JavaScript is disabled in your browser. Please enable JavaScript to view this website.
AB134147

Anti-CD79b antibody [EPR6861]

  • BOND RX™ Validated
  • RabMAb
  • Recombinant
  • 20ul selling size
  • What is this?

2

(1 Review)

|

(10 Publications)

Anti-CD79b antibody [EPR6861] (ab134147) is a rabbit monoclonal antibody detecting CD79b in Western Blot, Flow Cytometry, IHC-P, ICC/IF. Suitable for Human, Mouse, Rat.

- Biophysical QC for unrivalled batch-batch consistency

View Alternative Names

CD79b, B29, IGB, CD79B, B-cell antigen receptor complex-associated protein beta chain, B-cell-specific glycoprotein B29, Ig-beta, Immunoglobulin-associated B29 protein

9 Images
Immunocytochemistry/ Immunofluorescence - Anti-CD79b antibody [EPR6861] (AB134147)
  • ICC/IF

Supplier Data

Immunocytochemistry/ Immunofluorescence - Anti-CD79b antibody [EPR6861] (AB134147)

Immunocytochemistry analysis of Daudi (Human Burkitt's lymphoma lymphoblast) cells labeling CD79b with purified ab134147 at 1/50 dilution (2.04 μg/mL). Cells were fixed in 4% Paraformaldehyde and permeabilized with 0.1% TritonX-100. Cells were counterstained with ab195889 Anti-alpha Tubulin antibody [DM1A] - Microtubule Marker (Alexa Fluor® 594) 1/200 (2.5 μg/mL). Goat anti rabbit IgG (Alexa Fluor® 488, ab150077) was used as the secondary antibody at 1/1000 (2 μg/mL) dilution. DAPI (blue) was used as nuclear counterstain. PBS instead of the primary antibody was used as the secondary antibody only control.

Immunohistochemistry (Formalin/PFA-fixed paraffin-embedded sections) - Anti-CD79b antibody [EPR6861] (AB134147)
  • IHC-P

Collaborator

Immunohistochemistry (Formalin/PFA-fixed paraffin-embedded sections) - Anti-CD79b antibody [EPR6861] (AB134147)

The BOND™ Polymer Refine Detection System on the BOND RX Automated Stainer (DS9800, Leica Biosystems, Wetzlar, Germany) was used for immunohistochemical labelling of formalin-fixed, paraffin-embedded (FFPE) tissues. The protocol includes a peroxide block, post-primary reagent, polymer detection, DAB chromogen, and haematoxylin counterstain, all automated to minimize variability. Antigen retrieval was performed by heat-induced epitope retrieval (HIER) for 20 minutes in Tris-EDTA buffer (BOND Epitope Retrieval Solution 2, AR9640, Leica Biosystems, Wetzlar, Germany). For mouse and rabbit antibodies, the sequence comprised peroxide block (10 min), primary antibody incubation (30 min), post-primary (10 min), polymer (10 min), DAB (10 min), and haematoxylin (8 min). For rat antibodies, an anti-rat step (1 : 300 dilution, Vector Laboratories, California, USA; 20 min) was included prior to polymer application (15 min).

For mouse tissues, antigen retrieval was performed using high pH buffers (Dako, Agilent), followed by blocking of endogenous peroxidase activity with 3% hydrogen peroxide. Slides were then incubated with the primary antibody. Antigen/antibody complexes detection was carried out using a horseradish peroxidase-conjugated visualization system (Novolink Polymer, Leica). Staining was developed with 3,3′-diaminobenzidine (EnVision FLEX DAB Enhancer, Dako, Agilent), and nuclei were counterstained with hematoxylin (FLEX Hematoxylin, SM806, Dako, Agilent). Images were acquired using an Axiocam CCD camera (Zeiss) and processed with ZEN 2.1 software and Photoshop 9.0.

Flow Cytometry - Anti-CD79b antibody [EPR6861] (AB134147)
  • Flow Cyt

Lab

Flow Cytometry - Anti-CD79b antibody [EPR6861] (AB134147)

Flow Cytometry analysis of Raji (Human Burkitt's lymphoma B lymphocyte) cells labelling CD79b with purified ab134147 at 1/20 dilution (10 µg/mL) (Red). Cells were fixed with 4% Paraformaldehyde and permeabilised with 90% Methanol. A Goat anti rabbit IgG (Alexa Fluor® 488, ab150077) secondary antibody was used at 1/2000. Isotype control - Rabbit monoclonal IgG (Black). Unlabelled control - Cell without incubation with primary antibody and secondary antibody (Blue).

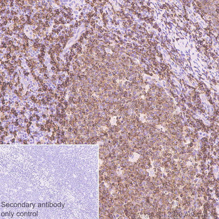
Immunohistochemistry (Formalin/PFA-fixed paraffin-embedded sections) - Anti-CD79b antibody [EPR6861] (AB134147)
  • IHC-P

Lab

Immunohistochemistry (Formalin/PFA-fixed paraffin-embedded sections) - Anti-CD79b antibody [EPR6861] (AB134147)

Immunohistochemistry (Formalin/PFA-fixed paraffin-embedded sections) analysis of human tonsil tissue sections labeling CD79b with purified ab134147 at 1/500 dilution (0.20 μg/mL). Heat mediated antigen retrieval was performed using Heat mediated antigen retrieval using Bond™ Epitope Retrieval Solution 2 (pH 9.0). Tissue was counterstained with Hematoxylin. Rabbit specific IHC polymer detection kit HRP/DAB (ab209101) secondary antibody was used. PBS instead of the primary antibody was used as the negative control.

The immunostaining was performed on a Leica Biosystems BOND® RX instrument.

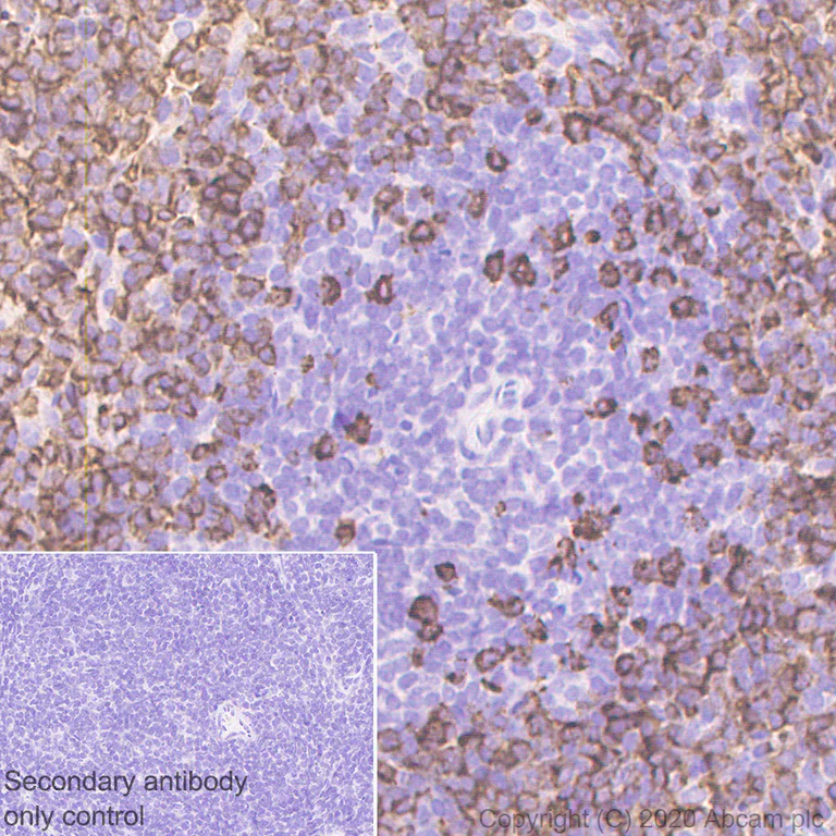
Immunohistochemistry (Formalin/PFA-fixed paraffin-embedded sections) - Anti-CD79b antibody [EPR6861] (AB134147)
  • IHC-P

Lab

Immunohistochemistry (Formalin/PFA-fixed paraffin-embedded sections) - Anti-CD79b antibody [EPR6861] (AB134147)

Immunohistochemistry (Formalin/PFA-fixed paraffin-embedded sections) analysis of mouse spleen tissue sections labeling CD79b with purified ab134147 at 1/500 dilution (0.20 μg/mL). Heat mediated antigen retrieval was performed using Heat mediated antigen retrieval using Bond™ Epitope Retrieval Solution 2 (pH 9.0). Tissue was counterstained with Hematoxylin. Rabbit specific IHC polymer detection kit HRP/DAB (ab209101) secondary antibody was used. PBS instead of the primary antibody was used as the negative control.

The immunostaining was performed on a Leica Biosystems BOND® RX instrument.

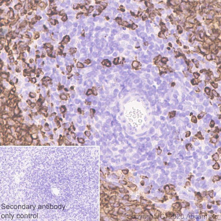
Immunohistochemistry (Formalin/PFA-fixed paraffin-embedded sections) - Anti-CD79b antibody [EPR6861] (AB134147)
  • IHC-P

Lab

Immunohistochemistry (Formalin/PFA-fixed paraffin-embedded sections) - Anti-CD79b antibody [EPR6861] (AB134147)

Immunohistochemistry (Formalin/PFA-fixed paraffin-embedded sections) analysis of rat spleen tissue sections labeling CD79b with purified ab134147 at 1/500 dilution (0.20 μg/mL). Heat mediated antigen retrieval was performed using Heat mediated antigen retrieval using Bond™ Epitope Retrieval Solution 2 (pH 9.0). Tissue was counterstained with Hematoxylin. Rabbit specific IHC polymer detection kit HRP/DAB (ab209101) secondary antibody was used. PBS instead of the primary antibody was used as the negative control.

The immunostaining was performed on a Leica Biosystems BOND® RX instrument.

Western blot - Anti-CD79b antibody [EPR6861] (AB134147)
  • WB

Lab

Western blot - Anti-CD79b antibody [EPR6861] (AB134147)

False colour image of Western blot : Anti-CD79b antibody [EPR6861] staining at 1/1000 dilution, shown in green; Mouse anti-Alpha Tubulin [DM1A] (ab7291) loading control staining at 1/20000 dilution, shown in red. In Western blot, ab134147 was shown to bind specifically to CD79b. A band was observed at 39 kDa in wild-type Raji cell lysates with no signal observed at this size in CD79B CRISPR-Cas9 edited cell line ab273839 (CRISPR-Cas9 edited cell lysate ab273793). The band observed in the CRISPR-Cas9 edited lysate lane below 39 kDa is likely to represent a truncated form of CD79b. This has not been investigated further and the functional properties of the gene product have not been determined. To generate this image, wild-type and CD79B CRISPR-Cas9 edited Raji cell lysates were analysed. First, samples were run on an SDS-PAGE gel then transferred onto a nitrocellulose membrane. Membranes were blocked in 3 % milk in TBS-0.1 % Tween® 20 (TBS-T) before incubation with primary antibodies overnight at 4 °C. Blots were washed four times in TBS-T, incubated with secondary antibodies for 1 h at room temperature, washed again four times then imaged. Secondary antibodies used were Goat anti-Rabbit IgG H&L 800CW and Goat anti-Mouse IgG H&L 680RD at 1/20000 dilution.

All lanes:

Western blot - Anti-CD79b antibody [EPR6861] (ab134147) at 1/1000 dilution

Lane 1:

Wild-type Raji cell lysate at 20 µg

Lane 2:

CD79B CRISPR-Cas9 edited Raji cell lysate at 20 µg

Lane 3:

Daudi cell lysate at 20 µg

Lane 4:

HAP1 cell lysate at 20 µg

false

Western blot - Anti-CD79b antibody [EPR6861] (AB134147)
  • WB

Unknown

Western blot - Anti-CD79b antibody [EPR6861] (AB134147)

All lanes:

Western blot - Anti-CD79b antibody [EPR6861] (ab134147) at 1/1000 dilution

Lane 1:

Raji (Human Burkitt's lymphoma B lymphocyte) whole cell lysate

Lane 2:

Mouse spleen lysate

Lane 3:

Rat spleen lysate

Secondary

All lanes:

Western blot - Goat Anti-Rabbit IgG H&L (HRP) (<a href='/en-us/products/secondary-antibodies/goat-rabbit-igg-h-l-hrp-ab97051'>ab97051</a>) at 1/20000 dilution

Predicted band size: 26 kDa

false

OI-RD Scanning - Anti-CD79b antibody [EPR6861] (AB134147)
  • OI-RD Scanning

Unknown

OI-RD Scanning - Anti-CD79b antibody [EPR6861] (AB134147)

We have systematically measured KD (the equilibrium dissociation constant between the antibody and its antigen), of more than 840 recombinant antibodies to assess not only their individual KD values but also to see the average affinity of antibody. Based on the comparison with published literature values for mouse monoclonal antibodies, Recombinant antibodies appear to be on average 1-2 order of magnitude higher affinity.

Key facts

Host species

Rabbit

Clonality

Monoclonal

Clone number

EPR6861

Isotype

IgG

Carrier free

No

Reacts with

Mouse, Rat, Human, Cat, Dog, Horse, Pig, Llama, Cow, Goat, Sheep, Chicken, Pigeon, Serinus canarius

Applications

IHC-P, WB, ICC/IF, Flow Cyt

applications

Immunogen

The exact immunogen used to generate this antibody is proprietary information.

Reactivity data

{ "title": "Reactivity Data", "filters": { "stats": ["", "Species", "Dilution Info", "Notes"], "tabs": { "all-applications": {"fullname" : "All Applications", "shortname": "All Applications"}, "IHCP" : {"fullname" : "Immunohistochemistry (Formalin/PFA-fixed paraffin-embedded sections)", "shortname":"IHC-P"}, "FlowCyt" : {"fullname" : "Flow Cytometry", "shortname":"Flow Cyt"}, "WB" : {"fullname" : "Western blot", "shortname":"WB"}, "ICCIF" : {"fullname" : "Immunocytochemistry/ Immunofluorescence", "shortname":"ICC/IF"} }, "product-promise": { "all": "all", "testedAndGuaranteed": "tested", "guaranteed": "expected", "predicted": "predicted", "notRecommended": "not-recommended" } }, "values": { "Human": { "IHCP-species-checked": "testedAndGuaranteed", "IHCP-species-dilution-info": "1/500", "IHCP-species-notes": "<p><strong>For unpurified use at 1/250 - 1/500.</strong></p> Perform heat-mediated antigen retrieval with Tris/EDTA buffer pH 9.0 before commencing with IHC staining protocol.", "FlowCyt-species-checked": "testedAndGuaranteed", "FlowCyt-species-dilution-info": "1/20", "FlowCyt-species-notes": "<p><strong>For unpurified use at 1/10 - 1/100.</strong></p><p><a href='/en-us/products/primary-antibodies/rabbit-igg-monoclonal-epr25a-isotype-control-ab172730'>ab172730</a> - Rabbit monoclonal IgG, is suitable for use as an isotype control with this antibody.</p>", "WB-species-checked": "testedAndGuaranteed", "WB-species-dilution-info": "1/1000", "WB-species-notes": "<p><strong>For unpurified use at 1/1000 - 1/10000.</strong></p>", "ICCIF-species-checked": "testedAndGuaranteed", "ICCIF-species-dilution-info": "1/50", "ICCIF-species-notes": "<p><strong>For unpurified use at 1/250 - 1/500.</strong></p>" }, "Mouse": { "IHCP-species-checked": "testedAndGuaranteed", "IHCP-species-dilution-info": "1/500", "IHCP-species-notes": "<p><strong>For unpurified use at 1/250 - 1/500.</strong></p> Perform heat-mediated antigen retrieval with Tris/EDTA buffer pH 9.0 before commencing with IHC staining protocol.", "FlowCyt-species-checked": "guaranteed", "FlowCyt-species-dilution-info": "1/20", "FlowCyt-species-notes": "<p><strong>For unpurified use at 1/10 - 1/100.</strong></p><p><a href='/en-us/products/primary-antibodies/rabbit-igg-monoclonal-epr25a-isotype-control-ab172730'>ab172730</a> - Rabbit monoclonal IgG, is suitable for use as an isotype control with this antibody.</p>", "WB-species-checked": "testedAndGuaranteed", "WB-species-dilution-info": "1/1000", "WB-species-notes": "<p><strong>For unpurified use at 1/1000 - 1/10000.</strong></p>", "ICCIF-species-checked": "guaranteed", "ICCIF-species-dilution-info": "1/50", "ICCIF-species-notes": "<p><strong>For unpurified use at 1/250 - 1/500.</strong></p>" }, "Rat": { "IHCP-species-checked": "testedAndGuaranteed", "IHCP-species-dilution-info": "1/500", "IHCP-species-notes": "<p><strong>For unpurified use at 1/250 - 1/500.</strong></p> Perform heat-mediated antigen retrieval with Tris/EDTA buffer pH 9.0 before commencing with IHC staining protocol.", "FlowCyt-species-checked": "guaranteed", "FlowCyt-species-dilution-info": "1/20", "FlowCyt-species-notes": "<p><strong>For unpurified use at 1/10 - 1/100.</strong></p><p><a href='/en-us/products/primary-antibodies/rabbit-igg-monoclonal-epr25a-isotype-control-ab172730'>ab172730</a> - Rabbit monoclonal IgG, is suitable for use as an isotype control with this antibody.</p>", "WB-species-checked": "testedAndGuaranteed", "WB-species-dilution-info": "1/1000", "WB-species-notes": "<p><strong>For unpurified use at 1/1000 - 1/10000.</strong></p>", "ICCIF-species-checked": "guaranteed", "ICCIF-species-dilution-info": "1/50", "ICCIF-species-notes": "<p><strong>For unpurified use at 1/250 - 1/500.</strong></p>" }, "Cat": { "IHCP-species-checked": "testedAndGuaranteed", "IHCP-species-dilution-info": "1/500", "IHCP-species-notes": "<p></p> Perform heat-mediated antigen retrieval with Tris/EDTA buffer pH 9.0 before commencing with IHC staining protocol.", "FlowCyt-species-checked": "guaranteed", "FlowCyt-species-dilution-info": "", "FlowCyt-species-notes": "", "WB-species-checked": "guaranteed", "WB-species-dilution-info": "", "WB-species-notes": "", "ICCIF-species-checked": "guaranteed", "ICCIF-species-dilution-info": "", "ICCIF-species-notes": "" }, "Chicken": { "IHCP-species-checked": "testedAndGuaranteed", "IHCP-species-dilution-info": "1/500", "IHCP-species-notes": "<p></p> Perform heat-mediated antigen retrieval with Tris/EDTA buffer pH 9.0 before commencing with IHC staining protocol.", "FlowCyt-species-checked": "guaranteed", "FlowCyt-species-dilution-info": "", "FlowCyt-species-notes": "", "WB-species-checked": "guaranteed", "WB-species-dilution-info": "", "WB-species-notes": "", "ICCIF-species-checked": "guaranteed", "ICCIF-species-dilution-info": "", "ICCIF-species-notes": "" }, "Cow": { "IHCP-species-checked": "testedAndGuaranteed", "IHCP-species-dilution-info": "1/500", "IHCP-species-notes": "<p></p> Perform heat-mediated antigen retrieval with Tris/EDTA buffer pH 9.0 before commencing with IHC staining protocol.", "FlowCyt-species-checked": "guaranteed", "FlowCyt-species-dilution-info": "", "FlowCyt-species-notes": "", "WB-species-checked": "guaranteed", "WB-species-dilution-info": "", "WB-species-notes": "", "ICCIF-species-checked": "guaranteed", "ICCIF-species-dilution-info": "", "ICCIF-species-notes": "" }, "Dog": { "IHCP-species-checked": "testedAndGuaranteed", "IHCP-species-dilution-info": "1/500", "IHCP-species-notes": "<p></p> Perform heat-mediated antigen retrieval with Tris/EDTA buffer pH 9.0 before commencing with IHC staining protocol.", "FlowCyt-species-checked": "guaranteed", "FlowCyt-species-dilution-info": "", "FlowCyt-species-notes": "", "WB-species-checked": "guaranteed", "WB-species-dilution-info": "", "WB-species-notes": "", "ICCIF-species-checked": "guaranteed", "ICCIF-species-dilution-info": "", "ICCIF-species-notes": "" }, "Goat": { "IHCP-species-checked": "testedAndGuaranteed", "IHCP-species-dilution-info": "1/500", "IHCP-species-notes": "<p></p> Perform heat-mediated antigen retrieval with Tris/EDTA buffer pH 9.0 before commencing with IHC staining protocol.", "FlowCyt-species-checked": "guaranteed", "FlowCyt-species-dilution-info": "", "FlowCyt-species-notes": "", "WB-species-checked": "guaranteed", "WB-species-dilution-info": "", "WB-species-notes": "", "ICCIF-species-checked": "guaranteed", "ICCIF-species-dilution-info": "", "ICCIF-species-notes": "" }, "Horse": { "IHCP-species-checked": "testedAndGuaranteed", "IHCP-species-dilution-info": "1/500", "IHCP-species-notes": "<p></p> Perform heat-mediated antigen retrieval with Tris/EDTA buffer pH 9.0 before commencing with IHC staining protocol.", "FlowCyt-species-checked": "guaranteed", "FlowCyt-species-dilution-info": "", "FlowCyt-species-notes": "", "WB-species-checked": "guaranteed", "WB-species-dilution-info": "", "WB-species-notes": "", "ICCIF-species-checked": "guaranteed", "ICCIF-species-dilution-info": "", "ICCIF-species-notes": "" }, "Llama": { "IHCP-species-checked": "testedAndGuaranteed", "IHCP-species-dilution-info": "1/500", "IHCP-species-notes": "<p></p> Perform heat-mediated antigen retrieval with Tris/EDTA buffer pH 9.0 before commencing with IHC staining protocol.", "FlowCyt-species-checked": "guaranteed", "FlowCyt-species-dilution-info": "", "FlowCyt-species-notes": "", "WB-species-checked": "guaranteed", "WB-species-dilution-info": "", "WB-species-notes": "", "ICCIF-species-checked": "guaranteed", "ICCIF-species-dilution-info": "", "ICCIF-species-notes": "" }, "Pig": { "IHCP-species-checked": "testedAndGuaranteed", "IHCP-species-dilution-info": "1/500", "IHCP-species-notes": "<p></p> Perform heat-mediated antigen retrieval with Tris/EDTA buffer pH 9.0 before commencing with IHC staining protocol.", "FlowCyt-species-checked": "guaranteed", "FlowCyt-species-dilution-info": "", "FlowCyt-species-notes": "", "WB-species-checked": "guaranteed", "WB-species-dilution-info": "", "WB-species-notes": "", "ICCIF-species-checked": "guaranteed", "ICCIF-species-dilution-info": "", "ICCIF-species-notes": "" }, "Pigeon": { "IHCP-species-checked": "testedAndGuaranteed", "IHCP-species-dilution-info": "1/500", "IHCP-species-notes": "<p></p> Perform heat-mediated antigen retrieval with Tris/EDTA buffer pH 9.0 before commencing with IHC staining protocol.", "FlowCyt-species-checked": "guaranteed", "FlowCyt-species-dilution-info": "", "FlowCyt-species-notes": "", "WB-species-checked": "guaranteed", "WB-species-dilution-info": "", "WB-species-notes": "", "ICCIF-species-checked": "guaranteed", "ICCIF-species-dilution-info": "", "ICCIF-species-notes": "" }, "Serinus canarius": { "IHCP-species-checked": "testedAndGuaranteed", "IHCP-species-dilution-info": "1/500", "IHCP-species-notes": "<p></p> Perform heat-mediated antigen retrieval with Tris/EDTA buffer pH 9.0 before commencing with IHC staining protocol.", "FlowCyt-species-checked": "guaranteed", "FlowCyt-species-dilution-info": "", "FlowCyt-species-notes": "", "WB-species-checked": "guaranteed", "WB-species-dilution-info": "", "WB-species-notes": "", "ICCIF-species-checked": "guaranteed", "ICCIF-species-dilution-info": "", "ICCIF-species-notes": "" }, "Sheep": { "IHCP-species-checked": "testedAndGuaranteed", "IHCP-species-dilution-info": "1/500", "IHCP-species-notes": "<p></p> Perform heat-mediated antigen retrieval with Tris/EDTA buffer pH 9.0 before commencing with IHC staining protocol.", "FlowCyt-species-checked": "guaranteed", "FlowCyt-species-dilution-info": "", "FlowCyt-species-notes": "", "WB-species-checked": "guaranteed", "WB-species-dilution-info": "", "WB-species-notes": "", "ICCIF-species-checked": "guaranteed", "ICCIF-species-dilution-info": "", "ICCIF-species-notes": "" } } }

Product details

What is this antibody validated in?
Anti-CD79b antibody [EPR6861] (ab134147) is a rabbit recombinant monoclonal antibody and is validated for use in Western Blot (WB), Flow Cytometry (Flow Cyt), Immunohistochemistry (IHC-P), Immunocytochemistry/immunofluorescence (ICC/IF) in Human, Mouse, Rat samples.

What is the molecular weight of CD79b?
Anti-CD79b [EPR6861] (ab134147) specifically detects a band for CD79b (UniProt: P40259) at a molecular weight of 26kDa.

Trial sizes available!
Test your antibody or perform pre-screening before committing to a larger quantity. Sold in 10µl. Discover our selection of trial-size antibodies.

Other related products
We have a range of other formats of antibody clone [EPR6861] also available for your convenience: ab134147, Carrier free - ab240083, PE - ab305961, APC - ab305962, HRP - ab305963, Alkaline Phosphatase - ab308976, Alexa Fluor® 488 - ab309920, Alexa Fluor® 647 - ab310288, Alexa Fluor® 594 - ab310749, Alexa Fluor® 555 - ab312276, Alexa Fluor® 568 - ab312770, Alexa Fluor® 750 - ab321079

Patented technology
Our RabMAb® technology is a patented hybridoma-based technology for making rabbit monoclonal antibodies. For details on our patents, please refer to RabMAb® patents.

What are the advantages of a recombinant monoclonal antibody?
This product is a recombinant monoclonal antibody, which offers several advantages including:

  • - High batch-to-batch consistency and reproducibility
  • - Improved sensitivity and specificity
  • - Long-term security of supply
  • - Animal-free batch production

For more information, read more on recombinant antibodies.

Properties and storage information

Form
Liquid
Purification technique
Affinity purification Protein A
Storage buffer
pH: 7.2 - 7.4 Preservative: 0.01% Sodium azide Constituents: PBS, 40% Glycerol (glycerin, glycerine), 0.05% BSA
Shipped at conditions
Blue Ice
Appropriate short-term storage duration
1-2 weeks
Appropriate short-term storage conditions
+4°C
Appropriate long-term storage conditions
-20°C
Aliquoting information
Upon delivery aliquot
Storage information
Avoid freeze / thaw cycle

Supplementary information

This supplementary information is collated from multiple sources and compiled automatically.

CD79b also known as Ig-beta is a protein that plays a mechanical role as part of the B-cell antigen receptor complex. This protein with a mass of approximately 40 kDa is mainly expressed on the surface of B lymphocytes. It is an important component of the heterodimeric complex composed of CD79a (Ig-alpha) and CD79b which associates with membrane-bound immunoglobulins to form the B-cell receptor (BCR). CD79b is essential for transducing activation signals following antigen binding to the BCR.
Biological function summary

The primary role of CD79b within the immune system is to support signal transduction. Upon binding of an antigen to BCR on B cells CD79b as part of the BCR complex initiates signaling cascades which lead to B-cell activation proliferation and differentiation. These processes are critical for humoral immunity ensuring adequate antibody production. CD79b is often found in association with CD19 another important B-cell surface protein and together they aid in amplifying the signals required for B-cell response.

Pathways

CD79b is deeply involved in the B-cell receptor signaling pathway and the broader adaptive immune response. Once the BCR is engaged by an antigen CD79b helps activate intracellular signaling pathways that involve kinases such as SYK and BLNK which help propagate and amplify the immune response. These pathways also interact with other receptor components like CD22 and CD19 creating a network of interactions ensuring effective pathogen recognition and response.

CD79b carries significant relevance in the context of B-cell malignancies such as chronic lymphocytic leukemia (CLL) and some types of lymphoma. Dysregulation or mutations in CD79b can affect BCR signaling leading to unchecked B-cell proliferation characteristic of these diseases. Additionally CD79b's interaction with proteins such as SYK in the signaling pathways makes it a potential therapeutic target in treating B-cell related cancers. Researchers are actively investigating anti-CD79b therapies to disrupt abnormal signaling in B-cell malignancies.

Product protocols

For this product, it's our understanding that no specific protocols are required. You can visit:

Target data

Required in cooperation with CD79A for initiation of the signal transduction cascade activated by the B-cell antigen receptor complex (BCR) which leads to internalization of the complex, trafficking to late endosomes and antigen presentation. Enhances phosphorylation of CD79A, possibly by recruiting kinases which phosphorylate CD79A or by recruiting proteins which bind to CD79A and protect it from dephosphorylation.
See full target information CD79B

Publications (10)

Recent publications for all applications. Explore the full list and refine your search

Oncology reports 54: PubMed40878933

2025

T cell exhaustion‑related gene CD79B predicts prognosis, inhibits malignant progression and promotes tumor‑associated macrophage M1‑like polarization in lung adenocarcinoma.

Applications

Unspecified application

Species

Unspecified reactive species

Xia Wu,Chunhui Qu,Yiting Ouyang,Lifang Yang,Wuzhong Jiang

Cancers 16: PubMed39001403

2024

Method for B Cell Receptor Enrichment in Malignant B Cells.

Applications

Unspecified application

Species

Unspecified reactive species

Puja Bhattacharyya,Richard I Christopherson,Kristen K Skarratt,Stephen J Fuller

Frontiers in immunology 14:1179742 PubMed37622116

2023

Identification of cuproptosis and immune-related gene prognostic signature in lung adenocarcinoma.

Applications

Unspecified application

Species

Unspecified reactive species

Wentao Zhang,Haizeng Qu,Xiaoqing Ma,Liang Li,Yanjun Wei,Ye Wang,Renya Zeng,Yuanliu Nie,Chenggui Zhang,Ke Yin,Fengge Zhou,Zhe Yang

Blood advances 7:2718-2730 PubMed36469024

2022

Compromised antigen binding and signaling interfere with bispecific CD19 and CD79a chimeric antigen receptor function.

Applications

Unspecified application

Species

Unspecified reactive species

Isabel Leung,Megan L Templeton,Yun Lo,Anusha Rajan,Sylvia M Stull,Sarah M Garrison,Alexander I Salter,Kimberly S Smythe,Colin E Correnti,Shivani Srivastava,Cecilia C S Yeung,Stanley R Riddell

Toxics 9: PubMed34564365

2021

The Bladder Is a Novel Target of Developmental Polychlorinated Biphenyl Exposure Linked to Increased Inflammatory Cells in the Bladder of Young Mice.

Applications

Unspecified application

Species

Unspecified reactive species

Conner L Kennedy,Audrey Spiegelhoff,Kathy Wang,Thomas Lavery,Alexandra Nunez,Robbie Manuel,Lauren Hillers-Ziemer,Lisa M Arendt,Kimberly P Keil Stietz

Experimental and therapeutic medicine 22:1091 PubMed34504545

2021

Osteogenic ability using porous hydroxyapatite scaffold-based delivery of human placenta-derived mesenchymal stem cells.

Applications

Unspecified application

Species

Unspecified reactive species

Xiaohua Ren,Qingwei Wang,Chunhui Liu,Qian Zhao,Jiajun Zheng,Kun Tian,Huijuan Xu,Yandong Mu

Journal of bone and mineral research : the official journal of the American Society for Bone and Mineral Research 36:1145-1158 PubMed33651379

2021

Intercellular Interactions of an Adipogenic CXCL12-Expressing Stromal Cell Subset in Murine Bone Marrow.

Applications

Unspecified application

Species

Unspecified reactive species

Yuki Matsushita,Angel Ka Yan Chu,Wanida Ono,Joshua D Welch,Noriaki Ono

Cellular and molecular life sciences : CMLS 77:4379-4395 PubMed32016488

2020

CX3CR1 positively regulates BCR signaling coupled with cell metabolism via negatively controlling actin remodeling.

Applications

Unspecified application

Species

Unspecified reactive species

Na Li,Panpan Jiang,Anwei Chen,Xi Luo,Yukai Jing,Lu Yang,Danqing Kang,Qiuyue Chen,Ju Liu,Jiang Chang,Julia Jellusova,Heather Miller,Lisa Westerberg,Cong-Yi Wang,Quan Gong,Chaohong Liu

European journal of immunology 48:441-453 PubMed29150831

2017

The extracellular membrane-proximal domain of membrane-bound IgE restricts B cell activation by limiting B cell antigen receptor surface expression.

Applications

Unspecified application

Species

Unspecified reactive species

Kanika Vanshylla,Felipe Opazo,Konrad Gronke,Jürgen Wienands,Niklas Engels

The Journal of biological chemistry 288:18353-65 PubMed23649625

2013

Identification of a secondary promoter within the human B cell receptor component gene hCD79b.

Applications

WB

Species

Unspecified reactive species

Eung Jae Yoo,Nancy E Cooke,Stephen A Liebhaber
View all publications

Product promise

We are committed to supporting your work with high-quality reagents, and we're here for you every step of the way. In the unlikely event that one of our products does not perform as expected, you're protected by our Product Promise.
For full details, please see our Terms & Conditions

Please note: All products are 'FOR RESEARCH USE ONLY. NOT FOR USE IN DIAGNOSTIC OR THERAPEUTIC PROCEDURES'.

For licensing inquiries, please contact partnerships@abcam.com