JavaScript is disabled in your browser. Please enable JavaScript to view this website.
AB322922

Anti-CD80 antibody [EPR28978-182]

  • BOND RX™ Validated
  • Recombinant
  • RabMAb
  • 20ul selling size
  • Advanced Validation
  • What is this?

Be the first to review this product! Submit a review

|

(0 Publication)

Rabbit Recombinant Monoclonal CD80 antibody. Suitable for IHC-P, mIHC and reacts with Transfected cell line - Mouse, Mouse samples.

View Alternative Names

CD80, B7, Cd80, T-lymphocyte activation antigen CD80, Activation B7-1 antigen

8 Images
Immunohistochemistry (Formalin/PFA-fixed paraffin-embedded sections) - Anti-CD80 antibody [EPR28978-182] (AB322922)
  • IHC-P

Supplier Data

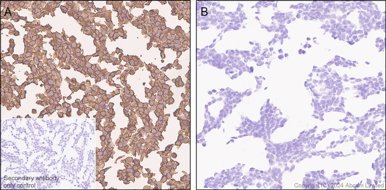
Immunohistochemistry (Formalin/PFA-fixed paraffin-embedded sections) - Anti-CD80 antibody [EPR28978-182] (AB322922)

Immunohistochemical analysis of paraffin-embedded (A) HEK-293T (human embryonic kidney epithelial cell) transfected with a mouse CD80 expression vector containing a Myc-His tag. (B) HEK-293T transfected with empty vector containing a Myc-His tag. tissue labeling CD80 with ab322922 at 1/2000 (0.257 ug/ml) dilution, followed by a ready to use LeicaDS9800 (Bond™ Polymer Refine Detection).

Positive staining on HEK-293T transfected with a Myc-His-tagged mouse CD80 construct (image A). No staining on HEK-293T transfected with empty plasmid (image B). The section was incubated with ab322922 for 30 mins at room temperature.
The immunostaining was performed on a Leica Biosystems BOND® RX instrument.

Counterstained with Hematoxylin.

Secondary antibody only control : Secondary antibody is a ready to use LeicaDS9800 (Bond™ Polymer Refine Detection).

Heat mediated antigen retrieval was performed with Tris-EDTA buffer (pH 9.0, Epitope Retrieval Solution2) for 20 mins

Immunohistochemistry (Formalin/PFA-fixed paraffin-embedded sections) - Anti-CD80 antibody [EPR28978-182] (AB322922)
  • IHC-P

Supplier Data

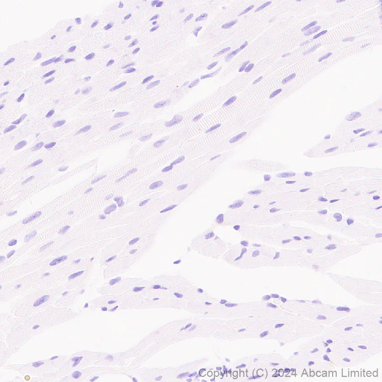
Immunohistochemistry (Formalin/PFA-fixed paraffin-embedded sections) - Anti-CD80 antibody [EPR28978-182] (AB322922)

Immunohistochemical analysis of paraffin-embedded Mouse cardiac muscle tissue labeling CD80 with ab322922 at 1/2000 (0.257 ug/ml) dilution, followed by a ready to use LeicaDS9800 (Bond™ Polymer Refine Detection).

Negative control : no staining on mouse cardiac muscle. The section was incubated with ab322922 for 30 mins at room temperature.
The immunostaining was performed on a Leica Biosystems BOND® RX instrument. Slides were incubated with 3% Hydrogen Peroxide for 10 mins at room temperature after secondary antibody incubation to reduce the background

Counterstained with Hematoxylin.

Secondary antibody only control : Secondary antibody is a ready to use LeicaDS9800 (Bond™ Polymer Refine Detection).

Heat mediated antigen retrieval was performed with Tris-EDTA buffer (pH 9.0, Epitope Retrieval Solution2) for 20 mins

Immunohistochemistry (Formalin/PFA-fixed paraffin-embedded sections) - Anti-CD80 antibody [EPR28978-182] (AB322922)
  • IHC-P

Supplier Data

Immunohistochemistry (Formalin/PFA-fixed paraffin-embedded sections) - Anti-CD80 antibody [EPR28978-182] (AB322922)

Immunohistochemical analysis of paraffin-embedded Mouse pancreas tissue labeling CD80 with ab322922 at 1/2000 (0.257 ug/ml) dilution, followed by a ready to use LeicaDS9800 (Bond™ Polymer Refine Detection).

Negative control : no staining on mouse pancreas. The section was incubated with ab322922 for 30 mins at room temperature.
The immunostaining was performed on a Leica Biosystems BOND® RX instrument. Slides were incubated with 3% Hydrogen Peroxide for 10 mins at room temperature after secondary antibody incubation to reduce the background

Counterstained with Hematoxylin.

Secondary antibody only control : Secondary antibody is a ready to use LeicaDS9800 (Bond™ Polymer Refine Detection).

Heat mediated antigen retrieval was performed with Tris-EDTA buffer (pH 9.0, Epitope Retrieval Solution2) for 20 mins

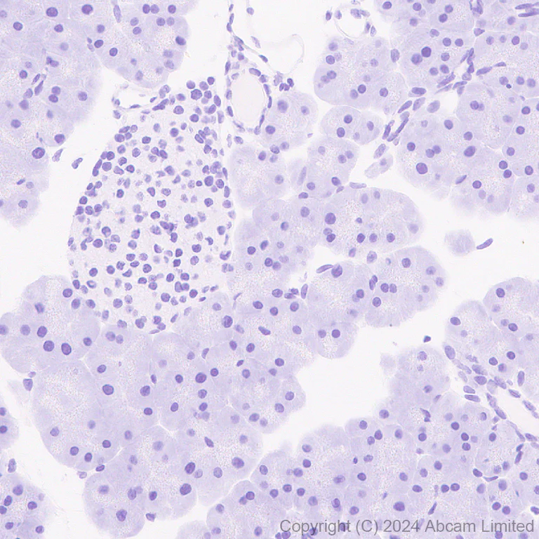
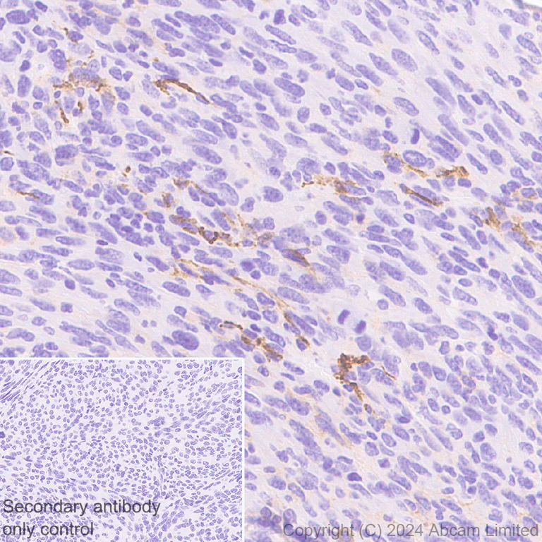
Immunohistochemistry (Formalin/PFA-fixed paraffin-embedded sections) - Anti-CD80 antibody [EPR28978-182] (AB322922)
  • IHC-P

Supplier Data

Immunohistochemistry (Formalin/PFA-fixed paraffin-embedded sections) - Anti-CD80 antibody [EPR28978-182] (AB322922)

Immunohistochemical analysis of paraffin-embedded Mouse pancreatic tumor tissue labeling CD80 with ab322922 at 1/2000 (0.257 ug/ml) dilution, followed by a ready to use LeicaDS9800 (Bond™ Polymer Refine Detection).

Positive staining on mouse pancreatic tumor. The section was incubated with ab322922 for 30 mins at room temperature.
The immunostaining was performed on a Leica Biosystems BOND® RX instrument. Slides were incubated with 3% Hydrogen Peroxide for 10 mins at room temperature after secondary antibody incubation to reduce the background

Counterstained with Hematoxylin.

Secondary antibody only control : Secondary antibody is a ready to use LeicaDS9800 (Bond™ Polymer Refine Detection).

Heat mediated antigen retrieval was performed with Tris-EDTA buffer (pH 9.0, Epitope Retrieval Solution2) for 20 mins

Immunohistochemistry (Formalin/PFA-fixed paraffin-embedded sections) - Anti-CD80 antibody [EPR28978-182] (AB322922)
  • IHC-P

Supplier Data

Immunohistochemistry (Formalin/PFA-fixed paraffin-embedded sections) - Anti-CD80 antibody [EPR28978-182] (AB322922)

Immunohistochemical analysis of paraffin-embedded (A) Untreated mouse lung. (B) Mouse lung treated with Lipopolysaccharide (1 ug/mL) and Brefeldin A (1 ug/mL) for 16 hours. tissue labeling CD80 with ab322922 at 1/2000 (0.257 ug/ml) dilution, followed by a ready to use LeicaDS9800 (Bond™ Polymer Refine Detection).

Positive staining on (A) scattered cells of untreated mouse lung and positive staining on (B) mouse lung treated with Lipopolysaccharide (1 ug/mL) and Brefeldin A (1 ug/mL) for 16 hours. The section was incubated with ab322922 for 30 mins at room temperature.
The immunostaining was performed on a Leica Biosystems BOND® RX instrument. Slides were incubated with 3% Hydrogen Peroxide for 10 mins at room temperature after secondary antibody incubation to reduce the background

Counterstained with Hematoxylin.

Secondary antibody only control : Secondary antibody is a ready to use LeicaDS9800 (Bond™ Polymer Refine Detection).

Heat mediated antigen retrieval was performed with Tris-EDTA buffer (pH 9.0, Epitope Retrieval Solution2) for 20 mins

Immunohistochemistry (Formalin/PFA-fixed paraffin-embedded sections) - Anti-CD80 antibody [EPR28978-182] (AB322922)
  • IHC-P

Supplier Data

Immunohistochemistry (Formalin/PFA-fixed paraffin-embedded sections) - Anti-CD80 antibody [EPR28978-182] (AB322922)

Immunohistochemical analysis of paraffin-embedded (A) Untreated mouse spleen. (B) Mouse spleen treated with Lipopolysaccharide (1 ug/mL) for 16 hours and Brefeldin A (1 ug/mL) for overnight. tissue labeling CD80 with ab322922 at 1/2000 (0.257 ug/ml) dilution, followed by a ready to use LeicaDS9800 (Bond™ Polymer Refine Detection).

Weak staining on (A) scattered cells of untreated mouse spleen and (B) positive staining on mouse spleen treated with Lipopolysaccharide (1 ug/mL) for 16 hours and Brefeldin A (1 ug/mL) for overnight. The section was incubated with ab322922 for 30 mins at room temperature.
The immunostaining was performed on a Leica Biosystems BOND® RX instrument. Slides were incubated with 3% Hydrogen Peroxide for 10 mins at room temperature after secondary antibody incubation to reduce the background

Counterstained with Hematoxylin.

Secondary antibody only control : Secondary antibody is a ready to use LeicaDS9800 (Bond™ Polymer Refine Detection).

Heat mediated antigen retrieval was performed with Tris-EDTA buffer (pH 9.0, Epitope Retrieval Solution2) for 20 mins

Multiplex immunohistochemistry - Anti-CD80 antibody [EPR28978-182] (AB322922)
  • mIHC

Supplier Data

Multiplex immunohistochemistry - Anti-CD80 antibody [EPR28978-182] (AB322922)

Multiplex immunohistochemistry analysis of formalin/PFA-fixed paraffin-embedded mouse spleen treated with lipopolysaccharide (1 ug/ml) for 16 hours and brefeldin a (1 ug/ml) for overnight tissue staining CD80 with ab322922 at a 1 : 2000 (0.257 ug/ml) dilution, ab245235 anti-CD19 used at 1 : 1000 (0.444 ug/ml) dilution.

Panel A : merged staining of anti-CD80 (green; Opal™520) and anti-CD19 (magenta; Opal™570) on mouse spleen treated with Lipopolysaccharide.
Panel B : anti-CD80 staining immune cells in mouse spleen treated with Lipopolysaccharide.
Panel C : ant-CD19 staining B lymphocytes in mouse spleen treated with Lipopolysaccharide.
Panel D : Nuclear DNA was labeled with DAPI (shown in blue).

The section was incubated in three rounds of staining : in the order of ab322922 and ab245235 for 30 mins at room temperature. Each round was followed by a separate fluorescent tyramide signal amplification system.

The immunostaining was performed on a Leica Biosystems BOND® RX instrument with an Opal™ 4-color kit. Image acquisition was performed with Leica SP8 confocal microscope.

Nuclear counter stain with DAPI.

Heat mediated antigen retrieval with Tris-EDTA buffer (pH 9.0, epitope retrieval solution2) for 20 mins.

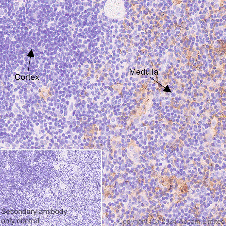
Immunohistochemistry (Formalin/PFA-fixed paraffin-embedded sections) - Anti-CD80 antibody [EPR28978-182] (AB322922)
  • IHC-P

Supplier Data

Immunohistochemistry (Formalin/PFA-fixed paraffin-embedded sections) - Anti-CD80 antibody [EPR28978-182] (AB322922)

Immunohistochemical analysis of paraffin-embedded Mouse thymus tissue labeling CD80 with ab322922 at 1/2000 (0.257 ug/ml) dilution, followed by a ready to use LeicaDS9800 (Bond™ Polymer Refine Detection).

Positive staining on mouse thymus. The section was incubated with ab322922 for 30 mins at room temperature.
The immunostaining was performed on a Leica Biosystems BOND® RX instrument. Slides were incubated with 3% Hydrogen Peroxide for 10 mins at room temperature after secondary antibody incubation to reduce the background

Counterstained with Hematoxylin.

Secondary antibody only control : Secondary antibody is a ready to use LeicaDS9800 (Bond™ Polymer Refine Detection).

Heat mediated antigen retrieval was performed with Tris-EDTA buffer (pH 9.0, Epitope Retrieval Solution2) for 20 mins

Key facts

Host species

Rabbit

Clonality

Monoclonal

Clone number

EPR28978-182

Isotype

IgG

Carrier free

No

Reacts with

Mouse

Applications

mIHC, IHC-P

applications

Immunogen

The exact immunogen used to generate this antibody is proprietary information.

Reactivity data

{ "title": "Reactivity Data", "filters": { "stats": ["", "Species", "Dilution Info", "Notes"], "tabs": { "all-applications": {"fullname" : "All Applications", "shortname": "All Applications"}, "IHCP" : {"fullname" : "Immunohistochemistry (Formalin/PFA-fixed paraffin-embedded sections)", "shortname":"IHC-P"}, "mIHC" : {"fullname" : "Multiplex immunohistochemistry", "shortname":"mIHC"} }, "product-promise": { "all": "all", "testedAndGuaranteed": "tested", "guaranteed": "expected", "predicted": "predicted", "notRecommended": "not-recommended" } }, "values": { "Mouse": { "IHCP-species-checked": "testedAndGuaranteed", "IHCP-species-dilution-info": "1/2000", "IHCP-species-notes": "<p></p> Perform heat-mediated antigen retrieval with Tris/EDTA buffer pH 9.0 before commencing with IHC staining protocol.", "mIHC-species-checked": "testedAndGuaranteed", "mIHC-species-dilution-info": "1/2000", "mIHC-species-notes": "<p></p> Perform heat-mediated antigen retrieval with Tris/EDTA buffer pH 9.0 before commencing with IHC staining protocol." }, "Transfected cell line - Mouse": { "IHCP-species-checked": "testedAndGuaranteed", "IHCP-species-dilution-info": "1/2000", "IHCP-species-notes": "<p></p> Perform heat-mediated antigen retrieval with Tris/EDTA buffer pH 9.0 before commencing with IHC staining protocol.", "mIHC-species-checked": "notRecommended", "mIHC-species-dilution-info": "", "mIHC-species-notes": "" } } }

Product details

Patented technology
Our RabMAb® technology is a patented hybridoma-based technology for making rabbit monoclonal antibodies. For details on our patents, please refer to RabMAb® patents.

What are the advantages of a recombinant monoclonal antibody?
This product is a recombinant monoclonal antibody, which offers several advantages including:

  • - High batch-to-batch consistency and reproducibility
  • - Improved sensitivity and specificity
  • - Long-term security of supply
  • - Animal-free batch production

For more information, read more on recombinant antibodies.

Properties and storage information

Form
Liquid
Purification technique
Affinity purification Protein A
Storage buffer
pH: 7.2 - 7.4 Preservative: 0.01% Sodium azide Constituents: PBS, 40% Glycerol (glycerin, glycerine), 0.05% BSA
Shipped at conditions
Blue Ice
Appropriate short-term storage duration
1-2 weeks
Appropriate short-term storage conditions
+4°C
Appropriate long-term storage conditions
-20°C
Aliquoting information
Upon delivery aliquot
Storage information
Avoid freeze / thaw cycle

Product protocols

For this product, it's our understanding that no specific protocols are required. You can visit:

Target data

Costimulatory molecule that belongs to the immunoglobulin superfamily that plays an important role in T-lymphocyte activation. Acts as the primary auxiliary signal augmenting the MHC/TCR signal in naive T-cells together with the CD28 receptor which is constitutively expressed on the cell surface of T-cells (PubMed : 16339518). In turn, activates different signaling pathways such as NF-kappa-B or MAPK leading to the production of different cytokines. In addition, CD28/CD80 costimulatory signal stimulates glucose metabolism and ATP synthesis of T-cells by activating the PI3K/Akt signaling pathway. Acts also as a regulator of PDL1/PDCD1 interactions to limit excess engagement of PDL1 and its inhibitory role in immune responses. Expressed on B-cells, plays a critical role in regulating interactions between B-cells and T-cells in both early and late germinal center responses, which are crucial for the generation of effective humoral immune responses (PubMed : 22450810).
See full target information Cd80

Product promise

We are committed to supporting your work with high-quality reagents, and we're here for you every step of the way. In the unlikely event that one of our products does not perform as expected, you're protected by our Product Promise.
For full details, please see our Terms & Conditions

Please note: All products are 'FOR RESEARCH USE ONLY. NOT FOR USE IN DIAGNOSTIC OR THERAPEUTIC PROCEDURES'.

For licensing inquiries, please contact partnerships@abcam.com