JavaScript is disabled in your browser. Please enable JavaScript to view this website.
AB233692

Anti-CD81 antibody [EPR21916] - BSA and Azide free

Be the first to review this product! Submit a review

|

(7 Publications)

Rabbit Recombinant Monoclonal CD81 antibody. Carrier free. Suitable for Flow Cyt, ICC/IF, IHC-P and reacts with Human samples. Cited in 7 publications.

View Alternative Names

CD81, TAPA1, TSPAN28, CD81 antigen, 26 kDa cell surface protein TAPA-1, Target of the antiproliferative antibody 1, Tetraspanin-28, Tspan-28

5 Images
Immunocytochemistry/ Immunofluorescence - Anti-CD81 antibody [EPR21916] - BSA and Azide free (AB233692)
  • ICC/IF

Supplier Data

Immunocytochemistry/ Immunofluorescence - Anti-CD81 antibody [EPR21916] - BSA and Azide free (AB233692)

Immunofluorescent analysis of 100% methanol-fixed Jurkat (human T cell leukemia cell line from peripheral blood) cells and HepG2 (human liver hepatocellular carcinoma cell line) cells labeling CD81 with ab219209 at 1/100 dilution followed by Goat Anti-Rabbit IgG H&L (Alexa Fluor® 488) (ab150077) secondary antibody at 1/1000 dilution (green).

Confocal image showing membranous staining in Jurkat cells.

Negative control : HepG2 (PMID : 16641285).

The nuclear counter stain is DAPI (blue). Tubulin is detected with Anti-alpha Tubulin antibody [DM1A] - Microtubule Marker (Alexa Fluor® 594) (ab195889) (red) at 1/200 dilution.

Secondary antibody only control : Used PBS instead of primary antibody, secondary antibody is Goat Anti-Rabbit IgG H&L (Alexa Fluor® 488) (ab150077) secondary antibody at 1/1000 dilution.

This data was developed using the same antibody clone in a different buffer formulation containing PBS, BSA, glycerol, and sodium azide (ab219209).

Immunohistochemistry (Formalin/PFA-fixed paraffin-embedded sections) - Anti-CD81 antibody [EPR21916] - BSA and Azide free (AB233692)
  • IHC-P

Supplier Data

Immunohistochemistry (Formalin/PFA-fixed paraffin-embedded sections) - Anti-CD81 antibody [EPR21916] - BSA and Azide free (AB233692)

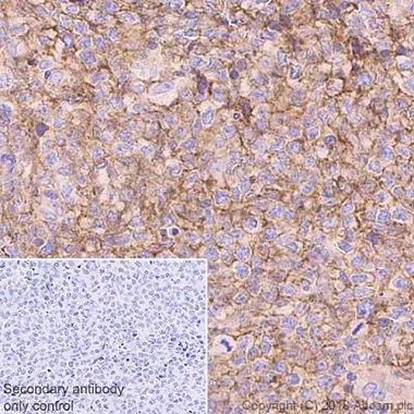
Immunohistochemical analysis of paraffin-embedded human diffuse large B cell lymphoma tissue labeling CD81 with ab219209 at 1/1000 dilution, followed by Goat Anti-Rabbit IgG H&L (HRP) Ready to use. Positive staining on tumor cells of human diffuse large B cell lymphoma (PMID : 20004001). Counter stained with hematoxylin.

Secondary antibody only control : Used PBS instead of primary antibody, secondary antibody is Goat Anti-Rabbit IgG H&L (HRP) Ready to use.

Perform heat mediated antigen retrieval using ab93684 (Tris/EDTA buffer, pH 9.0).

This data was developed using the same antibody clone in a different buffer formulation containing PBS, BSA, glycerol, and sodium azide (ab219209).

Immunohistochemistry (Formalin/PFA-fixed paraffin-embedded sections) - Anti-CD81 antibody [EPR21916] - BSA and Azide free (AB233692)
  • IHC-P

Supplier Data

Immunohistochemistry (Formalin/PFA-fixed paraffin-embedded sections) - Anti-CD81 antibody [EPR21916] - BSA and Azide free (AB233692)

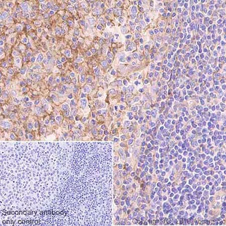
Immunohistochemical analysis of paraffin-embedded human tonsil tissue labeling CD81 with ab219209 at 1/1000 dilution, followed by Goat Anti-Rabbit IgG H&L (HRP) Ready to use. Positive staining in the germinal center of human tonsil (PMID : 20004001). Counter stained with hematoxylin.

Secondary antibody only control : Used PBS instead of primary antibody, secondary antibody is Goat Anti-Rabbit IgG H&L (HRP) Ready to use.

Perform heat mediated antigen retrieval using ab93684 (Tris/EDTA buffer, pH 9.0).

This data was developed using the same antibody clone in a different buffer formulation containing PBS, BSA, glycerol, and sodium azide (ab219209).

Immunohistochemistry (Formalin/PFA-fixed paraffin-embedded sections) - Anti-CD81 antibody [EPR21916] - BSA and Azide free (AB233692)
  • IHC-P

Supplier Data

Immunohistochemistry (Formalin/PFA-fixed paraffin-embedded sections) - Anti-CD81 antibody [EPR21916] - BSA and Azide free (AB233692)

Immunohistochemical analysis of paraffin-embedded human liver tissue labeling CD81 with ab219209 at 1/1000 dilution, followed by Goat Anti-Rabbit IgG H&L (HRP) Ready to use. Mainly membranous staining in human liver (PMID : 19489072). Counter stained with hematoxylin.

Secondary antibody only control : Used PBS instead of primary antibody, secondary antibody is Goat Anti-Rabbit IgG H&L (HRP) Ready to use.

Perform heat mediated antigen retrieval using ab93684 (Tris/EDTA buffer, pH 9.0).

This data was developed using the same antibody clone in a different buffer formulation containing PBS, BSA, glycerol, and sodium azide (ab219209).

Flow Cytometry - Anti-CD81 antibody [EPR21916] - BSA and Azide free (AB233692)
  • Flow Cyt

Supplier Data

Flow Cytometry - Anti-CD81 antibody [EPR21916] - BSA and Azide free (AB233692)

Flow cytometric analysis of Jurkat (human T cell leukemia cell line from peripheral blood) cells and HepG2 (human liver hepatocellular carcinoma cell line) cell lines labeling CD81 with ab219209 at 1/600 dilution (red) compared with a Rabbit IgG, monoclonal [EPR25A] - Isotype Control (ab172730) (black) and an unlabeled control (cells incubated with secondary antibody only) (blue). Goat Anti-Rabbit IgG H&L (Alexa Fluor® 488) (ab150077) at 1/2000 dilution was used as the secondary antibody.

Gated on viable cells.

Negative control : HepG2 (PMID : 16641285).

This data was developed using the same antibody clone in a different buffer formulation containing PBS, BSA, glycerol, and sodium azide (ab219209).

Key facts

Host species

Rabbit

Clonality

Monoclonal

Clone number

EPR21916

Isotype

IgG

Carrier free

Yes

Reacts with

Human

Applications

ICC/IF, IHC-P, Flow Cyt

applications

Immunogen

The exact immunogen used to generate this antibody is proprietary information.

Reactivity data

{ "title": "Reactivity Data", "filters": { "stats": ["", "Species", "Dilution Info", "Notes"], "tabs": { "all-applications": {"fullname" : "All Applications", "shortname": "All Applications"}, "FlowCyt" : {"fullname" : "Flow Cytometry", "shortname":"Flow Cyt"}, "ICCIF" : {"fullname" : "Immunocytochemistry/ Immunofluorescence", "shortname":"ICC/IF"}, "IHCP" : {"fullname" : "Immunohistochemistry (Formalin/PFA-fixed paraffin-embedded sections)", "shortname":"IHC-P"} }, "product-promise": { "all": "all", "testedAndGuaranteed": "tested", "guaranteed": "expected", "predicted": "predicted", "notRecommended": "not-recommended" } }, "values": { "Human": { "FlowCyt-species-checked": "testedAndGuaranteed", "FlowCyt-species-dilution-info": "", "FlowCyt-species-notes": "<p></p>", "ICCIF-species-checked": "testedAndGuaranteed", "ICCIF-species-dilution-info": "", "ICCIF-species-notes": "<p></p>", "IHCP-species-checked": "testedAndGuaranteed", "IHCP-species-dilution-info": "", "IHCP-species-notes": "<p></p>" } } }

Product details

ab233692 is the carrier-free version of ab219209.

Patented technology
Our RabMAb® technology is a patented hybridoma-based technology for making rabbit monoclonal antibodies. For details on our patents, please refer to RabMAb® patents.

What are the advantages of a recombinant monoclonal antibody?
This product is a recombinant monoclonal antibody, which offers several advantages including:

  • - High batch-to-batch consistency and reproducibility
  • - Improved sensitivity and specificity
  • - Long-term security of supply
  • - Animal-free batch production

For more information, read more on recombinant antibodies.

Conjugation ready
Our carrier-free antibodies are typically supplied in a PBS-only formulation, purified and free of BSA, sodium azide and glycerol. This conjugation-ready format is designed for use with fluorochromes, metal isotopes, oligonucleotides, and enzymes, which makes them ideal for antibody labelling, functional and cell-based assays, flow-based assays (e.g. mass cytometry) and Multiplex Imaging applications.

Use our conjugation kits for antibody conjugates that are ready-to-use in as little as 20 minutes with 1 minute hands-on-time and 100% antibody recovery: available for fluorescent dyes, HRP, biotin and gold.

Compatibility
This product is compatible with the Maxpar® Antibody Labeling Kit from Fluidigm, without the need for antibody preparation. Maxpar® is a trademark of Fluidigm Canada Inc.

Properties and storage information

Form
Liquid
Purification technique
Affinity purification Protein A
Storage buffer
pH: 7.2 - 7.4 Constituents: PBS
Shipped at conditions
Blue Ice
Appropriate short-term storage conditions
+4°C
Appropriate long-term storage conditions
+4°C
Storage information
Do Not Freeze

Supplementary information

This supplementary information is collated from multiple sources and compiled automatically.

CD81 also known as TAPA-1 or 26 kDa protein is a member of the tetraspanin family featuring four transmembrane domains. The molecular weight of CD81 is approximately 26-28 kDa. This protein exhibits expression in numerous cell types such as leukocytes endothelial cells and epithelial tissues. CD81 plays a mechanical role by facilitating membrane protein interactions and contributing to cellular processes like adhesion and morphogenesis. Researchers have identified specific isoforms like M38 and labels like 1D6 CHAN in studies involving this target often analyzing CD81 through techniques like Western blot to determine expression levels and molecular weight.
Biological function summary

CD81 interacts with other tetraspanins and forms complexes within the membrane to regulate cellular signaling trafficking and adhesion. It participates in the assembly of larger tetraspanin-enriched microdomains which are important for efficient signaling and functional variety. These complexes modulate cell morphology proliferation and development influencing immune responses and pathogen entry to cells. The presence of CD81 in diverse tissues implies its involvement in a wide range of cellular processes forming essential complexes with proteins like integrins that further engage in tissue repair and immunological defense.

Pathways

CD81 plays significant roles in the immune system and viral entry pathways. It interacts with other proteins like CD9 and CD19 within the immune response pathways regulating lymphocyte activation and differentiation. CD81 is notably a coreceptor in the hepatitis C virus (HCV) entry pathway facilitating viral attachment and fusion into host cells. These interactions illustrate CD81's involvement in modulation of immune cell responses and influence on pathogen infection processes integrating into the complex cellular pathways important for maintaining homeostasis and response to external stimuli.

CD81 has connections to hepatitis C virus (HCV) infections and immunological disorders such as systemic lupus erythematosus (SLE). During HCV infection CD81 serves as an important entry point for the virus interacting with proteins like claudin-1 and scavenger receptor class B type I (SR-BI) enabling viral entry and replication within liver cells. In SLE alterations in CD81 expression can impact autoantibody production and lymphocyte behavior contributing to the disease's pathology. Understanding CD81's role in these diseases provides insight into therapeutic targets and potential interventions for managing infections and autoimmune responses.

Product protocols

For this product, it's our understanding that no specific protocols are required. You can visit:

Target data

Structural component of specialized membrane microdomains known as tetraspanin-enriched microdomains (TERMs), which act as platforms for receptor clustering and signaling. Essential for trafficking and compartmentalization of CD19 receptor on the surface of activated B cells (PubMed : 16449649, PubMed : 20237408, PubMed : 27881302). Upon initial encounter with microbial pathogens, enables the assembly of CD19-CR2/CD21 and B cell receptor (BCR) complexes at signaling TERMs, lowering the threshold dose of antigen required to trigger B cell clonal expansion and antibody production (PubMed : 15161911, PubMed : 20237408). In T cells, facilitates the localization of CD247/CD3 zeta at antigen-induced synapses with B cells, providing for costimulation and polarization toward T helper type 2 phenotype (PubMed : 22307619, PubMed : 23858057, PubMed : 8766544). Present in MHC class II compartments, may also play a role in antigen presentation (PubMed : 8409388, PubMed : 8766544). Can act both as positive and negative regulator of homotypic or heterotypic cell-cell fusion processes. Positively regulates sperm-egg fusion and may be involved in acrosome reaction (By similarity). In myoblasts, associates with CD9 and PTGFRN and inhibits myotube fusion during muscle regeneration (By similarity). In macrophages, associates with CD9 and beta-1 and beta-2 integrins, and prevents macrophage fusion into multinucleated giant cells specialized in ingesting complement-opsonized large particles (PubMed : 12796480). Also prevents the fusion of mononuclear cell progenitors into osteoclasts in charge of bone resorption (By similarity). May regulate the compartmentalization of enzymatic activities. In T cells, defines the subcellular localization of dNTPase SAMHD1 and permits its degradation by the proteasome, thereby controlling intracellular dNTP levels (PubMed : 28871089). Also involved in cell adhesion and motility. Positively regulates integrin-mediated adhesion of macrophages, particularly relevant for the inflammatory response in the lung (By similarity).. (Microbial infection) Acts as a receptor for hepatitis C virus (HCV) in hepatocytes. Association with CLDN1 and the CLDN1-CD81 receptor complex is essential for HCV entry into host cell.. (Microbial infection) Involved in SAMHD1-dependent restriction of HIV-1 replication. May support early replication of both R5- and X4-tropic HIV-1 viruses in T cells, likely via proteasome-dependent degradation of SAMHD1.. (Microbial infection) Specifically required for Plasmodium falciparum infectivity of hepatocytes, controlling sporozoite entry into hepatocytes via the parasitophorous vacuole and subsequent parasite differentiation to exoerythrocytic forms.
See full target information CD81

Publications (7)

Recent publications for all applications. Explore the full list and refine your search

Journal of extracellular vesicles 13:e12440 PubMed38659349

2024

Exhaled breath condensate contains extracellular vesicles (EVs) that carry miRNA cargos of lung tissue origin that can be selectively purified and analyzed.

Applications

Unspecified application

Species

Unspecified reactive species

Megan I Mitchell,Iddo Z Ben-Dov,Kenny Ye,Christina Liu,Miao Shi,Ali Sadoughi,Chirag Shah,Taha Siddiqui,Aham Okorozo,Martin Gutierrez,Rashmi Unawane,Lisa Biamonte,Kaushal Parikh,Simon Spivack,Olivier Loudig

Proceedings of the National Academy of Sciences of the United States of America 121:e2321323121 PubMed38607931

2024

Extracellular vesicles released by keratinocytes regulate melanosome maturation, melanocyte dendricity, and pigment transfer.

Applications

Unspecified application

Species

Unspecified reactive species

Marie-Thérèse Prospéri,Cécile Giordano,Mireia Gomez-Duro,Ilse Hurbain,Anne-Sophie Macé,Graça Raposo,Gisela D'Angelo

NPJ precision oncology 7:95 PubMed37723227

2023

Targeted single-cell proteomic analysis identifies new liquid biopsy biomarkers associated with multiple myeloma.

Applications

Unspecified application

Species

Unspecified reactive species

Sonia M Setayesh,Libere J Ndacayisaba,Kate E Rappard,Valerie Hennes,Luz Yurany Moreno Rueda,Guilin Tang,Pei Lin,Robert Z Orlowski,David E Symer,Elisabet E Manasanch,Stephanie N Shishido,Peter Kuhn

EMBO reports 23:e52493 PubMed36194673

2022

Microtubules are not required to generate a nascent axon in embryonic spinal neurons in vivo.

Applications

Unspecified application

Species

Unspecified reactive species

Rachel E Moore,Sînziana Pop,Caché Alleyne,Jonathan D W Clarke

Cancer cell 39:1479-1496.e18 PubMed34653364

2021

Signatures of plasticity, metastasis, and immunosuppression in an atlas of human small cell lung cancer.

Applications

Unspecified application

Species

Unspecified reactive species

Joseph M Chan,Álvaro Quintanal-Villalonga,Vianne Ran Gao,Yubin Xie,Viola Allaj,Ojasvi Chaudhary,Ignas Masilionis,Jacklynn Egger,Andrew Chow,Thomas Walle,Marissa Mattar,Dig V K Yarlagadda,James L Wang,Fathema Uddin,Michael Offin,Metamia Ciampricotti,Besnik Qeriqi,Amber Bahr,Elisa de Stanchina,Umesh K Bhanot,W Victoria Lai,Matthew J Bott,David R Jones,Arvin Ruiz,Marina K Baine,Yanyun Li,Natasha Rekhtman,John T Poirier,Tal Nawy,Triparna Sen,Linas Mazutis,Travis J Hollmann,Dana Pe'er,Charles M Rudin

Journal of extracellular vesicles 10:e12110 PubMed34122779

2021

Extracellular Vesicle Capture by AnTibody of CHoice and Enzymatic Release (EV-CATCHER): A customizable purification assay designed for small-RNA biomarker identification and evaluation of circulating small-EVs.

Applications

Unspecified application

Species

Unspecified reactive species

Megan I Mitchell,Iddo Z Ben-Dov,Christina Liu,Kenny Ye,Kar Chow,Yael Kramer,Anju Gangadharan,Steven Park,Sean Fitzgerald,Andrew Ramnauth,David S Perlin,Michele Donato,Emily Bhoy,Ehsan Manouchehri Doulabi,Michael Poulos,Masood Kamali-Moghaddam,Olivier Loudig

The EMBO journal 40:e105492 PubMed33709510

2021

Unbiased proteomic profiling of host cell extracellular vesicle composition and dynamics upon HIV-1 infection.

Applications

Unspecified application

Species

Unspecified reactive species

Lorena Martin-Jaular,Nathalie Nevo,Julia P Schessner,Mercedes Tkach,Mabel Jouve,Florent Dingli,Damarys Loew,Kenneth W Witwer,Matias Ostrowski,Georg H H Borner,Clotilde Théry
View all publications

Product promise

We are committed to supporting your work with high-quality reagents, and we're here for you every step of the way. In the unlikely event that one of our products does not perform as expected, you're protected by our Product Promise.
For full details, please see our Terms & Conditions

Please note: All products are 'FOR RESEARCH USE ONLY. NOT FOR USE IN DIAGNOSTIC OR THERAPEUTIC PROCEDURES'.

For licensing inquiries, please contact partnerships@abcam.com