JavaScript is disabled in your browser. Please enable JavaScript to view this website.
AB237710

Anti-CD8 alpha antibody [CAL67]

Be the first to review this product! Submit a review

|

(10 Publications)

Rabbit Recombinant Monoclonal CD8 alpha antibody. Suitable for IHC-P and reacts with Human samples. Cited in 10 publications.

View Alternative Names

CD8a, MAL, CD8A, T-cell surface glycoprotein CD8 alpha chain, T-lymphocyte differentiation antigen T8/Leu-2

4 Images
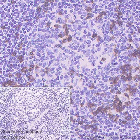
Immunohistochemistry (Formalin/PFA-fixed paraffin-embedded sections) - Anti-CD8 alpha antibody [CAL67] (AB237710)
  • IHC-P

Lab

Immunohistochemistry (Formalin/PFA-fixed paraffin-embedded sections) - Anti-CD8 alpha antibody [CAL67] (AB237710)

Immunohistochemical analysis of paraffin-embedded human tonsil tissue labeling CD8 alpha with ab237710 at 1/1500 dilution (0.352 μg/ml), followed by a ready to use Goat Anti-Rabbit IgG H&L (HRP). Positive staining on human tonsil tissue is observed. Counterstained with hematoxylin. Secondary antibody only control : Used PBS instead of primary antibody, secondary antibody is a ready to use Goat Anti-Rabbit IgG H&L (HRP). Perform heat mediated antigen retrieval using ab93684 (Tris/EDTA buffer, pH 9.0).

Immunocytochemistry/ Immunofluorescence - Anti-CD8 alpha antibody [CAL67] (AB237710)
  • ICC/IF

Lab

Immunocytochemistry/ Immunofluorescence - Anti-CD8 alpha antibody [CAL67] (AB237710)

Immunofluorescent analysis of 4% paraformaldehyde-fixed, 0.1% Triton X-100 permeabilized human PBMC (human primary peripheral blood mononuclear cell) cells labeling CD8 alpha with ab237710 at 1/100 dilution (5.3μg), followed by Goat Anti-Rabbit IgG H&L (Alexa Fluor® 488) (ab150077) secondary antibody at 1/1000 dilution (green). Confocal image showing membranous staining in subsets of human PBMC. The nuclear counter stain is DAPI (blue). Counterstained with ab195889 Anti-alpha Tubulin antibody [DM1A] - Microtubule Marker (Alexa Fluor® 594) at a 1/200 dilution (red). The negative control is the secondary antibody only.

Immunohistochemistry (Formalin/PFA-fixed paraffin-embedded sections) - Anti-CD8 alpha antibody [CAL67] (AB237710)
  • IHC-P

Supplier Data

Immunohistochemistry (Formalin/PFA-fixed paraffin-embedded sections) - Anti-CD8 alpha antibody [CAL67] (AB237710)

Formalin-fixed, paraffin-embedded human tonsil tissue stained for CD8 alpha using ab237710 at 0.5 μg/ml in immunohistochemical analysis.

Incubate with primary antibody for 75 minutes at room temperature.

Immunohistochemistry (Formalin/PFA-fixed paraffin-embedded sections) - Anti-CD8 alpha antibody [CAL67] (AB237710)
  • IHC-P

Lab

Immunohistochemistry (Formalin/PFA-fixed paraffin-embedded sections) - Anti-CD8 alpha antibody [CAL67] (AB237710)

Immunohistochemical analysis of paraffin-embedded human colon tissue labeling CD8 alpha with ab237710 at 1/1500 dilution (0.352 μg/ml), followed by a ready to use Goat Anti-Rabbit IgG H&L (HRP). Positive staining on the T lymphocytes in the human colon is observed. Counterstained with hematoxylin. Secondary antibody only control : Used PBS instead of primary antibody, secondary antibody is a ready to use Goat Anti-Rabbit IgG H&L (HRP). Perform heat mediated antigen retrieval using ab93684 (Tris/EDTA buffer, pH 9.0).

  • 665 Alexa Fluor® 647

    Alexa Fluor® 647 Anti-CD8 alpha antibody [CAL67]

  • 660 APC

    APC Anti-CD8 alpha antibody [CAL67]

  • 519 Alexa Fluor® 488

    Alexa Fluor® 488 Anti-CD8 alpha antibody [CAL67]

  • 617 Alexa Fluor® 594

    Alexa Fluor® 594 Anti-CD8 alpha antibody [CAL67]

  • 565 Alexa Fluor® 555

    Alexa Fluor® 555 Anti-CD8 alpha antibody [CAL67]

  • 578 PE

    PE Anti-CD8 alpha antibody [CAL67]

  • 775 Alexa Fluor® 750

    Alexa Fluor® 750 Anti-CD8 alpha antibody [CAL67]

  • Carrier free

    Anti-CD8 alpha antibody [CAL67] - BSA and Azide free

Key facts

Host species

Rabbit

Clonality

Monoclonal

Clone number

CAL67

Isotype

IgG

Carrier free

No

Reacts with

Human

Applications

IHC-P

applications

Immunogen

The exact immunogen used to generate this antibody is proprietary information.

Reactivity data

{ "title": "Reactivity Data", "filters": { "stats": ["", "Species", "Dilution Info", "Notes"], "tabs": { "all-applications": {"fullname" : "All Applications", "shortname": "All Applications"}, "FlowCyt" : {"fullname" : "Flow Cytometry", "shortname":"Flow Cyt"}, "ICCIF" : {"fullname" : "Immunocytochemistry/ Immunofluorescence", "shortname":"ICC/IF"}, "WB" : {"fullname" : "Western blot", "shortname":"WB"}, "IP" : {"fullname" : "Immunoprecipitation", "shortname":"IP"}, "IHCP" : {"fullname" : "Immunohistochemistry (Formalin/PFA-fixed paraffin-embedded sections)", "shortname":"IHC-P"} }, "product-promise": { "all": "all", "testedAndGuaranteed": "tested", "guaranteed": "expected", "predicted": "predicted", "notRecommended": "not-recommended" } }, "values": { "Human": { "FlowCyt-species-checked": "notRecommended", "FlowCyt-species-dilution-info": "", "FlowCyt-species-notes": "<p></p>", "ICCIF-species-checked": "notRecommended", "ICCIF-species-dilution-info": "", "ICCIF-species-notes": "<p></p>", "WB-species-checked": "notRecommended", "WB-species-dilution-info": "", "WB-species-notes": "<p></p>", "IP-species-checked": "notRecommended", "IP-species-dilution-info": "", "IP-species-notes": "<p></p>", "IHCP-species-checked": "testedAndGuaranteed", "IHCP-species-dilution-info": "", "IHCP-species-notes": "<p></p>" } } }

Properties and storage information

Form
Liquid
Purification technique
Affinity purification Protein A
Purification notes
Purity >99%.
Storage buffer
pH: 7.2 - 7.4 Preservative: 0.05% Sodium azide Constituents: PBS
Shipped at conditions
Blue Ice
Appropriate short-term storage duration
1-2 weeks
Appropriate short-term storage conditions
+4°C
Appropriate long-term storage conditions
+4°C|-20°C
Aliquoting information
Upon delivery aliquot
Storage information
Avoid freeze / thaw cycle

Supplementary information

This supplementary information is collated from multiple sources and compiled automatically.

CD8 alpha also known as CD8A or CD8 protein is a glycoprotein subunit expressed on the surface of cytotoxic T lymphocytes. It has a mass of approximately 32 kDa. Found on the surface cell membrane CD8 alpha functions primarily in the immune response specifically in the recognition of antigens bound to major histocompatibility complex (MHC) class I molecules. Often scientists use CD8 antibodies for detection and CD8 IHC or immunohistochemistry for localization studies.
Biological function summary

The CD8 alpha protein plays a critical role in T-cell mediated immune responses. It forms a heterodimer with the CD8 beta chain creating the CD8 alpha-beta complex that strengthens T-cell interaction with antigen-presenting cells. CD8 alpha also helps in signaling processes that activate T cells equipping them to destroy infected or malignant cells. Researchers often study CD8 alpha peptides to understand its interactions better.

Pathways

CD8 alpha is integral to the T-cell receptor signaling pathway and the cytotoxic T lymphocyte (CTL) pathway. The T-cell receptor complex which includes the CD8 molecule transmits signals that are important for T-cell activation and function. CD8 interacts with key proteins such as the T-cell receptor (TCR) and MHC class I molecules facilitating targeted responses against pathogens. These pathways highlight CD8 alpha’s role in adaptive immunity.

CD8 alpha is most prominently associated with viral infections and cancer. Conditions like HIV and some forms of leukemia show altered CD8 function highlighting the protein's role in immune surveillance. In HIV infection for instance CD8 T cells reduce in number impairing the immune response. CD8 alpha’s connection to the immune system places it alongside other immune proteins such as CD4 and MHC molecules in the context of immune dysfunction.

Product protocols

For this product, it's our understanding that no specific protocols are required. You can visit:

Target data

The protein expressed by the gene CD8A is an integral membrane glycoprotein crucial for immune responses, operating mainly in T-cells as a coreceptor for MHC class I molecule : peptide complexes. These peptides originate from cytosolic proteins, unlike class II peptides, which are from extracellular proteins. CD8A interacts with the T-cell receptor (TCR) and MHC class I proteins on antigen-presenting cells, recruiting the Src kinase LCK to the TCR-CD3 complex. LCK phosphorylates substrates, triggering signaling pathways that lead to the production of lymphokines, enhanced motility, adhesion, and activation of cytotoxic T-lymphocytes (CTLs), thereby aiding in the recognition and elimination of infected or tumor cells. Additionally, in natural killer (NK) cells, CD8A homodimers on the cell surface provide a survival mechanism for conjugating with and lysing multiple target cells. CD8A homodimers also facilitate the survival and differentiation of activated lymphocytes into memory CD8 T-cells. This supplementary information is collated from multiple sources and compiled automatically.
See full target information CD8A

Publications (10)

Recent publications for all applications. Explore the full list and refine your search

Journal of Cancer 16:3684-3695 PubMed40959110

2025

Spermidine potentiates anti-tumor immune responses and immunotherapy sensitivity in breast cancer.

Applications

Unspecified application

Species

Unspecified reactive species

Xinyu Yang,Yaxin Feng,Ruxin Wang,Xin Zeng,Boying Gao,Penghan Huang,Huiping Chen,Wenfeng Zeng

Frontiers in oncology 15:1480461 PubMed39926286

2025

Mature tertiary lymphoid structure associated CD103+ CD8+ Trm cells determined improved anti-tumor immune in breast cancer.

Applications

Unspecified application

Species

Unspecified reactive species

Qin Fang,Shuru Chen,Xiaoyue Chen,Wei Zou,Di Chen,Yukang Huang,Chucheng Wu

Frontiers in medicine 11:1349178 PubMed38841570

2024

Prognostic significance of peripheral and tumor-infiltrating lymphocytes in newly diagnosed stage III/IV non-small-cell lung cancer.

Applications

Unspecified application

Species

Unspecified reactive species

Fenge Li,Chong Tian,Yupeng Wang,Huancheng Wu,Mengli Jin,Xueming Du,Jin Yan,Xueling Yang,Haipeng Yu

Cell death discovery 10:97 PubMed38402198

2024

ALYREF-JunD-SLC7A5 axis promotes pancreatic ductal adenocarcinoma progression through epitranscriptome-metabolism reprogramming and immune evasion.

Applications

Unspecified application

Species

Unspecified reactive species

Qingbo Meng,Yuting Xie,Kang Sun,Lihong He,Hongkun Wu,Qi Zhang,Tingbo Liang

Molecular therapy : the journal of the American Society of Gene Therapy 31:2929-2947 PubMed37515321

2023

Targeting leucine-rich repeat serine/threonine-protein kinase 2 sensitizes pancreatic ductal adenocarcinoma to anti-PD-L1 immunotherapy.

Applications

Unspecified application

Species

Unspecified reactive species

Kang Sun,Xiaozhen Zhang,Mengyi Lao,Lihong He,Sicheng Wang,Hanshen Yang,Jian Xu,Jianghui Tang,Zhengtao Hong,Jinyuan Song,Chengxiang Guo,Muchun Li,Xinyuan Liu,Yan Chen,Hanjia Zhang,Jingxing Zhou,Jieru Lin,Sirui Zhang,Yifan Hong,Jinyan Huang,Tingbo Liang,Xueli Bai

Neoplasma 70:229-239 PubMed36964720

2023

High expression of WTAP is related to poor prognosis in nasopharyngeal carcinoma.

Applications

Unspecified application

Species

Unspecified reactive species

Chang-Juan Tao,Peng Zhang,Yuan-Yuan Chen,Ming Chen

British journal of cancer 128:331-341 PubMed36385556

2022

CXCR1/2 dual-inhibitor ladarixin reduces tumour burden and promotes immunotherapy response in pancreatic cancer.

Applications

Unspecified application

Species

Unspecified reactive species

Geny Piro,Carmine Carbone,Antonio Agostini,Annachiara Esposito,Maria De Pizzol,Rubina Novelli,Marcello Allegretti,Andrea Aramini,Alessia Caggiano,Alessia Granitto,Francesco De Sanctis,Stefano Ugel,Vincenzo Corbo,Maurizio Martini,Rita Teresa Lawlor,Aldo Scarpa,Giampaolo Tortora

Oncoimmunology 11:2135819 PubMed36268179

2022

Neoadjuvant PD-1 blockade plus chemotherapy induces a high pathological complete response rate and anti-tumor immune subsets in clinical stage III gastric cancer.

Applications

Unspecified application

Species

Unspecified reactive species

Xiaohuan Tang,Mengyuan Li,Xiaolong Wu,Ting Guo,Li Zhang,Lei Tang,Fangzhou Jia,Ying Hu,Yan Zhang,Xiaofang Xing,Fei Shan,Xiangyu Gao,Ziyu Li

Frontiers in immunology 13:984172 PubMed36159808

2022

Novel immune scoring dynamic nomograms based on B7-H3, B7-H4, and HHLA2: Potential prediction in survival and immunotherapeutic efficacy for gallbladder cancer.

Applications

Unspecified application

Species

Unspecified reactive species

Chao Lv,Shukun Han,Baokang Wu,Zhiyun Liang,Yang Li,Yizhou Zhang,Qi Lang,Chongli Zhong,Lei Fu,Yang Yu,Feng Xu,Yu Tian

Journal of leukocyte biology 112:1567-1576 PubMed35686499

2022

Dysregulated Th1 cells in lung squamous cell carcinoma.

Applications

Unspecified application

Species

Unspecified reactive species

Jiahui Wang,Jian Zhou,Qiuru Zhou,Ying Qi,Peng Zhang,Cihui Yan,Xiubao Ren
View all publications

Product promise

We are committed to supporting your work with high-quality reagents, and we're here for you every step of the way. In the unlikely event that one of our products does not perform as expected, you're protected by our Product Promise.
For full details, please see our Terms & Conditions

Please note: All products are 'FOR RESEARCH USE ONLY. NOT FOR USE IN DIAGNOSTIC OR THERAPEUTIC PROCEDURES'.

For licensing inquiries, please contact partnerships@abcam.com