JavaScript is disabled in your browser. Please enable JavaScript to view this website.
AB183343

Anti-CD79b antibody [SP240]

  • BOND RX™ Validated
  • RabMAb
  • Recombinant
  • 20ul selling size
  • What is this?

4

(1 Review)

|

(1 Publication)

Rabbit Recombinant Monoclonal CD79b antibody. Suitable for IHC-P, Flow Cyt (Intra), WB, ICC/IF and reacts with Human samples. Cited in 1 publication.

View Alternative Names

CD79b, B29, IGB, CD79B, B-cell antigen receptor complex-associated protein beta chain, B-cell-specific glycoprotein B29, Ig-beta, Immunoglobulin-associated B29 protein

4 Images
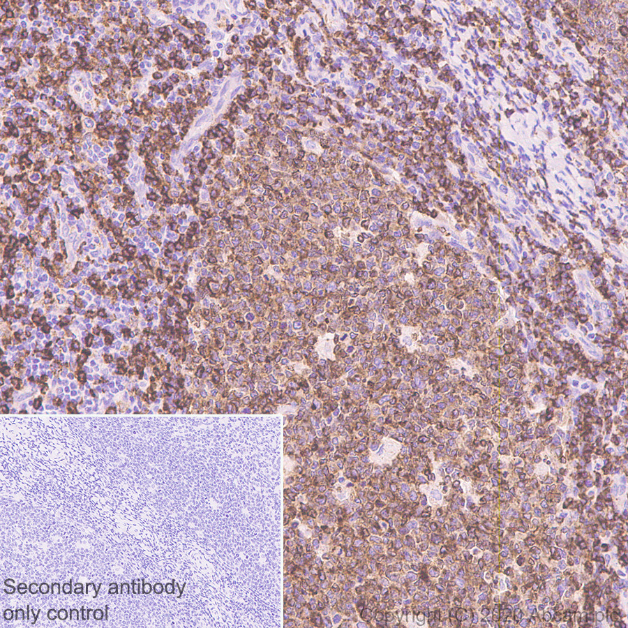
Immunohistochemistry (Formalin/PFA-fixed paraffin-embedded sections) - Anti-CD79b antibody [SP240] (AB183343)
  • IHC-P

Lab

Immunohistochemistry (Formalin/PFA-fixed paraffin-embedded sections) - Anti-CD79b antibody [SP240] (AB183343)

Immunohistochemical analysis of paraffin-embedded Human tonsil tissue labeling CD79b with ab183343 at 1/100 (0.11 μg/ml) followed by Rabbit specific IHC polymer detection kit HRP/DAB (ab209101). The section was incubated with ab183343 for 10 mins at room temperature. The immunostaining was performed on a Leica Biosystems BOND® RX instrument. Counterstained with Hematoxylin. Heat mediated antigen retrieval with Citrate buffer (pH 6.0, epitope retrieval solution 1) for 20 mins was used.

Western blot - Anti-CD79b antibody [SP240] (AB183343)
  • WB

Supplier Data

Western blot - Anti-CD79b antibody [SP240] (AB183343)

This image was generated using the same antibody clone from a different batch.

All lanes:

Western blot - Anti-CD79b antibody [SP240] (ab183343) at 1/100 dilution

All lanes:

Daudi Cell Lysate

Predicted band size: 26 kDa

false

Immunocytochemistry/ Immunofluorescence - Anti-CD79b antibody [SP240] (AB183343)
  • ICC/IF

Unknown

Immunocytochemistry/ Immunofluorescence - Anti-CD79b antibody [SP240] (AB183343)

Immunocytochemistry/ Immunofluorescence analysis of Daudi (human Burkitt's lymphoma lymphoblast) cells labeling CD79b with purified ab183343 at 1/50 (4.12 μg/ml). Cells were fixed in 4% paraformaldehyde and permeabilized with 0.1% Triton X-100. Cells were counterstained with ab195889 Anti-alpha Tubulin antibody [DM1A] - Microtubule Marker (Alexa Fluor® 594) 1/200 (2.5 μg/ml). Goat anti rabbit IgG (Alexa Fluor® 488, ab150077) was used as the secondary antibody at 1/1000 (2 μg/ml) dilution. DAPI (blue) was used as nuclear counterstain. PBS instead of the primary antibody was used as the secondary antibody only control.

Flow Cytometry (Intracellular) - Anti-CD79b antibody [SP240] (AB183343)
  • Flow Cyt (Intra)

Unknown

Flow Cytometry (Intracellular) - Anti-CD79b antibody [SP240] (AB183343)

Flow Cytometry analysis of Daudi (Human Burkitt's lymphoma lymphoblast) cells labeling CD79b with purified ab183343 at 1/200 dilution (1.05 μg/ml) (red). Cells were fixed with 4% paraformaldehyde and permeabilised with 90% methanol. A Goat anti rabbit IgG (Alexa Fluor® 488, ab150081) secondary antibody was used at 1/2000 dilution. Isotype control - Rabbit monoclonal IgG (ab172730) / Black. Unlabeled control - Unlabelled cells / blue.

Key facts

Host species

Rabbit

Clonality

Monoclonal

Clone number

SP240

Isotype

IgG

Carrier free

No

Reacts with

Human

Applications

IHC-P, ICC/IF, Flow Cyt (Intra), WB

applications

Immunogen

The exact immunogen used to generate this antibody is proprietary information.

Reactivity data

{ "title": "Reactivity Data", "filters": { "stats": ["", "Species", "Dilution Info", "Notes"], "tabs": { "all-applications": {"fullname" : "All Applications", "shortname": "All Applications"}, "IHCP" : {"fullname" : "Immunohistochemistry (Formalin/PFA-fixed paraffin-embedded sections)", "shortname":"IHC-P"}, "FlowCytIntra" : {"fullname" : "Flow Cytometry (Intracellular)", "shortname":"Flow Cyt (Intra)"}, "WB" : {"fullname" : "Western blot", "shortname":"WB"}, "ICCIF" : {"fullname" : "Immunocytochemistry/ Immunofluorescence", "shortname":"ICC/IF"} }, "product-promise": { "all": "all", "testedAndGuaranteed": "tested", "guaranteed": "expected", "predicted": "predicted", "notRecommended": "not-recommended" } }, "values": { "Human": { "IHCP-species-checked": "testedAndGuaranteed", "IHCP-species-dilution-info": "1/100", "IHCP-species-notes": "<p></p> Perform heat-mediated antigen retrieval with citrate buffer pH 6 before commencing with IHC staining protocol.", "FlowCytIntra-species-checked": "testedAndGuaranteed", "FlowCytIntra-species-dilution-info": "1/200", "FlowCytIntra-species-notes": "<p></p>", "WB-species-checked": "testedAndGuaranteed", "WB-species-dilution-info": "1/100", "WB-species-notes": "<p></p>", "ICCIF-species-checked": "testedAndGuaranteed", "ICCIF-species-dilution-info": "1/50", "ICCIF-species-notes": "<p></p>" } } }

Product details

What are the advantages of a recombinant monoclonal antibody?
This product is a recombinant monoclonal antibody, which offers several advantages including:

  • - High batch-to-batch consistency and reproducibility
  • - Improved sensitivity and specificity
  • - Long-term security of supply
  • - Animal-free batch production

For more information, read more on recombinant antibodies.

Properties and storage information

Form
Liquid
Purification technique
Affinity purification Protein A/G
Purification notes
Purified from TCS by protein A/G.
Storage buffer
pH: 7.2 - 7.4 Preservative: 0.1% Sodium azide Constituents: PBS, 1% BSA
Shipped at conditions
Blue Ice
Appropriate short-term storage duration
1-2 weeks
Appropriate short-term storage conditions
+4°C
Appropriate long-term storage conditions
-20°C
Aliquoting information
Upon delivery aliquot
Storage information
Avoid freeze / thaw cycle

Supplementary information

This supplementary information is collated from multiple sources and compiled automatically.

CD79b also known as Ig-beta is a protein that plays a mechanical role as part of the B-cell antigen receptor complex. This protein with a mass of approximately 40 kDa is mainly expressed on the surface of B lymphocytes. It is an important component of the heterodimeric complex composed of CD79a (Ig-alpha) and CD79b which associates with membrane-bound immunoglobulins to form the B-cell receptor (BCR). CD79b is essential for transducing activation signals following antigen binding to the BCR.
Biological function summary

The primary role of CD79b within the immune system is to support signal transduction. Upon binding of an antigen to BCR on B cells CD79b as part of the BCR complex initiates signaling cascades which lead to B-cell activation proliferation and differentiation. These processes are critical for humoral immunity ensuring adequate antibody production. CD79b is often found in association with CD19 another important B-cell surface protein and together they aid in amplifying the signals required for B-cell response.

Pathways

CD79b is deeply involved in the B-cell receptor signaling pathway and the broader adaptive immune response. Once the BCR is engaged by an antigen CD79b helps activate intracellular signaling pathways that involve kinases such as SYK and BLNK which help propagate and amplify the immune response. These pathways also interact with other receptor components like CD22 and CD19 creating a network of interactions ensuring effective pathogen recognition and response.

CD79b carries significant relevance in the context of B-cell malignancies such as chronic lymphocytic leukemia (CLL) and some types of lymphoma. Dysregulation or mutations in CD79b can affect BCR signaling leading to unchecked B-cell proliferation characteristic of these diseases. Additionally CD79b's interaction with proteins such as SYK in the signaling pathways makes it a potential therapeutic target in treating B-cell related cancers. Researchers are actively investigating anti-CD79b therapies to disrupt abnormal signaling in B-cell malignancies.

Product protocols

For this product, it's our understanding that no specific protocols are required. You can visit:

Target data

Required in cooperation with CD79A for initiation of the signal transduction cascade activated by the B-cell antigen receptor complex (BCR) which leads to internalization of the complex, trafficking to late endosomes and antigen presentation. Enhances phosphorylation of CD79A, possibly by recruiting kinases which phosphorylate CD79A or by recruiting proteins which bind to CD79A and protect it from dephosphorylation.
See full target information CD79B

Publications (1)

Recent publications for all applications. Explore the full list and refine your search

Clinical cancer research : an official journal of the American Association for Cancer Research 30:4601-4608 PubMed39167623

2024

Pembrolizumab and Cabozantinib in Recurrent and/or Metastatic Head and Neck Squamous Cell Carcinoma: Long-term Survival Update with a Biomarker Analysis.

Applications

Unspecified application

Species

Unspecified reactive species

Nabil F Saba,Ritu Chaudhary,Kedar Kirtane,Angelo Marra,Asari Ekpenyong,Ashley McCook-Veal,Nicole C Schmitt,Jennifer H Gross,Mihir R Patel,Jill Remick,James E Bates,Mark W McDonald,Soumon F Rudra,William A Stokes,Maria Biernacki,Xiaofei Song,Robbert J C Slebos,Yuan Liu,Conor E Steuer,Dong M Shin,Yong Teng,Christine H Chung
View all publications

Product promise

We are committed to supporting your work with high-quality reagents, and we're here for you every step of the way. In the unlikely event that one of our products does not perform as expected, you're protected by our Product Promise.
For full details, please see our Terms & Conditions

Please note: All products are 'FOR RESEARCH USE ONLY. NOT FOR USE IN DIAGNOSTIC OR THERAPEUTIC PROCEDURES'.

For licensing inquiries, please contact partnerships@abcam.com