JavaScript is disabled in your browser. Please enable JavaScript to view this website.
AB4055

Anti-CD8 alpha antibody

4

(14 Reviews)

|

(184 Publications)

Anti-CD8 alpha antibody (ab4055) is a rabbit polyclonal antibody detecting CD8 alpha in IHC-P. Suitable for Human.

- Over 180 publications
- Trusted since 2003

View Alternative Names

CD8a, MAL, CD8A, T-cell surface glycoprotein CD8 alpha chain, T-lymphocyte differentiation antigen T8/Leu-2

4 Images
Immunohistochemistry (Formalin/PFA-fixed paraffin-embedded sections) - Anti-CD8 alpha antibody (AB4055)
  • IHC-P

AbReview60142****

Immunohistochemistry (Formalin/PFA-fixed paraffin-embedded sections) - Anti-CD8 alpha antibody (AB4055)

ab4055 staining CD8 alpha in human spleen tissue sections by Immunohistochemistry (IHC-P - paraformaldehyde-fixed, paraffin-embedded sections). Tissue was fixed with formaldehyde and blocked with 2% BSA for 10 minutes at 21°C; antigen retrieval was by heat mediation in citric acid. Samples were incubated with the primary antibody (1/100 in TBS/BSA/azide) for 16 hours at 21°C. A biotin-conjugated goat anti-rabbit IgG polyclonal (1/300) was used as the secondary antibody.

This image is courtesy of an Abreview submitted by Carl Hobbs.

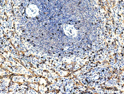
Immunohistochemistry (Formalin/PFA-fixed paraffin-embedded sections) - Anti-CD8 alpha antibody (AB4055)
  • IHC-P

AbReview34984****

Immunohistochemistry (Formalin/PFA-fixed paraffin-embedded sections) - Anti-CD8 alpha antibody (AB4055)

ab4055 staining CD8 alpha in Human lymph node tissue sections by Immunohistochemistry (IHC-P - paraformaldehyde-fixed, paraffin-embedded sections). Tissue was fixed with formaldehyde and blocked for 5 minutes at 25°C; antigen retrieval was by heat mediation. Samples were incubated with primary antibody (1/200) for 1 hour at 25°C. A Biotin-conjugated Donkey anti-rabbit IgG polyclonal (1/1000) was used as the secondary antibody.

This image is courtesy of an Abreview submitted by R Berahovich

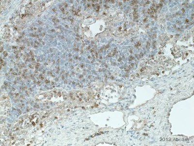
Immunohistochemistry (Formalin/PFA-fixed paraffin-embedded sections) - Anti-CD8 alpha antibody (AB4055)
  • IHC-P

AbReview6718****

Immunohistochemistry (Formalin/PFA-fixed paraffin-embedded sections) - Anti-CD8 alpha antibody (AB4055)

ab4055 at 1/500 dilution staining CD8 alpha from human PBMC (Peripheral blood mononuclear cells) tissue sections by IHC-P. The tissue was paraformaldehyde fixed and a heat mediated antigen retrieval step was performed prior to incubation with the antibody for 20 minutes. A biotinylated goat anti-rabbit antibody was used as the secondary.

This image is courtesy of an Abreview submitted by Miss Jill Montgomery

Immunohistochemistry (Formalin/PFA-fixed paraffin-embedded sections) - Anti-CD8 alpha antibody (AB4055)
  • IHC-P

Unknown

Immunohistochemistry (Formalin/PFA-fixed paraffin-embedded sections) - Anti-CD8 alpha antibody (AB4055)

ab4055 at 1/200 staining CD8 alpha in human tonsil tissue section by Immunohistochemistry (Formalin/ PFA fixed paraffin-embedded sections).

Key facts

Host species

Rabbit

Clonality

Polyclonal

Isotype

IgG

Carrier free

No

Reacts with

Human

Applications

IHC-P

applications

Immunogen

The exact immunogen used to generate this antibody is proprietary information.

Specificity

From Mar 2024, QC testing of replenishment batches of this polyclonal changed. All tested and expected application and reactive species combinations are still covered by our Abcam product promise. However, we no longer test all applications. For more information on a specific batch, please contact our Scientific Support who will be happy to help. You may also be interested in our alternative recombinant antibody, ab178089.

Reactivity data

{ "title": "Reactivity Data", "filters": { "stats": ["", "Species", "Dilution Info", "Notes"], "tabs": { "all-applications": {"fullname" : "All Applications", "shortname": "All Applications"}, "IHCP" : {"fullname" : "Immunohistochemistry (Formalin/PFA-fixed paraffin-embedded sections)", "shortname":"IHC-P"} }, "product-promise": { "all": "all", "testedAndGuaranteed": "tested", "guaranteed": "expected", "predicted": "predicted", "notRecommended": "not-recommended" } }, "values": { "Human": { "IHCP-species-checked": "testedAndGuaranteed", "IHCP-species-dilution-info": "1/200", "IHCP-species-notes": "<p></p>" }, "Rhesus monkey": { "IHCP-species-checked": "predicted", "IHCP-species-dilution-info": "", "IHCP-species-notes": "" } } }

Have you thought about this alternative?

AB178089

Anti-CD8 alpha antibody [SP239]

3
1 Reviews
View product

We’re constantly upgrading our range to offer the highest quality products. We have selected this alternative product for your review because it gives improved performance, is easier and more convenient to use, or is available faster.

Product details

Product Specifications

Anti-CD8 alpha antibody (ab4055) is a rabbit polyclonal antibody and is validated for use in IHC-P in human samples.
Anti-CD8 alpha antibody (ab4055) specifically detects CD8 alpha (UniProt ID: P01732; Molecular weight: 24kDa) and is sold in 500 µL and 1 mL selling sizes.

Quality and Validation

Abcam's high quality validation processes ensure Anti-CD8 alpha antibody (ab4055) has high sensitivity and specificity.
Anti-CD8 alpha antibody (ab4055) has been cited over 184 times in peer reviewed journals and is trusted by the scientific community.
Anti-CD8 alpha antibody (ab4055) has 14 independent reviews from customers.

Target Information

CD8 alpha is a transmembrane glycoprotein that serves as a co-receptor for the T-cell receptor (TCR), primarily found on cytotoxic T cells. It plays a crucial role in T cell signaling and cytotoxic activity by binding to MHC class I molecules, aiding in the immune response against infected or malignant cells. CD8 alpha is associated with several diseases, particularly those involving immune system dysfunction.

Properties and storage information

Form
Liquid
Purification technique
Affinity purification Immunogen
Storage buffer
pH: 7.4 Preservative: 0.1% Sodium azide Constituents: PBS, 1% BSA
Shipped at conditions
Blue Ice
Appropriate short-term storage conditions
+4°C
Appropriate long-term storage conditions
-20°C
Aliquoting information
Upon delivery aliquot
Storage information
Avoid freeze / thaw cycle

Supplementary information

This supplementary information is collated from multiple sources and compiled automatically.

CD8 alpha also known as CD8A or CD8 protein is a glycoprotein subunit expressed on the surface of cytotoxic T lymphocytes. It has a mass of approximately 32 kDa. Found on the surface cell membrane CD8 alpha functions primarily in the immune response specifically in the recognition of antigens bound to major histocompatibility complex (MHC) class I molecules. Often scientists use CD8 antibodies for detection and CD8 IHC or immunohistochemistry for localization studies.
Biological function summary

The CD8 alpha protein plays a critical role in T-cell mediated immune responses. It forms a heterodimer with the CD8 beta chain creating the CD8 alpha-beta complex that strengthens T-cell interaction with antigen-presenting cells. CD8 alpha also helps in signaling processes that activate T cells equipping them to destroy infected or malignant cells. Researchers often study CD8 alpha peptides to understand its interactions better.

Pathways

CD8 alpha is integral to the T-cell receptor signaling pathway and the cytotoxic T lymphocyte (CTL) pathway. The T-cell receptor complex which includes the CD8 molecule transmits signals that are important for T-cell activation and function. CD8 interacts with key proteins such as the T-cell receptor (TCR) and MHC class I molecules facilitating targeted responses against pathogens. These pathways highlight CD8 alpha’s role in adaptive immunity.

CD8 alpha is most prominently associated with viral infections and cancer. Conditions like HIV and some forms of leukemia show altered CD8 function highlighting the protein's role in immune surveillance. In HIV infection for instance CD8 T cells reduce in number impairing the immune response. CD8 alpha’s connection to the immune system places it alongside other immune proteins such as CD4 and MHC molecules in the context of immune dysfunction.

Product protocols

For this product, it's our understanding that no specific protocols are required. You can visit:

Target data

The protein expressed by the gene CD8A is an integral membrane glycoprotein crucial for immune responses, operating mainly in T-cells as a coreceptor for MHC class I molecule : peptide complexes. These peptides originate from cytosolic proteins, unlike class II peptides, which are from extracellular proteins. CD8A interacts with the T-cell receptor (TCR) and MHC class I proteins on antigen-presenting cells, recruiting the Src kinase LCK to the TCR-CD3 complex. LCK phosphorylates substrates, triggering signaling pathways that lead to the production of lymphokines, enhanced motility, adhesion, and activation of cytotoxic T-lymphocytes (CTLs), thereby aiding in the recognition and elimination of infected or tumor cells. Additionally, in natural killer (NK) cells, CD8A homodimers on the cell surface provide a survival mechanism for conjugating with and lysing multiple target cells. CD8A homodimers also facilitate the survival and differentiation of activated lymphocytes into memory CD8 T-cells. This supplementary information is collated from multiple sources and compiled automatically.
See full target information CD8A

Publications (184)

Recent publications for all applications. Explore the full list and refine your search

Cancers 15: PubMed38136261

2023

Long-Term Survival of Patients with Stage T1N0M1 Renal Cell Carcinoma.

Applications

Unspecified application

Species

Unspecified reactive species

Viktoria Schütz,Huan Lin,Adam Kaczorowski,Stefanie Zschäbitz,Dirk Jäger,Albrecht Stenzinger,Anette Duensing,Jürgen Debus,Markus Hohenfellner,Stefan Duensing

Frontiers in veterinary science 10:1268968 PubMed38046568

2023

Okra [ (L.) Moench] improved blood glucose and restored histopathological alterations in splenic tissues in a rat model with streptozotocin-induced type 1 diabetes through CD8 T cells and NF-kβ expression.

Applications

Unspecified application

Species

Unspecified reactive species

Mohamed A Alblihd,Khalaf F Alsharif,Asmaa A Hamad,Fatma Abo Zakaib Ali,Manal T Hussein,Alaa S Alhegaili,Mohamed Ahmed Hassan,Osama M Al-Amer,Nisreen Khalid Aref Albezrah,Abdulraheem Ali Almalki,Alaa Jameel A Albarakati,Khalid S Alghamdi,Khalid J Alzahrani,Ashraf Albrakati,Elham Hamed Alrubai,Naira ElAshmouny,Ehab Kotb Elmahallawy

iScience 26:108414 PubMed38047083

2023

Helicobacter pylori CagA promotes immune evasion of gastric cancer by upregulating PD-L1 level in exosomes.

Applications

Unspecified application

Species

Unspecified reactive species

Jinfeng Wang,Rilin Deng,Shuai Chen,Shun Deng,Qi Hu,Biaoming Xu,Junjun Li,Zhuo He,Mingjing Peng,Sanlin Lei,Tiexiang Ma,Zhuo Chen,Haizhen Zhu,Chaohui Zuo

Scientific reports 13:17067 PubMed37816950

2023

Use of pediatric thymus to humanize mice for HIV-1 mucosal transmission.

Applications

Unspecified application

Species

Unspecified reactive species

Chandra N Roy,Sherry T Shu,Christopher Kline,Lora Rigatti,Thomas E Smithgall,Zandrea Ambrose

Journal of neurogastroenterology and motility 29:486-500 PubMed37586778

2023

Imbalance of Innate and Adaptive Immunity in Esophageal Achalasia.

Applications

Unspecified application

Species

Unspecified reactive species

Lu Yao,Zuqiang Liu,Weifeng Chen,Jiaqi Xu,Xiaoyue Xu,Jiaxin Xu,Liyun Ma,Xiaoqing Li,Quanlin Li,Pinghong Zhou

Communications biology 6:830 PubMed37563418

2023

Dynamic thresholding and tissue dissociation optimization for CITE-seq identifies differential surface protein abundance in metastatic melanoma.

Applications

Unspecified application

Species

Unspecified reactive species

Ulrike Lischetti,Aizhan Tastanova,Franziska Singer,Linda Grob,Matteo Carrara,Phil F Cheng,Julia M Martínez Gómez,Federica Sella,Veronika Haunerdinger,Christian Beisel,Mitchell P Levesque

Molecular therapy oncolytics 30:103-116 PubMed37635744

2023

Oncolytic virotherapy with intratumoral injection of vaccinia virus TG6002 and 5-fluorocytosine administration in dogs with malignant tumors.

Applications

Unspecified application

Species

Unspecified reactive species

Jérémy Béguin,Eve Laloy,Sandrine Cochin,Murielle Gantzer,Isabelle Farine,Christelle Pichon,Baptiste Moreau,Johann Foloppe,Jean-Marc Balloul,Christelle Machon,Jérôme Guitton,Dominique Tierny,Bernard Klonjkowski,Eric Quéméneur,Christelle Maurey,Philippe Erbs

Journal of neuro-oncology 163:663-674 PubMed37418134

2023

Tumor immune microenvironment in pituitary neuroendocrine tumors (PitNETs): increased M2 macrophage infiltration and PD-L1 expression in PIT1-lineage subset.

Applications

Unspecified application

Species

Unspecified reactive species

Mei Luo,Rui Tang,Haijun Wang

Frontiers in immunology 14:1172768 PubMed37383237

2023

Prognostic impact of intra- and peritumoral immune cell subpopulations in head and neck squamous cell carcinomas - comprehensive analysis of the TCGA-HNSC cohort and immunohistochemical validation on 101 patients.

Applications

Unspecified application

Species

Unspecified reactive species

Moritz Knebel,Sandrina Körner,Jan Philipp Kühn,Silke Wemmert,Lukas Brust,Sigrun Smola,Mathias Wagner,Rainer M Bohle,Luc G T Morris,Abhinav Pandey,Bernhard Schick,Maximilian Linxweiler

BMC gastroenterology 23:194 PubMed37277702

2023

The predictive value of CD4, CD8, and C-reactive protein in the prognosis of schistosomal and non-schistosomal colorectal cancer.

Applications

Unspecified application

Species

Unspecified reactive species

Meihong Cheng,Hongyan Jing,Dacheng Bu,Jing Liu,Kui Lu,Jican Liu,Yanchao Xu,Ting Zhu,Yingyong Hou,Junxia Yao,Qilin Zhai,Weixia Wang
View all publications

Product promise

We are committed to supporting your work with high-quality reagents, and we're here for you every step of the way. In the unlikely event that one of our products does not perform as expected, you're protected by our Product Promise.
For full details, please see our Terms & Conditions

Associated Products

Select an associated product type
Alternative Product
Primary Antibodies

AB244566

Anti-CD8 alpha antibody [OX-8] - BSA and Azide free

primary-antibodies

cd8-alpha-antibody-ox-8-bsa-and-azide-free-ab244566

0

(0 reviews)

Alternative Product
Primary Antibodies

AB101500

Anti-CD8 alpha antibody [SP16]

primary-antibodies

cd8-alpha-antibody-sp16-ab101500

4

(4 reviews)

Alternative Product
Primary Antibodies

AB236230

Anti-CD8 alpha antibody [SP239] - BSA and Azide free

primary-antibodies

cd8-alpha-antibody-sp239-bsa-and-azide-free-ab236230

4

(1 reviews)

Please note: All products are 'FOR RESEARCH USE ONLY. NOT FOR USE IN DIAGNOSTIC OR THERAPEUTIC PROCEDURES'.

For licensing inquiries, please contact partnerships@abcam.com