JavaScript is disabled in your browser. Please enable JavaScript to view this website.
AB275032

Anti-CD83 antibody [EPR23809-19] - BSA and Azide free

5

(2 Reviews)

|

(0 Publication)

Rabbit Recombinant Monoclonal CD83 antibody. Carrier free. Suitable for IP, Flow Cyt, IHC-P and reacts with Human samples.

View Alternative Names

CD83, CD83 antigen, hCD83, B-cell activation protein, Cell surface protein HB15

5 Images
Immunohistochemistry (Formalin/PFA-fixed paraffin-embedded sections) - Anti-CD83 antibody [EPR23809-19] - BSA and Azide free (AB275032)
  • IHC-P

Unknown

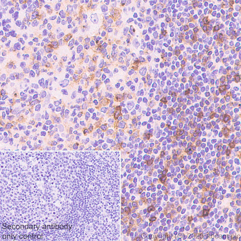
Immunohistochemistry (Formalin/PFA-fixed paraffin-embedded sections) - Anti-CD83 antibody [EPR23809-19] - BSA and Azide free (AB275032)

This data was developed using ab275021, the same antibody clone in a different buffer formulation.

Immunohistochemical analysis of paraffin-embedded human Hodgkin's lymphoma tissue labeling CD83 with ab275021 at 1/500 dilution followed by ready to use Rabbit specific IHC polymer detection kit HRP/DAB (ab209101). Positive staining on human Hodgkin's lymphoma (PMID : 24633193). The section was incubated with ab275021 for 30 mins at room temperature. The immunostaining was performed on a Leica Biosystems BOND® RX instrument. Counterstained with Hematoxylin.

Secondary antibody only control : Secondary antibody is ready to use Rabbit specific IHC polymer detection kit HRP/DAB (ab209101).

Heat mediated antigen retrieval with Tris-EDTA buffer (pH 9.0, epitope retrieval solution2) for 20 mins.

Flow Cytometry - Anti-CD83 antibody [EPR23809-19] - BSA and Azide free (AB275032)
  • Flow Cyt

Unknown

Flow Cytometry - Anti-CD83 antibody [EPR23809-19] - BSA and Azide free (AB275032)

This data was developed using ab275021, the same antibody clone in a different buffer formulation.

Flow cytometric analysis of HDLM-2 (Human Hodgkin lymphoma) cells labelling CD83 with ab275021 at 1/500 dilution (0.1μg) (Red) compared with a Rabbit monoclonal IgG (ab172730) (Black) isotype control and an unlabelled control (cells without incubation with primary antibody and secondary antibody) (Blue).

Goat anti rabbit IgG (Alexa Fluor® 488, ab150077) at 1/2000 dilution was used as the secondary antibody.

Gated on viable cells.

Immunohistochemistry (Formalin/PFA-fixed paraffin-embedded sections) - Anti-CD83 antibody [EPR23809-19] - BSA and Azide free (AB275032)
  • IHC-P

Unknown

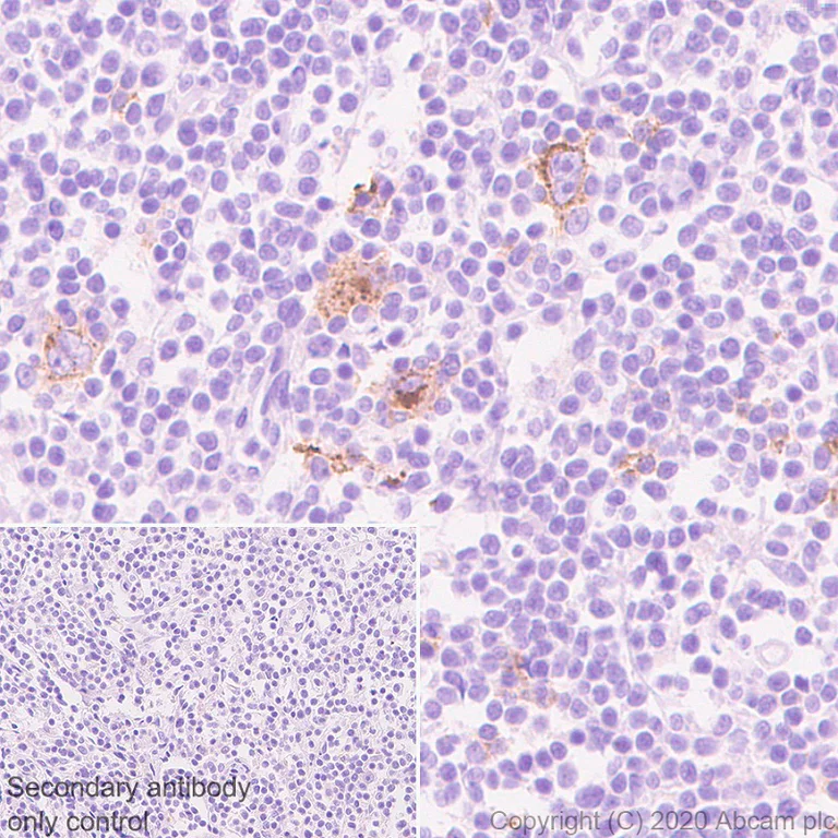
Immunohistochemistry (Formalin/PFA-fixed paraffin-embedded sections) - Anti-CD83 antibody [EPR23809-19] - BSA and Azide free (AB275032)

This data was developed using ab275021, the same antibody clone in a different buffer formulation.

Immunohistochemical analysis of paraffin-embedded human tonsil tissue labeling CD83 with ab275021 at 1/500 dilution followed by ready to use Rabbit specific IHC polymer detection kit HRP/DAB (ab209101). Positive staining on human tonsil. The section was incubated with ab275021 for 30 mins at room temperature. The immunostaining was performed on a Leica Biosystems BOND® RX instrument. Counterstained with Hematoxylin.

Secondary antibody only control : Secondary antibody is ready to use Rabbit specific IHC polymer detection kit HRP/DAB (ab209101).

Heat mediated antigen retrieval with Tris-EDTA buffer (pH 9.0, epitope retrieval solution2) for 20 mins.

Flow Cytometry - Anti-CD83 antibody [EPR23809-19] - BSA and Azide free (AB275032)
  • Flow Cyt

Lab

Flow Cytometry - Anti-CD83 antibody [EPR23809-19] - BSA and Azide free (AB275032)

This data was developed using the same antibody clone in a different buffer formulation containing PBS, BSA, glycerol, and sodium azide (ab275021).

Flow cytometry staining of human monocyte-derived dendritic cells (top) or human monocyte-derived dendritic cells treated with LPS, 24 Hours, 100ng/mL (bottom), with ab275021 (right) or Rabbit IgG (monoclonal) Phycoerythrin (ab209478) (left). Cells were incubated for 30 mins on ice in 1x PBS containing 10 µg/ml human IgG and 10 % normal goat serum to block FC receptors and non-specific protein-protein interaction followed by the antibody ab275021 or Rabbit IgG (monoclonal) Phycoerythrin (ab209478) (1x 106 in 100 µl at 0.2 μg/ml (1/2,500 dilution)) for 30 mins on ice. The cells were simultaneously stained with CD209.

The secondary antibody Goat Anti-Rabbit IgG H&L (Alexa Fluor® 488) preadsorbed was incubated at 1/4000 dilutionfor 30 mins on ice

Acquisition of >30000 events were collected using a 50 mW Blue laser (488nm) and 525/40 bandpass filter. Events were gated on live cells.

Immunoprecipitation - Anti-CD83 antibody [EPR23809-19] - BSA and Azide free (AB275032)
  • IP

Unknown

Immunoprecipitation - Anti-CD83 antibody [EPR23809-19] - BSA and Azide free (AB275032)

This data was developed using ab275021, the same antibody clone in a different buffer formulation.

CD83 was immunoprecipitated from 0.35 mg HDLM-2 (human hodgkin lymphoma) whole cell lysate with ab275021 at 1/30 dilution (2μg in 0.35mg lysates). Western blot was performed on the immunoprecipitate using ab275021 at 1/1000 dilution. VeriBlot for IP Detection Reagent (HRP)(ab131366) was used at 1/5000 dilution.

Lane 1 : HDLM-2 whole cell lysate 10 μg

Lane 2 : ab275021 IP in HDLM-2 whole cell lysate.

Lane 3 : Rabbit monoclonal IgG (ab172730) instead of ab275021 in HDLM-2 whole cell lysate.

Blocking and dilution buffer and concentration : 5% NFDM/TBST.

Exposure time : 145 seconds.

The expression profile observed is consistent with what has been described in the literature (PMID : 15320871).

All lanes:

Immunoprecipitation - Anti-CD83 antibody [EPR23809-19] (<a href='/en-us/products/primary-antibodies/cd83-antibody-epr23809-19-ab275021'>ab275021</a>)

Predicted band size: 23 kDa

Observed band size: 40-50 kDa

false

Key facts

Host species

Rabbit

Clonality

Monoclonal

Clone number

EPR23809-19

Isotype

IgG

Carrier free

Yes

Reacts with

Human

Applications

IHC-P, IP, Flow Cyt

applications

Immunogen

The exact immunogen used to generate this antibody is proprietary information.

Reactivity data

{ "title": "Reactivity Data", "filters": { "stats": ["", "Species", "Dilution Info", "Notes"], "tabs": { "all-applications": {"fullname" : "All Applications", "shortname": "All Applications"}, "ICCIF" : {"fullname" : "Immunocytochemistry/ Immunofluorescence", "shortname":"ICC/IF"}, "IP" : {"fullname" : "Immunoprecipitation", "shortname":"IP"}, "FlowCyt" : {"fullname" : "Flow Cytometry", "shortname":"Flow Cyt"}, "WB" : {"fullname" : "Western blot", "shortname":"WB"}, "IHCP" : {"fullname" : "Immunohistochemistry (Formalin/PFA-fixed paraffin-embedded sections)", "shortname":"IHC-P"} }, "product-promise": { "all": "all", "testedAndGuaranteed": "tested", "guaranteed": "expected", "predicted": "predicted", "notRecommended": "not-recommended" } }, "values": { "Human": { "ICCIF-species-checked": "notRecommended", "ICCIF-species-dilution-info": "", "ICCIF-species-notes": "<p></p>", "IP-species-checked": "testedAndGuaranteed", "IP-species-dilution-info": "", "IP-species-notes": "<p></p>", "FlowCyt-species-checked": "testedAndGuaranteed", "FlowCyt-species-dilution-info": "", "FlowCyt-species-notes": "<p></p>", "WB-species-checked": "notRecommended", "WB-species-dilution-info": "", "WB-species-notes": "<p></p>", "IHCP-species-checked": "testedAndGuaranteed", "IHCP-species-dilution-info": "", "IHCP-species-notes": "<p></p>" }, "Mouse": { "ICCIF-species-checked": "notRecommended", "ICCIF-species-dilution-info": "", "ICCIF-species-notes": "", "IP-species-checked": "notRecommended", "IP-species-dilution-info": "", "IP-species-notes": "", "FlowCyt-species-checked": "notRecommended", "FlowCyt-species-dilution-info": "", "FlowCyt-species-notes": "", "WB-species-checked": "notRecommended", "WB-species-dilution-info": "", "WB-species-notes": "", "IHCP-species-checked": "notRecommended", "IHCP-species-dilution-info": "", "IHCP-species-notes": "<p></p>" }, "Rat": { "ICCIF-species-checked": "notRecommended", "ICCIF-species-dilution-info": "", "ICCIF-species-notes": "", "IP-species-checked": "notRecommended", "IP-species-dilution-info": "", "IP-species-notes": "", "FlowCyt-species-checked": "notRecommended", "FlowCyt-species-dilution-info": "", "FlowCyt-species-notes": "", "WB-species-checked": "notRecommended", "WB-species-dilution-info": "", "WB-species-notes": "", "IHCP-species-checked": "notRecommended", "IHCP-species-dilution-info": "", "IHCP-species-notes": "<p></p>" } } }

Product details

ab275032 is the carrier-free version of ab275021.

Patented technology
Our RabMAb® technology is a patented hybridoma-based technology for making rabbit monoclonal antibodies. For details on our patents, please refer to RabMAb® patents.

What are the advantages of a recombinant monoclonal antibody?
This product is a recombinant monoclonal antibody, which offers several advantages including:

  • - High batch-to-batch consistency and reproducibility
  • - Improved sensitivity and specificity
  • - Long-term security of supply
  • - Animal-free batch production

For more information, read more on recombinant antibodies.

Conjugation ready
Our carrier-free antibodies are typically supplied in a PBS-only formulation, purified and free of BSA, sodium azide and glycerol. This conjugation-ready format is designed for use with fluorochromes, metal isotopes, oligonucleotides, and enzymes, which makes them ideal for antibody labelling, functional and cell-based assays, flow-based assays (e.g. mass cytometry) and Multiplex Imaging applications.

Use our conjugation kits for antibody conjugates that are ready-to-use in as little as 20 minutes with 1 minute hands-on-time and 100% antibody recovery: available for fluorescent dyes, HRP, biotin and gold.

Compatibility
This product is compatible with the Maxpar® Antibody Labeling Kit from Fluidigm, without the need for antibody preparation. Maxpar® is a trademark of Fluidigm Canada Inc.

Properties and storage information

Form
Liquid
Purification technique
Affinity purification Protein A
Storage buffer
Constituents: PBS
Shipped at conditions
Blue Ice
Appropriate short-term storage conditions
+4°C
Appropriate long-term storage conditions
+4°C
Storage information
Do Not Freeze

Supplementary information

This supplementary information is collated from multiple sources and compiled automatically.

CD83 also known as 3D11 in some contexts is a protein with important roles in the immune system. The CD83 protein is a glycoprotein with a molecular mass of approximately 45 kDa. It is expressed in various immune cells including dendritic cells B cells thymic epithelial cells and activated T cells. CD83 acts as a surface marker during the maturation and activation of these cells. This characteristic makes it a useful marker in immunological studies often referred to by scientists as the CD83 marker.
Biological function summary

The primary role of CD83 involves the regulation of immune responses. It functions by modulating the activity and communication of immune cells especially impacting the antigen-presenting capabilities of dendritic cells. CD83 also plays a role in promoting the maturation of these cells and influencing T-cell responses. Although CD83 is not generally recognized as a part of a complex its interactions with other cell surface molecules are significant for immune system function.

Pathways

CD83 has notable involvement in immune signaling pathways including the NF-kB and JAK/STAT pathways. These pathways are critical for transmitting signals that influence cell survival proliferation and activation. Through these pathways CD83 interacts with proteins such as cytokines and growth factors which further modulate their effects on immune cells and their responses.

Understanding CD83’s role provides insights into conditions like autoimmune diseases and immune deficiencies. In autoimmune diseases irregular expression or function of CD83 can disrupt normal immune response contributing to pathogenesis. Its relationship with other proteins such as CD28 in T-cell activation underlies its involvement in disorders characterized by immune dysregulation. Furthermore CD83 expression profiles may help decipher cancer immune evasion mechanisms providing possible therapeutic targets.

Product protocols

For this product, it's our understanding that no specific protocols are required. You can visit:

Target data

May play a significant role in antigen presentation or the cellular interactions that follow lymphocyte activation.
See full target information CD83

Product promise

We are committed to supporting your work with high-quality reagents, and we're here for you every step of the way. In the unlikely event that one of our products does not perform as expected, you're protected by our Product Promise.
For full details, please see our Terms & Conditions

Please note: All products are 'FOR RESEARCH USE ONLY. NOT FOR USE IN DIAGNOSTIC OR THERAPEUTIC PROCEDURES'.

For licensing inquiries, please contact partnerships@abcam.com