JavaScript is disabled in your browser. Please enable JavaScript to view this website.
AB134105

Anti-CD97 antibody [EPR4428]

Be the first to review this product! Submit a review

|

(1 Publication)

Rabbit Recombinant Monoclonal CD97 antibody. Suitable for IHC-P, WB and reacts with Human samples. Cited in 1 publication.

View Alternative Names

CD97, ADGRE5, Adhesion G protein-coupled receptor E5, Leukocyte antigen CD97

2 Images
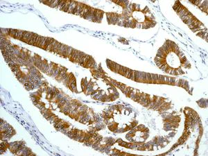
Immunohistochemistry (Formalin/PFA-fixed paraffin-embedded sections) - Anti-CD97 antibody [EPR4428] (AB134105)
  • IHC-P

Unknown

Immunohistochemistry (Formalin/PFA-fixed paraffin-embedded sections) - Anti-CD97 antibody [EPR4428] (AB134105)

Immunohistochemical analysis of paraffin embedded Human colonic adenocarcinoma tissue labelling CD97 with ab134105 antibody at a dilution of 1/1000.

Perform heat mediated antigen retrieval with citrate buffer pH 6 before commencing with IHC staining protocol.

Western blot - Anti-CD97 antibody [EPR4428] (AB134105)
  • WB

Lab

Western blot - Anti-CD97 antibody [EPR4428] (AB134105)

Blocking/Diluting buffer and concentration 5% NFDM/TBST

Exposure time :
Lane 1: 180 seconds
Lane 2 : 60 seconds

The 28kDa is β-chain. This is supported by many papers, PMID : 20084281, PMID : 18941248.

Lane 1:

Western blot - Anti-CD97 antibody [EPR4428] (ab134105) at 1/10000 dilution

Lane 2:

Western blot - Anti-CD97 antibody [EPR4428] (ab134105) at 1/20000 dilution

Lane 1:

U-937 (Human histiocytic lymphoma monocyte) whole cell lysate at 20 µg

Lane 2:

THP-1 (Human monocytic leukemia monocyte) whole cell lysate at 20 µg

Secondary

All lanes:

Goat Anti-Rabbit IgG (HRP), specific to the non-reduced form of IgG at 1/20000 dilution

Predicted band size: 92 kDa

Observed band size: 28 kDa

false

Key facts

Host species

Rabbit

Clonality

Monoclonal

Clone number

EPR4428

Isotype

IgG

Carrier free

No

Reacts with

Human

Applications

IHC-P, WB

applications

Immunogen

The exact immunogen used to generate this antibody is proprietary information.

Reactivity data

{ "title": "Reactivity Data", "filters": { "stats": ["", "Species", "Dilution Info", "Notes"], "tabs": { "all-applications": {"fullname" : "All Applications", "shortname": "All Applications"}, "IHCP" : {"fullname" : "Immunohistochemistry (Formalin/PFA-fixed paraffin-embedded sections)", "shortname":"IHC-P"}, "IP" : {"fullname" : "Immunoprecipitation", "shortname":"IP"}, "WB" : {"fullname" : "Western blot", "shortname":"WB"}, "ICCIF" : {"fullname" : "Immunocytochemistry/ Immunofluorescence", "shortname":"ICC/IF"} }, "product-promise": { "all": "all", "testedAndGuaranteed": "tested", "guaranteed": "expected", "predicted": "predicted", "notRecommended": "not-recommended" } }, "values": { "Human": { "IHCP-species-checked": "testedAndGuaranteed", "IHCP-species-dilution-info": "1/1000 - 1/2000", "IHCP-species-notes": "<p></p>", "IP-species-checked": "notRecommended", "IP-species-dilution-info": "", "IP-species-notes": "<p></p>", "WB-species-checked": "testedAndGuaranteed", "WB-species-dilution-info": "1/1000 - 1/10000", "WB-species-notes": "<p></p>", "ICCIF-species-checked": "notRecommended", "ICCIF-species-dilution-info": "", "ICCIF-species-notes": "<p></p>" }, "Rat": { "IHCP-species-checked": "predicted", "IHCP-species-dilution-info": "", "IHCP-species-notes": "", "IP-species-checked": "notRecommended", "IP-species-dilution-info": "", "IP-species-notes": "", "WB-species-checked": "predicted", "WB-species-dilution-info": "", "WB-species-notes": "", "ICCIF-species-checked": "notRecommended", "ICCIF-species-dilution-info": "", "ICCIF-species-notes": "" } } }

Product details

Species reactivity
Mouse: We have preliminary internal testing data to indicate this antibody may not react with this species.
Please contact us for more information.

Patented technology
Our RabMAb® technology is a patented hybridoma-based technology for making rabbit monoclonal antibodies. For details on our patents, please refer to RabMAb® patents.

What are the advantages of a recombinant monoclonal antibody?
This product is a recombinant monoclonal antibody, which offers several advantages including:

  • - High batch-to-batch consistency and reproducibility
  • - Improved sensitivity and specificity
  • - Long-term security of supply
  • - Animal-free batch production

For more information, read more on recombinant antibodies.

Properties and storage information

Form
Liquid
Purification technique
Affinity purification Protein A
Storage buffer
pH: 7.2 - 7.4 Preservative: 0.05% Sodium azide Constituents: 50% Tissue culture supernatant, 40% Glycerol (glycerin, glycerine), 9.85% Tris glycine, 0.1% BSA
Shipped at conditions
Blue Ice
Appropriate short-term storage conditions
+4°C
Appropriate long-term storage conditions
-20°C
Storage information
Stable for 12 months at -20°C

Supplementary information

This supplementary information is collated from multiple sources and compiled automatically.

CD97 also known as adhesion G protein-coupled receptor E5 is a member of the EGF-TM7 subfamily of adhesion GPCRs. The protein has a mass of approximately 83-93 kDa and consists of distinct extracellular transmembrane and cytoplasmic domains. CD97 expresses highly on cells of the immune system especially granulocytes activated T-lymphocytes and smooth muscle cells. Researchers frequently link CD97 expression to immune cell activation and migration processes.
Biological function summary

CD97 plays a significant role in cell communication and adhesion. The protein is part of a multiprotein complex and interacts with chondroitin sulfate and other heparan sulfate proteoglycans. This interaction modulates inflammatory responses and tissue remodeling. CD97 influences immune responses by mediating cellular interaction and signaling through its long extracellular domain. Its activity is essential for leukocyte trafficking and extravasation.

Pathways

CD97 participates in important cell adhesion and immune system pathways. It interacts notably with the EGF-like crossover domains and the GPCR pathways. Related proteins such as CD55 also known as decay-accelerating factor interact with CD97 influencing the immune regulatory processes. These interactions enhance our understanding of leukocyte recruitment and the maintenance of tissue architecture during inflammatory responses.

CD97 is associated with autoimmune diseases and cancer. High CD97 expression levels relate to diseases like rheumatoid arthritis and certain types of tumors including gastric carcinoma. In cancer CD97 interacts with integrin molecules promoting metastasis and tumor invasion. Understanding CD97's connection to integrins and other components could provide insights into therapeutic targets for autoimmune and cancer treatment.

Product protocols

For this product, it's our understanding that no specific protocols are required. You can visit:

Target data

Receptor potentially involved in both adhesion and signaling processes early after leukocyte activation. Plays an essential role in leukocyte migration.
See full target information ADGRE5

Publications (1)

Recent publications for all applications. Explore the full list and refine your search

Communications biology 8:751 PubMed40369110

2025

ATF1 and miR-27b-3p drive intervertebral disc degeneration through the PPARG/NF-κB signaling axis.

Applications

Unspecified application

Species

Unspecified reactive species

Wei Guo,Kun Mu,Jing-Chao Geng,Hai-Yang Xing,Yu Dong,Wen-Dong Liu,Shuan-Chi Wang,Jia-Xiao Shi,Bao-Rui Xing,Jian-Yong Zhao,Xiao-Ming Li
View all publications

Product promise

We are committed to supporting your work with high-quality reagents, and we're here for you every step of the way. In the unlikely event that one of our products does not perform as expected, you're protected by our Product Promise.
For full details, please see our Terms & Conditions

Please note: All products are 'FOR RESEARCH USE ONLY. NOT FOR USE IN DIAGNOSTIC OR THERAPEUTIC PROCEDURES'.

For licensing inquiries, please contact partnerships@abcam.com