JavaScript is disabled in your browser. Please enable JavaScript to view this website.
AB217362

Anti-CD94 antibody

1

(1 Review)

|

(1 Publication)

Rabbit Polyclonal CD94 antibody. Suitable for IHC-P and reacts with Human samples. Cited in 1 publication. Immunogen corresponding to Synthetic Peptide within Mouse Klrd1 aa 1-100 conjugated to Keyhole Limpet Haemocyanin.

View Alternative Names

CD94, KLRD1, Natural killer cells antigen CD94, KP43, Killer cell lectin-like receptor subfamily D member 1, NK cell receptor

1 Images
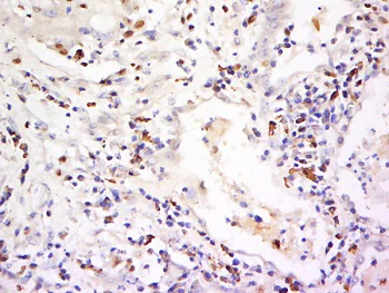
Immunohistochemistry (Formalin/PFA-fixed paraffin-embedded sections) - Anti-CD94 antibody (AB217362)
  • IHC-P

Supplier Data

Immunohistochemistry (Formalin/PFA-fixed paraffin-embedded sections) - Anti-CD94 antibody (AB217362)

Immunohistochemical analysis of paraformaldehyde-fixed and paraffin-embedded Human lung cancer tissue labeling CD94 with ab217362 at 1/500 dilution, followed by conjugation to the secondary antibody and DAB staining.

Key facts

Host species

Rabbit

Clonality

Polyclonal

Isotype

IgG

Carrier free

No

Reacts with

Human

Applications

IHC-P

applications

Immunogen

Synthetic Peptide within Mouse Klrd1 aa 1-100 conjugated to Keyhole Limpet Haemocyanin. The exact immunogen used to generate this antibody is proprietary information.

O54707

Reactivity data

{ "title": "Reactivity Data", "filters": { "stats": ["", "Species", "Dilution Info", "Notes"], "tabs": { "all-applications": {"fullname" : "All Applications", "shortname": "All Applications"}, "IHCP" : {"fullname" : "Immunohistochemistry (Formalin/PFA-fixed paraffin-embedded sections)", "shortname":"IHC-P"} }, "product-promise": { "all": "all", "testedAndGuaranteed": "tested", "guaranteed": "expected", "predicted": "predicted", "notRecommended": "not-recommended" } }, "values": { "Human": { "IHCP-species-checked": "testedAndGuaranteed", "IHCP-species-dilution-info": "1/100 - 1/500", "IHCP-species-notes": "<p></p> Perform heat-mediated antigen retrieval with citrate buffer pH 6 before commencing with IHC staining protocol." }, "Mouse": { "IHCP-species-checked": "predicted", "IHCP-species-dilution-info": "", "IHCP-species-notes": "" }, "Rat": { "IHCP-species-checked": "predicted", "IHCP-species-dilution-info": "", "IHCP-species-notes": "" } } }

Properties and storage information

Form
Liquid
Purification technique
Affinity purification Protein A
Storage buffer
pH: 7.4 Preservative: 0.02% Proclin 300 Constituents: 50% Glycerol (glycerin, glycerine), 48.98% TBS, 1X, 1% BSA
Shipped at conditions
Blue Ice
Appropriate short-term storage duration
1-2 weeks
Appropriate short-term storage conditions
+4°C
Appropriate long-term storage conditions
-20°C
Aliquoting information
Upon delivery aliquot
Storage information
Avoid freeze / thaw cycle

Supplementary information

This supplementary information is collated from multiple sources and compiled automatically.

CD94 also known as killer cell lectin-like receptor subfamily D member 1 (KLRD1) plays a significant mechanical role in the immune system. This protein forms part of a receptor family involved in natural killer (NK) cell function. CD94 typically assembles on the cell surface as a heterodimer often pairing with NKG2 proteins. Weighing approximately 30 kDa CD94 mainly exhibits expression on NK cells and a subset of T cells where it contributes to immune regulation.
Biological function summary

CD94 is essential in recognizing and binding to non-classical MHC class I molecules when it pairs with NKG2 molecules such as NKG2A or NKG2C. This dimer forms a complex receptor which plays an important role in modulating NK cell activity. Through this receptor complex CD94 influences the immune response by either inhibiting or activating NK cells depending on its NKG2 partner. This regulation helps maintain a balanced immune response preventing excessive activation and autoimmunity.

Pathways

CD94 interacts with the signaling pathways related to the immune response. In particular it is involved in the natural killer cell lectin-like receptor signaling pathway. This pathway manages the activation and inhibition of NK cells integrating signals received through various receptors including CD94/NKG2 dimers. Associated proteins like DAP12 may amplify these signals which ultimately influence cytotoxic activities and cytokine production.

CD94 has notable connections with conditions such as cancer and viral infections. For example certain tumors manipulate CD94 expression on NK cells to evade immune surveillance. Additionally alterations in CD94 and its partner molecules like NKG2A have been observed in viral infections possibly affecting how the immune system responds. Understanding CD94's relationship with these diseases can offer insights into potential therapeutic strategies targeting immune regulation.

Product protocols

For this product, it's our understanding that no specific protocols are required. You can visit:

Target data

Immune receptor involved in self-nonself discrimination. In complex with KLRC1 or KLRC2 on cytotoxic and regulatory lymphocyte subsets, recognizes non-classical major histocompatibility (MHC) class Ib molecule HLA-E loaded with self-peptides derived from the signal sequence of classical MHC class Ia and non-classical MHC class Ib molecules (PubMed : 10023772, PubMed : 18064301, PubMed : 18083576, PubMed : 37264229, PubMed : 9486650, PubMed : 9754572). Enables cytotoxic cells to monitor the expression of MHC class I molecules in healthy cells and to tolerate self (PubMed : 12387742, PubMed : 18064301, PubMed : 9430220). Primarily functions as a ligand binding subunit as it lacks the capacity to signal.. KLRD1-KLRC1 acts as an immune inhibitory receptor. Key inhibitory receptor on natural killer (NK) cells that regulates their activation and effector functions (PubMed : 30860984, PubMed : 9430220, PubMed : 9485206, PubMed : 9486650). Dominantly counteracts T cell receptor signaling on a subset of memory/effector CD8-positive T cells as part of an antigen-driven response to avoid autoimmunity (PubMed : 12387742). On intraepithelial CD8-positive gamma-delta regulatory T cells triggers TGFB1 secretion, which in turn limits the cytotoxic programming of intraepithelial CD8-positive alpha-beta T cells, distinguishing harmless from pathogenic antigens (PubMed : 18064301). In HLA-E-rich tumor microenvironment, acts as an immune inhibitory checkpoint and may contribute to progressive loss of effector functions of NK cells and tumor-specific T cells, a state known as cell exhaustion (PubMed : 30503213, PubMed : 30860984). Upon HLA-E-peptide binding, transmits intracellular signals through KLRC1 immunoreceptor tyrosine-based inhibition motifs (ITIMs) by recruiting INPP5D/SHIP-1 and INPPL1/SHIP-2 tyrosine phosphatases to ITIMs, and ultimately opposing signals transmitted by activating receptors through dephosphorylation of proximal signaling molecules (PubMed : 12165520, PubMed : 9485206).. KLRD1-KLRC2 acts as an immune activating receptor (PubMed : 15940674, PubMed : 9655483). On cytotoxic lymphocyte subsets recognizes HLA-E loaded with signal sequence-derived peptides from non-classical MHC class Ib HLA-G molecules, likely playing a role in the generation and effector functions of adaptive NK cells and in maternal-fetal tolerance during pregnancy (PubMed : 30134159, PubMed : 9754572). Regulates the effector functions of terminally differentiated cytotoxic lymphocyte subsets, and in particular may play a role in adaptive NK cell response to viral infection (PubMed : 20952657, PubMed : 21825173). Upon HLA-E-peptide binding, transmits intracellular signals via the adapter protein TYROBP/DAP12, triggering the phosphorylation of proximal signaling molecules and cell activation (PubMed : 15940674, PubMed : 9655483).. (Microbial infection) Viruses like human cytomegalovirus have evolved an escape mechanism whereby virus-induced down-regulation of host MHC class I molecules is coupled to the binding of viral peptides to HLA-E, restoring HLA-E expression and inducing HLA-E-dependent NK cell immune tolerance to infected cells. Recognizes HLA-E in complex with human cytomegalovirus UL40-derived peptide (VMAPRTLIL) and inhibits NK cell cytotoxicity.. (Microbial infection) May recognize HLA-E in complex with HIV-1 gag/Capsid protein p24-derived peptide (AISPRTLNA) on infected cells and may inhibit NK cell cytotoxicity, a mechanism that allows HIV-1 to escape immune recognition.. (Microbial infection) Upon SARS-CoV-2 infection, may contribute to functional exhaustion of cytotoxic NK cells and CD8-positive T cells (PubMed : 32859121). On NK cells, may recognize HLA-E in complex with SARS-CoV-2 S/Spike protein S1-derived peptide (LQPRTFLL) expressed on the surface of lung epithelial cells, inducing NK cell exhaustion and dampening antiviral immune surveillance (PubMed : 32859121).
See full target information KLRD1

Publications (1)

Recent publications for all applications. Explore the full list and refine your search

Oncology letters 19:442-448 PubMed31897157

2020

Influence of demethylation on regulatory T and Th17 cells in myelodysplastic syndrome.

Applications

Unspecified application

Species

Unspecified reactive species

Xinyan Jia,Wenzhong Yang,Xiaohui Zhou,Lu Han,Jumei Shi
View all publications

Product promise

We are committed to supporting your work with high-quality reagents, and we're here for you every step of the way. In the unlikely event that one of our products does not perform as expected, you're protected by our Product Promise.
For full details, please see our Terms & Conditions

Please note: All products are 'FOR RESEARCH USE ONLY. NOT FOR USE IN DIAGNOSTIC OR THERAPEUTIC PROCEDURES'.

For licensing inquiries, please contact partnerships@abcam.com