JavaScript is disabled in your browser. Please enable JavaScript to view this website.
AB248674

Anti-CD93 antibody [EPR5386] - BSA and Azide free

3

(1 Review)

|

(0 Publication)

Rabbit Recombinant Monoclonal CD93 antibody. Carrier free. Suitable for WB, Flow Cyt (Intra) and reacts with Human, Rat samples.

View Alternative Names

CD93, C1QR1, MXRA4, Complement component C1q receptor, C1q/MBL/SPA receptor, CDw93, Complement component 1 q subcomponent receptor 1, Matrix-remodeling-associated protein 4, C1qR, C1qR(p), C1qRp

5 Images
Western blot - Anti-CD93 antibody [EPR5386] - BSA and Azide free (AB248674)
  • WB

Unknown

Western blot - Anti-CD93 antibody [EPR5386] - BSA and Azide free (AB248674)

This data was developed using ab134079, the same antibody clone in a different buffer formulation.

All lanes:

Western blot - Anti-CD93 antibody [EPR5386] (<a href='/en-us/products/primary-antibodies/cd93-antibody-epr5386-ab134079'>ab134079</a>) at 1/1000 dilution

Lane 1:

THP-1 lysate at 10 µg

Lane 2:

Rat kidney lysate at 10 µg

Lane 3:

Human platelet lysate at 10 µg

Secondary

All lanes:

HRP labelled Goat anti-rabbit at 1/2000 dilution

Predicted band size: 69 kDa

Observed band size: 120 kDa

false

Western blot - Anti-CD93 antibody [EPR5386] - BSA and Azide free (AB248674)
  • WB

Lab

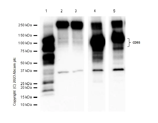
Western blot - Anti-CD93 antibody [EPR5386] - BSA and Azide free (AB248674)

The expression profile observed in Raji and 293T is consistent with the literatures (PMID : 31182688, PMID : 15459234).

Negative control : Raji and 293T (PMID : 31182688, PMID : 15459234).

Blocking and dilution buffer : 5% NFDM/TBST.

This data was developed using the same antibody clone in a different buffer formulation containing PBS, BSA, glycerol, and sodium azide (ab134079).

All lanes:

Western blot - Anti-CD93 antibody [EPR5386] (<a href='/en-us/products/primary-antibodies/cd93-antibody-epr5386-ab134079'>ab134079</a>) at 1/1000 dilution

Lane 1:

U937 (human histiocytic lymphoma monocyte) whole cell lysate at 20 µg

Lane 2:

Raji (human Burkitt's lymphoma B lymphocyte) whole cell lysate at 20 µg

Lane 3:

293T (human embryonic kidney epithelial cell) whole cell lysate at 20 µg

Lane 4:

Rat spleen tissue lysate at 20 µg

Lane 5:

Mouse spleen tissue lysate at 20 µg

Secondary

All lanes:

Western blot - Goat Anti-Rabbit IgG H&L (HRP) (<a href='/en-us/products/secondary-antibodies/goat-rabbit-igg-h-l-hrp-ab97051'>ab97051</a>) at 1/20000 dilution

Observed band size: 100 kDa,50-80 kDa

false

Exposure time: 180s

Western blot - Anti-CD93 antibody [EPR5386] - BSA and Azide free (AB248674)
  • WB

Supplier Data

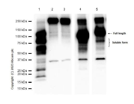
Western blot - Anti-CD93 antibody [EPR5386] - BSA and Azide free (AB248674)

This data was developed using the same antibody clone in a different buffer formulation containing PBS, BSA, glycerol, and sodium azide (ab134079).

Bands around 100kDa and 75kDa are full length CD93 with different level of glycosylation (PMID : 19603257). We are not sure the identity of bands below 70kDa.

The expression profile observed in Raji and 293T is consistent with the literatures (PMID : 31182688, PMID : 15459234).

Negative control : Raji and 293T (PMID : 31182688, PMID : 15459234).

Blocking and dilution buffer : 5% NFDM/TBST.

All lanes:

Western blot - Anti-CD93 antibody [EPR5386] (<a href='/en-us/products/primary-antibodies/cd93-antibody-epr5386-ab134079'>ab134079</a>) at 1/1000 dilution

Lane 1:

U937 (human histiocytic lymphoma monocyte) whole cell lysate at 20 µg

Lane 2:

Raji (human Burkitt's lymphoma B lymphocyte) whole cell lysate at 20 µg

Lane 3:

293T (human embryonic kidney epithelial cell) whole cell lysate at 20 µg

Lane 4:

Rat spleen tissue lysate at 20 µg

Lane 5:

Mouse spleen tissue lysate at 20 µg

Secondary

All lanes:

Western blot - Goat Anti-Rabbit IgG H&L (HRP) (<a href='/en-us/products/secondary-antibodies/goat-rabbit-igg-h-l-hrp-ab97051'>ab97051</a>) at 1/20000 dilution

Predicted band size: 69 kDa

Observed band size: 100 kDa,50-80 kDa

false

Exposure time: 180s

Flow Cytometry (Intracellular) - Anti-CD93 antibody [EPR5386] - BSA and Azide free (AB248674)
  • Flow Cyt (Intra)

Unknown

Flow Cytometry (Intracellular) - Anti-CD93 antibody [EPR5386] - BSA and Azide free (AB248674)

This data was developed using ab134079, the same antibody clone in a different buffer formulation.

Intracellular flow cytometric analysis of permeabilized THP-1 cells labelling CD93 red with ab134079 at 1/100 and a rabbit IgG negative (green).

OI-RD Scanning - Anti-CD93 antibody [EPR5386] - BSA and Azide free (AB248674)
  • OI-RD Scanning

Unknown

OI-RD Scanning - Anti-CD93 antibody [EPR5386] - BSA and Azide free (AB248674)

We have systematically measured KD (the equilibrium dissociation constant between the antibody and its antigen), of more than 840 recombinant antibodies to assess not only their individual KD values but also to see the average affinity of antibody. Based on the comparison with published literature values for mouse monoclonal antibodies, Recombinant antibodies appear to be on average 1-2 order of magnitude higher affinity.

Key facts

Host species

Rabbit

Clonality

Monoclonal

Clone number

EPR5386

Isotype

IgG

Carrier free

Yes

Reacts with

Mouse, Rat, Human

Applications

WB, Flow Cyt (Intra)

applications

Immunogen

The exact immunogen used to generate this antibody is proprietary information.

Reactivity data

{ "title": "Reactivity Data", "filters": { "stats": ["", "Species", "Dilution Info", "Notes"], "tabs": { "all-applications": {"fullname" : "All Applications", "shortname": "All Applications"}, "IP" : {"fullname" : "Immunoprecipitation", "shortname":"IP"}, "WB" : {"fullname" : "Western blot", "shortname":"WB"}, "IHCP" : {"fullname" : "Immunohistochemistry (Formalin/PFA-fixed paraffin-embedded sections)", "shortname":"IHC-P"}, "FlowCytIntra" : {"fullname" : "Flow Cytometry (Intracellular)", "shortname":"Flow Cyt (Intra)"} }, "product-promise": { "all": "all", "testedAndGuaranteed": "tested", "guaranteed": "expected", "predicted": "predicted", "notRecommended": "not-recommended" } }, "values": { "Human": { "IP-species-checked": "notRecommended", "IP-species-dilution-info": "", "IP-species-notes": "<p></p>", "WB-species-checked": "testedAndGuaranteed", "WB-species-dilution-info": "", "WB-species-notes": "<p></p>", "IHCP-species-checked": "notRecommended", "IHCP-species-dilution-info": "", "IHCP-species-notes": "<p></p>", "FlowCytIntra-species-checked": "testedAndGuaranteed", "FlowCytIntra-species-dilution-info": "", "FlowCytIntra-species-notes": "<p></p>" }, "Mouse": { "IP-species-checked": "notRecommended", "IP-species-dilution-info": "", "IP-species-notes": "", "WB-species-checked": "predicted", "WB-species-dilution-info": "", "WB-species-notes": "", "IHCP-species-checked": "notRecommended", "IHCP-species-dilution-info": "", "IHCP-species-notes": "", "FlowCytIntra-species-checked": "predicted", "FlowCytIntra-species-dilution-info": "", "FlowCytIntra-species-notes": "" }, "Rat": { "IP-species-checked": "notRecommended", "IP-species-dilution-info": "", "IP-species-notes": "<p></p>", "WB-species-checked": "testedAndGuaranteed", "WB-species-dilution-info": "", "WB-species-notes": "<p></p>", "IHCP-species-checked": "notRecommended", "IHCP-species-dilution-info": "", "IHCP-species-notes": "<p></p>", "FlowCytIntra-species-checked": "guaranteed", "FlowCytIntra-species-dilution-info": "", "FlowCytIntra-species-notes": "" } } }

You may be interested in:

AB235636

Human CD93 ELISA Kit

0

0 Reviews

View product

We recommend this product because it’s often used in the same experiment or related research.

We advise that you always check the datasheet to ensure it fits your experiments, or contact ourtechnical teamfor help.

Product details

ab248674 is the carrier-free version of ab134079.

Patented technology
Our RabMAb® technology is a patented hybridoma-based technology for making rabbit monoclonal antibodies. For details on our patents, please refer to RabMAb® patents.

What are the advantages of a recombinant monoclonal antibody?
This product is a recombinant monoclonal antibody, which offers several advantages including:

  • - High batch-to-batch consistency and reproducibility
  • - Improved sensitivity and specificity
  • - Long-term security of supply
  • - Animal-free batch production

For more information, read more on recombinant antibodies.

Conjugation ready
Our carrier-free antibodies are typically supplied in a PBS-only formulation, purified and free of BSA, sodium azide and glycerol. This conjugation-ready format is designed for use with fluorochromes, metal isotopes, oligonucleotides, and enzymes, which makes them ideal for antibody labelling, functional and cell-based assays, flow-based assays (e.g. mass cytometry) and Multiplex Imaging applications.

Use our conjugation kits for antibody conjugates that are ready-to-use in as little as 20 minutes with 1 minute hands-on-time and 100% antibody recovery: available for fluorescent dyes, HRP, biotin and gold.

Compatibility
This product is compatible with the Maxpar® Antibody Labeling Kit from Fluidigm, without the need for antibody preparation. Maxpar® is a trademark of Fluidigm Canada Inc.

Properties and storage information

Form
Liquid
Purification technique
Affinity purification Protein A
Storage buffer
pH: 7.2 - 7.4 Constituents: PBS
Shipped at conditions
Blue Ice
Appropriate short-term storage conditions
+4°C
Appropriate long-term storage conditions
+4°C
Storage information
Do Not Freeze

Supplementary information

This supplementary information is collated from multiple sources and compiled automatically.

CD93 also known as C1q receptor and a type I transmembrane glycoprotein weighs approximately 68 kDa. This protein is mainly expressed on platelets monocytes endothelial cells and some cell lines within the immune system. CD93 is known for engaging in cell adhesion and phagocytosis processes. It has a notable presence on the surface of circulating cells indicating its involvement in physiological interactions essential for cellular communication.
Biological function summary

CD93 contributes to cellular processes through its role in the clearance of apoptotic cells and immune surveillance. It also partakes in angiogenesis facilitating the growth of new blood vessels. CD93 often functions as part of a larger complex in binding with other molecules to support cellular communication. By modulating the immune response CD93 ensures efficient removal of cellular debris maintaining homeostasis and preventing autoimmune reactions.

Pathways

CD93 operates within the innate immune response and complement system pathways. It closely interacts with other proteins such as C1q which is part of the complement activation pathway. This interaction supports the clearance of immune complexes and cellular debris. By facilitating these processes CD93 aids in maintaining the balance between immune activation and tolerance.

CD93 has associations with inflammatory diseases and cancer progression. In inflammatory diseases its role in the immune system implicates it in conditions characterized by excessive inflammation often relating to the misregulation of immune functions. As for cancer CD93's involvement in angiogenesis links it to tumor growth with connections seen alongside vascular endothelial growth factor (VEGF) pathways. These insights into CD93's role suggest its potential as a therapeutic target in treating related pathological states.

Product protocols

For this product, it's our understanding that no specific protocols are required. You can visit:

Target data

Cell surface receptor that plays a role in various physiological processes including inflammation, phagocytosis, and cell adhesion. Plays a role in phagocytosis and enhances the uptake of apoptotic cells and immune complexes by acting as a receptor for defense collagens including surfactant protein A/SFTPA1, C1q, and mannose-binding lectin (MBL2) (PubMed : 7977768). Plays a role in the regulation of endothelial cell function and adhesion by activating angiogenesis (PubMed : 24809468). Mechanistically, exerts its angiogenic function by associating with beta-dystroglycan, leading to SRC-dependent phosphorylation and subsequent recruitment of CBL. In turn, CBL provides a docking site for downstream signaling components, such as CRKL to enhance cell migration (PubMed : 26848865). Participates in angiogenesis also by acting as a receptor for the ECM pan-endothelial glycoprotein multimerin-2/MMRN2 and IGFBP7 ligands (PubMed : 28671670, PubMed : 36265539, PubMed : 38218180). Both ligands play a non-redundant role in CD93-mediated endothelial cell function (PubMed : 38218180). Acts as a key regulator of endothelial barrier function through modulating VEGFR2 function (By similarity).
See full target information CD93

Product promise

We are committed to supporting your work with high-quality reagents, and we're here for you every step of the way. In the unlikely event that one of our products does not perform as expected, you're protected by our Product Promise.
For full details, please see our Terms & Conditions

Associated Products

Select an associated product type
Alternative Version
Primary Antibodies

AB306465

PE Anti-CD93 antibody [EPR5386]

primary-antibodies

pe-cd93-antibody-epr5386-ab306465

0

(0 reviews)

Alternative Version
Primary Antibodies

AB306466

APC Anti-CD93 antibody [EPR5386]

primary-antibodies

apc-cd93-antibody-epr5386-ab306466

0

(0 reviews)

Alternative Version
Primary Antibodies

AB310276

Alexa Fluor® 647 Anti-CD93 antibody [EPR5386]

primary-antibodies

alexa-fluor-647-cd93-antibody-epr5386-ab310276

0

(0 reviews)

Alternative Version
Primary Antibodies

AB309909

Alexa Fluor® 488 Anti-CD93 antibody [EPR5386]

primary-antibodies

alexa-fluor-488-cd93-antibody-epr5386-ab309909

0

(0 reviews)

Alternative Version
Primary Antibodies

AB310730

Alexa Fluor® 594 Anti-CD93 antibody [EPR5386]

primary-antibodies

alexa-fluor-594-cd93-antibody-epr5386-ab310730

0

(0 reviews)

Alternative Version
Primary Antibodies

AB312749

Alexa Fluor® 568 Anti-CD93 antibody [EPR5386]

primary-antibodies

alexa-fluor-568-cd93-antibody-epr5386-ab312749

0

(0 reviews)

Alternative Version
Primary Antibodies

AB312260

Alexa Fluor® 555 Anti-CD93 antibody [EPR5386]

primary-antibodies

alexa-fluor-555-cd93-antibody-epr5386-ab312260

0

(0 reviews)

Please note: All products are 'FOR RESEARCH USE ONLY. NOT FOR USE IN DIAGNOSTIC OR THERAPEUTIC PROCEDURES'.

For licensing inquiries, please contact partnerships@abcam.com