JavaScript is disabled in your browser. Please enable JavaScript to view this website.
AB308195

Anti-CD90 antibody [HL1766] - BSA and Azide free

Be the first to review this product! Submit a review

|

(0 Publication)

Rabbit Recombinant Monoclonal CD90 / Thy1 antibody. Carrier free. Suitable for WB, IHC-P and reacts with Mouse, Rat, Human samples. Immunogen corresponding to Recombinant Fragment Protein within Human THY1.

View Alternative Names

CD90, Thy-1 membrane glycoprotein, CDw90, Thy-1 antigen, THY1

4 Images
Immunohistochemistry paraffin embedded sections - Anti-CD90 antibody [HL1766] - BSA and Azide free (AB308195)
  • IHC-P

Supplier Data

Immunohistochemistry paraffin embedded sections - Anti-CD90 antibody [HL1766] - BSA and Azide free (AB308195)

Immunohistochemical analysis of paraffin-embedded mouse eye labeling CD90 protein with ab308195 at 1/100 dilution. Heat mediated antigen retrieval was performed with citrate buffer pH 6.0 for 15 mins.

Nuclei (blue) is stained with fluoroshield with DAPI

Beta-Tubulin 3 (Tuj1) stained by beta-Tubulin 3 (Tuj1) antibody (red) diluted at 1/500

Immunocytochemistry/ Immunofluorescence - Anti-CD90 antibody [HL1766] - BSA and Azide free (AB308195)
  • ICC/IF

Supplier Data

Immunocytochemistry/ Immunofluorescence - Anti-CD90 antibody [HL1766] - BSA and Azide free (AB308195)

Immunofluorescent analysis of 4% Paraformaldehyde-fixed DIV9 rat E18 primary cortical neuron cells labelling CD90 with ab308195 at 1/250 dilution at RT for 15 min.

Red : Tau, an axon marker, stained by Tau antibody [GT287] diluted at 1/500 dilution.

Blue : Fluoroshield with DAPI.

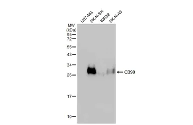
Western blot - Anti-CD90 antibody [HL1766] - BSA and Azide free (AB308195)
  • WB

Supplier Data

Western blot - Anti-CD90 antibody [HL1766] - BSA and Azide free (AB308195)

Various whole cell extracts (30 μg) were separated by 12% SDS-PAGE, and the membrane was blotted with CD90 antibody [HL1766] (ab308195) diluted at 1/1000. A HRP-conjugated anti-rabbit IgG antibody was used to detect the primary antibody.

All lanes:

Western blot - Anti-CD90 antibody [HL1766] - BSA and Azide free (ab308195) at 1/1000 dilution

Lane 1:

U87-MG cell lysate at 30 µg

Lane 2:

SK-N-SH cell lysate at 30 µg

Lane 3:

IMR32 cell lysate at 30 µg

Lane 4:

SK-N-AS cell lysate at 30 µg

Secondary

All lanes:

HRP-conjugated anti-rabbit IgG antibody

Predicted band size: 17.9 kDa

false

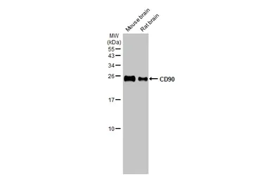
Western blot - Anti-CD90 antibody [HL1766] - BSA and Azide free (AB308195)
  • WB

Supplier Data

Western blot - Anti-CD90 antibody [HL1766] - BSA and Azide free (AB308195)

Various tissue extracts (50 μg) were separated by 15% SDS-PAGE, and the membrane was blotted with CD90 antibody [HL1766] (ab308195) diluted at 1/1000. A HRP-conjugated anti-rabbit IgG antibody was used to detect the primary antibody.

All lanes:

Western blot - Anti-CD90 antibody [HL1766] - BSA and Azide free (ab308195) at 1/1000 dilution

Lane 1:

Mouse brain tissue lysate at 50 µg

Lane 2:

Rat brain tissue lysate at 50 µg

Secondary

All lanes:

HRP-conjugated anti-rabbit IgG antibody

Predicted band size: 17.9 kDa

false

Key facts

Host species

Rabbit

Clonality

Monoclonal

Clone number

HL1766

Isotype

IgG

Carrier free

Yes

Reacts with

Human, Mouse, Rat

Applications

IHC-P, WB

applications

Immunogen

Recombinant Fragment Protein within Human THY1. The exact immunogen used to generate this antibody is proprietary information.

P04216

Reactivity data

{ "title": "Reactivity Data", "filters": { "stats": ["", "Species", "Dilution Info", "Notes"], "tabs": { "all-applications": {"fullname" : "All Applications", "shortname": "All Applications"}, "WB" : {"fullname" : "Western blot", "shortname":"WB"}, "IHCP" : {"fullname" : "Immunohistochemistry (Formalin/PFA-fixed paraffin-embedded sections)", "shortname":"IHC-P"} }, "product-promise": { "all": "all", "testedAndGuaranteed": "tested", "guaranteed": "expected", "predicted": "predicted", "notRecommended": "not-recommended" } }, "values": { "Human": { "WB-species-checked": "testedAndGuaranteed", "WB-species-dilution-info": "1/1000", "WB-species-notes": "<p>Observed molecular weight may vary depending on the glycosylation level of the target.</p>", "IHCP-species-checked": "guaranteed", "IHCP-species-dilution-info": "", "IHCP-species-notes": "" }, "Mouse": { "WB-species-checked": "testedAndGuaranteed", "WB-species-dilution-info": "1/1000", "WB-species-notes": "<p>Observed molecular weight may vary depending on the glycosylation level of the target.</p>", "IHCP-species-checked": "testedAndGuaranteed", "IHCP-species-dilution-info": "1/100", "IHCP-species-notes": "<p></p> Perform heat-mediated antigen retrieval with citrate buffer pH 6 before commencing with IHC staining protocol." }, "Rat": { "WB-species-checked": "testedAndGuaranteed", "WB-species-dilution-info": "1/1000", "WB-species-notes": "<p>Observed molecular weight may vary depending on the glycosylation level of the target.</p>", "IHCP-species-checked": "guaranteed", "IHCP-species-dilution-info": "", "IHCP-species-notes": "" } } }

Product details

What are the advantages of a recombinant monoclonal antibody?
This product is a recombinant monoclonal antibody, which offers several advantages including:

  • - High batch-to-batch consistency and reproducibility
  • - Improved sensitivity and specificity
  • - Long-term security of supply
  • - Animal-free batch production

For more information, read more on recombinant antibodies.

Conjugation ready
Our carrier-free antibodies are typically supplied in a PBS-only formulation, purified and free of BSA, sodium azide and glycerol. This conjugation-ready format is designed for use with fluorochromes, metal isotopes, oligonucleotides, and enzymes, which makes them ideal for antibody labelling, functional and cell-based assays, flow-based assays (e.g. mass cytometry) and Multiplex Imaging applications.

Use our conjugation kits for antibody conjugates that are ready-to-use in as little as 20 minutes with 1 minute hands-on-time and 100% antibody recovery: available for fluorescent dyes, HRP, biotin and gold.

Properties and storage information

Form
Liquid
Purification technique
Affinity purification Protein A
Storage buffer
pH: 7.4 Constituents: 100% PBS
Shipped at conditions
Blue Ice
Appropriate short-term storage duration
1-2 weeks
Appropriate short-term storage conditions
+4°C
Appropriate long-term storage conditions
+4°C
Aliquoting information
Upon delivery aliquot
Storage information
Avoid freeze / thaw cycle

Supplementary information

This supplementary information is collated from multiple sources and compiled automatically.

CD90 also known as Thy1 is a glycoprotein with a molecular mass of approximately 25-37 kDa. It is highly conserved across species and found on the surface of various cell types including fibroblasts neurons and endothelial cells. CD90 is expressed in these cells in tissues such as the brain thymus and lungs. Researchers use anti-CD90 antibodies for detection often in combination with CD90 FITC in immunofluorescence assays. CD90 serves as a useful cell marker particularly in identifying mesenchymal stem cells (MSCs).
Biological function summary

CD90 plays a role in cell-cell and cell-matrix interactions contributing to cellular adhesion migration and signal transduction. It functions as part of a complex involving integrins which mediate its interaction with the extracellular matrix. This protein also influences T-cell activation reflecting its importance in immune response regulation. Its presence aids in modulating response to injury and promoting tissue repair due to its association with stem and progenitor cells.

Pathways

CD90 engagement affects focal adhesion and MAPK signaling pathways. It interacts with integrins like αvβ3 and α5β1 influencing cell movement and proliferation processes. CD90 involvement in these pathways allows it to regulate responses important for cell survival and communication within various tissues. These interactions highlight the protein's role in maintaining cellular homeostasis and regulating physiological processes.

CD90 has associations with fibrosis and cancer. In fibrotic conditions CD90 expression affects fibroblast activity influencing tissue scarring in organs such as the liver and lungs. In cancer CD90 modifies tumor progression and metastasis by impacting cell adhesion and migration with connections to proteins like TGF-beta which further drive these processes. Understanding CD90 in disease contexts facilitates the development of therapeutic strategies aimed at modulating its activity.

Product protocols

For this product, it's our understanding that no specific protocols are required. You can visit:

Target data

May play a role in cell-cell or cell-ligand interactions during synaptogenesis and other events in the brain.
See full target information THY1

Product promise

We are committed to supporting your work with high-quality reagents, and we're here for you every step of the way. In the unlikely event that one of our products does not perform as expected, you're protected by our Product Promise.
For full details, please see our Terms & Conditions

Please note: All products are 'FOR RESEARCH USE ONLY. NOT FOR USE IN DIAGNOSTIC OR THERAPEUTIC PROCEDURES'.

For licensing inquiries, please contact partnerships@abcam.com