JavaScript is disabled in your browser. Please enable JavaScript to view this website.
AB271905

Anti-CD80 antibody [EPR1157(2)] - BSA and Azide free

5

(1 Review)

|

(0 Publication)

Anti-CD80 antibody [EPR1157(2)] - BSA and Azide free (ab271905) is a rabbit recombinant monoclonal antibody provided in a PBS only buffer for easy conjugation detecting CD80 in Western Blot, Flow Cytometry, IHC-P. Suitable for Human.

- KO validated for confirmed specificity
- BSA, sodium azide, and glycerol-free for easy conjugation
- Biophysical QC for unrivalled batch-batch consistency

View Alternative Names

CD80, CD28LG, CD28LG1, LAB7, T-lymphocyte activation antigen CD80, Activation B7-1 antigen, BB1, CTLA-4 counter-receptor B7.1, B7

4 Images
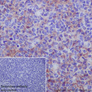
Immunohistochemistry (Formalin/PFA-fixed paraffin-embedded sections) - Anti-CD80 antibody [EPR1157(2)] - BSA and Azide free (AB271905)
  • IHC-P

Lab

Immunohistochemistry (Formalin/PFA-fixed paraffin-embedded sections) - Anti-CD80 antibody [EPR1157(2)] - BSA and Azide free (AB271905)

Immunohistochemistry (Formalin/PFA-fixed paraffin-embedded sections) analysis of human tonsil tissue labelling CD80 with ab134120 at a dilution of 1/1000. Heat mediated antigen retrieval was performed using Trs/EDTA buffer, pH9 (ab93684). ImmunoHistoProbe one step HRP Polymer was used. Counter stained with hematoxylin.

The image shows cytoplasmic and membrane staining.

This data was developed using the same antibody clone in a different buffer formulation containing PBS, BSA, glycerol, and sodium azide (ab134120).

Flow Cytometry (Intracellular) - Anti-CD80 antibody [EPR1157(2)] - BSA and Azide free (AB271905)
  • Flow Cyt (Intra)

Lab

Flow Cytometry (Intracellular) - Anti-CD80 antibody [EPR1157(2)] - BSA and Azide free (AB271905)

This data was developed using the same antibody clone in a different buffer formulation containing PBS BSA glycerol and sodium azide (ab134120).

Immunoprecipitation - Anti-CD80 antibody [EPR1157(2)] - BSA and Azide free (AB271905)
  • IP

Lab

Immunoprecipitation - Anti-CD80 antibody [EPR1157(2)] - BSA and Azide free (AB271905)

This data was developed using the same antibody clone in a different buffer formulation (ab134120).

CD80 was immunoprecipitated from 0.35 mg Raji (human Burkitt's lymphoma B lymphocyte) whole cell lysate with ab134120 at 1/30 dilution (2µg in 0.35mg lysates). Western blot was performed on the immunoprecipitate using ab134120 at 1/1000 dilution. VeriBlot for IP secondary antibody(HRP)(ab131366) was used at 1/5000 dilution.

Blocking and dilution buffer and concentration : 5% NFDM/TBST.

Lane 1:

Raji (human Burkitt's lymphoma B lymphocyte) whole cell lysate 10 μg

Lane 2:

Raji (human Burkitt's lymphoma B lymphocyte) whole cell lysate

Lane 3:

Rabbit monoclonal IgG (<a href='/en-us/products/primary-antibodies/rabbit-igg-monoclonal-epr25a-isotype-control-ab172730'>ab172730</a>) instead of <a href='/en-us/products/primary-antibodies/cd80-antibody-epr11572-ab134120'>ab134120</a> in Raji whole cell lysate

Secondary

All lanes:

Immunoprecipitation - VeriBlot for IP Detection Reagent (HRP) (<a href='/en-us/products/reagents/veriblot-for-ip-detection-reagent-hrp-ab131366'>ab131366</a>)

Observed band size: 60 kDa

false

Exposure time: 6s

Western blot - Anti-CD80 antibody [EPR1157(2)] - BSA and Azide free (AB271905)
  • WB

Lab

Western blot - Anti-CD80 antibody [EPR1157(2)] - BSA and Azide free (AB271905)

This data was developed using the same antibody clone in a different buffer formulation (ab134120).

Lanes 1 - 3 : Merged signal (red and green). Green - ab134120 observed at 55 kDa. Red - loading control ab7291 (Mouse anti-Alpha Tubulin [DM1A]) observed at 55kDa.

ab134120 was shown to react with CD80 in wild-type Raji cells in western blot with loss of signal observed in CD80 knockout sample. Wild-type and CD80 knockout Raji cell lysates were subjected to SDS-PAGE. Membranes were blocked in 3% milk in TBS-T (0.1% Tween®) before incubation with ab134120 and ab7291 (Mouse anti-Alpha Tubulin [DM1A]) overnight at 4°C at a 1 in 1000 Dilution and a 1 in 20000 dilution respectively. Blots were incubated with Goat anti-Rabbit IgG H&L (IRDye® 800CW) preabsorbed (ab216773) and Goat anti-Mouse IgG H&L (IRDye® 680RD) preabsorbed (ab216776) secondary antibodies at 1 in 20000 dilution for 1 hour at room temperature before imaging.

All lanes:

Western blot - Anti-CD80 antibody [EPR1157(2)] (<a href='/en-us/products/primary-antibodies/cd80-antibody-epr11572-ab134120'>ab134120</a>) at 1/1000 dilution

Lane 1:

Wild-type Raji (Human Burkitt's lymphoma cell line) whole cell lysate at 20 µg

Lane 2:

CD80 knockout Raji (Human Burkitt's lymphoma cell line) whole cell lysate at 20 µg

Lane 2:

Western blot - Human CD80 knockout Raji cell line (<a href='/en-us/products/cell-lines/human-cd80-knockout-raji-cell-line-ab273873'>ab273873</a>)

Lane 3:

Ramos (Human Burkitt's lymphoma cell line) whole cell lysate at 20 µg

Predicted band size: 33 kDa

Observed band size: 55 kDa

false

Key facts

Host species

Rabbit

Clonality

Monoclonal

Clone number

EPR1157(2)

Isotype

IgG

Carrier free

Yes

Reacts with

Human

Applications

WB, IHC-P, Flow Cyt (Intra), IP

applications

Immunogen

The exact immunogen used to generate this antibody is proprietary information.

Reactivity data

{ "title": "Reactivity Data", "filters": { "stats": ["", "Species", "Dilution Info", "Notes"], "tabs": { "all-applications": {"fullname" : "All Applications", "shortname": "All Applications"}, "IP" : {"fullname" : "Immunoprecipitation", "shortname":"IP"}, "FlowCytIntra" : {"fullname" : "Flow Cytometry (Intracellular)", "shortname":"Flow Cyt (Intra)"}, "WB" : {"fullname" : "Western blot", "shortname":"WB"}, "ICCIF" : {"fullname" : "Immunocytochemistry/ Immunofluorescence", "shortname":"ICC/IF"}, "IHCP" : {"fullname" : "Immunohistochemistry (Formalin/PFA-fixed paraffin-embedded sections)", "shortname":"IHC-P"} }, "product-promise": { "all": "all", "testedAndGuaranteed": "tested", "guaranteed": "expected", "predicted": "predicted", "notRecommended": "not-recommended" } }, "values": { "Human": { "IP-species-checked": "testedAndGuaranteed", "IP-species-dilution-info": "", "IP-species-notes": "<p></p>", "FlowCytIntra-species-checked": "testedAndGuaranteed", "FlowCytIntra-species-dilution-info": "", "FlowCytIntra-species-notes": "<p></p>", "WB-species-checked": "testedAndGuaranteed", "WB-species-dilution-info": "", "WB-species-notes": "<p>For unpurified use at 1/500.</p>", "ICCIF-species-checked": "notRecommended", "ICCIF-species-dilution-info": "", "ICCIF-species-notes": "<p></p>", "IHCP-species-checked": "testedAndGuaranteed", "IHCP-species-dilution-info": "", "IHCP-species-notes": "<p></p> Perform heat-mediated antigen retrieval with Tris/EDTA buffer pH 9.0 before commencing with IHC staining protocol." } } }

Product details

What is this antibody validated in?
Anti-CD80 antibody [EPR1157(2)] - BSA and Azide free (ab271905) is a rabbit recombinant monoclonal antibody and is validated for use in Western Blot (WB), Flow Cytometry (Intra), Flow Cytometry (Flow Cyt), Immunohistochemistry (IHC-P) in Human samples.

What is the molecular weight of CD80?
Anti-CD80 [EPR1157(2)] - BSA and Azide free (ab271905) specifically detects a band for CD80 (UniProt: P33681) at a molecular weight of 33kDa.

Specificity confirmed
The specificity of Anti-CD80 antibody [EPR1157(2)] - BSA and Azide free (ab271905) has been confirmed by Western blot testing in CD80 Knockout Raji cell line.

Other related products
We have a range of other formats of antibody clone [EPR1157(2)] also available for your convenience: ab134120, Carrier free - ab224797, Carrier free - ab271905

Species reactivity
Mouse, Rat: We have preliminary internal testing data to indicate this antibody may not react with these species.
Please contact us for more information.

Patented technology
Our RabMAb® technology is a patented hybridoma-based technology for making rabbit monoclonal antibodies. For details on our patents, please refer to RabMAb® patents.

What are the advantages of a recombinant monoclonal antibody?
This product is a recombinant monoclonal antibody, which offers several advantages including:

  • - High batch-to-batch consistency and reproducibility
  • - Improved sensitivity and specificity
  • - Long-term security of supply
  • - Animal-free batch production

For more information, read more on recombinant antibodies.

Conjugation ready
Our carrier-free antibodies are typically supplied in a PBS-only formulation, purified and free of BSA, sodium azide and glycerol. This conjugation-ready format is designed for use with fluorochromes, metal isotopes, oligonucleotides, and enzymes, which makes them ideal for antibody labelling, functional and cell-based assays, flow-based assays (e.g. mass cytometry) and Multiplex Imaging applications.

Use our conjugation kits for antibody conjugates that are ready-to-use in as little as 20 minutes with 1 minute hands-on-time and 100% antibody recovery: available for fluorescent dyes, HRP, biotin and gold.

Compatibility
This product is compatible with the Maxpar® Antibody Labeling Kit from Fluidigm, without the need for antibody preparation. Maxpar® is a trademark of Fluidigm Canada Inc.

Properties and storage information

Form
Liquid
Purification technique
Affinity purification Protein A
Storage buffer
pH: 7.2 - 7.4 Constituents: PBS
Shipped at conditions
Blue Ice
Appropriate short-term storage conditions
+4°C
Appropriate long-term storage conditions
+4°C
Storage information
Do Not Freeze

Supplementary information

This supplementary information is collated from multiple sources and compiled automatically.

CD80 also known as B7-1 is a cell surface protein with a molecular weight of approximately 60 kDa. It is expressed on antigen-presenting cells such as dendritic cells macrophages and B cells. The CD80 protein plays a mechanical role in immune response modulation by providing necessary signals for T cell activation and survival. CD80 interacts with receptors CD28 and CTLA-4 on T cells serving as a costimulatory molecule important for productive immune responses.
Biological function summary

CD80 plays a significant role in the immune system's ability to distinguish between self and non-self. It belongs to the B7 family and participates in the formation of immunological synapses between T cells and antigen-presenting cells. This interaction is essential for triggering T cell proliferation and cytokine production forming a part of the adaptive immune response. CD80's expression increases in response to pathogen recognition enhancing the immune system's efficiency.

Pathways

CD80 is integral to the regulation of T cell-mediated immune responses. It is involved in the CD28 co-stimulatory pathway which is vital for T cell activation and function. In this pathway CD80 interacts with proteins like CD28 and CTLA-4 to modulate immune activation and regulate immune tolerance. The proper function of CD80 within this pathway ensures a balanced immune reaction preventing autoimmunity while allowing effective defense against pathogens.

CD80 plays a role in autoimmune conditions and transplantation rejection. Its overexpression or dysregulation can contribute to diseases such as rheumatoid arthritis where it modifies T cell response and inflammation. Additionally CD80 is implicated in organ transplantation influencing graft rejection outcomes due to its role in modulating immune activation. Understanding CD80 interactions with CTLA-4 and CD28 offers insight into these conditions providing potential targets for therapeutic intervention.

Product protocols

For this product, it's our understanding that no specific protocols are required. You can visit:

Target data

Costimulatory molecule that belongs to the immunoglobulin superfamily that plays an important role in T-lymphocyte activation (PubMed : 38467718). Acts as the primary auxiliary signal augmenting the MHC/TCR signal in naive T-cells together with the CD28 receptor which is constitutively expressed on the cell surface of T-cells (PubMed : 12196291). In turn, activates different signaling pathways such as NF-kappa-B or MAPK leading to the production of different cytokines (PubMed : 10438913). In addition, CD28/CD80 costimulatory signal stimulates glucose metabolism and ATP synthesis of T-cells by activating the PI3K/Akt signaling pathway (PubMed : 12121659). Acts also as a regulator of PDL1/PDCD1 interactions to limit excess engagement of PDL1 and its inhibitory role in immune responses (PubMed : 36727298). Expressed on B-cells, plays a critical role in regulating interactions between B-cells and T-cells in both early and late germinal center responses, which are crucial for the generation of effective humoral immune responses (By similarity).. (Microbial infection) Acts as a receptor for adenovirus subgroup B.
See full target information CD80

Product promise

We are committed to supporting your work with high-quality reagents, and we're here for you every step of the way. In the unlikely event that one of our products does not perform as expected, you're protected by our Product Promise.
For full details, please see our Terms & Conditions

Please note: All products are 'FOR RESEARCH USE ONLY. NOT FOR USE IN DIAGNOSTIC OR THERAPEUTIC PROCEDURES'.

For licensing inquiries, please contact partnerships@abcam.com