JavaScript is disabled in your browser. Please enable JavaScript to view this website.
AB216449

Anti-CD90 / Thy1 antibody [EPR3133] - Low endotoxin, Azide free

Be the first to review this product! Submit a review

|

(5 Publications)

Knockout Tested Rabbit Recombinant Monoclonal CD90 / Thy1 antibody. Carrier free. Suitable for IHC-P, WB, ICC/IF and reacts with Human samples. Cited in 5 publications.

View Alternative Names

CD90, Thy-1 membrane glycoprotein, CDw90, Thy-1 antigen, THY1

4 Images
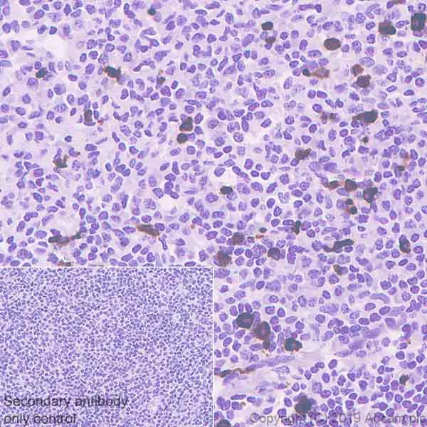
Immunohistochemistry (Formalin/PFA-fixed paraffin-embedded sections) - Anti-CD90 / Thy1 antibody [EPR3133] - Low endotoxin, Azide free (AB216449)
  • IHC-P

Lab

Immunohistochemistry (Formalin/PFA-fixed paraffin-embedded sections) - Anti-CD90 / Thy1 antibody [EPR3133] - Low endotoxin, Azide free (AB216449)

This data was developed using ab133350, the same antibody clone in a different buffer formulation.
Immunohistochemistry (Formalin/PFA-fixed paraffin-embedded sections) analysis of human tonsil tissue sections labeling CD90 / Thy1 with Purified ab216449 at 1 : 4000 dilution (0.03 μg/ml). Perform heat mediated antigen retrieval using ab93684 (Tris/EDTA buffer, pH 9.0). ImmunoHistoProbe one step HRP Polymer (ready to use) was used as the secondary antibody. Negative control : PBS instead of the primary antibody. Hematoxylin was used as a counterstain.

Immunocytochemistry/ Immunofluorescence - Anti-CD90 / Thy1 antibody [EPR3133] - Low endotoxin, Azide free (AB216449)
  • ICC/IF

Lab

Immunocytochemistry/ Immunofluorescence - Anti-CD90 / Thy1 antibody [EPR3133] - Low endotoxin, Azide free (AB216449)

This data was developed using ab133350, the same antibody clone in a different buffer formulation.
Immunocytochemistry analysis of Jurkat (Human T cell leukemia T lymphocyte) cells labeling CD90 / Thy1 with Purified ab216449 at 1 : 50 dilution (2.44 μg/ml). Cells were fixed in 4% Paraformaldehyde and permeabilized with 0.1% tritonX-100. Cells were counterstained with ab195889 Anti-alpha Tubulin antibody [DM1A] - Microtubule Marker (Alexa Fluor® 594) 1 : 200 (2.5 μg/ml). Goat anti rabbit IgG (Alexa Fluor® 488, ab150077) was used as the secondary antibody at 1 : 1000 (2 μg/ml) dilution. DAPI (blue) was used as nuclear counterstain. PBS instead of the primary antibody was used as the secondary antibody only control.

Western blot - Anti-CD90 / Thy1 antibody [EPR3133] - Low endotoxin, Azide free (AB216449)
  • WB

Unknown

Western blot - Anti-CD90 / Thy1 antibody [EPR3133] - Low endotoxin, Azide free (AB216449)

This data was developed using ab133350, the same antibody clone in a different buffer formulation.

The molecular weight observed is consistent with what has been described in the literature (PMID : 24116172 and PMID : 30177788).

Blocking Buffer and concentration : 5% NFDM/TBST

All lanes:

Western blot - Anti-CD90 / Thy1 antibody [EPR3133] (<a href='/en-us/products/primary-antibodies/cd90-thy1-antibody-epr3133-ab133350'>ab133350</a>) at 1/1000 dilution

Lane 1:

Human glioma lysate at 15 µg

Lane 2:

Human brain lysate at 15 µg

Secondary

All lanes:

Goat Anti-Rabbit IgG (HRP) with minimal cross-reactivity with human IgG at 1/2000 dilution

Predicted band size: 17 kDa

Observed band size: 25-35 kDa

false

Western blot - Anti-CD90 / Thy1 antibody [EPR3133] - Low endotoxin, Azide free (AB216449)
  • WB

Lab

Western blot - Anti-CD90 / Thy1 antibody [EPR3133] - Low endotoxin, Azide free (AB216449)

This data was developed using ab133350, the same antibody clone in a different buffer formulation. Anti-THY1 antibody [EPR3133] (ab133350) staining at 1/2000 dilution, shown in green; Mouse anti-Alpha Tubulin [DM1A] (ab7291) loading control staining at 1/20000 dilution, shown in red. In Western blot, ab133350 was shown to bind specifically to THY1. A band was observed at 25-37 kDa in wild-type U-2 OS cell lysates with no signal observed at this size in THY1 knockout cell line ab262490 (knockout cell lysate ab263925). To generate this image, wild-type and THY1 knockout U-2 OS cell lysates were analysed. First, samples were run on an SDS-PAGE gel then transferred onto a nitrocellulose membrane. Membranes were blocked in 3 % milk in TBS-0.1 % Tween® 20 (TBS-T) before incubation with primary antibodies overnight at 4 °C. Blots were washed four times in TBS-T, incubated with secondary antibodies for 1 h at room temperature, washed again four times then imaged. Secondary antibodies used were Goat anti-Rabbit IgG H&L 800CW and Goat anti-Mouse IgG H&L 680RD at 1/20000 dilution.

All lanes:

Western blot - Anti-CD90 / Thy1 antibody [EPR3133] (<a href='/en-us/products/primary-antibodies/cd90-thy1-antibody-epr3133-ab133350'>ab133350</a>) at 1/2000 dilution

Lanes 1 - 5:

Western blot at 20 µg

Lane 2:

Western blot - Human THY1 (CD90) knockout U-2 OS cell lysate (<a href='/en-us/products/cell-lysates/human-thy1-cd90-knockout-u-2-os-cell-lysate-ab263925'>ab263925</a>)

Lane 2:

Western blot - Human THY1 (CD90) knockout U-2 OS cell line (<a href='/en-us/products/cell-lines/human-thy1-cd90-knockout-u-2-os-cell-line-ab262490'>ab262490</a>)

Secondary

All lanes:

Goat anti-Rabbit IgG H&L 800CW and Goat anti-Mouse IgG H&L 680RD at 1/20000 dilution

Predicted band size: 17 kDa

false

Key facts

Host species

Rabbit

Clonality

Monoclonal

Clone number

EPR3133

Isotype

IgG

Carrier free

Yes

Reacts with

Human

Applications

IHC-P, ICC/IF, WB

applications

Immunogen

The exact immunogen used to generate this antibody is proprietary information.

Reactivity data

{ "title": "Reactivity Data", "filters": { "stats": ["", "Species", "Dilution Info", "Notes"], "tabs": { "all-applications": {"fullname" : "All Applications", "shortname": "All Applications"}, "IHCP" : {"fullname" : "Immunohistochemistry (Formalin/PFA-fixed paraffin-embedded sections)", "shortname":"IHC-P"}, "IP" : {"fullname" : "Immunoprecipitation", "shortname":"IP"}, "FlowCyt" : {"fullname" : "Flow Cytometry", "shortname":"Flow Cyt"}, "WB" : {"fullname" : "Western blot", "shortname":"WB"}, "ICCIF" : {"fullname" : "Immunocytochemistry/ Immunofluorescence", "shortname":"ICC/IF"} }, "product-promise": { "all": "all", "testedAndGuaranteed": "tested", "guaranteed": "expected", "predicted": "predicted", "notRecommended": "not-recommended" } }, "values": { "Human": { "IHCP-species-checked": "testedAndGuaranteed", "IHCP-species-dilution-info": "", "IHCP-species-notes": "<p></p>", "IP-species-checked": "notRecommended", "IP-species-dilution-info": "", "IP-species-notes": "<p></p>", "FlowCyt-species-checked": "notRecommended", "FlowCyt-species-dilution-info": "", "FlowCyt-species-notes": "<p></p>", "WB-species-checked": "testedAndGuaranteed", "WB-species-dilution-info": "", "WB-species-notes": "<p>Observed molecular weight may vary depending on the glycosylation level of the target.</p>", "ICCIF-species-checked": "testedAndGuaranteed", "ICCIF-species-dilution-info": "", "ICCIF-species-notes": "<p></p>" } } }

Product details

ab216449 is the carrier-free version of ab133350.

Species reactivity
Mouse, Rat: We have preliminary internal testing data to indicate this antibody may not react with these species.
Please contact us for more information.

Patented technology
Our RabMAb® technology is a patented hybridoma-based technology for making rabbit monoclonal antibodies. For details on our patents, please refer to RabMAb® patents.

What are the advantages of a recombinant monoclonal antibody?
This product is a recombinant monoclonal antibody, which offers several advantages including:

  • - High batch-to-batch consistency and reproducibility
  • - Improved sensitivity and specificity
  • - Long-term security of supply
  • - Animal-free batch production

For more information, read more on recombinant antibodies.

Conjugation ready
Our carrier-free antibodies are typically supplied in a PBS-only formulation, purified and free of BSA, sodium azide and glycerol. This conjugation-ready format is designed for use with fluorochromes, metal isotopes, oligonucleotides, and enzymes, which makes them ideal for antibody labelling, functional and cell-based assays, flow-based assays (e.g. mass cytometry) and Multiplex Imaging applications.

Use our conjugation kits for antibody conjugates that are ready-to-use in as little as 20 minutes with 1 minute hands-on-time and 100% antibody recovery: available for fluorescent dyes, HRP, biotin and gold.

What does low endotoxin mean?
Our low endotoxin, azide-free formats have low endotoxin level (1 EU/mg, determined by the TAL assay) and are free from azide, to achieve consistent experimental results in functional assays.

Properties and storage information

Form
Liquid
Purification technique
Affinity purification Protein A
Storage buffer
pH: 7.2 - 7.4 Constituents: PBS
Shipped at conditions
Blue Ice
Appropriate short-term storage conditions
+4°C
Appropriate long-term storage conditions
+4°C
Storage information
Do Not Freeze

Supplementary information

This supplementary information is collated from multiple sources and compiled automatically.

CD90 also known as Thy1 is a glycoprotein with a molecular mass of approximately 25-37 kDa. It is highly conserved across species and found on the surface of various cell types including fibroblasts neurons and endothelial cells. CD90 is expressed in these cells in tissues such as the brain thymus and lungs. Researchers use anti-CD90 antibodies for detection often in combination with CD90 FITC in immunofluorescence assays. CD90 serves as a useful cell marker particularly in identifying mesenchymal stem cells (MSCs).
Biological function summary

CD90 plays a role in cell-cell and cell-matrix interactions contributing to cellular adhesion migration and signal transduction. It functions as part of a complex involving integrins which mediate its interaction with the extracellular matrix. This protein also influences T-cell activation reflecting its importance in immune response regulation. Its presence aids in modulating response to injury and promoting tissue repair due to its association with stem and progenitor cells.

Pathways

CD90 engagement affects focal adhesion and MAPK signaling pathways. It interacts with integrins like αvβ3 and α5β1 influencing cell movement and proliferation processes. CD90 involvement in these pathways allows it to regulate responses important for cell survival and communication within various tissues. These interactions highlight the protein's role in maintaining cellular homeostasis and regulating physiological processes.

CD90 has associations with fibrosis and cancer. In fibrotic conditions CD90 expression affects fibroblast activity influencing tissue scarring in organs such as the liver and lungs. In cancer CD90 modifies tumor progression and metastasis by impacting cell adhesion and migration with connections to proteins like TGF-beta which further drive these processes. Understanding CD90 in disease contexts facilitates the development of therapeutic strategies aimed at modulating its activity.

Product protocols

For this product, it's our understanding that no specific protocols are required. You can visit:

Target data

May play a role in cell-cell or cell-ligand interactions during synaptogenesis and other events in the brain.
See full target information THY1

Publications (5)

Recent publications for all applications. Explore the full list and refine your search

iScience 27:110668 PubMed39246442

2024

Multiplex imaging of localized prostate tumors reveals altered spatial organization of AR-positive cells in the microenvironment.

Applications

Unspecified application

Species

Unspecified reactive species

Çiğdem Ak,Zeynep Sayar,Guillaume Thibault,Erik A Burlingame,M J Kuykendall,Jennifer Eng,Alex Chitsazan,Koei Chin,Andrew C Adey,Christopher Boniface,Paul T Spellman,George V Thomas,Ryan P Kopp,Emek Demir,Young Hwan Chang,Vasilis Stavrinides,Sebnem Ece Eksi

Bioscience trends 12:275-281 PubMed29794404

2018

Mongolian Medicine echinops prevented postmenopausal osteoporosis and induced ER/AKT/ERK pathway in BMSCs.

Applications

Unspecified application

Species

Unspecified reactive species

Yan Liu,Xiongyao Wang,Hong Chang,Xiaoming Gao,Chongyang Dong,Zimu Li,Jingtao Hao,Jiuhe Wang,Qiaoling Fan

Development, growth & differentiation 58:530-45 PubMed27241908

2016

Six1 is required for mouse dental follicle cell and human periodontal ligament-derived cell proliferation.

Applications

IF

Species

Unspecified reactive species

Tatsuki Kawasaki,Masanori Takahashi,Hiroshi Yajima,Yoshiyuki Mori,Kiyoshi Kawakami

Journal of experimental & clinical cancer research 34:144 PubMed26606927

2015

Phenotype plasticity rather than repopulation from CD90/CK14+ cancer stem cells leads to cisplatin resistance of urothelial carcinoma cell lines.

Applications

ICC/IF

Species

Human

Margaretha A Skowron,Günter Niegisch,Gerhard Fritz,Tanja Arent,Joep G H van Roermund,Andrea Romano,Peter Albers,Wolfgang A Schulz,Michèle J Hoffmann

Laboratory investigation; a journal of technical m 91:1206-18 PubMed21577212

2011

Absence of Thy-1 results in TGF-β induced MMP-9 expression and confers a profibrotic phenotype to human lung fibroblasts.

Applications

IHC-P, WB

Species

Human, Human

Gustavo Ramírez,James S Hagood,Yan Sanders,Remedios Ramírez,Carina Becerril,Lourdes Segura,Lourdes Barrera,Moisés Selman,Annie Pardo
View all publications

Product promise

We are committed to supporting your work with high-quality reagents, and we're here for you every step of the way. In the unlikely event that one of our products does not perform as expected, you're protected by our Product Promise.
For full details, please see our Terms & Conditions

Please note: All products are 'FOR RESEARCH USE ONLY. NOT FOR USE IN DIAGNOSTIC OR THERAPEUTIC PROCEDURES'.

For licensing inquiries, please contact partnerships@abcam.com