JavaScript is disabled in your browser. Please enable JavaScript to view this website.
AB272920

Anti-CDC25 antibody

Be the first to review this product! Submit a review

|

(0 Publication)

Rabbit Polyclonal CDC25 antibody. Suitable for IHC-P, WB and reacts with Mouse, Rat samples. Immunogen corresponding to Synthetic Peptide within Rat Rasgrf1.

View Alternative Names

Cdc25, Grf1, Rasgrf1, Ras-specific guanine nucleotide-releasing factor 1, Ras-GRF1, CDC25Mm, Guanine nucleotide-releasing protein, Ras-specific nucleotide exchange factor CDC25, GNRP

3 Images
Immunohistochemistry (Formalin/PFA-fixed paraffin-embedded sections) - Anti-CDC25 antibody (AB272920)
  • IHC-P

Supplier Data

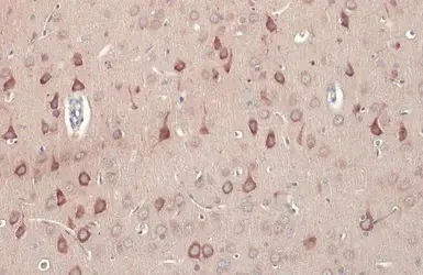
Immunohistochemistry (Formalin/PFA-fixed paraffin-embedded sections) - Anti-CDC25 antibody (AB272920)

Immunohistochemical analysis of paraffin-embedded mouse brain tissue stained for RASGRF1 protein at cytoplasm with ab272920 at a 1/500 dilution.

Antigen retrieval : Citrate buffer, pH 6.0, 15 min.

Immunohistochemistry (Formalin/PFA-fixed paraffin-embedded sections) - Anti-CDC25 antibody (AB272920)
  • IHC-P

Supplier Data

Immunohistochemistry (Formalin/PFA-fixed paraffin-embedded sections) - Anti-CDC25 antibody (AB272920)

Immunohistochemical analysis of paraffin-embedded rat brain tissue stained for RASGRF1 protein at cytoplasm with ab272920 at a 1/500 dilution.

Antigen retrieval : Citrate buffer, pH 6.0, 15 min.

Western blot - Anti-CDC25 antibody (AB272920)
  • WB

Supplier Data

Western blot - Anti-CDC25 antibody (AB272920)

5% SDS-PAGE

All lanes:

Western blot - Anti-CDC25 antibody (ab272920) at 1/1000 dilution

Lane 1:

Mouse brain tissue extract at 30 µg

Lane 2:

Rat brain tissue extract at 30 µg

Secondary

All lanes:

HRP-conjugated anti-rabbit IgG antibody

Predicted band size: 145 kDa

false

Key facts

Host species

Rabbit

Clonality

Polyclonal

Isotype

IgG

Carrier free

No

Reacts with

Mouse, Rat

Applications

IHC-P, WB

applications

Immunogen

Synthetic Peptide within Rat Rasgrf1. The exact immunogen used to generate this antibody is proprietary information.

P28818

Reactivity data

{ "title": "Reactivity Data", "filters": { "stats": ["", "Species", "Dilution Info", "Notes"], "tabs": { "all-applications": {"fullname" : "All Applications", "shortname": "All Applications"}, "IHCP" : {"fullname" : "Immunohistochemistry (Formalin/PFA-fixed paraffin-embedded sections)", "shortname":"IHC-P"}, "WB" : {"fullname" : "Western blot", "shortname":"WB"} }, "product-promise": { "all": "all", "testedAndGuaranteed": "tested", "guaranteed": "expected", "predicted": "predicted", "notRecommended": "not-recommended" } }, "values": { "Mouse": { "IHCP-species-checked": "testedAndGuaranteed", "IHCP-species-dilution-info": "", "IHCP-species-notes": "<p></p>", "WB-species-checked": "testedAndGuaranteed", "WB-species-dilution-info": "1/500 - 1/3000", "WB-species-notes": "<p></p>" }, "Rat": { "IHCP-species-checked": "testedAndGuaranteed", "IHCP-species-dilution-info": "", "IHCP-species-notes": "<p></p>", "WB-species-checked": "testedAndGuaranteed", "WB-species-dilution-info": "1/500 - 1/3000", "WB-species-notes": "<p></p>" } } }

Properties and storage information

Form
Liquid
Purification technique
Affinity purification Immunogen
Storage buffer
pH: 7 Preservative: 0.025% Proclin 300 Constituents: PBS, 20% Glycerol (glycerin, glycerine)
Shipped at conditions
Blue Ice
Appropriate short-term storage duration
1-2 weeks
Appropriate short-term storage conditions
+4°C
Appropriate long-term storage conditions
-20°C
Aliquoting information
Upon delivery aliquot
Storage information
Avoid freeze / thaw cycle

Product protocols

For this product, it's our understanding that no specific protocols are required. You can visit:

Target data

Promotes the exchange of Ras-bound GDP by GTP.
See full target information Rasgrf1

Product promise

We are committed to supporting your work with high-quality reagents, and we're here for you every step of the way. In the unlikely event that one of our products does not perform as expected, you're protected by our Product Promise.
For full details, please see our Terms & Conditions

Please note: All products are 'FOR RESEARCH USE ONLY. NOT FOR USE IN DIAGNOSTIC OR THERAPEUTIC PROCEDURES'.

For licensing inquiries, please contact partnerships@abcam.com