JavaScript is disabled in your browser. Please enable JavaScript to view this website.
AB303510

Anti-CD98 antibody [EPR27111-83]

  • BOND RX™ Validated
  • 20ul selling size
  • RabMAb
  • Recombinant
  • What is this?

Be the first to review this product! Submit a review

|

(2 Publications)

Rabbit Recombinant Monoclonal CD98 antibody. Suitable for WB, IHC-P, IHC-Fr, ICC/IF, Flow Cyt, IP and reacts with Mouse samples. Cited in 2 publications.

View Alternative Names

CD98, Mdu1, Slc3a2, Amino acid transporter heavy chain SLC3A2, 4F2 cell-surface antigen heavy chain, Solute carrier family 3 member 2, 4F2hc

12 Images
Immunohistochemistry (Formalin/PFA-fixed paraffin-embedded sections) - Anti-CD98 antibody [EPR27111-83] (AB303510)
  • IHC-P

Supplier Data

Immunohistochemistry (Formalin/PFA-fixed paraffin-embedded sections) - Anti-CD98 antibody [EPR27111-83] (AB303510)

Immunohistochemical analysis of paraffin-embedded mouse skeletal muscle tissue labeling CD98 with ab303510 at 1/1000 dilution (0.494 µg/mL), followed by a ready to use LeicaDS9800 (BOND™ Polymer Refine Detection). Negative control : no staining is observed on mouse skeletal muscle. The section was incubated with ab303510 for 30 mins at room temperature. The immunostaining was performed on a Leica Biosystems BOND® RX instrument. Counterstained with Hematoxylin. Secondary antibody only control : Secondary antibody is a ready to use LeicaDS9800 dilution (BOND™ Polymer Refine Detection). Heat mediated antigen retrieval was performed with Tris-EDTA buffer (pH 9.0, epitope retrieval solution 2) for 20 mins was used.

Immunohistochemistry (Formalin/PFA-fixed paraffin-embedded sections) - Anti-CD98 antibody [EPR27111-83] (AB303510)
  • IHC-P

Supplier Data

Immunohistochemistry (Formalin/PFA-fixed paraffin-embedded sections) - Anti-CD98 antibody [EPR27111-83] (AB303510)

Immunohistochemical analysis of paraffin-embedded Mouse kidney tissue labeling CD98 with ab303510 at 1/1000 (0.494 ug/ml) followed by a ready to use LeicaDS9800 (Bond™ Polymer Refine Detection) was used. Positive staining on mouse kidney. The section was incubated with ab303510 for 30 mins at room temperature.The immunostaining was performed on a Leica Biosystems BOND® RX instrument Counterstained with Hematoxylin. Secondary antibody only control : Secondary antibody is a ready to use LeicaDS9800 (Bond™ Polymer Refine Detection).Heat mediated antigen retrieval was performed with Tris-EDTA buffer (pH 9.0, Epitope Retrieval Solution2) for 20 mins

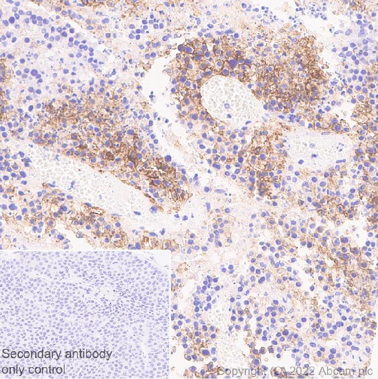
Immunohistochemistry (Formalin/PFA-fixed paraffin-embedded sections) - Anti-CD98 antibody [EPR27111-83] (AB303510)
  • IHC-P

Supplier Data

Immunohistochemistry (Formalin/PFA-fixed paraffin-embedded sections) - Anti-CD98 antibody [EPR27111-83] (AB303510)

Immunohistochemical analysis of paraffin-embedded mouse breast cancer tissue labeling CD98 with ab303510 at 1/1000 dilution (0.494 μg/mL), followed by a ready to use LeicaDS9800 (BOND Polymer Refine Detection). Positive staining was observed on mouse breast cancer. The section was incubated with ab303510 for 30 mins at room temperature. The immunostaining was performed on a Leica Biosystems BOND® RX instrument. Counterstained with Hematoxylin.

Secondary antibody only control : Secondary antibody is a ready to use LeicaDS9800 dilution (BOND Polymer Refine Detection).

Heat mediated antigen retrieval was performed with Tris-EDTA buffer (pH 9.0, epitope retrieval solution 2) for 20 mins was used.

Immunohistochemistry (Frozen sections) - Anti-CD98 antibody [EPR27111-83] (AB303510)
  • IHC-Fr

Supplier Data

Immunohistochemistry (Frozen sections) - Anti-CD98 antibody [EPR27111-83] (AB303510)

Immunohistochemical analysis of 4% PFA-fixed, 0.2% Triton X-100 permeabilized frozen Mouse kidney (fresh) tissue labeling CD98 with ab303510 at 1/500 (0.988 ug/ml) dilution followed by ab150081 Goat Anti-Rabbit IgG H&L (Alexa Fluor® 488) preadsorbed at 1/1000 2 ug/mL dilution (Green). Confocal image showing positive staining in proximal tubules of mouse kidney tissue. The nuclear counterstain was DAPI (Blue). The section was incubated with ab303510 for 60mins at room temperature. The section was then mounted using Fluoromount®.The immunostaining was performed on a Leica Biosystems BOND® RX instrument. Image was taken with a confocal microscope (Leica-Microsystems, TCS SP8). Secondary antibody control : Secondary antibody is ab150081 Goat Anti-Rabbit IgG H&L (Alexa Fluor® 488) preadsorbedat 1/1000 2 ug/mL dilution.

Immunocytochemistry/ Immunofluorescence - Anti-CD98 antibody [EPR27111-83] (AB303510)
  • ICC/IF

Supplier Data

Immunocytochemistry/ Immunofluorescence - Anti-CD98 antibody [EPR27111-83] (AB303510)

Immunofluorescent analysis of 4% Paraformaldehyde-fixed, 0.1% TritonX-100 permeabilized NIH/3T3 (mouse embryonic fibroblast) cells labelling CD98 with ab303510 at 1/50 (9.88 ug/ml) dilution, followed by ab150081 Goat Anti-Rabbit IgG H&L (Alexa Fluor® 488) preadsorbed antibody at 1/1000 2 ug/ml dilution (Green). Confocal image showing cytoplasmic and membranous staining in NIH/3T3 cell line.Image was taken with a confocal microscope (Leica-Microsystems, TCS SP8). is observed. ab195889 Anti-alpha Tubulin mouse monoclonal antibody - Microtubule Marker (Alexa Fluor® 594) was used to counterstain tubulin at 1/200 2.5ug/ml dilution (Red). The Nuclear counterstain was DAPI (Blue). Secondary antibody only control : Secondary antibody is ab150081 Goat Anti-Rabbit IgG H&L (Alexa Fluor® 488) preadsorbed at 1/1000 2 ug/ml dilution.

Flow Cytometry - Anti-CD98 antibody [EPR27111-83] (AB303510)
  • Flow Cyt

Supplier Data

Flow Cytometry - Anti-CD98 antibody [EPR27111-83] (AB303510)

Flow cytometric analysis of / fixed / permeabilized NIH/3T3 (mouse embryonic fibroblast) cells labelling CD98 with ab303510 at 1/500 dilution (0.1μg) (Red) (Red) compared with a Rabbit monoclonal IgG (ab172730) (Black) isotype control and an unlabelled control (cells without incubation with primary antibody and secondary antibody) (Blue). A Goat Anti-Rabbit IgG (Alexa Fluor® 488, ab150081) at 1/2000 dilution was used as the secondary antibody. Gated on viable cells.

Flow Cytometry - Anti-CD98 antibody [EPR27111-83] (AB303510)
  • Flow Cyt

Supplier Data

Flow Cytometry - Anti-CD98 antibody [EPR27111-83] (AB303510)

Flow cytometric analysis of / fixed / permeabilized Mouse splenocytes cells labelling CD98 with ab303510 at 1/500 dilution (0.1μg)/ Right (Red) compared with a Rabbit monoclonal IgG (ab172730) / Left isotype control and an unlabelled control (cells without incubation with primary antibody and secondary antibody) (Blue). A Goat Anti-Rabbit IgG (Alexa Fluor® 488, ab150081) at 1/2000 dilution was used as the secondary antibody. Gated on viable cells. Cells were stained with rabbit IgG or ab303510. Then stained with anti-CD4 conjugated to Alexa Fluor® 647.

Immunoprecipitation - Anti-CD98 antibody [EPR27111-83] (AB303510)
  • IP

Supplier Data

Immunoprecipitation - Anti-CD98 antibody [EPR27111-83] (AB303510)

CD98 was immunoprecipitated from 0.35 mg 3T3-L1 (mouse embryonic fibroblast) whole cell lysate with ab303510 at 1/30 dilution (2 µg in 0.35 mg lysates). Western blot was performed on the immunoprecipitate using ab303510 at 1/1000 dilution. VeriBlot for IP secondary antibody(HRP)(ab131366) was used at 1/5000 dilution. Lane 1 : 3T3-L1(mouse embryonic fibroblast) whole cell lysate 10 μg (Inset) Lane 2 : ab303510 IP in 3T3-L1whole cell lysate Lane 3 : Rabbit monoclonal IgG (ab172730) instead of ab303510 in 3T3-L1 whole cell lysate Blocking and dilution buffer and concentration : 5% NFDM/TBST. Exposure time : 180 seconds. Observed MW (kDa) : 75-100

All lanes:

Immunoprecipitation - Anti-CD98 antibody [EPR27111-83] (ab303510) at 1/30 dilution

All lanes:

3T3-L1 (mouse embryonic fibroblast) whole cell lysate at 10 µg

Secondary

All lanes:

Immunoprecipitation - VeriBlot for IP Detection Reagent (HRP) (<a href='/en-us/products/reagents/veriblot-for-ip-detection-reagent-hrp-ab131366'>ab131366</a>) at 1/5000 dilution

false

Exposure time: 180s

Western blot - Anti-CD98 antibody [EPR27111-83] (AB303510)
  • WB

Lab

Western blot - Anti-CD98 antibody [EPR27111-83] (AB303510)

This data was developed using ab303510, the same antibody clone in a different buffer formulation.  Blocking and dilution buffer and concentration : 5% NFDM/TBST.

All lanes:

Western blot - Anti-CD98 antibody [EPR27111-83] (ab303510) at 1/1000 dilution

Lane 1:

HEK-293T cells transfected with an empty vector containing a his tag, whole cell lysate at 20 µg

Lane 2:

HEK-293T cells transfected with a mouse CD98 expression vector containing a his tag, whole cell lysate at 20 µg

Secondary

All lanes:

Western blot - Goat Anti-Rabbit IgG H&L (HRP) (<a href='/en-us/products/secondary-antibodies/goat-rabbit-igg-h-l-hrp-ab97051'>ab97051</a>) at 1/100000 dilution

Observed band size: 75-100 kDa

false

Exposure time: 10s

Western blot - Anti-CD98 antibody [EPR27111-83] (AB303510)
  • WB

Lab

Western blot - Anti-CD98 antibody [EPR27111-83] (AB303510)

Blocking and dilution buffer and concentration : 5% NFDM/TBST.

Low expression :  skeletal muscle (human protein atlas database)

The molecular weight observed is consistent with what has been described in the literature (PMID : 18625289, 26611634).

This blot was developed using a high sensitivity ECL substrate. The high-sensitivity ECL substrate used allows for the detection of proteins in the mid-femtogram range.

The slight variation of MW observed between the different samples is due to the different glycosylation.

All lanes:

Western blot - Anti-CD98 antibody [EPR27111-83] (ab303510) at 1/1000 dilution

Lane 1:

Mouse kidney tissue lysate at 20 µg

Lane 2:

Mouse placenta tissue lysate at 20 µg

Lane 3:

Mouse skeletal muscle tissue lysate at 20 µg

Secondary

All lanes:

Western blot - Goat Anti-Rabbit IgG H&L (HRP) (<a href='/en-us/products/secondary-antibodies/goat-rabbit-igg-h-l-hrp-ab97051'>ab97051</a>) at 1/20000 dilution

Observed band size: 75-100 kDa

true

Exposure time: 26s

Western blot - Anti-CD98 antibody [EPR27111-83] (AB303510)
  • WB

Lab

Western blot - Anti-CD98 antibody [EPR27111-83] (AB303510)

Blocking and dilution buffer and concentration : 5% NFDM/TBST.  The slight variation of MW observed between the different samples is due to the different glycosylation.

All lanes:

Western blot - Anti-CD98 antibody [EPR27111-83] (ab303510) at 1/1000 dilution

Lane 1:

HC11 (mouse mammary gland epithelial cell), whole cell lysate at 20 µg

Lane 2:

ES-D3 (mouse blastocyst-derived embryonic stem cell), whole cell lysate at 20 µg

Secondary

All lanes:

Western blot - Goat Anti-Rabbit IgG H&L (HRP) (<a href='/en-us/products/secondary-antibodies/goat-rabbit-igg-h-l-hrp-ab97051'>ab97051</a>) at 1/20000 dilution

Observed band size: 75-100 kDa

false

Exposure time: 180s

Western blot - Anti-CD98 antibody [EPR27111-83] (AB303510)
  • WB

Lab

Western blot - Anti-CD98 antibody [EPR27111-83] (AB303510)

Blocking and dilution buffer and concentration : 5% NFDM/TBST.  The slight variation of MW observed between the different samples is due to the different glycosylation.

All lanes:

Western blot - Anti-CD98 antibody [EPR27111-83] (ab303510) at 1/1000 dilution

Lane 1:

NIH/3T3 (mouse embryonic fibroblast), whole cell lysate at 20 µg

Lane 2:

3T3-L1 (mouse embryonic fibroblast), whole cell lysate at 20 µg

Secondary

All lanes:

Western blot - Goat Anti-Rabbit IgG H&L (HRP) (<a href='/en-us/products/secondary-antibodies/goat-rabbit-igg-h-l-hrp-ab97051'>ab97051</a>) at 1/20000 dilution

Observed band size: 75-100 kDa

false

Exposure time: 92s

  • 519 Alexa Fluor® 488

    Goat Anti-Rabbit IgG H&L (Alexa Fluor® 488) preadsorbed

  • Carrier free

    Anti-CD98 antibody [EPR27111-83] - BSA and Azide free

  • 665 Alexa Fluor® 647

    Alexa Fluor® 647 Anti-CD98 antibody [EPR27111-83]

  • 660 APC

    APC Anti-CD98 antibody [EPR27111-83]

  • 519 Alexa Fluor® 488

    Alexa Fluor® 488 Anti-CD98 antibody [EPR27111-83]

  • 617 Alexa Fluor® 594

    Alexa Fluor® 594 Anti-CD98 antibody [EPR27111-83]

  • 578 PE

    PE Anti-CD98 antibody [EPR27111-83]

Key facts

Host species

Rabbit

Clonality

Monoclonal

Clone number

EPR27111-83

Isotype

IgG

Carrier free

No

Reacts with

Mouse

Applications

IHC-Fr, ICC/IF, IP, Flow Cyt, IHC-P, WB

applications

Immunogen

The exact immunogen used to generate this antibody is proprietary information.

Reactivity data

{ "title": "Reactivity Data", "filters": { "stats": ["", "Species", "Dilution Info", "Notes"], "tabs": { "all-applications": {"fullname" : "All Applications", "shortname": "All Applications"}, "WB" : {"fullname" : "Western blot", "shortname":"WB"}, "IHCP" : {"fullname" : "Immunohistochemistry (Formalin/PFA-fixed paraffin-embedded sections)", "shortname":"IHC-P"}, "IHCFr" : {"fullname" : "Immunohistochemistry (Frozen sections)", "shortname":"IHC-Fr"}, "ICCIF" : {"fullname" : "Immunocytochemistry/ Immunofluorescence", "shortname":"ICC/IF"}, "FlowCyt" : {"fullname" : "Flow Cytometry", "shortname":"Flow Cyt"}, "IP" : {"fullname" : "Immunoprecipitation", "shortname":"IP"} }, "product-promise": { "all": "all", "testedAndGuaranteed": "tested", "guaranteed": "expected", "predicted": "predicted", "notRecommended": "not-recommended" } }, "values": { "Human": { "WB-species-checked": "notRecommended", "WB-species-dilution-info": "1/1000", "WB-species-notes": "<p></p>", "IHCP-species-checked": "notRecommended", "IHCP-species-dilution-info": "1/1000", "IHCP-species-notes": "<p></p> Perform heat-mediated antigen retrieval with Tris/EDTA buffer pH 9.0 before commencing with IHC staining protocol.", "IHCFr-species-checked": "notRecommended", "IHCFr-species-dilution-info": "", "IHCFr-species-notes": "", "ICCIF-species-checked": "notRecommended", "ICCIF-species-dilution-info": "1/50", "ICCIF-species-notes": "<p></p>", "FlowCyt-species-checked": "notRecommended", "FlowCyt-species-dilution-info": "1/500", "FlowCyt-species-notes": "<p></p>", "IP-species-checked": "notRecommended", "IP-species-dilution-info": "", "IP-species-notes": "" }, "Mouse": { "WB-species-checked": "testedAndGuaranteed", "WB-species-dilution-info": "1/1000", "WB-species-notes": "<p></p>", "IHCP-species-checked": "testedAndGuaranteed", "IHCP-species-dilution-info": "1/1000", "IHCP-species-notes": "<p></p> Perform heat-mediated antigen retrieval with Tris/EDTA buffer pH 9.0 before commencing with IHC staining protocol.", "IHCFr-species-checked": "testedAndGuaranteed", "IHCFr-species-dilution-info": "1/500", "IHCFr-species-notes": "<p></p>", "ICCIF-species-checked": "testedAndGuaranteed", "ICCIF-species-dilution-info": "1/50", "ICCIF-species-notes": "<p></p>", "FlowCyt-species-checked": "testedAndGuaranteed", "FlowCyt-species-dilution-info": "1/500", "FlowCyt-species-notes": "<p></p>", "IP-species-checked": "testedAndGuaranteed", "IP-species-dilution-info": "1/30", "IP-species-notes": "<p></p>" }, "Rat": { "WB-species-checked": "notRecommended", "WB-species-dilution-info": "1/1000", "WB-species-notes": "<p></p>", "IHCP-species-checked": "notRecommended", "IHCP-species-dilution-info": "1/1000", "IHCP-species-notes": "<p></p> Perform heat-mediated antigen retrieval with Tris/EDTA buffer pH 9.0 before commencing with IHC staining protocol.", "IHCFr-species-checked": "notRecommended", "IHCFr-species-dilution-info": "", "IHCFr-species-notes": "", "ICCIF-species-checked": "notRecommended", "ICCIF-species-dilution-info": "1/50", "ICCIF-species-notes": "<p></p>", "FlowCyt-species-checked": "notRecommended", "FlowCyt-species-dilution-info": "1/500", "FlowCyt-species-notes": "<p></p>", "IP-species-checked": "notRecommended", "IP-species-dilution-info": "1/30", "IP-species-notes": "<p></p>" } } }

Product details

What are the advantages of a recombinant monoclonal antibody?
This product is a recombinant monoclonal antibody, which offers several advantages including:

  • - High batch-to-batch consistency and reproducibility
  • - Improved sensitivity and specificity
  • - Long-term security of supply
  • - Animal-free batch production

For more information, read more on recombinant antibodies.

Patented technology
Our RabMAb® technology is a patented hybridoma-based technology for making rabbit monoclonal antibodies. For details on our patents, please refer to RabMAb® patents.

Properties and storage information

Form
Liquid
Purification technique
Affinity purification Protein A
Storage buffer
pH: 7.2 - 7.4 Preservative: 0.01% Sodium azide Constituents: PBS, 40% Glycerol (glycerin, glycerine), 0.05% BSA
Shipped at conditions
Blue Ice
Appropriate short-term storage duration
1-2 weeks
Appropriate short-term storage conditions
+4°C
Appropriate long-term storage conditions
-20°C
Aliquoting information
Upon delivery aliquot
Storage information
Avoid freeze / thaw cycle

Supplementary information

This supplementary information is collated from multiple sources and compiled automatically.

CD98 also known as CD98hc CD98 protein or LAT1/CD98 is a type II membrane protein often found in association with the heavy chains of amino acid transporters like LAT1. It has a molecular mass of approximately 85-100 kDa. CD98 is widely expressed in numerous tissues including the liver kidney and various tumors. It plays an important role in cellular processes by facilitating the transport of amino acids across plasma membranes which is essential for maintaining cellular homeostasis and proliferation.
Biological function summary

CD98 forms a complex with light chains of the heterodimeric amino acid transporters such as LAT1 and LAT2. This interaction enhances the uptake of neutral amino acids into cells. CD98 also interacts with integrins influencing cell adhesion and migration which are critical for cellular signaling and response. Through these interactions CD98 impacts not only cell survival and growth but also immune responses and angiogenesis.

Pathways

CD98 is a vital component of the mTOR signaling pathway influencing cell growth and proliferation. It also plays a part in the integrin signaling pathway which regulates cell adhesion and migration. In these pathways CD98 works closely with proteins like FG1 and mTORC1. These relationships enable it to modulate cellular responses to nutritional availability and mechanical cues from the environment.

CD98 expression and function have links to cancer and autoimmune diseases. High expression levels of CD98 are observed in various cancers such as lymphomas where it correlates with increased tumor growth and poor prognosis. In autoimmune disorders like rheumatoid arthritis CD98 influences immune cell activation and migration. Proteins such as CP1 and FG1 interact with CD98 contributing to disease pathology by affecting cellular and immune responses.

Product protocols

For this product, it's our understanding that no specific protocols are required. You can visit:

Target data

Acts as a chaperone that facilitates biogenesis and trafficking of functional transporters heterodimers to the plasma membrane. Forms heterodimer with SLC7 family transporters (SLC7A5, SLC7A6, SLC7A7, SLC7A8, SLC7A10 and SLC7A11), a group of amino-acid antiporters (PubMed : 10574970, PubMed : 10734121, PubMed : 11011012, PubMed : 9915839). Heterodimers function as amino acids exchangers, the specificity of the substrate depending on the SLC7A subunit. Heterodimers SLC3A2/SLC7A6 or SLC3A2/SLC7A7 mediate the uptake of dibasic amino acids. Heterodimer SLC3A2/SLC7A11 functions as an antiporter by mediating the exchange of extracellular anionic L-cystine and intracellular L-glutamate across the cellular plasma membrane (By similarity). SLC3A2/SLC7A10 translocates small neutral L- and D-amino acids across the plasma membrane (By similarity). SLC3A2/SLC75 or SLC3A2/SLC7A8 translocates neutral amino acids with broad specificity, thyroid hormones and L-DOPA. SLC3A2 is essential for plasma membrane localization, stability, and the transport activity of SLC7A5 and SLC7A8. When associated with LAPTM4B, the heterodimer SLC7A5 is recruited to lysosomes to promote leucine uptake into these organelles, and thereby mediates mTORC1 activation. Modulates integrin-related signaling and is essential for integrin-dependent cell spreading, migration and tumor progression (By similarity).
See full target information Slc3a2

Publications (2)

Recent publications for all applications. Explore the full list and refine your search

The FEBS journal 292:3795-3813 PubMed40254912

2025

Unveiling the impact of ferroptosis on diabetes-associated cognitive decline through comprehensive single-cell RNA sequencing and experimental studies.

Applications

Unspecified application

Species

Unspecified reactive species

Yiping Zhang,Xiaolan Hu,Shoulin Chen,Fuzhou Hua,Zhenguo Zeng

Frontiers in genetics 15:1504114 PubMed39944356

2025

Based on bioinformatics, SESN2 negatively regulates ferroptosis induced by ischemia reperfusion via the System Xc-/GPX4 pathway.

Applications

Unspecified application

Species

Unspecified reactive species

Jiejie Hu,Lijun Qin,Guoqiang Zhu,Jingjing Ren,Hongxia Wang,Jing Jin,Haixue Zheng,Dan Li,Zhaoming Ge
View all publications

Product promise

We are committed to supporting your work with high-quality reagents, and we're here for you every step of the way. In the unlikely event that one of our products does not perform as expected, you're protected by our Product Promise.
For full details, please see our Terms & Conditions

Please note: All products are 'FOR RESEARCH USE ONLY. NOT FOR USE IN DIAGNOSTIC OR THERAPEUTIC PROCEDURES'.

For licensing inquiries, please contact partnerships@abcam.com