JavaScript is disabled in your browser. Please enable JavaScript to view this website.
AB300150

Anti-CD79a antibody [EPR26537-114]

  • BOND RX™ Validated
  • 20ul selling size
  • RabMAb
  • Recombinant
  • What is this?

Be the first to review this product! Submit a review

|

(0 Publication)

Rabbit Recombinant Monoclonal CD79A antibody. Suitable for WB, IHC-P, IHC-Fr, ICC/IF, IP and reacts with Mouse, Rat samples.

View Alternative Names

CD79a, Iga, Mb-1, Cd79a, B-cell antigen receptor complex-associated protein alpha chain, Ig-alpha, MB-1 membrane glycoprotein, Membrane-bound immunoglobulin-associated protein, Surface IgM-associated protein

14 Images
Immunocytochemistry/ Immunofluorescence - Anti-CD79a antibody [EPR26537-114] (AB300150)
  • ICC/IF

Supplier Data

Immunocytochemistry/ Immunofluorescence - Anti-CD79a antibody [EPR26537-114] (AB300150)

Immunofluorescent analysis of 4% Paraformaldehyde-fixed, 0.1% TritonX-100 permeilized Mouse splenocytes cells lebelling CD79a with ab300150 at 1/100 (6.16 µg/ml) dilution, followed by ab150081 Goat Anti-Rabbit IgG H&L (Alexa Fluor® 488) preadsorbed antibody at 1/1000 (2 µg/ml) dilution (Green). Confocal image showing membranous and cytoplasmic staining in subsets of mouse splenocytes. ab195889 Anti-alpha Tubulin mouse monoclonal antibody - Microtubule Marker (Alexa Fluor® 594) was used to counterstain tubulin at 1/200 (2.5 µg/ml) dilution (Red). The Nuclear counterstain was DAPI (Blue).

Secondary antibody only control : Secondary antibody is ab150081 Goat Anti-Rabbit IgG H&L (Alexa Fluor® 488) preadsorbed at 1/1000 (2 µg/ml) dilution.

Immunohistochemistry (Formalin/PFA-fixed paraffin-embedded sections) - Anti-CD79a antibody [EPR26537-114] (AB300150)
  • IHC-P

Supplier Data

Immunohistochemistry (Formalin/PFA-fixed paraffin-embedded sections) - Anti-CD79a antibody [EPR26537-114] (AB300150)

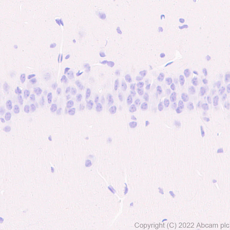
Immunohistochemical analysis of paraffin-embedded Mouse cerebrum tissue labelling CD79a with ab300150 at 1/5000 (0.123 µg/ml) followed by a ready to use LeicaDS9800 (BOND™ Polymer Refine Detection) was used. Negative control : no staining on mouse cerebrum. The section was incubated with ab300150 for 30 mins at room temperature. The immunostaining was performed on a Leica Biosystems BOND® RX instrument. Counterstained with Hematoxylin.

Secondary antibody only control : PBS was used instead of primary antibody (ab300150) followed by ready to use secondary antibody LeicaDS9800 (BOND™ Polymer Refine Detection).

Heat mediated antigen retrieval with Tris-EDTA buffer (pH 9.0, epitope retrieval solution2) for 20 mins.

Immunohistochemistry (Formalin/PFA-fixed paraffin-embedded sections) - Anti-CD79a antibody [EPR26537-114] (AB300150)
  • IHC-P

Supplier Data

Immunohistochemistry (Formalin/PFA-fixed paraffin-embedded sections) - Anti-CD79a antibody [EPR26537-114] (AB300150)

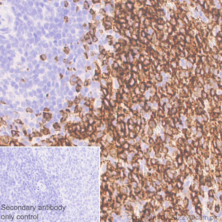
Immunohistochemical analysis of paraffin-embedded Mouse large B-cell lymphoma tissue labelling CD79a with ab300150 at 1/5000 (0.123 µg/ml) followed by a ready to use LeicaDS9800 (BOND™ Polymer Refine Detection). Membraneous staining on mouse large B-cell lymphoma. The section was incubated with ab300150 for 30 mins at room temperature. The immunostaining was performed on a Leica Biosystems BOND® RX instrument. Counterstained with Hematoxylin.

Secondary antibody only control : PBS was used instead of ab300150 followed by ready to use secondary antibody LeicaDS9800 (BOND™ Polymer Refine Detection) was used.

Heat mediated antigen retrieval with Tris-EDTA buffer (pH 9.0, epitope retrieval solution2) for 20 mins.

Immunohistochemistry (Formalin/PFA-fixed paraffin-embedded sections) - Anti-CD79a antibody [EPR26537-114] (AB300150)
  • IHC-P

Supplier Data

Immunohistochemistry (Formalin/PFA-fixed paraffin-embedded sections) - Anti-CD79a antibody [EPR26537-114] (AB300150)

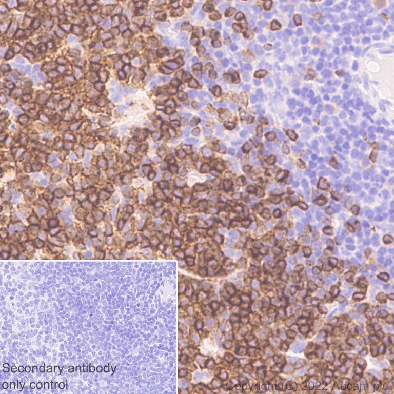
Immunohistochemical analysis of paraffin-embedded Rat spleen tissue labelling CD79a with ab300150 at 1/5000 (0.123 µg/ml) followed by a ready to use LeicaDS9800 (BOND™ Polymer Refine Detection) was used. Membraneous staining on rat spleen.The section was incubated with ab300150 for 30 mins at room temperature.The immunostaining was performed on a Leica Biosystems BOND® RX instrument Counterstained with Hematoxylin.

Secondary antibody only control : PBS was used instead of primary antibody (ab300150) followed by ready to use secondary antibody LeicaDS9800 (BOND™ Polymer Refine Detection).

Heat mediated antigen retrieval with Tris-EDTA buffer (pH 9.0, epitope retrieval solution2) for 20 mins.

Immunohistochemistry (Formalin/PFA-fixed paraffin-embedded sections) - Anti-CD79a antibody [EPR26537-114] (AB300150)
  • IHC-P

Supplier Data

Immunohistochemistry (Formalin/PFA-fixed paraffin-embedded sections) - Anti-CD79a antibody [EPR26537-114] (AB300150)

Immunohistochemical analysis of paraffin-embedded Rat cerebrum tissue labelling CD79a with ab300150 at 1/5000 (0.123 µg/ml) followed by a ready to use LeicaDS9800 (BOND™ Polymer Refine Detection) was used. Negative control : no staining on rat cerebrum.The section was incubated with ab300150 for 30 mins at room temperature.The immunostaining was performed on a Leica Biosystems BOND® RX instrument Counterstained with Hematoxylin.

Secondary antibody only control : PBS was used instead of primary antibody (ab300150) followed by ready to use secondary antibody LeicaDS9800 (BOND™ Polymer Refine Detection).

Heat mediated antigen retrieval with Tris-EDTA buffer (pH 9.0, epitope retrieval solution2) for 20 mins

Immunohistochemistry (Formalin/PFA-fixed paraffin-embedded sections) - Anti-CD79a antibody [EPR26537-114] (AB300150)
  • IHC-P

Supplier Data

Immunohistochemistry (Formalin/PFA-fixed paraffin-embedded sections) - Anti-CD79a antibody [EPR26537-114] (AB300150)

Immunohistochemical analysis of paraffin-embedded Mouse spleen tissue labelling CD79a with ab300150 at 1/5000 (0.123 µg/ml) followed by a ready to use LeicaDS9800 (BOND™ Polymer Refine Detection). Membraneous staining on mouse spleen.The section was incubated with ab300150 for 30 mins at room temperature. The immunostaining was performed on a Leica Biosystems BOND® RX instrument. Counterstained with Hematoxylin.

Secondary antibody only control : PBS was used instead of ab300150 followed by ready to use secondary antibody LeicaDS9800 (BOND™ Polymer Refine Detection).

Immunohistochemistry (Frozen sections) - Anti-CD79a antibody [EPR26537-114] (AB300150)
  • IHC-Fr

Supplier Data

Immunohistochemistry (Frozen sections) - Anti-CD79a antibody [EPR26537-114] (AB300150)

Immunohistochemical analysis of 4% PFA-fixed, 0.2% Triton X-100 permeabilized frozen Mouse spleen (fresh) tissue labeling CD79a with ab300150 at 1/500 (1.232 µg/ml) dilution followed by ab150081 Goat Anti-Rabbit IgG H&L (Alexa Fluor® 488) preadsorbed at 1/1000 (2 µg/mL) dilution (Green). Positive staining on mouse spleen is observed. The nuclear counterstain was DAPI (Blue).

Secondary antibody control : Secondary antibody is ab150081 Goat Anti-Rabbit IgG H&L (Alexa Fluor® 488) preadsorbedat 1/1000 (2 µg/mL) dilution.

Immunohistochemistry (Frozen sections) - Anti-CD79a antibody [EPR26537-114] (AB300150)
  • IHC-Fr

Supplier Data

Immunohistochemistry (Frozen sections) - Anti-CD79a antibody [EPR26537-114] (AB300150)

Immunohistochemical analysis of 4% PFA-fixed, 0.2% Triton X-100 permeabilized frozen Rat spleen (fresh) tissue labeling CD79a with ab300150 at 1/500 (1.232 µg/ml) dilution followed by ab150081 Goat Anti-Rabbit IgG H&L (Alexa Fluor® 488) preadsorbed at 1/1000 (2 µg/mL) dilution (Green). Positive staining on rat spleen is observed. The nuclear counterstain was DAPI (Blue).

Secondary antibody control : Secondary antibody is ab150081 Goat Anti-Rabbit IgG H&L (Alexa Fluor® 488) preadsorbedat 1/1000 (2 µg/mL) dilution.

Immunoprecipitation - Anti-CD79a antibody [EPR26537-114] (AB300150)
  • IP

Supplier Data

Immunoprecipitation - Anti-CD79a antibody [EPR26537-114] (AB300150)

CD79a was immunoprecipitated from 0.35 mg Mouse lymph node tissue lysate 10 µg with ab300150 at 1/30 dilution (2µg in 0.35mg lysates). Western blot was performed on the immunoprecipitate using ab300150 at 1/1000 dilution.

Blocking and dilution buffer and concentration : 5% NFDM/TBST.

All lanes:

Immunoprecipitation - Anti-CD79a antibody [EPR26537-114] (ab300150)

Lane 1:

Mouse lymph node tissue lysate (Input) at 10 µg

Lane 2:

ab300150 IP in Mouse lymph node tissue lysate (+)

Lane 3:

Rabbit monoclonal IgG (<a href='/en-us/products/primary-antibodies/rabbit-igg-monoclonal-epr25a-isotype-control-ab172730'>ab172730</a>) instead of ab300150 in Mouse lymph node tissue lysate (-)

Secondary

All lanes:

Immunoprecipitation - VeriBlot for IP Detection Reagent (HRP) (<a href='/en-us/products/reagents/veriblot-for-ip-detection-reagent-hrp-ab131366'>ab131366</a>) at 1/5000 dilution

Predicted band size: 25 kDa

Observed band size: 25 kDa,30-50 kDa

false

Exposure time: 15s

Immunoprecipitation - Anti-CD79a antibody [EPR26537-114] (AB300150)
  • IP

Supplier Data

Immunoprecipitation - Anti-CD79a antibody [EPR26537-114] (AB300150)

CD79a was immunoprecipitated from 0.35 mg rat spleen tissue lysate 10 µg with ab300150 at 1/30 dilution (2µg in 0.35mg lysates). Western blot was performed on the immunoprecipitate using ab300150 at 1/1000 dilution.

Blocking and dilution buffer and concentration : 5% NFDM/TBST.

All lanes:

Immunoprecipitation - Anti-CD79a antibody [EPR26537-114] (ab300150)

Lane 1:

Rat spleen tissue lysate (Input) at 10 µg

Lane 2:

ab300150 IP in rat spleen tissue lysate (+)

Lane 3:

Rabbit monoclonal IgG (<a href='/en-us/products/primary-antibodies/rabbit-igg-monoclonal-epr25a-isotype-control-ab172730'>ab172730</a>) instead of ab300150 in Rat spleen tissue lysate (-)

Secondary

All lanes:

Immunoprecipitation - VeriBlot for IP Detection Reagent (HRP) (<a href='/en-us/products/reagents/veriblot-for-ip-detection-reagent-hrp-ab131366'>ab131366</a>) at 1/5000 dilution

Predicted band size: 25 kDa

Observed band size: 25 kDa,30-50 kDa

false

Exposure time: 15s

Western blot - Anti-CD79a antibody [EPR26537-114] (AB300150)
  • WB

Supplier Data

Western blot - Anti-CD79a antibody [EPR26537-114] (AB300150)

Blocking and dilution buffer and concentration : 5% NFDM/TBST.

Low expression : brain, skin(Human Protein Atlas).

The molecular weight observed is consistent with what has been described in the literature (PMID : 15591116).

All lanes:

Western blot - Anti-CD79a antibody [EPR26537-114] (ab300150) at 1/1000 dilution

Lane 1:

Rat lymph node tissue lysate at 20 µg

Lane 2:

Rat spleen tissue lysate at 20 µg

Lane 3:

Rat brain tissue lysate at 20 µg

Lane 4:

Rat skin tissue lysate at 20 µg

Secondary

All lanes:

Western blot - Goat Anti-Rabbit IgG H&L (HRP) (<a href='/en-us/products/secondary-antibodies/goat-rabbit-igg-h-l-hrp-ab97051'>ab97051</a>) at 1/100000 dilution

Predicted band size: 25 kDa

Observed band size: 25 kDa,30-50 kDa

false

Exposure time: 81s

Western blot - Anti-CD79a antibody [EPR26537-114] (AB300150)
  • WB

Supplier Data

Western blot - Anti-CD79a antibody [EPR26537-114] (AB300150)

Blocking and dilution buffer and concentration : 5% NFDM/TBST

Low expression : C2C12 (database : Harmonizome).

The molecular weight observed is consistent with what has been described in the literature (PMID : 15591116).

This blot was developed using a high sensitivity ECL substrate. The high-sensitivity ECL substrate used allows for the detection of proteins in the mid-femtogram range.

All lanes:

Western blot - Anti-CD79a antibody [EPR26537-114] (ab300150) at 1/1000 dilution

Lane 1:

A20 (Mouse reticulum sarcoma B lymphocyte) whole cell lysate at 20 µg

Lane 2:

C2C12 (Mouse myoblasts myoblast) whole cell lysate at 20 µg

Secondary

All lanes:

Western blot - Goat Anti-Rabbit IgG H&L (HRP) (<a href='/en-us/products/secondary-antibodies/goat-rabbit-igg-h-l-hrp-ab97051'>ab97051</a>) at 1/100000 dilution

Predicted band size: 25 kDa

Observed band size: 25 kDa,30-50 kDa

true

Exposure time: 180s

Western blot - Anti-CD79a antibody [EPR26537-114] (AB300150)
  • WB

Supplier Data

Western blot - Anti-CD79a antibody [EPR26537-114] (AB300150)

Blocking and dilution buffer and concentration : 5% NFDM/TBST.

CD79a is a glycosylated protein and can be deglycosylated by Protein Deglycosylation MIX II.

The molecular weight observed is consistent with what has been described in the literature (PMID : 15591116).

All lanes:

Western blot - Anti-CD79a antibody [EPR26537-114] (ab300150) at 1/1000 dilution

Lane 1:

Untreated Rat lymph node tissue lysate at 15 µg

Lane 2:

Rat lymph node tissue lysate treated with Protein Deglycosylation MIX II at 15 µg

Secondary

All lanes:

Western blot - Goat Anti-Rabbit IgG H&L (HRP) (<a href='/en-us/products/secondary-antibodies/goat-rabbit-igg-h-l-hrp-ab97051'>ab97051</a>) at 1/50000 dilution

Predicted band size: 25 kDa

Observed band size: 25 kDa,30-50 kDa

false

Exposure time: 92s

Western blot - Anti-CD79a antibody [EPR26537-114] (AB300150)
  • WB

Supplier Data

Western blot - Anti-CD79a antibody [EPR26537-114] (AB300150)

Blocking and dilution buffer and concentration : 5% NFDM/TBST.

Low expression : brain, skin(Human Protein Atlas).

The molecular weight observed is consistent with what has been described in the literature (PMID : 15591116).

All lanes:

Western blot - Anti-CD79a antibody [EPR26537-114] (ab300150) at 1/1000 dilution

Lane 1:

Mouse lymph node tissue lysate at 20 µg

Lane 2:

Mouse brain tissue lysate at 20 µg

Lane 3:

Mouse skin tissue lysate at 20 µg

Secondary

All lanes:

Western blot - Goat Anti-Rabbit IgG H&L (HRP) (<a href='/en-us/products/secondary-antibodies/goat-rabbit-igg-h-l-hrp-ab97051'>ab97051</a>) at 1/100000 dilution

Predicted band size: 25 kDa,30-50 kDa

Observed band size: 25 kDa

false

Exposure time: 81s

  • Carrier free

    Anti-CD79a antibody [EPR26537-114] (BSA and Azide free)

  • 519 Alexa Fluor® 488

    Alexa Fluor® 488 Anti-CD79a antibody [EPR26537-114]

Key facts

Host species

Rabbit

Clonality

Monoclonal

Clone number

EPR26537-114

Isotype

IgG

Carrier free

No

Reacts with

Mouse, Rat

Applications

WB, IHC-Fr, IHC-P, IP, ICC/IF

applications

Immunogen

The exact immunogen used to generate this antibody is proprietary information.

Reactivity data

{ "title": "Reactivity Data", "filters": { "stats": ["", "Species", "Dilution Info", "Notes"], "tabs": { "all-applications": {"fullname" : "All Applications", "shortname": "All Applications"}, "WB" : {"fullname" : "Western blot", "shortname":"WB"}, "IHCP" : {"fullname" : "Immunohistochemistry (Formalin/PFA-fixed paraffin-embedded sections)", "shortname":"IHC-P"}, "IHCFr" : {"fullname" : "Immunohistochemistry (Frozen sections)", "shortname":"IHC-Fr"}, "ICCIF" : {"fullname" : "Immunocytochemistry/ Immunofluorescence", "shortname":"ICC/IF"}, "FlowCyt" : {"fullname" : "Flow Cytometry", "shortname":"Flow Cyt"}, "IP" : {"fullname" : "Immunoprecipitation", "shortname":"IP"} }, "product-promise": { "all": "all", "testedAndGuaranteed": "tested", "guaranteed": "expected", "predicted": "predicted", "notRecommended": "not-recommended" } }, "values": { "Human": { "WB-species-checked": "notRecommended", "WB-species-dilution-info": "1/1000", "WB-species-notes": "<p></p>", "IHCP-species-checked": "notRecommended", "IHCP-species-dilution-info": "1/5000", "IHCP-species-notes": "<p></p> Perform heat-mediated antigen retrieval with Tris/EDTA buffer pH 9.0 before commencing with IHC staining protocol.", "IHCFr-species-checked": "notRecommended", "IHCFr-species-dilution-info": "", "IHCFr-species-notes": "", "ICCIF-species-checked": "notRecommended", "ICCIF-species-dilution-info": "", "ICCIF-species-notes": "", "FlowCyt-species-checked": "notRecommended", "FlowCyt-species-dilution-info": "", "FlowCyt-species-notes": "", "IP-species-checked": "notRecommended", "IP-species-dilution-info": "", "IP-species-notes": "" }, "Mouse": { "WB-species-checked": "testedAndGuaranteed", "WB-species-dilution-info": "1/1000", "WB-species-notes": "<p></p>", "IHCP-species-checked": "testedAndGuaranteed", "IHCP-species-dilution-info": "1/5000", "IHCP-species-notes": "<p></p> Perform heat-mediated antigen retrieval with Tris/EDTA buffer pH 9.0 before commencing with IHC staining protocol.", "IHCFr-species-checked": "testedAndGuaranteed", "IHCFr-species-dilution-info": "1/500", "IHCFr-species-notes": "<p></p>", "ICCIF-species-checked": "testedAndGuaranteed", "ICCIF-species-dilution-info": "1/100", "ICCIF-species-notes": "<p></p>", "FlowCyt-species-checked": "notRecommended", "FlowCyt-species-dilution-info": "", "FlowCyt-species-notes": "<p></p>", "IP-species-checked": "testedAndGuaranteed", "IP-species-dilution-info": "1/30", "IP-species-notes": "<p></p>" }, "Rat": { "WB-species-checked": "testedAndGuaranteed", "WB-species-dilution-info": "1/1000", "WB-species-notes": "<p></p>", "IHCP-species-checked": "testedAndGuaranteed", "IHCP-species-dilution-info": "1/5000", "IHCP-species-notes": "<p></p> Perform heat-mediated antigen retrieval with Tris/EDTA buffer pH 9.0 before commencing with IHC staining protocol.", "IHCFr-species-checked": "testedAndGuaranteed", "IHCFr-species-dilution-info": "1/500", "IHCFr-species-notes": "<p></p>", "ICCIF-species-checked": "guaranteed", "ICCIF-species-dilution-info": "", "ICCIF-species-notes": "", "FlowCyt-species-checked": "notRecommended", "FlowCyt-species-dilution-info": "", "FlowCyt-species-notes": "", "IP-species-checked": "testedAndGuaranteed", "IP-species-dilution-info": "1/30", "IP-species-notes": "<p></p>" } } }

Product details

Patented technology
Our RabMAb® technology is a patented hybridoma-based technology for making rabbit monoclonal antibodies. For details on our patents, please refer to RabMAb® patents.

What are the advantages of a recombinant monoclonal antibody?
This product is a recombinant monoclonal antibody, which offers several advantages including:

  • - High batch-to-batch consistency and reproducibility
  • - Improved sensitivity and specificity
  • - Long-term security of supply
  • - Animal-free batch production

For more information, read more on recombinant antibodies.

Properties and storage information

Form
Liquid
Purification technique
Affinity purification Protein A
Storage buffer
pH: 7.2 - 7.4 Preservative: 0.01% Sodium azide Constituents: PBS, 40% Glycerol (glycerin, glycerine), 0.05% BSA
Shipped at conditions
Blue Ice
Appropriate short-term storage duration
1-2 weeks
Appropriate short-term storage conditions
+4°C
Appropriate long-term storage conditions
-20°C
Aliquoting information
Upon delivery aliquot
Storage information
Avoid freeze / thaw cycle

Supplementary information

This supplementary information is collated from multiple sources and compiled automatically.

CD79a also known as Ig-alpha or MB-1 is a component of the B cell antigen receptor (BCR) complex. It is a transmembrane protein with a molecular mass of approximately 47 kDa. CD79a is part of a heterodimer with CD79b and is mainly expressed on the surface of B lymphocytes. This protein plays a critical mechanical role in signaling transduction through the BCR by associating with membrane-bound immunoglobulin molecules helping to initiate the immune response upon antigen binding.
Biological function summary

This protein acts as an essential mediator in the immune system. CD79a together with CD79b forms part of the BCR complex critical for B cell development and maturation. The BCR complex activates signaling cascades that influence B cell fate decisions such as proliferation differentiation and apoptosis. By transmitting signals from the BCR CD79a helps regulate these cellular functions necessary for efficient immune defense.

Pathways

CD79a plays a pivotal role in the B cell receptor signaling pathway. This pathway involves signaling molecules such as spleen tyrosine kinase (SYK) and phosphoinositide 3-kinase (PI3K) which are activated upon BCR engagement. CD79a acts in concert with other proteins including CD79b and the IgM receptor facilitating downstream signaling cascades that ensure proper B cell responses. Its role is important for linking extracellular antigen recognition to intracellular signaling events.

CD79a is significant in conditions like B cell lymphomas and certain immunodeficiencies. Abnormal expression or mutations in CD79a are associated with some types of non-Hodgkin lymphoma. The protein's interaction with CD79b is particularly relevant as alterations in these proteins' function or expression can impact B cell development and lead to pathogenesis in lymphoproliferative disorders. Consequently CD79a serves as an important biomarker and potential therapeutic target in these diseases.

Product protocols

For this product, it's our understanding that no specific protocols are required. You can visit:

Target data

Required in cooperation with CD79B for initiation of the signal transduction cascade activated by binding of antigen to the B-cell antigen receptor complex (BCR) which leads to internalization of the complex, trafficking to late endosomes and antigen presentation. Also required for BCR surface expression and for efficient differentiation of pro- and pre-B-cells. Stimulates SYK autophosphorylation and activation. Binds to BLNK, bringing BLNK into proximity with SYK and allowing SYK to phosphorylate BLNK. Also interacts with and increases activity of some Src-family tyrosine kinases. Represses BCR signaling during development of immature B-cells.
See full target information Cd79a

Product promise

We are committed to supporting your work with high-quality reagents, and we're here for you every step of the way. In the unlikely event that one of our products does not perform as expected, you're protected by our Product Promise.
For full details, please see our Terms & Conditions

Please note: All products are 'FOR RESEARCH USE ONLY. NOT FOR USE IN DIAGNOSTIC OR THERAPEUTIC PROCEDURES'.

For licensing inquiries, please contact partnerships@abcam.com