JavaScript is disabled in your browser. Please enable JavaScript to view this website.
AB226072

Anti-CD82 antibody [EPR4112] - BSA and Azide free

Be the first to review this product! Submit a review

|

(0 Publication)

Rabbit Recombinant Monoclonal CD82 antibody. Carrier free. Suitable for WB and reacts with Human samples.

View Alternative Names

CD82, KAI1, SAR2, ST6, TSPAN27, CD82 antigen, C33 antigen, IA4, Inducible membrane protein R2, Metastasis suppressor Kangai-1, Suppressor of tumorigenicity 6 protein, Tetraspanin-27, Tspan-27

1 Images
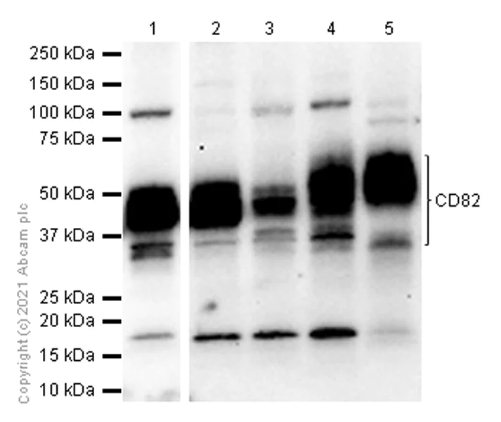
Western blot - Anti-CD82 antibody [EPR4112] - BSA and Azide free (AB226072)
  • WB

Unknown

Western blot - Anti-CD82 antibody [EPR4112] - BSA and Azide free (AB226072)

Lanes 1 - 5:

Western blot - Anti-CD82 antibody [EPR4112] (<a href='/en-us/products/primary-antibodies/cd82-antibody-epr4112-ab109529'>ab109529</a>) at 1/1000 dilution

Lanes 6 - 7:

Western blot - Anti-CD82 antibody [EPR4112] - BSA and Azide free (ab226072) at 1/1000 dilution

Lane 1:

U-87 MG (Human glioblastoma-astrocytoma epithelial cell) whole cell lysate

Lane 2:

Jurkat (Human T cell leukemia T lymphocyte) whole cell lysate

Lane 3:

Raji (Human Burkitt's lymphoma B lymphocyte) whole cell lysate

Lane 4:

SW480 (Human colorectal adenocarcinoma epithelial cell) whole cell lysate

Lane 5:

HT-29 (Human colorectal adenocarcinoma epithelial cell) whole cell lysate

Lane 6:

RAW 264.7 (Mouse Abelson murine leukemia virus-induced tumor macrophage) whole cell lysate

Lane 7:

C6 (Rat glial tumor glial cell) whole cell lysate

Secondary

All lanes:

Western blot - Goat Anti-Rabbit IgG H&L (HRP) (<a href='/en-us/products/secondary-antibodies/goat-rabbit-igg-h-l-hrp-ab97051'>ab97051</a>) at 1/20000 dilution

Predicted band size: 29 kDa

false

Key facts

Host species

Rabbit

Clonality

Monoclonal

Clone number

EPR4112

Isotype

IgG

Carrier free

Yes

Reacts with

Human

Applications

WB

applications

Immunogen

The exact immunogen used to generate this antibody is proprietary information.

Reactivity data

{ "title": "Reactivity Data", "filters": { "stats": ["", "Species", "Dilution Info", "Notes"], "tabs": { "all-applications": {"fullname" : "All Applications", "shortname": "All Applications"}, "WB" : {"fullname" : "Western blot", "shortname":"WB"}, "IHCP" : {"fullname" : "Immunohistochemistry (Formalin/PFA-fixed paraffin-embedded sections)", "shortname":"IHC-P"} }, "product-promise": { "all": "all", "testedAndGuaranteed": "tested", "guaranteed": "expected", "predicted": "predicted", "notRecommended": "not-recommended" } }, "values": { "Human": { "WB-species-checked": "testedAndGuaranteed", "WB-species-dilution-info": "", "WB-species-notes": "<p></p>", "IHCP-species-checked": "notRecommended", "IHCP-species-dilution-info": "", "IHCP-species-notes": "<p></p>" } } }

Product details

ab226072 is the carrier-free version of ab109529.

Species reactivity
Mouse: We have preliminary internal testing data to indicate this antibody may not react with this species.
Please contact us for more information.

Patented technology
Our RabMAb® technology is a patented hybridoma-based technology for making rabbit monoclonal antibodies. For details on our patents, please refer to RabMAb® patents.

What are the advantages of a recombinant monoclonal antibody?
This product is a recombinant monoclonal antibody, which offers several advantages including:

  • - High batch-to-batch consistency and reproducibility
  • - Improved sensitivity and specificity
  • - Long-term security of supply
  • - Animal-free batch production

For more information, read more on recombinant antibodies.

Conjugation ready
Our carrier-free antibodies are typically supplied in a PBS-only formulation, purified and free of BSA, sodium azide and glycerol. This conjugation-ready format is designed for use with fluorochromes, metal isotopes, oligonucleotides, and enzymes, which makes them ideal for antibody labelling, functional and cell-based assays, flow-based assays (e.g. mass cytometry) and Multiplex Imaging applications.

Use our conjugation kits for antibody conjugates that are ready-to-use in as little as 20 minutes with 1 minute hands-on-time and 100% antibody recovery: available for fluorescent dyes, HRP, biotin and gold.

Compatibility
This product is compatible with the Maxpar® Antibody Labeling Kit from Fluidigm, without the need for antibody preparation. Maxpar® is a trademark of Fluidigm Canada Inc.

Properties and storage information

Form
Liquid
Purification technique
Affinity purification Protein A
Storage buffer
pH: 7.2 - 7.4 Constituents: PBS
Shipped at conditions
Blue Ice
Appropriate short-term storage conditions
+4°C
Appropriate long-term storage conditions
+4°C
Storage information
Do Not Freeze

Supplementary information

This supplementary information is collated from multiple sources and compiled automatically.

CD82 also known as KAI1 is a member of the tetraspanin family of proteins. It has a molecular mass of approximately 29 to 30 kDa. This protein is widely expressed on the surface of various cell types such as epithelial cells lymphocytes and endothelial cells. It features four transmembrane domains implying a role in organizing membrane microdomains. CD82 is known for its role in promoting cell adhesion and motility through its involvement in protein-protein interactions on the cell surface.
Biological function summary

CD82 plays a significant role in regulating cell signaling and communication during tumor progression and metastasis. It participates in the formation of tetraspanin-enriched microdomains by associating with other tetraspanins and integrins influencing the cellular microenvironment. Additionally CD82 impacts immune cell interactions by modulating activities of T cells and B cells. Despite not being the predominant component in any major protein complex CD82 influences many cellular processes by regulating diverse signaling pathways.

Pathways

CD82 modulates both the PI3K-Akt signaling pathway and the Wnt signaling pathway. These pathways are critical in controlling cellular processes like growth and survival contributing to the metastasis-suppressive effects of CD82. In these contexts CD82 associates with proteins such as integrins and cadherins which facilitate its regulation of signal transduction and cellular dynamics. CD82's role in these pathways shows its importance in controlling cancer cell behavior and immune system interactions.

CD82 has been linked to various cancers particularly prostate cancer and melanoma. Its downregulation or loss often correlates with tumor progression and metastasis indicating its function as a metastasis suppressor. In cancer CD82 interacts with proteins like epidermal growth factor receptor (EGFR) and other integrins affecting disease progression by altering cell adhesion migration and invasion. CD82’s expression level serves as a potential biomarker for cancer prognosis and treatment outcomes.

Product protocols

For this product, it's our understanding that no specific protocols are required. You can visit:

Target data

Structural component of specialized membrane microdomains known as tetraspanin-enriched microdomains (TERMs), which act as platforms for receptor clustering and signaling (PubMed : 19497983). Participates thereby in diverse biological functions such as cell signal transduction, adhesion, migration and protein trafficking. Acts as a attenuator of EGF signaling, facilitating ligand-induced endocytosis of the receptor and its subsequent desensitization (PubMed : 10985391, PubMed : 35538033). Mechanistically, modulates ligand-induced ubiquitination and trafficking of EGFR via E3 ligase CBL phosphorylation by PKC (PubMed : 23897813). Increases cell-matrix adhesion by regulating the membrane organization of integrin alpha4/ITA4 (PubMed : 24623721, PubMed : 8757325). Modulates adhesion and suppresses cell migration through other integrins such as the alpha6/ITGA6 and beta1/ITGB1 (PubMed : 15557282, PubMed : 17560548). Decreases cell-associated plasminogen activation by interfering with the interaction between urokinase-type plasminogen activator/PLAU and its receptor PLAUR (PubMed : 15677461). Associates with CD4 or CD8 and delivers costimulatory signals for the TCR/CD3 pathway. Plays a role in TLR9 trafficking to acidified CpG-containing compartments by controlling interaction between TLR9 and VAMP3 and subsequent myddosome assembly (By similarity). Inhibits LPS-induced inflammatory response by preventing binding of LPS to TLR4 on the cell surface (PubMed : 36945827). Plays a role in the activation of macrophages into anti-inflammatory phenotypes (By similarity). Independently of Toll-like receptor (TLR) signaling, is recruited to pathogen-containing phagosomes prior to fusion with lysosomes and thereby participates in antigen presentation (By similarity). Acts also to control angiogenesis and switch angiogenic milieu to quiescent state by binding and sequestering VEGFA and PDGFB to inhibit the signaling they trigger via their respective cell surface receptor (PubMed : 34530889).
See full target information CD82

Product promise

We are committed to supporting your work with high-quality reagents, and we're here for you every step of the way. In the unlikely event that one of our products does not perform as expected, you're protected by our Product Promise.
For full details, please see our Terms & Conditions

Please note: All products are 'FOR RESEARCH USE ONLY. NOT FOR USE IN DIAGNOSTIC OR THERAPEUTIC PROCEDURES'.

For licensing inquiries, please contact partnerships@abcam.com