JavaScript is disabled in your browser. Please enable JavaScript to view this website.
AB209775

Anti-CD8 alpha antibody [EPR20305]

4

(8 Reviews)

|

(163 Publications)

Anti-CD8 alpha antibody [EPR20305] (ab209775) is a rabbit monoclonal antibody detecting CD8 alpha in Western Blot, IHC-P. Suitable for Mouse.

- Biophysical QC for unrivalled batch-batch consistency
- Over 90 publications

View Alternative Names

CD8a, Lyt-2, Lyt2, Cd8a, T-cell surface glycoprotein CD8 alpha chain, T-cell surface glycoprotein Lyt-2

4 Images
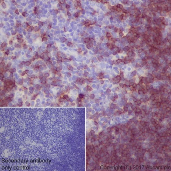
Immunohistochemistry (Formalin/PFA-fixed paraffin-embedded sections) - Anti-CD8 alpha antibody [EPR20305] (AB209775)
  • IHC-P

Supplier Data

Immunohistochemistry (Formalin/PFA-fixed paraffin-embedded sections) - Anti-CD8 alpha antibody [EPR20305] (AB209775)

Immunohistochemical analysis of paraffin-embedded mouse spleen tissue labeling CD8 alpha with ab209775 at 1/2000 dilution, followed by Goat Anti-Rabbit IgG H&L (HRP) ready to use. Membranous staining on T cells around peripheral artery lymphatic sheath of mouse spleen (PMID : 23482450). Counter stained with Hematoxylin.

Secondary antibody only control : Used PBS instead of primary antibody, secondary antibody is Goat Anti-Rabbit IgG H&L (HRP) ready to use.

Perform heat mediated antigen retrieval with Tris/EDTA buffer pH 9.0 before commencing with IHC staining protocol.

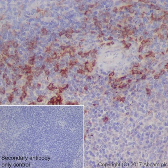
Immunohistochemistry (Formalin/PFA-fixed paraffin-embedded sections) - Anti-CD8 alpha antibody [EPR20305] (AB209775)
  • IHC-P

Supplier Data

Immunohistochemistry (Formalin/PFA-fixed paraffin-embedded sections) - Anti-CD8 alpha antibody [EPR20305] (AB209775)

Immunohistochemical analysis of paraffin-embedded mouse thymus tissue labeling CD8 alpha with ab209775 at 1/2000 dilution, followed by Goat Anti-Rabbit IgG H&L (HRP) ready to use. Membranous staining on mouse thymus. Counter stained with Hematoxylin.

Secondary antibody only control : Used PBS instead of primary antibody, secondary antibody is Goat Anti-Rabbit IgG H&L (HRP) ready to use.

Perform heat mediated antigen retrieval with Tris/EDTA buffer pH 9.0 before commencing with IHC staining protocol.

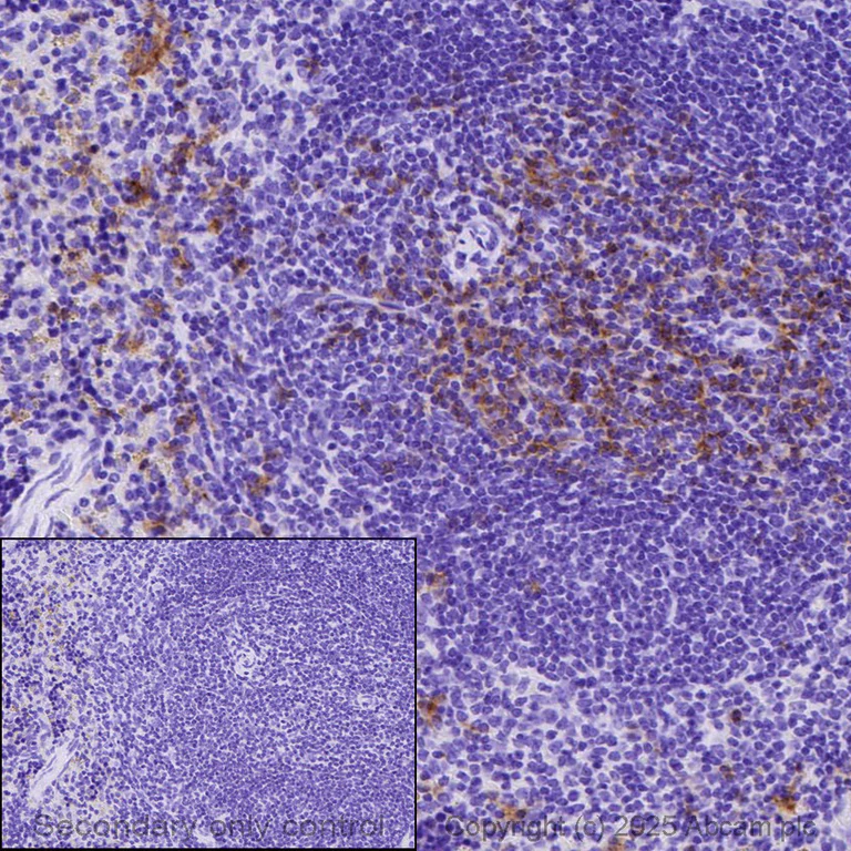
Immunohistochemistry (Formalin/PFA-fixed paraffin-embedded sections) - Anti-CD8 alpha antibody [EPR20305] (AB209775)
  • IHC-P

Lab

Immunohistochemistry (Formalin/PFA-fixed paraffin-embedded sections) - Anti-CD8 alpha antibody [EPR20305] (AB209775)

Immunohistochemical analysis of formalin fixed paraffin embedded mouse spleen labelling CD8 alpha with ab209775 at a concentration of 0.5µg/ml. The immunostaining was performed on a Ventana DISCOVERY ULTRA (Roche Tissue Diagnostics) instrument with a ChromoMap DAB kit and anti-rabbit HQ and anti-HQ HRP detection. Heat mediated antigen retrieval was performed with DISCOVERY cell conditioning solution (CC1) 100°C, pH8.5 for 32mins. ab209775 Anti-CD8 alpha antibody [EPR20305] was incubated for 16mins at 37°C. Sections were counterstained with Hematoxylin II. Image inset shows absence of staining in secondary antibody only control.

Customers are encouraged to optimise antigen retrieval conditions, antibody concentration, incubation times and temperature for best results in their own IHC assay workflow (automated and manual).

Western blot - Anti-CD8 alpha antibody [EPR20305] (AB209775)
  • WB

Supplier Data

Western blot - Anti-CD8 alpha antibody [EPR20305] (AB209775)

Blocking/Dilution buffer : 5% NFDM/TBST.

Exposure time : Lane 1 : 10 seconds; Lane 2 : 1 second; Lane 3 : 3 minutes.

All lanes:

Western blot - Anti-CD8 alpha antibody [EPR20305] (ab209775) at 1/1000 dilution

Lane 1:

Mouse lymph node lysate at 10 µg

Lane 2:

Mouse thymus lysate at 10 µg

Lane 3:

Mouse spleen lysate at 10 µg

Secondary

All lanes:

Western blot - Goat Anti-Rabbit IgG H&L (HRP) (<a href='/en-us/products/secondary-antibodies/goat-rabbit-igg-h-l-hrp-ab97051'>ab97051</a>) at 1/100000 dilution

Predicted band size: 26 kDa

Observed band size: 35 kDa

true

Key facts

Host species

Rabbit

Clonality

Monoclonal

Clone number

EPR20305

Isotype

IgG

Carrier free

No

Reacts with

Mouse

Applications

WB, IHC-P

applications

Immunogen

The exact immunogen used to generate this antibody is proprietary information.

Reactivity data

{ "title": "Reactivity Data", "filters": { "stats": ["", "Species", "Dilution Info", "Notes"], "tabs": { "all-applications": {"fullname" : "All Applications", "shortname": "All Applications"}, "WB" : {"fullname" : "Western blot", "shortname":"WB"}, "IHCP" : {"fullname" : "Immunohistochemistry (Formalin/PFA-fixed paraffin-embedded sections)", "shortname":"IHC-P"} }, "product-promise": { "all": "all", "testedAndGuaranteed": "tested", "guaranteed": "expected", "predicted": "predicted", "notRecommended": "not-recommended" } }, "values": { "Mouse": { "WB-species-checked": "testedAndGuaranteed", "WB-species-dilution-info": "1/1000", "WB-species-notes": "<p></p>", "IHCP-species-checked": "testedAndGuaranteed", "IHCP-species-dilution-info": "1/2000", "IHCP-species-notes": "<p></p> Perform heat-mediated antigen retrieval with Tris/EDTA buffer pH 9.0 before commencing with IHC staining protocol." } } }

Product details

What is this antibody validated in?
Anti-CD8 alpha antibody [EPR20305] (ab209775) is a rabbit recombinant monoclonal antibody and is validated for use in Western Blot (WB), Immunohistochemistry (IHC-P) in Mouse samples.

What is the molecular weight of CD8 alpha?
Anti-CD8 alpha [EPR20305] (ab209775) specifically detects a band for CD8 alpha (UniProt: P01731) at a molecular weight of 27kDa.

Trusted by the scientific community
Anti-CD8 alpha [EPR20305] (ab209775) was first used in a scientific publication in 2017 and has been cited over 90 times in peer-reviewed journals.

Reviewed by scientists
Anti-CD8 alpha [EPR20305] (ab209775) has over 5 independent reviews from customers.

Trial sizes available!
Test your antibody or perform pre-screening before committing to a larger quantity. Sold in 10µl. Discover our selection of trial-size antibodies.

Other related products
We have a range of other formats of antibody clone [EPR20305] also available for your convenience: ab209775, Carrier free - ab228856, Alexa Fluor® 488 - ab313396

Patented technology
Our RabMAb® technology is a patented hybridoma-based technology for making rabbit monoclonal antibodies. For details on our patents, please refer to RabMAb® patents.

What are the advantages of a recombinant monoclonal antibody?
This product is a recombinant monoclonal antibody, which offers several advantages including:

  • - High batch-to-batch consistency and reproducibility
  • - Improved sensitivity and specificity
  • - Long-term security of supply
  • - Animal-free batch production

For more information, read more on recombinant antibodies.

Properties and storage information

Form
Liquid
Purification technique
Affinity purification Protein A
Storage buffer
pH: 7.2 - 7.4 Preservative: 0.01% Sodium azide Constituents: PBS, 40% Glycerol (glycerin, glycerine), 0.05% BSA
Shipped at conditions
Blue Ice
Appropriate short-term storage duration
1-2 weeks
Appropriate short-term storage conditions
+4°C
Appropriate long-term storage conditions
-20°C
Aliquoting information
Upon delivery aliquot
Storage information
Avoid freeze / thaw cycle

Supplementary information

This supplementary information is collated from multiple sources and compiled automatically.

CD8 alpha also known as CD8A or CD8 protein is a glycoprotein subunit expressed on the surface of cytotoxic T lymphocytes. It has a mass of approximately 32 kDa. Found on the surface cell membrane CD8 alpha functions primarily in the immune response specifically in the recognition of antigens bound to major histocompatibility complex (MHC) class I molecules. Often scientists use CD8 antibodies for detection and CD8 IHC or immunohistochemistry for localization studies.
Biological function summary

The CD8 alpha protein plays a critical role in T-cell mediated immune responses. It forms a heterodimer with the CD8 beta chain creating the CD8 alpha-beta complex that strengthens T-cell interaction with antigen-presenting cells. CD8 alpha also helps in signaling processes that activate T cells equipping them to destroy infected or malignant cells. Researchers often study CD8 alpha peptides to understand its interactions better.

Pathways

CD8 alpha is integral to the T-cell receptor signaling pathway and the cytotoxic T lymphocyte (CTL) pathway. The T-cell receptor complex which includes the CD8 molecule transmits signals that are important for T-cell activation and function. CD8 interacts with key proteins such as the T-cell receptor (TCR) and MHC class I molecules facilitating targeted responses against pathogens. These pathways highlight CD8 alpha's role in adaptive immunity.

CD8 alpha is most prominently associated with viral infections and cancer. Conditions like HIV and some forms of leukemia show altered CD8 function highlighting the protein's role in immune surveillance. In HIV infection for instance CD8 T cells reduce in number impairing the immune response. CD8 alpha's connection to the immune system places it alongside other immune proteins such as CD4 and MHC molecules in the context of immune dysfunction.

Product protocols

For this product, it's our understanding that no specific protocols are required. You can visit:

Target data

Integral membrane glycoprotein that plays an essential role in the immune response and serves multiple functions in responses against both external and internal offenses. In T-cells, functions primarily as a coreceptor for MHC class I molecule : peptide complex. The antigens presented by class I peptides are derived from cytosolic proteins while class II derived from extracellular proteins. Interacts simultaneously with the T-cell receptor (TCR) and the MHC class I proteins presented by antigen presenting cells (APCs). In turn, recruits the Src kinase LCK to the vicinity of the TCR-CD3 complex. LCK then initiates different intracellular signaling pathways by phosphorylating various substrates ultimately leading to lymphokine production, motility, adhesion and activation of cytotoxic T-lymphocytes (CTLs). This mechanism enables CTLs to recognize and eliminate infected cells and tumor cells. In NK-cells, the presence of CD8A homodimers at the cell surface provides a survival mechanism allowing conjugation and lysis of multiple target cells. CD8A homodimer molecules also promote the survival and differentiation of activated lymphocytes into memory CD8 T-cells.
See full target information Cd8a

Publications (163)

Recent publications for all applications. Explore the full list and refine your search

NPJ biofilms and microbiomes 11:188 PubMed41006325

2025

Intestinal fungal signatures and their impact on immune checkpoint inhibitor efficacy: a multi-cohort meta-analysis.

Applications

Unspecified application

Species

Unspecified reactive species

Lei Zhang,Ding-Ding Zhou,Jia Feng,Zhi-Jun Liao,Xian-Long Shu,Rui-Meng Yang,Yong-Chao Gao,Hong-Hao Zhou,Wei Zhang,You Zou,Rong Liu

Bio-protocol 15:e5437 PubMed40948895

2025

NanoPDLIM2-Based Combination Therapy for Lung Cancer Treatment in Mouse Preclinical Studies.

Applications

Unspecified application

Species

Unspecified reactive species

Thi Hoa Le,Fan Sun,Gutian Xiao,Zhaoxia Qu

Cancers 17: PubMed40867310

2025

Antitumor Effects of Combination Therapy with Oncolytic Vaccinia Virus and Tepotinib on Lung Cancer Cells.

Applications

Unspecified application

Species

Unspecified reactive species

Takuya Inoue,Nobuhiro Kanaji,Takafumi Nakamura,Masanao Yokohira,Yuta Komori,Yasuhiro Ohara,Hitoshi Mizoguchi,Naoki Watanabe,Norimitsu Kadowaki

Journal of hepatocellular carcinoma 12:1677-1693 PubMed40771748

2025

Beta-Catenin Mutations Can Impact on the Interplay Between Tumor and Immune Cells and Hepatic Microbiota in Hepatocellular Cancer.

Applications

Unspecified application

Species

Unspecified reactive species

Yu Ota,Julia Driscoll,Anneliese R Hill,Irene K Yan,Tushar Patel

Journal for immunotherapy of cancer 13: PubMed40592739

2025

Enhanced antitumor immunity of VNP20009-CCL2-CXCL9 via the cGAS/STING axis in osteosarcoma lung metastasis.

Applications

Unspecified application

Species

Unspecified reactive species

Ruixuan Liu,Qi Liu,Yuming Wang,Tianyi Liu,Zhusheng Zhang,Chong Zhao,Haipeng Tao,Elizabeth Ogando-Rivas,Paul Castillo,Weibin Zhang

International journal of oncology 67: PubMed40511536

2025

Impact of PD‑L1 upregulation on immune checkpoint inhibitor efficacy in triple‑negative breast cancer using a 4T1 murine model.

Applications

Unspecified application

Species

Unspecified reactive species

A Young Park,Ju Hee Kim,Sangeun Lee,Hoe Suk Kim,Hong Kyu Kim,Han-Byoel Lee,Wonshik Han

Oncoimmunology 14:2516294 PubMed40497528

2025

PARP inhibitors accumulate B7-H3 on fibroblasts via blocking autophagic flux to potentiate immune evasion in ovarian cancer.

Applications

Unspecified application

Species

Unspecified reactive species

Tian Fang,Yu Xia,Ying Li,Sen Xu,Huayi Li,Siyuan Wang,Pu Huang,Yiyu Qian,Ping Jin,Ning Jin,Cheng Xu,Zhen Wang,Xiaoming Xiong,Mengjie Wang,Dongchen Zhou,Ya Wang,Xiaoting Li,Tao Xu,Qi Zhang,Dan Liu,Yong Fang,Guang-Nian Zhao,Qinglei Gao

Cancer cell international 25:200 PubMed40462105

2025

Pericytes in castration-resistant prostate cancer associated with disease progression and immunotherapy response: insights from single-cell analysis.

Applications

Unspecified application

Species

Unspecified reactive species

Yifeng Qiu,Yuhan Wang,Jiahe Liu,Kai Sun,Shigeo Horie,Zhitong Bing,Qi Hou

Molecular cancer 24:158 PubMed40442694

2025

Loss of TACC2 impairs chemokine CCL3 and CCL4 expression and reduces response to anti-PD-1 therapy in soft tissue sarcoma.

Applications

Unspecified application

Species

Unspecified reactive species

Jing Yang,Xiuxia Lu,Qiyan Cai,Mengmeng Liu,Tianliang Xia,Dongchun Hong,Liyuan Le,Xinke Zhang,Xing Zhang

Scientific reports 15:18786 PubMed40442309

2025

A virus based vaccine combined with IL12 gene therapy eradicates aggressive melanoma.

Applications

Unspecified application

Species

Unspecified reactive species

Nuša Brišar,Katja Šuster,Simona Kranjc Brezar,Andrej Cör
View all publications

Product promise

We are committed to supporting your work with high-quality reagents, and we're here for you every step of the way. In the unlikely event that one of our products does not perform as expected, you're protected by our Product Promise.
For full details, please see our Terms & Conditions

Please note: All products are 'FOR RESEARCH USE ONLY. NOT FOR USE IN DIAGNOSTIC OR THERAPEUTIC PROCEDURES'.

For licensing inquiries, please contact partnerships@abcam.com