JavaScript is disabled in your browser. Please enable JavaScript to view this website.
AB269593

Anti-CD86 antibody [EP1158-37] - BSA and Azide free

3

(1 Review)

|

(0 Publication)

Rabbit Monoclonal CD86 antibody. Carrier free. Suitable for WB, IHC-P and reacts with Human samples.

View Alternative Names

CD86, CD28LG2, T-lymphocyte activation antigen CD86, Activation B7-2 antigen, B70, BU63, CTLA-4 counter-receptor B7.2, FUN-1

3 Images
Immunohistochemistry (Formalin/PFA-fixed paraffin-embedded sections) - Anti-CD86 antibody [EP1158-37] - BSA and Azide free (AB269593)
  • IHC-P

Unknown

Immunohistochemistry (Formalin/PFA-fixed paraffin-embedded sections) - Anti-CD86 antibody [EP1158-37] - BSA and Azide free (AB269593)

Immunohistochemical analysis of paraffin-embedded Human non-Hodgkin lymphoma tissue labeling CD86 with ab269587 at 1/100 dilution (2.52 ug/ml) followed by a ready to use Rabbit specific IHC polymer detection kit HRP/DAB (ab209101). Positive staining on human non-Hodgkin lymphoma (PMID : 9767448,10089910) The section was incubated with ab269587 for 30 mins at room temperature. The immunostaining was performed on a Leica Biosystems BOND® RX instrument. Counterstained with Hematoxylin.

Secondary antibody only control : Secondary antibody is a ready to use Rabbit specific IHC polymer detection kit HRP/DAB (ab209101).

Heat mediated antigen retrieval with Tris-EDTA buffer (pH 9.0, epitope retrieval solution 2) for 20 mins.

This data was developed using the same antibody clone in a different buffer formulation containing PBS, BSA, glycerol, and sodium azide (ab269587).

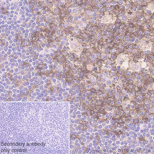
Immunohistochemistry (Formalin/PFA-fixed paraffin-embedded sections) - Anti-CD86 antibody [EP1158-37] - BSA and Azide free (AB269593)
  • IHC-P

Unknown

Immunohistochemistry (Formalin/PFA-fixed paraffin-embedded sections) - Anti-CD86 antibody [EP1158-37] - BSA and Azide free (AB269593)

Immunohistochemical analysis of paraffin-embedded Human tonsil tissue labeling CD86 with ab269587 at 1/100 dilution (2.52 ug/ml) followed by a ready to use Rabbit specific IHC polymer detection kit HRP/DAB (ab209101). Positive staining on human tonsil (PMID : 22740445). The section was incubated with ab269587 for 30 mins at room temperature. The immunostaining was performed on a Leica Biosystems BOND® RX instrument. Counterstained with Hematoxylin.

Secondary antibody only control : Secondary antibody is a ready to use Rabbit specific IHC polymer detection kit HRP/DAB (ab209101).

Heat mediated antigen retrieval with Tris-EDTA buffer (pH 9.0, epitope retrieval solution 2) for 20 mins.

This data was developed using the same antibody clone in a different buffer formulation containing PBS, BSA, glycerol, and sodium azide (ab269587).

Western blot - Anti-CD86 antibody [EP1158-37] - BSA and Azide free (AB269593)
  • WB

Lab

Western blot - Anti-CD86 antibody [EP1158-37] - BSA and Azide free (AB269593)

This data was developed using the same antibody clone in a different buffer formulation (ab269587).

Lanes 1 - 2 : Merged signal (red and green). Green - ab269587 observed at 70 kDa. Red - loading control ab7291 (Mouse anti-Alpha Tubulin [DM1A]) observed at 55kDa.

ab269587 was shown to react with CD86 in wild-type Raji cells in western blot with loss of signal observed in CD86 knockout sample. Wild-type and CD86 knockout Raji cell lysates were subjected to SDS-PAGE. Membranes were blocked in 3% milk in TBS-T (0.1% Tween®) before incubation with ab269587 and ab7291 (Mouse anti-Alpha Tubulin [DM1A] overnight at 4°C at a 1 in 1000 Dilution and a 1 in 20000 dilution respectively. Blots were incubated with Goat anti-Rabbit IgG H&L (IRDye® 800CW) preabsorbed (ab216773) and Goat anti-Mouse IgG H&L (IRDye® 680RD) preabsorbed (ab216776) secondary antibodies at 1 in 20000 dilution for 1 hour at room temperature before imaging.

All lanes:

Western blot - Anti-CD86 antibody [EP1158-37] (<a href='/en-us/products/primary-antibodies/cd86-antibody-ep1158-37-ab269587'>ab269587</a>) at 1/1000 dilution

Lane 1:

Wild-type Raji (Human Burkitt's lymphoma cell line) whole cell lysate at 20 µg

Lane 2:

CD86 knockout Raji (Human Burkitt's lymphoma cell line) whole cell lysate at 20 µg

Lane 2:

Western blot - Human CD86 knockout Raji cell line (<a href='/en-us/products/cell-lines/human-cd86-knockout-raji-cell-line-ab273858'>ab273858</a>)

Predicted band size: 38 kDa

Observed band size: 70 kDa

false

Key facts

Host species

Rabbit

Clonality

Monoclonal

Clone number

EP1158-37

Isotype

IgG

Carrier free

Yes

Reacts with

Human

Applications

WB, IHC-P

applications

Immunogen

The exact immunogen used to generate this antibody is proprietary information.

Reactivity data

{ "title": "Reactivity Data", "filters": { "stats": ["", "Species", "Dilution Info", "Notes"], "tabs": { "all-applications": {"fullname" : "All Applications", "shortname": "All Applications"}, "IP" : {"fullname" : "Immunoprecipitation", "shortname":"IP"}, "FlowCyt" : {"fullname" : "Flow Cytometry", "shortname":"Flow Cyt"}, "WB" : {"fullname" : "Western blot", "shortname":"WB"}, "ICCIF" : {"fullname" : "Immunocytochemistry/ Immunofluorescence", "shortname":"ICC/IF"}, "IHCP" : {"fullname" : "Immunohistochemistry (Formalin/PFA-fixed paraffin-embedded sections)", "shortname":"IHC-P"} }, "product-promise": { "all": "all", "testedAndGuaranteed": "tested", "guaranteed": "expected", "predicted": "predicted", "notRecommended": "not-recommended" } }, "values": { "Human": { "IP-species-checked": "notRecommended", "IP-species-dilution-info": "", "IP-species-notes": "<p></p>", "FlowCyt-species-checked": "notRecommended", "FlowCyt-species-dilution-info": "", "FlowCyt-species-notes": "<p></p>", "WB-species-checked": "testedAndGuaranteed", "WB-species-dilution-info": "", "WB-species-notes": "<p></p>", "ICCIF-species-checked": "notRecommended", "ICCIF-species-dilution-info": "", "ICCIF-species-notes": "<p></p>", "IHCP-species-checked": "testedAndGuaranteed", "IHCP-species-dilution-info": "", "IHCP-species-notes": "<p></p>" }, "Mouse": { "IP-species-checked": "notRecommended", "IP-species-dilution-info": "", "IP-species-notes": "", "FlowCyt-species-checked": "notRecommended", "FlowCyt-species-dilution-info": "", "FlowCyt-species-notes": "", "WB-species-checked": "notRecommended", "WB-species-dilution-info": "", "WB-species-notes": "<p></p>", "ICCIF-species-checked": "notRecommended", "ICCIF-species-dilution-info": "", "ICCIF-species-notes": "", "IHCP-species-checked": "notRecommended", "IHCP-species-dilution-info": "", "IHCP-species-notes": "<p></p>" }, "Rat": { "IP-species-checked": "notRecommended", "IP-species-dilution-info": "", "IP-species-notes": "", "FlowCyt-species-checked": "notRecommended", "FlowCyt-species-dilution-info": "", "FlowCyt-species-notes": "", "WB-species-checked": "notRecommended", "WB-species-dilution-info": "", "WB-species-notes": "<p></p>", "ICCIF-species-checked": "notRecommended", "ICCIF-species-dilution-info": "", "ICCIF-species-notes": "", "IHCP-species-checked": "notRecommended", "IHCP-species-dilution-info": "", "IHCP-species-notes": "<p></p>" } } }

Product details

ab269593 is the carrier-free version of ab269587.

Patented technology
Our RabMAb® technology is a patented hybridoma-based technology for making rabbit monoclonal antibodies. For details on our patents, please refer to RabMAb® patents.

Conjugation ready
Our carrier-free antibodies are typically supplied in a PBS-only formulation, purified and free of BSA, sodium azide and glycerol. This conjugation-ready format is designed for use with fluorochromes, metal isotopes, oligonucleotides, and enzymes, which makes them ideal for antibody labelling, functional and cell-based assays, flow-based assays (e.g. mass cytometry) and Multiplex Imaging applications.

Use our conjugation kits for antibody conjugates that are ready-to-use in as little as 20 minutes with 1 minute hands-on-time and 100% antibody recovery: available for fluorescent dyes, HRP, biotin and gold.

Compatibility
This product is compatible with the Maxpar® Antibody Labeling Kit from Fluidigm, without the need for antibody preparation. Maxpar® is a trademark of Fluidigm Canada Inc.

Properties and storage information

Form
Liquid
Purification technique
Affinity purification Protein A
Storage buffer
pH: 7.2 - 7.4 Constituents: PBS
Shipped at conditions
Blue Ice
Appropriate short-term storage conditions
+4°C
Appropriate long-term storage conditions
+4°C
Storage information
Do Not Freeze

Supplementary information

This supplementary information is collated from multiple sources and compiled automatically.

CD86 also known as B7-2 is a protein involved in the regulation of the immune response. It has an approximate mass of 70 kDa and is expressed on antigen-presenting cells like dendritic cells monocytes and macrophages. Notably CD86 is present on macrophages including those in tissues such as skin and lymphoid organs. Expressed on these cells CD86 serves as a vital mediator in the co-stimulatory signals necessary for T cell activation and survival.
Biological function summary

CD86 plays a significant role in the immune system by providing secondary signals for T cell activation and differentiation. It is a part of the B7 protein family and forms a complex with CD28 and CTLA-4 on T cells. When CD86 binds to CD28 it sends positive co-stimulatory signals which promote T cell proliferation and cytokine production. On the other hand interaction with CTLA-4 transmits an inhibitory signal which reduces immune response. This dual interaction helps to balance immune activation and tolerance.

Pathways

CD86 takes part in important immune-related signaling pathways particularly the T cell receptor signaling pathway and the PI3K-Akt signaling pathway. Both pathways are fundamental for initiating immune responses. CD86's interaction with CD28 activates downstream signaling cascades including PI3K-Akt which is important for cell survival and growth. Additionally CD86 collaborates with other proteins such as CD80 another co-stimulatory molecule to amplify T cell activation within these pathways.

CD86 is associated with autoimmune diseases and transplant rejection. In autoimmune diseases like rheumatoid arthritis the overexpression or dysregulation of CD86 can lead to excessive T cell activation causing immune system attacks on the body's own tissues. Similarly in transplant rejection CD86 may contribute by enhancing immune response against transplanted organs. The engagement between CD86 and CD28 is a critical factor in these conditions and therapies targeting this interaction are under exploration to mitigate the immune response.

Product protocols

For this product, it's our understanding that no specific protocols are required. You can visit:

Target data

Receptor involved in the costimulatory signal essential for T-lymphocyte proliferation and interleukin-2 production, by binding CD28 or CTLA-4 (PubMed : 12196291). May play a critical role in the early events of T-cell activation and costimulation of naive T-cells, such as deciding between immunity and anergy that is made by T-cells within 24 hours after activation (PubMed : 7527824). Also involved in the regulation of B cells function, plays a role in regulating the level of IgG(1) produced. Upon CD40 engagement, activates NF-kappa-B signaling pathway via phospholipase C and protein kinase C activation (By similarity).. Isoform 2. Interferes with the formation of CD86 clusters, and thus acts as a negative regulator of T-cell activation.. (Microbial infection) Acts as a receptor for adenovirus subgroup B.
See full target information CD86

Product promise

We are committed to supporting your work with high-quality reagents, and we're here for you every step of the way. In the unlikely event that one of our products does not perform as expected, you're protected by our Product Promise.
For full details, please see our Terms & Conditions

Please note: All products are 'FOR RESEARCH USE ONLY. NOT FOR USE IN DIAGNOSTIC OR THERAPEUTIC PROCEDURES'.

For licensing inquiries, please contact partnerships@abcam.com