JavaScript is disabled in your browser. Please enable JavaScript to view this website.
AB140238

Anti-CD82 antibody [C33]

Be the first to review this product! Submit a review

|

(3 Publications)

Mouse Monoclonal CD82 antibody. Suitable for Flow Cyt, IHC-P and reacts with Human samples. Cited in 3 publications. Immunogen corresponding to Cell preparation containing CD82 protein.

View Alternative Names

CD82, KAI1, SAR2, ST6, TSPAN27, CD82 antigen, C33 antigen, IA4, Inducible membrane protein R2, Metastasis suppressor Kangai-1, Suppressor of tumorigenicity 6 protein, Tetraspanin-27, Tspan-27

3 Images
Flow Cytometry - Anti-CD82 antibody [C33] (AB140238)
  • Flow Cyt

Supplier Data

Flow Cytometry - Anti-CD82 antibody [C33] (AB140238)

Flow cytometric analysis (surface staining) of human peripheral whole blood showing separation of CD82 negative lymphocytes (black dashed), and CD82 positive lymphocytes (red filled). The concentration of Anti-human CD82 (C33) purified antibody in the sample was 1μg/ml.

Flow Cytometry - Anti-CD82 antibody [C33] (AB140238)
  • Flow Cyt

Supplier Data

Flow Cytometry - Anti-CD82 antibody [C33] (AB140238)

Surface staining flow cytometric analysis of human peripheral blood stained using 1μg/ml anti-human CD82 purified antibody GAM APC

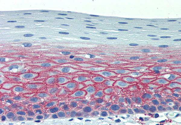
Immunohistochemistry (Formalin/PFA-fixed paraffin-embedded sections) - Anti-CD82 antibody [C33] (AB140238)
  • IHC-P

Supplier Data

Immunohistochemistry (Formalin/PFA-fixed paraffin-embedded sections) - Anti-CD82 antibody [C33] (AB140238)

Immunohistochemistry (Formalin/PFA-fixed paraffin-embedded sections) analysis of human tonsil tissue labelling CD82 with ab140238.

  • Biotin

    Biotin Anti-CD82 antibody [C33]

  • 519 FITC

    FITC Anti-CD82 antibody [C33]

Key facts

Host species

Mouse

Clonality

Monoclonal

Clone number

C33

Isotype

IgG2a

Carrier free

No

Reacts with

Human

Applications

IHC-P, Flow Cyt

applications

Immunogen

Cell preparation containing CD82 protein. The exact immunogen used to generate this antibody is proprietary information.

P27701

Reactivity data

{ "title": "Reactivity Data", "filters": { "stats": ["", "Species", "Dilution Info", "Notes"], "tabs": { "all-applications": {"fullname" : "All Applications", "shortname": "All Applications"}, "FlowCyt" : {"fullname" : "Flow Cytometry", "shortname":"Flow Cyt"}, "IHCP" : {"fullname" : "Immunohistochemistry (Formalin/PFA-fixed paraffin-embedded sections)", "shortname":"IHC-P"} }, "product-promise": { "all": "all", "testedAndGuaranteed": "tested", "guaranteed": "expected", "predicted": "predicted", "notRecommended": "not-recommended" } }, "values": { "Human": { "FlowCyt-species-checked": "testedAndGuaranteed", "FlowCyt-species-dilution-info": "1-4 µg/mL", "FlowCyt-species-notes": "<p></p>", "IHCP-species-checked": "testedAndGuaranteed", "IHCP-species-dilution-info": "", "IHCP-species-notes": "<p></p>" } } }

Properties and storage information

Form
Liquid
Purification technique
Affinity purification Protein A
Purification notes
ab140238 was purified from cell culture supernatant by protein A affinity chromatography to obtain purity of > 95% (by SDS-PAGE).
Storage buffer
pH: 7.4 Preservative: 0.1% Sodium azide Constituents: PBS
Shipped at conditions
Blue Ice
Appropriate short-term storage conditions
+4°C
Appropriate long-term storage conditions
-20°C
Storage information
Avoid freeze / thaw cycle|Store undiluted

Supplementary information

This supplementary information is collated from multiple sources and compiled automatically.

CD82 also known as KAI1 is a member of the tetraspanin family of proteins. It has a molecular mass of approximately 29 to 30 kDa. This protein is widely expressed on the surface of various cell types such as epithelial cells lymphocytes and endothelial cells. It features four transmembrane domains implying a role in organizing membrane microdomains. CD82 is known for its role in promoting cell adhesion and motility through its involvement in protein-protein interactions on the cell surface.
Biological function summary

CD82 plays a significant role in regulating cell signaling and communication during tumor progression and metastasis. It participates in the formation of tetraspanin-enriched microdomains by associating with other tetraspanins and integrins influencing the cellular microenvironment. Additionally CD82 impacts immune cell interactions by modulating activities of T cells and B cells. Despite not being the predominant component in any major protein complex CD82 influences many cellular processes by regulating diverse signaling pathways.

Pathways

CD82 modulates both the PI3K-Akt signaling pathway and the Wnt signaling pathway. These pathways are critical in controlling cellular processes like growth and survival contributing to the metastasis-suppressive effects of CD82. In these contexts CD82 associates with proteins such as integrins and cadherins which facilitate its regulation of signal transduction and cellular dynamics. CD82's role in these pathways shows its importance in controlling cancer cell behavior and immune system interactions.

CD82 has been linked to various cancers particularly prostate cancer and melanoma. Its downregulation or loss often correlates with tumor progression and metastasis indicating its function as a metastasis suppressor. In cancer CD82 interacts with proteins like epidermal growth factor receptor (EGFR) and other integrins affecting disease progression by altering cell adhesion migration and invasion. CD82's expression level serves as a potential biomarker for cancer prognosis and treatment outcomes.

Product protocols

For this product, it's our understanding that no specific protocols are required. You can visit:

Target data

Structural component of specialized membrane microdomains known as tetraspanin-enriched microdomains (TERMs), which act as platforms for receptor clustering and signaling (PubMed : 19497983). Participates thereby in diverse biological functions such as cell signal transduction, adhesion, migration and protein trafficking. Acts as a attenuator of EGF signaling, facilitating ligand-induced endocytosis of the receptor and its subsequent desensitization (PubMed : 10985391, PubMed : 35538033). Mechanistically, modulates ligand-induced ubiquitination and trafficking of EGFR via E3 ligase CBL phosphorylation by PKC (PubMed : 23897813). Increases cell-matrix adhesion by regulating the membrane organization of integrin alpha4/ITA4 (PubMed : 24623721, PubMed : 8757325). Modulates adhesion and suppresses cell migration through other integrins such as the alpha6/ITGA6 and beta1/ITGB1 (PubMed : 15557282, PubMed : 17560548). Decreases cell-associated plasminogen activation by interfering with the interaction between urokinase-type plasminogen activator/PLAU and its receptor PLAUR (PubMed : 15677461). Associates with CD4 or CD8 and delivers costimulatory signals for the TCR/CD3 pathway. Plays a role in TLR9 trafficking to acidified CpG-containing compartments by controlling interaction between TLR9 and VAMP3 and subsequent myddosome assembly (By similarity). Inhibits LPS-induced inflammatory response by preventing binding of LPS to TLR4 on the cell surface (PubMed : 36945827). Plays a role in the activation of macrophages into anti-inflammatory phenotypes (By similarity). Independently of Toll-like receptor (TLR) signaling, is recruited to pathogen-containing phagosomes prior to fusion with lysosomes and thereby participates in antigen presentation (By similarity). Also acts to control angiogenesis and switch angiogenic milieu to quiescent state by binding and sequestering VEGFA and PDGFB to inhibit the signaling they trigger via their respective cell surface receptor (PubMed : 34530889).
See full target information CD82

Publications (3)

Recent publications for all applications. Explore the full list and refine your search

Journal of hematology & oncology 14:148 PubMed34530889

2021

KAI1(CD82) is a key molecule to control angiogenesis and switch angiogenic milieu to quiescent state.

Applications

Unspecified application

Species

Unspecified reactive species

Jin-Woo Lee,Jin Hur,Yoo-Wook Kwon,Cheong-Whan Chae,Jae-Il Choi,Injoo Hwang,Ji-Yeon Yun,Jin-A Kang,Young-Eun Choi,Young Hyun Kim,Sang Eun Lee,Cheol Lee,Dong Hyun Jo,Heeyoung Seok,Byong Seung Cho,Sung Hee Baek,Hyo-Soo Kim

Molecular medicine reports 15:1527-1532 PubMed28260006

2017

Overexpression of KAI1/CD82 suppresses in vitro cell growth, migration, invasion and xenograft growth in oral cancer.

Applications

WB

Species

Unspecified reactive species

Juan Chai,Liangzhi Du,Jun Ju,Chao Ma,Zhiyuan Shen,Xiangming Yang,Liang Liang,Qianwei Ni,Moyi Sun

Oncology reports 36:737-44 PubMed27349208

2016

p12CDK2-AP1 interacts with CD82 to regulate the proliferation and survival of human oral squamous cell carcinoma cells.

Applications

Unspecified application

Species

Unspecified reactive species

Juan Chai,Jun Ju,Shao-Wu Zhang,Zhi-Yuan Shen,Liang Liang,Xiang-Ming Yang,Chao Ma,Qian-Wei Ni,Mo-Yi Sun
View all publications

Product promise

We are committed to supporting your work with high-quality reagents, and we're here for you every step of the way. In the unlikely event that one of our products does not perform as expected, you're protected by our Product Promise.
For full details, please see our Terms & Conditions

Please note: All products are 'FOR RESEARCH USE ONLY. NOT FOR USE IN DIAGNOSTIC OR THERAPEUTIC PROCEDURES'.

For licensing inquiries, please contact partnerships@abcam.com