JavaScript is disabled in your browser. Please enable JavaScript to view this website.
AB237709

Anti-CD8 alpha antibody [CAL66]

  • BOND RX™ Validated
  • 20ul selling size
  • RabMAb
  • Advanced Validation
  • Recombinant
  • What is this?

5

(2 Reviews)

|

(118 Publications)

Anti-CD8 alpha antibody [CAL66] (ab237709) is a rabbit monoclonal antibody detecting CD8 alpha in Flow Cytometry, IP, IHC-P, ICC/IF, mIHC. Suitable for Human, Rat.

- Multiplex IHC validated on the Leica BOND® MAX using Opal reagents
- Biophysical QC for unrivalled batch-batch consistency
- Over 40 publications

View Alternative Names

CD8a, MAL, CD8A, T-cell surface glycoprotein CD8 alpha chain, T-lymphocyte differentiation antigen T8/Leu-2

15 Images
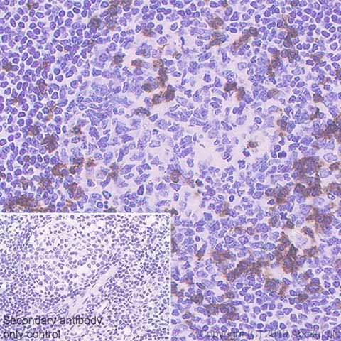
Immunohistochemistry (Formalin/PFA-fixed paraffin-embedded sections) - Anti-CD8 alpha antibody [CAL66] (AB237709)
  • IHC-P

Supplier Data

Immunohistochemistry (Formalin/PFA-fixed paraffin-embedded sections) - Anti-CD8 alpha antibody [CAL66] (AB237709)

Immunohistochemical analysis of paraffin-embedded human tonsil tissue labeling CD8 alpha with ab237709 at 1/2000 dilution, followed by Goat Anti-Rabbit IgG H&L (HRP) ready to use. Positive staining on the human tonsil is observed. Counter stained with hematoxylin.

Secondary antibody only control : Used PBS instead of primary antibody, secondary antibody is Goat Anti-Rabbit IgG H&L (HRP) ready to use.

Heat mediated antigen retrieval using ab93684 (Tris/EDTA buffer, pH 9.0).

Immunohistochemistry (Formalin/PFA-fixed paraffin-embedded sections) - Anti-CD8 alpha antibody [CAL66] (AB237709)
  • IHC-P

Lab

Immunohistochemistry (Formalin/PFA-fixed paraffin-embedded sections) - Anti-CD8 alpha antibody [CAL66] (AB237709)

Immunohistochemical analysis of formalin fixed paraffin embedded human tonsil labelling CD8 alpha with ab237709 at a concentration of 0.1µg/ml. The immunostaining was performed on a Ventana DISCOVERY ULTRA (Roche Tissue Diagnostics) instrument with a OptiView DAB IHC Detection Kit. Heat mediated antigen retrieval was performed with DISCOVERY cell conditioning solution (CC1) 100°C, pH8.5 for 32mins.

ab237709 anti-CD8 alpha antibody [CAL66] was incubated for 16mins at 37°C. Sections were counterstained with Hematoxylin II. Image inset shows absence of staining in secondary antibody only control.

Customers are encouraged to optimise antigen retrieval conditions, antibody concentration, incubation times and temperature for best results in their own IHC assay workflow (automated and manual)

Flow Cytometry - Anti-CD8 alpha antibody [CAL66] (AB237709)
  • Flow Cyt

Supplier Data

Flow Cytometry - Anti-CD8 alpha antibody [CAL66] (AB237709)

Flow cytometric analysis of 2% paraformaldehyde-fixed, 0.1% Tween 20 permeacblized human PBMC (peripheral blood mononuclear cells) labeling CD8 alpha with ab237709 at 1/500 dilution (Right) compared with a Recombinant Rabbit IgG, monoclonal [EPR25A] - Isotype Control (ab172730) (Left).

Goat Anti-Rabbit IgG Fc (Alexa Fluor® 488) preadsorbed (ab150097), at 1/5000 dilution was used as the secondary antibody.

Cells were surface stained with anti-CD8 alpha conjugated to BV421.The fixed with 2% PFA for 10min followed by intracellularly stained with rabbit IgG (Left) or ab237709 (Right). They recognize same populations.

Immunocytochemistry/ Immunofluorescence - Anti-CD8 alpha antibody [CAL66] (AB237709)
  • ICC/IF

Supplier Data

Immunocytochemistry/ Immunofluorescence - Anti-CD8 alpha antibody [CAL66] (AB237709)

Immunofluorescent analysis of 4% paraformaldehyde-fixed, 0.1% Triton X-100 permeabilized human PBMC (peripheral blood mononuclear cells) labeling CD8 alpha with ab237709 at 1/100 dilution, followed by Goat Anti-Rabbit IgG H&L (Alexa Fluor® 488) (ab150077) secondary antibody at 1/1000 dilution (green). Confocal image showing membranous staining in subsets of human PBMC. The nuclear counter stain is DAPI (blue). CD3 is detected with an anti-CD3 antibody-Alexa Fluor® 647 comjugate at 1/200 dilution (red).

Secondary antibody only control : Used PBS instead of primary antibody, followed by Goat Anti-Rabbit IgG H&L (Alexa Fluor® 488) (ab150077) secondary antibody at 1/1000 dilution.

Immunohistochemistry (Formalin/PFA-fixed paraffin-embedded sections) - Anti-CD8 alpha antibody [CAL66] (AB237709)
  • IHC-P

Supplier Data

Immunohistochemistry (Formalin/PFA-fixed paraffin-embedded sections) - Anti-CD8 alpha antibody [CAL66] (AB237709)

Immunohistochemical analysis of paraffin-embedded human colon tissue labeling CD8 alpha with ab237709 at 1/2000 dilution, followed by Goat Anti-Rabbit IgG H&L (HRP) ready to use. Positive staining on the T lymphocytes in human colon is observed. Counter stained with hematoxylin.

Secondary antibody only control : Used PBS instead of primary antibody, secondary antibody is Goat Anti-Rabbit IgG H&L (HRP) ready to use.

Heat mediated antigen retrieval using ab93684 (Tris/EDTA buffer, pH 9.0).

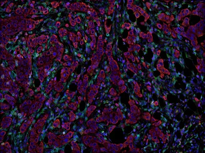
Multiplex immunohistochemistry - Anti-CD8 alpha antibody [CAL66] (AB237709)
  • mIHC

Collaborator

Multiplex immunohistochemistry - Anti-CD8 alpha antibody [CAL66] (AB237709)

Fluorescence multiplex immunohistochemical analysis of Human breast cancer tissue (formalin-fixed paraffin-embedded section).

Merged staining of Anti-PD-L1 (ab251611; cyan; Opal™ 520), Anti-Granzyme B (ab219803; yellow; Opal™ 540), Anti-PD1 (ab251613; magenta; Opal™ 570), Anti-pan Cytokeratin (ab264485; red; Opal™ 620), Anti-EpCAM (ab225894; red; Opal™ 620), Anti-CD8 alpha (ab251596; green; Opal™ 650) and Anti-FOXP3 (ab96048; orange; Opal™ 690). EpCAM and pan-cytokeratin share the same dye and color. Dyes are pseudo-colored for better contrast of the markers.

The immunostaining was performed on a Leica Biosystems BOND® MAX instrument with an Opal™ 6-Plex Detection Kit (NEL821001KT, Akoya Biosciences®).

The section was incubated in six rounds of staining; sequentially for ab251611 (1/750 dilution), ab219803 (1/250 dilution), ab251613 (1/750 dilution), ab264485 (0.5 μg/ml), ab225894 (1/1250 dilution), ab251596 (1/1500 dilution) and ab96048 (10 μg/ml); each using a separate fluorescent tyramide signal amplification system. EDTA based antigen retrieval (Leica Biosystems BOND® Epitope Retrieval Solution 2, pH 9.0, 20 minutes) was used in between rounds of tyramide signal amplification to remove the antibody from the previous round, to avoid any cross-reactivity. DAPI (dark blue) was used as a nuclear counter stain.
Microscopy and pseudocoloring of individual Opal™ dyes was performed using a Vectra 3 Imaging System (Akoya Biosciences®).

This data is courtesy of ImmunoAtlas and it can be found here.

This image is courtesy of ImmunoAtlas.

Multiplex immunohistochemistry - Anti-CD8 alpha antibody [CAL66] (AB237709)
  • mIHC

Collaborator

Multiplex immunohistochemistry - Anti-CD8 alpha antibody [CAL66] (AB237709)

Fluorescence multiplex immunohistochemical analysis of Human breast cancer tissue (formalin-fixed paraffin-embedded section).

Merged staining of Anti-PD-L1 (ab251611; cyan; Opal™ 520), Anti-Granzyme B (ab219803; yellow; Opal™ 540), Anti-PD1 (ab251613; magenta; Opal™ 570), Anti-pan Cytokeratin (ab264485; red; Opal™ 620), Anti-EpCAM (ab225894; red; Opal™ 620), Anti-CD8 alpha (ab251596; green; Opal™ 650) and Anti-FOXP3 (ab96048; orange; Opal™ 690). EpCAM and pan-cytokeratin share the same dye and color. Dyes are pseudo-colored for better contrast of the markers.

The immunostaining was performed on a Leica Biosystems BOND® MAX instrument with an Opal™ 6-Plex Detection Kit (NEL821001KT, Akoya Biosciences®).

The section was incubated in six rounds of staining; sequentially for ab251611 (1/750 dilution), ab219803 (1/250 dilution), ab251613 (1/750 dilution), ab264485 (0.5 μg/ml), ab225894 (1/1250 dilution), ab251596 (1/1500 dilution) and ab96048 (10 μg/ml); each using a separate fluorescent tyramide signal amplification system. EDTA based antigen retrieval (Leica Biosystems BOND® Epitope Retrieval Solution 2, pH 9.0, 20 minutes) was used in between rounds of tyramide signal amplification to remove the antibody from the previous round, to avoid any cross-reactivity. DAPI (dark blue) was used as a nuclear counter stain.
Microscopy and pseudocoloring of individual Opal™ dyes was performed using a Vectra 3 Imaging System (Akoya Biosciences®).

This data is courtesy of ImmunoAtlas and it can be found here.

This image is courtesy of ImmunoAtlas.

Multiplex immunohistochemistry - Anti-CD8 alpha antibody [CAL66] (AB237709)
  • mIHC

Collaborator

Multiplex immunohistochemistry - Anti-CD8 alpha antibody [CAL66] (AB237709)

Fluorescence multiplex immunohistochemical analysis of Human breast cancer tissue (formalin-fixed paraffin-embedded section).

Merged staining of Anti-PD-L1 (ab251611; cyan; Opal™ 520), Anti-Granzyme B (ab219803; yellow; Opal™ 540), Anti-PD1 (ab251613; magenta; Opal™ 570), Anti-pan Cytokeratin (ab264485; red; Opal™ 620), Anti-EpCAM (ab225894; red; Opal™ 620), Anti-CD8 alpha (ab251596; green; Opal™ 650) and Anti-FOXP3 (ab96048; orange; Opal™ 690). EpCAM and pan-cytokeratin share the same dye and color. Dyes are pseudo-colored for better contrast of the markers.

The immunostaining was performed on a Leica Biosystems BOND® MAX instrument with an Opal™ 6-Plex Detection Kit (NEL821001KT, Akoya Biosciences®).

The section was incubated in six rounds of staining; sequentially for ab251611 (1/750 dilution), ab219803 (1/250 dilution), ab251613 (1/750 dilution), ab264485 (0.5 μg/ml), ab225894 (1/1250 dilution), ab251596 (1/1500 dilution) and ab96048 (10 μg/ml); each using a separate fluorescent tyramide signal amplification system. EDTA based antigen retrieval (Leica Biosystems BOND® Epitope Retrieval Solution 2, pH 9.0, 20 minutes) was used in between rounds of tyramide signal amplification to remove the antibody from the previous round, to avoid any cross-reactivity. DAPI (dark blue) was used as a nuclear counter stain.
Microscopy and pseudocoloring of individual Opal™ dyes was performed using a Vectra 3 Imaging System (Akoya Biosciences®).

This data is courtesy of ImmunoAtlas and it can be found here.

This image is courtesy of ImmunoAtlas.

Immunohistochemistry (Formalin/PFA-fixed paraffin-embedded sections) - Anti-CD8 alpha antibody [CAL66] (AB237709)
  • IHC-P

Supplier Data

Immunohistochemistry (Formalin/PFA-fixed paraffin-embedded sections) - Anti-CD8 alpha antibody [CAL66] (AB237709)

Immunohistochemical analysis of paraffin-embedded human gastric carcinoma tissue labeling CD8 alpha with ab237709 at 1/2000 dilution, followed by Goat Anti-Rabbit IgG H&L (HRP) ready to use. Positive staining on the T lymphocytes in human gastric carcinoma is observed. Counter stained with hematoxylin.

Secondary antibody only control : Used PBS instead of primary antibody, secondary antibody is Goat Anti-Rabbit IgG H&L (HRP) ready to use.

Heat mediated antigen retrieval using ab93684 (Tris/EDTA buffer, pH 9.0).

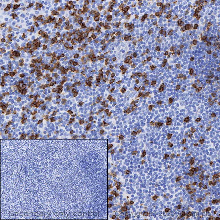
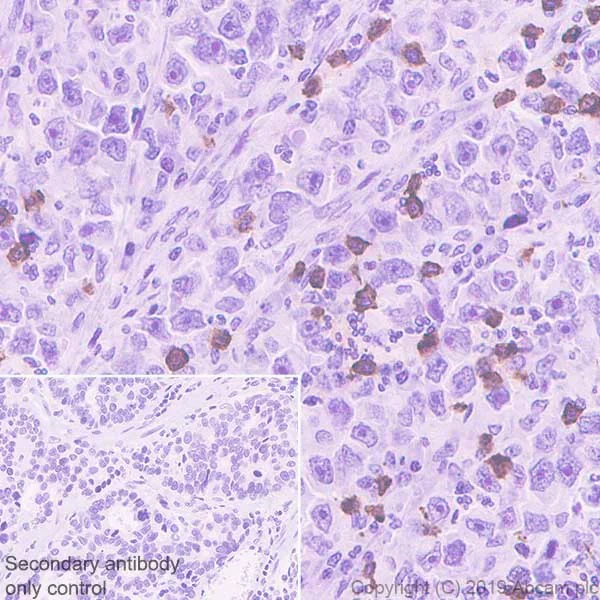
Immunohistochemistry (Formalin/PFA-fixed paraffin-embedded sections) - Anti-CD8 alpha antibody [CAL66] (AB237709)
  • IHC-P

Collaborator

Immunohistochemistry (Formalin/PFA-fixed paraffin-embedded sections) - Anti-CD8 alpha antibody [CAL66] (AB237709)

The BOND™ Polymer Refine Detection System on the BOND RX Automated Stainer (DS9800, Leica Biosystems, Wetzlar, Germany) was used for immunohistochemical labelling of formalin-fixed, paraffin-embedded (FFPE) tissues. The protocol includes a peroxide block, post-primary reagent, polymer detection, DAB chromogen, and haematoxylin counterstain, all automated to minimize variability. Antigen retrieval was performed by heat-induced epitope retrieval (HIER) for 20 minutes in Tris-EDTA buffer (BOND Epitope Retrieval Solution 2, AR9640, Leica Biosystems, Wetzlar, Germany). For mouse and rabbit antibodies, the sequence comprised peroxide block (10 min), primary antibody incubation (30 min), post-primary (10 min), polymer (10 min), DAB (10 min), and haematoxylin (8 min). For rat antibodies, an anti-rat step (1 : 300 dilution, Vector Laboratories, California, USA; 20 min) was included prior to polymer application (15 min).

Multiplex immunohistochemistry - Anti-CD8 alpha antibody [CAL66] (AB237709)
  • mIHC

Collaborator

Multiplex immunohistochemistry - Anti-CD8 alpha antibody [CAL66] (AB237709)

Fluorescence multiplex immunohistochemical analysis of Human breast cancer tissue (formalin-fixed paraffin-embedded section).

Merged staining of Anti-PD-L1 (ab251611; cyan; Opal™ 520), Anti-Granzyme B (ab219803; yellow; Opal™ 540), Anti-PD1 (ab251613; magenta; Opal™ 570), Anti-pan Cytokeratin (ab264485; red; Opal™ 620), Anti-EpCAM (ab225894; red; Opal™ 620), Anti-CD8 alpha (ab251596; green; Opal™ 650) and Anti-FOXP3 (ab96048; orange; Opal™ 690). EpCAM and pan-cytokeratin share the same dye and color. Dyes are pseudo-colored for better contrast of the markers.

The immunostaining was performed on a Leica Biosystems BOND® MAX instrument with an Opal™ 6-Plex Detection Kit (NEL821001KT, Akoya Biosciences®).

The section was incubated in six rounds of staining; sequentially for ab251611 (1/750 dilution), ab219803 (1/250 dilution), ab251613 (1/750 dilution), ab264485 (0.5 μg/ml), ab225894 (1/1250 dilution), ab251596 (1/1500 dilution) and ab96048 (10 μg/ml); each using a separate fluorescent tyramide signal amplification system. EDTA based antigen retrieval (Leica Biosystems BOND® Epitope Retrieval Solution 2, pH 9.0, 20 minutes) was used in between rounds of tyramide signal amplification to remove the antibody from the previous round, to avoid any cross-reactivity. DAPI (dark blue) was used as a nuclear counter stain.
Microscopy and pseudocoloring of individual Opal™ dyes was performed using a Vectra 3 Imaging System (Akoya Biosciences®).

This data is courtesy of ImmunoAtlas and it can be found here.

This image is courtesy of ImmunoAtlas.

Multiplex immunohistochemistry - Anti-CD8 alpha antibody [CAL66] (AB237709)
  • mIHC

Collaborator

Multiplex immunohistochemistry - Anti-CD8 alpha antibody [CAL66] (AB237709)

Fluorescence multiplex immunohistochemical analysis of Human breast cancer tissue (formalin-fixed paraffin-embedded section).

Merged staining of Anti-PD-L1 (ab251611; cyan; Opal™ 520), Anti-Granzyme B (ab219803; yellow; Opal™ 540), Anti-PD1 (ab251613; magenta; Opal™ 570), Anti-pan Cytokeratin (ab264485; red; Opal™ 620), Anti-EpCAM (ab225894; red; Opal™ 620), Anti-CD8 alpha (ab251596; green; Opal™ 650) and Anti-FOXP3 (ab96048; orange; Opal™ 690). EpCAM and pan-cytokeratin share the same dye and color. Dyes are pseudo-colored for better contrast of the markers.

The immunostaining was performed on a Leica Biosystems BOND® MAX instrument with an Opal™ 6-Plex Detection Kit (NEL821001KT, Akoya Biosciences®).

The section was incubated in six rounds of staining; sequentially for ab251611 (1/750 dilution), ab219803 (1/250 dilution), ab251613 (1/750 dilution), ab264485 (0.5 μg/ml), ab225894 (1/1250 dilution), ab251596 (1/1500 dilution) and ab96048 (10 μg/ml); each using a separate fluorescent tyramide signal amplification system. EDTA based antigen retrieval (Leica Biosystems BOND® Epitope Retrieval Solution 2, pH 9.0, 20 minutes) was used in between rounds of tyramide signal amplification to remove the antibody from the previous round, to avoid any cross-reactivity. DAPI (dark blue) was used as a nuclear counter stain.
Microscopy and pseudocoloring of individual Opal™ dyes was performed using a Vectra 3 Imaging System (Akoya Biosciences®).

This data is courtesy of ImmunoAtlas and it can be found here.

This image is courtesy of ImmunoAtlas.

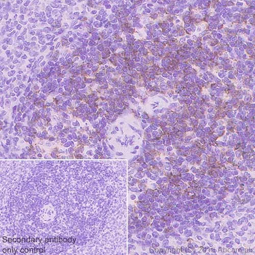
Immunohistochemistry (Formalin/PFA-fixed paraffin-embedded sections) - Anti-CD8 alpha antibody [CAL66] (AB237709)
  • IHC-P

Supplier Data

Immunohistochemistry (Formalin/PFA-fixed paraffin-embedded sections) - Anti-CD8 alpha antibody [CAL66] (AB237709)

Formalin-fixed, paraffin-embedded human tonsil tissue stained for CD8 alpha using ab237709 at 0.25 μg/ml in immunohistochemical analysis.

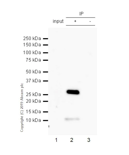
Immunoprecipitation - Anti-CD8 alpha antibody [CAL66] (AB237709)
  • IP

Supplier Data

Immunoprecipitation - Anti-CD8 alpha antibody [CAL66] (AB237709)

CD8 alpha was immunoprecipitated from 0.35 mg of human thymus lysate with ab237709 at 1/30 dilution. Western blot was performed from the immunoprecipitate using ab237709 at 1/1000 dilution. VeriBlot for IP Detection Reagent (HRP) (ab131366), was used as secondary antibody at 1/5000 dilution.

Lane 1 : Human thymus lysate 10 μg (Input).
Lane 2 : ab237709 IP in human thymus lysate.
Lane 3 : Rabbit monoclonal IgG (ab172730) instead of ab237709 in human thymus lysate.

Blocking and dilution buffer and concentration : 5% NFDM/TBST.
Exposure time : 100 seconds.

All lanes:

Immunoprecipitation - Anti-CD8 alpha antibody [CAL66] (ab237709)

Predicted band size: 26 kDa

Observed band size: 26 kDa

false

Immunohistochemistry (Formalin/PFA-fixed paraffin-embedded sections) - Anti-CD8 alpha antibody [CAL66] (AB237709)
  • IHC-P

Supplier Data

Immunohistochemistry (Formalin/PFA-fixed paraffin-embedded sections) - Anti-CD8 alpha antibody [CAL66] (AB237709)

Immunohistochemical analysis of paraffin-embedded rat spleen tissue labeling CD8 alpha with ab237709 at 1/500 dilution, followed by Goat Anti-Rabbit IgG H&L (HRP) ready to use. Positive staining on the rat spleen is observed. Counter stained with hematoxylin.

Secondary antibody only control : Used PBS instead of primary antibody, secondary antibody is Goat Anti-Rabbit IgG H&L (HRP) ready to use.

Heat mediated antigen retrieval using ab93684 (Tris/EDTA buffer, pH 9.0).

Key facts

Host species

Rabbit

Clonality

Monoclonal

Clone number

CAL66

Isotype

IgG

Carrier free

No

Reacts with

Rat, Human, Cat, Dog, Cow

Applications

IHC-P, Flow Cyt, mIHC, IP, ICC/IF

applications

Immunogen

The exact immunogen used to generate this antibody is proprietary information.

Reactivity data

{ "title": "Reactivity Data", "filters": { "stats": ["", "Species", "Dilution Info", "Notes"], "tabs": { "all-applications": {"fullname" : "All Applications", "shortname": "All Applications"}, "IP" : {"fullname" : "Immunoprecipitation", "shortname":"IP"}, "FlowCyt" : {"fullname" : "Flow Cytometry", "shortname":"Flow Cyt"}, "WB" : {"fullname" : "Western blot", "shortname":"WB"}, "ICCIF" : {"fullname" : "Immunocytochemistry/ Immunofluorescence", "shortname":"ICC/IF"}, "IHCP" : {"fullname" : "Immunohistochemistry (Formalin/PFA-fixed paraffin-embedded sections)", "shortname":"IHC-P"}, "mIHC" : {"fullname" : "Multiplex immunohistochemistry", "shortname":"mIHC"} }, "product-promise": { "all": "all", "testedAndGuaranteed": "tested", "guaranteed": "expected", "predicted": "predicted", "notRecommended": "not-recommended" } }, "values": { "Human": { "IP-species-checked": "testedAndGuaranteed", "IP-species-dilution-info": "1/30", "IP-species-notes": "<p></p>", "FlowCyt-species-checked": "testedAndGuaranteed", "FlowCyt-species-dilution-info": "1/500", "FlowCyt-species-notes": "<p></p>", "WB-species-checked": "notRecommended", "WB-species-dilution-info": "", "WB-species-notes": "<p></p>", "ICCIF-species-checked": "testedAndGuaranteed", "ICCIF-species-dilution-info": "1/100", "ICCIF-species-notes": "<p></p>", "IHCP-species-checked": "testedAndGuaranteed", "IHCP-species-dilution-info": "0.25 µg/mL", "IHCP-species-notes": "<p>Use at 1 μg/ml for rat</p> Perform heat-mediated antigen retrieval with Tris/EDTA buffer pH 9.0 before commencing with IHC staining protocol.", "mIHC-species-checked": "testedAndGuaranteed", "mIHC-species-dilution-info": "", "mIHC-species-notes": "<p></p>" }, "Rat": { "IP-species-checked": "guaranteed", "IP-species-dilution-info": "", "IP-species-notes": "", "FlowCyt-species-checked": "guaranteed", "FlowCyt-species-dilution-info": "", "FlowCyt-species-notes": "", "WB-species-checked": "notRecommended", "WB-species-dilution-info": "", "WB-species-notes": "<p></p>", "ICCIF-species-checked": "guaranteed", "ICCIF-species-dilution-info": "", "ICCIF-species-notes": "", "IHCP-species-checked": "testedAndGuaranteed", "IHCP-species-dilution-info": "1 µg/mL", "IHCP-species-notes": "<p>Use at 1 μg/ml for rat</p> Perform heat-mediated antigen retrieval with Tris/EDTA buffer pH 9.0 before commencing with IHC staining protocol.", "mIHC-species-checked": "guaranteed", "mIHC-species-dilution-info": "", "mIHC-species-notes": "" }, "Cat": { "IP-species-checked": "guaranteed", "IP-species-dilution-info": "", "IP-species-notes": "", "FlowCyt-species-checked": "guaranteed", "FlowCyt-species-dilution-info": "", "FlowCyt-species-notes": "", "WB-species-checked": "notRecommended", "WB-species-dilution-info": "", "WB-species-notes": "", "ICCIF-species-checked": "guaranteed", "ICCIF-species-dilution-info": "", "ICCIF-species-notes": "", "IHCP-species-checked": "testedAndGuaranteed", "IHCP-species-dilution-info": "1/100", "IHCP-species-notes": "<p></p> Perform heat-mediated antigen retrieval with Tris/EDTA buffer pH 9.0 before commencing with IHC staining protocol.", "mIHC-species-checked": "guaranteed", "mIHC-species-dilution-info": "", "mIHC-species-notes": "" }, "Cow": { "IP-species-checked": "guaranteed", "IP-species-dilution-info": "", "IP-species-notes": "", "FlowCyt-species-checked": "guaranteed", "FlowCyt-species-dilution-info": "", "FlowCyt-species-notes": "", "WB-species-checked": "notRecommended", "WB-species-dilution-info": "", "WB-species-notes": "", "ICCIF-species-checked": "guaranteed", "ICCIF-species-dilution-info": "", "ICCIF-species-notes": "", "IHCP-species-checked": "testedAndGuaranteed", "IHCP-species-dilution-info": "1/100", "IHCP-species-notes": "<p></p> Perform heat-mediated antigen retrieval with Tris/EDTA buffer pH 9.0 before commencing with IHC staining protocol.", "mIHC-species-checked": "guaranteed", "mIHC-species-dilution-info": "", "mIHC-species-notes": "" }, "Dog": { "IP-species-checked": "guaranteed", "IP-species-dilution-info": "", "IP-species-notes": "", "FlowCyt-species-checked": "guaranteed", "FlowCyt-species-dilution-info": "", "FlowCyt-species-notes": "", "WB-species-checked": "notRecommended", "WB-species-dilution-info": "", "WB-species-notes": "", "ICCIF-species-checked": "guaranteed", "ICCIF-species-dilution-info": "", "ICCIF-species-notes": "", "IHCP-species-checked": "testedAndGuaranteed", "IHCP-species-dilution-info": "1/100", "IHCP-species-notes": "<p></p> Perform heat-mediated antigen retrieval with Tris/EDTA buffer pH 9.0 before commencing with IHC staining protocol.", "mIHC-species-checked": "guaranteed", "mIHC-species-dilution-info": "", "mIHC-species-notes": "" } } }

Product details

Product Specifications

Anti-CD8 alpha antibody [CAL66] (ab237709) was developed by Abcam using patented rabbit monoclonal antibody technology and is validated for use in Flow Cyt, ICC/IF, IHC-P, IP, mIHC in human, rat samples.
Anti-CD8 alpha antibody [CAL66] (ab237709) specifically detects CD8 alpha (UniProt ID: P01732; Molecular weight: 24kDa) and is sold in a convenient trial size to enable initial testing (20 μL) and larger sizes for subsequent scaling up experiments (100 μL and 1 mL).

Quality and Validation

Abcam's high quality manufacturing and validation processes ensure Anti-CD8 alpha antibody [CAL66] (ab237709) has high sensitivity and specificity alongside high lot-to-lot consistency and reproducibility.
Anti-CD8 alpha antibody [CAL66] (ab237709) has been cited over 43 times in peer reviewed journals and is trusted by the scientific community.


Related Products
Conjugation-ready, carrier free format available for antibody clone CAL66 - ab251596.
Antibody clone CAL66 is also available pre-conjugated to a variety of labels for your convenience - Alexa Fluor® 647, Alexa Fluor® 488, Alexa Fluor® 555, Alexa Fluor® 594 (ab305048, ab305220, ab305367, ab305370).
Target Information
CD8 alpha is a transmembrane glycoprotein that functions as a co-receptor for the T-cell receptor (TCR), mainly found on cytotoxic T cells. It plays a crucial role in T cell signaling and cytotoxic activity by binding to MHC class I molecules, aiding the immune response against infected or malignant cells. CD8 alpha is associated with several diseases, particularly those involving immune system dysfunction

Properties and storage information

Form
Liquid
Purification technique
Affinity purification Protein A
Purification notes
Purity >99%
Storage buffer
pH: 7.2 - 7.4 Preservative: 0.05% Sodium azide Constituents: PBS
Shipped at conditions
Blue Ice
Appropriate short-term storage duration
1-2 weeks
Appropriate short-term storage conditions
+4°C
Appropriate long-term storage conditions
-20°C
Aliquoting information
Upon delivery aliquot
Storage information
Avoid freeze / thaw cycle

Supplementary information

This supplementary information is collated from multiple sources and compiled automatically.

CD8 alpha also known as CD8A or CD8 protein is a glycoprotein subunit expressed on the surface of cytotoxic T lymphocytes. It has a mass of approximately 32 kDa. Found on the surface cell membrane CD8 alpha functions primarily in the immune response specifically in the recognition of antigens bound to major histocompatibility complex (MHC) class I molecules. Often scientists use CD8 antibodies for detection and CD8 IHC or immunohistochemistry for localization studies.
Biological function summary

The CD8 alpha protein plays a critical role in T-cell mediated immune responses. It forms a heterodimer with the CD8 beta chain creating the CD8 alpha-beta complex that strengthens T-cell interaction with antigen-presenting cells. CD8 alpha also helps in signaling processes that activate T cells equipping them to destroy infected or malignant cells. Researchers often study CD8 alpha peptides to understand its interactions better.

Pathways

CD8 alpha is integral to the T-cell receptor signaling pathway and the cytotoxic T lymphocyte (CTL) pathway. The T-cell receptor complex which includes the CD8 molecule transmits signals that are important for T-cell activation and function. CD8 interacts with key proteins such as the T-cell receptor (TCR) and MHC class I molecules facilitating targeted responses against pathogens. These pathways highlight CD8 alpha's role in adaptive immunity.

CD8 alpha is most prominently associated with viral infections and cancer. Conditions like HIV and some forms of leukemia show altered CD8 function highlighting the protein's role in immune surveillance. In HIV infection for instance CD8 T cells reduce in number impairing the immune response. CD8 alpha's connection to the immune system places it alongside other immune proteins such as CD4 and MHC molecules in the context of immune dysfunction.

Product protocols

For this product, it's our understanding that no specific protocols are required. You can visit:

Target data

The protein expressed by the gene CD8A is an integral membrane glycoprotein crucial for immune responses, operating mainly in T-cells as a coreceptor for MHC class I molecule : peptide complexes. These peptides originate from cytosolic proteins, unlike class II peptides, which are from extracellular proteins. CD8A interacts with the T-cell receptor (TCR) and MHC class I proteins on antigen-presenting cells, recruiting the Src kinase LCK to the TCR-CD3 complex. LCK phosphorylates substrates, triggering signaling pathways that lead to the production of lymphokines, enhanced motility, adhesion, and activation of cytotoxic T-lymphocytes (CTLs), thereby aiding in the recognition and elimination of infected or tumor cells. Additionally, in natural killer (NK) cells, CD8A homodimers on the cell surface provide a survival mechanism for conjugating with and lysing multiple target cells. CD8A homodimers also facilitate the survival and differentiation of activated lymphocytes into memory CD8 T-cells. This supplementary information is collated from multiple sources and compiled automatically.
See full target information CD8A

Publications (118)

Recent publications for all applications. Explore the full list and refine your search

Journal of Cancer 16:3684-3695 PubMed40959110

2025

Spermidine potentiates anti-tumor immune responses and immunotherapy sensitivity in breast cancer.

Applications

Unspecified application

Species

Unspecified reactive species

Xinyu Yang,Yaxin Feng,Ruxin Wang,Xin Zeng,Boying Gao,Penghan Huang,Huiping Chen,Wenfeng Zeng

Cancer immunology, immunotherapy : CII 74:290 PubMed40848149

2025

The transcription factor FOXA1 upregulates PYCR1-mediated autophagy to suppress antitumor immunity in lung adenocarcinoma.

Applications

Unspecified application

Species

Unspecified reactive species

Kui Liu,Xiaoyan Yang,Xuemei Tang,Bo Tang

Cellular oncology (Dordrecht, Netherlands) 48:1571-1592 PubMed40855036

2025

Integrating multi-modal transcriptomics identifies cellular subtypes with distinct roles in PDAC progression.

Applications

Unspecified application

Species

Unspecified reactive species

Jun Wu,Tenghui Dai,Ziyue Li,Meng Pan,Wei Zhang,Hao Chen,Guansheng Zheng,Li Qiao,Qizhou Lian,Yang Liu,Jierong Chen

Journal for immunotherapy of cancer 13: PubMed40789740

2025

Overcoming immunotherapy resistance in bladder cancer with a novel antibody-drug conjugate RC48.

Applications

Unspecified application

Species

Unspecified reactive species

Jiatong Xiao,Jinhui Liu,Chunyu Zhang,Zhi Liu,Zhenyu Nie,Zhenglin Yi,Xin Gao,Haisu Liang,Jinliang Huang,Zhiyong Cai,Luzhe Yan,Bingquan Wu,Zefu Liu,Jinbo Chen,Xiongbing Zu,Jiao Hu

Oncology letters 30:456 PubMed40762017

2025

Acute myeloid leukemia with plasmacytoid dendritic cell proliferation: A case report and literature review.

Applications

Unspecified application

Species

Unspecified reactive species

Zhixin Pei,Yi Zhang,Han Xu,Pei Pei,Zhengyang Zhang,Hongxia Wang,Bei Zhang,Junjun Bai,Yingxin Zhao,Jingjing Gu,Zhiyu Fang,Miaomiao Liu,Qinglin Song

Bioactive materials 53:205-217 PubMed40697395

2025

A novel organoid model retaining the glioma microenvironment for personalized drug screening and therapeutic evaluation.

Applications

Unspecified application

Species

Unspecified reactive species

Chengjun Zheng,Peng Wang,Delong Zhang,Zheng Fang,Yutong Feng,Jie Chen,Jiahong Chen,Yiwen Fu,Bao Yang,Shuqing Yu,Li Min,Bo Xiao,Cencan Xing,Yang Yang,Jianfeng Wang,Donghua Zou,Shipeng Ning,Tong Liu,Jun Yan,Qian Zhao,Fei Sun,Qiaodong Chen,Ying Zhang,Tao Jiang,Lemin Zheng,Zhaoshi Bao

Signal transduction and targeted therapy 10:223 PubMed40670349

2025

Comprehensive genomic and transcriptomic analyses reveal prognostic stratification for esophageal squamous cell carcinoma.

Applications

Unspecified application

Species

Unspecified reactive species

Jian Gao,Qiming Wang,Fangqiu Fu,Yue Zhao,Teng Yang,Xiangze Li,Yihua Sun,Hong Hu,Longfei Ma,Longsheng Miao,Xiaoyang Luo,Ting Ye,Yiliang Zhang,Yang Zhang,Ziling Huang,Hang Li,Longlong Shao,Midie Xu,Kuaile Zhao,Shiyue Zhang,Mou Zhang,Jun Wang,Chong Dai,Xiaoxiao Shang,Tingyi An,Yawei Zhang,Jiaqing Xiang,Zhiwei Cao,Bin Li,Haiquan Chen

Journal of nanobiotechnology 23:519 PubMed40671009

2025

CXCL12-targeting siRNA nanoparticles alleviate immunosuppression and inhibit tumor progression in esophageal squamous cell carcinoma.

Applications

Unspecified application

Species

Unspecified reactive species

Shuyao Zhang,Hong Jiang,Chengkuan Zhao,Yanli Lei,Shaojie Liu,Chengcheng Xu,Xiaoshan Chen,Danling Zheng,Xiaolong Wu,Xinyue Lin,Wang Chen,Yun Chen,Jianxiang Huang,XiaoLong Wei,Yihui Huang,Chaoxian Lin

Inflammation : PubMed40608219

2025

A Comparative Analysis Dissecting the Immune Landscape of Vitiligo and Melanoma from a single-cell Perspective: Two Sides of the Same Coin?

Applications

Unspecified application

Species

Unspecified reactive species

Yongkai Yu,Yidan Wang,Jiawei Lu,Xuechen Cao,Yifei Feng,Tongxin Pei,Yan Lu

Journal of translational medicine 23:711 PubMed40597359

2025

Immune profiling identifies CD161CD127CD8 T cells as a predictive biomarker for Anti-PD-L1 therapy response in the SCLC-I subtype.

Applications

Unspecified application

Species

Unspecified reactive species

Jingjing Qu,Wenjia Sun,Yuekang Li,Ziwan Cai,Binggen Wu,Qian Shen,Lijun Chen,Bo Wang,Lixiong Ying,Chenchai Xie,Jing Zheng,Jianya Zhou,Jianying Zhou
View all publications

Product promise

We are committed to supporting your work with high-quality reagents, and we're here for you every step of the way. In the unlikely event that one of our products does not perform as expected, you're protected by our Product Promise.
For full details, please see our Terms & Conditions

Please note: All products are 'FOR RESEARCH USE ONLY. NOT FOR USE IN DIAGNOSTIC OR THERAPEUTIC PROCEDURES'.

For licensing inquiries, please contact partnerships@abcam.com