JavaScript is disabled in your browser. Please enable JavaScript to view this website.
AB108393

Anti-CD74 antibody [EPR4064]

  • BOND RX™ Validated
  • RabMAb
  • Recombinant
  • KO Validated
  • What is this?

Be the first to review this product! Submit a review

|

(7 Publications)

Rabbit Recombinant Monoclonal CD74 antibody. Suitable for IHC-P, IHC-Fr, I-ELISA, WB, ICC/IF, Flow Cyt (Intra) and reacts with Human, Synthetic peptide samples. Cited in 7 publications.

View Alternative Names

CD74, DHLAG, HLA class II histocompatibility antigen gamma chain, HLA-DR antigens-associated invariant chain, Ia antigen-associated invariant chain, Ii

16 Images
Immunocytochemistry/ Immunofluorescence - Anti-CD74 antibody [EPR4064] (AB108393)
  • ICC/IF

Lab

Immunocytochemistry/ Immunofluorescence - Anti-CD74 antibody [EPR4064] (AB108393)

Confocal image of ab108393 staining CD74 in the RAMOS (human Burkitt's lymphoma) cell line by ICC/IF (Immunocytochemistry/immunofluorescence). Cells were fixed with 4% Paraformaldehyde and permeabilized with 0.1% Triton X-100 in PBS. Samples were incubated with primary antibody (1/500) and an Alexa Fluor® 488-conjugated goat anti-rabbit IgG polyclonal (ab150077) was used as the secondary antibody at a dilution of 1/1000.

DAPI was used ad a nuclear counterstain at 1/200.

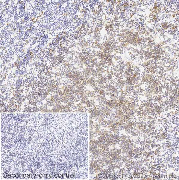
Immunohistochemistry (Formalin/PFA-fixed paraffin-embedded sections) - Anti-CD74 antibody [EPR4064] (AB108393)
  • IHC-P

Unknown

Immunohistochemistry (Formalin/PFA-fixed paraffin-embedded sections) - Anti-CD74 antibody [EPR4064] (AB108393)

ab108393 showing positive staining in Normal spleen tissue.

Perform heat mediated antigen retrieval with citrate buffer pH 6 before commencing with IHC staining protocol.

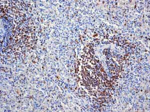
Immunohistochemistry (Formalin/PFA-fixed paraffin-embedded sections) - Anti-CD74 antibody [EPR4064] (AB108393)
  • IHC-P

Unknown

Immunohistochemistry (Formalin/PFA-fixed paraffin-embedded sections) - Anti-CD74 antibody [EPR4064] (AB108393)

ab108393 showing positive staining in B cell lymphoma tissue.

Perform heat mediated antigen retrieval with citrate buffer pH 6 before commencing with IHC staining protocol.

Flow Cytometry (Intracellular) - Anti-CD74 antibody [EPR4064] (AB108393)
  • Flow Cyt (Intra)

Lab

Flow Cytometry (Intracellular) - Anti-CD74 antibody [EPR4064] (AB108393)

ab108393staining CD74 inRAMOS (human Burkitt's lymphoma) cell line.The sample was fixed with 4% paraformaldehyde and incubated with the primary antibody (1/150) for 30 minutes at 4°C. AnAlexa Fluorr® 488 -conjugated goatanti-rabbit IgG (1/2000) was used as the secondary antibody.

Control : Cell without incubation with primary antibody and secondary antibody (Blue).

Immunohistochemistry (Formalin/PFA-fixed paraffin-embedded sections) - Anti-CD74 antibody [EPR4064] (AB108393)
  • IHC-P

Unknown

Immunohistochemistry (Formalin/PFA-fixed paraffin-embedded sections) - Anti-CD74 antibody [EPR4064] (AB108393)

Immunohistochemical analysis of CD74 in paraffin embedded Human tonsil tissue using ab108393 at a 1/100 dilution.

Perform heat mediated antigen retrieval with citrate buffer pH 6 before commencing with IHC staining protocol.

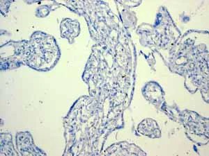
Immunohistochemistry (Formalin/PFA-fixed paraffin-embedded sections) - Anti-CD74 antibody [EPR4064] (AB108393)
  • IHC-P

Unknown

Immunohistochemistry (Formalin/PFA-fixed paraffin-embedded sections) - Anti-CD74 antibody [EPR4064] (AB108393)

ab108393 showing negative staining in Normal placenta tissue.

Perform heat mediated antigen retrieval with citrate buffer pH 6 before commencing with IHC staining protocol.

Flow Cytometry (Intracellular) - Anti-CD74 antibody [EPR4064] (AB108393)
  • Flow Cyt (Intra)

Lab

Flow Cytometry (Intracellular) - Anti-CD74 antibody [EPR4064] (AB108393)

Intracellular Intracellular Flow Cytometry overlay histogram showing wild-type Raji (green line) and CD74 knockout Raji cells (ab273378) stained with ab108393 (red line). The cells were fixed with 80% methanol (5 min) and then permeabilized with 0.1% PBS-Triton X-100 for 15 min. The cells were then incubated in 1x PBS containing 10μg/ml human IgG and 10% normal goat serum to block FC receptors and non-specific protein-protein interaction followed by the antibody (ab108393) (1x106 in 100μl at 0.2 μg/ml) for 30 min at 22°C.

The secondary antibody Goat anti-rabbit IgG H&L (Alexa Fluorr® 488 pre-adsorbed) (ab150081) was used at 1/2000 for 30 min at 22°C. Isotype control antibody was Rabbit IgG (monoclonal) (ab172730) used at the same concentration and conditions as the primary antibody (wild-type Raji cells - black line; CD74 knockout Raji cells ab273378 - grey line). Unlabelled sample was also used as a control (this line is not shown for the purpose of simplicity).

Acquisition of >5000 events were collected using a 50 mW Blue laser (488nm) and 525/40 bandpass filter.

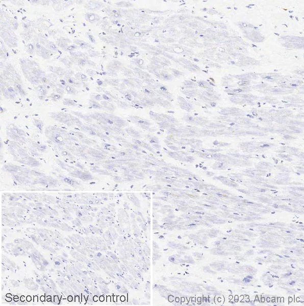
Immunohistochemistry (Frozen sections) - Anti-CD74 antibody [EPR4064] (AB108393)
  • IHC-Fr

Lab

Immunohistochemistry (Frozen sections) - Anti-CD74 antibody [EPR4064] (AB108393)

Negative control image : IHC image of CD74 staining in a section of frozen human normal heart☆ performed on a Leica Biosystems BOND® RX instrument using the standard protocol. The section was fixed in 10% paraformaldehyde (10 min) prior to staining. The section was incubated with ab108393, 0.05ugml, for 15 mins at room temperature and detected using an HRP conjugated compact polymer system. DAB was used as the chromogen. The section was then counterstained with haematoxylin and mounted with DPX. The inset secondary-only control image is taken from an identical assay without primary antibody.

☆ Tissue obtained from the Human Research Tissue Bank, supported by the NIHR Cambridge Biomedical Research Centre.

For other IHC staining systems (automated and non-automated) customers should optimize variable parameters such as antigen retrieval conditions, primary antibody concentration and antibody incubation times.

Immunohistochemistry (Frozen sections) - Anti-CD74 antibody [EPR4064] (AB108393)
  • IHC-Fr

Lab

Immunohistochemistry (Frozen sections) - Anti-CD74 antibody [EPR4064] (AB108393)

IHC image of CD74 staining in a section of frozen human normal tonsil☆ performed on a Leica Biosystems BOND® RX instrument using the standard protocol. The section was fixed in 10% paraformaldehyde (10 min) prior to staining. The section was incubated with ab108393, 0.05ugml, for 15 mins at room temperature and detected using an HRP conjugated compact polymer system. DAB was used as the chromogen. The section was then counterstained with haematoxylin and mounted with DPX. The inset secondary-only control image is taken from an identical assay without primary antibody.

☆Tissue obtained from the Human Research Tissue Bank, supported by the NIHR Cambridge Biomedical Research Centre

For other IHC staining systems (automated and non-automated) customers should optimize variable parameters such as antigen retrieval conditions, primary antibody concentration and antibody incubation times.

Western blot - Anti-CD74 antibody [EPR4064] (AB108393)
  • WB

Lab

Western blot - Anti-CD74 antibody [EPR4064] (AB108393)

Lanes 1 - 4 : Merged signal (red and green). Green - ab108393 observed at 35 kDa. Red - loading control, ab7291 (Mouse anti-Alpha Tubulin [DM1A]) observed at 55 kDa.

ab108393 was shown to react with CD74 in western blot. The band observed in CD74 knockout cell line ab273378 (knockout lysate ab275529) below 35 kDa is likely to represent a truncated form. This has not been investigated further. Membranes were blocked in fluorescent western blot (TBS-based) blocking solution before incubation with ab108393 and ab7291 (Mouse anti-Alpha Tubulin [DM1A]) overnight at 4 °C at a 1 in 1000 dilution and a 1 in 20000 dilution respectively. Blots were incubated with Goat anti-Rabbit IgG H&L (IRDye® 800CW) preabsorbed (ab216773) and Goat anti-Mouse IgG H&L (IRDye® 680RD) preabsorbed (ab216776) secondary antibodies at 1 in 20000 dilution for 1 h at room temperature before imaging.

All lanes:

Western blot - Anti-CD74 antibody [EPR4064] (ab108393) at 1/1000 dilution

Lane 1:

Wild-type Raji cell lysate at 30 µg

Lane 2:

Western blot - Human CD74 knockout Raji cell lysate (<a href='/en-us/products/cell-lysates/human-cd74-knockout-raji-cell-lysate-ab275529'>ab275529</a>)

Lane 2:

CD74 knockout Raji cell lysate at 30 µg

Lane 2:

Western blot - Human CD74 knockout Raji cell line (<a href='/en-us/products/cell-lines/human-cd74-knockout-raji-cell-line-ab273378'>ab273378</a>)

Lane 3:

Jurkat cell lysate at 30 µg

Lane 4:

HepG2 cell lysate at 30 µg

Predicted band size: 34 kDa

Observed band size: 35 kDa

false

Western blot - Anti-CD74 antibody [EPR4064] (AB108393)
  • WB

Lab

Western blot - Anti-CD74 antibody [EPR4064] (AB108393)

Lanes 1 - 4 : Merged signal (red and green). Green - ab108393 observed at 34 kDa. Red - loading control ab7291 (Mouse anti-Alpha Tubulin [DM1A]) observed at 55 kDa.

ab108393 was shown to react with CD74 in wild-type Raji cells in Western blot with loss of signal observed in CD74 knockout cell line ab273876 (knockout cell lysate ab273830). Wild-type Raji and CD74 knockout cell lysates were subjected to SDS-PAGE. Membranes were blocked in fluorescent western blot (TBS-based) blocking solution before incubation with ab108393 and ab7291 (Mouse anti-Alpha Tubulin [DM1A]) overnight at 4 °C at a 1 in 1000 dilution and a 1 in 20000 dilution respectively. Blots were incubated with Goat anti-Rabbit IgG H&L (IRDye® 800CW) preabsorbed (ab216773) and Goat anti-Mouse IgG H&L (IRDye® 680RD) preabsorbed (ab216776) secondary antibodies at 1 in 20000 dilution for 1 h at room temperature before imaging.

All lanes:

Western blot - Anti-CD74 antibody [EPR4064] (ab108393) at 1/1000 dilution

Lane 1:

Wild-type Raji cell lysate at 20 µg

Lane 2:

Western blot - Human CD74 knockout Raji cell lysate (<a href='/en-us/products/cell-lysates/human-cd74-knockout-raji-cell-lysate-ab273830'>ab273830</a>) at 20 µg

Lane 3:

Daudi cell lysate at 20 µg

Secondary

Lanes 1 - 4:

Western blot - Goat anti-Rabbit IgG H&L (IRDye® 800CW) preadsorbed (<a href='/en-us/products/secondary-antibodies/goat-rabbit-igg-h-l-irdye-800cw-preadsorbed-ab216773'>ab216773</a>) at 1/20000 dilution

Lanes 1 - 4:

Western blot - Goat anti-Mouse IgG H&L (IRDye® 680RD) preadsorbed (<a href='/en-us/products/secondary-antibodies/goat-mouse-igg-h-l-irdye-680rd-preadsorbed-ab216776'>ab216776</a>) at 1/20000 dilution

Predicted band size: 34 kDa

Observed band size: 34 kDa,55 kDa

false

Western blot - Anti-CD74 antibody [EPR4064] (AB108393)
  • WB

Unknown

Western blot - Anti-CD74 antibody [EPR4064] (AB108393)

All lanes:

Western blot - Anti-CD74 antibody [EPR4064] (ab108393) at 1/1000 dilution

All lanes:

Ramos cell lysate at 10 µg

Predicted band size: 34 kDa

false

Immunohistochemistry (Formalin/PFA-fixed paraffin-embedded sections) - Anti-CD74 antibody [EPR4064] (AB108393)
  • IHC-P

Unknown

Immunohistochemistry (Formalin/PFA-fixed paraffin-embedded sections) - Anti-CD74 antibody [EPR4064] (AB108393)

ab108393 showing negative staining in Normal brain tissue.

Perform heat mediated antigen retrieval with citrate buffer pH 6 before commencing with IHC staining protocol.

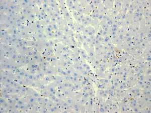
Immunohistochemistry (Formalin/PFA-fixed paraffin-embedded sections) - Anti-CD74 antibody [EPR4064] (AB108393)
  • IHC-P

Unknown

Immunohistochemistry (Formalin/PFA-fixed paraffin-embedded sections) - Anti-CD74 antibody [EPR4064] (AB108393)

ab108393 showing negative staining in Normal liver tissue.

Perform heat mediated antigen retrieval with citrate buffer pH 6 before commencing with IHC staining protocol.

Immunohistochemistry (Formalin/PFA-fixed paraffin-embedded sections) - Anti-CD74 antibody [EPR4064] (AB108393)
  • IHC-P

Unknown

Immunohistochemistry (Formalin/PFA-fixed paraffin-embedded sections) - Anti-CD74 antibody [EPR4064] (AB108393)

ab108393 showing negative staining in Normal heart tissue.

Perform heat mediated antigen retrieval with citrate buffer pH 6 before commencing with IHC staining protocol.

Indirect ELISA - Anti-CD74 antibody [EPR4064] (AB108393)
  • I-ELISA

Unknown

Indirect ELISA - Anti-CD74 antibody [EPR4064] (AB108393)

ELISA using ab108393 at varying antibody concentrations and antigen concentration at 1000 ng/mL. An Alkaline Phosphatase-conjugated AffiniPure Goat Anti-Rabbit IgG (H+L) was used as the secondary antibody.

Key facts

Host species

Rabbit

Clonality

Monoclonal

Clone number

EPR4064

Isotype

IgG

Carrier free

No

Reacts with

Human

Applications

ICC/IF, Flow Cyt (Intra), I-ELISA, IHC-Fr, IHC-P, WB

applications

Immunogen

The exact immunogen used to generate this antibody is proprietary information.

Reactivity data

{ "title": "Reactivity Data", "filters": { "stats": ["", "Species", "Dilution Info", "Notes"], "tabs": { "all-applications": {"fullname" : "All Applications", "shortname": "All Applications"}, "IHCP" : {"fullname" : "Immunohistochemistry (Formalin/PFA-fixed paraffin-embedded sections)", "shortname":"IHC-P"}, "IHCFr" : {"fullname" : "Immunohistochemistry (Frozen sections)", "shortname":"IHC-Fr"}, "IELISA" : {"fullname" : "Indirect ELISA", "shortname":"I-ELISA"}, "WB" : {"fullname" : "Western blot", "shortname":"WB"}, "ICCIF" : {"fullname" : "Immunocytochemistry/ Immunofluorescence", "shortname":"ICC/IF"}, "FlowCytIntra" : {"fullname" : "Flow Cytometry (Intracellular)", "shortname":"Flow Cyt (Intra)"}, "IP" : {"fullname" : "Immunoprecipitation", "shortname":"IP"} }, "product-promise": { "all": "all", "testedAndGuaranteed": "tested", "guaranteed": "expected", "predicted": "predicted", "notRecommended": "not-recommended" } }, "values": { "Human": { "IHCP-species-checked": "testedAndGuaranteed", "IHCP-species-dilution-info": "1/100 - 1/250", "IHCP-species-notes": "<p>Perform antigen retrieval before commencing with IHC staining protocol.</p>", "IHCFr-species-checked": "testedAndGuaranteed", "IHCFr-species-dilution-info": "0.1 µg/mL", "IHCFr-species-notes": "<p></p>", "IELISA-species-checked": "guaranteed", "IELISA-species-dilution-info": "", "IELISA-species-notes": "", "WB-species-checked": "testedAndGuaranteed", "WB-species-dilution-info": "1/1000 - 1/10000", "WB-species-notes": "<p></p>", "ICCIF-species-checked": "testedAndGuaranteed", "ICCIF-species-dilution-info": "1/500", "ICCIF-species-notes": "<p></p>", "FlowCytIntra-species-checked": "testedAndGuaranteed", "FlowCytIntra-species-dilution-info": "0.2 µg/mL", "FlowCytIntra-species-notes": "<p></p>", "IP-species-checked": "notRecommended", "IP-species-dilution-info": "", "IP-species-notes": "<p></p>" }, "Synthetic peptide": { "IHCP-species-checked": "notRecommended", "IHCP-species-dilution-info": "", "IHCP-species-notes": "", "IHCFr-species-checked": "notRecommended", "IHCFr-species-dilution-info": "", "IHCFr-species-notes": "", "IELISA-species-checked": "testedAndGuaranteed", "IELISA-species-dilution-info": "", "IELISA-species-notes": "<p></p>", "WB-species-checked": "notRecommended", "WB-species-dilution-info": "", "WB-species-notes": "", "ICCIF-species-checked": "notRecommended", "ICCIF-species-dilution-info": "", "ICCIF-species-notes": "", "FlowCytIntra-species-checked": "notRecommended", "FlowCytIntra-species-dilution-info": "", "FlowCytIntra-species-notes": "", "IP-species-checked": "notRecommended", "IP-species-dilution-info": "", "IP-species-notes": "" } } }

Product details

Species reactivity
Mouse, Rat: We have preliminary internal testing data to indicate this antibody may not react with these species.
Please contact us for more information.

Patented technology
Our RabMAb® technology is a patented hybridoma-based technology for making rabbit monoclonal antibodies. For details on our patents, please refer to RabMAb® patents.

What are the advantages of a recombinant monoclonal antibody?
This product is a recombinant monoclonal antibody, which offers several advantages including:

  • - High batch-to-batch consistency and reproducibility
  • - Improved sensitivity and specificity
  • - Long-term security of supply
  • - Animal-free batch production

For more information, read more on recombinant antibodies.

Properties and storage information

Form
Liquid
Purification technique
Affinity purification Protein A
Storage buffer
pH: 7.2 - 7.4 Preservative: 0.05% Sodium azide Constituents: 50% Tissue culture supernatant, 40% Glycerol (glycerin, glycerine), 9.85% Tris glycine, 0.1% BSA
Shipped at conditions
Blue Ice
Appropriate short-term storage conditions
+4°C
Appropriate long-term storage conditions
-20°C
Storage information
Stable for 12 months at -20°C

Supplementary information

This supplementary information is collated from multiple sources and compiled automatically.

CD74 also known as the invariant chain or li is a protein with a mass of about 33 kDa. It is widely expressed on the surface of immune cells such as B cells dendritic cells and macrophages. CD74 plays an important role in the immune system by acting as a chaperone for major histocompatibility complex class II (MHC II) molecules guiding their migration to endosomes where they encounter antigenic peptides. The CD74 protein also functions as a cell surface receptor for macrophage migration inhibitory factor (MIF) enhancing the immune response process.
Biological function summary

CD74 facilitates multiple immune regulatory processes. It forms a complex with the MHC II molecules aiding in their proper folding and peptide loading in the endoplasmic reticulum. This complex then travels through the Golgi apparatus towards the lysosomal compartments where antigens are presented to initiate adaptive immune responses. In addition CD74 is involved in signal transduction pathways that regulate cell proliferation and survival influenced by interactions with MIF and other molecules.

Pathways

The role of CD74 extends into both the antigen presentation and MIF signaling pathways. Within the antigen presentation pathway CD74's activity is tightly connected with MHC II and subsequently to CD4+ T cells facilitating the activation of these immune cells. The MIF signaling pathway involves CD74 interacting with CD44 a receptor that further propagates the signaling cascades essential for immune modulation and cell survival.

CD74 is linked to inflammatory and autoimmune conditions such as rheumatoid arthritis and systemic lupus erythematosus. Aberrant expression of CD74 influences the presentation of autoantigens and may contribute to the chronic inflammation seen in these disorders. Its connection to MIF which is a pro-inflammatory cytokine further implicates CD74 in these autoimmune scenarios by promoting persistent immune activation. Researchers are also exploring CD74 as a therapeutic target in certain cancers due to its influence on immune surveillance and tumor progression.

Product protocols

For this product, it's our understanding that no specific protocols are required. You can visit:

Target data

Plays a critical role in MHC class II antigen processing by stabilizing peptide-free class II alpha/beta heterodimers in a complex soon after their synthesis and directing transport of the complex from the endoplasmic reticulum to the endosomal/lysosomal system where the antigen processing and binding of antigenic peptides to MHC class II takes place. Serves as cell surface receptor for the cytokine MIF.. Class-II-associated invariant chain peptide. Binds to the peptide-binding site of MHC class II alpha/beta heterodimers forming an alpha-beta-CLIP complex, thereby preventing the loading of antigenic peptides to the MHC class II complex until its release by HLA-DM in the endosome.. Isoform p41. Stabilizes the conformation of mature CTSL by binding to its active site and serving as a chaperone to help maintain a pool of mature enzyme in endocytic compartments and extracellular space of antigen-presenting cells (APCs). Has antiviral activity by stymieing the endosomal entry of Ebola virus and coronaviruses, including SARS-CoV-2 (PubMed : 32855215). Disrupts cathepsin-mediated Ebola virus glycoprotein processing, which prevents viral fusion and entry. This antiviral activity is specific to p41 isoform (PubMed : 32855215).
See full target information CD74

Publications (7)

Recent publications for all applications. Explore the full list and refine your search

MedComm 6:e70311 PubMed40761479

2025

Nanoparticle-Delivered siRNA Targeting NSUN4 Relieves Systemic Lupus Erythematosus through Declining Mitophagy-Mediated CD8+T Cell Exhaustion.

Applications

Unspecified application

Species

Unspecified reactive species

Bincheng Ren,Kaini He,Ning Wei,Shanshan Liu,Xiaoguang Cui,Xin Yang,Xiaojing Cheng,Tian Tian,Ru Gu,Xueyi Li

Nature communications 16:3177 PubMed40180922

2025

Cholangiocarcinoma PDHA1 succinylation suppresses macrophage antigen presentation via alpha-ketoglutaric acid accumulation.

Applications

Unspecified application

Species

Unspecified reactive species

Ning Zhang,Linmao Sun,Shuo Zhou,Changyong Ji,Tianming Cui,Qi Chu,Jiareng Ye,Shuhang Liang,Kun Ma,Yufeng Liu,Xianying Li,Xinyu Guo,Weizhi Zhang,Xuetian Gu,Cheng Cheng,Qingrui Zha,Shengwei Tao,Yunguang Zhang,Junhui Chu,Chenghui Wu,Yuchen Zhang,Jiabei Wang,Yao Liu,Lianxin Liu

The European respiratory journal 63: PubMed38212075

2024

Single-cell transcriptomic analysis of human pleura reveals stromal heterogeneity and informs models of mesothelioma.

Applications

Unspecified application

Species

Unspecified reactive species

Joanna Obacz,Jose Antonio Valer,Reshma Nibhani,Taylor S Adams,Jonas C Schupp,Niki Veale,Amanah Lewis-Wade,Jasper Flint,John Hogan,Giuseppe Aresu,Aman S Coonar,Adam Peryt,Giulia Biffi,Naftali Kaminski,Hayley Francies,Doris M Rassl,Mathew J Garnett,Robert C Rintoul,Stefan J Marciniak

PloS one 18:e0288281 PubMed37616250

2023

Human embryonic stem cells secrete macrophage migration inhibitory factor: A novel finding.

Applications

Unspecified application

Species

Unspecified reactive species

Yanzhao Wei,Xiaohan Zheng,Ting Huang,Yuanji Zhong,Shengtong Sun,Xufang Wei,Qibing Liu,Tan Wang,Zhenqiang Zhao

Cell proliferation 55:e13249 PubMed35560676

2022

Single-cell sequencing reveals the heterogeneity and intratumoral crosstalk in human endometrial cancer.

Applications

Unspecified application

Species

Unspecified reactive species

Zhicheng Yu,Jun Zhang,Qi Zhang,Sitian Wei,Rui Shi,Rong Zhao,Lanfen An,Richard Grose,Dilu Feng,Hongbo Wang

The Journal of biological chemistry 297:101072 PubMed34391782

2021

Identification of invariant chain CD74 as a functional receptor of tissue inhibitor of metalloproteinases-1 (TIMP-1).

Applications

Unspecified application

Species

Unspecified reactive species

Benjamin Schoeps,Celina Eckfeld,Laura Flüter,Selina Keppler,Ritu Mishra,Percy Knolle,Felix Bayerl,Jan Böttcher,Chris D Hermann,Daniel Häußler,Achim Krüger

Neurobiology of aging 36:1820-33 PubMed25784209

2015

Apolipoprotein D modulates amyloid pathology in APP/PS1 Alzheimer's disease mice.

Applications

Unspecified application

Species

Unspecified reactive species

Hongyun Li,Kalani Ruberu,Sonia Sanz Muñoz,Andrew M Jenner,Adena Spiro,Hua Zhao,Eric Rassart,Diego Sanchez,Maria D Ganfornina,Tim Karl,Brett Garner
View all publications

Product promise

We are committed to supporting your work with high-quality reagents, and we're here for you every step of the way. In the unlikely event that one of our products does not perform as expected, you're protected by our Product Promise.
For full details, please see our Terms & Conditions

Please note: All products are 'FOR RESEARCH USE ONLY. NOT FOR USE IN DIAGNOSTIC OR THERAPEUTIC PROCEDURES'.

For licensing inquiries, please contact partnerships@abcam.com