JavaScript is disabled in your browser. Please enable JavaScript to view this website.
AB269587

Anti-CD86 antibody [EP1158-37]

Be the first to review this product! Submit a review

|

(20 Publications)

Anti-CD86 antibody [EP1158-37] (ab269587) is a rabbit monoclonal antibody detecting CD86 in Western Blot, IHC-P. Suitable for Human.

- KO validated for confirmed specificity

View Alternative Names

CD86, CD28LG2, T-lymphocyte activation antigen CD86, Activation B7-2 antigen, B70, BU63, CTLA-4 counter-receptor B7.2, FUN-1

5 Images
Immunohistochemistry (Formalin/PFA-fixed paraffin-embedded sections) - Anti-CD86 antibody [EP1158-37] (AB269587)
  • IHC-P

Unknown

Immunohistochemistry (Formalin/PFA-fixed paraffin-embedded sections) - Anti-CD86 antibody [EP1158-37] (AB269587)

Immunohistochemical analysis of paraffin-embedded Human tonsil tissue labeling CD86 with ab269587 at 1/100 dilution (2.52 ug/ml) followed by a ready to use Rabbit specific IHC polymer detection kit HRP/DAB (ab209101). Positive staining on human tonsil (PMID : 22740445). The section was incubated with ab269587 for 30 mins at room temperature. The immunostaining was performed on a Leica Biosystems BOND® RX instrument. Counterstained with Hematoxylin.

Secondary antibody only control : Secondary antibody is a ready to use Rabbit specific IHC polymer detection kit HRP/DAB (ab209101).

Heat mediated antigen retrieval with Tris-EDTA buffer (pH 9.0, epitope retrieval solution 2) for 20 mins.

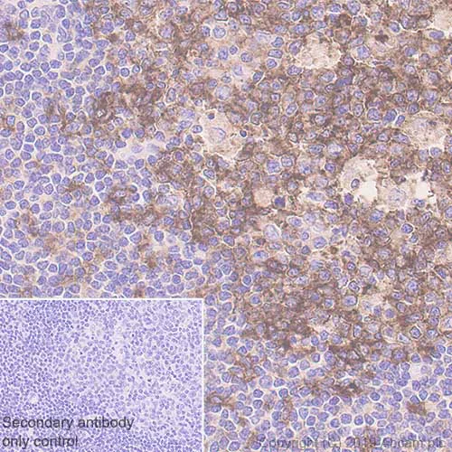
Immunohistochemistry (Formalin/PFA-fixed paraffin-embedded sections) - Anti-CD86 antibody [EP1158-37] (AB269587)
  • IHC-P

Unknown

Immunohistochemistry (Formalin/PFA-fixed paraffin-embedded sections) - Anti-CD86 antibody [EP1158-37] (AB269587)

Immunohistochemical analysis of paraffin-embedded Human non-Hodgkin lymphoma tissue labeling CD86 with ab269587 at 1/100 dilution (2.52 ug/ml) followed by a ready to use Rabbit specific IHC polymer detection kit HRP/DAB (ab209101). Positive staining on human non-Hodgkin lymphoma (PMID : 9767448,10089910). The section was incubated with ab269587 for 30 mins at room temperature. The immunostaining was performed on a Leica Biosystems BOND® RX instrument. Counterstained with Hematoxylin.

Secondary antibody only control : Secondary antibody is a ready to use Rabbit specific IHC polymer detection kit HRP/DAB (ab209101).

Heat mediated antigen retrieval with Tris-EDTA buffer (pH 9.0, epitope retrieval solution 2) for 20 mins.

Western blot - Anti-CD86 antibody [EP1158-37] (AB269587)
  • WB

Lab

Western blot - Anti-CD86 antibody [EP1158-37] (AB269587)

Lanes 1 - 2 : Merged signal (red and green). Green - ab269587 observed at 70 kDa. Red - loading control ab7291 (Mouse anti-Alpha Tubulin [DM1A]) observed at 55kDa.

ab269587 was shown to react with CD86 in wild-type Raji cells in western blot with loss of signal observed in CD86 knockout sample. Wild-type and CD86 knockout Raji cell lysates were subjected to SDS-PAGE. Membranes were blocked in 3% milk in TBS-T (0.1% Tween®) before incubation with ab269587 and ab7291 (Mouse anti-Alpha Tubulin [DM1A] overnight at 4°C at a 1 in 1000 Dilution and a 1 in 20000 dilution respectively. Blots were incubated with Goat anti-Rabbit IgG H&L (IRDye® 800CW) preabsorbed (ab216773) and Goat anti-Mouse IgG H&L (IRDye® 680RD) preabsorbed (ab216776) secondary antibodies at 1 in 20000 dilution for 1 hour at room temperature before imaging.

All lanes:

Western blot - Anti-CD86 antibody [EP1158-37] (ab269587) at 1/1000 dilution

Lane 1:

Wild-type Raji (Human Burkitt's lymphoma cell line) whole cell lysate at 20 µg

Lane 2:

CD86 knockout Raji (Human Burkitt's lymphoma cell line) whole cell lysate at 20 µg

Lane 2:

Western blot - Human CD86 knockout Raji cell line (<a href='/en-us/products/cell-lines/human-cd86-knockout-raji-cell-line-ab273858'>ab273858</a>)

Predicted band size: 38 kDa

Observed band size: 70 kDa

false

Western blot - Anti-CD86 antibody [EP1158-37] (AB269587)
  • WB

Unknown

Western blot - Anti-CD86 antibody [EP1158-37] (AB269587)

Blocking and dilution buffer : 5% NFDM/TBSt.

Exposure time : 3 minutes.

Negative control : Jurkat (PMID : 9973476).

The actual band size higher than predicted is mainly due to glycosylation.

The molecular weight observed is consistent with what has been described in the literature (PMID : 27464357, 21896490).

All lanes:

Western blot - Anti-CD86 antibody [EP1158-37] (ab269587) at 1/1000 dilution

Lane 1:

Raji (human Burkitt's lymphoma B lymphocyte) whole cell lysate at 20 µg

Lane 2:

Daudi (human burkitt's lymphoma lymphoblast) whole cell lysate at 20 µg

Lane 3:

Jurkat (human t cell leukemia t lymphocyte) whole cell lysate at 20 µg

Secondary

All lanes:

Western blot - Goat Anti-Rabbit IgG H&L (HRP) (<a href='/en-us/products/secondary-antibodies/goat-rabbit-igg-h-l-hrp-ab97051'>ab97051</a>) at 1/100000 dilution

Predicted band size: 38 kDa

Observed band size: 80 kDa

false

Western blot - Anti-CD86 antibody [EP1158-37] (AB269587)
  • WB

Unknown

Western blot - Anti-CD86 antibody [EP1158-37] (AB269587)

Blocking and dilution buffer : 5% NFDM/TBST.

Exposure time : 3 minutes.

The actual band size higher than predicted is mainly due to glycosylation.

The molecular weight observed is consistent with what has been described in the literature (PMID : 27464357, 21896490).

This blot was developed using a higher sensitivity ECL substrate.

All lanes:

Western blot - Anti-CD86 antibody [EP1158-37] (ab269587) at 1/1000 dilution

Lane 1:

Human tonsil lysate at 20 µg

Lane 2:

Human spleen lysate at 20 µg

Secondary

All lanes:

Western blot - VeriBlot for IP Detection Reagent (HRP) (<a href='/en-us/products/reagents/veriblot-for-ip-detection-reagent-hrp-ab131366'>ab131366</a>) at 1/1000 dilution

Predicted band size: 38 kDa

Observed band size: 80 kDa

false

Key facts

Host species

Rabbit

Clonality

Monoclonal

Clone number

EP1158-37

Isotype

IgG

Carrier free

No

Reacts with

Human

Applications

IHC-P, WB

applications

Immunogen

The exact immunogen used to generate this antibody is proprietary information.

Reactivity data

{ "title": "Reactivity Data", "filters": { "stats": ["", "Species", "Dilution Info", "Notes"], "tabs": { "all-applications": {"fullname" : "All Applications", "shortname": "All Applications"}, "IP" : {"fullname" : "Immunoprecipitation", "shortname":"IP"}, "FlowCyt" : {"fullname" : "Flow Cytometry", "shortname":"Flow Cyt"}, "WB" : {"fullname" : "Western blot", "shortname":"WB"}, "ICCIF" : {"fullname" : "Immunocytochemistry/ Immunofluorescence", "shortname":"ICC/IF"}, "IHCP" : {"fullname" : "Immunohistochemistry (Formalin/PFA-fixed paraffin-embedded sections)", "shortname":"IHC-P"} }, "product-promise": { "all": "all", "testedAndGuaranteed": "tested", "guaranteed": "expected", "predicted": "predicted", "notRecommended": "not-recommended" } }, "values": { "Human": { "IP-species-checked": "notRecommended", "IP-species-dilution-info": "", "IP-species-notes": "<p></p>", "FlowCyt-species-checked": "notRecommended", "FlowCyt-species-dilution-info": "", "FlowCyt-species-notes": "<p></p>", "WB-species-checked": "testedAndGuaranteed", "WB-species-dilution-info": "1/1000", "WB-species-notes": "<p></p>", "ICCIF-species-checked": "notRecommended", "ICCIF-species-dilution-info": "", "ICCIF-species-notes": "<p></p>", "IHCP-species-checked": "testedAndGuaranteed", "IHCP-species-dilution-info": "1/100", "IHCP-species-notes": "<p></p>" }, "Mouse": { "IP-species-checked": "notRecommended", "IP-species-dilution-info": "", "IP-species-notes": "", "FlowCyt-species-checked": "notRecommended", "FlowCyt-species-dilution-info": "", "FlowCyt-species-notes": "", "WB-species-checked": "notRecommended", "WB-species-dilution-info": "1/1000", "WB-species-notes": "<p></p>", "ICCIF-species-checked": "notRecommended", "ICCIF-species-dilution-info": "", "ICCIF-species-notes": "", "IHCP-species-checked": "notRecommended", "IHCP-species-dilution-info": "1/100", "IHCP-species-notes": "<p></p>" }, "Rat": { "IP-species-checked": "notRecommended", "IP-species-dilution-info": "", "IP-species-notes": "", "FlowCyt-species-checked": "notRecommended", "FlowCyt-species-dilution-info": "", "FlowCyt-species-notes": "", "WB-species-checked": "notRecommended", "WB-species-dilution-info": "1/1000", "WB-species-notes": "<p></p>", "ICCIF-species-checked": "notRecommended", "ICCIF-species-dilution-info": "", "ICCIF-species-notes": "", "IHCP-species-checked": "notRecommended", "IHCP-species-dilution-info": "1/100", "IHCP-species-notes": "<p></p>" } } }

Product details

What is this antibody validated in?
Anti-CD86 antibody [EP1158-37] (ab269587) is a rabbit monoclonal antibody and is validated for use in Western Blot (WB), Immunohistochemistry (IHC-P) in Human samples.

What is the molecular weight of CD86?
Anti-CD86 [EP1158-37] (ab269587) specifically detects a band for CD86 (UniProt: P42081) at a molecular weight of 38kDa.

Trial sizes available!
Test your antibody or perform pre-screening before committing to a larger quantity. Sold in 10µl. Discover our selection of trial-size antibodies.

Specificity confirmed
The specificity of Anti-CD86 antibody [EP1158-37] (ab269587) has been confirmed by Western blot testing in CD86 Knockout Raji cells.

Other related products
We have a range of other formats of antibody clone [EP1158-37] also available for your convenience: ab269587, Carrier free - ab269593

Patented technology
Our RabMAb® technology is a patented hybridoma-based technology for making rabbit monoclonal antibodies. For details on our patents, please refer to RabMAb® patents.

Properties and storage information

Form
Liquid
Purification technique
Affinity purification Protein A
Storage buffer
pH: 7.2 - 7.4 Preservative: 0.01% Sodium azide Constituents: PBS, 40% Glycerol (glycerin, glycerine), 0.05% BSA
Shipped at conditions
Blue Ice
Appropriate short-term storage duration
1-2 weeks
Appropriate short-term storage conditions
+4°C
Appropriate long-term storage conditions
-20°C
Aliquoting information
Upon delivery aliquot
Storage information
Avoid freeze / thaw cycle

Supplementary information

This supplementary information is collated from multiple sources and compiled automatically.

CD86 also known as B7-2 is a protein involved in the regulation of the immune response. It has an approximate mass of 70 kDa and is expressed on antigen-presenting cells like dendritic cells monocytes and macrophages. Notably CD86 is present on macrophages including those in tissues such as skin and lymphoid organs. Expressed on these cells CD86 serves as a vital mediator in the co-stimulatory signals necessary for T cell activation and survival.
Biological function summary

CD86 plays a significant role in the immune system by providing secondary signals for T cell activation and differentiation. It is a part of the B7 protein family and forms a complex with CD28 and CTLA-4 on T cells. When CD86 binds to CD28 it sends positive co-stimulatory signals which promote T cell proliferation and cytokine production. On the other hand interaction with CTLA-4 transmits an inhibitory signal which reduces immune response. This dual interaction helps to balance immune activation and tolerance.

Pathways

CD86 takes part in important immune-related signaling pathways particularly the T cell receptor signaling pathway and the PI3K-Akt signaling pathway. Both pathways are fundamental for initiating immune responses. CD86's interaction with CD28 activates downstream signaling cascades including PI3K-Akt which is important for cell survival and growth. Additionally CD86 collaborates with other proteins such as CD80 another co-stimulatory molecule to amplify T cell activation within these pathways.

CD86 is associated with autoimmune diseases and transplant rejection. In autoimmune diseases like rheumatoid arthritis the overexpression or dysregulation of CD86 can lead to excessive T cell activation causing immune system attacks on the body's own tissues. Similarly in transplant rejection CD86 may contribute by enhancing immune response against transplanted organs. The engagement between CD86 and CD28 is a critical factor in these conditions and therapies targeting this interaction are under exploration to mitigate the immune response.

Product protocols

For this product, it's our understanding that no specific protocols are required. You can visit:

Target data

Receptor involved in the costimulatory signal essential for T-lymphocyte proliferation and interleukin-2 production, by binding CD28 or CTLA-4 (PubMed : 12196291). May play a critical role in the early events of T-cell activation and costimulation of naive T-cells, such as deciding between immunity and anergy that is made by T-cells within 24 hours after activation (PubMed : 7527824). Also involved in the regulation of B cells function, plays a role in regulating the level of IgG(1) produced. Upon CD40 engagement, activates NF-kappa-B signaling pathway via phospholipase C and protein kinase C activation (By similarity).. Isoform 2. Interferes with the formation of CD86 clusters, and thus acts as a negative regulator of T-cell activation.. (Microbial infection) Acts as a receptor for adenovirus subgroup B.
See full target information CD86

Publications (20)

Recent publications for all applications. Explore the full list and refine your search

Gynecologic oncology reports 59:101758 PubMed40487855

2025

Low density of intratumoral M1-macrophage infiltration may correlate with worse prognosis in low-grade early-stage uterine endometrioid carcinoma.

Applications

Unspecified application

Species

Unspecified reactive species

Michiko Nagamine,Hiroshi Ogi,Maki Hirai,Ikoi Omatsu,Sanzo Moriwaki,Saya Shibata,Satoru Yasukawa,Kaori Yoriki,Motohiro Kojima,Taisuke Mori,Kyoko Itoh,Eiichi Konishi

Frontiers in bioengineering and biotechnology 13:1524013 PubMed40078791

2025

Burn inhalation injury and intubation with dexamethasone-eluting endotracheal tubes modulate local microbiome and alter airway inflammation.

Applications

Unspecified application

Species

Unspecified reactive species

Gabriela Gonzales,Ronit Malka,Rena Bizios,Gregory R Dion,Teja Guda

BMC cancer 24:1362 PubMed39511555

2024

Distinctive grade based on Ki67 index and immune microenvironment of metastatic pancreatic neuroendocrine tumors responding to capecitabine plus temozolomide.

Applications

Unspecified application

Species

Unspecified reactive species

Heli Gao,Wuhu Zhang,Zheng Li,Wensheng Liu,Mengqi Liu,Qifeng Zhuo,Yihua Shi,Wenyan Xu,Chenjie Zhou,Yi Qin,Jin Xu,Jie Chen,Xianjun Yu,Xiaowu Xu,Shunrong Ji

Cancer cell international 24:350 PubMed39462422

2024

Identification and validation of a prognostic model based on three TLS-Related genes in oral squamous cell carcinoma.

Applications

Unspecified application

Species

Unspecified reactive species

Bincan Sun,Chengwen Gan,Yan Tang,Qian Xu,Kai Wang,Feiya Zhu

Respiratory research 25:351 PubMed39342180

2024

Localized delivery of therapeutics impact laryngeal mechanics, local inflammatory response, and respiratory microbiome following upper airway intubation injury in swine.

Applications

Unspecified application

Species

Unspecified reactive species

Gabriela Gonzales,Ronit Malka,Lisa M Marinelli,Christine M Lee,Stacy Cook,Solaleh Miar,Gregory R Dion,Teja Guda

Theranostics 14:5123-5140 PubMed39267775

2024

EBV-associated epithelial cancers cells promote vasculogenic mimicry formation via a secretory cross-talk with the immune microenvironment.

Applications

Unspecified application

Species

Unspecified reactive species

Tong Xiang,Fengze Sun,Tingting Liu,Jingjing Zhao,Jieying Yang,Dijun Ouyang,Hao Chen,Qian Zhu,Qijing Wang,Yongqiang Li,Jia He,Chaopin Yang,Xinyi Yang,Yuanyuan Chen,Yan Tang,Desheng Weng,Qiuzhong Pan,Qi Yang,Jianchuan Xia

Pharmaceuticals (Basel, Switzerland) 17: PubMed39065799

2024

Cancer Cell Secreted Legumain Promotes Gastric Cancer Resistance to Anti-PD-1 Immunotherapy by Enhancing Macrophage M2 Polarization.

Applications

Unspecified application

Species

Unspecified reactive species

Xu Pei,Shi-Long Zhang,Bai-Quan Qiu,Peng-Fei Zhang,Tian-Shu Liu,Yan Wang

Journal of biomedical research 39:61-75 PubMed38807419

2024

Novel anti-inflammatory peptide alleviates liver ischemia-reperfusion injury.

Applications

Unspecified application

Species

Unspecified reactive species

Xuejun Xu,Kaineng Sun,Hao Chang,Chunxiang Shen,Xiangdong Li,Yangyue Ni,Yuxiao Zhu,Huiquan Wang,Ruiyan Xiong,Jon Rob Padde,Zhipeng Xu,Lin Chen,Lu Chen,Min Hou,Liyong Pu,Minjun Ji

Advanced science (Weinheim, Baden-Wurttemberg, Germany) 11:e2305724 PubMed38483933

2024

Integration Analysis of Single-Cell Multi-Omics Reveals Prostate Cancer Heterogeneity.

Applications

Unspecified application

Species

Unspecified reactive species

Xiaojie Bian,Wenfeng Wang,Mierxiati Abudurexiti,Xingming Zhang,Weiwei Ma,Guohai Shi,Leilei Du,Midie Xu,Xin Wang,Cong Tan,Hui Sun,Xiadi He,Chenyue Zhang,Yao Zhu,Min Zhang,Dingwei Ye,Jianhua Wang

Neoplasia (New York, N.Y.) 50:100977 PubMed38354688

2024

Tumor microenvironment(TME) and single-source dual-energy CT(ssDECT) on assessment of inconformity between RECIST1.1 and pathological remission in neoadjuvant immunotherapy of NSCLC.

Applications

Unspecified application

Species

Unspecified reactive species

Chao Sun,Xiaobo Ma,Fanyang Meng,Xi Chen,Xu Wang,Wenyu Sun,Yinghui Xu,Hua He,Huimao Zhang,Kewei Ma
View all publications

Product promise

We are committed to supporting your work with high-quality reagents, and we're here for you every step of the way. In the unlikely event that one of our products does not perform as expected, you're protected by our Product Promise.
For full details, please see our Terms & Conditions

Please note: All products are 'FOR RESEARCH USE ONLY. NOT FOR USE IN DIAGNOSTIC OR THERAPEUTIC PROCEDURES'.

For licensing inquiries, please contact partnerships@abcam.com