JavaScript is disabled in your browser. Please enable JavaScript to view this website.
AB238098

Anti-CD79b antibody [IGB/1844]

Be the first to review this product! Submit a review

|

(1 Publication)

Mouse Monoclonal CD79b antibody. Suitable for IHC-P, Protein Array and reacts with Human, Recombinant full length protein - Human samples. Cited in 1 publication. Immunogen corresponding to Recombinant Fragment Protein within Human CD79B aa 1-200.

View Alternative Names

CD79b, B29, IGB, CD79B, B-cell antigen receptor complex-associated protein beta chain, B-cell-specific glycoprotein B29, Ig-beta, Immunoglobulin-associated B29 protein

2 Images
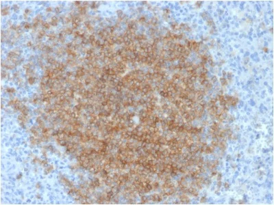
Immunohistochemistry (Formalin/PFA-fixed paraffin-embedded sections) - Anti-CD79b antibody [IGB/1844] (AB238098)
  • IHC-P

Supplier Data

Immunohistochemistry (Formalin/PFA-fixed paraffin-embedded sections) - Anti-CD79b antibody [IGB/1844] (AB238098)

Formalin-fixed, paraffin-embedded human tonsil tissue stained for CD79b using ab238098 at 2 μg/ml in immunohistochemical analysis.

Protein Array - Anti-CD79b antibody [IGB/1844] (AB238098)
  • Protein Array

Unknown

Protein Array - Anti-CD79b antibody [IGB/1844] (AB238098)

ab238098 was tested in protein array against over 19000 different full-length human proteins.
Z- and S- Score : The Z-score represents the strength of a signal that a monoclonal antibody (MAb) (in combination with a fluorescently-tagged anti-IgG secondary antibody) produces when binding to a particular protein on the HuProtTM array. Z-scores are described in units of standard deviations (SD's) above the mean value of all signals generated on that array. If targets on HuProtTM are arranged in descending order of the Z-score, the S-score is the difference (also in units of SD's) between the Z-score. S-score therefore represents the relative target specificity of a MAb to its intended target.
A MAb is specific to its intended target if the MAb has an S-score of at least 2.5. For example, if a MAb binds to protein X with a Z-score of 43 and to protein Y with a Z-score of 14, then the S-score for the binding of that MAb to protein X is equal to 29.

Key facts

Host species

Mouse

Clonality

Monoclonal

Clone number

IGB/1844

Isotype

IgG1

Light chain type

kappa

Carrier free

No

Reacts with

Human

Applications

IHC-P, Protein Array

applications

Immunogen

Recombinant Fragment Protein within Human CD79B aa 1-200. The exact immunogen used to generate this antibody is proprietary information.

P40259

Reactivity data

{ "title": "Reactivity Data", "filters": { "stats": ["", "Species", "Dilution Info", "Notes"], "tabs": { "all-applications": {"fullname" : "All Applications", "shortname": "All Applications"}, "IHCP" : {"fullname" : "Immunohistochemistry (Formalin/PFA-fixed paraffin-embedded sections)", "shortname":"IHC-P"}, "ProteinArray" : {"fullname" : "Protein Array", "shortname":"Protein Array"} }, "product-promise": { "all": "all", "testedAndGuaranteed": "tested", "guaranteed": "expected", "predicted": "predicted", "notRecommended": "not-recommended" } }, "values": { "Human": { "IHCP-species-checked": "testedAndGuaranteed", "IHCP-species-dilution-info": "1-2 µg/mL", "IHCP-species-notes": "<p>Primary incubation for 30 minutes at room temperature.</p>", "ProteinArray-species-checked": "guaranteed", "ProteinArray-species-dilution-info": "", "ProteinArray-species-notes": "" }, "Recombinant full length protein - Human": { "IHCP-species-checked": "notRecommended", "IHCP-species-dilution-info": "", "IHCP-species-notes": "", "ProteinArray-species-checked": "testedAndGuaranteed", "ProteinArray-species-dilution-info": "", "ProteinArray-species-notes": "<p></p>" } } }

Properties and storage information

Form
Liquid
Purification technique
Affinity purification Protein A/G
Purification notes
Purified from Bioreactor Concentrate by Protein A/G.
Storage buffer
pH: 7.2 - 7.4 Preservative: 0.05% Sodium azide Constituents: PBS, 0.05% BSA
Shipped at conditions
Blue Ice
Appropriate short-term storage duration
1-2 weeks
Appropriate short-term storage conditions
+4°C
Appropriate long-term storage conditions
-20°C
Aliquoting information
Upon delivery aliquot
Storage information
Avoid freeze / thaw cycle

Supplementary information

This supplementary information is collated from multiple sources and compiled automatically.

CD79b also known as Ig-beta is a protein that plays a mechanical role as part of the B-cell antigen receptor complex. This protein with a mass of approximately 40 kDa is mainly expressed on the surface of B lymphocytes. It is an important component of the heterodimeric complex composed of CD79a (Ig-alpha) and CD79b which associates with membrane-bound immunoglobulins to form the B-cell receptor (BCR). CD79b is essential for transducing activation signals following antigen binding to the BCR.
Biological function summary

The primary role of CD79b within the immune system is to support signal transduction. Upon binding of an antigen to BCR on B cells CD79b as part of the BCR complex initiates signaling cascades which lead to B-cell activation proliferation and differentiation. These processes are critical for humoral immunity ensuring adequate antibody production. CD79b is often found in association with CD19 another important B-cell surface protein and together they aid in amplifying the signals required for B-cell response.

Pathways

CD79b is deeply involved in the B-cell receptor signaling pathway and the broader adaptive immune response. Once the BCR is engaged by an antigen CD79b helps activate intracellular signaling pathways that involve kinases such as SYK and BLNK which help propagate and amplify the immune response. These pathways also interact with other receptor components like CD22 and CD19 creating a network of interactions ensuring effective pathogen recognition and response.

CD79b carries significant relevance in the context of B-cell malignancies such as chronic lymphocytic leukemia (CLL) and some types of lymphoma. Dysregulation or mutations in CD79b can affect BCR signaling leading to unchecked B-cell proliferation characteristic of these diseases. Additionally CD79b's interaction with proteins such as SYK in the signaling pathways makes it a potential therapeutic target in treating B-cell related cancers. Researchers are actively investigating anti-CD79b therapies to disrupt abnormal signaling in B-cell malignancies.

Product protocols

For this product, it's our understanding that no specific protocols are required. You can visit:

Target data

Required in cooperation with CD79A for initiation of the signal transduction cascade activated by the B-cell antigen receptor complex (BCR) which leads to internalization of the complex, trafficking to late endosomes and antigen presentation. Enhances phosphorylation of CD79A, possibly by recruiting kinases which phosphorylate CD79A or by recruiting proteins which bind to CD79A and protect it from dephosphorylation.
See full target information CD79B

Publications (1)

Recent publications for all applications. Explore the full list and refine your search

MedComm 5:e461 PubMed38222314

2024

Unveiling the impact of tertiary lymphoid structures on immunotherapeutic responses of clear cell renal cell carcinoma.

Applications

Unspecified application

Species

Unspecified reactive species

Wenhao Xu,Jiahe Lu,Xi Tian,Shiqi Ye,Shiyin Wei,Jun Wang,Aihetaimujiang Anwaier,Yuanyuan Qu,Wangrui Liu,Kun Chang,Hailiang Zhang,Dingwei Ye
View all publications

Product promise

We are committed to supporting your work with high-quality reagents, and we're here for you every step of the way. In the unlikely event that one of our products does not perform as expected, you're protected by our Product Promise.
For full details, please see our Terms & Conditions

Please note: All products are 'FOR RESEARCH USE ONLY. NOT FOR USE IN DIAGNOSTIC OR THERAPEUTIC PROCEDURES'.

For licensing inquiries, please contact partnerships@abcam.com