JavaScript is disabled in your browser. Please enable JavaScript to view this website.
AB247649

Anti-CD97 antibody [EPR4427] - BSA and Azide free

Be the first to review this product! Submit a review

|

(1 Publication)

Rabbit Recombinant Monoclonal CD97 antibody. Carrier free. Suitable for IHC-P, ICC/IF, IP, Flow Cyt, WB and reacts with Human samples. Cited in 1 publication.

View Alternative Names

CD97, ADGRE5, Adhesion G protein-coupled receptor E5, Leukocyte antigen CD97

7 Images
Immunocytochemistry/ Immunofluorescence - Anti-CD97 antibody [EPR4427] - BSA and Azide free (AB247649)
  • ICC/IF

Unknown

Immunocytochemistry/ Immunofluorescence - Anti-CD97 antibody [EPR4427] - BSA and Azide free (AB247649)

This data was developed using ab108368, the same antibody clone in a different buffer formulation.

ICC/IF image of ab108368 stained MDA-MB-231 cells. The cells were 4% formaldehyde fixed (10 min) and then incubated in 1%BSA / 10% normal goat serum / 0.3M glycine in 0.1% PBS-Tween for 1h to permeabilise the cells and block non-specific protein-protein interactions. The cells were then incubated with the antibody ab108368 at 1/200 dilution overnight at +4°C. The secondary antibody (green) was DyLight® 488 goat anti- rabbit (ab96899) IgG (H+L) used at a 1/250 dilution for 1h. Alexa Fluor® 594 WGA was used to label plasma membranes (red) at a 1/200 dilution for 1h. DAPI was used to stain the cell nuclei (blue) at a concentration of 1.43μM.

Immunohistochemistry (Formalin/PFA-fixed paraffin-embedded sections) - Anti-CD97 antibody [EPR4427] - BSA and Azide free (AB247649)
  • IHC-P

Lab

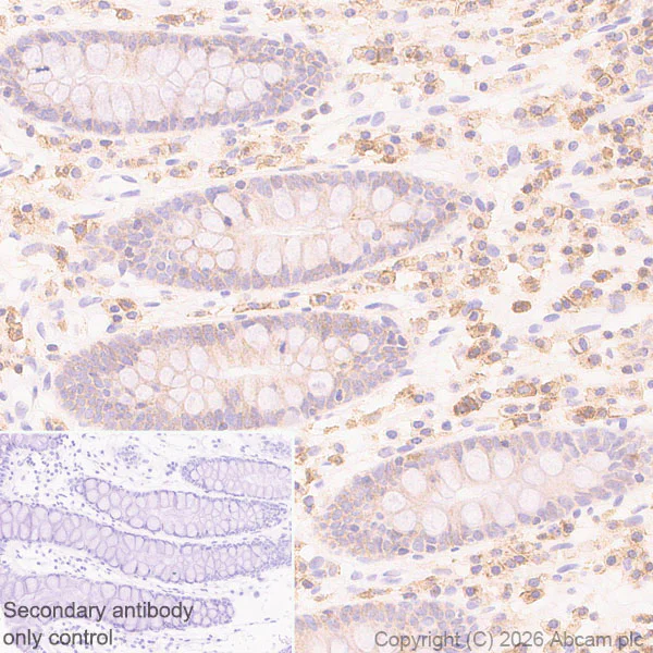
Immunohistochemistry (Formalin/PFA-fixed paraffin-embedded sections) - Anti-CD97 antibody [EPR4427] - BSA and Azide free (AB247649)

This data was developed using ab108368, the same antibody clone in a different buffer formulation.

Immunohistochemical analysis of paraffin-embedded Human colon tissue labeling CD97 with ab108368 at 1/200 dilution.

Positive staining on human colon

The primary antibody was incubated for 30 mins at room temperature.

The immunostaining was performed on a Leica Biosystems BOND® RX instrument

Counterstained with Hematoxylin.

Heat mediated antigen retrieval was performed with Tris-EDTA buffer (pH 9.0, Epitope Retrieval Solution2) for 20 mins.

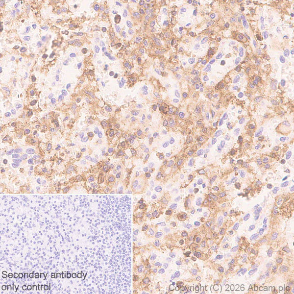
Immunohistochemistry (Formalin/PFA-fixed paraffin-embedded sections) - Anti-CD97 antibody [EPR4427] - BSA and Azide free (AB247649)
  • IHC-P

Lab

Immunohistochemistry (Formalin/PFA-fixed paraffin-embedded sections) - Anti-CD97 antibody [EPR4427] - BSA and Azide free (AB247649)

This data was developed using ab108368, the same antibody clone in a different buffer formulation.

Immunohistochemical analysis of paraffin-embedded Human spleen tissue labeling CD97 with ab108368 at 1/2000 dilution.

Positive staining on human spleen

The primary antibody was incubated for 30 mins at room temperature.

The immunostaining was performed on a Leica Biosystems BOND® RX instrument

Counterstained with Hematoxylin.

Heat mediated antigen retrieval was performed with Tris-EDTA buffer (pH 9.0, Epitope Retrieval Solution2) for 20 mins.

Flow Cytometry - Anti-CD97 antibody [EPR4427] - BSA and Azide free (AB247649)
  • Flow Cyt

Lab

Flow Cytometry - Anti-CD97 antibody [EPR4427] - BSA and Azide free (AB247649)

This data was developed using ab108368, the same antibody clone in a different buffer formulation.

Flow Cytometry analysis of MDA-MB-231 (human mammary gland epithelial adenocarcinoma) cells labeling CD97 with purified ab108368 at 1/250 dilution (10ug/ml) (red). A Goat anti rabbit IgG (Alexa Fluor® 488)(1/2000 dilution) was used as the secondary antibody. Rabbit monoclonal IgG (Black) was used as the isotype control, cells without incubation with primary antibody and secondary antibody (Blue) were used as the unlabeled control.

Immunoprecipitation - Anti-CD97 antibody [EPR4427] - BSA and Azide free (AB247649)
  • IP

Lab

Immunoprecipitation - Anti-CD97 antibody [EPR4427] - BSA and Azide free (AB247649)

This data was developed using ab108368, the same antibody clone in a different buffer formulation.

CD97 was immunoprecipitated from 0.35 mg U-937 (Human histiocytic lymphoma monocyte) whole cell lysate 10 µg with ab108368 at 1/50 dilution (2µg). VeriBlot for IP Detection Reagent (HRP) (ab131366) was used at 1/5000 dilution.

Lane 1 : U-937 (Human histiocytic lymphoma monocyte) whole cell lysate 10 µg

Lane 2 : ab108368 IP in U-937 whole cell lysate

Lane 3 : Rabbit monoclonal IgG (ab172730) instead of ab108368 in U-937 whole cell lysate

Blocking and dilution buffer and concentration : 5% NFDM/TBST.

All lanes:

Immunoprecipitation - Anti-CD97 antibody [EPR4427] (<a href='/en-us/products/primary-antibodies/cd97-antibody-epr4427-ab108368'>ab108368</a>)

Predicted band size: 92 kDa

Observed band size: 74-89 kDa

false

Western blot - Anti-CD97 antibody [EPR4427] - BSA and Azide free (AB247649)
  • WB

Lab

Western blot - Anti-CD97 antibody [EPR4427] - BSA and Azide free (AB247649)

This data was developed using ab108368, the same antibody clone in a different buffer formulation.

Blocking and diluting buffer and concentration : 5% NFDM/TBST.

In Western blot, Anti-GAPDH antibody [EPR16891] - Loading Control (ab181602) staining at 1/1000000 dilution.

Negative sample : HT-1080, HEK-293 (PMID : 30728423, PMID : 34028660)

All lanes:

Western blot - Anti-CD97 antibody [EPR4427] (<a href='/en-us/products/primary-antibodies/cd97-antibody-epr4427-ab108368'>ab108368</a>) at 1/1000 dilution

Lane 1:

U-937 (human histiocytic lymphoma monocyte) whole cell lysate at 20 µg

Lane 2:

HT-1080 (human fibrosarcoma epithelial cell) whole cell lysate at 20 µg

Lane 3:

HEK-293 (human embryonic kidney epithelial cell) whole cell lysate at 20 µg

Secondary

All lanes:

Western blot - Goat Anti-Rabbit IgG H&L (HRP) (<a href='/en-us/products/secondary-antibodies/goat-rabbit-igg-h-l-hrp-ab97051'>ab97051</a>) at 1/20000 dilution

Observed band size: 92 kDa

false

Exposure time: 40s

Western blot - Anti-CD97 antibody [EPR4427] - BSA and Azide free (AB247649)
  • WB

Unknown

Western blot - Anti-CD97 antibody [EPR4427] - BSA and Azide free (AB247649)

This data was developed using ab108368, the same antibody clone in a different buffer formulation.

All lanes:

Western blot - Anti-CD97 antibody [EPR4427] (<a href='/en-us/products/primary-antibodies/cd97-antibody-epr4427-ab108368'>ab108368</a>) at 1/1000 dilution

Lane 1:

Human tonsil tissue lysate at 10 µg

Lane 2:

Jurkat cell lysate at 10 µg

Lane 3:

U937 (Human histiocytic lymphoma cell line) cell lysate at 10 µg

Lane 4:

Human fetal thymus tissue lysate at 10 µg

Predicted band size: 92 kDa

false

Key facts

Host species

Rabbit

Clonality

Monoclonal

Clone number

EPR4427

Isotype

IgG

Carrier free

Yes

Reacts with

Human

Applications

IP, ICC/IF, IHC-P, WB, Flow Cyt

applications

Immunogen

The exact immunogen used to generate this antibody is proprietary information.

Specificity

Mouse, Rat: We have preliminary internal testing data to indicate this antibody may not react with these species. Please contact us for more information.

Reactivity data

{ "title": "Reactivity Data", "filters": { "stats": ["", "Species", "Dilution Info", "Notes"], "tabs": { "all-applications": {"fullname" : "All Applications", "shortname": "All Applications"}, "IHCP" : {"fullname" : "Immunohistochemistry (Formalin/PFA-fixed paraffin-embedded sections)", "shortname":"IHC-P"}, "ICCIF" : {"fullname" : "Immunocytochemistry/ Immunofluorescence", "shortname":"ICC/IF"}, "IP" : {"fullname" : "Immunoprecipitation", "shortname":"IP"}, "FlowCyt" : {"fullname" : "Flow Cytometry", "shortname":"Flow Cyt"}, "WB" : {"fullname" : "Western blot", "shortname":"WB"} }, "product-promise": { "all": "all", "testedAndGuaranteed": "tested", "guaranteed": "expected", "predicted": "predicted", "notRecommended": "not-recommended" } }, "values": { "Human": { "IHCP-species-checked": "testedAndGuaranteed", "IHCP-species-dilution-info": "", "IHCP-species-notes": "<p>Antigen retrieval is recommended.</p>", "ICCIF-species-checked": "testedAndGuaranteed", "ICCIF-species-dilution-info": "", "ICCIF-species-notes": "<p></p>", "IP-species-checked": "testedAndGuaranteed", "IP-species-dilution-info": "", "IP-species-notes": "<p></p>", "FlowCyt-species-checked": "testedAndGuaranteed", "FlowCyt-species-dilution-info": "", "FlowCyt-species-notes": "<p></p>", "WB-species-checked": "testedAndGuaranteed", "WB-species-dilution-info": "", "WB-species-notes": "<p></p>" } } }

Product details

ab247649 is the carrier-free version of ab108368.

Patented technology
Our RabMAb® technology is a patented hybridoma-based technology for making rabbit monoclonal antibodies. For details on our patents, please refer to RabMAb® patents.

What are the advantages of a recombinant monoclonal antibody?
This product is a recombinant monoclonal antibody, which offers several advantages including:

  • - High batch-to-batch consistency and reproducibility
  • - Improved sensitivity and specificity
  • - Long-term security of supply
  • - Animal-free batch production

For more information, read more on recombinant antibodies.

Conjugation ready
Our carrier-free antibodies are typically supplied in a PBS-only formulation, purified and free of BSA, sodium azide and glycerol. This conjugation-ready format is designed for use with fluorochromes, metal isotopes, oligonucleotides, and enzymes, which makes them ideal for antibody labelling, functional and cell-based assays, flow-based assays (e.g. mass cytometry) and Multiplex Imaging applications.

Use our conjugation kits for antibody conjugates that are ready-to-use in as little as 20 minutes with 1 minute hands-on-time and 100% antibody recovery: available for fluorescent dyes, HRP, biotin and gold.

Compatibility
This product is compatible with the Maxpar® Antibody Labeling Kit from Fluidigm, without the need for antibody preparation. Maxpar® is a trademark of Fluidigm Canada Inc.

Properties and storage information

Form
Liquid
Purification technique
Affinity purification Protein A
Storage buffer
pH: 7.2 - 7.4 Constituents: PBS
Shipped at conditions
Blue Ice
Appropriate short-term storage conditions
+4°C
Appropriate long-term storage conditions
+4°C
Storage information
Do Not Freeze

Supplementary information

This supplementary information is collated from multiple sources and compiled automatically.

CD97 also known as adhesion G protein-coupled receptor E5 is a member of the EGF-TM7 subfamily of adhesion GPCRs. The protein has a mass of approximately 83-93 kDa and consists of distinct extracellular transmembrane and cytoplasmic domains. CD97 expresses highly on cells of the immune system especially granulocytes activated T-lymphocytes and smooth muscle cells. Researchers frequently link CD97 expression to immune cell activation and migration processes.
Biological function summary

CD97 plays a significant role in cell communication and adhesion. The protein is part of a multiprotein complex and interacts with chondroitin sulfate and other heparan sulfate proteoglycans. This interaction modulates inflammatory responses and tissue remodeling. CD97 influences immune responses by mediating cellular interaction and signaling through its long extracellular domain. Its activity is essential for leukocyte trafficking and extravasation.

Pathways

CD97 participates in important cell adhesion and immune system pathways. It interacts notably with the EGF-like crossover domains and the GPCR pathways. Related proteins such as CD55 also known as decay-accelerating factor interact with CD97 influencing the immune regulatory processes. These interactions enhance our understanding of leukocyte recruitment and the maintenance of tissue architecture during inflammatory responses.

CD97 is associated with autoimmune diseases and cancer. High CD97 expression levels relate to diseases like rheumatoid arthritis and certain types of tumors including gastric carcinoma. In cancer CD97 interacts with integrin molecules promoting metastasis and tumor invasion. Understanding CD97's connection to integrins and other components could provide insights into therapeutic targets for autoimmune and cancer treatment.

Product protocols

For this product, it's our understanding that no specific protocols are required. You can visit:

Target data

Receptor potentially involved in both adhesion and signaling processes early after leukocyte activation. Plays an essential role in leukocyte migration.
See full target information ADGRE5

Publications (1)

Recent publications for all applications. Explore the full list and refine your search

Frontiers in cellular neuroscience 12:161 PubMed29967576

2018

Impaired Neurofilament Integrity and Neuronal Morphology in Different Models of Focal Cerebral Ischemia and Human Stroke Tissue.

Applications

Unspecified application

Species

Unspecified reactive species

Bianca Mages,Susanne Aleithe,Stephan Altmann,Alexandra Blietz,Björn Nitzsche,Henryk Barthel,Anja K E Horn,Constance Hobusch,Wolfgang Härtig,Martin Krueger,Dominik Michalski
View all publications

Product promise

We are committed to supporting your work with high-quality reagents, and we're here for you every step of the way. In the unlikely event that one of our products does not perform as expected, you're protected by our Product Promise.
For full details, please see our Terms & Conditions

Please note: All products are 'FOR RESEARCH USE ONLY. NOT FOR USE IN DIAGNOSTIC OR THERAPEUTIC PROCEDURES'.

For licensing inquiries, please contact partnerships@abcam.com