JavaScript is disabled in your browser. Please enable JavaScript to view this website.
AB86104

Anti-Cdc20 antibody

Be the first to review this product! Submit a review

|

(3 Publications)

Rabbit Polyclonal CDC20 antibody. Suitable for IHC-P and reacts with Mouse, Human samples. Cited in 3 publications. Immunogen corresponding to Synthetic Peptide within Human Cell division cycle protein 20 homolog aa 50-100.

View Alternative Names

Cell division cycle protein 20 homolog, p55CDC, CDC20

3 Images
Immunohistochemistry (Formalin/PFA-fixed paraffin-embedded sections) - Anti-Cdc20 antibody (AB86104)
  • IHC-P

Unknown

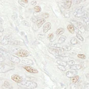
Immunohistochemistry (Formalin/PFA-fixed paraffin-embedded sections) - Anti-Cdc20 antibody (AB86104)

ab86104, at 1/250 dilution, staining Cdc20 in formalin-fixed, paraffin-embedded human colon carcinoma tissue by Immunohistochemistry using DAB staining.

Immunohistochemistry (Formalin/PFA-fixed paraffin-embedded sections) - Anti-Cdc20 antibody (AB86104)
  • IHC-P

Unknown

Immunohistochemistry (Formalin/PFA-fixed paraffin-embedded sections) - Anti-Cdc20 antibody (AB86104)

ab86104, at 1/250 dilution, staining Cdc20 in formalin-fixed, paraffin-embedded human breast carcinoma tissue by Immunohistochemistry using DAB staining.

Immunohistochemistry (Formalin/PFA-fixed paraffin-embedded sections) - Anti-Cdc20 antibody (AB86104)
  • IHC-P

Unknown

Immunohistochemistry (Formalin/PFA-fixed paraffin-embedded sections) - Anti-Cdc20 antibody (AB86104)

ab86104, at 1/250 dilution, staining Cdc20 in formalin-fixed, paraffin-embedded mouse teratoma tissue by Immunohistochemistry using DAB staining.

Key facts

Host species

Rabbit

Clonality

Polyclonal

Isotype

IgG

Carrier free

No

Reacts with

Mouse, Human

Applications

IHC-P

applications

Immunogen

Synthetic Peptide within Human Cell division cycle protein 20 homolog aa 50-100. The exact immunogen used to generate this antibody is proprietary information.

Q12834

Reactivity data

{ "title": "Reactivity Data", "filters": { "stats": ["", "Species", "Dilution Info", "Notes"], "tabs": { "all-applications": {"fullname" : "All Applications", "shortname": "All Applications"}, "IHCP" : {"fullname" : "Immunohistochemistry (Formalin/PFA-fixed paraffin-embedded sections)", "shortname":"IHC-P"} }, "product-promise": { "all": "all", "testedAndGuaranteed": "tested", "guaranteed": "expected", "predicted": "predicted", "notRecommended": "not-recommended" } }, "values": { "Human": { "IHCP-species-checked": "testedAndGuaranteed", "IHCP-species-dilution-info": "1/100 - 1/500", "IHCP-species-notes": "<p>Epitope exposure is recommended. Epitope exposure with citrate buffer will enhance staining.</p>" }, "Mouse": { "IHCP-species-checked": "testedAndGuaranteed", "IHCP-species-dilution-info": "1/100 - 1/500", "IHCP-species-notes": "<p>Epitope exposure is recommended. Epitope exposure with citrate buffer will enhance staining.</p>" }, "Chimpanzee": { "IHCP-species-checked": "predicted", "IHCP-species-dilution-info": "", "IHCP-species-notes": "" }, "Chinese hamster": { "IHCP-species-checked": "predicted", "IHCP-species-dilution-info": "", "IHCP-species-notes": "" }, "Dog": { "IHCP-species-checked": "predicted", "IHCP-species-dilution-info": "", "IHCP-species-notes": "" }, "Gorilla": { "IHCP-species-checked": "predicted", "IHCP-species-dilution-info": "", "IHCP-species-notes": "" }, "Guinea pig": { "IHCP-species-checked": "predicted", "IHCP-species-dilution-info": "", "IHCP-species-notes": "" }, "Horse": { "IHCP-species-checked": "predicted", "IHCP-species-dilution-info": "", "IHCP-species-notes": "" }, "Orangutan": { "IHCP-species-checked": "predicted", "IHCP-species-dilution-info": "", "IHCP-species-notes": "" }, "Pig": { "IHCP-species-checked": "predicted", "IHCP-species-dilution-info": "", "IHCP-species-notes": "" }, "Rhesus monkey": { "IHCP-species-checked": "predicted", "IHCP-species-dilution-info": "", "IHCP-species-notes": "" } } }

Properties and storage information

Form
Liquid
Purification technique
Affinity purification Immunogen
Storage buffer
pH: 6.8 - 7.4 Preservative: 0.09% Sodium azide Constituents: Tris buffered saline, 0.1% BSA
Shipped at conditions
Blue Ice
Appropriate short-term storage conditions
+4°C
Appropriate long-term storage conditions
+4°C
Aliquoting information
Upon delivery aliquot
Storage information
Avoid freeze / thaw cycle

Supplementary information

This supplementary information is collated from multiple sources and compiled automatically.

Cdc20 also known as cell division cycle 20 is an important regulatory protein in the cell cycle. It plays an essential role in the anaphase-promoting complex/cyclosome (APC/C) a large ubiquitin ligase complex important for the progression of the cell cycle. Cdc20 is expressed in various tissues acting as a cell cycle regulator during mitosis. It has a molecular weight of approximately 55 kDa. The Cdc20 protein ensures the timely degradation of key mitotic inhibitors facilitating proper chromosome segregation and mitotic exit by tagging these inhibitors for proteasomal degradation.
Biological function summary

Cdc20 acts as an activator of the APC/C complex regulating the transition from metaphase to anaphase during cell division. This transition depends on the degradation of securin and cyclins ensuring correct chromosome separation and cell cycle progression. By forming a complex with APC/C Cdc20 functions to target proteins for destruction modulating cell division dynamically. Its activity ensures that chromosomes are correctly aligned and segregated preventing errors during cell division that may lead to genomic instability.

Pathways

Cdc20 integrates itself into the spindle assembly checkpoint (SAC) and the mitotic exit network (MEN). These pathways monitor chromosome alignment and ensure that cells do not proceed to anaphase until all chromosomes are properly attached to the spindle apparatus. SAC utilizes Cdc20 to regulate its inhibitory role until chromosome alignment is confirmed after which Cdc20 activates APC/C to drive anaphase onset. Moreover proteins such as BubR1 interact with Cdc20 within the SAC to inhibit premature activation of APC/C while conditions are not optimal.

Cdc20 has significant connections with cancer and chromosomal instability syndromes. Overexpression or malfunction of Cdc20 often links with various cancers such as colorectal cancer where it drives an uncontrolled cell division rate and contributes to tumorigenesis. Additionally the improper regulation of Cdc20 can impact proteins like Mad2 disrupting the spindle checkpoint and leading to aneuploidy. This disruption often ties to chromosomal instability observed in cancerous cells highlighting its role as a potential target for therapeutic intervention.

Product protocols

For this product, it's our understanding that no specific protocols are required. You can visit:

Target data

Involved in the metaphase/anaphase transition of cell cycle (PubMed : 32666501). Required for full ubiquitin ligase activity of the anaphase promoting complex/cyclosome (APC/C) and confers substrate specificity upon the complex (PubMed : 27030811). Is regulated by MAD2L1 : in metaphase the MAD2L1-CDC20-APC/C ternary complex is inactive and in anaphase the CDC20-APC/C binary complex is active in degrading substrates. The CDC20-APC/C complex positively regulates the formation of synaptic vesicle clustering at active zone to the presynaptic membrane in postmitotic neurons. CDC20-APC/C-induced degradation of NEUROD2 induces presynaptic differentiation. The CDC20-APC/C complex promotes proper dilation formation and radial migration by degrading CCDC41 (By similarity).
See full target information Cell division cycle protein 20 homolog

Publications (3)

Recent publications for all applications. Explore the full list and refine your search

Scientific reports 9:9924 PubMed31289358

2019

Identification of prognosis markers for endometrial cancer by integrated analysis of DNA methylation and RNA-Seq data.

Applications

Unspecified application

Species

Unspecified reactive species

Xiao Huo,Hengzi Sun,Dongyan Cao,Jiaxin Yang,Peng Peng,Mei Yu,Keng Shen

BMC cancer 15:942 PubMed26626260

2015

CYP1B1 promotes tumorigenesis via altered expression of CDC20 and DAPK1 genes in renal cell carcinoma.

Applications

ICC/IF

Species

Unspecified reactive species

Yozo Mitsui,Inik Chang,Shinichiro Fukuhara,Miho Hiraki,Naoko Arichi,Hiroaki Yasumoto,Hiroshi Hirata,Soichiro Yamamura,Varahram Shahryari,Guoren Deng,Darryn K Wong,Shahana Majid,Hiroaki Shiina,Rajvir Dahiya,Yuichiro Tanaka

Journal of clinical pathology 68:381-7 PubMed25637637

2015

Proteins of the mitotic checkpoint and spindle are related to chromosomal instability and unfavourable prognosis in patients with myelodysplastic syndrome.

Applications

Unspecified application

Species

Unspecified reactive species

Kelly Roveran Genga,Francisco Dário Rocha Filho,Francisco Valdeci de Almeida Ferreira,Juliana Cordeiro de Sousa,Fernando Sergio Studart,Silvia Maria Meira Magalhães,Fabíola Fernandes Heredia,Ronald Feitosa Pinheiro
View all publications

Product promise

We are committed to supporting your work with high-quality reagents, and we're here for you every step of the way. In the unlikely event that one of our products does not perform as expected, you're protected by our Product Promise.
For full details, please see our Terms & Conditions

Please note: All products are 'FOR RESEARCH USE ONLY. NOT FOR USE IN DIAGNOSTIC OR THERAPEUTIC PROCEDURES'.

For licensing inquiries, please contact partnerships@abcam.com