JavaScript is disabled in your browser. Please enable JavaScript to view this website.
AB203675

Anti-Cdc14B antibody

Be the first to review this product! Submit a review

|

(3 Publications)

Rabbit Polyclonal Cdc14B antibody. Suitable for IHC-P and reacts with Mouse samples. Cited in 3 publications. Immunogen corresponding to Synthetic Peptide within Human Dual specificity protein phosphatase CDC14B aa 50-150 conjugated to Keyhole Limpet Haemocyanin.

View Alternative Names

Dual specificity protein phosphatase CDC14B, CDC14 cell division cycle 14 homolog B, CDC14B

1 Images
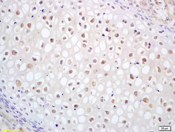
Immunohistochemistry (Formalin/PFA-fixed paraffin-embedded sections) - Anti-Cdc14B antibody (AB203675)
  • IHC-P

Supplier Data

Immunohistochemistry (Formalin/PFA-fixed paraffin-embedded sections) - Anti-Cdc14B antibody (AB203675)

Immunohistochemical analysis of formalin-fixed paraffin-embedded Mouse embryo tissue labeling Cdc14B with ab203675 at 1/200 dilution, followed by conjugation to the secondary antibody and DAB staining.

Key facts

Host species

Rabbit

Clonality

Polyclonal

Isotype

IgG

Carrier free

No

Reacts with

Mouse

Applications

IHC-P

applications

Immunogen

Synthetic Peptide within Human Dual specificity protein phosphatase CDC14B aa 50-150 conjugated to Keyhole Limpet Haemocyanin. The exact immunogen used to generate this antibody is proprietary information.

O60729

Reactivity data

{ "title": "Reactivity Data", "filters": { "stats": ["", "Species", "Dilution Info", "Notes"], "tabs": { "all-applications": {"fullname" : "All Applications", "shortname": "All Applications"}, "IHCP" : {"fullname" : "Immunohistochemistry (Formalin/PFA-fixed paraffin-embedded sections)", "shortname":"IHC-P"} }, "product-promise": { "all": "all", "testedAndGuaranteed": "tested", "guaranteed": "expected", "predicted": "predicted", "notRecommended": "not-recommended" } }, "values": { "Mouse": { "IHCP-species-checked": "testedAndGuaranteed", "IHCP-species-dilution-info": "1/100 - 1/500", "IHCP-species-notes": "<p>(or 1/50 - 1/200 if using a fluorescent secondary antibody)</p>" } } }

Properties and storage information

Form
Liquid
Purification technique
Affinity purification Protein A
Storage buffer
pH: 7.4 Preservative: 0.02% Proclin 300 Constituents: 50% Glycerol (glycerin, glycerine), 48.98% TBS, 1X, 1% BSA
Shipped at conditions
Blue Ice
Appropriate short-term storage duration
1-2 weeks
Appropriate short-term storage conditions
+4°C
Appropriate long-term storage conditions
-20°C
Aliquoting information
Upon delivery aliquot
Storage information
Avoid freeze / thaw cycle

Supplementary information

This supplementary information is collated from multiple sources and compiled automatically.

Cdc14B also known as Cell Division Cycle 14B is a serine/threonine-protein phosphatase with a molecular mass of approximately 62 kDa. This protein localizes mainly to the nucleolus but can also be found in the cytoplasm during the cell cycle. It plays a significant role in dephosphorylating substrates involved in cell cycle regulation. Cdc14B is widely expressed across various human tissues including high expression levels in the testes where it serves essential regulatory functions.
Biological function summary

Cdc14B regulates exit from mitosis and cytokinesis. It functions as part of a regulatory network that controls the transition from mitosis to interphase. In this process Cdc14B dephosphorylates key proteins involved in spindle disassembly and chromosome segregation ensuring proper cell cycle progression. While it does not form a complex on its own Cdc14B interacts with other regulatory proteins to maintain cellular homeostasis and genomic stability.

Pathways

Cdc14B plays a critical role in the DNA damage response and the mitotic exit network. It interacts with proteins such as Cdh1 and Securin to mediate cell cycle checkpoints and ensure proper timing of mitotic exit. Cdc14B's ability to dephosphorylate specific substrates allows it to regulate these pathways effectively placing it centrally within the regulatory framework that safeguards cell cycle accuracy.

Alterations in Cdc14B expression or function have been linked to cancer development due to its role in cell cycle regulation and genomic stability. Aberrant Cdc14B activity can contribute to unchecked cell division a hallmark of many cancers. Additionally its dysfunction associates with neurodegenerative diseases where improper cell cycle re-entry of neurons leads to cell death. In cancer Cdc14B's interaction with proteins like p53 and Mdm2 highlights its importance in tumor suppression pathways.

Product protocols

For this product, it's our understanding that no specific protocols are required. You can visit:

Target data

Dual-specificity phosphatase involved in DNA damage response. Essential regulator of the G2 DNA damage checkpoint : following DNA damage, translocates to the nucleus and dephosphorylates FZR1/CDH1, a key activator of the anaphase promoting complex/cyclosome (APC/C). Dephosphorylates SIRT2 around early anaphase. Dephosphorylation of FZR1/CDH1 activates the APC/C, leading to the ubiquitination of PLK1, preventing entry into mitosis. Preferentially dephosphorylates proteins modified by proline-directed kinases.
See full target information Dual specificity protein phosphatase CDC14B

Publications (3)

Recent publications for all applications. Explore the full list and refine your search

American journal of cancer research 14:2868-2880 PubMed39005661

2024

Cdc14B/Cyclin B1 signaling modulates the pathogenesis of sonic hedgehog subtype medulloblastoma.

Applications

Unspecified application

Species

Unspecified reactive species

Ting Wang,Shan Wang,Tao Wang,Lintao Jia,Gang Nan,Liang Wang

Cells 11: PubMed36078178

2022

Enhancement of Tendon Repair Using Tendon-Derived Stem Cells in Small Intestinal Submucosa via M2 Macrophage Polarization.

Applications

Unspecified application

Species

Unspecified reactive species

Xufeng Mao,Liwei Yao,Mei Li,Xiqian Zhang,Bowen Weng,Weilai Zhu,Renhao Ni,Kanan Chen,Linhua Yi,Jiyuan Zhao,Haijiao Mao

The Journal of cell biology 219: PubMed32328643

2020

Oocytes mount a noncanonical DNA damage response involving APC-Cdh1-mediated proteolysis.

Applications

Unspecified application

Species

Unspecified reactive species

Goutham Narayanan Subramanian,Jessica Greaney,Zhe Wei,Olivier Becherel,Martin Lavin,Hayden Anthony Homer
View all publications

Product promise

We are committed to supporting your work with high-quality reagents, and we're here for you every step of the way. In the unlikely event that one of our products does not perform as expected, you're protected by our Product Promise.
For full details, please see our Terms & Conditions

Please note: All products are 'FOR RESEARCH USE ONLY. NOT FOR USE IN DIAGNOSTIC OR THERAPEUTIC PROCEDURES'.

For licensing inquiries, please contact partnerships@abcam.com