JavaScript is disabled in your browser. Please enable JavaScript to view this website.
AB316778

Anti-CD8 alpha antibody [RM1129]

  • BOND RX™ Validated
  • 20ul selling size
  • Recombinant
  • RabMAb
  • What is this?

Be the first to review this product! Submit a review

|

(13 Publications)

Anti-CD8 alpha antibody [RM1129] (ab316778) is a rabbit recombinant multiclonal antibody detecting CD8 alpha in Western Blot, Flow Cytometry (Intra), Flow Cytometry, IP, IHC-P, ICC/IF. Suitable for Human, Mouse.

- Biophysical QC for unrivalled batch-batch consistency

View Alternative Names

CD8a, MAL, CD8A, T-cell surface glycoprotein CD8 alpha chain, T-lymphocyte differentiation antigen T8/Leu-2

11 Images
Immunohistochemistry (Formalin/PFA-fixed paraffin-embedded sections) - Anti-CD8 alpha antibody [RM1129] (AB316778)
  • IHC-P

Supplier Data

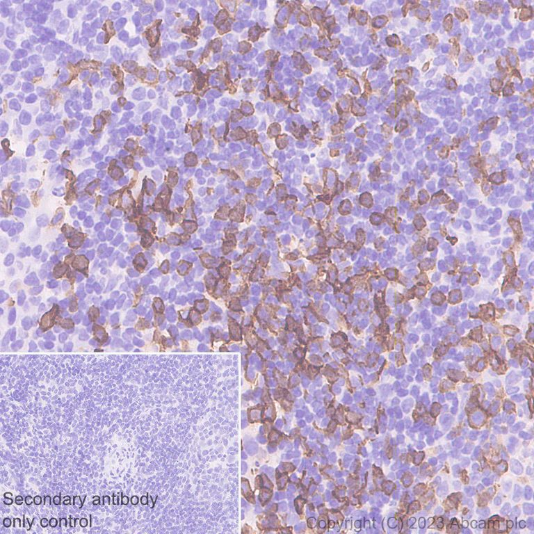
Immunohistochemistry (Formalin/PFA-fixed paraffin-embedded sections) - Anti-CD8 alpha antibody [RM1129] (AB316778)

Immunohistochemical analysis of paraffin-embedded Human tonsil tissue labeling CD8 alpha with ab316778 at 1/100 (4.95 ug/ml) dilution, followed by a ready to use LeicaDS9800 (Bond™ Polymer Refine Detection).

Positive staining on human tonsil.
The section was incubated with ab316778 for 30 mins at room temperature.
The immunostaining was performed on a Leica Biosystems BOND® RX instrument.

Counterstained with Hematoxylin.

Secondary antibody only control : Secondary antibody is a ready to use LeicaDS9800 (Bond™ Polymer Refine Detection).

Heat mediated antigen retrieval was performed with Tris-EDTA buffer (pH 9.0, Epitope Retrieval Solution2) for 20 mins.

Flow Cytometry (Intracellular) - Anti-CD8 alpha antibody [RM1129] (AB316778)
  • Flow Cyt (Intra)

Supplier Data

Flow Cytometry (Intracellular) - Anti-CD8 alpha antibody [RM1129] (AB316778)

Flow cytometric analysis of 4% paraformaldehyde fixed 90% methanol permeabilized Human PBMC (human peripheral blood mononuclear cell) cells labelling CD8 alpha with ab316778 at 1/500 dilution (0.1ug)/ Right (Red) compared with a Rabbit monoclonal IgG (ab172730) / Left isotype control.

Goat Anti-Rabbit IgG (Alexa Fluor® 488, ab150081) at 1/5000 dilution was used as the secondary antibody.

Cells are co-stianed with CD4 conjugated to Alexa Fluor®647.

Immunohistochemistry (Formalin/PFA-fixed paraffin-embedded sections) - Anti-CD8 alpha antibody [RM1129] (AB316778)
  • IHC-P

Supplier Data

Immunohistochemistry (Formalin/PFA-fixed paraffin-embedded sections) - Anti-CD8 alpha antibody [RM1129] (AB316778)

Immunohistochemical analysis of paraffin-embedded Human gastric cancer tissue labeling CD8 alpha with ab316778 at 1/100 (4.95 ug/ml) dilution, followed by a ready to use LeicaDS9800 (Bond™ Polymer Refine Detection).

Positive staining on T lymphocytes of human gastric cancer.
The section was incubated with ab316778 for 30 mins at room temperature.
The immunostaining was performed on a Leica Biosystems BOND® RX instrument.

Counterstained with Hematoxylin.

Secondary antibody only control : Secondary antibody is a ready to use LeicaDS9800 (Bond™ Polymer Refine Detection).

Heat mediated antigen retrieval was performed with Tris-EDTA buffer (pH 9.0, Epitope Retrieval Solution2) for 20 mins.

Immunohistochemistry (Formalin/PFA-fixed paraffin-embedded sections) - Anti-CD8 alpha antibody [RM1129] (AB316778)
  • IHC-P

Supplier Data

Immunohistochemistry (Formalin/PFA-fixed paraffin-embedded sections) - Anti-CD8 alpha antibody [RM1129] (AB316778)

Immunohistochemical analysis of paraffin-embedded Human colon tissue labeling CD8 alpha with ab316778 at 1/100 (4.95 ug/ml) dilution, followed by a ready to use LeicaDS9800 (Bond™ Polymer Refine Detection).

Positive staining on T lymphocytes of human colon.
The section was incubated with ab316778 for 30 mins at room temperature.
The immunostaining was performed on a Leica Biosystems BOND® RX instrument.

Counterstained with Hematoxylin.

Secondary antibody only control : Secondary antibody is a ready to use LeicaDS9800 (Bond™ Polymer Refine Detection).

Heat mediated antigen retrieval was performed with Tris-EDTA buffer (pH 9.0, Epitope Retrieval Solution2) for 20 mins.

Immunocytochemistry/ Immunofluorescence - Anti-CD8 alpha antibody [RM1129] (AB316778)
  • ICC/IF

Supplier Data

Immunocytochemistry/ Immunofluorescence - Anti-CD8 alpha antibody [RM1129] (AB316778)

Immunofluorescent analysis of 4% Paraformaldehyde-fixed, 0.1% TritonX-100 permeabilized Human PBMC (human primary peripheral blood mononuclear cell) cells labellingCD8 alpha with ab316778 at 1/100 (4.95 ug/ml) dilution, followed by ab150081 Goat Anti-Rabbit IgG H&L (Alexa Fluor® 488) preadsorbed antibody at 1/1000 (2 ug/ml) dilution.

Confocal image showing membranous and cytoplasmic staining in subsets of human PBMCs (shown in green). The counterstain was observed in red. Nuclear DNA was labeled with DAPI (shown in blue).
Image was taken with a confocal microscope(Leica-Microsystems, TCS SP8).

ab195889 Anti-alpha Tubulin mouse monoclonal antibody - Microtubule Marker (Alexa Fluor® 594) was used to counterstain tubulin at 1/200 (2.5 ug/ml) dilution. The Nuclear counterstain was DAPI.

Secondary antibody only control : Secondary antibody is ab150081 Goat Anti-Rabbit IgG H&L (Alexa Fluor® 488) preadsorbed at 1/1000 (2 ug/ml) dilution.

Immunoprecipitation - Anti-CD8 alpha antibody [RM1129] (AB316778)
  • IP

Supplier Data

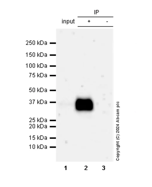
Immunoprecipitation - Anti-CD8 alpha antibody [RM1129] (AB316778)

CD8 alpha was immunoprecipitated from 0.35 mg Human thymus tissue lysate with ab316778 at 1/30 dilution (2ug in 0.35mg lysates). Western blot was performed on the immunoprecipitate using ab316778 at 1/1000 dilution. VeriBlot for IP secondary antibody(HRP)(ab131366) was used at 1/5000 dilution.

Lane 1 : Human thymus tissue lysate
Lane 2 : ab316778 IP in Human thymus tissue lysate
Lane 3 : Rabbit monoclonal IgG (ab172730) instead of ab316778 in human thymus tissue lysate

All lanes:

Immunoprecipitation - Anti-CD8 alpha antibody [RM1129] (ab316778) at 1/30 dilution

All lanes:

Human thymus tissue lysate with 5% NFDM/TBST

Secondary

All lanes:

Immunoprecipitation - VeriBlot for IP Detection Reagent (HRP) (<a href='/en-us/products/reagents/veriblot-for-ip-detection-reagent-hrp-ab131366'>ab131366</a>) at 1/5000 dilution

false

Exposure time: 93s

Immunohistochemistry (Formalin/PFA-fixed paraffin-embedded sections) - Anti-CD8 alpha antibody [RM1129] (AB316778)
  • IHC-P

Supplier Data

Immunohistochemistry (Formalin/PFA-fixed paraffin-embedded sections) - Anti-CD8 alpha antibody [RM1129] (AB316778)

Immunohistochemical analysis of paraffin-embedded Mouse spleen tissue labeling CD8 alpha with ab316778 at 1/100 (4.95 ug/ml) dilution, followed by a ready to use LeicaDS9800 (Bond™ Polymer Refine Detection).

Positive staining on mouse spleen.
The section was incubated with ab316778 for 30 mins at room temperature.
The immunostaining was performed on a Leica Biosystems BOND® RX instrument.

Counterstained with Hematoxylin.

Secondary antibody only control : Secondary antibody is a ready to use LeicaDS9800 (Bond™ Polymer Refine Detection).

Heat mediated antigen retrieval was performed with Tris-EDTA buffer (pH 9.0, Epitope Retrieval Solution2) for 20 mins.

Immunocytochemistry/ Immunofluorescence - Anti-CD8 alpha antibody [RM1129] (AB316778)
  • ICC/IF

Supplier Data

Immunocytochemistry/ Immunofluorescence - Anti-CD8 alpha antibody [RM1129] (AB316778)

Immunofluorescent analysis of 4% Paraformaldehyde-fixed, 0.1% TritonX-100 permeabilized Mouse splenocyte cells labellingCD8 alpha with ab316778 at 1/100 (4.95 ug/ml) dilution, followed by ab150081 Goat Anti-Rabbit IgG H&L (Alexa Fluor® 488) preadsorbed antibody at 1/1000 (2 ug/ml) dilution.

Confocal image showing membranous and cytoplasmic staining in subsets of mouse splenocytes (shown in green). The counterstain was observed in red. Nuclear DNA was labeled with DAPI (shown in blue).
Image was taken with a confocal microscope(Leica-Microsystems, TCS SP8).

ab195889 Anti-alpha Tubulin mouse monoclonal antibody - Microtubule Marker (Alexa Fluor® 594) was used to counterstain tubulin at 1/200 (2.5 ug/ml) dilution. The Nuclear counterstain was DAPI.

Secondary antibody only control : Secondary antibody is ab150081 Goat Anti-Rabbit IgG H&L (Alexa Fluor® 488) preadsorbed at 1/1000 (2 ug/ml) dilution.

Flow Cytometry - Anti-CD8 alpha antibody [RM1129] (AB316778)
  • Flow Cyt

Supplier Data

Flow Cytometry - Anti-CD8 alpha antibody [RM1129] (AB316778)

Flow cytometric analysis of Mouse splenocytes cells labelling CD8 alpha with ab316778 at 1/50 dilution (1 ug)/Right compared with a Rabbit monoclonal IgG (ab172730) / Left isotype control.

Goat Anti-Rabbit IgG (Alexa Fluor® 488, ab150081) at 1/5000 dilution was used as the secondary antibody.

Gated on viable cells. Cells are co-stained with CD4 conjugated to Alexa Fluor®647.

Immunoprecipitation - Anti-CD8 alpha antibody [RM1129] (AB316778)
  • IP

Supplier Data

Immunoprecipitation - Anti-CD8 alpha antibody [RM1129] (AB316778)

CD8 alpha was immunoprecipitated from 0.35 mg Mouse spleen tissue lysate with ab316778 at 1/30 dilution (2ug in 0.35mg lysates). Western blot was performed on the immunoprecipitate using ab316778 at 1/1000 dilution. VeriBlot for IP secondary antibody(HRP)(ab131366) was used at 1/5000 dilution.

Lane 1 : Mouse spleen tissue lysate
Lane 2 : ab316778 IP in Mouse spleen tissue lysate
Lane 3 : Rabbit monoclonal IgG (ab172730) instead of ab316778 in mouse spleen tissue lysate

All lanes:

Immunoprecipitation - Anti-CD8 alpha antibody [RM1129] (ab316778) at 1/30 dilution

All lanes:

Mouse spleen tissue lysate with 5% NFDM/TBST

Secondary

All lanes:

Immunoprecipitation - VeriBlot for IP Detection Reagent (HRP) (<a href='/en-us/products/reagents/veriblot-for-ip-detection-reagent-hrp-ab131366'>ab131366</a>) at 1/5000 dilution

false

Exposure time: 6s

Western blot - Anti-CD8 alpha antibody [RM1129] (AB316778)
  • WB

Supplier Data

Western blot - Anti-CD8 alpha antibody [RM1129] (AB316778)

Negative control : brain, heart and kidney.

The two bands are different isoforms that are consistent with the literature (PMID 3085089).

In Western blot, Anti-GAPDH antibody [EPR16891] - Loading Control (ab181602) staining at 1/200000 dilution.

Exposure time : Lane 1-4 : 180 seconds Lane 5 : 10 seconds

All lanes:

Western blot - Anti-CD8 alpha antibody [RM1129] (ab316778) at 1/1000 dilution

Lane 1:

Mouse brain tissue lysate at 20 µg with 5% NFDM/TBST

Lane 2:

Mouse heart tissue lysate at 20 µg with 5% NFDM/TBST

Lane 3:

Mouse kidney tissue lysate at 20 µg with 5% NFDM/TBST

Lane 4:

Mouse spleen tissue lysate at 20 µg with 5% NFDM/TBST

Lane 5:

Mouse thymus tissue lysate at 20 µg with 5% NFDM/TBST

Secondary

All lanes:

Western blot - Goat Anti-Rabbit IgG H&L (HRP) (<a href='/en-us/products/secondary-antibodies/goat-rabbit-igg-h-l-hrp-ab97051'>ab97051</a>) at 1/100000 dilution

Observed band size: 28-32 kDa,36 kDa

false

  • Carrier free

    Anti-CD8 alpha antibody [RM1129] - BSA and Azide free

Key facts

Host species

Rabbit

Clonality

Multiclonal

Clone number

RM1129

Isotype

IgG

Carrier free

No

Reacts with

Mouse, Human

Applications

Flow Cyt, IHC-P, Flow Cyt (Intra), WB, ICC/IF, IP

applications

Immunogen

The exact immunogen used to generate this antibody is proprietary information.

Specificity

unsuitable for Human WB.

Reactivity data

{ "title": "Reactivity Data", "filters": { "stats": ["", "Species", "Dilution Info", "Notes"], "tabs": { "all-applications": {"fullname" : "All Applications", "shortname": "All Applications"}, "WB" : {"fullname" : "Western blot", "shortname":"WB"}, "IP" : {"fullname" : "Immunoprecipitation", "shortname":"IP"}, "IHCP" : {"fullname" : "Immunohistochemistry (Formalin/PFA-fixed paraffin-embedded sections)", "shortname":"IHC-P"}, "ICCIF" : {"fullname" : "Immunocytochemistry/ Immunofluorescence", "shortname":"ICC/IF"}, "FlowCyt" : {"fullname" : "Flow Cytometry", "shortname":"Flow Cyt"}, "FlowCytIntra" : {"fullname" : "Flow Cytometry (Intracellular)", "shortname":"Flow Cyt (Intra)"} }, "product-promise": { "all": "all", "testedAndGuaranteed": "tested", "guaranteed": "expected", "predicted": "predicted", "notRecommended": "not-recommended" } }, "values": { "Human": { "WB-species-checked": "notRecommended", "WB-species-dilution-info": "", "WB-species-notes": "<p></p>", "IP-species-checked": "testedAndGuaranteed", "IP-species-dilution-info": "1/30", "IP-species-notes": "<p></p>", "IHCP-species-checked": "testedAndGuaranteed", "IHCP-species-dilution-info": "1/100", "IHCP-species-notes": "<p></p> Perform heat-mediated antigen retrieval with Tris/EDTA buffer pH 9.0 before commencing with IHC staining protocol.", "ICCIF-species-checked": "testedAndGuaranteed", "ICCIF-species-dilution-info": "1/100", "ICCIF-species-notes": "<p></p>", "FlowCyt-species-checked": "guaranteed", "FlowCyt-species-dilution-info": "", "FlowCyt-species-notes": "", "FlowCytIntra-species-checked": "testedAndGuaranteed", "FlowCytIntra-species-dilution-info": "1/500", "FlowCytIntra-species-notes": "<p></p>" }, "Mouse": { "WB-species-checked": "testedAndGuaranteed", "WB-species-dilution-info": "1/1000", "WB-species-notes": "<p></p>", "IP-species-checked": "testedAndGuaranteed", "IP-species-dilution-info": "1/30", "IP-species-notes": "<p></p>", "IHCP-species-checked": "testedAndGuaranteed", "IHCP-species-dilution-info": "1/100", "IHCP-species-notes": "<p></p> Perform heat-mediated antigen retrieval with Tris/EDTA buffer pH 9.0 before commencing with IHC staining protocol.", "ICCIF-species-checked": "testedAndGuaranteed", "ICCIF-species-dilution-info": "1/100", "ICCIF-species-notes": "<p></p>", "FlowCyt-species-checked": "testedAndGuaranteed", "FlowCyt-species-dilution-info": "1/50", "FlowCyt-species-notes": "<p></p>", "FlowCytIntra-species-checked": "guaranteed", "FlowCytIntra-species-dilution-info": "", "FlowCytIntra-species-notes": "" }, "Rat": { "WB-species-checked": "notRecommended", "WB-species-dilution-info": "", "WB-species-notes": "<p></p>", "IP-species-checked": "notRecommended", "IP-species-dilution-info": "", "IP-species-notes": "", "IHCP-species-checked": "notRecommended", "IHCP-species-dilution-info": "", "IHCP-species-notes": "<p></p>", "ICCIF-species-checked": "notRecommended", "ICCIF-species-dilution-info": "", "ICCIF-species-notes": "", "FlowCyt-species-checked": "notRecommended", "FlowCyt-species-dilution-info": "", "FlowCyt-species-notes": "", "FlowCytIntra-species-checked": "notRecommended", "FlowCytIntra-species-dilution-info": "", "FlowCytIntra-species-notes": "" } } }

Product details

What is this antibody validated in?
Anti-CD8 alpha antibody [RM1129] (ab316778) is a rabbit recombinant recombinant multiclonal antibody and is validated for use in Western Blot (WB), Flow Cytometry (Intra), Flow Cytometry (Flow Cyt), Immunoprecipitation (IP), Immunohistochemistry (IHC-P), Immunocytochemistry/immunofluorescence (ICC/IF) in Human, Mouse samples.

What is the molecular weight of CD8 alpha?
Anti-CD8 alpha [RM1129] (ab316778) specifically detects a band for CD8 alpha (UniProt: P01732) at a molecular weight of 26kDa.

Trial sizes available!
Test your antibody or perform pre-screening before committing to a larger quantity. Sold in 10µl. Discover our selection of trial-size antibodies.

Other related products
We have a range of other formats of antibody clone [RM1129] also available for your convenience: ab316778, Carrier free - ab316779

What are recombinant multiclonals?
Recombinant multiclonals are a mixture of recombinant antibodies co-expressed from a library of heavy and light chains. They offer several advantages including:

  • - The sensitivity of polyclonal antibodies by recognising multiple epitopes
  • - High batch-to-batch consistency and reproducibility
  • - Improved sensitivity and specificity
  • - Long-term security of supply
  • - Animal-free batch production

View our range of recombinant multiclonal antibodies.

Patented technology
Our RabMAb® technology is a patented hybridoma-based technology for making rabbit monoclonal antibodies. For details on our patents, please refer to RabMAb® patents.

Properties and storage information

Form
Liquid
Purification technique
Affinity purification Protein A
Storage buffer
pH: 7.2 - 7.4 Preservative: 0.01% Sodium azide Constituents: PBS, 40% Glycerol (glycerin, glycerine), 0.05% BSA
Shipped at conditions
Blue Ice
Appropriate short-term storage duration
1-2 weeks
Appropriate short-term storage conditions
+4°C
Appropriate long-term storage conditions
-20°C
Aliquoting information
Upon delivery aliquot
Storage information
Avoid freeze / thaw cycle

Supplementary information

This supplementary information is collated from multiple sources and compiled automatically.

CD8 alpha also known as CD8A or CD8 protein is a glycoprotein subunit expressed on the surface of cytotoxic T lymphocytes. It has a mass of approximately 32 kDa. Found on the surface cell membrane CD8 alpha functions primarily in the immune response specifically in the recognition of antigens bound to major histocompatibility complex (MHC) class I molecules. Often scientists use CD8 antibodies for detection and CD8 IHC or immunohistochemistry for localization studies.
Biological function summary

The CD8 alpha protein plays a critical role in T-cell mediated immune responses. It forms a heterodimer with the CD8 beta chain creating the CD8 alpha-beta complex that strengthens T-cell interaction with antigen-presenting cells. CD8 alpha also helps in signaling processes that activate T cells equipping them to destroy infected or malignant cells. Researchers often study CD8 alpha peptides to understand its interactions better.

Pathways

CD8 alpha is integral to the T-cell receptor signaling pathway and the cytotoxic T lymphocyte (CTL) pathway. The T-cell receptor complex which includes the CD8 molecule transmits signals that are important for T-cell activation and function. CD8 interacts with key proteins such as the T-cell receptor (TCR) and MHC class I molecules facilitating targeted responses against pathogens. These pathways highlight CD8 alpha's role in adaptive immunity.

CD8 alpha is most prominently associated with viral infections and cancer. Conditions like HIV and some forms of leukemia show altered CD8 function highlighting the protein's role in immune surveillance. In HIV infection for instance CD8 T cells reduce in number impairing the immune response. CD8 alpha's connection to the immune system places it alongside other immune proteins such as CD4 and MHC molecules in the context of immune dysfunction.

Product protocols

For this product, it's our understanding that no specific protocols are required. You can visit:

Target data

The protein expressed by the gene CD8A is an integral membrane glycoprotein crucial for immune responses, operating mainly in T-cells as a coreceptor for MHC class I molecule : peptide complexes. These peptides originate from cytosolic proteins, unlike class II peptides, which are from extracellular proteins. CD8A interacts with the T-cell receptor (TCR) and MHC class I proteins on antigen-presenting cells, recruiting the Src kinase LCK to the TCR-CD3 complex. LCK phosphorylates substrates, triggering signaling pathways that lead to the production of lymphokines, enhanced motility, adhesion, and activation of cytotoxic T-lymphocytes (CTLs), thereby aiding in the recognition and elimination of infected or tumor cells. Additionally, in natural killer (NK) cells, CD8A homodimers on the cell surface provide a survival mechanism for conjugating with and lysing multiple target cells. CD8A homodimers also facilitate the survival and differentiation of activated lymphocytes into memory CD8 T-cells. This supplementary information is collated from multiple sources and compiled automatically.
See full target information CD8A

Publications (13)

Recent publications for all applications. Explore the full list and refine your search

Frontiers in oncology 15:1544278 PubMed40809013

2025

PD-L1 expression in microvascular endothelial cells predicts the efficacy and side effects of anlotinib.

Applications

Unspecified application

Species

Unspecified reactive species

Yingfang Feng,Yuan Gao,Shaochuan Liu,Tingting Qin,Yan Zhang,Jing Wang,Kai Li

Bioactive materials 53:737-753 PubMed40801020

2025

Inhibition of ARH2 by pH/ROS-responsive nanosystem for improved lung adenocarcinoma immunochemotherapy.

Applications

Unspecified application

Species

Unspecified reactive species

Rui Cai,Meng Wang,Mengting Pan,Zhiwu Zhang,Qiang Jia,Longbao Feng,Zhongjian Yu,Lu Liu,Tongyu Zhu,Silin Cai,Han Tian,Jiangyu Zhang,Rui Guo,Yanfang Zheng

Science advances 11:eadw5001 PubMed40779634

2025

In situ-formed immunotherapeutic hydrogel containing sphingosine-1-phosphate for enhanced lung cancer immunotherapy.

Applications

Unspecified application

Species

Unspecified reactive species

Hui Shen,Qi Deng,Zhike Chen,Qiang Zhang,Xiao Zhou,Qian Chen,Jiang Fan

Cell death & disease 16:597 PubMed40775202

2025

ULBP2 CAR-T cells enhance gastric cancer immunotherapy by inhibiting CAF activation.

Applications

Unspecified application

Species

Unspecified reactive species

Wentao Zhang,Wen Ren,Shuyan Guo,Haobo Han,Weiwen Cai,Haowen Bai,Long Li,Xiangyan Jiang,Xin Zheng,Tiansheng Zhang,Yan Wang,Huili Ye,Hongtai Cao,Wengui Shi,Huinian Zhou,Zeyuan Yu,Long Qin,Zuoyi Jiao

The Journal of clinical investigation 135: PubMed40759573

2025

A CD4+ T lymphocyte-specific TCR/GSDMD/IL-2 axis facilitates antitumor immunity.

Applications

Unspecified application

Species

Unspecified reactive species

Yihan Yao,Lingling Wang,Weiqin Jiang,Ning Wang,Mengjie Li,Wenlong Lin,Ting Zhang,Wanqiang Sheng,Xiaojian Wang

Journal of inflammation research 18:7033-7046 PubMed40463861

2025

Single-Nucleus and Bulk RNA Sequencing Reveals the Involvement of Natural Killer and CD8 T Cells in the Progression of Androgenetic Alopecia.

Applications

Unspecified application

Species

Unspecified reactive species

Haijing Fu,Wumei Zhao,Leiwei Jiang,Shijun Shan

iScience 28:112274 PubMed40256328

2025

Simultaneous co-delivery of Ginsenoside Rg3 and imiquimod from PLGA nanoparticles for effective breast cancer immunotherapy.

Applications

Unspecified application

Species

Unspecified reactive species

Cong Hu,Shuxiong Nong,Qianqian Ke,Ziming Wu,Yuancheng Jiang,Ying Wang,Yixin Chen,Ziling Wu,Qi Zhang,Chilin Liao,Meng Wu

Cell communication and signaling : CCS 23:137 PubMed40087780

2025

Combination therapy with Chicoric acid and PD-1/PD-L1 blockade improves the immunotherapy response in patient-derived ovarian cancer xenograft model.

Applications

Unspecified application

Species

Unspecified reactive species

Hongwei Lan,Jingjuan Zhu,Helei Hou,Chuantao Zhang,Xingfa Huo,Yuming Zhang,Fangfang Yang,Na Zhou,Xiaochun Zhang

Cell & bioscience 15:33 PubMed40055805

2025

The RNA binding protein CARHSP1 facilitates tumor growth, metastasis and immune escape by enhancing IL-17RA mRNA stabilization in prostate cancer.

Applications

Unspecified application

Species

Unspecified reactive species

YiFan Jiang,Yanan Wang,KaiHua Xue,JianBin Ma,Shan Xu,Ke Wang,Peng Guo

Clinical and translational medicine 15:e70123 PubMed39748197

2025

Titin gene mutations enhance radiotherapy efficacy via modulation of tumour immune microenvironment in rectum adenocarcinoma.

Applications

Unspecified application

Species

Unspecified reactive species

Hengchang Liu,Jialiang Liu,Xu Guan,Zhixun Zhao,Pu Cheng,Haipeng Chen,Zheng Jiang,Xishan Wang
View all publications

Product promise

We are committed to supporting your work with high-quality reagents, and we're here for you every step of the way. In the unlikely event that one of our products does not perform as expected, you're protected by our Product Promise.
For full details, please see our Terms & Conditions

Please note: All products are 'FOR RESEARCH USE ONLY. NOT FOR USE IN DIAGNOSTIC OR THERAPEUTIC PROCEDURES'.

For licensing inquiries, please contact partnerships@abcam.com