytometry - Anti-CD74 antibody [CLIP/3127R] - BSA and Azide free (AB270296)
  • Flow Cyt

Supplier Data

Flow Cytometry - Anti-CD74 antibody [CLIP/3127R] - BSA and Azide free (AB270296)

Flow cytometric analysis of Raji (Human Burkitt's lymphoma cell line) cells labeling CD74 using ab270265 at 2μg/106 cells followed by goat anti-mouse IgG-CF488 (Blue); isotype control (Red).

This data was developed using the same antibody clone in a different buffer formulation containing PBS, BSA and sodium azide (ab270265).

Western blot - Anti-CD74 antibody [CLIP/3127R] - BSA and Azide free (AB270296)
  • WB

Supplier Data

Western blot - Anti-CD74 antibody [CLIP/3127R] - BSA and Azide free (AB270296)

This data was developed using the same antibody clone in a different buffer formulation containing PBS, BSA and sodium azide (ab270265).

All lanes:

Western blot - Anti-CD74 antibody [CLIP/3127R] - BSA and Azide free (ab270296) at 2 µg/mL

All lanes:

HEK-293T (Human epithelial cell line from embryonic kidney transformed with large T antigen) cell lysate

Predicted band size: 34 kDa

false

Key facts

Host species

Rabbit

Clonality

Monoclonal

Clone number

CLIP/3127R

Isotype

IgG

Carrier free

Yes

Reacts with

Human

Applications

IHC-P, WB, Flow Cyt

applications

Immunogen

Cell preparation containing CD74 protein. The exact immunogen used to generate this antibody is proprietary information.

P04233

Reactivity data

{ "title": "Reactivity Data", "filters": { "stats": ["", "Species", "Dilution Info", "Notes"], "tabs": { "all-applications": {"fullname" : "All Applications", "shortname": "All Applications"}, "FlowCyt" : {"fullname" : "Flow Cytometry", "shortname":"Flow Cyt"}, "WB" : {"fullname" : "Western blot", "shortname":"WB"}, "IHCP" : {"fullname" : "Immunohistochemistry (Formalin/PFA-fixed paraffin-embedded sections)", "shortname":"IHC-P"} }, "product-promise": { "all": "all", "testedAndGuaranteed": "tested", "guaranteed": "expected", "predicted": "predicted", "notRecommended": "not-recommended" } }, "values": { "Human": { "FlowCyt-species-checked": "testedAndGuaranteed", "FlowCyt-species-dilution-info": "1-2 µg", "FlowCyt-species-notes": "<p></p>", "WB-species-checked": "testedAndGuaranteed", "WB-species-dilution-info": "1-2 µg/mL", "WB-species-notes": "<p></p>", "IHCP-species-checked": "testedAndGuaranteed", "IHCP-species-dilution-info": "1-2 µg/mL", "IHCP-species-notes": "<p></p>" } } }

You may be interested in:

AB284618

Human CD74 ELISA Kit

0

0 Reviews

View product

We recommend this product because it’s often used in the same experiment or related research.

We advise that you always check the datasheet to ensure it fits your experiments, or contact ourtechnical teamfor help.

Product details

ab270296 is a carrier free version of ab270265.

Conjugation ready
Our carrier-free antibodies are typically supplied in a PBS-only formulation, purified and free of BSA, sodium azide and glycerol. This conjugation-ready format is designed for use with fluorochromes, metal isotopes, oligonucleotides, and enzymes, which makes them ideal for antibody labelling, functional and cell-based assays, flow-based assays (e.g. mass cytometry) and Multiplex Imaging applications.

Use our conjugation kits for antibody conjugates that are ready-to-use in as little as 20 minutes with 1 minute hands-on-time and 100% antibody recovery: available for fluorescent dyes, HRP, biotin and gold.

Properties and storage information

Form
Liquid
Purification technique
Affinity purification Protein A/G
Purification notes
Purified from bioreactor concentrate.
Storage buffer
pH: 7.2 - 7.4 Constituents: PBS
Shipped at conditions
Blue Ice
Appropriate short-term storage duration
1-2 weeks
Appropriate short-term storage conditions
+4°C
Appropriate long-term storage conditions
-20°C
Aliquoting information
Upon delivery aliquot
Storage information
Avoid freeze / thaw cycle

Supplementary information

This supplementary information is collated from multiple sources and compiled automatically.

CD74 also known as the invariant chain or li is a protein with a mass of about 33 kDa. It is widely expressed on the surface of immune cells such as B cells dendritic cells and macrophages. CD74 plays an important role in the immune system by acting as a chaperone for major histocompatibility complex class II (MHC II) molecules guiding their migration to endosomes where they encounter antigenic peptides. The CD74 protein also functions as a cell surface receptor for macrophage migration inhibitory factor (MIF) enhancing the immune response process.
Biological function summary

CD74 facilitates multiple immune regulatory processes. It forms a complex with the MHC II molecules aiding in their proper folding and peptide loading in the endoplasmic reticulum. This complex then travels through the Golgi apparatus towards the lysosomal compartments where antigens are presented to initiate adaptive immune responses. In addition CD74 is involved in signal transduction pathways that regulate cell proliferation and survival influenced by interactions with MIF and other molecules.

Pathways

The role of CD74 extends into both the antigen presentation and MIF signaling pathways. Within the antigen presentation pathway CD74's activity is tightly connected with MHC II and subsequently to CD4+ T cells facilitating the activation of these immune cells. The MIF signaling pathway involves CD74 interacting with CD44 a receptor that further propagates the signaling cascades essential for immune modulation and cell survival.

CD74 is linked to inflammatory and autoimmune conditions such as rheumatoid arthritis and systemic lupus erythematosus. Aberrant expression of CD74 influences the presentation of autoantigens and may contribute to the chronic inflammation seen in these disorders. Its connection to MIF which is a pro-inflammatory cytokine further implicates CD74 in these autoimmune scenarios by promoting persistent immune activation. Researchers are also exploring CD74 as a therapeutic target in certain cancers due to its influence on immune surveillance and tumor progression.

Product protocols

For this product, it's our understanding that no specific protocols are required. You can visit:

Target data

Plays a critical role in MHC class II antigen processing by stabilizing peptide-free class II alpha/beta heterodimers in a complex soon after their synthesis and directing transport of the complex from the endoplasmic reticulum to the endosomal/lysosomal system where the antigen processing and binding of antigenic peptides to MHC class II takes place. Serves as cell surface receptor for the cytokine MIF.. Class-II-associated invariant chain peptide. Binds to the peptide-binding site of MHC class II alpha/beta heterodimers forming an alpha-beta-CLIP complex, thereby preventing the loading of antigenic peptides to the MHC class II complex until its release by HLA-DM in the endosome.. Isoform p41. Stabilizes the conformation of mature CTSL by binding to its active site and serving as a chaperone to help maintain a pool of mature enzyme in endocytic compartments and extracellular space of antigen-presenting cells (APCs). Has antiviral activity by stymieing the endosomal entry of Ebola virus and coronaviruses, including SARS-CoV-2 (PubMed : 32855215). Disrupts cathepsin-mediated Ebola virus glycoprotein processing, which prevents viral fusion and entry. This antiviral activity is specific to p41 isoform (PubMed : 32855215).
See full target information CD74

Product promise

We are committed to supporting your work with high-quality reagents, and we're here for you every step of the way. In the unlikely event that one of our products does not perform as expected, you're protected by our Product Promise.
For full details, please see our Terms & Conditions

Please note: All products are 'FOR RESEARCH USE ONLY. NOT FOR USE IN DIAGNOSTIC OR THERAPEUTIC PROCEDURES'.

For licensing inquiries, please contact partnerships@abcam.com