JavaScript is disabled in your browser. Please enable JavaScript to view this website.
AB199016

Anti-CD8 alpha antibody [C8/468 + C8/144B]

4

(2 Reviews)

|

(20 Publications)

Mouse Multiclonal CD8 alpha antibody. Suitable for IHC-P and reacts with Human samples. Cited in 20 publications. Immunogen corresponding to Recombinant Fragment Protein within Human CD8A.

View Alternative Names

CD8a, MAL, CD8A, T-cell surface glycoprotein CD8 alpha chain, T-lymphocyte differentiation antigen T8/Leu-2

1 Images
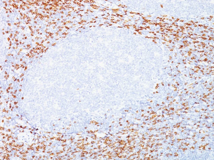
Immunohistochemistry (Formalin/PFA-fixed paraffin-embedded sections) - Anti-CD8 alpha antibody [C8/468 + C8/144B] (AB199016)
  • IHC-P

Supplier Data

Immunohistochemistry (Formalin/PFA-fixed paraffin-embedded sections) - Anti-CD8 alpha antibody [C8/468 + C8/144B] (AB199016)

Immunohistochemistry (Formalin/PFA-fixed paraffin-embedded sections) analysis of human tonsil tissue labelling CD8 alpha with ab199016 at 2 μg/mL for 30 minutes at room temperature. Staining of formalin-fixed tissues requires heating tissue sections in 10mM Tris with 1mM EDTA, pH 9.0, for 45 min at 95°C followed by cooling at room temperature for 20 minutes.

Key facts

Host species

Mouse

Clonality

Multiclonal

Clone number

C8/468 + C8/144B

Isotype

IgG1

Carrier free

No

Reacts with

Human

Applications

IHC-P

applications

Immunogen

The exact immunogen used to generate this antibody is proprietary information.

Synthetic Peptide within Human CD8A. Database link P01732

Reactivity data

{ "title": "Reactivity Data", "filters": { "stats": ["", "Species", "Dilution Info", "Notes"], "tabs": { "all-applications": {"fullname" : "All Applications", "shortname": "All Applications"}, "IHCP" : {"fullname" : "Immunohistochemistry (Formalin/PFA-fixed paraffin-embedded sections)", "shortname":"IHC-P"} }, "product-promise": { "all": "all", "testedAndGuaranteed": "tested", "guaranteed": "expected", "predicted": "predicted", "notRecommended": "not-recommended" } }, "values": { "Human": { "IHCP-species-checked": "testedAndGuaranteed", "IHCP-species-dilution-info": "1-2 µg/mL", "IHCP-species-notes": "<p>30 minutes at room temperature.</p> Perform heat-mediated antigen retrieval with Tris/EDTA buffer pH 9.0 before commencing with IHC staining protocol." } } }

Product details

Clone C8/468: Mouse IgG1. Clone C8/144B: Mouse IgG1.

What is an oligoclonal antibody?
This oligoclonal antibody is a cocktail of monoclonal antibodies that have been carefully selected. Oligoclonal antibodies have not only the specificity and batch-to-batch consistency of a monoclonal antibody, but also have the advantage of the sensitivity of a polyclonal antibody due to their ability to recognize multiple epitopes on an antigen.

Properties and storage information

Form
Liquid
Purification technique
Affinity purification Protein G
Purification notes
ab199016 was purified from Bioreactor Concentrate.
Storage buffer
pH: 7.2 - 7.4 Preservative: 0.05% Sodium azide Constituents: 99% PBS, 0.05% BSA
Shipped at conditions
Blue Ice
Appropriate short-term storage duration
1-2 weeks
Appropriate short-term storage conditions
+4°C
Appropriate long-term storage conditions
-20°C
Aliquoting information
Upon delivery aliquot
Storage information
Avoid freeze / thaw cycle

Supplementary information

This supplementary information is collated from multiple sources and compiled automatically.

CD8 alpha also known as CD8A or CD8 protein is a glycoprotein subunit expressed on the surface of cytotoxic T lymphocytes. It has a mass of approximately 32 kDa. Found on the surface cell membrane CD8 alpha functions primarily in the immune response specifically in the recognition of antigens bound to major histocompatibility complex (MHC) class I molecules. Often scientists use CD8 antibodies for detection and CD8 IHC or immunohistochemistry for localization studies.
Biological function summary

The CD8 alpha protein plays a critical role in T-cell mediated immune responses. It forms a heterodimer with the CD8 beta chain creating the CD8 alpha-beta complex that strengthens T-cell interaction with antigen-presenting cells. CD8 alpha also helps in signaling processes that activate T cells equipping them to destroy infected or malignant cells. Researchers often study CD8 alpha peptides to understand its interactions better.

Pathways

CD8 alpha is integral to the T-cell receptor signaling pathway and the cytotoxic T lymphocyte (CTL) pathway. The T-cell receptor complex which includes the CD8 molecule transmits signals that are important for T-cell activation and function. CD8 interacts with key proteins such as the T-cell receptor (TCR) and MHC class I molecules facilitating targeted responses against pathogens. These pathways highlight CD8 alpha’s role in adaptive immunity.

CD8 alpha is most prominently associated with viral infections and cancer. Conditions like HIV and some forms of leukemia show altered CD8 function highlighting the protein's role in immune surveillance. In HIV infection for instance CD8 T cells reduce in number impairing the immune response. CD8 alpha’s connection to the immune system places it alongside other immune proteins such as CD4 and MHC molecules in the context of immune dysfunction.

Product protocols

For this product, it's our understanding that no specific protocols are required. You can visit:

Target data

The protein expressed by the gene CD8A is an integral membrane glycoprotein crucial for immune responses, operating mainly in T-cells as a coreceptor for MHC class I molecule : peptide complexes. These peptides originate from cytosolic proteins, unlike class II peptides, which are from extracellular proteins. CD8A interacts with the T-cell receptor (TCR) and MHC class I proteins on antigen-presenting cells, recruiting the Src kinase LCK to the TCR-CD3 complex. LCK phosphorylates substrates, triggering signaling pathways that lead to the production of lymphokines, enhanced motility, adhesion, and activation of cytotoxic T-lymphocytes (CTLs), thereby aiding in the recognition and elimination of infected or tumor cells. Additionally, in natural killer (NK) cells, CD8A homodimers on the cell surface provide a survival mechanism for conjugating with and lysing multiple target cells. CD8A homodimers also facilitate the survival and differentiation of activated lymphocytes into memory CD8 T-cells. This supplementary information is collated from multiple sources and compiled automatically.
See full target information CD8A

Publications (20)

Recent publications for all applications. Explore the full list and refine your search

Nature communications 14:7709 PubMed38001101

2023

Low-dose radiotherapy combined with dual PD-L1 and VEGFA blockade elicits antitumor response in hepatocellular carcinoma mediated by activated intratumoral CD8 exhausted-like T cells.

Applications

Unspecified application

Species

Unspecified reactive species

Siqi Li,Kun Li,Kang Wang,Haoyuan Yu,Xiangyang Wang,Mengchen Shi,Zhixing Liang,Zhou Yang,Yongwei Hu,Yang Li,Wei Liu,Hua Li,Shuqun Cheng,Linsen Ye,Yang Yang

BMC cancer 23:549 PubMed37322434

2023

Characterization and clinical verification of immune-related genes in hepatocellular carcinoma to aid prognosis evaluation and immunotherapy.

Applications

Unspecified application

Species

Unspecified reactive species

Jialin Qu,Fenghao Sun,Yichen Hou,Haoran Qi,Xiaorong Sun,Ligang Xing

Frontiers in immunology 14:1081790 PubMed37114049

2023

Impact of endogenous glucocorticoid on response to immune checkpoint blockade in patients with advanced cancer.

Applications

Unspecified application

Species

Unspecified reactive species

Yu Cui,Xinyue Han,Hongtao Liu,Qi Xie,Yaping Guan,Beibei Yin,Junjuan Xiao,Dongfeng Feng,Xuan Wang,Junwei Li,Jinghua Chen,Xiaolin Liu,Xingyu Li,Weiwei Nie,Lin Ma,Hairong Liu,Jing Liang,Yan Li,Baocheng Wang,Jun Wang

Cancer immunology research 11:657-673 PubMed36898011

2023

HDAC3 Inhibition Promotes Antitumor Immunity by Enhancing CXCL10-Mediated Chemotaxis and Recruiting of Immune Cells.

Applications

Unspecified application

Species

Unspecified reactive species

Lili Li,Shumin Hao,Meiling Gao,Junxiao Liu,Xin Xu,Jianfei Huang,Genhong Cheng,Heng Yang

Cancers 14: PubMed36428700

2022

The Association of R-Loop Binding Proteins Subtypes with CIN Implicates Therapeutic Strategies in Colorectal Cancer.

Applications

Unspecified application

Species

Unspecified reactive species

Wenchao Zhao,Qian Pei,Yongwei Zhu,Dongdong Zhan,Guo Mao,Meng Wang,Yanfang Qiu,Ke Zuo,Haiping Pei,Lun-Quan Sun,Ming Wen,Rong Tan

Journal of clinical and translational hepatology 10:925-938 PubMed36304510

2022

A Novel mRNA Signature Related to Immunity to Predict Survival and Immunotherapy Response in Hepatocellular Carcinoma.

Applications

Unspecified application

Species

Unspecified reactive species

Chenhao Zhou,Jialei Weng,Yuan Gao,Chunxiao Liu,Xiaoqiang Zhu,Qiang Zhou,Chia-Wei Li,Jialei Sun,Manar Atyah,Yong Yi,Qinghai Ye,Yi Shi,Qiongzhu Dong,Yingbin Liu,Mien-Chie Hung,Ning Ren

Oncology reports 47: PubMed34958112

2021

Systematic characterization of the tumor microenvironment in Chinese patients with hepatocellular carcinoma highlights intratumoral B cells as a potential immunotherapy target.

Applications

Unspecified application

Species

Unspecified reactive species

Yu Feng,Liguo Liu,Jing Li,Jia Huang,Jenny H Xie,Laurence Menard,Yanfen Shi,Xiaohong Zhao,Shan Xie,Wenjuan Zang,Haidong Tan,Zhiying Yang,Ling Ni

Cancer science 112:4968-4976 PubMed34657342

2021

The prognostic value of TCF1+CD8+T in primary small cell carcinoma of the esophagus.

Applications

Unspecified application

Species

Unspecified reactive species

Lin Ma,Lijun Sun,Kaikai Zhao,Zhengxin Dong,Zhaoqin Huang,Xiangjiao Meng

Journal of hepatocellular carcinoma 8:997-1021 PubMed34513744

2021

Regulation Network and Prognostic Significance of Aldo-Keto Reductase (AKR) Superfamily Genes in Hepatocellular Carcinoma.

Applications

Unspecified application

Species

Unspecified reactive species

Tianxing Dai,Linsen Ye,Haoyuan Yu,Kun Li,Jing Li,Rongqiang Liu,Xu Lu,Mingbin Deng,Rong Li,Wei Liu,Yang Yang,Guoying Wang

Aging 13:20609-20628 PubMed34438367

2021

Intravascular emboli relates to immunosuppressive tumor microenvironment and predicts prognosis in stage III colorectal cancer.

Applications

Unspecified application

Species

Unspecified reactive species

Xiangping Song,Di Xie,Fengbo Tan,Yuan Zhou,Yuqiang Li,Zhongyi Zhou,Qian Pei,Haiping Pei
View all publications

Product promise

We are committed to supporting your work with high-quality reagents, and we're here for you every step of the way. In the unlikely event that one of our products does not perform as expected, you're protected by our Product Promise.
For full details, please see our Terms & Conditions

Please note: All products are 'FOR RESEARCH USE ONLY. NOT FOR USE IN DIAGNOSTIC OR THERAPEUTIC PROCEDURES'.

For licensing inquiries, please contact partnerships@abcam.com