JavaScript is disabled in your browser. Please enable JavaScript to view this website.
AB213017

Anti-CD8 alpha antibody [C8/468] - BSA and Azide free

Be the first to review this product! Submit a review

|

(2 Publications)

Mouse Monoclonal CD8 alpha antibody. Carrier free. Suitable for ICC, IHC-P and reacts with Human samples. Cited in 2 publications. Immunogen corresponding to Recombinant Full Length Protein corresponding to Human CD8A.

View Alternative Names

CD8a, MAL, CD8A, T-cell surface glycoprotein CD8 alpha chain, T-lymphocyte differentiation antigen T8/Leu-2

2 Images
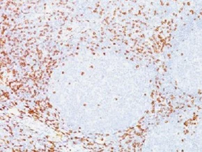
Immunohistochemistry (Formalin/PFA-fixed paraffin-embedded sections) - Anti-CD8 alpha antibody [C8/468] - BSA and Azide free (AB213017)
  • IHC-P

Supplier Data

Immunohistochemistry (Formalin/PFA-fixed paraffin-embedded sections) - Anti-CD8 alpha antibody [C8/468] - BSA and Azide free (AB213017)

Immunohistochemical analysis of formalin-fixed, paraffin-embedded Human tonsil tissue labeling CD8 alpha with ab213017 at 1 μg/ml dilution.

Immunocytochemistry - Anti-CD8 alpha antibody [C8/468] - BSA and Azide free (AB213017)
  • ICC

Unknown

Immunocytochemistry - Anti-CD8 alpha antibody [C8/468] - BSA and Azide free (AB213017)

This image was produced using ab193341, the same clone but in a different formulation. Immunofluorescence staining of CD6/T12 in MOLT-4 (human lymphoblastic leukemia cell line) cells using ab213007 at 2 ug/ml, followed by goat anti-Mouse IgG conjugated to CF488 (green). Nuclei are stained with Reddot.

Key facts

Host species

Mouse

Clonality

Monoclonal

Clone number

C8/468

Isotype

IgG1

Light chain type

kappa

Carrier free

Yes

Reacts with

Human

Applications

ICC, IHC-P

applications

Immunogen

Recombinant Full Length Protein corresponding to Human CD8A.

P01732

Reactivity data

{ "title": "Reactivity Data", "filters": { "stats": ["", "Species", "Dilution Info", "Notes"], "tabs": { "all-applications": {"fullname" : "All Applications", "shortname": "All Applications"}, "ICC" : {"fullname" : "Immunocytochemistry", "shortname":"ICC"}, "IHCP" : {"fullname" : "Immunohistochemistry (Formalin/PFA-fixed paraffin-embedded sections)", "shortname":"IHC-P"} }, "product-promise": { "all": "all", "testedAndGuaranteed": "tested", "guaranteed": "expected", "predicted": "predicted", "notRecommended": "not-recommended" } }, "values": { "Human": { "ICC-species-checked": "testedAndGuaranteed", "ICC-species-dilution-info": "1-2 µg/mL", "ICC-species-notes": "<p></p>", "IHCP-species-checked": "testedAndGuaranteed", "IHCP-species-dilution-info": "1-2 µg/mL", "IHCP-species-notes": "<p>(for 30 minutes at RT)</p> Perform heat-mediated antigen retrieval with Tris/EDTA buffer pH 9.0 before commencing with IHC staining protocol." } } }

Properties and storage information

Form
Liquid
Purification technique
Affinity purification Protein A/G
Purification notes
ab213017 is purified from Bioreactor Concentrate by Protein A/G.
Storage buffer
pH: 7.2 - 7.4 Constituents: PBS
Shipped at conditions
Blue Ice
Appropriate short-term storage duration
1-2 weeks
Appropriate short-term storage conditions
+4°C
Appropriate long-term storage conditions
-20°C
Aliquoting information
Upon delivery aliquot
Storage information
Avoid freeze / thaw cycle

Supplementary information

This supplementary information is collated from multiple sources and compiled automatically.

CD8 alpha also known as CD8A or CD8 protein is a glycoprotein subunit expressed on the surface of cytotoxic T lymphocytes. It has a mass of approximately 32 kDa. Found on the surface cell membrane CD8 alpha functions primarily in the immune response specifically in the recognition of antigens bound to major histocompatibility complex (MHC) class I molecules. Often scientists use CD8 antibodies for detection and CD8 IHC or immunohistochemistry for localization studies.
Biological function summary

The CD8 alpha protein plays a critical role in T-cell mediated immune responses. It forms a heterodimer with the CD8 beta chain creating the CD8 alpha-beta complex that strengthens T-cell interaction with antigen-presenting cells. CD8 alpha also helps in signaling processes that activate T cells equipping them to destroy infected or malignant cells. Researchers often study CD8 alpha peptides to understand its interactions better.

Pathways

CD8 alpha is integral to the T-cell receptor signaling pathway and the cytotoxic T lymphocyte (CTL) pathway. The T-cell receptor complex which includes the CD8 molecule transmits signals that are important for T-cell activation and function. CD8 interacts with key proteins such as the T-cell receptor (TCR) and MHC class I molecules facilitating targeted responses against pathogens. These pathways highlight CD8 alpha’s role in adaptive immunity.

CD8 alpha is most prominently associated with viral infections and cancer. Conditions like HIV and some forms of leukemia show altered CD8 function highlighting the protein's role in immune surveillance. In HIV infection for instance CD8 T cells reduce in number impairing the immune response. CD8 alpha’s connection to the immune system places it alongside other immune proteins such as CD4 and MHC molecules in the context of immune dysfunction.

Product protocols

For this product, it's our understanding that no specific protocols are required. You can visit:

Target data

The protein expressed by the gene CD8A is an integral membrane glycoprotein crucial for immune responses, operating mainly in T-cells as a coreceptor for MHC class I molecule : peptide complexes. These peptides originate from cytosolic proteins, unlike class II peptides, which are from extracellular proteins. CD8A interacts with the T-cell receptor (TCR) and MHC class I proteins on antigen-presenting cells, recruiting the Src kinase LCK to the TCR-CD3 complex. LCK phosphorylates substrates, triggering signaling pathways that lead to the production of lymphokines, enhanced motility, adhesion, and activation of cytotoxic T-lymphocytes (CTLs), thereby aiding in the recognition and elimination of infected or tumor cells. Additionally, in natural killer (NK) cells, CD8A homodimers on the cell surface provide a survival mechanism for conjugating with and lysing multiple target cells. CD8A homodimers also facilitate the survival and differentiation of activated lymphocytes into memory CD8 T-cells. This supplementary information is collated from multiple sources and compiled automatically.
See full target information CD8A

Publications (2)

Recent publications for all applications. Explore the full list and refine your search

Cell reports methods 3:100595 PubMed37741277

2023

Dual-modality imaging of immunofluorescence and imaging mass cytometry for whole-slide imaging and accurate segmentation.

Applications

Unspecified application

Species

Unspecified reactive species

Eun Na Kim,Phyllis Zixuan Chen,Dario Bressan,Monika Tripathi,Ahmad Miremadi,Massimiliano di Pietro,Lisa M Coussens,Gregory J Hannon,Rebecca C Fitzgerald,Lizhe Zhuang,Young Hwan Chang

Cell reports. Medicine 3:100525 PubMed35243422

2022

An omic and multidimensional spatial atlas from serial biopsies of an evolving metastatic breast cancer.

Applications

Unspecified application

Species

Unspecified reactive species

Brett E Johnson,Allison L Creason,Jayne M Stommel,Jamie M Keck,Swapnil Parmar,Courtney B Betts,Aurora Blucher,Christopher Boniface,Elmar Bucher,Erik Burlingame,Todd Camp,Koei Chin,Jennifer Eng,Joseph Estabrook,Heidi S Feiler,Michael B Heskett,Zhi Hu,Annette Kolodzie,Ben L Kong,Marilyne Labrie,Jinho Lee,Patrick Leyshock,Souraya Mitri,Janice Patterson,Jessica L Riesterer,Shamilene Sivagnanam,Julia Somers,Damir Sudar,Guillaume Thibault,Benjamin R Weeder,Christina Zheng,Xiaolin Nan,Reid F Thompson,Laura M Heiser,Paul T Spellman,George Thomas,Emek Demir,Young Hwan Chang,Lisa M Coussens,Alexander R Guimaraes,Christopher Corless,Jeremy Goecks,Raymond Bergan,Zahi Mitri,Gordon B Mills,Joe W Gray
View all publications

Product promise

We are committed to supporting your work with high-quality reagents, and we're here for you every step of the way. In the unlikely event that one of our products does not perform as expected, you're protected by our Product Promise.
For full details, please see our Terms & Conditions

Please note: All products are 'FOR RESEARCH USE ONLY. NOT FOR USE IN DIAGNOSTIC OR THERAPEUTIC PROCEDURES'.

For licensing inquiries, please contact partnerships@abcam.com