JavaScript is disabled in your browser. Please enable JavaScript to view this website.
AB236630

Anti-CD9 antibody [EPR23105-121]

  • BOND RX™ Validated
  • RabMAb
  • Recombinant
  • KO Validated
  • What is this?

5

(4 Reviews)

|

(106 Publications)

Anti-CD9 antibody [EPR23105-121] (ab236630) is a rabbit monoclonal antibody detecting CD9 in Western Blot, Flow Cytometry, IP, IHC-P, ICC/IF. Suitable for Human.

- KO validated for confirmed specificity
- Biophysical QC for unrivalled batch-batch consistency
- Over 60 publications

View Alternative Names

CD9, MIC3, TSPAN29, GIG2, CD9 antigen, 5H9 antigen, Cell growth-inhibiting gene 2 protein, Leukocyte antigen MIC3, Motility-related protein, Tetraspanin-29, p24, MRP-1, Tspan-29

10 Images
Immunohistochemistry (Formalin/PFA-fixed paraffin-embedded sections) - Anti-CD9 antibody [EPR23105-121] (AB236630)
  • IHC-P

Unknown

Immunohistochemistry (Formalin/PFA-fixed paraffin-embedded sections) - Anti-CD9 antibody [EPR23105-121] (AB236630)

Immunohistochemical analysis of paraffin-embedded Human bladder carcinoma tissue labeling CD9 with ab236630 at 1/100 dilution followed by a ready to use Rabbit specific IHC polymer detection kit HRP/DAB (ab209101). Positive staining on human bladder carcinoma. The section was incubated with ab236630 for 30 mins at room temperature. The immunostaining was performed on a Leica Biosystems BOND® RX instrument. Counterstained with Hematoxylin.

Secondary antibody only control : Secondary antibody is a ready to use Rabbit specific IHC polymer detection kit HRP/DAB (ab209101).

Heat mediated antigen retrieval with Tris-EDTA buffer (pH 9.0, epitope retrieval solution 2) for 20mins.

Flow Cytometry - Anti-CD9 antibody [EPR23105-121] (AB236630)
  • Flow Cyt

Lab

Flow Cytometry - Anti-CD9 antibody [EPR23105-121] (AB236630)

Flow cytometry staining of human peripheral blood mononuclear cells (PBMCs) with ab236630 (right) or Recombinant Rabbit IgG, monoclonal [EPR25A] - Isotype Control (left). PBMCs were incubated for 30 mins on ice in 1x PBS containing 10 µg/ml human IgG and 10 % normal goat serum to block FC receptors and non-specific protein-protein interaction followed by the antibody ab236630 or Recombinant Rabbit IgG, monoclonal [EPR25A] - Isotype Control (1x 106 in 100 µl at 0.2 μg/ml (1/10,500 dilution)) for 30 mins on ice. The cells were simultaneously stained with n/a.

The secondary antibody Goat Anti-Rabbit IgG H&L (Alexa Fluor® 488) preadsorbed was incubated at 1/2000 dilution for 30 mins on ice

Acquisition of >30000 events were collected using a 50 mW Blue laser (488nm) and 525/40 bandpass filter. Events were gated on live cells.

Immunohistochemistry (Formalin/PFA-fixed paraffin-embedded sections) - Anti-CD9 antibody [EPR23105-121] (AB236630)
  • IHC-P

Lab

Immunohistochemistry (Formalin/PFA-fixed paraffin-embedded sections) - Anti-CD9 antibody [EPR23105-121] (AB236630)

Immunohistochemical analysis of formalin fixed paraffin embedded human bladder carcinoma labelling CD9 with ab236630 at a concentration of 0.5 µg/ml. The immunostaining was performed on a Ventana DISCOVERY ULTRA (Roche Tissue Diagnostics) instrument with a OptiView DAB IHC Detection Kit. Heat mediated antigen retrieval was performed with DISCOVERY cell conditioning solution (CC1) 100°C, pH 8.5 for 32mins.

ab236630 anti-CD9 [EPR23105-121] was incubated for 16mins at 37°C. Sections were counterstained with Hematoxylin II. Image inset shows absence of staining in secondary antibody only control.

Customers are encouraged to optimise antigen retrieval conditions, antibody concentration, incubation times and temperature for best results in their own IHC assay workflow (automated and manual).

Western blot - Anti-CD9 antibody [EPR23105-121] (AB236630)
  • WB

Lab

Western blot - Anti-CD9 antibody [EPR23105-121] (AB236630)

Blocking and diluting buffer and concentration : 5% NFDM/TBST This blot was developed using a higher sensitivity ECL substrate. The molecular weight observed is consistent with what has been described in the literature (PMID : 3275469).

Negative control : Raji (PMID : 8921952). Exposure time : 3 minutes

All lanes:

Western blot - Anti-CD9 antibody [EPR23105-121] (ab236630) at 1/1000 dilution

Lane 1:

HCT 116 (human colorectal carcinoma epithelial cell) whole cell lysate at 20 µg

Lane 2:

Raji (human Burkitts lymphoma b lymphocyte) whole cell lysate at 20 µg

Secondary

All lanes:

Western blot - Goat Anti-Rabbit IgG H&L (HRP) (<a href='/en-us/products/secondary-antibodies/goat-rabbit-igg-h-l-hrp-ab97051'>ab97051</a>) at 1/100000 dilution

Predicted band size: 25 kDa

Observed band size: 22 kDa

false

Western blot - Anti-CD9 antibody [EPR23105-121] (AB236630)
  • WB

Lab

Western blot - Anti-CD9 antibody [EPR23105-121] (AB236630)

Blocking and diluting buffer and concentration : 5% NFDM/TBST. The expression profile/ molecular weight observed is consistent with what has been described in the literature (PMID : 3275469). Exposure time : 3 minutes.

All lanes:

Western blot - Anti-CD9 antibody [EPR23105-121] (ab236630) at 1/1000 dilution

Lane 1:

Human tonsil lysate at 20 µg

Lane 2:

Human colon lysate at 20 µg

Secondary

All lanes:

Western blot - Goat Anti-Rabbit IgG H&L (HRP) (<a href='/en-us/products/secondary-antibodies/goat-rabbit-igg-h-l-hrp-ab97051'>ab97051</a>) at 1/100000 dilution

Predicted band size: 25 kDa

Observed band size: 22 kDa

false

Immunohistochemistry (Formalin/PFA-fixed paraffin-embedded sections) - Anti-CD9 antibody [EPR23105-121] (AB236630)
  • IHC-P

Unknown

Immunohistochemistry (Formalin/PFA-fixed paraffin-embedded sections) - Anti-CD9 antibody [EPR23105-121] (AB236630)

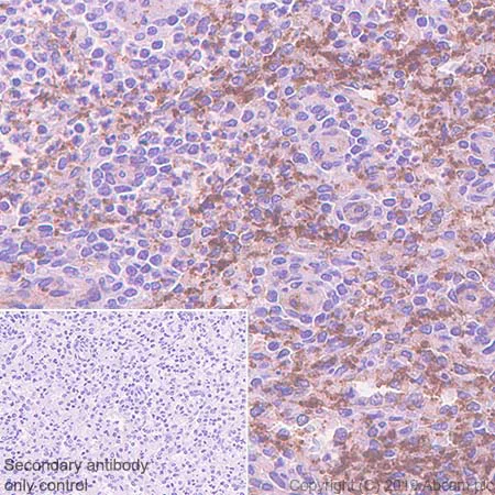
Immunohistochemical analysis of paraffin-embedded Human spleen tissue labeling CD9 with ab236630 at 1/100 dilution followed by a ready to use Rabbit specific IHC polymer detection kit HRP/DAB (ab209101). Positive staining on platelets of human spleen. The section was incubated with ab236630 for 30 mins at room temperature. The immunostaining was performed on a Leica Biosystems BOND® RX instrument. Counterstained with Hematoxylin.

Secondary antibody only control : Secondary antibody is a ready to use Rabbit specific IHC polymer detection kit HRP/DAB (ab209101).

Heat mediated antigen retrieval with Tris-EDTA buffer (pH 9.0, epitope retrieval solution 2) for 20mins.

Immunocytochemistry/ Immunofluorescence - Anti-CD9 antibody [EPR23105-121] (AB236630)
  • ICC/IF

Unknown

Immunocytochemistry/ Immunofluorescence - Anti-CD9 antibody [EPR23105-121] (AB236630)

Immunofluorescent analysis of 4% Paraformaldehyde-fixed, 0.1% Triton X-100 permeabilized HCT 116 (human colorectal carcinoma epithelial cell) cells labelling CD9 with ab236630 at 1/500 dilution, followed by ab150077 AlexaFluor®488 Goat anti-Rabbit secondary antibody at 1/1000 dilution (Green). Confocal image showing membranous staining in HCT 116 cell line. Negative control : Raji (PMID : 8921952). ab195889 Anti-alpha Tubulin antibody [DM1A] - Microtubule Marker (Alexa Fluor® 594) was used to counterstain tubulin at 1/200 dilution (Red). The Nuclear counterstain was DAPI (Blue).

Secondary antibody only control : Secondary antibody is ab150077 AlexaFluor®488 Goat anti-Rabbit secondary at 1/1000 dilution.

Flow Cytometry - Anti-CD9 antibody [EPR23105-121] (AB236630)
  • Flow Cyt

Unknown

Flow Cytometry - Anti-CD9 antibody [EPR23105-121] (AB236630)

Flow cytometric analysis of Raji (human Burkitt's lymphoma B lymphocyte, Left) / HCT 116 (human colorectal carcinoma epithelial cell, Right) cells labelling CD9 with ab236630 at 1/50 dilution compared with a Rabbit monoclonal IgG (ab172730) (Black) isotype control and an unlabelled control (cells without incubation with primary antibody and secondary antibody) (Blue). Goat anti rabbit IgG (Alexa Fluor® 488, ab150077) at 1/2000 was used as the secondary antibody.

Negative control : Raji (PMID : 8921952).

Gated on viable cells.

Immunoprecipitation - Anti-CD9 antibody [EPR23105-121] (AB236630)
  • IP

Unknown

Immunoprecipitation - Anti-CD9 antibody [EPR23105-121] (AB236630)

CD9 was immunoprecipitated from 0.35 mg HCT 116 (human colorectal carcinoma epithelial cell) whole cell lysate with ab236630 at 1/30 dilution (2ug in 0.35mg lysates). Western blot was performed on the immunoprecipitate using ab236630 at 1/500 dilution. VeriBlot for IP Detection Reagent (HRP) (ab131366) was used at 1/1000 dilution.

Lane 1 : HCT 116 (human colorectal carcinoma epithelial cell) whole cell lysate 10ug.

Lane 2 : ab236630 IP in HCT 116 whole cell lysate.

Lane 3 : Rabbit monoclonal IgG (ab172730) instead of ab236630 in HCT 116 whole cell lysate.

Blocking and dilution buffer and concentration : 5% NFDM/TBST.

Exposure time : 30 seconds.

All lanes:

Immunoprecipitation - Anti-CD9 antibody [EPR23105-121] (ab236630)

Predicted band size: 25 kDa

Observed band size: 22 kDa

false

Western blot - Anti-CD9 antibody [EPR23105-121] (AB236630)
  • WB

Lab

Western blot - Anti-CD9 antibody [EPR23105-121] (AB236630)

Lanes 1 - 4 : Merged signal (red and green). Green - ab236630 observed at 18 kDa. Red - loading control ab7291 (Mouse anti-Alpha Tubulin [DM1A]) observed at 55 kDa.

ab236630 was shown to react with CD9 in wild-type HeLa cells in Western blot with loss of signal observed in CD9 knockout cell line ab255375 (CD9 knockout cell lysate ab263754). Wild-type HeLa and CD9 knockout cell lysates were subjected to SDS-PAGE. Membranes were blocked in fluorescent western blot (TBS-based) blocking solution before incubation with ab236630 and ab7291 (Mouse anti-Alpha Tubulin [DM1A]) overnight at 4 °C at a 1 in 1000 dilution and a 1 in 20000 dilution respectively. Blots were incubated with Goat anti-Rabbit IgG H&L (IRDye® 800CW) preabsorbed (ab216773) and Goat anti-Mouse IgG H&L (IRDye® 680RD) preabsorbed (ab216776) secondary antibodies at 1 in 20000 dilution for 1 h at room temperature before imaging.

All lanes:

Western blot - Anti-CD9 antibody [EPR23105-121] (ab236630) at 1/1000 dilution

Lane 1:

Wild-type HeLa (Human epithelial cell line from cervix adenocarcinoma) whole cell lysate at 20 µg

Lane 2:

CD9 knockout HeLa (Human epithelial cell line from cervix adenocarcinoma) whole cell lysate at 20 µg

Lane 2:

Western blot - Human CD9 knockout HeLa cell line (<a href='/en-us/products/cell-lines/human-cd9-knockout-hela-cell-line-ab255375'>ab255375</a>)

Lane 3:

A549 (Human lung carcinoma cell line) whole cell lysate at 20 µg

Lane 4:

MCF7 (Human breast adenocarcinoma cell line) whole cell lysate at 20 µg

Predicted band size: 25 kDa

Observed band size: 18 kDa

false

Key facts

Host species

Rabbit

Clonality

Monoclonal

Clone number

EPR23105-121

Isotype

IgG

Carrier free

No

Reacts with

Human

Applications

IHC-P, ICC/IF, IP, Flow Cyt, WB

applications

Immunogen

The exact immunogen used to generate this antibody is proprietary information.

Reactivity data

{ "title": "Reactivity Data", "filters": { "stats": ["", "Species", "Dilution Info", "Notes"], "tabs": { "all-applications": {"fullname" : "All Applications", "shortname": "All Applications"}, "IP" : {"fullname" : "Immunoprecipitation", "shortname":"IP"}, "WB" : {"fullname" : "Western blot", "shortname":"WB"}, "ICCIF" : {"fullname" : "Immunocytochemistry/ Immunofluorescence", "shortname":"ICC/IF"}, "IHCP" : {"fullname" : "Immunohistochemistry (Formalin/PFA-fixed paraffin-embedded sections)", "shortname":"IHC-P"}, "FlowCyt" : {"fullname" : "Flow Cytometry", "shortname":"Flow Cyt"} }, "product-promise": { "all": "all", "testedAndGuaranteed": "tested", "guaranteed": "expected", "predicted": "predicted", "notRecommended": "not-recommended" } }, "values": { "Human": { "IP-species-checked": "testedAndGuaranteed", "IP-species-dilution-info": "1/30", "IP-species-notes": "<p></p>", "WB-species-checked": "testedAndGuaranteed", "WB-species-dilution-info": "1/1000", "WB-species-notes": "<p></p>", "ICCIF-species-checked": "testedAndGuaranteed", "ICCIF-species-dilution-info": "1/500", "ICCIF-species-notes": "<p></p>", "IHCP-species-checked": "testedAndGuaranteed", "IHCP-species-dilution-info": "1/100", "IHCP-species-notes": "<p></p>", "FlowCyt-species-checked": "testedAndGuaranteed", "FlowCyt-species-dilution-info": "1/10400", "FlowCyt-species-notes": "<p></p>" } } }

Product details

Product Specifications

Anti-CD9 antibody [EPR23105-121] (ab236630) was developed by Abcam using patented rabbit monoclonal antibody technology and is validated for use in Flow Cyt, ICC/IF, IHC-P, IP, WB in human samples.
Anti-CD9 antibody [EPR23105-121] (ab236630) specifically detects CD9 (UniProt ID: P21926; Molecular weight: 25kDa) and is sold in 100 µL and 1 mL selling sizes.

Quality and Validation

Abcam's high quality manufacturing and validation processes ensure Anti-CD9 antibody [EPR23105-121] (ab236630) has high sensitivity and specificity alongside high lot-to-lot consistency and reproducibility.
The specificity of Anti-CD9 antibody [EPR23105-121] (ab236630) has been confirmed by testing in knockout samples.
Anti-CD9 antibody [EPR23105-121] (ab236630) has been cited over 65 times in peer reviewed journals and is trusted by the scientific community.

Related Products
Conjugation-ready, carrier free format available for antibody clone EPR23105-121 - ab263023.
Antibody clone EPR23105-121 is also available pre-conjugated to a variety of labels for your convenience - Alexa Fluor® 488, Alexa Fluor® 647 (ab267502, ab267503).
Target Information
CD9 also known as p24 is a member of the tetraspanin family, which includes proteins involved in various cellular processes. CD9 (p24) plays a significant role in cancer progression and metastasis by influencing cell adhesion, migration, and signaling. CD9 (p24) is found on the surface of cancer cells and within exosomes, impacting cancer progression and therapy resistance. CD9's role in cancer is complex, as it can both suppress and promote tumor growth depending on the context. The protein's interactions within tetraspanin-enriched microdomains (TEMs) are crucial for its function.

Patented technology
Our RabMAb® technology is a patented hybridoma-based technology for making rabbit monoclonal antibodies. For details on our patents, please refer to RabMAb® patents.

What are the advantages of a recombinant monoclonal antibody?
This product is a recombinant monoclonal antibody, which offers several advantages including:

  • - High batch-to-batch consistency and reproducibility
  • - Improved sensitivity and specificity
  • - Long-term security of supply
  • - Animal-free batch production

For more information, read more on recombinant antibodies.

Properties and storage information

Form
Liquid
Purification technique
Affinity purification Protein A
Storage buffer
pH: 7.2 - 7.4 Preservative: 0.01% Sodium azide Constituents: PBS, 40% Glycerol (glycerin, glycerine), 0.05% BSA
Shipped at conditions
Blue Ice
Appropriate short-term storage duration
1-2 weeks
Appropriate short-term storage conditions
+4°C
Appropriate long-term storage conditions
-20°C
Aliquoting information
Upon delivery aliquot
Storage information
Avoid freeze / thaw cycle

Supplementary information

This supplementary information is collated from multiple sources and compiled automatically.

CD9 also known as motility-related protein-1 (MRP-1) is a transmembrane glycoprotein with a molecular weight of approximately 24 kDa. This protein is part of the tetraspanin family and shows widespread expression throughout different tissues including hematopoietic and non-hematopoietic cells. CD9 participates in numerous cellular processes by interacting with integrins and other cell surface receptors facilitating the organization of molecular complexes within the cell membrane.
Biological function summary

The CD9 protein is integral to cell adhesion migration and fusion. It forms complexes with other tetraspanins and proteins like EWI-2 and EWI-F contributing to cellular signaling and membrane compartmentalization. Additionally CD9 plays an important role in the formation and secretion of exosomes tiny vesicles emitted by cells that mediate cell-to-cell communication. These exosomes can be analyzed using tools like exosome assays and detection kits that target CD9 proteins.

Pathways

CD9 is involved in the regulation of immune response and cell morphology. It participates in pathways such as the integrin signaling pathway and the phosphatidylinositol 3-kinase (PI3K) signaling pathway. CD9 modulates these interactions by associating with proteins such as integrins and other members of the tetraspanin family influencing cellular movement and proliferation.

CD9 has connections to various conditions including cancer and infectious diseases. In cancer CD9 can influence tumor progression and metastasis while its altered expression levels have been associated with different cancer types. CD9 interacts with proteins such as integrins and CD81 in these contexts affecting cellular adhesion and migration mechanisms. In infectious diseases CD9 is involved in viral entry processes as some viruses utilize CD9 and its associated tetraspanins for entry into host cells.

Product protocols

For this product, it's our understanding that no specific protocols are required. You can visit:

Target data

Integral membrane protein associated with integrins, which regulates different processes, such as sperm-egg fusion, platelet activation and aggregation, and cell adhesion (PubMed : 14575715, PubMed : 18541721, PubMed : 8478605). Present at the cell surface of oocytes and plays a key role in sperm-egg fusion, possibly by organizing multiprotein complexes and the morphology of the membrane required for the fusion (By similarity). In myoblasts, associates with CD81 and PTGFRN and inhibits myotube fusion during muscle regeneration (By similarity). In macrophages, associates with CD81 and beta-1 and beta-2 integrins, and prevents macrophage fusion into multinucleated giant cells specialized in ingesting complement-opsonized large particles (PubMed : 12796480). Also prevents the fusion between mononuclear cell progenitors into osteoclasts in charge of bone resorption (By similarity). Acts as a receptor for PSG17 (By similarity). Involved in platelet activation and aggregation (PubMed : 18541721). Regulates paranodal junction formation (By similarity). Involved in cell adhesion, cell motility and tumor metastasis (PubMed : 7511626, PubMed : 8478605).
See full target information CD9

Publications (106)

Recent publications for all applications. Explore the full list and refine your search

Cancer & metabolism 13:24 PubMed40410860

2025

Improved VPS4B O-GlcNAc modification triggers lipid droplets transferring from adipocytes to nasopharyngeal carcinoma cells.

Applications

Unspecified application

Species

Unspecified reactive species

Haimeng Yin,Ying Shan,Qin Zhu,Ling Yuan,Feng Ju,Yu Shi,Yumo Han,Rui Wu,Tian Xia,Kaiwen Zhang,Yiwen You,Bo You

International journal of molecular sciences 26: PubMed40003965

2025

Exosomal CD40, CD25, and Serum CA19-9 as Combinatory Novel Liquid Biopsy Biomarker for the Diagnosis and Prognosis of Patients with Pancreatic Ductal Adenocarcinoma.

Applications

Unspecified application

Species

Unspecified reactive species

Paul David,Dina Kouhestani,Frederik J Hansen,Sushmita Paul,Franziska Czubayko,Alara Karabiber,Nadine Weisel,Bettina Klösch,Susanne Merkel,Jan Ole-Baur,Andreas Gießl,Jan Van Deun,Julio Vera,Anke Mittelstädt,Georg F Weber

Journal of ovarian research 17:101 PubMed38745186

2024

Shikonin reduces M2 macrophage population in ovarian cancer by repressing exosome production and the exosomal galectin 3-mediated β-catenin activation.

Applications

Unspecified application

Species

Unspecified reactive species

Min Wang,Yangyan Sun,Rui Gu,Yan Tang,Guorong Han,Shaojie Zhao

The journal of gene medicine 26:e3688 PubMed38686583

2024

MEG3 shuttled by exosomes released from human bone marrow mesenchymal stem cells promotes TP53 stability to regulate MCM5 transcription in keloid fibroblasts.

Applications

Unspecified application

Species

Unspecified reactive species

Feibin Zhu,Yuanjian Ye,Ying Shao,Chunli Xue

Journal of biomedical science 31:30 PubMed38500170

2024

Engineered extracellular vesicles carrying let-7a-5p for alleviating inflammation in acute lung injury.

Applications

Unspecified application

Species

Unspecified reactive species

Sin-Yu Chen,Yi-Ling Chen,Po-Chen Li,Tai-Shan Cheng,Yeh-Shiu Chu,Yi-Shan Shen,Hsin-Tung Chen,Wei-Ni Tsai,Chien-Ling Huang,Martin Sieber,Yuan-Chieh Yeh,Hsiao-Sheng Liu,Chi-Ling Chiang,Chih-Hung Chang,Andrew S Lee,Yen-Han Tseng,Ly James Lee,Hsiu-Jung Liao,Hon-Kan Yip,Chi-Ying F Huang

Microscopy research and technique 87:1598-1614 PubMed38441397

2024

Role of mesenchymal stem cells-derived exosomes on inflammation, apoptosis, fibrosis and telocyte modulation in doxorubicin-induced cardiotoxicity: A closer look at the structural level.

Applications

Unspecified application

Species

Unspecified reactive species

Reda A El Nasser Imam,Basma Emad Aboulhoda,Maha M Amer,Fatma E Hassan,Mansour A Alghamdi,Mohamed R Abdel-Hamed

Immunity, inflammation and disease 12:e1146 PubMed38415977

2024

Knockdown of liver cancer cell-secreted exosomal PSMA5 controls macrophage polarization to restrain cancer progression by blocking JAK2/STAT3 signaling.

Applications

Unspecified application

Species

Unspecified reactive species

Shujie Xie,Xiang Li,Jia Yan,Hua Yu,Shuhuai Chen,Kana Chen

Aging 16:1845-1859 PubMed38261741

2024

Activation of Notch-1 signaling pathway in macrophages to secrete PD-L1 and regulate cytotoxicity of CAR-T cells in diffuse large B-cell lymphoma.

Applications

Unspecified application

Species

Unspecified reactive species

Weijing Li,Lili Wu,Chen Huang,Hongqing Ma,Lianjing Wang,Wei Liu,Lihong Liu

Scientific reports 13:22231 PubMed38097629

2023

Non-destructive and efficient method for obtaining miRNA information in cells by artificial extracellular vesicles.

Applications

Unspecified application

Species

Unspecified reactive species

Fumio Maeda,Shungo Adachi,Tohru Natsume

Journal of orthopaedic surgery and research 18:937 PubMed38062424

2023

Exosomal miR-182 derived from bone marrow mesenchymal stem cells drives carfilzomib resistance of multiple myeloma cells by targeting SOX6.

Applications

Unspecified application

Species

Unspecified reactive species

Shifeng Long,Shengping Long,Honglei He,Liang Luo,Mei Liu,Ting Ding
View all publications

Product promise

We are committed to supporting your work with high-quality reagents, and we're here for you every step of the way. In the unlikely event that one of our products does not perform as expected, you're protected by our Product Promise.
For full details, please see our Terms & Conditions

Please note: All products are 'FOR RESEARCH USE ONLY. NOT FOR USE IN DIAGNOSTIC OR THERAPEUTIC PROCEDURES'.

For licensing inquiries, please contact partnerships@abcam.com