JavaScript is disabled in your browser. Please enable JavaScript to view this website.
AB134120

Anti-CD80 antibody [EPR1157(2)]

  • BOND RX™ Validated
  • 20ul selling size
  • RabMAb
  • Recombinant
  • KO Validated
  • What is this?

4

(2 Reviews)

|

(46 Publications)

Anti-CD80 antibody [EPR1157(2)] (ab134120) is a rabbit monoclonal antibody detecting CD80 in Western Blot, Flow Cytometry (Intra), Flow Cytometry, IHC-P. Suitable for Human.

- KO validated for confirmed specificity
- Biophysical QC for unrivalled batch-batch consistency
- Over 20 publications

View Alternative Names

CD80, CD28LG, CD28LG1, LAB7, T-lymphocyte activation antigen CD80, Activation B7-1 antigen, BB1, CTLA-4 counter-receptor B7.1, B7

7 Images
Immunohistochemistry (Formalin/PFA-fixed paraffin-embedded sections) - Anti-CD80 antibody [EPR1157(2)] (AB134120)
  • IHC-P

Lab

Immunohistochemistry (Formalin/PFA-fixed paraffin-embedded sections) - Anti-CD80 antibody [EPR1157(2)] (AB134120)

Tissue Microarrays stained for "Anti-CD80 antibody [EPR1157(2)]" using "ab134120"in immunohistochemical analysis. This table provides a detailed overview of positive (tick mark) and negative (cross mark) staining per sample type tested. The sections were pre-treated using Heat mediated antigen retrieval using Bond™ Epitope Retrieval Solution 2 (pH 9.0) for 20 minutes. The sections were incubated with ab134120 for 30 mins at room temperature followed by a ready to use Rabbit specific IHC polymer detection kit HRP/DAB (ab209101). The immunostaining was performed on a Leica Biosystems BOND® RX instrument.

Flow Cytometry (Intracellular) - Anti-CD80 antibody [EPR1157(2)] (AB134120)
  • Flow Cyt (Intra)

Lab

Flow Cytometry (Intracellular) - Anti-CD80 antibody [EPR1157(2)] (AB134120)

Flow cytometry overlay histogram showing wild-type Raji (green line) and CD80 knockout Raji stained with ab134120 (red line). The cells were fixed with 4% formaldehyde (10 min) and then permeabilised with 0.1% PBS-Triton X-100 for 15 min. The cells were then incubated in 1x PBS containing 10μg/ml human IgG and 10% normal goat serum to block FC receptors and non-specific protein-protein interaction followed by the antibody (ab134120) (1x 106 in 100μl at 0.2 μg/ml (1/10150)) for 30min at 22°C.

The secondary antibody Goat Anti-Rabbit IgG H&L (Alexa Fluor® 488) preadsorbed was incubated at 1/4000 for 30min at 22°C

Isotype control antibody Recombinant Rabbit IgG, monoclonal [EPR25A] - Isotype Control was used at the same concentration and conditions as the primary antibody (wild-type Raji - black line, CD80 knockout Raji - grey line). Unlabelled sample was also used as a control (this line is not shown for the purpose of simplicity).

Acquisition of >5000 events were collected using a 50 mW Blue laser (488nm) and 525/40 bandpass filter.

This antibody gave a positive signal in Raji Fixed with 80% methanol (5 min) / permeabilised with 0.1% PBS-Triton X-100 for 15 min under the same conditions.

Immunoprecipitation - Anti-CD80 antibody [EPR1157(2)] (AB134120)
  • IP

Lab

Immunoprecipitation - Anti-CD80 antibody [EPR1157(2)] (AB134120)

CD80 was immunoprecipitated from 0.35 mg Raji (human Burkitt's lymphoma B lymphocyte) whole cell lysate with ab134120 at 1/30 dilution (2µg in 0.35mg lysates). Western blot was performed on the immunoprecipitate using ab134120 at 1/1000 dilution. VeriBlot for IP secondary antibody(HRP) (ab131366) was used at 1/5000 dilution.

Blocking and dilution buffer and concentration : 5% NFDM/TBST.

Lane 1:

Raji (human Burkitt's lymphoma B lymphocyte) whole cell lysate 10 μg

Lane 2:

Raji (human Burkitt's lymphoma B lymphocyte) whole cell lysate

Lane 3:

Rabbit monoclonal IgG (<a href='/en-us/products/primary-antibodies/rabbit-igg-monoclonal-epr25a-isotype-control-ab172730'>ab172730</a>) instead of ab134120 in Raji whole cell lysate

Secondary

All lanes:

Immunoprecipitation - VeriBlot for IP Detection Reagent (HRP) (<a href='/en-us/products/reagents/veriblot-for-ip-detection-reagent-hrp-ab131366'>ab131366</a>)

Observed band size: 60 kDa

false

Exposure time: 6s

Western blot - Anti-CD80 antibody [EPR1157(2)] (AB134120)
  • WB

Lab

Western blot - Anti-CD80 antibody [EPR1157(2)] (AB134120)

Blocking buffer and concentration : 5% NFDM/TBST.

Diluting buffer and concentration : 5% NFDM/TBST.

All lanes:

Western blot - Anti-CD80 antibody [EPR1157(2)] (ab134120) at 1/2500 dilution

All lanes:

Raji cell lysate at 20 µg

Secondary

All lanes:

Peroxidase-conjugated goat anti-rabbit IgG (H+L) at 1/1000 dilution

Predicted band size: 33 kDa

Observed band size: 60 kDa

false

Western blot - Anti-CD80 antibody [EPR1157(2)] (AB134120)
  • WB

Unknown

Western blot - Anti-CD80 antibody [EPR1157(2)] (AB134120)

All lanes:

Western blot - Anti-CD80 antibody [EPR1157(2)] (ab134120) at 1/1000 dilution

Lane 1:

Raji cell lysate at 10 µg

Lane 2:

Ramos cell lysate at 10 µg

Secondary

All lanes:

Goat anti-rabbit HRP conjugated antibody at 1/2000 dilution

Predicted band size: 33 kDa,43 kDa

Observed band size: 43 kDa,60 kDa

false

Western blot - Anti-CD80 antibody [EPR1157(2)] (AB134120)
  • WB

Lab

Western blot - Anti-CD80 antibody [EPR1157(2)] (AB134120)

Lanes 1 - 3 : Merged signal (red and green). Green - ab134120 observed at 55 kDa. Red - loading control ab7291 (Mouse anti-Alpha Tubulin [DM1A]) observed at 55kDa.

ab134120 was shown to react with CD80 in wild-type Raji cells in western blot with loss of signal observed in CD80 knockout sample. Wild-type and CD80 knockout Raji cell lysates were subjected to SDS-PAGE. Membranes were blocked in 3% milk in TBS-T (0.1% Tween®) before incubation with ab134120 and ab7291 (Mouse anti-Alpha Tubulin [DM1A]) overnight at 4°C at a 1 in 1000 Dilution and a 1 in 20000 dilution respectively. Blots were incubated with Goat anti-Rabbit IgG H&L (IRDye® 800CW) preabsorbed (ab216773) and Goat anti-Mouse IgG H&L (IRDye® 680RD) preabsorbed (ab216776) secondary antibodies at 1 in 20000 dilution for 1 hour at room temperature before imaging.

All lanes:

Western blot - Anti-CD80 antibody [EPR1157(2)] (ab134120) at 1/1000 dilution

Lane 1:

Wild-type Raji (Human Burkitt's lymphoma cell line) whole cell lysate at 20 µg

Lane 2:

CD80 knockout Raji (Human Burkitt's lymphoma cell line) whole cell lysate at 20 µg

Lane 2:

Western blot - Human CD80 knockout Raji cell line (<a href='/en-us/products/cell-lines/human-cd80-knockout-raji-cell-line-ab273873'>ab273873</a>)

Lane 3:

Ramos (Human Burkitt's lymphoma cell line) whole cell lysate at 20 µg

Predicted band size: 33 kDa

Observed band size: 55 kDa

false

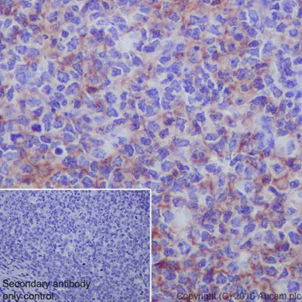
Immunohistochemistry (Formalin/PFA-fixed paraffin-embedded sections) - Anti-CD80 antibody [EPR1157(2)] (AB134120)
  • IHC-P

Lab

Immunohistochemistry (Formalin/PFA-fixed paraffin-embedded sections) - Anti-CD80 antibody [EPR1157(2)] (AB134120)

Immunohistochemistry (Formalin/PFA-fixed paraffin-embedded sections) analysis of human tonsil tissue labelling CD80 with ab134120 at a dilution of 1/1000. Heat mediated antigen retrieval was performed using Trs/EDTA buffer pH9 (ab93684). ImmunoHistoProbe one step HRP Polymer was used. Counter stained with hematoxylin.

The image shows cytoplasmic and membrane staining.

  • Carrier free

    Anti-CD80 antibody [EPR1157(2)] - BSA and Azide free

Key facts

Host species

Rabbit

Clonality

Monoclonal

Clone number

EPR1157(2)

Isotype

IgG

Carrier free

No

Reacts with

Human

Applications

WB, Flow Cyt (Intra), IP, IHC-P

applications

Immunogen

The exact immunogen used to generate this antibody is proprietary information.

Reactivity data

{ "title": "Reactivity Data", "filters": { "stats": ["", "Species", "Dilution Info", "Notes"], "tabs": { "all-applications": {"fullname" : "All Applications", "shortname": "All Applications"}, "IP" : {"fullname" : "Immunoprecipitation", "shortname":"IP"}, "FlowCytIntra" : {"fullname" : "Flow Cytometry (Intracellular)", "shortname":"Flow Cyt (Intra)"}, "WB" : {"fullname" : "Western blot", "shortname":"WB"}, "ICCIF" : {"fullname" : "Immunocytochemistry/ Immunofluorescence", "shortname":"ICC/IF"}, "IHCP" : {"fullname" : "Immunohistochemistry (Formalin/PFA-fixed paraffin-embedded sections)", "shortname":"IHC-P"} }, "product-promise": { "all": "all", "testedAndGuaranteed": "tested", "guaranteed": "expected", "predicted": "predicted", "notRecommended": "not-recommended" } }, "values": { "Human": { "IP-species-checked": "testedAndGuaranteed", "IP-species-dilution-info": "1/30", "IP-species-notes": "<p></p>", "FlowCytIntra-species-checked": "testedAndGuaranteed", "FlowCytIntra-species-dilution-info": "", "FlowCytIntra-species-notes": "<p></p>", "WB-species-checked": "testedAndGuaranteed", "WB-species-dilution-info": "1/1000 - 1/10000", "WB-species-notes": "<p><strong>For unpurified use at 1/500.</strong></p>", "ICCIF-species-checked": "notRecommended", "ICCIF-species-dilution-info": "", "ICCIF-species-notes": "<p></p>", "IHCP-species-checked": "testedAndGuaranteed", "IHCP-species-dilution-info": "1/1000", "IHCP-species-notes": "<p></p> Perform heat-mediated antigen retrieval with Tris/EDTA buffer pH 9.0 before commencing with IHC staining protocol." }, "Mouse": { "IP-species-checked": "notRecommended", "IP-species-dilution-info": "", "IP-species-notes": "", "FlowCytIntra-species-checked": "notRecommended", "FlowCytIntra-species-dilution-info": "", "FlowCytIntra-species-notes": "", "WB-species-checked": "notRecommended", "WB-species-dilution-info": "", "WB-species-notes": "", "ICCIF-species-checked": "notRecommended", "ICCIF-species-dilution-info": "", "ICCIF-species-notes": "", "IHCP-species-checked": "notRecommended", "IHCP-species-dilution-info": "1/1000", "IHCP-species-notes": "<p></p> Perform heat-mediated antigen retrieval with Tris/EDTA buffer pH 9.0 before commencing with IHC staining protocol." } } }

Product details

What is this antibody validated in?
Anti-CD80 antibody [EPR1157(2)] (ab134120) is a rabbit recombinant monoclonal antibody and is validated for use in Western Blot (WB), Flow Cytometry (Intra), Flow Cytometry (Flow Cyt), Immunohistochemistry (IHC-P) in Human samples.

What is the molecular weight of CD80?
Anti-CD80 [EPR1157(2)] (ab134120) specifically detects a band for CD80 (UniProt: P33681) at a molecular weight of 33kDa.

Trusted by the scientific community
Anti-CD80 [EPR1157(2)] (ab134120) was first used in a scientific publication in 2012 and has been cited over 20 times in peer-reviewed journals.

Trial sizes available!
Test your antibody or perform pre-screening before committing to a larger quantity. Sold in 20µl. Discover our selection of trial-size antibodies.

Specificity confirmed
The specificity of Anti-CD80 antibody [EPR1157(2)] (ab134120) has been confirmed by Western blot testing in CD80 Knockout Raji cells.

Other related products
We have a range of other formats of antibody clone [EPR1157(2)] also available for your convenience: ab134120, Carrier free - ab224797, Carrier free - ab271905

Species reactivity
Mouse, Rat: We have preliminary internal testing data to indicate this antibody may not react with these species.
Please contact us for more information.

Patented technology
Our RabMAb® technology is a patented hybridoma-based technology for making rabbit monoclonal antibodies. For details on our patents, please refer to RabMAb® patents.

What are the advantages of a recombinant monoclonal antibody?
This product is a recombinant monoclonal antibody, which offers several advantages including:

  • - High batch-to-batch consistency and reproducibility
  • - Improved sensitivity and specificity
  • - Long-term security of supply
  • - Animal-free batch production

For more information, read more on recombinant antibodies.

Properties and storage information

Form
Liquid
Purification technique
Affinity purification Protein A
Storage buffer
pH: 7.2 - 7.4 Preservative: 0.01% Sodium azide Constituents: 59% PBS, 40% Glycerol (glycerin, glycerine), 0.05% BSA
Shipped at conditions
Blue Ice
Appropriate short-term storage duration
1-2 weeks
Appropriate short-term storage conditions
+4°C
Appropriate long-term storage conditions
-20°C
Aliquoting information
Upon delivery aliquot
Storage information
Stable for 12 months at -20°C

Supplementary information

This supplementary information is collated from multiple sources and compiled automatically.

CD80 also known as B7-1 is a cell surface protein with a molecular weight of approximately 60 kDa. It is expressed on antigen-presenting cells such as dendritic cells macrophages and B cells. The CD80 protein plays a mechanical role in immune response modulation by providing necessary signals for T cell activation and survival. CD80 interacts with receptors CD28 and CTLA-4 on T cells serving as a costimulatory molecule important for productive immune responses.
Biological function summary

CD80 plays a significant role in the immune system's ability to distinguish between self and non-self. It belongs to the B7 family and participates in the formation of immunological synapses between T cells and antigen-presenting cells. This interaction is essential for triggering T cell proliferation and cytokine production forming a part of the adaptive immune response. CD80's expression increases in response to pathogen recognition enhancing the immune system's efficiency.

Pathways

CD80 is integral to the regulation of T cell-mediated immune responses. It is involved in the CD28 co-stimulatory pathway which is vital for T cell activation and function. In this pathway CD80 interacts with proteins like CD28 and CTLA-4 to modulate immune activation and regulate immune tolerance. The proper function of CD80 within this pathway ensures a balanced immune reaction preventing autoimmunity while allowing effective defense against pathogens.

CD80 plays a role in autoimmune conditions and transplantation rejection. Its overexpression or dysregulation can contribute to diseases such as rheumatoid arthritis where it modifies T cell response and inflammation. Additionally CD80 is implicated in organ transplantation influencing graft rejection outcomes due to its role in modulating immune activation. Understanding CD80 interactions with CTLA-4 and CD28 offers insight into these conditions providing potential targets for therapeutic intervention.

Product protocols

For this product, it's our understanding that no specific protocols are required. You can visit:

Target data

Costimulatory molecule that belongs to the immunoglobulin superfamily that plays an important role in T-lymphocyte activation (PubMed : 38467718). Acts as the primary auxiliary signal augmenting the MHC/TCR signal in naive T-cells together with the CD28 receptor which is constitutively expressed on the cell surface of T-cells (PubMed : 12196291). In turn, activates different signaling pathways such as NF-kappa-B or MAPK leading to the production of different cytokines (PubMed : 10438913). In addition, CD28/CD80 costimulatory signal stimulates glucose metabolism and ATP synthesis of T-cells by activating the PI3K/Akt signaling pathway (PubMed : 12121659). Acts also as a regulator of PDL1/PDCD1 interactions to limit excess engagement of PDL1 and its inhibitory role in immune responses (PubMed : 36727298). Expressed on B-cells, plays a critical role in regulating interactions between B-cells and T-cells in both early and late germinal center responses, which are crucial for the generation of effective humoral immune responses (By similarity).. (Microbial infection) Acts as a receptor for adenovirus subgroup B.
See full target information CD80

Publications (46)

Recent publications for all applications. Explore the full list and refine your search

Pharmaceuticals (Basel, Switzerland) 18: PubMed41011253

2025

Lipoprotein(a)/CD36 Interaction Drives IL-6/RhoA-GTP Signaling and miRNA Epigenetic Regulation in Coronary Artery Spasm.

Applications

Unspecified application

Species

Unspecified reactive species

Yen-Kuang Lin,Tsung-Han Hsieh,Chi-Tai Yeh,Vijesh Kumar Yadav,Iat-Hang Fong,Kuang-Tai Kuo,Nicholas G Kounis,Patrick Hu,Ming-Yow Hung

Neoplasia (New York, N.Y.) 68:101221 PubMed40845489

2025

Motion based ex vivo (MOTEX) culture of breast tumor slices sustains microenvironment composition.

Applications

Unspecified application

Species

Unspecified reactive species

Zofia M Komar,Mieke Bavelaar,Ellen Kageler,Nicole S Verkaik,Mandy M van Rosmalen,Carolien H M van Deurzen,Michael A den Bakker,Roland Kanaar,Adriaan B Houtsmuller,Thierry P P van den Bosch,Agnes Jager,Dik C van Gent

Gynecologic oncology reports 59:101758 PubMed40487855

2025

Low density of intratumoral M1-macrophage infiltration may correlate with worse prognosis in low-grade early-stage uterine endometrioid carcinoma.

Applications

Unspecified application

Species

Unspecified reactive species

Michiko Nagamine,Hiroshi Ogi,Maki Hirai,Ikoi Omatsu,Sanzo Moriwaki,Saya Shibata,Satoru Yasukawa,Kaori Yoriki,Motohiro Kojima,Taisuke Mori,Kyoko Itoh,Eiichi Konishi

Cancer immunology, immunotherapy : CII 74:193 PubMed40343498

2025

Osteosarcoma cell-derived CCL2 facilitates lung metastasis via accumulation of tumor-associated macrophages.

Applications

Unspecified application

Species

Unspecified reactive species

Hiroya Kondo,Hiroshi Tazawa,Tomohiro Fujiwara,Aki Yoshida,Miho Kure,Koji Demiya,Nobuhiko Kanaya,Toshiaki Hata,Koji Uotani,Joe Hasei,Toshiyuki Kunisada,Shunsuke Kagawa,Yusuke Yoshioka,Toshifumi Ozaki,Toshiyoshi Fujiwara

Stem cell research & therapy 16:146 PubMed40128761

2025

Clusterin-mediated polarization of M2 macrophages: a mechanism of temozolomide resistance in glioblastoma stem cells.

Applications

Unspecified application

Species

Unspecified reactive species

Jianping Wen,Xia Wu,Zhicheng Shu,Dongxu Wu,Zonghua Yin,Minglong Chen,Kun Luo,Kebo Liu,Yulong Shen,Yi Le,Qingxia Shu

Biomedicines 13: PubMed39857594

2025

Metabolic Activity in Human Intermuscular Adipose Tissue Directs the Response of Resident PPARγ Macrophages to Fatty Acids.

Applications

Unspecified application

Species

Unspecified reactive species

Xiaoying Chen,Sebastian Ludger Schubert,Aline Müller,Miguel Pishnamaz,Frank Hildebrand,Mahtab Nourbakhsh

Cancer immunology, immunotherapy : CII 74:57 PubMed39751903

2025

Prognostic immune markers in esophageal cancer patients managed with trimodal therapy.

Applications

Unspecified application

Species

Unspecified reactive species

Mark K Farrugia,Elizabeth A Repasky,Minhui Chen,Kristopher Attwood,Kayla Catalfamo,Hanna Rosenheck,Song Yao,David M Mattson,Sarbajit Mukherjee,Moshim Kukar,Agnieszka K Witkiewicz,Anurag K Singh

Biomarker research 12:147 PubMed39587633

2024

GDF15 propeptide promotes bone metastasis of castration-resistant prostate cancer by augmenting the bone microenvironment.

Applications

Unspecified application

Species

Unspecified reactive species

Gaku Yamamichi,Taigo Kato,Noriaki Arakawa,Yoko Ino,Takeshi Ujike,Kosuke Nakano,Yoko Koh,Yuichi Motoyama,Hidetatsu Outani,Shohei Myoba,Yu Ishizuya,Yoshiyuki Yamamoto,Koji Hatano,Atsunari Kawashima,Shinichiro Fukuhara,Hiroji Uemura,Seiji Okada,Eiichi Morii,Norio Nonomura,Motohide Uemura

Frontiers in immunology 15:1480675 PubMed39544932

2024

Possible involvement of Toll-like receptor 8-positive monocytes/macrophages in the pathogenesis of Sjögren's disease.

Applications

Unspecified application

Species

Unspecified reactive species

Lijing Yan,Yuka Miyahara,Mizuki Sakamoto,Naoki Kaneko,Hu Chen,Junsei Sameshima,Hajime Kido,Shiho Yokomizo,Tomoki Sueyoshi,Haruki Nagano,Yukiko Ohyama,Seiji Nakamura,Shintaro Kawano,Masafumi Moriyama

International journal of molecular sciences 25: PubMed39409051

2024

Differential Fatty Acid Response of Resident Macrophages in Human Skeletal Muscle Fiber and Intermuscular Adipose Tissue.

Applications

Unspecified application

Species

Unspecified reactive species

Xiaoying Chen,Aline Müller,Miguel Pishnamaz,Frank Hildebrand,Leo Cornelius Bollheimer,Mahtab Nourbakhsh
View all publications

Product promise

We are committed to supporting your work with high-quality reagents, and we're here for you every step of the way. In the unlikely event that one of our products does not perform as expected, you're protected by our Product Promise.
For full details, please see our Terms & Conditions

Please note: All products are 'FOR RESEARCH USE ONLY. NOT FOR USE IN DIAGNOSTIC OR THERAPEUTIC PROCEDURES'.

For licensing inquiries, please contact partnerships@abcam.com