JavaScript is disabled in your browser. Please enable JavaScript to view this website.
AB238549

Anti-CD8 beta antibody

1

(1 Review)

|

(1 Publication)

Rabbit Polyclonal CD8 beta antibody. Suitable for IHC-P and reacts with Human samples. Cited in 1 publication. Immunogen corresponding to Recombinant Fragment Protein within Human CD8B aa 1-200.

View Alternative Names

CD8b, CD8B1, CD8B, T-cell surface glycoprotein CD8 beta chain

2 Images
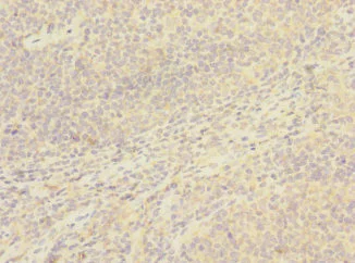
Immunohistochemistry (Formalin/PFA-fixed paraffin-embedded sections) - Anti-CD8 beta antibody (AB238549)
  • IHC-P

Supplier Data

Immunohistochemistry (Formalin/PFA-fixed paraffin-embedded sections) - Anti-CD8 beta antibody (AB238549)

Paraffin-embedded human testis tissue stained for CD8 beta with ab238549 at a 1/100 dilution in immunohistochemical analysis.

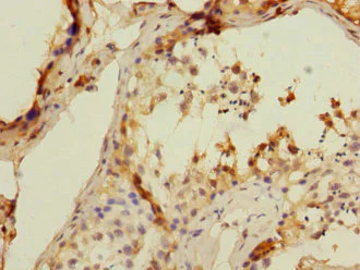
Immunohistochemistry (Formalin/PFA-fixed paraffin-embedded sections) - Anti-CD8 beta antibody (AB238549)
  • IHC-P

Supplier Data

Immunohistochemistry (Formalin/PFA-fixed paraffin-embedded sections) - Anti-CD8 beta antibody (AB238549)

Paraffin-embedded human tonsil tissue stained for CD8 beta with ab238549 at a 1/100 dilution in immunohistochemical analysis.

Key facts

Host species

Rabbit

Clonality

Polyclonal

Isotype

IgG

Carrier free

No

Reacts with

Human

Applications

IHC-P

applications

Immunogen

Recombinant Fragment Protein within Human CD8B aa 1-200. The exact immunogen used to generate this antibody is proprietary information.

P10966

Reactivity data

{ "title": "Reactivity Data", "filters": { "stats": ["", "Species", "Dilution Info", "Notes"], "tabs": { "all-applications": {"fullname" : "All Applications", "shortname": "All Applications"}, "IHCP" : {"fullname" : "Immunohistochemistry (Formalin/PFA-fixed paraffin-embedded sections)", "shortname":"IHC-P"} }, "product-promise": { "all": "all", "testedAndGuaranteed": "tested", "guaranteed": "expected", "predicted": "predicted", "notRecommended": "not-recommended" } }, "values": { "Human": { "IHCP-species-checked": "testedAndGuaranteed", "IHCP-species-dilution-info": "1/20 - 1/200", "IHCP-species-notes": "<p></p>" } } }

Properties and storage information

Form
Liquid
Purification technique
Affinity purification Immunogen
Storage buffer
pH: 7.3 Preservative: 0.02% Sodium azide Constituents: PBS, 50% Glycerol (glycerin, glycerine)
Shipped at conditions
Blue Ice
Appropriate short-term storage duration
1-2 weeks
Appropriate short-term storage conditions
+4°C
Appropriate long-term storage conditions
-20°C
Aliquoting information
Upon delivery aliquot
Storage information
Avoid freeze / thaw cycle

Supplementary information

This supplementary information is collated from multiple sources and compiled automatically.

The target CD8 beta also known as CD8b or CD8B is a protein component of the CD8 coreceptor that is primarily expressed on the surface of cytotoxic T lymphocytes and a subset of natural killer cells. The CD8 beta molecule pairs with CD8 alpha to form a heterodimer that plays an essential role in the immune response. The molecular weight of CD8 beta is approximately 34 kDa. It is located primarily in the plasma membrane where it interacts with major histocompatibility complex (MHC) class I molecules.
Biological function summary

The CD8 beta protein works as part of the CD8 coreceptor complex which enhances the interaction between T cell receptors (TCRs) and antigens presented by MHC class I on infected or malignant cells. This interaction strengthens the activation signal received by T cells. The CD8 complex including CD8 beta contributes to the recognition and elimination of cells presenting foreign antigens which is essential for the adaptive immune response.

Pathways

The CD8 beta protein participates in pathways related to antigen recognition and T cell receptor signaling. The protein together with CD8 alpha facilitates signal transduction following TCR engagement. This action is vital for the activation of cytotoxic T cells enabling immune responses. CD8 beta associates with the Lck kinase another vital player in the TCR signaling pathway through its cytoplasmic tail. In this pathway the presence of CD8 beta helps maintain and modulate effective immune responses.

CD8 beta plays a significant role in conditions like viral infections and autoimmune diseases. In viral infections the presence of the CD8 complex containing CD8 beta aids in the destruction of virus-infected cells. In autoimmune diseases abnormal CD8 T cell responses can result in self-tissue damage reflecting dysregulation in its normal function. CD8 beta therefore proves critical in these contexts contributing to disease dynamics by interacting with proteins like MHC class I and Lck kinase during improper immune responses.

Product protocols

For this product, it's our understanding that no specific protocols are required. You can visit:

Target data

Integral membrane glycoprotein that plays an essential role in the immune response and serves multiple functions in responses against both external and internal offenses. In T-cells, functions primarily as a coreceptor for MHC class I molecule : peptide complex. The antigens presented by class I peptides are derived from cytosolic proteins while class II derived from extracellular proteins. Interacts simultaneously with the T-cell receptor (TCR) and the MHC class I proteins presented by antigen presenting cells (APCs). In turn, recruits the Src kinase LCK to the vicinity of the TCR-CD3 complex. A palmitoylation site in the cytoplasmic tail of CD8B chain contributes to partitioning of CD8 into the plasma membrane lipid rafts where signaling proteins are enriched. Once LCK recruited, it initiates different intracellular signaling pathways by phosphorylating various substrates ultimately leading to lymphokine production, motility, adhesion and activation of cytotoxic T-lymphocytes (CTLs). Additionally, plays a critical role in thymic selection of CD8+ T-cells.
See full target information CD8B

Publications (1)

Recent publications for all applications. Explore the full list and refine your search

Scientific reports 15:33763 PubMed41028834

2025

Icariin inhibits proliferation and migration of VSMCs via LncRNA H19 competitively binding to HuR.

Applications

Unspecified application

Species

Unspecified reactive species

Yibing Zhang,Peng Huang,Min Li,Zhimin Fan
View all publications

Product promise

We are committed to supporting your work with high-quality reagents, and we're here for you every step of the way. In the unlikely event that one of our products does not perform as expected, you're protected by our Product Promise.
For full details, please see our Terms & Conditions

Please note: All products are 'FOR RESEARCH USE ONLY. NOT FOR USE IN DIAGNOSTIC OR THERAPEUTIC PROCEDURES'.

For licensing inquiries, please contact partnerships@abcam.com