JavaScript is disabled in your browser. Please enable JavaScript to view this website.
AB314053

Anti-CD79A antibody [BLR234K] - BSA free

Be the first to review this product! Submit a review

|

(0 Publication)

Rabbit Recombinant Monoclonal CD79A antibody. Suitable for Flow Cyt, ICC, IHC-P, IP, WB and reacts with Human, Mouse samples. Immunogen corresponding to Synthetic Peptide within Human CD79A aa 150 to C-terminus.

View Alternative Names

CD79a, IGA, MB1, CD79A, B-cell antigen receptor complex-associated protein alpha chain, Ig-alpha, MB-1 membrane glycoprotein, Membrane-bound immunoglobulin-associated protein, Surface IgM-associated protein

9 Images
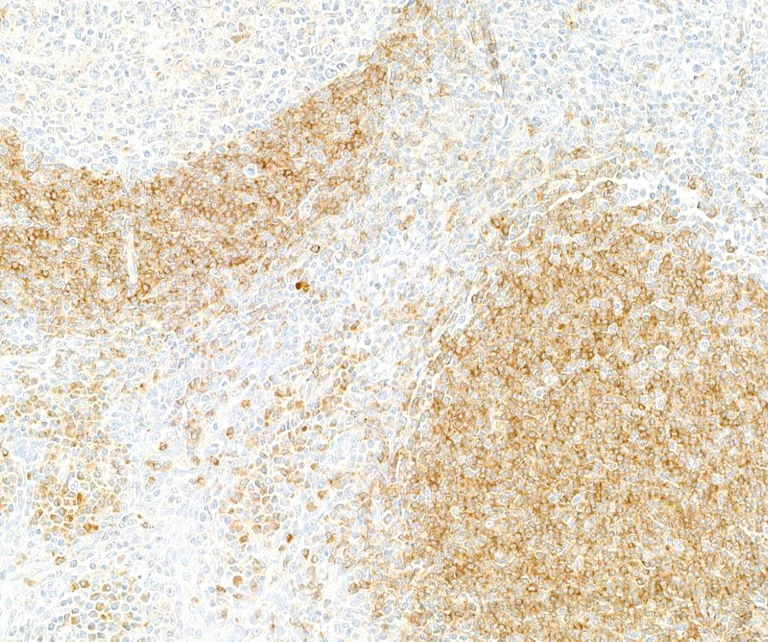
Immunohistochemistry - Anti-CD79A antibody [BLR234K] - BSA free (AB314053)
  • IHC

Supplier Data

Immunohistochemistry - Anti-CD79A antibody [BLR234K] - BSA free (AB314053)

Detection of human CD79A by immunohistochemistry Sample : FFPE section of human tonsil. Antibody : Rabbit anti-CD79A recombinant monoclonal antibody [BLR234K] (A700-234-1). Secondary : HRP-conjugated goat antirabbit IgG (A120-501P).

Flow Cytometry - Anti-CD79A antibody [BLR234K] - BSA free (AB314053)
  • Flow Cyt

Supplier Data

Flow Cytometry - Anti-CD79A antibody [BLR234K] - BSA free (AB314053)

Detection of human CD79A (shaded) in Daudi cells by flow cytometry.Antibody : Rabbit anti-CD79A recombinant monoclonal antibody [BLR234K] or isotype control (unshaded). Secondary : DyLight® 650-conjugated goat anti-rabbit IgG.

Immunocytochemistry - Anti-CD79A antibody [BLR234K] - BSA free (AB314053)
  • ICC

Supplier Data

Immunocytochemistry - Anti-CD79A antibody [BLR234K] - BSA free (AB314053)

Detection of human CD79A by immunocytochemistry. Sample : FFPE section of Daudi cells. Antibody : Rabbit anti-CD79A recombinant monoclonal antibody [BLR234K] Secondary : HRP-conjugated goat anti-rabbit IgG .

Immunoprecipitation - Anti-CD79A antibody [BLR234K] - BSA free (AB314053)
  • IP

Supplier Data

Immunoprecipitation - Anti-CD79A antibody [BLR234K] - BSA free (AB314053)

Samples : Whole cell lysate (1.0 mg per IP reaction; 20% of IP loaded) from Ramos cells prepared using NETN lysis buffer. Antibodies : Rabbit antiCD79A recombinant monoclonal antibody [BLR234K] (A700-234 lot 1) used for IP at 20 µl/mg lysate. CD79A was also immunoprecipitated by a second antibody against a different epitope of CD79A (A700-232). For blotting immunoprecipitated CD79A, A700-234 was used at 1 : 1000. Detection : Chemiluminescence with an exposure time of 1 second.

false

Immunocytochemistry - Anti-CD79A antibody [BLR234K] - BSA free (AB314053)
  • ICC

Supplier Data

Immunocytochemistry - Anti-CD79A antibody [BLR234K] - BSA free (AB314053)

Detection of mouse CD79A by immunocytochemistry Sample : FFPE section of WEHI-231 cells. Antibody : Rabbit anti-CD79A recombinant monoclonal antibody [BLR234K] (A700-234-1). Secondary : HRP-conjugated goat anti-rabbit IgG (A120-501P).

Immunohistochemistry (Formalin/PFA-fixed paraffin-embedded sections) - Anti-CD79A antibody [BLR234K] - BSA free (AB314053)
  • IHC-P

Supplier Data

Immunohistochemistry (Formalin/PFA-fixed paraffin-embedded sections) - Anti-CD79A antibody [BLR234K] - BSA free (AB314053)

Sample : FFPE section of mouse spleen. Antibody : Rabbit anti-CD79A recombinant monoclonal antibody [BLR234K] (A700-234-1). Secondary : HRP-conjugated goat antirabbit IgG (A120-501P).

Flow Cytometry - Anti-CD79A antibody [BLR234K] - BSA free (AB314053)
  • Flow Cyt

Supplier Data

Flow Cytometry - Anti-CD79A antibody [BLR234K] - BSA free (AB314053)

Detection of mouse CD79A (shaded) in A20 cells by flow cytometry.Antibody : Rabbit anti-CD79A recombinant monoclonal antibody [BLR234K]

Western blot - Anti-CD79A antibody [BLR234K] - BSA free (AB314053)
  • WB

Supplier Data

Western blot - Anti-CD79A antibody [BLR234K] - BSA free (AB314053)

Samples : Whole cell lysate (50 µg) from Daudi, HeLa, Raji, HEK293T, and Ramos cells prepared using NETN lysis buffer. Antibody : Rabbit anti-CD79A recombinant monoclonal antibody [BLR234K] (A700-234 lot 1) used at 1 : 1000. Secondary : HRP-conjugated goat anti-rabbit IgG (A120-101P). Detection : Chemiluminescence with an exposure time of 30 seconds. Lower Panel : Rabbit antiActin recombinant monoclonal antibody [BLR057F] (A700-057).

All lanes:

Western blot - Anti-CD79A antibody [BLR234K] - BSA free (ab314053) at 1/1000 dilution

Lane 1:

Daudi Whole cell lysate at 50 µg

Lane 2:

Hela Whole cell lysate at 50 µg

Lane 3:

Raji Whole cell lysate at 50 µg

Lane 4:

HEK- 293T Whole cell lysate at 50 µg

Lane 5:

Ramos Whole cell lysate at 50 µg

Secondary

All lanes:

HRP-conjugated goat anti-rabbit IgG

false

Western blot - Anti-CD79A antibody [BLR234K] - BSA free (AB314053)
  • WB

Supplier Data

Western blot - Anti-CD79A antibody [BLR234K] - BSA free (AB314053)

Samples : Whole cell lysate (50 µg) from WEHI-231 (25 µg), NIH 3T3, CH27, TCMK-1, and A20 cells prepared using NETN lysis buffer. Antibody : Rabbit anti-CD79A recombinant monoclonal antibody [BLR234K] (A700-234 lot 1) used at 1 : 1000. Secondary : HRP-conjugated goat anti-rabbit IgG (A120-101P). Detection : Chemiluminescence with an exposure time of 30 seconds. Lower Panel : Rabbit antiActin recombinant monoclonal antibody [BLR057F] (A700-057).

All lanes:

Western blot - Anti-CD79A antibody [BLR234K] - BSA free (ab314053) at 1/1000 dilution

Lane 1:

WEHI-231 Whole cell lysate at 25 µg

Lane 2:

NIH 3T3 Whole cell lysate at 25 µg

Lane 3:

CH 27 Whole cell lysate at 25 µg

Lane 4:

TCMK-1 Whole cell lysate at 25 µg

Lane 5:

A 20 Whole cell lysate at 25 µg

Secondary

All lanes:

HRP-conjugated goat anti-rabbit IgG

false

Key facts

Host species

Rabbit

Clonality

Monoclonal

Clone number

BLR234K

Isotype

IgG

Carrier free

No

Reacts with

Mouse, Human

Applications

IP, IHC-P, ICC, WB, Flow Cyt

applications

Immunogen

Synthetic Peptide within Human CD79A aa 150 to C-terminus. The exact immunogen used to generate this antibody is proprietary information.

P11912

Reactivity data

{ "title": "Reactivity Data", "filters": { "stats": ["", "Species", "Dilution Info", "Notes"], "tabs": { "all-applications": {"fullname" : "All Applications", "shortname": "All Applications"}, "FlowCyt" : {"fullname" : "Flow Cytometry", "shortname":"Flow Cyt"}, "ICC" : {"fullname" : "Immunocytochemistry", "shortname":"ICC"}, "IHCP" : {"fullname" : "Immunohistochemistry (Formalin/PFA-fixed paraffin-embedded sections)", "shortname":"IHC-P"}, "IP" : {"fullname" : "Immunoprecipitation", "shortname":"IP"}, "WB" : {"fullname" : "Western blot", "shortname":"WB"} }, "product-promise": { "all": "all", "testedAndGuaranteed": "tested", "guaranteed": "expected", "predicted": "predicted", "notRecommended": "not-recommended" } }, "values": { "Human": { "FlowCyt-species-checked": "testedAndGuaranteed", "FlowCyt-species-dilution-info": "", "FlowCyt-species-notes": "<p></p>", "ICC-species-checked": "testedAndGuaranteed", "ICC-species-dilution-info": "", "ICC-species-notes": "<p></p>", "IHCP-species-checked": "testedAndGuaranteed", "IHCP-species-dilution-info": "", "IHCP-species-notes": "<p></p>", "IP-species-checked": "testedAndGuaranteed", "IP-species-dilution-info": "", "IP-species-notes": "<p></p>", "WB-species-checked": "testedAndGuaranteed", "WB-species-dilution-info": "", "WB-species-notes": "<p></p>" }, "Mouse": { "FlowCyt-species-checked": "testedAndGuaranteed", "FlowCyt-species-dilution-info": "", "FlowCyt-species-notes": "<p></p>", "ICC-species-checked": "testedAndGuaranteed", "ICC-species-dilution-info": "", "ICC-species-notes": "<p></p>", "IHCP-species-checked": "testedAndGuaranteed", "IHCP-species-dilution-info": "", "IHCP-species-notes": "<p></p>", "IP-species-checked": "guaranteed", "IP-species-dilution-info": "", "IP-species-notes": "", "WB-species-checked": "testedAndGuaranteed", "WB-species-dilution-info": "", "WB-species-notes": "<p></p>" } } }

Product details

REACH authorisation
Abcam has not and does not intend to apply for the REACH Authorisation of customers' uses of products that contain European Authorisation list (Annex XIV) substances.
It is the responsibility of our customers to check the necessity of application of REACH Authorisation, and any other relevant authorisations, for their intended uses.

Properties and storage information

Form
Liquid
Storage buffer
pH: 7.8 - 8.6 Preservative: 0.09% Sodium azide Constituents: 98% Borate buffered saline
Shipped at conditions
Blue Ice
Appropriate short-term storage duration
Up to 12 months
Appropriate short-term storage conditions
+4°C
Appropriate long-term storage conditions
+4°C

Supplementary information

This supplementary information is collated from multiple sources and compiled automatically.

CD79a also known as Ig-alpha or MB-1 is a component of the B cell antigen receptor (BCR) complex. It is a transmembrane protein with a molecular mass of approximately 47 kDa. CD79a is part of a heterodimer with CD79b and is mainly expressed on the surface of B lymphocytes. This protein plays a critical mechanical role in signaling transduction through the BCR by associating with membrane-bound immunoglobulin molecules helping to initiate the immune response upon antigen binding.
Biological function summary

This protein acts as an essential mediator in the immune system. CD79a together with CD79b forms part of the BCR complex critical for B cell development and maturation. The BCR complex activates signaling cascades that influence B cell fate decisions such as proliferation differentiation and apoptosis. By transmitting signals from the BCR CD79a helps regulate these cellular functions necessary for efficient immune defense.

Pathways

CD79a plays a pivotal role in the B cell receptor signaling pathway. This pathway involves signaling molecules such as spleen tyrosine kinase (SYK) and phosphoinositide 3-kinase (PI3K) which are activated upon BCR engagement. CD79a acts in concert with other proteins including CD79b and the IgM receptor facilitating downstream signaling cascades that ensure proper B cell responses. Its role is important for linking extracellular antigen recognition to intracellular signaling events.

CD79a is significant in conditions like B cell lymphomas and certain immunodeficiencies. Abnormal expression or mutations in CD79a are associated with some types of non-Hodgkin lymphoma. The protein's interaction with CD79b is particularly relevant as alterations in these proteins' function or expression can impact B cell development and lead to pathogenesis in lymphoproliferative disorders. Consequently CD79a serves as an important biomarker and potential therapeutic target in these diseases.

Product protocols

For this product, it's our understanding that no specific protocols are required. You can visit:

Target data

Required in cooperation with CD79B for initiation of the signal transduction cascade activated by binding of antigen to the B-cell antigen receptor complex (BCR) which leads to internalization of the complex, trafficking to late endosomes and antigen presentation. Also required for BCR surface expression and for efficient differentiation of pro- and pre-B-cells. Stimulates SYK autophosphorylation and activation. Binds to BLNK, bringing BLNK into proximity with SYK and allowing SYK to phosphorylate BLNK. Also interacts with and increases activity of some Src-family tyrosine kinases. Represses BCR signaling during development of immature B-cells.
See full target information CD79A

Product promise

We are committed to supporting your work with high-quality reagents, and we're here for you every step of the way. In the unlikely event that one of our products does not perform as expected, you're protected by our Product Promise.
For full details, please see our Terms & Conditions

Please note: All products are 'FOR RESEARCH USE ONLY. NOT FOR USE IN DIAGNOSTIC OR THERAPEUTIC PROCEDURES'.

For licensing inquiries, please contact partnerships@abcam.com