JavaScript is disabled in your browser. Please enable JavaScript to view this website.
AB317036

Anti-Cdc20 antibody [EPR28091-55]

  • BOND RX™ Validated
  • 20ul selling size
  • Recombinant
  • RabMAb
  • What is this?

Be the first to review this product! Submit a review

|

(0 Publication)

Rabbit Recombinant Monoclonal CDC20 antibody. Suitable for Flow Cyt (Intra), WB, IP, IHC-P and reacts with Human, Mouse, Rat samples.

View Alternative Names

Cell division cycle protein 20 homolog, p55CDC, CDC20

16 Images
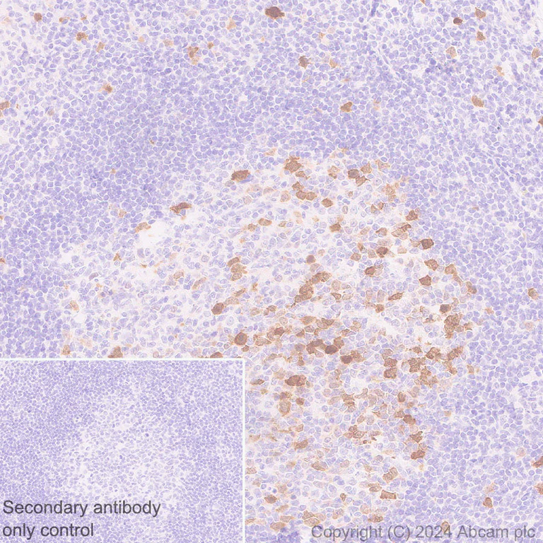
Immunohistochemistry (Formalin/PFA-fixed paraffin-embedded sections) - Anti-Cdc20 antibody [EPR28091-55] (AB317036)
  • IHC-P

Supplier Data

Immunohistochemistry (Formalin/PFA-fixed paraffin-embedded sections) - Anti-Cdc20 antibody [EPR28091-55] (AB317036)

Immunohistochemical analysis of paraffin-embedded Human tonsil tissue labeling Cdc20 with ab317036 at 1/100 (4.96 ug/ml) dilution followed by a ready to use LeicaDS9800 (Bond™ Polymer Refine Detection).

Positive staining on human tonsil. The section was incubated with ab317036 for 30 mins at room temperature.
The immunostaining was performed on a Leica Biosystems BOND® RX instrument

Counterstained with Hematoxylin.

Secondary antibody only control : Secondary antibody is a ready to use LeicaDS9800 (Bond™ Polymer Refine Detection).

Heat mediated antigen retrieval was performed with Tris-EDTA buffer (pH 9.0 Epitope Retrieval Solution2) for 20 mins

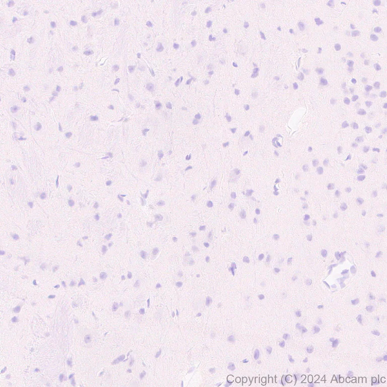
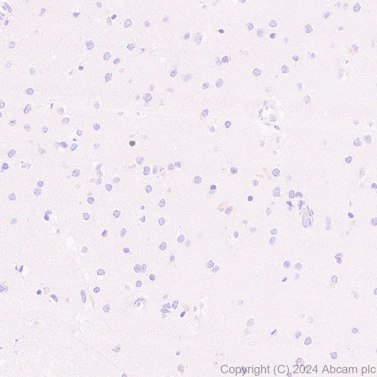
Immunohistochemistry (Formalin/PFA-fixed paraffin-embedded sections) - Anti-Cdc20 antibody [EPR28091-55] (AB317036)
  • IHC-P

Supplier Data

Immunohistochemistry (Formalin/PFA-fixed paraffin-embedded sections) - Anti-Cdc20 antibody [EPR28091-55] (AB317036)

Immunohistochemical analysis of paraffin-embedded Human cerebrum tissue labeling Cdc20 with ab317036 at 1/100 (4.96 ug/ml) dilution followed by a ready to use LeicaDS9800 (Bond™ Polymer Refine Detection).

Low expression : no staining on human cerebrum. The section was incubated with ab317036 for 30 mins at room temperature.
The immunostaining was performed on a Leica Biosystems BOND® RX instrument

Counterstained with Hematoxylin.

Secondary antibody only control : Secondary antibody is a ready to use LeicaDS9800 (Bond™ Polymer Refine Detection).

Heat mediated antigen retrieval was performed with Tris-EDTA buffer (pH 9.0 Epitope Retrieval Solution2) for 20 mins

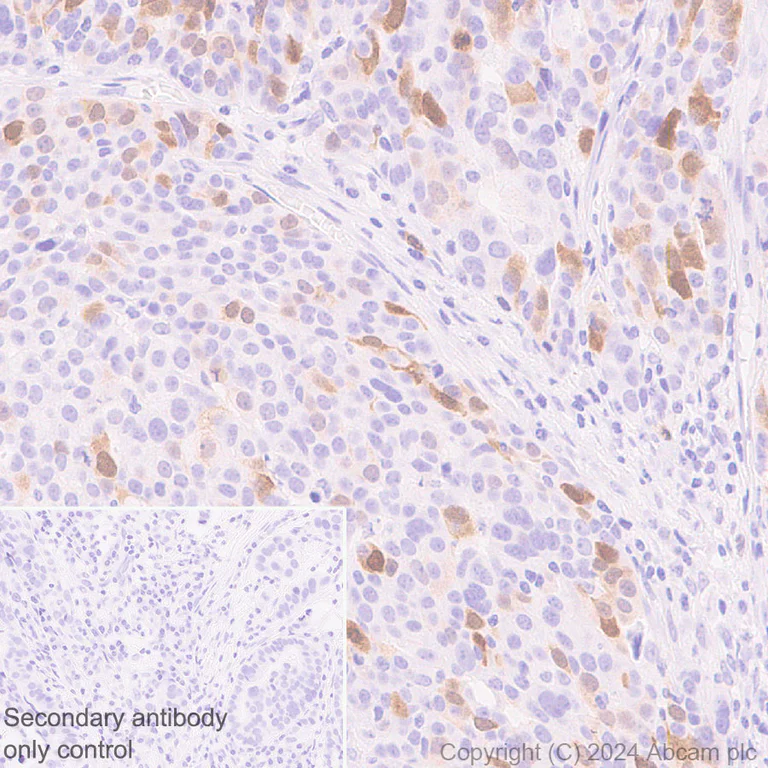
Immunohistochemistry (Formalin/PFA-fixed paraffin-embedded sections) - Anti-Cdc20 antibody [EPR28091-55] (AB317036)
  • IHC-P

Supplier Data

Immunohistochemistry (Formalin/PFA-fixed paraffin-embedded sections) - Anti-Cdc20 antibody [EPR28091-55] (AB317036)

Immunohistochemical analysis of paraffin-embedded Human ovarian carcinoma tissue labeling Cdc20 with ab317036 at 1/100 (4.96 ug/ml) dilution followed by a ready to use LeicaDS9800 (Bond™ Polymer Refine Detection).

Positive staining on human ovarian carcinoma. The section was incubated with ab317036 for 30 mins at room temperature.
The immunostaining was performed on a Leica Biosystems BOND® RX instrument

Counterstained with Hematoxylin.

Secondary antibody only control : Secondary antibody is a ready to use LeicaDS9800 (Bond™ Polymer Refine Detection).

Heat mediated antigen retrieval was performed with Tris-EDTA buffer (pH 9.0 Epitope Retrieval Solution2) for 20 mins

Flow Cytometry (Intracellular) - Anti-Cdc20 antibody [EPR28091-55] (AB317036)
  • Flow Cyt (Intra)

Supplier Data

Flow Cytometry (Intracellular) - Anti-Cdc20 antibody [EPR28091-55] (AB317036)

Flow cytometric analysis of 4% paraformaldehyde fixed 90% methanol permeabilized HeLa (human cervical adenocarcinoma epithelial cell) treated with 100ng/mL nocodazole for 16 hours (Red) / Untreated HeLa (Dotted Red) cells labelling Cdc20 with ab317036 at 1/50 dilution (1 ug) compared with a Rabbit monoclonal IgG (ab172730) (Black) isotype control and an unlabelled control (cells without incubation with primary antibody and secondary antibody) (Blue).

Goat Anti-Rabbit IgG (Alexa Fluor® 488 ab150081) at 1/5000 dilution was used as the secondary antibody.

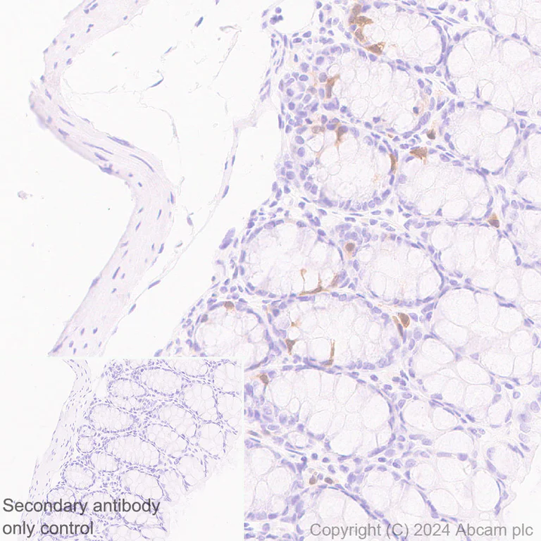
Immunohistochemistry (Formalin/PFA-fixed paraffin-embedded sections) - Anti-Cdc20 antibody [EPR28091-55] (AB317036)
  • IHC-P

Supplier Data

Immunohistochemistry (Formalin/PFA-fixed paraffin-embedded sections) - Anti-Cdc20 antibody [EPR28091-55] (AB317036)

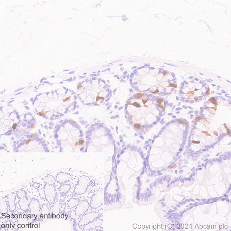
Immunohistochemical analysis of paraffin-embedded Human colon tissue labeling Cdc20 with ab317036 at 1/100 (4.96 ug/ml) dilution followed by a ready to use LeicaDS9800 (Bond™ Polymer Refine Detection).

Positive staining on human colon (PMID : 26245990). The section was incubated with ab317036 for 30 mins at room temperature.
The immunostaining was performed on a Leica Biosystems BOND® RX instrument

Counterstained with Hematoxylin.

Secondary antibody only control : Secondary antibody is a ready to use LeicaDS9800 (Bond™ Polymer Refine Detection).

Heat mediated antigen retrieval was performed with Tris-EDTA buffer (pH 9.0 Epitope Retrieval Solution2) for 20 mins

Immunoprecipitation - Anti-Cdc20 antibody [EPR28091-55] (AB317036)
  • IP

Supplier Data

Immunoprecipitation - Anti-Cdc20 antibody [EPR28091-55] (AB317036)

Cdc20 was immunoprecipitated from 0.35 mg PC-3 (human prostate adenocarcinoma epithelial cell) whole cell lysate with ab317036 at 1/30 dilution (2ug in 0.35mg lysates). Western blot was performed on the immunoprecipitate using ab317036 at 1/1000 dilution. VeriBlot for IP secondary antibody(HRP)(ab131366) was used at 1/5000 dilution.

Lane 1 : PC-3 (human prostate adenocarcinoma epithelial cell) whole cell lysate
Lane 2 : ab317036 IP in PC-3 (human prostate adenocarcinoma epithelial cell) whole cell lysate
Lane 3 : Rabbit monoclonal IgG (ab172730) instead of ab317036 in PC-3 whole cell lysate

The band at ~37KDa may represent a truncated Cdc20 isoform (PMID : 37100900).

All lanes:

Immunoprecipitation - Anti-Cdc20 antibody [EPR28091-55] (ab317036) at 1/30 dilution

All lanes:

PC-3 (human prostate adenocarcinoma epithelial cell) whole cell lysate with 5% NFDM/TBST

Secondary

All lanes:

Immunoprecipitation - VeriBlot for IP Detection Reagent (HRP) (<a href='/en-us/products/reagents/veriblot-for-ip-detection-reagent-hrp-ab131366'>ab131366</a>) at 1/5000 dilution

false

Exposure time: 180s

Immunohistochemistry (Formalin/PFA-fixed paraffin-embedded sections) - Anti-Cdc20 antibody [EPR28091-55] (AB317036)
  • IHC-P

Supplier Data

Immunohistochemistry (Formalin/PFA-fixed paraffin-embedded sections) - Anti-Cdc20 antibody [EPR28091-55] (AB317036)

Immunohistochemical analysis of paraffin-embedded Mouse colon tissue labeling Cdc20 with ab317036 at 1/100 (4.96 ug/ml) dilution followed by a ready to use LeicaDS9800 (Bond™ Polymer Refine Detection).

Positive staining on mouse colon. The section was incubated with ab317036 for 30 mins at room temperature.
The immunostaining was performed on a Leica Biosystems BOND® RX instrument

Counterstained with Hematoxylin.

Secondary antibody only control : Secondary antibody is a ready to use LeicaDS9800 (Bond™ Polymer Refine Detection).

Heat mediated antigen retrieval was performed with Tris-EDTA buffer (pH 9.0 Epitope Retrieval Solution2) for 20 mins

Immunohistochemistry (Formalin/PFA-fixed paraffin-embedded sections) - Anti-Cdc20 antibody [EPR28091-55] (AB317036)
  • IHC-P

Supplier Data

Immunohistochemistry (Formalin/PFA-fixed paraffin-embedded sections) - Anti-Cdc20 antibody [EPR28091-55] (AB317036)

Immunohistochemical analysis of paraffin-embedded Rat cerebrum tissue labeling Cdc20 with ab317036 at 1/100 (4.96 ug/ml) dilution followed by a ready to use LeicaDS9800 (Bond™ Polymer Refine Detection).

Low expression : no staining on rat cerebrum. The section was incubated with ab317036 for 30 mins at room temperature.
The immunostaining was performed on a Leica Biosystems BOND® RX instrument

Counterstained with Hematoxylin.

Secondary antibody only control : Secondary antibody is a ready to use LeicaDS9800 (Bond™ Polymer Refine Detection).

Heat mediated antigen retrieval was performed with Tris-EDTA buffer (pH 9.0 Epitope Retrieval Solution2) for 20 mins

Immunohistochemistry (Formalin/PFA-fixed paraffin-embedded sections) - Anti-Cdc20 antibody [EPR28091-55] (AB317036)
  • IHC-P

Supplier Data

Immunohistochemistry (Formalin/PFA-fixed paraffin-embedded sections) - Anti-Cdc20 antibody [EPR28091-55] (AB317036)

Immunohistochemical analysis of paraffin-embedded Mouse cerebrum tissue labeling Cdc20 with ab317036 at 1/100 (4.96 ug/ml) dilution followed by a ready to use LeicaDS9800 (Bond™ Polymer Refine Detection).

Low expression : no staining on mouse cerebrum. The section was incubated with ab317036 for 30 mins at room temperature.
The immunostaining was performed on a Leica Biosystems BOND® RX instrument

Counterstained with Hematoxylin.

Secondary antibody only control : Secondary antibody is a ready to use LeicaDS9800 (Bond™ Polymer Refine Detection).

Heat mediated antigen retrieval was performed with Tris-EDTA buffer (pH 9.0 Epitope Retrieval Solution2) for 20 mins

Flow Cytometry (Intracellular) - Anti-Cdc20 antibody [EPR28091-55] (AB317036)
  • Flow Cyt (Intra)

Supplier Data

Flow Cytometry (Intracellular) - Anti-Cdc20 antibody [EPR28091-55] (AB317036)

Flow cytometric analysis of 4% paraformaldehyde fixed 90% methanol permeabilized NIH/3T3 (mouse embryonic fibroblast) cells labelling Cdc20 with ab317036 at 1/50 dilution (1 ug) (Red) compared with a Rabbit monoclonal IgG (ab172730) (Black) isotype control and an unlabelled control (cells without incubation with primary antibody and secondary antibody) (Blue).

Goat Anti-Rabbit IgG (Alexa Fluor® 488 ab150081) at 1/5000 dilution was used as the secondary antibody.

Immunohistochemistry (Formalin/PFA-fixed paraffin-embedded sections) - Anti-Cdc20 antibody [EPR28091-55] (AB317036)
  • IHC-P

Supplier Data

Immunohistochemistry (Formalin/PFA-fixed paraffin-embedded sections) - Anti-Cdc20 antibody [EPR28091-55] (AB317036)

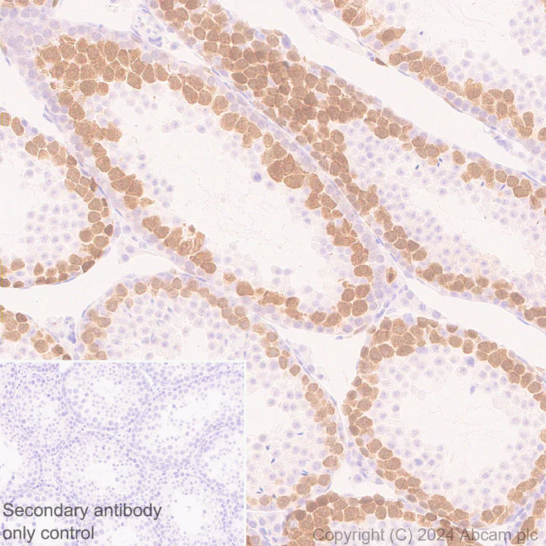
Immunohistochemical analysis of paraffin-embedded Rat testis tissue labeling Cdc20 with ab317036 at 1/100 (4.96 ug/ml) dilution followed by a ready to use LeicaDS9800 (Bond™ Polymer Refine Detection).

Positive staining on rat testis. The section was incubated with ab317036 for 30 mins at room temperature.
The immunostaining was performed on a Leica Biosystems BOND® RX instrument

Counterstained with Hematoxylin.

Secondary antibody only control : Secondary antibody is a ready to use LeicaDS9800 (Bond™ Polymer Refine Detection).

Heat mediated antigen retrieval was performed with Tris-EDTA buffer (pH 9.0 Epitope Retrieval Solution2) for 20 mins

Immunohistochemistry (Formalin/PFA-fixed paraffin-embedded sections) - Anti-Cdc20 antibody [EPR28091-55] (AB317036)
  • IHC-P

Supplier Data

Immunohistochemistry (Formalin/PFA-fixed paraffin-embedded sections) - Anti-Cdc20 antibody [EPR28091-55] (AB317036)

Immunohistochemical analysis of paraffin-embedded Rat colon tissue labeling Cdc20 with ab317036 at 1/100 (4.96 ug/ml) dilution followed by a ready to use LeicaDS9800 (Bond™ Polymer Refine Detection).

Positive staining on rat colon. The section was incubated with ab317036 for 30 mins at room temperature.
The immunostaining was performed on a Leica Biosystems BOND® RX instrument

Counterstained with Hematoxylin.

Secondary antibody only control : Secondary antibody is a ready to use LeicaDS9800 (Bond™ Polymer Refine Detection).

Heat mediated antigen retrieval was performed with Tris-EDTA buffer (pH 9.0 Epitope Retrieval Solution2) for 20 mins

Immunohistochemistry (Formalin/PFA-fixed paraffin-embedded sections) - Anti-Cdc20 antibody [EPR28091-55] (AB317036)
  • IHC-P

Supplier Data

Immunohistochemistry (Formalin/PFA-fixed paraffin-embedded sections) - Anti-Cdc20 antibody [EPR28091-55] (AB317036)

Immunohistochemical analysis of paraffin-embedded Mouse testis tissue labeling Cdc20 with ab317036 at 1/100 (4.96 ug/ml) dilution followed by a ready to use LeicaDS9800 (Bond™ Polymer Refine Detection).

Positive staining on mouse testis. The section was incubated with ab317036 for 30 mins at room temperature.
The immunostaining was performed on a Leica Biosystems BOND® RX instrument

Counterstained with Hematoxylin.

Secondary antibody only control : Secondary antibody is a ready to use LeicaDS9800 (Bond™ Polymer Refine Detection).

Heat mediated antigen retrieval was performed with Tris-EDTA buffer (pH 9.0 Epitope Retrieval Solution2) for 20 mins

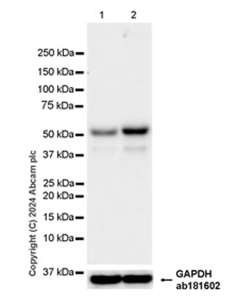
Western blot - Anti-Cdc20 antibody [EPR28091-55] (AB317036)
  • WB

Supplier Data

Western blot - Anti-Cdc20 antibody [EPR28091-55] (AB317036)

The expression of Cdc20 is upregulated in response to nocodazole treatment. The band at ~37KDa may represent a truncated Cdc20 isoform (PMID : 37100900).

In Western blot, Anti-GAPDH antibody [EPR16891] - Loading Control (ab181602) staining at 1/200000 dilution.

All lanes:

Western blot - Anti-Cdc20 antibody [EPR28091-55] (ab317036) at 1/1000 dilution

Lane 1:

Untreated HeLa (human cervix adenocarcinoma epithelial cell) whole cell lysate at 20 µg with 5% NFDM/TBST

Lane 2:

HeLa treated with 100ng/ml nocodazole for 16 hours whole cell lysate at 20 µg with 5% NFDM/TBST

Secondary

All lanes:

Western blot - Goat Anti-Rabbit IgG H&L (HRP) (<a href='/en-us/products/secondary-antibodies/goat-rabbit-igg-h-l-hrp-ab97051'>ab97051</a>) at 1/100000 dilution

Observed band size: 51 kDa,36 kDa

false

Exposure time: 37s

Western blot - Anti-Cdc20 antibody [EPR28091-55] (AB317036)
  • WB

Supplier Data

Western blot - Anti-Cdc20 antibody [EPR28091-55] (AB317036)

Low expression : DU145 (PMID : 27633058), LNCaP (PMID : 27633058).

In lanes 1-4, the lysates were stored at -80°C prior to Western Blotting. In lanes 5-8, the lysates were freshly made and used for Western Blotting immediately to minimize protein degradation.

In Western blot, Anti-GAPDH antibody [EPR16891] - Loading Control (ab181602) staining at 1/200000 dilution.

All lanes:

Western blot - Anti-Cdc20 antibody [EPR28091-55] (ab317036) at 1/1000 dilution

Lane 1:

HeLa (human cervix adenocarcinoma epithelial cell) whole cell lysate at 40 µg with 5% NFDM/TBST

Lane 2:

PC-3 (human prostate adenocarcinoma epithelial cell) whole cell lysate at 40 µg with 5% NFDM/TBST

Lane 3:

DU145 (human prostate carcinoma epithelial cell) whole cell lysate at 40 µg with 5% NFDM/TBST

Lane 4:

LNCaP (human prostate carcinoma epithelial cell) whole cell lysate at 40 µg with 5% NFDM/TBST

Lane 5:

HeLa whole fresh cell lysate at 20 µg with 5% NFDM/TBST

Lane 6:

293T (human embryonic kidney epithelial cell) whole fresh cell lysate at 20 µg with 5% NFDM/TBST

Lane 7:

NIH/3T3 (mouse embryonic fibroblast) whole fresh cell lysate at 20 µg with 5% NFDM/TBST

Lane 8:

PC-12 (rat adrenal gland pheochromocytoma) whole fresh cell lysate at 20 µg with 5% NFDM/TBST

Secondary

All lanes:

Western blot - Goat Anti-Rabbit IgG H&L (HRP) (<a href='/en-us/products/secondary-antibodies/goat-rabbit-igg-h-l-hrp-ab97051'>ab97051</a>) at 1/100000 dilution

Observed band size: 51 kDa,36 kDa

false

Exposure time: 180s

Western blot - Anti-Cdc20 antibody [EPR28091-55] (AB317036)
  • WB

Supplier Data

Western blot - Anti-Cdc20 antibody [EPR28091-55] (AB317036)

Low expression : kidney (PMID : 15280373), liver (PMID : 15280373), brain (PMID : 15280373).

In lanes 1-6, the lysates were stored at -80°C prior to Western Blotting. In lanes 7-11, the lysates were freshly made and used for Western Blotting immediately to minimize protein degradation.

The identity of the higher MW bands at approximately 74 kDa (in lanes 1-7) and 90 KDa (lane 8) are unknown.

Lanes 4-11 are applied with Goat Anti-Rabbit IgG, (H+L), Peroxidase conjMSD1483ated (ab97051) at 1/100000 and lanes 1-3 are applied with Goat Anti-Rabbit IgG (HRP) with minimal cross-reactivity with human IgG at 1/2000.

In Western blot, Anti-GAPDH antibody [EPR16891] - Loading Control (ab181602) staining at 1/200000 dilution.

Exposure time : Lanes 1-6, 9-11 : 180 seconds, lanes 7-8 : 70 seconds.

All lanes:

Western blot - Anti-Cdc20 antibody [EPR28091-55] (ab317036) at 1/1000 dilution

Lane 1:

Human testis tissue lysate at 40 µg with 5% NFDM/TBST

Lane 2:

Human kidney tissue lysate at 40 µg with 5% NFDM/TBST

Lane 3:

Human liver tissue lysate at 40 µg with 5% NFDM/TBST

Lane 4:

Mouse testis tissue lysate at 40 µg with 5% NFDM/TBST

Lane 5:

Mouse thymus tissue lysate at 40 µg with 5% NFDM/TBST

Lane 6:

Mouse kidney tissue lysate at 40 µg with 5% NFDM/TBST

Lane 7:

Mouse testis tissue lysate at 20 µg with 5% NFDM/TBST

Lane 8:

Mouse brain tissue lysate at 20 µg with 5% NFDM/TBST

Lane 9:

Rat testis tissue lysate at 20 µg with 5% NFDM/TBST

Lane 10:

Rat brain tissue lysate at 20 µg with 5% NFDM/TBST

Lane 11:

Rat liver tissue lysate at 20 µg with 5% NFDM/TBST

Secondary

Lanes 1 - 3:

Goat Anti-Rabbit IgG (HRP) with minimal cross-reactivity with human IgG at 1/2000 dilution

Lanes 4 - 11:

Western blot - Goat Anti-Rabbit IgG H&L (HRP) (<a href='/en-us/products/secondary-antibodies/goat-rabbit-igg-h-l-hrp-ab97051'>ab97051</a>) at 1/100000 dilution

Observed band size: 51 kDa,36 kDa

false

Key facts

Host species

Rabbit

Clonality

Monoclonal

Clone number

EPR28091-55

Isotype

IgG

Carrier free

No

Reacts with

Human, Mouse, Rat

Applications

WB, IP, Flow Cyt (Intra), IHC-P

applications

Immunogen

The exact immunogen used to generate this antibody is proprietary information.

Reactivity data

{ "title": "Reactivity Data", "filters": { "stats": ["", "Species", "Dilution Info", "Notes"], "tabs": { "all-applications": {"fullname" : "All Applications", "shortname": "All Applications"}, "FlowCytIntra" : {"fullname" : "Flow Cytometry (Intracellular)", "shortname":"Flow Cyt (Intra)"}, "WB" : {"fullname" : "Western blot", "shortname":"WB"}, "IP" : {"fullname" : "Immunoprecipitation", "shortname":"IP"}, "IHCP" : {"fullname" : "Immunohistochemistry (Formalin/PFA-fixed paraffin-embedded sections)", "shortname":"IHC-P"} }, "product-promise": { "all": "all", "testedAndGuaranteed": "tested", "guaranteed": "expected", "predicted": "predicted", "notRecommended": "not-recommended" } }, "values": { "Human": { "FlowCytIntra-species-checked": "testedAndGuaranteed", "FlowCytIntra-species-dilution-info": "1/50", "FlowCytIntra-species-notes": "<p></p>", "WB-species-checked": "testedAndGuaranteed", "WB-species-dilution-info": "1/1000", "WB-species-notes": "<p></p>", "IP-species-checked": "testedAndGuaranteed", "IP-species-dilution-info": "1/30", "IP-species-notes": "<p></p>", "IHCP-species-checked": "testedAndGuaranteed", "IHCP-species-dilution-info": "1/100", "IHCP-species-notes": "<p></p> Perform heat-mediated antigen retrieval with Tris/EDTA buffer pH 9.0 before commencing with IHC staining protocol." }, "Mouse": { "FlowCytIntra-species-checked": "testedAndGuaranteed", "FlowCytIntra-species-dilution-info": "1/50", "FlowCytIntra-species-notes": "<p></p>", "WB-species-checked": "testedAndGuaranteed", "WB-species-dilution-info": "1/1000", "WB-species-notes": "<p></p>", "IP-species-checked": "guaranteed", "IP-species-dilution-info": "", "IP-species-notes": "", "IHCP-species-checked": "testedAndGuaranteed", "IHCP-species-dilution-info": "1/100", "IHCP-species-notes": "<p></p> Perform heat-mediated antigen retrieval with Tris/EDTA buffer pH 9.0 before commencing with IHC staining protocol." }, "Rat": { "FlowCytIntra-species-checked": "guaranteed", "FlowCytIntra-species-dilution-info": "", "FlowCytIntra-species-notes": "", "WB-species-checked": "testedAndGuaranteed", "WB-species-dilution-info": "1/1000", "WB-species-notes": "<p></p>", "IP-species-checked": "guaranteed", "IP-species-dilution-info": "", "IP-species-notes": "", "IHCP-species-checked": "testedAndGuaranteed", "IHCP-species-dilution-info": "1/100", "IHCP-species-notes": "<p></p> Perform heat-mediated antigen retrieval with Tris/EDTA buffer pH 9.0 before commencing with IHC staining protocol." } } }

Product details

Patented technology
Our RabMAb® technology is a patented hybridoma-based technology for making rabbit monoclonal antibodies. For details on our patents, please refer to RabMAb® patents.

What are the advantages of a recombinant monoclonal antibody?
This product is a recombinant monoclonal antibody, which offers several advantages including:

  • - High batch-to-batch consistency and reproducibility
  • - Improved sensitivity and specificity
  • - Long-term security of supply
  • - Animal-free batch production

For more information, read more on recombinant antibodies.

Properties and storage information

Form
Liquid
Purification technique
Affinity purification Protein A
Storage buffer
pH: 7.2 - 7.4 Preservative: 0.01% Sodium azide Constituents: PBS, 40% Glycerol (glycerin, glycerine), 0.05% BSA
Shipped at conditions
Blue Ice
Appropriate short-term storage duration
1-2 weeks
Appropriate short-term storage conditions
+4°C
Appropriate long-term storage conditions
-20°C
Aliquoting information
Upon delivery aliquot
Storage information
Avoid freeze / thaw cycle

Supplementary information

This supplementary information is collated from multiple sources and compiled automatically.

Cdc20 also known as cell division cycle 20 is an important regulatory protein in the cell cycle. It plays an essential role in the anaphase-promoting complex/cyclosome (APC/C) a large ubiquitin ligase complex important for the progression of the cell cycle. Cdc20 is expressed in various tissues acting as a cell cycle regulator during mitosis. It has a molecular weight of approximately 55 kDa. The Cdc20 protein ensures the timely degradation of key mitotic inhibitors facilitating proper chromosome segregation and mitotic exit by tagging these inhibitors for proteasomal degradation.
Biological function summary

Cdc20 acts as an activator of the APC/C complex regulating the transition from metaphase to anaphase during cell division. This transition depends on the degradation of securin and cyclins ensuring correct chromosome separation and cell cycle progression. By forming a complex with APC/C Cdc20 functions to target proteins for destruction modulating cell division dynamically. Its activity ensures that chromosomes are correctly aligned and segregated preventing errors during cell division that may lead to genomic instability.

Pathways

Cdc20 integrates itself into the spindle assembly checkpoint (SAC) and the mitotic exit network (MEN). These pathways monitor chromosome alignment and ensure that cells do not proceed to anaphase until all chromosomes are properly attached to the spindle apparatus. SAC utilizes Cdc20 to regulate its inhibitory role until chromosome alignment is confirmed after which Cdc20 activates APC/C to drive anaphase onset. Moreover proteins such as BubR1 interact with Cdc20 within the SAC to inhibit premature activation of APC/C while conditions are not optimal.

Cdc20 has significant connections with cancer and chromosomal instability syndromes. Overexpression or malfunction of Cdc20 often links with various cancers such as colorectal cancer where it drives an uncontrolled cell division rate and contributes to tumorigenesis. Additionally the improper regulation of Cdc20 can impact proteins like Mad2 disrupting the spindle checkpoint and leading to aneuploidy. This disruption often ties to chromosomal instability observed in cancerous cells highlighting its role as a potential target for therapeutic intervention.

Product protocols

For this product, it's our understanding that no specific protocols are required. You can visit:

Target data

Involved in the metaphase/anaphase transition of cell cycle (PubMed : 32666501). Required for full ubiquitin ligase activity of the anaphase promoting complex/cyclosome (APC/C) and confers substrate specificity upon the complex (PubMed : 27030811). Is regulated by MAD2L1 : in metaphase the MAD2L1-CDC20-APC/C ternary complex is inactive and in anaphase the CDC20-APC/C binary complex is active in degrading substrates. The CDC20-APC/C complex positively regulates the formation of synaptic vesicle clustering at active zone to the presynaptic membrane in postmitotic neurons. CDC20-APC/C-induced degradation of NEUROD2 induces presynaptic differentiation. The CDC20-APC/C complex promotes proper dilation formation and radial migration by degrading CCDC41 (By similarity).
See full target information Cell division cycle protein 20 homolog

Product promise

We are committed to supporting your work with high-quality reagents, and we're here for you every step of the way. In the unlikely event that one of our products does not perform as expected, you're protected by our Product Promise.
For full details, please see our Terms & Conditions

Please note: All products are 'FOR RESEARCH USE ONLY. NOT FOR USE IN DIAGNOSTIC OR THERAPEUTIC PROCEDURES'.

For licensing inquiries, please contact partnerships@abcam.com