JavaScript is disabled in your browser. Please enable JavaScript to view this website.
AB243887

Anti-CD86 antibody [BLR030F] - BSA free

Be the first to review this product! Submit a review

|

(7 Publications)

Rabbit Recombinant Monoclonal CD86 antibody. Suitable for IHC-P, ICC, IP, WB and reacts with Human samples. Cited in 7 publications. Immunogen corresponding to Synthetic Peptide within Human CD86 aa 300 to C-terminus.

View Alternative Names

CD86, CD28LG2, T-lymphocyte activation antigen CD86, Activation B7-2 antigen, B70, BU63, CTLA-4 counter-receptor B7.2, FUN-1

5 Images
Immunohistochemistry (Formalin/PFA-fixed paraffin-embedded sections) - Anti-CD86 antibody [BLR030F] - BSA free (AB243887)
  • IHC-P

Unknown

Immunohistochemistry (Formalin/PFA-fixed paraffin-embedded sections) - Anti-CD86 antibody [BLR030F] - BSA free (AB243887)

Formalin-fixed, paraffin-embedded human tonsil tissue stained for CD86 using ab243887 at 1/200 dilution in immunohistochemical analysis. A HRP-conjugated goat anti-rabbit antibody was used as the secondary. DAB staining.

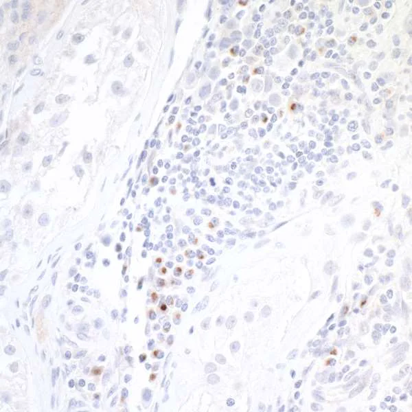
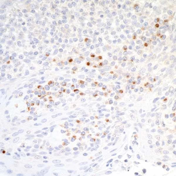
Immunohistochemistry (Formalin/PFA-fixed paraffin-embedded sections) - Anti-CD86 antibody [BLR030F] - BSA free (AB243887)
  • IHC-P

Unknown

Immunohistochemistry (Formalin/PFA-fixed paraffin-embedded sections) - Anti-CD86 antibody [BLR030F] - BSA free (AB243887)

Formalin-fixed, paraffin-embedded human seminoma tissue stained for CD86 using ab243860 at 1/200 dilution in immunohistochemical analysis. A HRP-conjugated goat anti-rabbit antibody was used as the secondary. DAB staining.

Immunocytochemistry - Anti-CD86 antibody [BLR030F] - BSA free (AB243887)
  • ICC

Unknown

Immunocytochemistry - Anti-CD86 antibody [BLR030F] - BSA free (AB243887)

Formalin-fixed, paraffin-embedded HDLM-2 cells labeling CD86 using ab243887 at 1/200 dilution in ICC analysis. A HRP-conjugated goat-anti rabbit IgG was used as the secondary. DAB staining.

Immunoprecipitation - Anti-CD86 antibody [BLR030F] - BSA free (AB243887)
  • IP

Unknown

Immunoprecipitation - Anti-CD86 antibody [BLR030F] - BSA free (AB243887)

CD86 was immunoprecipitated from 1.0 mg HDLM-2 (Human Hodgkin lymphoma cell line from pleural effusion) whole cell lysate with ab243887 at 6 μl per reaction. Western blot was performed on the immunoprecipitate using ab243887 at 1/1000 dilution.

Lane 1 : ab243864 IP in HDLM-2whole cell lysate.

Lane 2 : Control IgG IP in HDLM-2 whole cell lysate.

Detection : Chemiluminescence with an exposure time of 10 seconds.

All lanes:

Immunoprecipitation - Anti-CD86 antibody [BLR030F] - BSA free (ab243887)

Predicted band size: 38 kDa

false

Western blot - Anti-CD86 antibody [BLR030F] - BSA free (AB243887)
  • WB

Unknown

Western blot - Anti-CD86 antibody [BLR030F] - BSA free (AB243887)

Detection : chemiluminescence with an exposure time of 3 minutes.

All lanes:

Western blot - Anti-CD86 antibody [BLR030F] - BSA free (ab243887) at 1/1000 dilution

Lane 1:

HDLM-2 (Human Hodgkin lymphoma cell line from pleural effusion) whole cell lysate at 5 µg

Lane 2:

MJ (Human primary cutaneous T-cell non-Hodgkin lymphoma from peripheral blood) whole cell lysate at 5 µg

Lane 3:

SUP-M2 (Human ALK-positive anaplastic large cell lymphoma from cerebrospinal fluid) whole cell lysate at 50 µg

Lane 4:

KG-1 (Human acute myeloid leukemia from bone narrow) whole cell lysate at 50 µg

Lane 5:

MOLT-4 (Human lymphoblastic leukemia cell line) whole cell lysate at 50 µg

Lane 6:

Ramos (Human Burkitt's lymphoma cell line) whole cell lysate at 50 µg

Lane 7:

Jurkat (Human T cell leukemia cell line from peripheral blood) whole cell lysate at 50 µg

Lane 8:

HeLa (Human cervix adenocarcinoma epithelial cell) whole cell lysate at 50 µg

Lane 9:

HEK-293T (Human epithelial cell line from embryonic kidney transformed with large T antigen) whole cell lysate at 50 µg

Lane 10:

RAW 264.7 (Mouse macrophage cell line transformed with Abelson murine leukemia virus) whole cell lysate at 50 µg

Secondary

All lanes:

HRP-conjugated goat anti-rabbit IgG antibody

Predicted band size: 38 kDa

false

Key facts

Host species

Rabbit

Clonality

Monoclonal

Clone number

BLR030F

Isotype

IgG

Carrier free

No

Reacts with

Human

Applications

IHC-P, IP, WB, ICC

applications

Immunogen

Synthetic Peptide within Human CD86 aa 300 to C-terminus. The exact immunogen used to generate this antibody is proprietary information.

P42081

Reactivity data

{ "title": "Reactivity Data", "filters": { "stats": ["", "Species", "Dilution Info", "Notes"], "tabs": { "all-applications": {"fullname" : "All Applications", "shortname": "All Applications"}, "IHCP" : {"fullname" : "Immunohistochemistry (Formalin/PFA-fixed paraffin-embedded sections)", "shortname":"IHC-P"}, "ICC" : {"fullname" : "Immunocytochemistry", "shortname":"ICC"}, "IP" : {"fullname" : "Immunoprecipitation", "shortname":"IP"}, "WB" : {"fullname" : "Western blot", "shortname":"WB"} }, "product-promise": { "all": "all", "testedAndGuaranteed": "tested", "guaranteed": "expected", "predicted": "predicted", "notRecommended": "not-recommended" } }, "values": { "Human": { "IHCP-species-checked": "testedAndGuaranteed", "IHCP-species-dilution-info": "1/100 - 1/500", "IHCP-species-notes": "<p></p> Perform heat-mediated antigen retrieval with citrate buffer pH 6 before commencing with IHC staining protocol.", "ICC-species-checked": "testedAndGuaranteed", "ICC-species-dilution-info": "1/100 - 1/500", "ICC-species-notes": "<p></p>", "IP-species-checked": "testedAndGuaranteed", "IP-species-dilution-info": "", "IP-species-notes": "<p>Use 6μl/0.5mg lysate.</p>", "WB-species-checked": "testedAndGuaranteed", "WB-species-dilution-info": "1/1000", "WB-species-notes": "<p></p>" } } }

Product details

REACH authorisation
Abcam has not and does not intend to apply for the REACH Authorisation of customers' uses of products that contain European Authorisation list (Annex XIV) substances.
It is the responsibility of our customers to check the necessity of application of REACH Authorisation, and any other relevant authorisations, for their intended uses.

This product is sold under License from Bethyl Laboratories, Inc.

Properties and storage information

Form
Liquid
Purification notes
Recombinant antibody was purified from cell culture supernatant.
Storage buffer
pH: 7.8 - 8.6 Preservative: 0.09% Sodium azide Constituents: 99% Borate buffered saline
Shipped at conditions
Blue Ice
Appropriate short-term storage duration
1-2 weeks
Appropriate short-term storage conditions
+4°C
Appropriate long-term storage conditions
+4°C
Aliquoting information
Upon delivery aliquot
Storage information
Avoid freeze / thaw cycle

Supplementary information

This supplementary information is collated from multiple sources and compiled automatically.

CD86 also known as B7-2 is a protein involved in the regulation of the immune response. It has an approximate mass of 70 kDa and is expressed on antigen-presenting cells like dendritic cells monocytes and macrophages. Notably CD86 is present on macrophages including those in tissues such as skin and lymphoid organs. Expressed on these cells CD86 serves as a vital mediator in the co-stimulatory signals necessary for T cell activation and survival.
Biological function summary

CD86 plays a significant role in the immune system by providing secondary signals for T cell activation and differentiation. It is a part of the B7 protein family and forms a complex with CD28 and CTLA-4 on T cells. When CD86 binds to CD28 it sends positive co-stimulatory signals which promote T cell proliferation and cytokine production. On the other hand interaction with CTLA-4 transmits an inhibitory signal which reduces immune response. This dual interaction helps to balance immune activation and tolerance.

Pathways

CD86 takes part in important immune-related signaling pathways particularly the T cell receptor signaling pathway and the PI3K-Akt signaling pathway. Both pathways are fundamental for initiating immune responses. CD86's interaction with CD28 activates downstream signaling cascades including PI3K-Akt which is important for cell survival and growth. Additionally CD86 collaborates with other proteins such as CD80 another co-stimulatory molecule to amplify T cell activation within these pathways.

CD86 is associated with autoimmune diseases and transplant rejection. In autoimmune diseases like rheumatoid arthritis the overexpression or dysregulation of CD86 can lead to excessive T cell activation causing immune system attacks on the body's own tissues. Similarly in transplant rejection CD86 may contribute by enhancing immune response against transplanted organs. The engagement between CD86 and CD28 is a critical factor in these conditions and therapies targeting this interaction are under exploration to mitigate the immune response.

Product protocols

For this product, it's our understanding that no specific protocols are required. You can visit:

Target data

Receptor involved in the costimulatory signal essential for T-lymphocyte proliferation and interleukin-2 production, by binding CD28 or CTLA-4 (PubMed : 12196291). May play a critical role in the early events of T-cell activation and costimulation of naive T-cells, such as deciding between immunity and anergy that is made by T-cells within 24 hours after activation (PubMed : 7527824). Also involved in the regulation of B cells function, plays a role in regulating the level of IgG(1) produced. Upon CD40 engagement, activates NF-kappa-B signaling pathway via phospholipase C and protein kinase C activation (By similarity).. Isoform 2. Interferes with the formation of CD86 clusters, and thus acts as a negative regulator of T-cell activation.. (Microbial infection) Acts as a receptor for adenovirus subgroup B.
See full target information CD86

Publications (7)

Recent publications for all applications. Explore the full list and refine your search

Frontiers in immunology 16:1559278 PubMed40703517

2025

Prognostic significance and immune infiltration analysis of HMGA2 in endometrial cancer.

Applications

Unspecified application

Species

Unspecified reactive species

Peng Jiang,Jiaxin Yu,Yunfeng Zheng,Chenfan Tian,Yuan Tu,Chunxia Gong,Hangkun Yu,Yi Luo,Zhuoying Hu

Translational oncology 47:102052 PubMed38981246

2024

Metformin induces tumor immunogenic cell death in ovarian cancer by activating AMPK pathway.

Applications

Unspecified application

Species

Unspecified reactive species

Yixiong Chen,Lufang Wang,Na Chen,Guiju Tang

Translational cancer research 13:833-846 PubMed38482406

2024

B7-H3 promotes proliferation and migration of lung cancer cells by modulating PI3K/AKT pathway via ENO1 activity.

Applications

Unspecified application

Species

Unspecified reactive species

Xianan Wu,Congcong Ding,Yingqi Liu,Ke Dong,Huizhong Zhang

Frontiers in cell and developmental biology 9:684842 PubMed35127692

2022

LncRNA TCONS_00145741 Knockdown Prevents Thrombin-Induced M1 Differentiation of Microglia in Intracerebral Hemorrhage by Enhancing the Interaction Between DUSP6 and JNK.

Applications

Unspecified application

Species

Unspecified reactive species

Lanxiang Wu,Qingqing Zhan,Pan Liu,Heqing Zheng,Mingxu Liu,Jun Min,Liang Xie,Wei Wu

Pharmaceutical biology 59:1139-1149 PubMed34425063

2021

Bioadhesive hydrogel comprising bilirubin/β-cyclodextrin inclusion complexes promote diabetic wound healing.

Applications

Unspecified application

Species

Unspecified reactive species

Qing Yao,Yannan Shi,Xing Xia,Yingying Tang,Xue Jiang,Ya-Wen Zheng,Hailin Zhang,Ruijie Chen,Longfa Kou

Frontiers in oncology 11:654350 PubMed33954112

2021

Integrated Analysis Reveals Prognostic Value and Immune Correlates of CD86 Expression in Lower Grade Glioma.

Applications

Unspecified application

Species

Unspecified reactive species

Huaide Qiu,Wei Tian,Yikang He,Jiahui Li,Chuan He,Yongqiang Li,Ning Liu,Jianan Li

Cell death & disease 12:314 PubMed33762577

2021

Oleandrin, a cardiac glycoside, induces immunogenic cell death via the PERK/elF2α/ATF4/CHOP pathway in breast cancer.

Applications

Unspecified application

Species

Unspecified reactive species

Xiaoxi Li,Jian Zheng,Shi Chen,Fan-Dong Meng,Jing Ning,Shu-Lan Sun
View all publications

Product promise

We are committed to supporting your work with high-quality reagents, and we're here for you every step of the way. In the unlikely event that one of our products does not perform as expected, you're protected by our Product Promise.
For full details, please see our Terms & Conditions

Please note: All products are 'FOR RESEARCH USE ONLY. NOT FOR USE IN DIAGNOSTIC OR THERAPEUTIC PROCEDURES'.

For licensing inquiries, please contact partnerships@abcam.com