JavaScript is disabled in your browser. Please enable JavaScript to view this website.
AB315219

Anti-CD96 antibody [EPR26489-23] - BSA and Azide free

Be the first to review this product! Submit a review

|

(0 Publication)

Rabbit Recombinant Monoclonal CD96 antibody. Carrier free. Suitable for IHC-P, WB, IP and reacts with Human, Transfected cell line - Human samples.

View Alternative Names

CD96, T-cell surface protein tactile, Cell surface antigen CD96, T cell-activated increased late expression protein

7 Images
Immunohistochemistry (Formalin/PFA-fixed paraffin-embedded sections) - Anti-CD96 antibody [EPR26489-23] - BSA and Azide free (AB315219)
  • IHC-P

Supplier Data

Immunohistochemistry (Formalin/PFA-fixed paraffin-embedded sections) - Anti-CD96 antibody [EPR26489-23] - BSA and Azide free (AB315219)

This data was developed using ab315218, the same antibody clone in a different buffer formulation.

Immunohistochemical analysis of paraffin-embedded Panel A : HEK-293T cells transfected with a human CD96 expression vector containing a his tag. Panel B : HEK-293T cells transfected with empty vector containing a his tag. tissue labeling CD96 with ab315218 at 1/100 (4.96 ug/ml) dilution, followed by a ready to use LeicaDS9800 (Bond™ Polymer Refine Detection).

Positive staining on (A) HEK-293T transfected with a human CD96 expression vector, no staining on (B) HEK-293T transfected with empty vector. The section was incubated with ab315218 for 30 mins at room temperature. The immunostaining was performed on a Leica Biosystems BOND® RX instrument Counterstained with Hematoxylin.

Secondary antibody only control : Secondary antibody is a ready to use LeicaDS9800 (Bond™ Polymer Refine Detection).

Heat mediated antigen retrieval was performed with Tris-EDTA buffer (pH 9.0, Epitope Retrieval Solution2) for 20 mins

Immunohistochemistry (Formalin/PFA-fixed paraffin-embedded sections) - Anti-CD96 antibody [EPR26489-23] - BSA and Azide free (AB315219)
  • IHC-P

Supplier Data

Immunohistochemistry (Formalin/PFA-fixed paraffin-embedded sections) - Anti-CD96 antibody [EPR26489-23] - BSA and Azide free (AB315219)

This data was developed using ab315218, the same antibody clone in a different buffer formulation.

Immunohistochemical analysis of paraffin-embedded Human cerebrum tissue labeling CD96 with ab315218 at 1/100 (4.96 ug/ml) dilution, followed by a ready to use LeicaDS9800 (Bond™ Polymer Refine Detection).

Negative control : no staining on human cerebrum. The section was incubated with ab315218 for 30 mins at room temperature. The immunostaining was performed on a Leica Biosystems BOND® RX instrument Counterstained with Hematoxylin.

Secondary antibody only control : Secondary antibody is a ready to use LeicaDS9800 (Bond™ Polymer Refine Detection).

Heat mediated antigen retrieval was performed with Tris-EDTA buffer (pH 9.0, Epitope Retrieval Solution2) for 20 mins

Immunohistochemistry (Formalin/PFA-fixed paraffin-embedded sections) - Anti-CD96 antibody [EPR26489-23] - BSA and Azide free (AB315219)
  • IHC-P

Supplier Data

Immunohistochemistry (Formalin/PFA-fixed paraffin-embedded sections) - Anti-CD96 antibody [EPR26489-23] - BSA and Azide free (AB315219)

This data was developed using ab315218, the same antibody clone in a different buffer formulation.

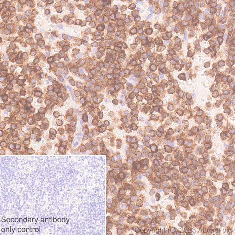
Immunohistochemical analysis of paraffin-embedded Human NK/T lymphoma tissue labeling CD96 with ab315218 at 1/100 (4.96 ug/ml) dilution, followed by a ready to use LeicaDS9800 (Bond™ Polymer Refine Detection).

Positive staining on human NK/T lymphoma. The section was incubated with ab315218 for 30 mins at room temperature. The immunostaining was performed on a Leica Biosystems BOND® RX instrument Counterstained with Hematoxylin.

Secondary antibody only control : Secondary antibody is a ready to use LeicaDS9800 (Bond™ Polymer Refine Detection).

Heat mediated antigen retrieval was performed with Tris-EDTA buffer (pH 9.0, Epitope Retrieval Solution2) for 20 mins

Immunohistochemistry (Formalin/PFA-fixed paraffin-embedded sections) - Anti-CD96 antibody [EPR26489-23] - BSA and Azide free (AB315219)
  • IHC-P

Supplier Data

Immunohistochemistry (Formalin/PFA-fixed paraffin-embedded sections) - Anti-CD96 antibody [EPR26489-23] - BSA and Azide free (AB315219)

This data was developed using ab315218, the same antibody clone in a different buffer formulation.

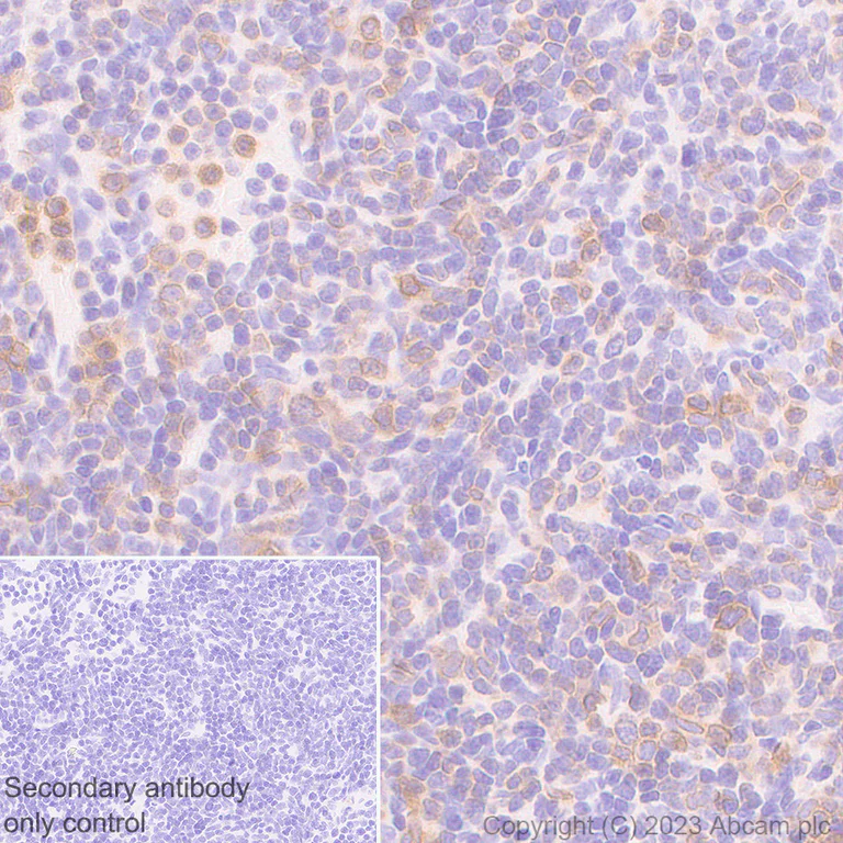
Immunohistochemical analysis of paraffin-embedded Human thymoma tissue labeling CD96 with ab315218 at 1/100 (4.96 ug/ml) dilution, followed by a ready to use LeicaDS9800 (Bond™ Polymer Refine Detection).

Positive staining on human thymoma. The section was incubated with ab315218 for 30 mins at room temperature. The immunostaining was performed on a Leica Biosystems BOND® RX instrument Counterstained with Hematoxylin.

Secondary antibody only control : Secondary antibody is a ready to use LeicaDS9800 (Bond™ Polymer Refine Detection).

Heat mediated antigen retrieval was performed with Tris-EDTA buffer (pH 9.0, Epitope Retrieval Solution2) for 20 mins

Immunohistochemistry (Formalin/PFA-fixed paraffin-embedded sections) - Anti-CD96 antibody [EPR26489-23] - BSA and Azide free (AB315219)
  • IHC-P

Supplier Data

Immunohistochemistry (Formalin/PFA-fixed paraffin-embedded sections) - Anti-CD96 antibody [EPR26489-23] - BSA and Azide free (AB315219)

This data was developed using ab315218, the same antibody clone in a different buffer formulation.

Immunohistochemical analysis of paraffin-embedded Human endometrium tissue labeling CD96 with ab315218 at 1/100 (4.96 ug/ml) dilution, followed by a ready to use LeicaDS9800 (Bond™ Polymer Refine Detection).

Positive staining on immune cells of human endometrium. The section was incubated with ab315218 for 30 mins at room temperature. The immunostaining was performed on a Leica Biosystems BOND® RX instrument Counterstained with Hematoxylin.

Secondary antibody only control : Secondary antibody is a ready to use LeicaDS9800 (Bond™ Polymer Refine Detection).

Heat mediated antigen retrieval was performed with Tris-EDTA buffer (pH 9.0, Epitope Retrieval Solution2) for 20 mins

Immunoprecipitation - Anti-CD96 antibody [EPR26489-23] - BSA and Azide free (AB315219)
  • IP

Supplier Data

Immunoprecipitation - Anti-CD96 antibody [EPR26489-23] - BSA and Azide free (AB315219)

This data was developed using ab315218, the same antibody clone in a different buffer formulation.

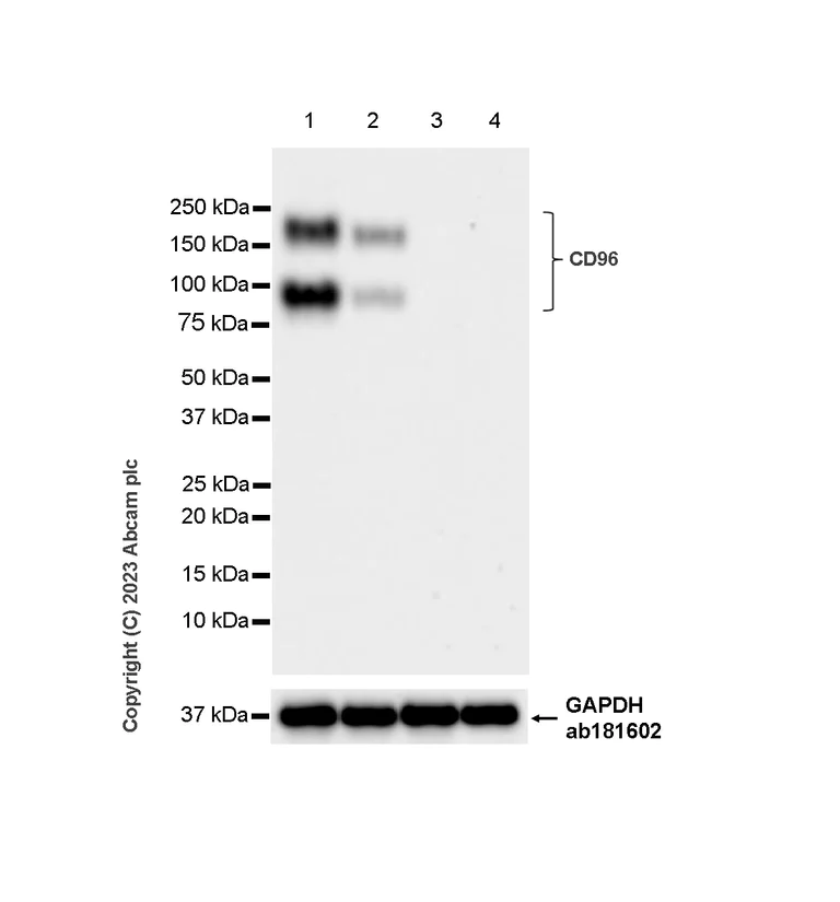
CD96 was immunoprecipitated from 0.35 mg A375 (human malignant melanoma epithelial cell) whole cell lysate with ab315218 at 1/30 dilution (2ug in 0.35mg lysates). Western blot was performed on the immunoprecipitate using ab315218 at 1/1000 dilution. VeriBlot for IP secondary antibody(HRP)(ab131366) was used at 1/5000 dilution.

Lane 1 : A375 (human malignant melanoma epithelial cell) whole cell lysate

Lane 2 : ab315218 IP in A375 (human malignant melanoma epithelial cell) whole cell lysate

Lane 3 : Rabbit monoclonal IgG (ab172730) instead of ab315218 in A375 whole cell lysate

Blocking and dilution buffer and concentration : 5% NFDM/TBST.

All lanes:

Immunoprecipitation - Anti-CD96 antibody [EPR26489-23] (<a href='/en-us/products/primary-antibodies/cd96-antibody-epr26489-23-ab315218'>ab315218</a>) at 1/30 dilution

All lanes:

A375 (human malignant melanoma epithelial cell) whole cell lysate

Secondary

All lanes:

Immunoprecipitation - VeriBlot for IP Detection Reagent (HRP) (<a href='/en-us/products/reagents/veriblot-for-ip-detection-reagent-hrp-ab131366'>ab131366</a>) at 1/5000 dilution

false

Exposure time: 24s

Western blot - Anti-CD96 antibody [EPR26489-23] - BSA and Azide free (AB315219)
  • WB

Supplier Data

Western blot - Anti-CD96 antibody [EPR26489-23] - BSA and Azide free (AB315219)

This data was developed using ab315218, the same antibody clone in a different buffer formulation.

Blocking and diluting buffer and concentration : 5% NFDM/TBST.

The expression profile/ molecular weight observed is consistent with what has been described in the literature (PMID : 1313846).

Negative control : Daudi (PMID : 1313846); MCF-7 (PMID : 1313846)

In Western blot, Anti-GAPDH antibody [EPR16891] - Loading Control (ab181602) staining at 1/200000 dilution.

All lanes:

Western blot - Anti-CD96 antibody [EPR26489-23] (<a href='/en-us/products/primary-antibodies/cd96-antibody-epr26489-23-ab315218'>ab315218</a>) at 1/1000 dilution

Lane 1:

A375 (human malignant melanoma epithelial cell) whole cell lysate at 20 µg

Lane 2:

HuT-78 (human Sezary syndrome cutaneous T lymphocyte) whole cell lysate at 20 µg

Lane 3:

Daudi (human Burkitt's lymphoma lymphoblast) whole cell lysate at 20 µg

Lane 4:

MCF7 (human breast adenocarcinoma epithelial cell) whole cell lysate at 20 µg

Secondary

All lanes:

Western blot - Goat Anti-Rabbit IgG H&L (HRP) (<a href='/en-us/products/secondary-antibodies/goat-rabbit-igg-h-l-hrp-ab97051'>ab97051</a>) at 1/100000 dilution

Observed band size: 100 kDa,160 kDa,36 kDa

false

Exposure time: 48s

Key facts

Host species

Rabbit

Clonality

Monoclonal

Clone number

EPR26489-23

Isotype

IgG

Carrier free

Yes

Reacts with

Human

Applications

IHC-P, IP, WB

applications

Immunogen

The exact immunogen used to generate this antibody is proprietary information.

Reactivity data

{ "title": "Reactivity Data", "filters": { "stats": ["", "Species", "Dilution Info", "Notes"], "tabs": { "all-applications": {"fullname" : "All Applications", "shortname": "All Applications"}, "IHCP" : {"fullname" : "Immunohistochemistry (Formalin/PFA-fixed paraffin-embedded sections)", "shortname":"IHC-P"}, "WB" : {"fullname" : "Western blot", "shortname":"WB"}, "IP" : {"fullname" : "Immunoprecipitation", "shortname":"IP"}, "FlowCyt" : {"fullname" : "Flow Cytometry", "shortname":"Flow Cyt"}, "ICCIF" : {"fullname" : "Immunocytochemistry/ Immunofluorescence", "shortname":"ICC/IF"} }, "product-promise": { "all": "all", "testedAndGuaranteed": "tested", "guaranteed": "expected", "predicted": "predicted", "notRecommended": "not-recommended" } }, "values": { "Human": { "IHCP-species-checked": "testedAndGuaranteed", "IHCP-species-dilution-info": "", "IHCP-species-notes": "<p></p>", "WB-species-checked": "testedAndGuaranteed", "WB-species-dilution-info": "", "WB-species-notes": "<p></p>", "IP-species-checked": "testedAndGuaranteed", "IP-species-dilution-info": "", "IP-species-notes": "<p></p>", "FlowCyt-species-checked": "notRecommended", "FlowCyt-species-dilution-info": "", "FlowCyt-species-notes": "<p></p>", "ICCIF-species-checked": "notRecommended", "ICCIF-species-dilution-info": "", "ICCIF-species-notes": "<p></p>" }, "Mouse": { "IHCP-species-checked": "notRecommended", "IHCP-species-dilution-info": "", "IHCP-species-notes": "<p></p>", "WB-species-checked": "notRecommended", "WB-species-dilution-info": "", "WB-species-notes": "<p></p>", "IP-species-checked": "notRecommended", "IP-species-dilution-info": "", "IP-species-notes": "", "FlowCyt-species-checked": "notRecommended", "FlowCyt-species-dilution-info": "", "FlowCyt-species-notes": "", "ICCIF-species-checked": "notRecommended", "ICCIF-species-dilution-info": "", "ICCIF-species-notes": "" }, "Rat": { "IHCP-species-checked": "notRecommended", "IHCP-species-dilution-info": "", "IHCP-species-notes": "<p></p>", "WB-species-checked": "notRecommended", "WB-species-dilution-info": "", "WB-species-notes": "<p></p>", "IP-species-checked": "notRecommended", "IP-species-dilution-info": "", "IP-species-notes": "", "FlowCyt-species-checked": "notRecommended", "FlowCyt-species-dilution-info": "", "FlowCyt-species-notes": "", "ICCIF-species-checked": "notRecommended", "ICCIF-species-dilution-info": "", "ICCIF-species-notes": "" }, "Transfected cell line - Human": { "IHCP-species-checked": "testedAndGuaranteed", "IHCP-species-dilution-info": "", "IHCP-species-notes": "<p></p>", "WB-species-checked": "notRecommended", "WB-species-dilution-info": "", "WB-species-notes": "", "IP-species-checked": "notRecommended", "IP-species-dilution-info": "", "IP-species-notes": "", "FlowCyt-species-checked": "notRecommended", "FlowCyt-species-dilution-info": "", "FlowCyt-species-notes": "", "ICCIF-species-checked": "notRecommended", "ICCIF-species-dilution-info": "", "ICCIF-species-notes": "" } } }

Product details

ab315219 is the carrier-free version of ab315218.

Patented technology
Our RabMAb® technology is a patented hybridoma-based technology for making rabbit monoclonal antibodies. For details on our patents, please refer to RabMAb® patents.

What are the advantages of a recombinant monoclonal antibody?
This product is a recombinant monoclonal antibody, which offers several advantages including:

  • - High batch-to-batch consistency and reproducibility
  • - Improved sensitivity and specificity
  • - Long-term security of supply
  • - Animal-free batch production

For more information, read more on recombinant antibodies.

Conjugation ready
Our carrier-free antibodies are typically supplied in a PBS-only formulation, purified and free of BSA, sodium azide and glycerol. This conjugation-ready format is designed for use with fluorochromes, metal isotopes, oligonucleotides, and enzymes, which makes them ideal for antibody labelling, functional and cell-based assays, flow-based assays (e.g. mass cytometry) and Multiplex Imaging applications.

Use our conjugation kits for antibody conjugates that are ready-to-use in as little as 20 minutes with 1 minute hands-on-time and 100% antibody recovery: available for fluorescent dyes, HRP, biotin and gold.

Compatibility
This product is compatible with the Maxpar® Antibody Labeling Kit from Fluidigm, without the need for antibody preparation. Maxpar® is a trademark of Fluidigm Canada Inc.

Properties and storage information

Form
Liquid
Purification technique
Affinity purification Protein A
Storage buffer
pH: 7.2 - 7.4 Constituents: PBS
Shipped at conditions
Blue Ice
Appropriate short-term storage conditions
+4°C
Appropriate long-term storage conditions
+4°C

Supplementary information

This supplementary information is collated from multiple sources and compiled automatically.

CD96 also known as TACTILE is an immunoglobulin-like protein weighing approximately 65 kDa. This protein is expressed mostly on T cells and natural killer (NK) cells with its presence also noted on certain leukemic cells. CD96 functions mechanistically as an adhesion molecule mediating interaction between cells significantly involving in immune response modulation. Through binding proteins like CD155 it regulates immune cell migration and activity playing a significant role in cellular communication within the immune system.
Biological function summary

The CD96 protein contributes to the immune synapse formation by interacting with other cell surface and intracellular proteins. It is not directly part of a multiprotein complex but closely interacts with the receptor-ligand pairs within immune cell networks. It plays a role in the control of NK cell activity and helps maintain immune homeostasis by balancing activation and inhibition cues.

Pathways

The CD96 protein significantly impacts immunological pathways particularly those involving T cell and NK cell activation. It connects with pathways such as the DNAM-1 (CD226) and CD155 axis influencing immune cell recognition and response. These pathways regulate cellular activities like cytotoxicity and cytokine production where CD96 collaborates with proteins like DNAM-1 and TIGIT to fine-tune immune responses.

CD96 is closely associated with cancer and autoimmune diseases. Its expression level and functional role in cell adhesion and immune response modulation affect tumor immune evasion and surveillance often serving as a potential therapeutic target in cancer immunotherapy. Moreover its interactions with CD155 and DNAM-1 suggest its involvement in autoimmune conditions where regulation of immune cell activity becomes dysregulated pointing towards its relevance in diseases like rheumatoid arthritis.

Product protocols

For this product, it's our understanding that no specific protocols are required. You can visit:

Target data

May be involved in adhesive interactions of activated T and NK cells during the late phase of the immune response. Promotes NK cell-target adhesion by interacting with PVR present on target cells. May function at a time after T and NK cells have penetrated the endothelium using integrins and selectins, when they are actively engaging diseased cells and moving within areas of inflammation.
See full target information CD96

Product promise

We are committed to supporting your work with high-quality reagents, and we're here for you every step of the way. In the unlikely event that one of our products does not perform as expected, you're protected by our Product Promise.
For full details, please see our Terms & Conditions

Please note: All products are 'FOR RESEARCH USE ONLY. NOT FOR USE IN DIAGNOSTIC OR THERAPEUTIC PROCEDURES'.

For licensing inquiries, please contact partnerships@abcam.com