JavaScript is disabled in your browser. Please enable JavaScript to view this website.
AB245830

Anti-CD8 alpha antibody [EPR22483-288] - BSA and Azide free

  • BOND RX™ Validated
  • Recombinant
  • Advanced Validation
  • RabMAb
  • What is this?

Be the first to review this product! Submit a review

|

(1 Publication)

Rabbit Recombinant Monoclonal CD8 alpha antibody. Carrier free. Suitable for mIHC, IP, Flow Cyt, IHC-P and reacts with Human samples. Cited in 1 publication.

View Alternative Names

CD8a, MAL, CD8A, T-cell surface glycoprotein CD8 alpha chain, T-lymphocyte differentiation antigen T8/Leu-2

9 Images
Multiplex immunohistochemistry - Anti-CD8 alpha antibody [EPR22483-288] - BSA and Azide free (AB245830)
  • mIHC

Lab

Multiplex immunohistochemistry - Anti-CD8 alpha antibody [EPR22483-288] - BSA and Azide free (AB245830)

This data was developed using ab245118, the same antibody clone in a different buffer formulation.

Multiplex immunohistochemistry analysis of formalin/PFA-fixed paraffin-embedded Human tonsil staining of PVRIG/CD112R with ab322348 at a 1/100 (5.16 µg/ml) dilution, CD19 with ab320735 at 1/2000 (0.255 µg/ml) dilution and CD8A with ab245118 at 1/1000 ( 0.375 µg/ml) dilution.

Panel A : merged staining of anti-PVRIG/CD112R (green; Opal™520), anti-CD8A (magenta; Opal™570) and anti-CD19 (yellow; Opal™690) on human tonsil.
Panel B : anti-PVRIG/CD112R staining memory and effector CD8+ T lymphocytes in human tonsil.
Panel C : anti-CD8A staining CD8+ T lymphocytes in human tonsil.
Panel D : anti-CD19 staining B lymphocytes in human tonsil.
Nuclear DNA was labeled with DAPI (shown in blue). ).

The section was incubated in three rounds of staining : in the order of ab322348, ab245118 and ab320735 for 30 mins at room temperature. Each round was followed by a separate fluorescent tyramide signal amplification system.

Heat mediated antigen retrieval with Tris-EDTA buffer (pH 9.0 epitope retrieval solution2) for 20 mins.

Multiplex immunohistochemistry - Anti-CD8 alpha antibody [EPR22483-288] - BSA and Azide free (AB245830)
  • mIHC

Supplier Data

Multiplex immunohistochemistry - Anti-CD8 alpha antibody [EPR22483-288] - BSA and Azide free (AB245830)

This data was developed using ab245118, the same antibody clone in a different buffer formulation.

Multiplex immunohistochemistry analysis of formalin/PFA-fixed paraffin-embedded Human spleen tissue labeling CD8 alpha with ab245118 at 1/500 dilution, CD4 with ab238798 at 1/500, and CD19 with ab237772 at 1/5000 dilution.

Panel A : merged staining of anti-CD8 alpha (magenta; Opal™690), anti-CD4 (green; Opal™520) and anti-CD19 (red; Opal™570) on human spleen.
Panel B : anti-CD8 alpha stained on cytotoxic T cells.
Panel C : anti-CD4 stained on T helper cells.
Panel D : anti-CD19 stained on B cells.

Sections were treated using heat mediated antigen retrieval with Tris-EDTA buffer (pH 9.0, epitope retrieval solution2) for 20 mins before antibody incubation. The section was incubated in three rounds of staining : in the order of ab245118 for 30 mins, then ab238798 and ab237772 for 10 mins at room temperature. Each round was followed by a separate fluorescent tyramide signal amplification system.

DAPI was used as a nuclear counterstain.

The immunostaining was performed on a Leica Biosystems BOND® RX instrument with an Opal™ 4-color kit. Image acquisition was performed with Leica SP8 confocal microscope.

Multiplex immunohistochemistry - Anti-CD8 alpha antibody [EPR22483-288] - BSA and Azide free (AB245830)
  • mIHC

Supplier Data

Multiplex immunohistochemistry - Anti-CD8 alpha antibody [EPR22483-288] - BSA and Azide free (AB245830)

This data was developed using ab245118, the same antibody clone in a different buffer formulation.

Multiplex immunohistochemistry analysis of formalin/PFA-fixed paraffin-embedded Human tonsil tissue labeling CD8 alpha with ab245118 at 1/500 dilution, CD4 with ab238798 at 1/500, and CD19 with ab237772 at 1/5000 dilution.

Panel A : merged staining of anti-CD8 alpha (magenta; Opal™690), anti-CD4 (green; Opal™520) and anti-CD19 (red; Opal™570) on human tonsil.
Panel B : anti-CD8 alpha stained on cytotoxic T cells.
Panel C : anti-CD4 stained on T helper cells.
Panel D : anti-CD19 stained on B cells.

Sections were treated using heat mediated antigen retrieval with Tris-EDTA buffer (pH 9.0, epitope retrieval solution2) for 20 mins before antibody incubation. The section was incubated in three rounds of staining : in the order of ab245118 for 30 mins, then ab238798 and ab237772 for 10 mins at room temperature. Each round was followed by a separate fluorescent tyramide signal amplification system.

DAPI was used as a nuclear counterstain.

The immunostaining was performed on a Leica Biosystems BOND® RX instrument with an Opal™ 4-color kit. Image acquisition was performed with Leica SP8 confocal microscope.

Flow Cytometry - Anti-CD8 alpha antibody [EPR22483-288] - BSA and Azide free (AB245830)
  • Flow Cyt

Unknown

Flow Cytometry - Anti-CD8 alpha antibody [EPR22483-288] - BSA and Azide free (AB245830)

Flow cytometric analysis of human peripheral blood mononuclear cells (PBMC) labeling CD8 alpha with ab245118 at 1/400 (right panel) compared with a Rabbit monoclonal IgG (ab172730) (left panel). Goat anti rabbit IgG (Dylight® 488, ab98462) at 1/2000 dilution was used as the secondary antibody.

Cells were stained with rabbit IgG (Left) or anti-CD8 alpha RabMab (Right). Then stained with Alexa Fluor® 647-conjugated anti-CD4. The expressions of CD4 and CD8 alpha are mutually exclusive.

Gated on viable lymphocytes.

This data was developed using the same antibody clone in a different buffer formulation containing PBS, BSA, glycerol, and sodium azide (ab245118).

Immunohistochemistry (Formalin/PFA-fixed paraffin-embedded sections) - Anti-CD8 alpha antibody [EPR22483-288] - BSA and Azide free (AB245830)
  • IHC-P

Unknown

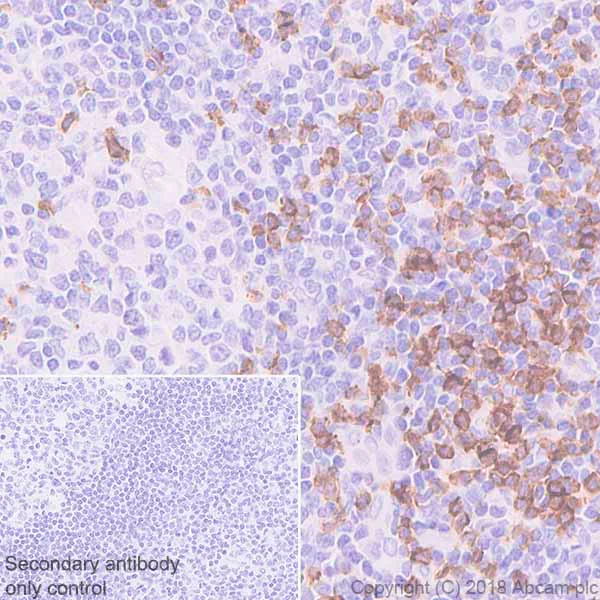
Immunohistochemistry (Formalin/PFA-fixed paraffin-embedded sections) - Anti-CD8 alpha antibody [EPR22483-288] - BSA and Azide free (AB245830)

Immunohistochemical analysis of paraffin-embedded human tonsil tissue labeling CD8 alpha with ab245118 at 1/1000 dilution, followed by a ready to use Goat Anti-Rabbit IgG H&L (HRP). Positive staining on the T cell zone of human tonsil (PMID : 16504163) is observed. Counterstained with hematoxylin.
Secondary antibody only control : Used PBS instead of primary antibody, secondary antibody is a ready to use Goat Anti-Rabbit IgG H&L (HRP).
Perform heat mediated antigen retrieval using ab93684 (Tris/EDTA buffer, pH 9.0).This data was developed using the same antibody clone in a different buffer formulation containing PBS, BSA, glycerol, and sodium azide (ab245118).

Immunohistochemistry (Formalin/PFA-fixed paraffin-embedded sections) - Anti-CD8 alpha antibody [EPR22483-288] - BSA and Azide free (AB245830)
  • IHC-P

Unknown

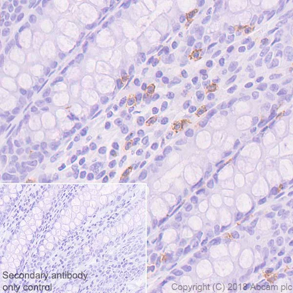
Immunohistochemistry (Formalin/PFA-fixed paraffin-embedded sections) - Anti-CD8 alpha antibody [EPR22483-288] - BSA and Azide free (AB245830)

Immunohistochemical analysis of paraffin-embedded human colon tissue labeling CD8 alpha with ab245118 at 1/1000 dilution, followed by a ready to use Goat Anti-Rabbit IgG H&L (HRP). Positive staining on lymphocytes of human colon (PMID : 26310568) is observed. Counterstained with hematoxylin.
Secondary antibody only control : Used PBS instead of primary antibody, secondary antibody is a ready to use Goat Anti-Rabbit IgG H&L (HRP).
Perform heat mediated antigen retrieval using ab93684 (Tris/EDTA buffer, pH 9.0).This data was developed using the same antibody clone in a different buffer formulation containing PBS, BSA, glycerol, and sodium azide (ab245118).

Multiplex immunohistochemistry - Anti-CD8 alpha antibody [EPR22483-288] - BSA and Azide free (AB245830)
  • mIHC

Lab

Multiplex immunohistochemistry - Anti-CD8 alpha antibody [EPR22483-288] - BSA and Azide free (AB245830)

This data was developed using ab245118, the same antibody clone in a different buffer formulation.

Multiplex immunohistochemistry analysis of formalin/PFA-fixed paraffin-embedded Human colon staining of PVRIG/CD112R with ab322348 at a 1/100 (5.16 µg/ml) dilution, CD19 with ab320735 at 1/2000 (0.255 µg/ml) dilution and CD8A with ab245118 at 1/1000 ( 0.375 µg/ml) dilution.

Panel A : merged staining of anti-PVRIG/CD112R (green; Opal™520), anti-CD8A (magenta; Opal™570) and anti-CD19 (yellow; Opal™690) on Human colon.
Panel B : anti-PVRIG/CD112R staining memory and effector CD8+ T lymphocytes in Human colon.
Panel C : anti-CD8A staining CD8+ T lymphocytes in Human colon.
Panel D : anti-CD19 staining B lymphocytes in Human colon.
Nuclear DNA was labelled with DAPI (shown in blue). ).

The section was incubated in three rounds of staining : in the order of ab322348, ab245118 and ab320735 for 30 mins at room temperature. Each round was followed by a separate fluorescent tyramide signal amplification system.

Heat mediated antigen retrieval with Tris-EDTA buffer (pH 9.0 epitope retrieval solution2) for 20 mins.

Multiplex immunohistochemistry - Anti-CD8 alpha antibody [EPR22483-288] - BSA and Azide free (AB245830)
  • mIHC

Lab

Multiplex immunohistochemistry - Anti-CD8 alpha antibody [EPR22483-288] - BSA and Azide free (AB245830)

This data was developed using ab245118, the same antibody clone in a different buffer formulation.

Multiplex immunohistochemistry analysis of formalin/PFA-fixed paraffin-embedded Human spleen staining of PVRIG/CD112R with ab322348 at a 1/100 (5.16 µg/ml) dilution, CD19 with ab320735 at 1/2000 (0.255 µg/ml) dilution and CD8A with ab245118 at 1/1000 ( 0.375 µg/ml) dilution.

Panel A : merged staining of anti-PVRIG/CD112R (green; Opal™520), anti-CD8A (magenta; Opal™570) and anti-CD19 (yellow; Opal™690) on human spleen.
Panel B : anti-PVRIG/CD112R staining memory and effector CD8+ T lymphocytes in human spleen.
Panel C : anti-CD8A staining CD8+ T lymphocytes in human spleen.
Panel D : anti-CD19 staining B lymphocytes in human spleen.
Nuclear DNA was labelled with DAPI (shown in blue). ).

The section was incubated in three rounds of staining : in the order of ab322348, ab245118 and ab320735 for 30 mins at room temperature. Each round was followed by a separate fluorescent tyramide signal amplification system.

Heat mediated antigen retrieval with Tris-EDTA buffer (pH 9.0 epitope retrieval solution2) for 20 mins.

Immunoprecipitation - Anti-CD8 alpha antibody [EPR22483-288] - BSA and Azide free (AB245830)
  • IP

Unknown

Immunoprecipitation - Anti-CD8 alpha antibody [EPR22483-288] - BSA and Azide free (AB245830)

CD8 alpha was immunoprecipitated from 0.35 mg human thymus lysate with ab245118 at 1/30 dilution. Western blot was performed from the immunoprecipitate using ab245118 at 1/500 dilution. VeriBlot for IP Detection Reagent (HRP) (ab131366), was used for detection at 1/1000 dilution.

Lane 1 : Human thymus lysate 10 μg (Input).
Lane 2 : ab245118 IP in human thymus lysate.
Lane 3 : Rabbit monoclonal IgG (ab172730) instead of ab245118 in human thymus lysate.

Blocking/Dilution buffer : 5% NFDM/TBST.
Exposure time : 30 seconds.

This data was developed using the same antibody clone in a different buffer formulation containing PBS, BSA, glycerol, and sodium azide (ab245118).

All lanes:

Immunoprecipitation - Anti-CD8 alpha antibody [EPR22483-288] (<a href='/en-us/products/primary-antibodies/cd8-alpha-antibody-epr22483-288-ab245118'>ab245118</a>)

Predicted band size: 26 kDa

Observed band size: 26 kDa

false

Key facts

Host species

Rabbit

Clonality

Monoclonal

Clone number

EPR22483-288

Isotype

IgG

Carrier free

Yes

Reacts with

Human

Applications

IP, mIHC, Flow Cyt, IHC-P

applications

Immunogen

The exact immunogen used to generate this antibody is proprietary information.

Reactivity data

{ "title": "Reactivity Data", "filters": { "stats": ["", "Species", "Dilution Info", "Notes"], "tabs": { "all-applications": {"fullname" : "All Applications", "shortname": "All Applications"}, "mIHC" : {"fullname" : "Multiplex immunohistochemistry", "shortname":"mIHC"}, "IP" : {"fullname" : "Immunoprecipitation", "shortname":"IP"}, "FlowCyt" : {"fullname" : "Flow Cytometry", "shortname":"Flow Cyt"}, "WB" : {"fullname" : "Western blot", "shortname":"WB"}, "ICCIF" : {"fullname" : "Immunocytochemistry/ Immunofluorescence", "shortname":"ICC/IF"}, "IHCP" : {"fullname" : "Immunohistochemistry (Formalin/PFA-fixed paraffin-embedded sections)", "shortname":"IHC-P"} }, "product-promise": { "all": "all", "testedAndGuaranteed": "tested", "guaranteed": "expected", "predicted": "predicted", "notRecommended": "not-recommended" } }, "values": { "Human": { "mIHC-species-checked": "testedAndGuaranteed", "mIHC-species-dilution-info": "", "mIHC-species-notes": "<p></p>", "IP-species-checked": "testedAndGuaranteed", "IP-species-dilution-info": "", "IP-species-notes": "<p></p>", "FlowCyt-species-checked": "testedAndGuaranteed", "FlowCyt-species-dilution-info": "", "FlowCyt-species-notes": "<p></p>", "WB-species-checked": "notRecommended", "WB-species-dilution-info": "", "WB-species-notes": "<p></p>", "ICCIF-species-checked": "notRecommended", "ICCIF-species-dilution-info": "", "ICCIF-species-notes": "<p></p>", "IHCP-species-checked": "testedAndGuaranteed", "IHCP-species-dilution-info": "", "IHCP-species-notes": "<p></p>" } } }

Product details

ab245830 is the carrier-free version of ab245118.

Patented technology
Our RabMAb® technology is a patented hybridoma-based technology for making rabbit monoclonal antibodies. For details on our patents, please refer to RabMAb® patents.

What are the advantages of a recombinant monoclonal antibody?
This product is a recombinant monoclonal antibody, which offers several advantages including:

  • - High batch-to-batch consistency and reproducibility
  • - Improved sensitivity and specificity
  • - Long-term security of supply
  • - Animal-free batch production

For more information, read more on recombinant antibodies.

Conjugation ready
Our carrier-free antibodies are typically supplied in a PBS-only formulation, purified and free of BSA, sodium azide and glycerol. This conjugation-ready format is designed for use with fluorochromes, metal isotopes, oligonucleotides, and enzymes, which makes them ideal for antibody labelling, functional and cell-based assays, flow-based assays (e.g. mass cytometry) and Multiplex Imaging applications.

Use our conjugation kits for antibody conjugates that are ready-to-use in as little as 20 minutes with 1 minute hands-on-time and 100% antibody recovery: available for fluorescent dyes, HRP, biotin and gold.

Compatibility
This product is compatible with the Maxpar® Antibody Labeling Kit from Fluidigm, without the need for antibody preparation. Maxpar® is a trademark of Fluidigm Canada Inc.

Properties and storage information

Form
Liquid
Purification technique
Affinity purification Protein A
Storage buffer
pH: 7.2 - 7.4 Constituents: PBS
Shipped at conditions
Blue Ice
Appropriate short-term storage conditions
+4°C
Appropriate long-term storage conditions
+4°C
Storage information
Do Not Freeze

Supplementary information

This supplementary information is collated from multiple sources and compiled automatically.

CD8 alpha also known as CD8A or CD8 protein is a glycoprotein subunit expressed on the surface of cytotoxic T lymphocytes. It has a mass of approximately 32 kDa. Found on the surface cell membrane CD8 alpha functions primarily in the immune response specifically in the recognition of antigens bound to major histocompatibility complex (MHC) class I molecules. Often scientists use CD8 antibodies for detection and CD8 IHC or immunohistochemistry for localization studies.
Biological function summary

The CD8 alpha protein plays a critical role in T-cell mediated immune responses. It forms a heterodimer with the CD8 beta chain creating the CD8 alpha-beta complex that strengthens T-cell interaction with antigen-presenting cells. CD8 alpha also helps in signaling processes that activate T cells equipping them to destroy infected or malignant cells. Researchers often study CD8 alpha peptides to understand its interactions better.

Pathways

CD8 alpha is integral to the T-cell receptor signaling pathway and the cytotoxic T lymphocyte (CTL) pathway. The T-cell receptor complex which includes the CD8 molecule transmits signals that are important for T-cell activation and function. CD8 interacts with key proteins such as the T-cell receptor (TCR) and MHC class I molecules facilitating targeted responses against pathogens. These pathways highlight CD8 alpha’s role in adaptive immunity.

CD8 alpha is most prominently associated with viral infections and cancer. Conditions like HIV and some forms of leukemia show altered CD8 function highlighting the protein's role in immune surveillance. In HIV infection for instance CD8 T cells reduce in number impairing the immune response. CD8 alpha’s connection to the immune system places it alongside other immune proteins such as CD4 and MHC molecules in the context of immune dysfunction.

Product protocols

For this product, it's our understanding that no specific protocols are required. You can visit:

Target data

The protein expressed by the gene CD8A is an integral membrane glycoprotein crucial for immune responses, operating mainly in T-cells as a coreceptor for MHC class I molecule : peptide complexes. These peptides originate from cytosolic proteins, unlike class II peptides, which are from extracellular proteins. CD8A interacts with the T-cell receptor (TCR) and MHC class I proteins on antigen-presenting cells, recruiting the Src kinase LCK to the TCR-CD3 complex. LCK phosphorylates substrates, triggering signaling pathways that lead to the production of lymphokines, enhanced motility, adhesion, and activation of cytotoxic T-lymphocytes (CTLs), thereby aiding in the recognition and elimination of infected or tumor cells. Additionally, in natural killer (NK) cells, CD8A homodimers on the cell surface provide a survival mechanism for conjugating with and lysing multiple target cells. CD8A homodimers also facilitate the survival and differentiation of activated lymphocytes into memory CD8 T-cells. This supplementary information is collated from multiple sources and compiled automatically.
See full target information CD8A

Publications (1)

Recent publications for all applications. Explore the full list and refine your search

Journal of nanobiotechnology 22:563 PubMed39272146

2024

Circ_0001947 encapsulated by small extracellular vesicles promotes gastric cancer progression and anti-PD-1 resistance by modulating CD8 T cell exhaustion.

Applications

Unspecified application

Species

Unspecified reactive species

Bingyu Wang,Wenbo Liu,Mingming Zhang,Yong Li,Hongyue Tang,Yingying Wang,Chao Song,Buyun Song,Bibo Tan
View all publications

Product promise

We are committed to supporting your work with high-quality reagents, and we're here for you every step of the way. In the unlikely event that one of our products does not perform as expected, you're protected by our Product Promise.
For full details, please see our Terms & Conditions

Please note: All products are 'FOR RESEARCH USE ONLY. NOT FOR USE IN DIAGNOSTIC OR THERAPEUTIC PROCEDURES'.

For licensing inquiries, please contact partnerships@abcam.com