JavaScript is disabled in your browser. Please enable JavaScript to view this website.
AB27607

Anti-CD79a antibody [SP18], prediluted

Be the first to review this product! Submit a review

|

(1 Publication)

Rabbit Monoclonal CD79A antibody. Suitable for IHC-P and reacts with Human samples. Cited in 1 publication.

View Alternative Names

CD79a, IGA, MB1, CD79A, B-cell antigen receptor complex-associated protein alpha chain, Ig-alpha, MB-1 membrane glycoprotein, Membrane-bound immunoglobulin-associated protein, Surface IgM-associated protein

2 Images
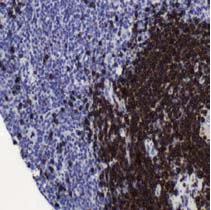
Immunohistochemistry (Formalin/PFA-fixed paraffin-embedded sections) - Anti-CD79a antibody [SP18], prediluted (AB27607)
  • IHC-P

Unknown

Immunohistochemistry (Formalin/PFA-fixed paraffin-embedded sections) - Anti-CD79a antibody [SP18], prediluted (AB27607)

ab27607, prediluted, staining CD79a in formalin fixed paraffin embedded human B cell lymphoma sections by Immunohistochemistry.

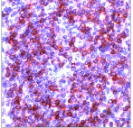
Immunohistochemistry (Formalin/PFA-fixed paraffin-embedded sections) - Anti-CD79a antibody [SP18], prediluted (AB27607)
  • IHC-P

Unknown

Immunohistochemistry (Formalin/PFA-fixed paraffin-embedded sections) - Anti-CD79a antibody [SP18], prediluted (AB27607)

ab27607, prediluted, staining CD79a in formalin fixed paraffin embedded human tonsil sections by Immunohistochemistry.

Key facts

Host species

Rabbit

Clonality

Monoclonal

Clone number

SP18

Isotype

IgG

Carrier free

No

Reacts with

Human

Applications

IHC-P

applications

Immunogen

The exact immunogen used to generate this antibody is proprietary information.

Specificity

We have data to indicate that this antibody may not cross react with Opossum. However, this has not been conclusively tested and expression levels may vary in certain cell lines/tissues.

Reactivity data

{ "title": "Reactivity Data", "filters": { "stats": ["", "Species", "Dilution Info", "Notes"], "tabs": { "all-applications": {"fullname" : "All Applications", "shortname": "All Applications"}, "IHCP" : {"fullname" : "Immunohistochemistry (Formalin/PFA-fixed paraffin-embedded sections)", "shortname":"IHC-P"} }, "product-promise": { "all": "all", "testedAndGuaranteed": "tested", "guaranteed": "expected", "predicted": "predicted", "notRecommended": "not-recommended" } }, "values": { "Human": { "IHCP-species-checked": "testedAndGuaranteed", "IHCP-species-dilution-info": "1/1", "IHCP-species-notes": "<p>Ready to use for 10 min at room temperature. Staining of formalin fixed tissues requires boiling tissue sections in 10mM citrate buffer, pH 6.0 for 10 min followed by cooling at room temperature for 20 min.</p>" }, "Rat": { "IHCP-species-checked": "predicted", "IHCP-species-dilution-info": "", "IHCP-species-notes": "" }, "Chicken": { "IHCP-species-checked": "predicted", "IHCP-species-dilution-info": "", "IHCP-species-notes": "" }, "Cow": { "IHCP-species-checked": "predicted", "IHCP-species-dilution-info": "", "IHCP-species-notes": "" }, "Guinea pig": { "IHCP-species-checked": "predicted", "IHCP-species-dilution-info": "", "IHCP-species-notes": "" }, "Horse": { "IHCP-species-checked": "predicted", "IHCP-species-dilution-info": "", "IHCP-species-notes": "" }, "Monkey": { "IHCP-species-checked": "predicted", "IHCP-species-dilution-info": "", "IHCP-species-notes": "" }, "Pig": { "IHCP-species-checked": "predicted", "IHCP-species-dilution-info": "", "IHCP-species-notes": "" }, "Rabbit": { "IHCP-species-checked": "predicted", "IHCP-species-dilution-info": "", "IHCP-species-notes": "" } } }

Properties and storage information

Form
Liquid
Purity
Tissue culture supernatant
Storage buffer
pH: 7.6 Preservative: 0.1% Sodium azide Constituents: Tris buffered saline, 1% BSA
Shipped at conditions
Blue Ice
Appropriate long-term storage conditions
+4°C

Supplementary information

This supplementary information is collated from multiple sources and compiled automatically.

CD79a also known as Ig-alpha or MB-1 is a component of the B cell antigen receptor (BCR) complex. It is a transmembrane protein with a molecular mass of approximately 47 kDa. CD79a is part of a heterodimer with CD79b and is mainly expressed on the surface of B lymphocytes. This protein plays a critical mechanical role in signaling transduction through the BCR by associating with membrane-bound immunoglobulin molecules helping to initiate the immune response upon antigen binding.
Biological function summary

This protein acts as an essential mediator in the immune system. CD79a together with CD79b forms part of the BCR complex critical for B cell development and maturation. The BCR complex activates signaling cascades that influence B cell fate decisions such as proliferation differentiation and apoptosis. By transmitting signals from the BCR CD79a helps regulate these cellular functions necessary for efficient immune defense.

Pathways

CD79a plays a pivotal role in the B cell receptor signaling pathway. This pathway involves signaling molecules such as spleen tyrosine kinase (SYK) and phosphoinositide 3-kinase (PI3K) which are activated upon BCR engagement. CD79a acts in concert with other proteins including CD79b and the IgM receptor facilitating downstream signaling cascades that ensure proper B cell responses. Its role is important for linking extracellular antigen recognition to intracellular signaling events.

CD79a is significant in conditions like B cell lymphomas and certain immunodeficiencies. Abnormal expression or mutations in CD79a are associated with some types of non-Hodgkin lymphoma. The protein's interaction with CD79b is particularly relevant as alterations in these proteins' function or expression can impact B cell development and lead to pathogenesis in lymphoproliferative disorders. Consequently CD79a serves as an important biomarker and potential therapeutic target in these diseases.

Product protocols

For this product, it's our understanding that no specific protocols are required. You can visit:

Target data

Required in cooperation with CD79B for initiation of the signal transduction cascade activated by binding of antigen to the B-cell antigen receptor complex (BCR) which leads to internalization of the complex, trafficking to late endosomes and antigen presentation. Also required for BCR surface expression and for efficient differentiation of pro- and pre-B-cells. Stimulates SYK autophosphorylation and activation. Binds to BLNK, bringing BLNK into proximity with SYK and allowing SYK to phosphorylate BLNK. Also interacts with and increases activity of some Src-family tyrosine kinases. Represses BCR signaling during development of immature B-cells.
See full target information CD79A

Publications (1)

Recent publications for all applications. Explore the full list and refine your search

JCI insight 7: PubMed35133983

2022

Evidence of islet CADM1-mediated immune cell interactions during human type 1 diabetes.

Applications

Unspecified application

Species

Unspecified reactive species

Chandan Sona,Yu-Te Yeh,Andreas Patsalos,Laszlo Halasz,Xin Yan,Natalia L Kononenko,Laszlo Nagy,Matthew N Poy
View all publications

Product promise

We are committed to supporting your work with high-quality reagents, and we're here for you every step of the way. In the unlikely event that one of our products does not perform as expected, you're protected by our Product Promise.
For full details, please see our Terms & Conditions

Please note: All products are 'FOR RESEARCH USE ONLY. NOT FOR USE IN DIAGNOSTIC OR THERAPEUTIC PROCEDURES'.

For licensing inquiries, please contact partnerships@abcam.com