JavaScript is disabled in your browser. Please enable JavaScript to view this website.
AB289885

Anti-CD74 antibody [EPR25399-94]

Be the first to review this product! Submit a review

|

(10 Publications)

Anti-CD74 antibody [EPR25399-94] (ab289885) is a rabbit monoclonal antibody detecting CD74 in Western Blot, IP, IHC-P, IHC-Fr, ICC/IF. Suitable for Mouse.

- Biophysical QC for unrivalled batch-batch consistency

View Alternative Names

CD74, Ii, Cd74, H-2 class II histocompatibility antigen gamma chain, Ia antigen-associated invariant chain, MHC class II-associated invariant chain, Ii chain

8 Images
Immunocytochemistry/ Immunofluorescence - Anti-CD74 antibody [EPR25399-94] (AB289885)
  • ICC/IF

Supplier Data

Immunocytochemistry/ Immunofluorescence - Anti-CD74 antibody [EPR25399-94] (AB289885)

Immunofluorescent analysis of 80% methanol fixed, 0.1% Triton X-100 permeabilized A20 (mouse reticulum sarcoma cell line) cells labeling CD74 with ab289885 at 1/100 dilution, followed by Goat Anti-Rabbit IgG H&L (Alexa Fluor® 488) (ab150081) secondary antibody at 1/1000 dilution (green). Confocal image showing cytoplasmic staining in A20 cell line. The nuclear counter stain is DAPI (blue).

Tubulin was labeled using ab195889 Anti-alpha Tubulin mouse monoclonal antibody - Microtubule Marker (Alexa Fluor® 594) at 1/200 dilution (red).

Secondary antibody only control : PBS instead of primary antibody, followed by ab150081 Goat Anti-Rabbit IgG H&L (Alexa Fluor® 488) preadsorbed at 1/1000 dilution.

Immunohistochemistry (Formalin/PFA-fixed paraffin-embedded sections) - Anti-CD74 antibody [EPR25399-94] (AB289885)
  • IHC-P

Supplier Data

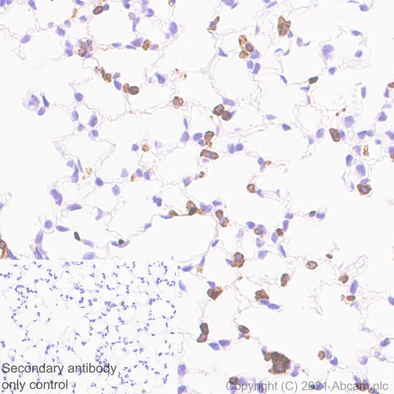
Immunohistochemistry (Formalin/PFA-fixed paraffin-embedded sections) - Anti-CD74 antibody [EPR25399-94] (AB289885)

Immunohistochemical analysis of paraffin-embedded mouse lung tissue labeling CD74 with ab289885 at 1/2000 dilution, followed by ready to use LeicaDS9800 (BOND™ Polymer Refine Detection). Positive staining on mouse lung. Counter stained with Hematoxylin. The section was incubated with ab289885 for 30 mins at room temperature.

Heat mediated antigen retrieval with Tris-EDTA buffer (pH 9.0, epitope retrieval solution2) for 20 mins was used.

Secondary antibody only control : Used PBS instead of primary antibody, secondary antibody is ready to use LeicaDS9800 (BOND™ Polymer Refine Detection) was used.

Immunohistochemistry (Formalin/PFA-fixed paraffin-embedded sections) - Anti-CD74 antibody [EPR25399-94] (AB289885)
  • IHC-P

Supplier Data

Immunohistochemistry (Formalin/PFA-fixed paraffin-embedded sections) - Anti-CD74 antibody [EPR25399-94] (AB289885)

Immunohistochemical analysis of paraffin-embedded mouse lung cancer tissue labeling CD74 with ab289885 at 1/2000 dilution, followed by ready to use LeicaDS9800 (BOND™ Polymer Refine Detection). Positive staining on mouse lung cancer. Counter stained with Hematoxylin. The section was incubated with ab289885 for 30 mins at room temperature.

Heat mediated antigen retrieval with Tris-EDTA buffer (pH 9.0, epitope retrieval solution2) for 20 mins was used.

Secondary antibody only control : Used PBS instead of primary antibody, secondary antibody is ready to use LeicaDS9800 (BOND™ Polymer Refine Detection) was used.

Immunohistochemistry (Formalin/PFA-fixed paraffin-embedded sections) - Anti-CD74 antibody [EPR25399-94] (AB289885)
  • IHC-P

Supplier Data

Immunohistochemistry (Formalin/PFA-fixed paraffin-embedded sections) - Anti-CD74 antibody [EPR25399-94] (AB289885)

Immunohistochemical analysis of paraffin-embedded mouse spleen tissue labeling CD74 with ab289885 at 1/2000 dilution, followed by ready to use LeicaDS9800 (BOND™ Polymer Refine Detection). Positive staining on mouse spleen (PMID : 30191677). Counter stained with Hematoxylin. The section was incubated with ab289885 for 30 mins at room temperature.

Heat mediated antigen retrieval with Tris-EDTA buffer (pH 9.0, epitope retrieval solution2) for 20 mins was used.

Secondary antibody only control : Used PBS instead of primary antibody, secondary antibody is ready to use LeicaDS9800 (BOND™ Polymer Refine. Detection) was used.

Immunohistochemistry (Frozen sections) - Anti-CD74 antibody [EPR25399-94] (AB289885)
  • IHC-Fr

Supplier Data

Immunohistochemistry (Frozen sections) - Anti-CD74 antibody [EPR25399-94] (AB289885)

Immunohistochemical analysis of 4% PFA-fixed, 0.2% Triton X-100 permeabilized frozen mouse spleen (fresh) tissue labelling CD74 with ab289885 at 1/500 dilution, followed by ab150081 Goat Anti-Rabbit IgG H&L (Alexa Fluor® 488) secondary antibody at 1/1000 dilution (Green). Positive staining on mouse spleen. The nuclear counterstain is DAPI (Blue).

Secondary antibody only control : Used PBS instead of primary antibody, followed by ab150081 Goat Anti-Rabbit IgG H&L (Alexa Fluor® 488) secondary antibody at 1/1000 dilution.

Immunoprecipitation - Anti-CD74 antibody [EPR25399-94] (AB289885)
  • IP

Supplier Data

Immunoprecipitation - Anti-CD74 antibody [EPR25399-94] (AB289885)

CD74 was immunoprecipitated from mouse spleen tissue lysate with ab289885 at 1/30 dilution (2 μg in 0.35 mg lysates). Western blot was performed from the immunoprecipitate using ab289885 at 1/1000 dilution. VeriBlot for IP secondary antibody (HRP)(ab131366) at 1/5000 dilution was used as secondary antibody.

Lane 1 : Mouse spleen tissue lysate 10 μg (Input).

Lane 2 : ab289885 IP in Mouse spleen tissue lysate

Lane 3 : Rabbit monoclonal IgG (ab172730) instead of ab289885 in mouse spleen tissue lysate

Blocking and dilution buffer and concentration : 5% NFDM/TBST.

Exposure time : 6 seconds.

All lanes:

Immunoprecipitation - Anti-CD74 antibody [EPR25399-94] (ab289885)

Predicted band size: 34 kDa

Observed band size: 27 kDa,36 kDa

false

Exposure time: 6s

Western blot - Anti-CD74 antibody [EPR25399-94] (AB289885)
  • WB

Supplier Data

Western blot - Anti-CD74 antibody [EPR25399-94] (AB289885)

5% NFDM/TBST was used as blocking and diluting buffer.

Exposure time :

Lane 1 : 6 seconds;

Lanes 2 : 59 seconds

All lanes:

Western blot - Anti-CD74 antibody [EPR25399-94] (ab289885) at 1/1000 dilution

Lane 1:

A20 (mouse reticulum sarcoma b lymphocyte) whole cell lysate at 20 µg

Lane 2:

RAW 264.7 (mouse abelson murine leukemia virus-induced tumor macrophage) whole cell lysate at 20 µg

Secondary

All lanes:

Western blot - Goat Anti-Rabbit IgG H&L (HRP) (<a href='/en-us/products/secondary-antibodies/goat-rabbit-igg-h-l-hrp-ab97051'>ab97051</a>) at 1/50000 dilution

Predicted band size: 34 kDa

Observed band size: 27 kDa,36 kDa

false

Western blot - Anti-CD74 antibody [EPR25399-94] (AB289885)
  • WB

Supplier Data

Western blot - Anti-CD74 antibody [EPR25399-94] (AB289885)

5% NFDM/TBST was used as blocking and diluting buffer.

Exposure times :

Lanes 1-2 : 10 seconds;

Lanes 3-6 : 114 seconds

The observed MW are consistent with what has been described in the literature (PMID : 19413900).

Negative control : mouse kidney (PMID : 28219888).

We observe an unknown band at around 60kDa.

All lanes:

Western blot - Anti-CD74 antibody [EPR25399-94] (ab289885) at 1/1000 dilution

Lane 1:

Mouse spleen tissue lysate at 20 µg

Lane 2:

Mouse thymus tissue lysate at 20 µg

Lane 3:

Mouse PBMC (Peripheral blood mononuclear cell) tissue lysate at 20 µg

Lane 4:

Mouse liver tissue lysate at 20 µg

Lane 5:

Mouse lung tissue lysate at 20 µg

Lane 6:

Mouse kidney tissue lysate at 20 µg

Secondary

All lanes:

Western blot - Goat Anti-Rabbit IgG H&L (HRP) (<a href='/en-us/products/secondary-antibodies/goat-rabbit-igg-h-l-hrp-ab97051'>ab97051</a>) at 1/50000 dilution

Predicted band size: 34 kDa

Observed band size: 27 kDa,36 kDa

false

Key facts

Host species

Rabbit

Clonality

Monoclonal

Clone number

EPR25399-94

Isotype

IgG

Carrier free

No

Reacts with

Mouse

Applications

WB, IHC-Fr, IHC-P, IP, ICC/IF

applications

Immunogen

The exact immunogen used to generate this antibody is proprietary information.

Reactivity data

{ "title": "Reactivity Data", "filters": { "stats": ["", "Species", "Dilution Info", "Notes"], "tabs": { "all-applications": {"fullname" : "All Applications", "shortname": "All Applications"}, "ICCIF" : {"fullname" : "Immunocytochemistry/ Immunofluorescence", "shortname":"ICC/IF"}, "IP" : {"fullname" : "Immunoprecipitation", "shortname":"IP"}, "FlowCyt" : {"fullname" : "Flow Cytometry", "shortname":"Flow Cyt"}, "WB" : {"fullname" : "Western blot", "shortname":"WB"}, "IHCP" : {"fullname" : "Immunohistochemistry (Formalin/PFA-fixed paraffin-embedded sections)", "shortname":"IHC-P"}, "IHCFr" : {"fullname" : "Immunohistochemistry (Frozen sections)", "shortname":"IHC-Fr"} }, "product-promise": { "all": "all", "testedAndGuaranteed": "tested", "guaranteed": "expected", "predicted": "predicted", "notRecommended": "not-recommended" } }, "values": { "Human": { "ICCIF-species-checked": "notRecommended", "ICCIF-species-dilution-info": "1/100", "ICCIF-species-notes": "<p></p>", "IP-species-checked": "notRecommended", "IP-species-dilution-info": "", "IP-species-notes": "", "FlowCyt-species-checked": "notRecommended", "FlowCyt-species-dilution-info": "", "FlowCyt-species-notes": "", "WB-species-checked": "notRecommended", "WB-species-dilution-info": "1/1000", "WB-species-notes": "<p></p>", "IHCP-species-checked": "notRecommended", "IHCP-species-dilution-info": "1/2000", "IHCP-species-notes": "<p></p>", "IHCFr-species-checked": "notRecommended", "IHCFr-species-dilution-info": "", "IHCFr-species-notes": "" }, "Mouse": { "ICCIF-species-checked": "testedAndGuaranteed", "ICCIF-species-dilution-info": "1/100", "ICCIF-species-notes": "<p></p>", "IP-species-checked": "testedAndGuaranteed", "IP-species-dilution-info": "1/30", "IP-species-notes": "<p></p>", "FlowCyt-species-checked": "notRecommended", "FlowCyt-species-dilution-info": "", "FlowCyt-species-notes": "<p></p>", "WB-species-checked": "testedAndGuaranteed", "WB-species-dilution-info": "1/1000", "WB-species-notes": "<p></p>", "IHCP-species-checked": "testedAndGuaranteed", "IHCP-species-dilution-info": "1/2000", "IHCP-species-notes": "<p></p>", "IHCFr-species-checked": "testedAndGuaranteed", "IHCFr-species-dilution-info": "1/500", "IHCFr-species-notes": "<p></p>" }, "Rat": { "ICCIF-species-checked": "notRecommended", "ICCIF-species-dilution-info": "1/100", "ICCIF-species-notes": "<p></p>", "IP-species-checked": "notRecommended", "IP-species-dilution-info": "", "IP-species-notes": "", "FlowCyt-species-checked": "notRecommended", "FlowCyt-species-dilution-info": "", "FlowCyt-species-notes": "", "WB-species-checked": "notRecommended", "WB-species-dilution-info": "1/1000", "WB-species-notes": "<p></p>", "IHCP-species-checked": "notRecommended", "IHCP-species-dilution-info": "1/2000", "IHCP-species-notes": "<p></p>", "IHCFr-species-checked": "notRecommended", "IHCFr-species-dilution-info": "1/500", "IHCFr-species-notes": "<p></p>" } } }

Product details

What is this antibody validated in?
Anti-CD74 antibody [EPR25399-94] (ab289885) is a rabbit recombinant monoclonal antibody and is validated for use in Western Blot (WB), Immunoprecipitation (IP), Immunohistochemistry (IHC-P), Immunohistochemistry (IHC-Fr), Immunocytochemistry/immunofluorescence (ICC/IF) in Mouse samples.

What is the molecular weight of CD74?
Anti-CD74 [EPR25399-94] (ab289885) specifically detects a band for CD74 (UniProt: P04441) at a molecular weight of 34kDa.

Trial sizes available!
Test your antibody or perform pre-screening before committing to a larger quantity. Sold in 10µl. Discover our selection of trial-size antibodies.

Other related products
We have a range of other formats of antibody clone [EPR25399-94] also available for your convenience: ab289885, Carrier free - ab289891, ab323245, Carrier free - ab323254

Patented technology
Our RabMAb® technology is a patented hybridoma-based technology for making rabbit monoclonal antibodies. For details on our patents, please refer to RabMAb® patents.

What are the advantages of a recombinant monoclonal antibody?
This product is a recombinant monoclonal antibody, which offers several advantages including:

  • - High batch-to-batch consistency and reproducibility
  • - Improved sensitivity and specificity
  • - Long-term security of supply
  • - Animal-free batch production

For more information, read more on recombinant antibodies.

Properties and storage information

Form
Liquid
Purification technique
Affinity purification Protein A
Storage buffer
pH: 7.2 - 7.4 Preservative: 0.01% Sodium azide Constituents: PBS, 40% Glycerol (glycerin, glycerine), 0.05% BSA
Shipped at conditions
Blue Ice
Appropriate short-term storage duration
1-2 weeks
Appropriate short-term storage conditions
+4°C
Appropriate long-term storage conditions
-20°C
Aliquoting information
Upon delivery aliquot
Storage information
Avoid freeze / thaw cycle

Supplementary information

This supplementary information is collated from multiple sources and compiled automatically.

CD74 also known as the invariant chain or li is a protein with a mass of about 33 kDa. It is widely expressed on the surface of immune cells such as B cells dendritic cells and macrophages. CD74 plays an important role in the immune system by acting as a chaperone for major histocompatibility complex class II (MHC II) molecules guiding their migration to endosomes where they encounter antigenic peptides. The CD74 protein also functions as a cell surface receptor for macrophage migration inhibitory factor (MIF) enhancing the immune response process.
Biological function summary

CD74 facilitates multiple immune regulatory processes. It forms a complex with the MHC II molecules aiding in their proper folding and peptide loading in the endoplasmic reticulum. This complex then travels through the Golgi apparatus towards the lysosomal compartments where antigens are presented to initiate adaptive immune responses. In addition CD74 is involved in signal transduction pathways that regulate cell proliferation and survival influenced by interactions with MIF and other molecules.

Pathways

The role of CD74 extends into both the antigen presentation and MIF signaling pathways. Within the antigen presentation pathway CD74's activity is tightly connected with MHC II and subsequently to CD4+ T cells facilitating the activation of these immune cells. The MIF signaling pathway involves CD74 interacting with CD44 a receptor that further propagates the signaling cascades essential for immune modulation and cell survival.

CD74 is linked to inflammatory and autoimmune conditions such as rheumatoid arthritis and systemic lupus erythematosus. Aberrant expression of CD74 influences the presentation of autoantigens and may contribute to the chronic inflammation seen in these disorders. Its connection to MIF which is a pro-inflammatory cytokine further implicates CD74 in these autoimmune scenarios by promoting persistent immune activation. Researchers are also exploring CD74 as a therapeutic target in certain cancers due to its influence on immune surveillance and tumor progression.

Product protocols

For this product, it's our understanding that no specific protocols are required. You can visit:

Target data

Plays a critical role in MHC class II antigen processing by stabilizing peptide-free class II alpha/beta heterodimers in a complex soon after their synthesis and directing transport of the complex from the endoplasmic reticulum to compartments where peptide loading of class II takes place. Enhance also the stimulation of T-cell responses through interaction with CD44.. Isoform Long. Stabilizes the conformation of mature CTSL by binding to its active site and serving as a chaperone to help maintain a pool of mature enzyme in endocytic compartments and extracellular space of antigen-presenting cells (APCs).. Class-II-associated invariant chain peptide. Binds to the peptide-binding site of MHC class II alpha/beta heterodimers forming an alpha-beta-CLIP complex, thereby preventing the loading of antigenic peptides to the MHC class II complex until its release by HLA-DM in the endosome.
See full target information Cd74

Publications (10)

Recent publications for all applications. Explore the full list and refine your search

Journal of translational medicine 23:1040 PubMed41034982

2025

Integrated single-cell RNA-seq analysis reveals that EZH2 regulates the MIF-CD74 axis to modulate T cell activation and exhaustion in hepatocellular carcinoma.

Applications

Unspecified application

Species

Unspecified reactive species

Yangyang Zhou,Yi Xu,Mengfan Ye,Jiayi Xing,Di Chen,Al-Ameer Wail Hussein Ahmed,Al-Rahabi Rehab Abdullah Mohammed Ali,Chenwei Pan,Xiangchou Yang,Zan Shen

International journal of molecular sciences 26: PubMed40650067

2025

GPX1 and RCN1 as New Endoplasmic Reticulum Stress-Related Biomarkers in Multiple Sclerosis Brain Tissue and Their Involvement in the APP-CD74 Pathway: An Integrated Study Combining Machine Learning and Multi-Omics.

Applications

Unspecified application

Species

Unspecified reactive species

Zhixin Qiao,Yanping Wang,Xiaoru Ma,Xiyu Zhang,Junfeng Wu,Anqi Li,Chao Wang,Xin Xiu,Sifan Zhang,Xiujuan Lang,Xijun Liu,Bo Sun,Hulun Li,Yumei Liu

Communications biology 8:871 PubMed40473753

2025

Phytic acid impairs macrophage inflammatory response in Echinococcus multilocularis infection.

Applications

Unspecified application

Species

Unspecified reactive species

Manuel Salzmann,Ulrike Resch,Laura Boccuni,Carina Schneider,Elena T Pichler,Mira Brekalo,Pavel Uhrin,Philipp A Kronenberg,Marion Wassermann,Thomas Romig,Johann Wojta,Philipp J Hohensinner

Cell biology and toxicology 41:25 PubMed39789407

2025

ANXA10 sensitizes microsatellite instability-high colorectal cancer to anti-PD-1 immunotherapy via assembly of HLA-DR dimers by regulating CD74.

Applications

Unspecified application

Species

Unspecified reactive species

Yiting Sun,Bowen Yang,Ti Wen,Xiaoyu Guo,Danni Li,Ruichuan Shi,Fuqiang Zhang,Dongni Wang,Ce Li,Xiujuan Qu

Journal of nanobiotechnology 22:653 PubMed39443923

2024

Curcumin/pEGCG-encapsulated nanoparticles enhance spinal cord injury recovery by regulating CD74 to alleviate oxidative stress and inflammation.

Applications

Unspecified application

Species

Unspecified reactive species

Tianjun Chen,Li Wan,Yongchun Xiao,Ke Wang,Ping Wu,Can Li,Caiqiang Huang,Xiangge Liu,Wei Xue,Guodong Sun,Xin Ji,Hongsheng Lin,Zhisheng Ji

Nature communications 15:8737 PubMed39384741

2024

Single-cell transcriptomics reveals aberrant skin-resident cell populations and identifies fibroblasts as a determinant in rosacea.

Applications

Unspecified application

Species

Unspecified reactive species

Mengting Chen,Li Yang,Peijie Zhou,Suoqin Jin,Zheng Wu,Zixin Tan,Wenqin Xiao,San Xu,Yan Zhu,Mei Wang,Dan Jian,Fangfen Liu,Yan Tang,Zhixiang Zhao,Yingxue Huang,Wei Shi,Hongfu Xie,Qing Nie,Ben Wang,Zhili Deng,Ji Li

Nature cardiovascular research 3:28-45 PubMed39195894

2024

ATF3 coordinates the survival and proliferation of cardiac macrophages and protects against ischemia-reperfusion injury.

Applications

Unspecified application

Species

Unspecified reactive species

Yihui Shao,Yang Li,Yan Liu,Shuolin Zhu,Jianing Wu,Ke Ma,Guoqi Li,Shan Huang,Haichu Wen,Congcong Zhang,Xin-Liang Ma,Ping Li,Jie Du,Yulin Li

BMB reports 57:484-489 PubMed39044458

2024

Characterization of an orthotopic mouse transplant model reveals early changes in the tumor microenvironment of lung cancer.

Applications

Unspecified application

Species

Unspecified reactive species

Minsu Na,Huiram Kang,Nayoung Kim,Areum Jo,Hae-Ock Lee

Acta biochimica et biophysica Sinica 55:1222-1233 PubMed37431183

2023

5-HMF attenuates inflammation and demyelination in experimental autoimmune encephalomyelitis mice by inhibiting the MIF-CD74 interaction.

Applications

Unspecified application

Species

Unspecified reactive species

Dongsheng Guan,Yingxia Li,Yinglin Cui,Huanghong Zhao,Ning Dong,Kun Wang,Deqi Ren,Tiantian Song,Xiaojing Wang,Shijie Jin,Yinghe Gao,Mengmeng Wang

Brain : a journal of neurology 145:3288-3307 PubMed35899587

2022

Astrocyte immunometabolic regulation of the tumour microenvironment drives glioblastoma pathogenicity.

Applications

Unspecified application

Species

Unspecified reactive species

Rita Perelroizen,Bar Philosof,Noga Budick-Harmelin,Tom Chernobylsky,Ariel Ron,Rotem Katzir,Dor Shimon,Adi Tessler,Orit Adir,Anat Gaoni-Yogev,Tom Meyer,Avivit Krivitsky,Nuphar Shidlovsky,Asaf Madi,Eytan Ruppin,Lior Mayo
View all publications

Product promise

We are committed to supporting your work with high-quality reagents, and we're here for you every step of the way. In the unlikely event that one of our products does not perform as expected, you're protected by our Product Promise.
For full details, please see our Terms & Conditions

Please note: All products are 'FOR RESEARCH USE ONLY. NOT FOR USE IN DIAGNOSTIC OR THERAPEUTIC PROCEDURES'.

For licensing inquiries, please contact partnerships@abcam.com