JavaScript is disabled in your browser. Please enable JavaScript to view this website.
AB263023

Anti-CD9 antibody [EPR23105-121] - BSA and Azide free

  • BOND RX™ Validated
  • RabMAb
  • Recombinant
  • KO Validated
  • What is this?

4

(1 Review)

|

(5 Publications)

Rabbit Recombinant Monoclonal CD9 antibody. Carrier free. Suitable for IP, Flow Cyt, WB, ICC/IF, IHC-P and reacts with Human samples. Cited in 5 publications.

View Alternative Names

CD9, MIC3, TSPAN29, GIG2, CD9 antigen, 5H9 antigen, Cell growth-inhibiting gene 2 protein, Leukocyte antigen MIC3, Motility-related protein, Tetraspanin-29, p24, MRP-1, Tspan-29

8 Images
Immunohistochemistry (Formalin/PFA-fixed paraffin-embedded sections) - Anti-CD9 antibody [EPR23105-121] - BSA and Azide free (AB263023)
  • IHC-P

Lab

Immunohistochemistry (Formalin/PFA-fixed paraffin-embedded sections) - Anti-CD9 antibody [EPR23105-121] - BSA and Azide free (AB263023)

This data was developed using the same antibody clone in a different buffer formulation containing PBS, BSA, glycerol, and sodium azide (ab236630).

Immunohistochemical analysis of formalin fixed paraffin embedded human bladder carcinoma labelling CD9 with ab236630 at a concentration of 0.5 µg/ml. The immunostaining was performed on a Ventana DISCOVERY ULTRA (Roche Tissue Diagnostics) instrument with a OptiView DAB IHC Detection Kit. Heat mediated antigen retrieval was performed with DISCOVERY cell conditioning solution (CC1) 100°C, pH 8.5 for 32mins.

ab236630 anti-CD9 [EPR23105-121] was incubated for 16mins at 37°C. Sections were counterstained with Hematoxylin II. Image inset shows absence of staining in secondary antibody only control.

Customers are encouraged to optimise antigen retrieval conditions, antibody concentration, incubation times and temperature for best results in their own IHC assay workflow (automated and manual).

Flow Cytometry - Anti-CD9 antibody [EPR23105-121] - BSA and Azide free (AB263023)
  • Flow Cyt

Lab

Flow Cytometry - Anti-CD9 antibody [EPR23105-121] - BSA and Azide free (AB263023)

This data was developed using the same antibody clone in a different buffer formulation containing PBS, BSA, glycerol, and sodium azide (ab236630).

Flow cytometry staining of human peripheral blood mononuclear cells (PBMCs) with ab236630 (right) or Recombinant Rabbit IgG, monoclonal [EPR25A] - Isotype Control (left). PBMCs were incubated for 30 mins on ice in 1x PBS containing 10 µg/ml human IgG and 10 % normal goat serum to block FC receptors and non-specific protein-protein interaction followed by the antibody ab236630 or Recombinant Rabbit IgG, monoclonal [EPR25A] - Isotype Control (1x 106 in 100 µl at 0.2 μg/ml (1/10,500 dilution)) for 30 mins on ice. The cells were simultaneously stained with n/a.

The secondary antibody Goat Anti-Rabbit IgG H&L (Alexa Fluor® 488) preadsorbed was incubated at 1/2000 dilution for 30 mins on ice

Acquisition of >30000 events were collected using a 50 mW Blue laser (488nm) and 525/40 bandpass filter. Events were gated on live cells.

Flow Cytometry - Anti-CD9 antibody [EPR23105-121] - BSA and Azide free (AB263023)
  • Flow Cyt

Unknown

Flow Cytometry - Anti-CD9 antibody [EPR23105-121] - BSA and Azide free (AB263023)

Flow cytometric analysis of Raji (human Burkitt's lymphoma B lymphocyte, Left) / HCT 116 (human colorectal carcinoma epithelial cell, Right) cells labelling CD9 with ab236630 at 1/50 dilution compared with a Rabbit monoclonal IgG (ab172730) (Black) isotype control and an unlabelled control (cells without incubation with primary antibody and secondary antibody) (Blue). Goat anti rabbit IgG (Alexa Fluor® 488, ab150077) at 1/2000 was used as the secondary antibody.

Negative control : Raji (PMID : 8921952).

Gated on viable cells.

This data was developed using the same antibody clone in a different buffer formulation containing PBS, BSA, glycerol, and sodium azide (ab236630).

Immunohistochemistry (Formalin/PFA-fixed paraffin-embedded sections) - Anti-CD9 antibody [EPR23105-121] - BSA and Azide free (AB263023)
  • IHC-P

Unknown

Immunohistochemistry (Formalin/PFA-fixed paraffin-embedded sections) - Anti-CD9 antibody [EPR23105-121] - BSA and Azide free (AB263023)

Immunohistochemical analysis of paraffin-embedded Human bladder carcinoma tissue labeling CD9 with ab236630 at 1/100 dilution followed by a ready to use Rabbit specific IHC polymer detection kit HRP/DAB (ab209101). Positive staining on human bladder carcinoma. The section was incubated with ab236630 for 30 mins at room temperature. The immunostaining was performed on a Leica Biosystems BOND® RX instrument. Counterstained with Hematoxylin.

Secondary antibody only control : Secondary antibody is a ready to use Rabbit specific IHC polymer detection kit HRP/DAB (ab209101).

Heat mediated antigen retrieval with Tris-EDTA buffer (pH 9.0, epitope retrieval solution 2) for 20mins.

This data was developed using the same antibody clone in a different buffer formulation containing PBS, BSA, glycerol, and sodium azide (ab236630).

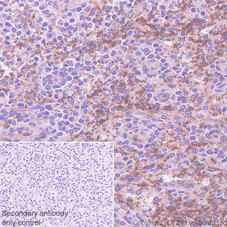
Immunohistochemistry (Formalin/PFA-fixed paraffin-embedded sections) - Anti-CD9 antibody [EPR23105-121] - BSA and Azide free (AB263023)
  • IHC-P

Unknown

Immunohistochemistry (Formalin/PFA-fixed paraffin-embedded sections) - Anti-CD9 antibody [EPR23105-121] - BSA and Azide free (AB263023)

Immunohistochemical analysis of paraffin-embedded Human spleen tissue labeling CD9 with ab236630 at 1/100 dilution followed by a ready to use Rabbit specific IHC polymer detection kit HRP/DAB (ab209101). Positive staining on platelets of human spleen. The section was incubated with ab236630 for 30 mins at room temperature. The immunostaining was performed on a Leica Biosystems BOND® RX instrument. Counterstained with Hematoxylin.

Secondary antibody only control : Secondary antibody is a ready to use Rabbit specific IHC polymer detection kit HRP/DAB (ab209101).

Heat mediated antigen retrieval with Tris-EDTA buffer (pH 9.0, epitope retrieval solution 2) for 20mins.

This data was developed using the same antibody clone in a different buffer formulation containing PBS, BSA, glycerol, and sodium azide (ab236630).

Immunocytochemistry/ Immunofluorescence - Anti-CD9 antibody [EPR23105-121] - BSA and Azide free (AB263023)
  • ICC/IF

Unknown

Immunocytochemistry/ Immunofluorescence - Anti-CD9 antibody [EPR23105-121] - BSA and Azide free (AB263023)

Immunofluorescent analysis of 4% Paraformaldehyde-fixed, 0.1% Triton X-100 permeabilized HCT 116 (human colorectal carcinoma epithelial cell) cells labelling CD9 with ab236630 at 1/500 dilution, followed by ab150077 AlexaFluor®488 Goat anti-Rabbit secondary antibody at 1/1000 dilution (Green). Confocal image showing membranous staining in HCT 116 cell line. Negative control : Raji (PMID : 8921952). ab195889 Anti-alpha Tubulin antibody [DM1A] - Microtubule Marker (Alexa Fluor® 594) was used to counterstain tubulin at 1/200 dilution (Red). The Nuclear counterstain was DAPI (Blue).

Secondary antibody only control : Secondary antibody is ab150077 AlexaFluor®488 Goat anti-Rabbit secondary at 1/1000 dilution.

This data was developed using the same antibody clone in a different buffer formulation containing PBS, BSA, glycerol, and sodium azide (ab236630).

Immunoprecipitation - Anti-CD9 antibody [EPR23105-121] - BSA and Azide free (AB263023)
  • IP

Unknown

Immunoprecipitation - Anti-CD9 antibody [EPR23105-121] - BSA and Azide free (AB263023)

CD9 was immunoprecipitated from 0.35 mg HCT 116 (human colorectal carcinoma epithelial cell) whole cell lysate with ab236630 at 1/30 dilution (2ug in 0.35mg lysates). Western blot was performed on the immunoprecipitate using ab236630 at 1/500 dilution. VeriBlot for IP Detection Reagent (HRP) (ab131366) was used at 1/1000 dilution.

Lane 1 : HCT 116 (human colorectal carcinoma epithelial cell) whole cell lysate 10ug.

Lane 2 : ab236630 IP in HCT 116 whole cell lysate.

Lane 3 : Rabbit monoclonal IgG (ab172730) instead of ab236630 in HCT 116 whole cell lysate.

Blocking and dilution buffer and concentration : 5% NFDM/TBST.

Exposure time : 30 seconds.

This data was developed using the same antibody clone in a different buffer formulation containing PBS, BSA, glycerol, and sodium azide (ab236630).

All lanes:

Immunoprecipitation - Anti-CD9 antibody [EPR23105-121] (<a href='/en-us/products/primary-antibodies/cd9-antibody-epr23105-121-ab236630'>ab236630</a>)

Predicted band size: 25 kDa

Observed band size: 22 kDa

false

Western blot - Anti-CD9 antibody [EPR23105-121] - BSA and Azide free (AB263023)
  • WB

Lab

Western blot - Anti-CD9 antibody [EPR23105-121] - BSA and Azide free (AB263023)

This data was developed using the same antibody clone in a different buffer formulation (ab236630).

Lanes 1 - 4 : Merged signal (red and green). Green - ab236630 observed at 18 kDa. Red - loading control ab7291 (Mouse anti-Alpha Tubulin [DM1A]) observed at 55 kDa.

ab236630 was shown to react with CD9 in wild-type HeLa cells in Western blot with loss of signal observed in CD9 knockout cell line ab255375 (CD9 knockout cell lysate ab263754). Wild-type HeLa and CD9 knockout cell lysates were subjected to SDS-PAGE. Membranes were blocked in fluorescent western blot (TBS-based) blocking solution before incubation with ab236630 and ab7291 (Mouse anti-Alpha Tubulin [DM1A]) overnight at 4 °C at a 1 in 1000 dilution and a 1 in 20000 dilution respectively. Blots were incubated with Goat anti-Rabbit IgG H&L (IRDye® 800CW) preabsorbed (ab216773) and Goat anti-Mouse IgG H&L (IRDye® 680RD) preabsorbed (ab216776) secondary antibodies at 1 in 20000 dilution for 1 h at room temperature before imaging.

All lanes:

Western blot - Anti-CD9 antibody [EPR23105-121] (<a href='/en-us/products/primary-antibodies/cd9-antibody-epr23105-121-ab236630'>ab236630</a>) at 1/1000 dilution

Lane 1:

Wild-type HeLa (Human epithelial cell line from cervix adenocarcinoma) whole cell lysate at 20 µg

Lane 2:

CD9 knockout HeLa (Human epithelial cell line from cervix adenocarcinoma) whole cell lysate at 20 µg

Lane 2:

Western blot - Human CD9 knockout HeLa cell line (<a href='/en-us/products/cell-lines/human-cd9-knockout-hela-cell-line-ab255375'>ab255375</a>)

Lane 3:

A549 (Human lung carcinoma cell line) whole cell lysate at 20 µg

Lane 4:

MCF7 (Human breast adenocarcinoma cell line) whole cell lysate at 20 µg

Predicted band size: 25 kDa

Observed band size: 18 kDa

false

Key facts

Host species

Rabbit

Clonality

Monoclonal

Clone number

EPR23105-121

Isotype

IgG

Carrier free

Yes

Reacts with

Human

Applications

Flow Cyt, WB, IP, IHC-P, ICC/IF

applications

Immunogen

The exact immunogen used to generate this antibody is proprietary information.

Reactivity data

{ "title": "Reactivity Data", "filters": { "stats": ["", "Species", "Dilution Info", "Notes"], "tabs": { "all-applications": {"fullname" : "All Applications", "shortname": "All Applications"}, "IP" : {"fullname" : "Immunoprecipitation", "shortname":"IP"}, "FlowCyt" : {"fullname" : "Flow Cytometry", "shortname":"Flow Cyt"}, "WB" : {"fullname" : "Western blot", "shortname":"WB"}, "ICCIF" : {"fullname" : "Immunocytochemistry/ Immunofluorescence", "shortname":"ICC/IF"}, "IHCP" : {"fullname" : "Immunohistochemistry (Formalin/PFA-fixed paraffin-embedded sections)", "shortname":"IHC-P"} }, "product-promise": { "all": "all", "testedAndGuaranteed": "tested", "guaranteed": "expected", "predicted": "predicted", "notRecommended": "not-recommended" } }, "values": { "Human": { "IP-species-checked": "testedAndGuaranteed", "IP-species-dilution-info": "", "IP-species-notes": "<p></p> Perform heat-mediated antigen retrieval with Tris/EDTA buffer pH 9.0 before commencing with IHC staining protocol.", "FlowCyt-species-checked": "testedAndGuaranteed", "FlowCyt-species-dilution-info": "", "FlowCyt-species-notes": "<p></p>", "WB-species-checked": "testedAndGuaranteed", "WB-species-dilution-info": "", "WB-species-notes": "<p></p>", "ICCIF-species-checked": "testedAndGuaranteed", "ICCIF-species-dilution-info": "", "ICCIF-species-notes": "<p></p>", "IHCP-species-checked": "testedAndGuaranteed", "IHCP-species-dilution-info": "", "IHCP-species-notes": "<p></p> Perform heat-mediated antigen retrieval with Tris/EDTA buffer pH 9.0 before commencing with IHC staining protocol." } } }

Product details

ab263023 is the carrier-free version of ab236630.

Patented technology
Our RabMAb® technology is a patented hybridoma-based technology for making rabbit monoclonal antibodies. For details on our patents, please refer to RabMAb® patents.

What are the advantages of a recombinant monoclonal antibody?
This product is a recombinant monoclonal antibody, which offers several advantages including:

  • - High batch-to-batch consistency and reproducibility
  • - Improved sensitivity and specificity
  • - Long-term security of supply
  • - Animal-free batch production

For more information, read more on recombinant antibodies.

Conjugation ready
Our carrier-free antibodies are typically supplied in a PBS-only formulation, purified and free of BSA, sodium azide and glycerol. This conjugation-ready format is designed for use with fluorochromes, metal isotopes, oligonucleotides, and enzymes, which makes them ideal for antibody labelling, functional and cell-based assays, flow-based assays (e.g. mass cytometry) and Multiplex Imaging applications.

Use our conjugation kits for antibody conjugates that are ready-to-use in as little as 20 minutes with 1 minute hands-on-time and 100% antibody recovery: available for fluorescent dyes, HRP, biotin and gold.

Compatibility
This product is compatible with the Maxpar® Antibody Labeling Kit from Fluidigm, without the need for antibody preparation. Maxpar® is a trademark of Fluidigm Canada Inc.

Properties and storage information

Form
Liquid
Purification technique
Affinity purification Protein A
Storage buffer
pH: 7.2 - 7.4 Constituents: PBS
Shipped at conditions
Blue Ice
Appropriate short-term storage conditions
+4°C
Appropriate long-term storage conditions
+4°C
Storage information
Do Not Freeze

Supplementary information

This supplementary information is collated from multiple sources and compiled automatically.

CD9 also known as motility-related protein-1 (MRP-1) is a transmembrane glycoprotein with a molecular weight of approximately 24 kDa. This protein is part of the tetraspanin family and shows widespread expression throughout different tissues including hematopoietic and non-hematopoietic cells. CD9 participates in numerous cellular processes by interacting with integrins and other cell surface receptors facilitating the organization of molecular complexes within the cell membrane.
Biological function summary

The CD9 protein is integral to cell adhesion migration and fusion. It forms complexes with other tetraspanins and proteins like EWI-2 and EWI-F contributing to cellular signaling and membrane compartmentalization. Additionally CD9 plays an important role in the formation and secretion of exosomes tiny vesicles emitted by cells that mediate cell-to-cell communication. These exosomes can be analyzed using tools like exosome assays and detection kits that target CD9 proteins.

Pathways

CD9 is involved in the regulation of immune response and cell morphology. It participates in pathways such as the integrin signaling pathway and the phosphatidylinositol 3-kinase (PI3K) signaling pathway. CD9 modulates these interactions by associating with proteins such as integrins and other members of the tetraspanin family influencing cellular movement and proliferation.

CD9 has connections to various conditions including cancer and infectious diseases. In cancer CD9 can influence tumor progression and metastasis while its altered expression levels have been associated with different cancer types. CD9 interacts with proteins such as integrins and CD81 in these contexts affecting cellular adhesion and migration mechanisms. In infectious diseases CD9 is involved in viral entry processes as some viruses utilize CD9 and its associated tetraspanins for entry into host cells.

Product protocols

For this product, it's our understanding that no specific protocols are required. You can visit:

Target data

Integral membrane protein associated with integrins, which regulates different processes, such as sperm-egg fusion, platelet activation and aggregation, and cell adhesion (PubMed : 14575715, PubMed : 18541721, PubMed : 8478605). Present at the cell surface of oocytes and plays a key role in sperm-egg fusion, possibly by organizing multiprotein complexes and the morphology of the membrane required for the fusion (By similarity). In myoblasts, associates with CD81 and PTGFRN and inhibits myotube fusion during muscle regeneration (By similarity). In macrophages, associates with CD81 and beta-1 and beta-2 integrins, and prevents macrophage fusion into multinucleated giant cells specialized in ingesting complement-opsonized large particles (PubMed : 12796480). Also prevents the fusion between mononuclear cell progenitors into osteoclasts in charge of bone resorption (By similarity). Acts as a receptor for PSG17 (By similarity). Involved in platelet activation and aggregation (PubMed : 18541721). Regulates paranodal junction formation (By similarity). Involved in cell adhesion, cell motility and tumor metastasis (PubMed : 7511626, PubMed : 8478605).
See full target information CD9

Publications (5)

Recent publications for all applications. Explore the full list and refine your search

International journal of molecular sciences 24: PubMed37108128

2023

Improved Wound Healing and Skin Regeneration Ability of 3,2'-Dihydroxyflavone-Treated Mesenchymal Stem Cell-Derived Extracellular Vesicles.

Applications

Unspecified application

Species

Unspecified reactive species

Sehee Kim,Yeokyung Shin,Yujin Choi,Kyung-Min Lim,Yeojin Jeong,Ahmed Abdal Dayem,Yoonjoo Lee,Jongyub An,Kwonwoo Song,Soo Bin Jang,Ssang-Goo Cho

Journal of extracellular vesicles 11:e12274 PubMed36239712

2022

Rapid production method with increased yield of high-purity extracellular vesicles obtained using extended mitochondrial targeting domain peptide.

Applications

Unspecified application

Species

Unspecified reactive species

Kyung Min Lim,Ji-Hye Han,Yoonjoo Lee,Junghee Park,Ahmed Abdal Dayem,Seung-Hyun Myung,Jongyub An,Kwonwoo Song,Geun-Ho Kang,Sejong Kim,Sangwoo Kwon,Kyung Sook Kim,Ssang-Goo Cho,Tae-Hyoung Kim

Journal of advanced research 47:57-74 PubMed36130685

2022

Advanced 3D dynamic culture system with transforming growth factor-β3 enhances production of potent extracellular vesicles with modified protein cargoes via upregulation of TGF-β signaling.

Applications

Unspecified application

Species

Unspecified reactive species

Kyung Min Lim,Sehee Kim,Jeonghun Yeom,Yujin Choi,Yoonjoo Lee,Jongyub An,Minchan Gil,Ahmed Abdal Dayem,Kyeongseok Kim,Geun-Ho Kang,Aram Kim,Kwonho Hong,Kyunggon Kim,Ssang-Goo Cho

Antioxidants (Basel, Switzerland) 10: PubMed34439540

2021

High Therapeutic and Esthetic Properties of Extracellular Vesicles Produced from the Stem Cells and Their Spheroids Cultured from Ocular Surgery-Derived Waste Orbicularis Oculi Muscle Tissues.

Applications

Unspecified application

Species

Unspecified reactive species

Kyung Min Lim,Ahmed Abdal Dayem,Yujin Choi,Yoonjoo Lee,Jongyub An,Minchan Gil,Soobin Lee,Hee Jeong Kwak,Balachandar Vellingirl,Hyun Jin Shin,Ssang-Goo Cho

Journal of extracellular vesicles 10:e12110 PubMed34122779

2021

Extracellular Vesicle Capture by AnTibody of CHoice and Enzymatic Release (EV-CATCHER): A customizable purification assay designed for small-RNA biomarker identification and evaluation of circulating small-EVs.

Applications

Unspecified application

Species

Unspecified reactive species

Megan I Mitchell,Iddo Z Ben-Dov,Christina Liu,Kenny Ye,Kar Chow,Yael Kramer,Anju Gangadharan,Steven Park,Sean Fitzgerald,Andrew Ramnauth,David S Perlin,Michele Donato,Emily Bhoy,Ehsan Manouchehri Doulabi,Michael Poulos,Masood Kamali-Moghaddam,Olivier Loudig
View all publications

Product promise

We are committed to supporting your work with high-quality reagents, and we're here for you every step of the way. In the unlikely event that one of our products does not perform as expected, you're protected by our Product Promise.
For full details, please see our Terms & Conditions

Please note: All products are 'FOR RESEARCH USE ONLY. NOT FOR USE IN DIAGNOSTIC OR THERAPEUTIC PROCEDURES'.

For licensing inquiries, please contact partnerships@abcam.com