JavaScript is disabled in your browser. Please enable JavaScript to view this website.
AB237723

Anti-CD8 alpha antibody [CAL38]

  • BOND RX™ Validated
  • RabMAb
  • Recombinant
  • 20ul selling size
  • What is this?

Be the first to review this product! Submit a review

|

(24 Publications)

Rabbit Recombinant Monoclonal CD8 alpha antibody. Suitable for IP, IHC-Fr, IHC-P and reacts with Mouse samples. Cited in 24 publications.

View Alternative Names

CD8a, Lyt-2, Lyt2, Cd8a, T-cell surface glycoprotein CD8 alpha chain, T-cell surface glycoprotein Lyt-2

4 Images
Immunohistochemistry (Formalin/PFA-fixed paraffin-embedded sections) - Anti-CD8 alpha antibody [CAL38] (AB237723)
  • IHC-P

Supplier Data

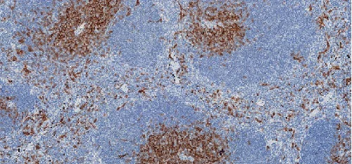
Immunohistochemistry (Formalin/PFA-fixed paraffin-embedded sections) - Anti-CD8 alpha antibody [CAL38] (AB237723)

Formalin-fixed, paraffin-embedded mouse spleen tissue stained for CD8 alpha with ab237723 at 0.125 μg/ml in immunohistochemical analysis.

Immunohistochemistry (Formalin/PFA-fixed paraffin-embedded sections) - Anti-CD8 alpha antibody [CAL38] (AB237723)
  • IHC-P

Supplier Data

Immunohistochemistry (Formalin/PFA-fixed paraffin-embedded sections) - Anti-CD8 alpha antibody [CAL38] (AB237723)

Immunohistochemical analysis of paraffin-embedded mouse spleen tissue labeling CD8 alpha with ab237723 at 1/500 dilution, followed by the ready to use Rabbit specific IHC polymer detection kit HRP/DAB (ab209101).

Positive staining on the mouse spleen is shown. The section was incubated with ab237723 for 30 mins at room temperature. The immunostaining was performed on a Leica Biosystems BOND® RX instrument.

Secondary antibody only control : Used PBS instead of primary antibody, secondary antibody is the ready to use Rabbit specific IHC polymer detection kit HRP/DAB (ab209101).

Immunohistochemistry (Frozen sections) - Anti-CD8 alpha antibody [CAL38] (AB237723)
  • IHC-Fr

Supplier Data

Immunohistochemistry (Frozen sections) - Anti-CD8 alpha antibody [CAL38] (AB237723)

Immunohistochemical analysis of 4% paraformaldehyde-fixed, 0.2% Triton X-100 permeabilized frozen mouse thymus tissue labeling CD8 alpha with ab237723 at 1/250 dilution, follwed by a AlexaFluor®488 Goat anti-Rabbit secondary antibody (ab150077) at 1/1000 dilution. Positive staining on the membrane of T cells in mouse thymus (PMID : 29042640) is observed. Counterstained with DAPI (Blue).

Secondary antibody only control : Used PBS instead of primary antibody, secondary antibody is a AlexaFluor®488 Goat anti-Rabbit secondary antibody (ab150077) at 1/1000 dilution.

Immunoprecipitation - Anti-CD8 alpha antibody [CAL38] (AB237723)
  • IP

Supplier Data

Immunoprecipitation - Anti-CD8 alpha antibody [CAL38] (AB237723)

CD8 alpha was immunoprecipitated from 0.35 mg of Mouse thymus tissue lysate with ab237723 at 1/20 dilution. Western blot was performed on the immunoprecipitate using ab237723 at 1/1000 dilution. VeriBlot for IP secondary antibody (HRP) (ab131366) was used as the secondary antibody at 1/5000 dilution.

Lane 1 : Mouse thymus tissue lysate 10μg (input)
Lane 2 : ab237723 IP in mouse thymus tissue lysate.
Lane 3 : Rabbit monoclonal IgG (ab172730) instead of ab237723 in Mouse thymus lysate

Blocking and dilution buffer and concentration : 5% NFDM/TBST.

Exposure time : 30 seconds.

All lanes:

Immunoprecipitation - Anti-CD8 alpha antibody [CAL38] (ab237723)

Predicted band size: 26 kDa

false

Key facts

Host species

Rabbit

Clonality

Monoclonal

Clone number

CAL38

Isotype

IgG

Carrier free

No

Reacts with

Mouse

Applications

IHC-Fr, IHC-P, IP

applications

Immunogen

The exact immunogen used to generate this antibody is proprietary information.

Reactivity data

{ "title": "Reactivity Data", "filters": { "stats": ["", "Species", "Dilution Info", "Notes"], "tabs": { "all-applications": {"fullname" : "All Applications", "shortname": "All Applications"}, "IP" : {"fullname" : "Immunoprecipitation", "shortname":"IP"}, "FlowCyt" : {"fullname" : "Flow Cytometry", "shortname":"Flow Cyt"}, "IHCFr" : {"fullname" : "Immunohistochemistry (Frozen sections)", "shortname":"IHC-Fr"}, "IHCP" : {"fullname" : "Immunohistochemistry (Formalin/PFA-fixed paraffin-embedded sections)", "shortname":"IHC-P"} }, "product-promise": { "all": "all", "testedAndGuaranteed": "tested", "guaranteed": "expected", "predicted": "predicted", "notRecommended": "not-recommended" } }, "values": { "Mouse": { "IP-species-checked": "testedAndGuaranteed", "IP-species-dilution-info": "1/20", "IP-species-notes": "<p></p>", "FlowCyt-species-checked": "notRecommended", "FlowCyt-species-dilution-info": "", "FlowCyt-species-notes": "<p></p>", "IHCFr-species-checked": "testedAndGuaranteed", "IHCFr-species-dilution-info": "1/250", "IHCFr-species-notes": "<p>Heat mediated antigen retrieval using sodium citrate buffer (10mM citrate pH 6.0 + 0.05% Tween-20)</p>", "IHCP-species-checked": "testedAndGuaranteed", "IHCP-species-dilution-info": "1/500", "IHCP-species-notes": "<p></p> Perform heat-mediated antigen retrieval with Tris/EDTA buffer pH 9.0 before commencing with IHC staining protocol." } } }

Properties and storage information

Form
Liquid
Purification technique
Affinity purification Protein A
Purification notes
Purity >99%.
Storage buffer
pH: 7.2 - 7.4 Preservative: 0.05% Sodium azide Constituents: PBS
Shipped at conditions
Blue Ice
Appropriate short-term storage duration
1-2 weeks
Appropriate short-term storage conditions
+4°C
Appropriate long-term storage conditions
-20°C
Aliquoting information
Upon delivery aliquot
Storage information
Avoid freeze / thaw cycle

Supplementary information

This supplementary information is collated from multiple sources and compiled automatically.

CD8 alpha also known as CD8A or CD8 protein is a glycoprotein subunit expressed on the surface of cytotoxic T lymphocytes. It has a mass of approximately 32 kDa. Found on the surface cell membrane CD8 alpha functions primarily in the immune response specifically in the recognition of antigens bound to major histocompatibility complex (MHC) class I molecules. Often scientists use CD8 antibodies for detection and CD8 IHC or immunohistochemistry for localization studies.
Biological function summary

The CD8 alpha protein plays a critical role in T-cell mediated immune responses. It forms a heterodimer with the CD8 beta chain creating the CD8 alpha-beta complex that strengthens T-cell interaction with antigen-presenting cells. CD8 alpha also helps in signaling processes that activate T cells equipping them to destroy infected or malignant cells. Researchers often study CD8 alpha peptides to understand its interactions better.

Pathways

CD8 alpha is integral to the T-cell receptor signaling pathway and the cytotoxic T lymphocyte (CTL) pathway. The T-cell receptor complex which includes the CD8 molecule transmits signals that are important for T-cell activation and function. CD8 interacts with key proteins such as the T-cell receptor (TCR) and MHC class I molecules facilitating targeted responses against pathogens. These pathways highlight CD8 alpha's role in adaptive immunity.

CD8 alpha is most prominently associated with viral infections and cancer. Conditions like HIV and some forms of leukemia show altered CD8 function highlighting the protein's role in immune surveillance. In HIV infection for instance CD8 T cells reduce in number impairing the immune response. CD8 alpha's connection to the immune system places it alongside other immune proteins such as CD4 and MHC molecules in the context of immune dysfunction.

Product protocols

For this product, it's our understanding that no specific protocols are required. You can visit:

Target data

Integral membrane glycoprotein that plays an essential role in the immune response and serves multiple functions in responses against both external and internal offenses. In T-cells, functions primarily as a coreceptor for MHC class I molecule : peptide complex. The antigens presented by class I peptides are derived from cytosolic proteins while class II derived from extracellular proteins. Interacts simultaneously with the T-cell receptor (TCR) and the MHC class I proteins presented by antigen presenting cells (APCs). In turn, recruits the Src kinase LCK to the vicinity of the TCR-CD3 complex. LCK then initiates different intracellular signaling pathways by phosphorylating various substrates ultimately leading to lymphokine production, motility, adhesion and activation of cytotoxic T-lymphocytes (CTLs). This mechanism enables CTLs to recognize and eliminate infected cells and tumor cells. In NK-cells, the presence of CD8A homodimers at the cell surface provides a survival mechanism allowing conjugation and lysis of multiple target cells. CD8A homodimer molecules also promote the survival and differentiation of activated lymphocytes into memory CD8 T-cells.
See full target information Cd8a

Publications (24)

Recent publications for all applications. Explore the full list and refine your search

Cell death and differentiation : PubMed41053177

2025

O-GlcNAcylation of UGDH regulates its activity and remodels the extracellular matrix to facilitate tumor growth.

Applications

Unspecified application

Species

Unspecified reactive species

Bingyi Lin,Junjie Zhou,Didi Geng,Siyuan Chai,Xuanming Zhang,Zengle Zhang,Jiating Hu,Qin Tang,Xiaoming Chen,Wen Yi,Liming Wu

Stem cell research & therapy 16:388 PubMed40682184

2025

Ionizing radiation-mediated dendritic cell maturation exacerbates inflammatory response of bone marrow mesenchymal stem cells and impairs osteogenesis in radiation-induced jaw injury.

Applications

Unspecified application

Species

Unspecified reactive species

Mengting Zheng,Heng Chen,Zhonglong Liu,Zhouyang Wang,Ting Jiang,Yue He

Cancer immunology, immunotherapy : CII 74:162 PubMed40146286

2025

RNF2 induces myeloid-derived suppressor cells chemotaxis and promotes hepatocellular carcinoma progression through the TRAF2-NF-κB signaling axis.

Applications

Unspecified application

Species

Unspecified reactive species

Manman Liang,Jianghua Yang,Aiping Zhang,Na Zhong,Bin Quan,Zijian Wang,Wenying Zhao,Biao Geng,Yufeng Gao

Nature communications 16:2324 PubMed40057483

2025

Uncovering the rewired IAP-JAK regulatory axis as an immune-dependent vulnerability of LKB1-mutant lung cancer.

Applications

Unspecified application

Species

Unspecified reactive species

Changfa Shu,Jianfeng Li,Jin Rui,Dacheng Fan,Qiankun Niu,Ruiyang Bai,Danielle Cicka,Sean Doyle,Alafate Wahafu,Xi Zheng,Yuhong Du,Andrey A Ivanov,Deon B Doxie,Kavita M Dhodapkar,Jennifer Carlisle,Taofeek Owonikoko,Gabriel Sica,Yuan Liu,Suresh Ramalingam,Madhav V Dhodapkar,Wei Zhou,Xiulei Mo,Haian Fu

Journal of hematology & oncology 18:24 PubMed40038780

2025

Anti-TGF-β/PD-L1 bispecific antibody synergizes with radiotherapy to enhance antitumor immunity and mitigate radiation-induced pulmonary fibrosis.

Applications

Unspecified application

Species

Unspecified reactive species

Yuze Wu,Yuheng Yan,Yarong Guo,Mengke Niu,Binghan Zhou,Jing Zhang,Pengfei Zhou,Qian Chu,Qi Mei,Ming Yi,Kongming Wu

MedComm 5:e636 PubMed38962427

2024

Single-cell transcriptome dissecting the microenvironment remodeled by PD1 blockade combined with photodynamic therapy in a mouse model of oral carcinogenesis.

Applications

Unspecified application

Species

Unspecified reactive species

Yunmei Dong,Kan Zeng,Ruixue Ai,Chengli Zhang,Fei Mao,Hongxia Dan,Xin Zeng,Ning Ji,Jing Li,Xin Jin,Qianming Chen,Yu Zhou,Taiwen Li

Frontiers in immunology 15:1376907 PubMed38571957

2024

Suppression of the growth and metastasis of mouse melanoma by and tapeworms.

Applications

Unspecified application

Species

Unspecified reactive species

Manfred Schreiber,Tomáš Macháček,Vojtěch Vajs,Barbora Šmídová,Martin Majer,Jiří Hrdý,Ondřej Tolde,Jan Brábek,Daniel Rösel,Petr Horák

Cancers 16: PubMed38539483

2024

TIM3 Checkpoint Inhibition Fails to Prolong Survival in Ovarian Cancer-Bearing Mice.

Applications

Unspecified application

Species

Unspecified reactive species

Yani Berckmans,Ann Vankerckhoven,Aarushi Audhut Caro,Julie Kempeneers,Jolien Ceusters,Gitte Thirion,Katja Vandenbrande,Ignace Vergote,Damya Laoui,An Coosemans

Journal for immunotherapy of cancer 12: PubMed38191243

2024

Clinically relevant orthotopic pancreatic cancer models for adoptive T cell transfer therapy.

Applications

Unspecified application

Species

Unspecified reactive species

Natalie K Horvat,Isaac Karpovsky,Maggie Phillips,Megan M Wyatt,Margaret A Hall,Cameron J Herting,Jacklyn Hammons,Zaid Mahdi,Richard A Moffitt,Chrystal M Paulos,Gregory B Lesinski

Aging 16:191-206 PubMed38175694

2024

Manganese and IL-12 treatment alters the ovarian tumor microenvironment.

Applications

Unspecified application

Species

Unspecified reactive species

Yan Xu,Xin Huang,Xiao-Cui Nie,Yan-Song Liu,Yang Zhou,Ju-Min Niu
View all publications

Product promise

We are committed to supporting your work with high-quality reagents, and we're here for you every step of the way. In the unlikely event that one of our products does not perform as expected, you're protected by our Product Promise.
For full details, please see our Terms & Conditions

Please note: All products are 'FOR RESEARCH USE ONLY. NOT FOR USE IN DIAGNOSTIC OR THERAPEUTIC PROCEDURES'.

For licensing inquiries, please contact partnerships@abcam.com