JavaScript is disabled in your browser. Please enable JavaScript to view this website.
AB228856

Anti-CD8 alpha antibody [EPR20305] - BSA and Azide free

5

(1 Review)

|

(1 Publication)

Rabbit Recombinant Monoclonal CD8 alpha antibody. Carrier free. Suitable for WB, IHC-P and reacts with Mouse samples. Cited in 1 publication.

View Alternative Names

CD8a, Lyt-2, Lyt2, Cd8a, T-cell surface glycoprotein CD8 alpha chain, T-cell surface glycoprotein Lyt-2

2 Images
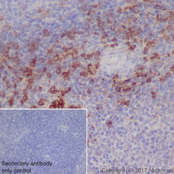
Immunohistochemistry (Formalin/PFA-fixed paraffin-embedded sections) - Anti-CD8 alpha antibody [EPR20305] - BSA and Azide free (AB228856)
  • IHC-P

Supplier Data

Immunohistochemistry (Formalin/PFA-fixed paraffin-embedded sections) - Anti-CD8 alpha antibody [EPR20305] - BSA and Azide free (AB228856)

This IHC data was generated using the same anti-CD8 alpha antibody clone, EPR20305, in a different buffer formulation (cat# ab209775).

Immunohistochemical analysis of paraffin-embedded mouse spleen tissue labeling CD8 alpha with ab209775 at 1/2000 dilution, followed by Goat Anti-Rabbit IgG H&L (HRP) ready to use. Membranous staining on T cells around peripheral artery lymphatic sheath of mouse spleen (PMID : 23482450). Counter stained with Hematoxylin.

Secondary antibody only control : Used PBS instead of primary antibody, secondary antibody is Goat Anti-Rabbit IgG H&L (HRP) ready to use.

Heat mediated antigen retrieval was performed with Tris/EDTA buffer pH 9.0 before commencing with IHC staining protocol.

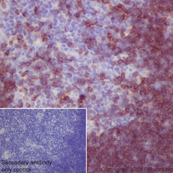
Immunohistochemistry (Formalin/PFA-fixed paraffin-embedded sections) - Anti-CD8 alpha antibody [EPR20305] - BSA and Azide free (AB228856)
  • IHC-P

Supplier Data

Immunohistochemistry (Formalin/PFA-fixed paraffin-embedded sections) - Anti-CD8 alpha antibody [EPR20305] - BSA and Azide free (AB228856)

This IHC data was generated using the same anti-CD8 alpha antibody clone, EPR20305, in a different buffer formulation (cat# ab209775).

Immunohistochemical analysis of paraffin-embedded mouse thymus tissue labeling CD8 alpha with ab209775 at 1/2000 dilution, followed by Goat Anti-Rabbit IgG H&L (HRP) ready to use. Membranous staining on mouse thymus. Counter stained with Hematoxylin.

Secondary antibody only control : Used PBS instead of primary antibody, secondary antibody is Goat Anti-Rabbit IgG H&L (HRP) ready to use.

Heat mediated antigen retrieval was performed with Tris/EDTA buffer pH 9.0 before commencing with IHC staining protocol.

Key facts

Host species

Rabbit

Clonality

Monoclonal

Clone number

EPR20305

Isotype

IgG

Carrier free

Yes

Reacts with

Mouse

Applications

WB, IHC-P

applications

Immunogen

The exact immunogen used to generate this antibody is proprietary information.

Reactivity data

{ "title": "Reactivity Data", "filters": { "stats": ["", "Species", "Dilution Info", "Notes"], "tabs": { "all-applications": {"fullname" : "All Applications", "shortname": "All Applications"}, "WB" : {"fullname" : "Western blot", "shortname":"WB"}, "IHCP" : {"fullname" : "Immunohistochemistry (Formalin/PFA-fixed paraffin-embedded sections)", "shortname":"IHC-P"} }, "product-promise": { "all": "all", "testedAndGuaranteed": "tested", "guaranteed": "expected", "predicted": "predicted", "notRecommended": "not-recommended" } }, "values": { "Mouse": { "WB-species-checked": "guaranteed", "WB-species-dilution-info": "", "WB-species-notes": "<p></p>", "IHCP-species-checked": "testedAndGuaranteed", "IHCP-species-dilution-info": "", "IHCP-species-notes": "<p></p>" } } }

Product details

ab228856 is the carrier-free version of ab209775.

Conjugation ready
Our carrier-free antibodies are typically supplied in a PBS-only formulation, purified and free of BSA, sodium azide and glycerol. This conjugation-ready format is designed for use with fluorochromes, metal isotopes, oligonucleotides, and enzymes, which makes them ideal for antibody labelling, functional and cell-based assays, flow-based assays (e.g. mass cytometry) and Multiplex Imaging applications.

Use our conjugation kits for antibody conjugates that are ready-to-use in as little as 20 minutes with 1 minute hands-on-time and 100% antibody recovery: available for fluorescent dyes, HRP, biotin and gold.

Compatibility
This product is compatible with the Maxpar® Antibody Labeling Kit from Fluidigm, without the need for antibody preparation. Maxpar® is a trademark of Fluidigm Canada Inc.

Properties and storage information

Form
Liquid
Purification technique
Affinity purification Protein A
Storage buffer
pH: 7.2 - 7.4 Constituents: PBS
Shipped at conditions
Blue Ice
Appropriate short-term storage conditions
+4°C
Appropriate long-term storage conditions
+4°C
Storage information
Do Not Freeze

Supplementary information

This supplementary information is collated from multiple sources and compiled automatically.

CD8 alpha also known as CD8A or CD8 protein is a glycoprotein subunit expressed on the surface of cytotoxic T lymphocytes. It has a mass of approximately 32 kDa. Found on the surface cell membrane CD8 alpha functions primarily in the immune response specifically in the recognition of antigens bound to major histocompatibility complex (MHC) class I molecules. Often scientists use CD8 antibodies for detection and CD8 IHC or immunohistochemistry for localization studies.
Biological function summary

The CD8 alpha protein plays a critical role in T-cell mediated immune responses. It forms a heterodimer with the CD8 beta chain creating the CD8 alpha-beta complex that strengthens T-cell interaction with antigen-presenting cells. CD8 alpha also helps in signaling processes that activate T cells equipping them to destroy infected or malignant cells. Researchers often study CD8 alpha peptides to understand its interactions better.

Pathways

CD8 alpha is integral to the T-cell receptor signaling pathway and the cytotoxic T lymphocyte (CTL) pathway. The T-cell receptor complex which includes the CD8 molecule transmits signals that are important for T-cell activation and function. CD8 interacts with key proteins such as the T-cell receptor (TCR) and MHC class I molecules facilitating targeted responses against pathogens. These pathways highlight CD8 alpha’s role in adaptive immunity.

CD8 alpha is most prominently associated with viral infections and cancer. Conditions like HIV and some forms of leukemia show altered CD8 function highlighting the protein's role in immune surveillance. In HIV infection for instance CD8 T cells reduce in number impairing the immune response. CD8 alpha’s connection to the immune system places it alongside other immune proteins such as CD4 and MHC molecules in the context of immune dysfunction.

Product protocols

For this product, it's our understanding that no specific protocols are required. You can visit:

Target data

Integral membrane glycoprotein that plays an essential role in the immune response and serves multiple functions in responses against both external and internal offenses. In T-cells, functions primarily as a coreceptor for MHC class I molecule : peptide complex. The antigens presented by class I peptides are derived from cytosolic proteins while class II derived from extracellular proteins. Interacts simultaneously with the T-cell receptor (TCR) and the MHC class I proteins presented by antigen presenting cells (APCs). In turn, recruits the Src kinase LCK to the vicinity of the TCR-CD3 complex. LCK then initiates different intracellular signaling pathways by phosphorylating various substrates ultimately leading to lymphokine production, motility, adhesion and activation of cytotoxic T-lymphocytes (CTLs). This mechanism enables CTLs to recognize and eliminate infected cells and tumor cells. In NK-cells, the presence of CD8A homodimers at the cell surface provides a survival mechanism allowing conjugation and lysis of multiple target cells. CD8A homodimer molecules also promote the survival and differentiation of activated lymphocytes into memory CD8 T-cells.
See full target information Cd8a

Publications (1)

Recent publications for all applications. Explore the full list and refine your search

Aging 14:2004-2013 PubMed35196650

2022

MKRN2 inhibits the proliferation of gastric cancer by downregulating PKM2.

Applications

Unspecified application

Species

Unspecified reactive species

Zheng Liu,Shuyao Xiang,Xingchen Guo,Jinghuan Zhou,Lixin Liao,Jiaxin Kou,Jun Zhang
View all publications

Product promise

We are committed to supporting your work with high-quality reagents, and we're here for you every step of the way. In the unlikely event that one of our products does not perform as expected, you're protected by our Product Promise.
For full details, please see our Terms & Conditions

Please note: All products are 'FOR RESEARCH USE ONLY. NOT FOR USE IN DIAGNOSTIC OR THERAPEUTIC PROCEDURES'.

For licensing inquiries, please contact partnerships@abcam.com